medigraphic.com
ENGLISH

Revista Mexicana de Cirugía Torácica General

Sociedad Mexicana de Cirujanos Torácicos Genrales S.C.
  • Mostrar índice
  • Números disponibles
  • Información
    • Información general        
    • Directorio
  • Publicar
    • Instrucciones para autores        
    • Envío de artículos
  • medigraphic.com
    • Inicio
    • Índice de revistas            
    • Registro / Acceso
  • Mi perfil

2021, Número 1

<< Anterior Siguiente >>

Rev Mex Cir Torac Gen 2021; 2 (1)


Reducción inesperada de tumor torácico asociado a infección por SARS-CoV-2

Izaguirre-Pérez, Marian Eliza1; Valencia-Salinas, Juan José2; Mandujano-Sánchez, Juan Ignacio3; Landeros-Ruíz, Juan Pablo1; Sánchez-García, Héctor Vladimir4; Zaragoza-Valdez, Eduardo Paul4
Texto completo Cómo citar este artículo 10.35366/107188

DOI

DOI: 10.35366/107188
URL: https://dx.doi.org/10.35366/107188
Artículos similares

Idioma: Español
Referencias bibliográficas: 10
Paginas: 15-18
Archivo PDF: 275.61 Kb.


PALABRAS CLAVE

Tumor torácico, SARS-CoV-2, reducción tumoral.

RESUMEN

En este trabajo se reporta el caso de un paciente masculino de 40 años con infección por VIH que es enviado al Servicio de Cirugía Cardiotorácica por un tumor torácico de aproximadamente 10 cm, documentado clínica- y radiológicamente, el cual presentaba una biopsia con reporte de tejido fibroconectivo. Días previos a su intervención quirúrgica el paciente presenta infección por SARS-CoV-2, por lo que se difiere el procedimiento. Al mes el paciente es citado a la consulta para reagendar procedimiento, sin embargo, presenta reducción clínica y radiológica de la tumoración.



INTRODUCCIóN

El síndrome de dificultad respiratoria aguda por coronavirus 2 (SARS-CoV-2) es una complicación ocasionada por la enfermedad altamente transmisible por coronavirus 19 (COVID-19). Las manifestaciones clínicas por COVID-19 pueden variar de asintomático a síndrome de dificultad respiratoria que requiere ventilación invasiva. Los pacientes que tienen mayor riesgo de complicaciones son los que cuentan con comorbilidades que influyen en su estado de salud.1

Los tumores primarios de la pared torácica (TPPT) son infrecuentes, conforman el 5-10% de las neoplasias primarias del tórax y se originan de cualquier elemento nativo del hueso y de las partes blandas.2 Alrededor de 50% de los tumores torácicos son de comportamiento benigno (ej. osteocondroma, condroma, condroblastoma); mientras que, entre los malignos, más de 50% son metastásicos y el resto primarios (ej. sarcoma de tejidos blandos, cartílago o hueso).3,4

El tratamiento de los TPPT en su mayoría es quirúrgico y consiste en la resección amplia, que puede incluir esternón, costillas, pleura, pulmón, partes blandas, entre otros. No existen casos reportados sobre TPPT que presenten reducción espontánea asociado a infección viral.



PRESENTACIóN DEL CASO

Paciente masculino de 40 años con infección por VIH con carga viral indetectable en tratamiento antirretroviral con tenofovir, emtricitabina y efavirenz en manejo por infectología, con última cuantificación de CD4+ en 607 cel/μl, sin sintomatología relacionada a infección por VIH y con serologías para hepatitis B y C negativas.

Inicia padecimiento cuatro semanas previas con aparición de pequeña masa infraclavicular de 2 cm en cara anterior del hemitórax derecho, indurada, no móvil y muy dolorosa al inicio, por lo cual se realiza ultrasonido en el que se encuentra tumoración sólida y vascularizada. Se envía a tercer nivel para valoración por oncología quirúrgica, quienes solicitan resonancia magnética, en la cual se encuentra tumoración de aproximadamente 10 cm que afecta al músculo pectoral derecho y no ingresa a tórax, aunque está muy contigua a la clavícula derecha.

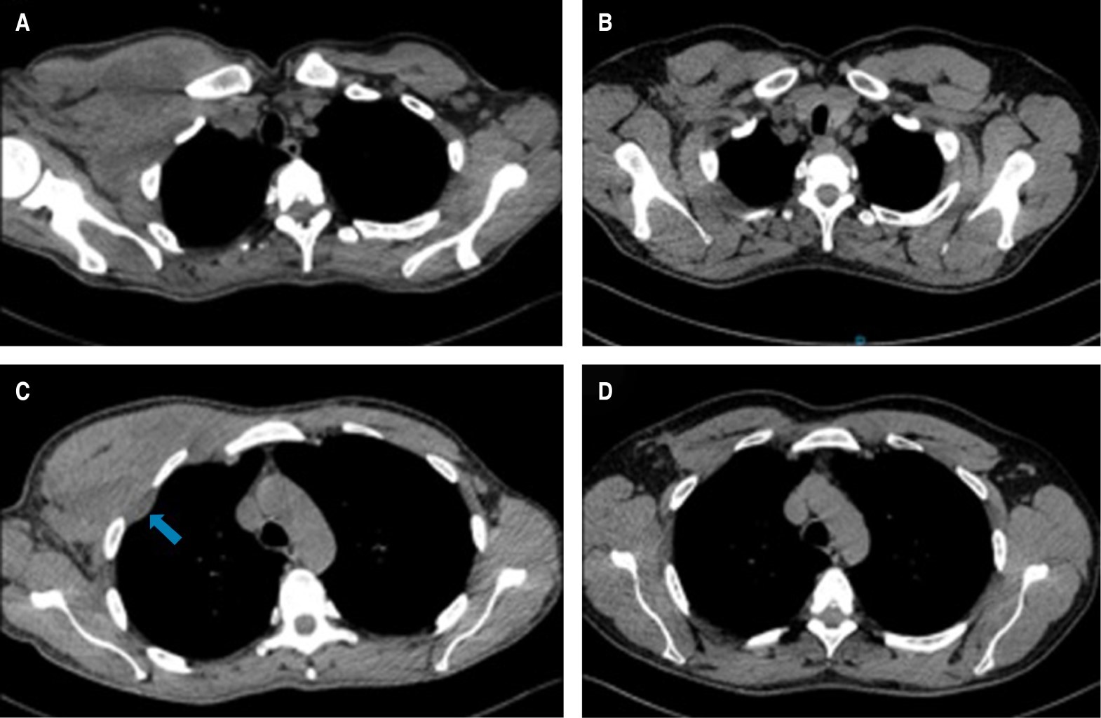
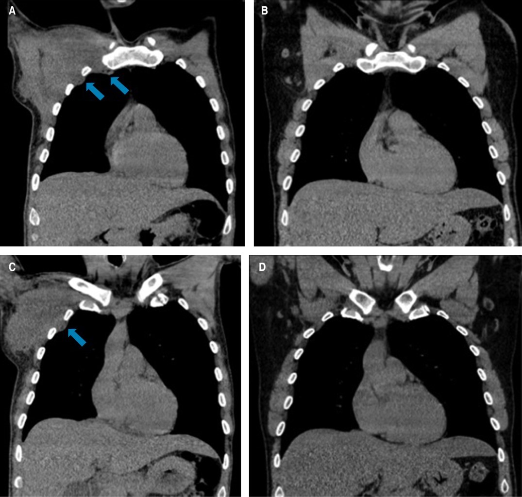
Debido a la localización, se envía al Servicio de Cirugía Cardiotorácica donde a la exploración se observa masa fija a pared torácica derecha, dolorosa a la palpación, principalmente en extensión hacia la axila, de consistencia firme y sin evidencia de circulación colateral en piel. Se valora tomografía de tórax contrastada donde se reporta tumoración de aspecto infiltrativo a nivel de tejidos blandos en región axilar derecha con arteria nutricia proveniente de arteria axilar, dicha lesión es irregular con dimensiones aproximadas de 8.8 cm en su eje cefalocaudal, 11 cm latero-lateral y 7.5 cm en su eje rostroventral, coeficiente de atenuación en fase simple de 20 unidades Hounsfield (UH) y al paso de contraste con captación de 37 UH. Dicha lesión no invade estructuras óseas adyacentes, únicamente se evidencia el desplazamiento de pectoral menor, subescapular y serrato anterior ipsilateral. En región axilar ipsilateral se identifican adenopatías de morfología redonda y captación significativa al contraste. Además, se identifican adenopatías que conservan su hilio graso prevasculares, pretraqueales e hiliares. Se concluye: tumoración infraclavicular/axilar derecha con infiltración a ganglios regionales adyacentes al mismo (Figuras 1 y 2). Es por esto que se toma biopsia con aguja de corte que reporta tejido fibroconectivo.

Se inicia protocolo prequirúrgico para manejo multidisciplinario de alta especialidad (cirugía plástica y cirugía cardiotorácica). Días antes del procedimiento quirúrgico el paciente inicia con fiebre, realizándose el diagnóstico por PCR positiva de infección por SARS-CoV-2, manejada de forma ambulatoria y con tratamiento sintomático (acetaminofén 500 g cada 8 horas) y tres dosis de corticosteroides (metilprednisolona 20 mg).

Un mes después del inicio de los síntomas, el paciente acude a consulta refiriendo reducción de la tumoración de forma espontánea, donde a la exploración física no se observa ni se delimitan masas a la palpación, por lo que se realiza tomografía de tórax en diferentes cortes donde no se observan remanentes de la tumoración torácica o de las linfadenopatías (Figuras 1 y 2).



DISCUSIóN

No es habitual, pero existen reportes en la literatura, en los cuales de repente, sin saber la causa específica, un tumor desaparece por completo o al menos su tamaño se reduce notablemente y, lo que hasta ese momento se consideraba una variable determinante para la salud del paciente, deja de ser una amenaza. Las reducciones tumorales pueden ser parciales o totales. Los factores asociados con la reducción espontánea incluyen principalmente la apoptosis, el sistema inmunológico y las condiciones en el microambiente tumoral, particularmente la presencia de inhibidores de metaloproteinasas y angiogénesis y la ausencia o escasez de proteínas específicas.5 La mayoría de los casos de reducción tumoral espontánea (ya sea maligna o benigna) no han sido sometidos a pruebas genómicas, sino sólo a análisis de laboratorio, estudios de imagen y hallazgos histopatológicos.

En los casos descritos en la literatura se concuerda en que existe un aumento de citocinas, como lo es el factor de necrosis tumoral alfa (FNT-α) y la interleucina 18 (IL-18), especialmente en los tumores de origen gastrointestinal.6 Se sabe que ciertos factores pueden influir en el sistema inmunológico de los pacientes con tumores, como por ejemplo una infección concomitante. En la literatura médica existen dos reportes de caso sobre pacientes con linfoma de Hodgkin que presentan remisión espontánea de la enfermedad posterior a la infección y enfermedad por SARS-CoV-2, donde se plantea la hipótesis que la infección por COVID-19 podría desencadenar una respuesta inmunitaria antitumoral. El mecanismo de acción es desconocido, pero se sospecha que éste incluye una reactividad cruzada de las células T patógeno-específicas con actividad antitumoral y activación de células natural killer (NK) por citosinas inflamatorias en respuesta a la infección.

Existen virus oncolíticos creados para expresar IL-2 y FNT-α que producen efectos inmunomoduladores antitumorales. De forma similar SARS-CoV-2 induce la liberación de una gran cantidad de citosinas proinflamatorias, incluyendo la IL-6, FNT-α e IL-2. Cuando la IL-2 y el FNT-α son creadas por virus oncolíticos, éstas pueden reclutar linfocitos T y NK hacia el tumor.7,8

Debido a la secuencia cronológica en este caso, se sospecha que la infección por SARS-CoV-2 y su efecto inmunoestimulante podrían tener un papel en la respuesta inmunológica asociada a la disminución del tamaño clínico y radiológico, así como a la desaparición de los síntomas relacionados con la tumoración torácica en este paciente. Es interesante notar que las terapias actuales para el manejo de los tumores (independientemente de su comportamiento) no aprovechan los beneficios del propio sistema inmunológico ni lo estimulan para lograr la regresión del tumor, sino que lo suprimen activamente; por lo tanto, no hace sinergia con los propios mecanismos defensivos del cuerpo, sino que se opone a su función natural. La infección aguda y la fiebre, en virtud de la inmunoestimulación, pueden ayudar incluso en la etapa más avanzada de la enfermedad.9



CONCLUSIONES

Es bastante difícil deducir todos los factores responsables de la regresión tumoral espontánea o indirectamente inducida. Investigar los informes de casos de reducción tumoral espontánea puede ayudar a desarrollar nuevas terapias. Además, los conocimientos de estos estudios pueden ayudar a predisponer y orientar el estilo de vida de una persona hacia condiciones que disminuyan el riesgo de aparición de tumores.10

Es complejo establecer una relación directa entre la infección por COVID-19 y la reducción tumoral espontánea en este caso, especialmente por la falta de un diagnóstico histológico definitivo.



AGRADECIMIENTOS

Se agradece al Departamento de Cirugía Torácica del Hospital Regional "Valentín Gómez Farías" por impulsarnos a participar en el área de investigación.


REFERENCIAS (EN ESTE ARTÍCULO)

  1. Ruiz-Bravo A, Jiménez-Varela M. SARS-CoV-2 y pandemia de síndrome respiratorio agudo (COVID-19). Ars Pharm. 2020; 61(2): 63-79.

  2. Armas BA, Puentes A, Reyes ES, Armas K, Al-Haddadin MM. Tumores primarios de la pared torácica. Rev Cub Cir. 2011; 50(3): 286-294.

  3. Graeber GM, Zinder RJ, Fleming AW, Head HD, Lough FC, Parker JC et al. Initial and long-term results in the management of primary chest neoplasms. Ann Thorac Surg. 1982; 34: 664-670.

  4. Incarbone M, Pastorino U. Surgical treatment of chest wall tumors. World J Surg. 2001; 25(2): 218-230.

  5. Li AJ, Wu MC, Cong WM, Shen F, Yi B. Spontaneous complete necrosis of hepatocellular carcinoma: a case report. Hepatobiliary Pancreat Dis Int. 2003; 2(1): 152-154.

  6. Ricci SB, Cerchiari U. Spontaneous regression of malignant tumors: Importance of the immune system and other factors (Review). Oncol Lett. 2010; 1(6): 941-945.

  7. Pasin F, Mascalchi M, Pizzarelli G, Calabrese A, Andreoli M, Bongiovanni I et al. Oncolytic effect of SARS-CoV-2 in a patient with NK lymphoma. Acta Biomed. 2020; 91(3): e2020047.

  8. Challenor S, Tucker D. SARS-CoV-2 induced remission of Hodgkin lymphoma. Br J Haematol. 2021; 192: 415.

  9. Jessy T. Immunity over inability: The spontaneous regression of cancer. J Nat Sci Biol Med. 2011; 2(1): 43-49.

  10. Radha G, Lopus M. The spontaneous remission of cancer: current insights and therapeutic significance. Transl Oncol. 2021; 14(9): 101166.



AFILIACIONES

1 Departamento de Cirugía General, Hospital Regional "Valentín Gómez Farías", Jalisco, Zapopan, México.

2 Departamento de Cirugía Torácica, Hospital Regional "Valentín Gómez Farías", Jalisco, Zapopan, México.

3 Departamento de Cirugía Ortopédica, Hospital Lomas Verdes, Naucalpan de Juárez, Estado de México, México.

4 Departamento de Medicina, Universidad Autónoma de Guadalajara, Guadalajara, Jalisco, México.



CORRESPONDENCIA

Marian Eliza Izaguirre Pérez. E-mail: marian_eliza@hotmail.es




Recibido: 14/11/2021. Aceptado: 09/02/2022

Figura 1
Figura 2

2020     |     www.medigraphic.com

Mi perfil

C?MO CITAR (Vancouver)

Rev Mex Cir Torac Gen. 2021;2

ARTíCULOS SIMILARES

CARGANDO ...