medigraphic.com
ENGLISH

Medicina Crítica

  • Mostrar índice
  • Números disponibles
  • Información
    • Información general        
    • Directorio
  • Publicar
    • Instrucciones para autores        
  • Políticas
  • Lineamientos
  • medigraphic.com
    • Inicio
    • Índice de revistas            
    • Registro / Acceso
  • Mi perfil

2022, Número 6

<< Anterior Siguiente >>

Med Crit 2022; 36 (6)


Perforación intestinal causada por COVID-19

Trejo-Rosas, Saúl1; Méndez-de Jesús, Ignacio Alberto1; Sanabria-Cordero, David1; Damián Flores, Sonia1; García Román, María Teresa Arizbeth1; Quiroz-Camacho, Dulce Mariana2
Texto completo Cómo citar este artículo 10.35366/107463

DOI

DOI: 10.35366/107463
URL: https://dx.doi.org/10.35366/107463
Artículos similares

Idioma: Español
Referencias bibliográficas: 8
Paginas: 393-396
Archivo PDF: 332.86 Kb.


PALABRAS CLAVE

COVID-19, SARS-CoV-2, ACE-2 (enzima convertidora de angiotensina-2).

RESUMEN

A medida que la pandemia por el virus SARS-CoV-2 se propaga por todo el mundo, se informan nuevas manifestaciones clínicas. Además de las manifestaciones respiratorias, se han descrito lesión renal aguda, hipercoagulabilidad, tromboembolia pulmonar y síntomas gastrointestinales. En el Hospital de Infectología del Centro Médico Nacional La Raza, en la Unidad de Cuidados Intensivos se han atendido 148 pacientes de noviembre de 2020 a noviembre de 2021 por COVID-19 de severo a crítico. Presentamos un caso de paciente con SARS-CoV-2 con perforación intestinal por congestión vascular a nivel del ciego por COVID-19 crítico.



INTRODUCCIóN

En diciembre de 2019, surgió una neumonía viral en la ciudad de Wuhan, ubicada en la provincia china de Hubei.1 El agente causal de esta enfermedad se identificó posteriormente como un nuevo coronavirus que tiene un 80% de similitud con el coronavirus del síndrome respiratorio (SARS-CoV) detectado en 2013.2 El patógeno de esta enfermedad fue confirmado por métodos de biología molecular como un nuevo coronavirus, el 7 de enero de 2020.3 Esta enfermedad respiratoria se propagó rápidamente a otras partes de China, cruzando fronteras internacionales para propagarse en diferentes partes del mundo por un corto período. Posteriormente, la enfermedad se denominó COVID-19 y el virus que la causó se denominó SARS-CoV-2. El 11 de marzo de 2020, la OMS declaró la pandemia y el COVID-19 surgió como una emergencia sanitaria mundial.4

Entre las manifestaciones más frecuentes se reportan síntomas respiratorios y fiebre en la mayoría de los pacientes que debutan con COVID-19. Sin embargo, existen estudios que han demostrado que las manifestaciones extrapulmonares como gastrointestinales, neurológicas, cardiacas y renales no son infrecuentes. Los síntomas gastrointestinales pueden desarrollarse a partir de la infección por SARS-CoV-2 hasta en el 50% de los casos, a veces incluso antes de los síntomas respiratorios.5 El virus ha sido aislado de muestras de heces y el mecanismo confirmado de entrada en las células gastrointestinales es el receptor de la enzima convertidora de angiotensina 2 (ACE-2).6 Xiao et al informaron abundante expresión del receptor ACE-2 en células glandulares del epitelio gástrico, duodenal y rectal mediante inmunofluorescencia.7

La infección por SARS-CoV-2 causa coagulopatía y se ha demostrado hipercoagulabilidad en pacientes críticos, la trombosis secundaria a un estado de hipercoagulación puede conducir tanto a una embolia pulmonar como a una isquemia intestinal.8 Presentamos el caso clínico de un paciente masculino de 57 años de edad que presentó perforación intestinal a nivel de ciego que evolucionó a choque séptico secundario a infección por SARS-CoV-2.



PRESENTACIóN DEL CASO

El 18 de septiembre de 2021 ingresó paciente masculino de 57 años por fiebre, tos, cefalea, mialgias y artralgias de 10 días de evolución, a su ingreso se agrega disnea acompañada de disminución de la saturación por oximetría de pulso hasta 65% al aire ambiente, posterior a la administración de oxígeno suplementario con mascarilla reservorio a 10 litros mejora la saturación a 93%. Su historia clínica niega enfermedades crónico-degenerativas, quirúrgicos y alergia a medicamentos. La PCR (reacción en cadena de la polimerasa) en tiempo real de frotis nasofaríngea dio positiva para SARS-CoV-2, y una radiografía de tórax que muestra múltiples opacidades bilaterales en vidrio deslustrado (Figura 1). El 1 de octubre presentó dolor abdominal generalizado de predominio en marco cólico acompañado de evacuaciones diarreicas, por lo que se procede a tomar radiografía simple de abdomen en bipedestación (Figura 1), se descartó infección por Clostridium difficile. Por datos de abdomen agudo se realiza tomografía de abdomen simple y contrastada, reportando colección adyacente a ciego y colon ascendente, volumen de 288 mL, líquido libre en cavidad peritoneal y derrame pleural bilateral con atelectasias pasivas (Figura 2). Por lo anterior, ingresa a quirófano el día 4 de octubre encontrando plastrón en colon ascendente con dos perforaciones de aproximadamente 1 cm en ciego; se realizó hemicolectomía derecha e ileostomía tipo Brooke. Al finalizar el acto quirúrgico el paciente requiere de ventilación mecánica y vasopresores de tipo norepinefrina a dosis de 0.2 μg/kg/minuto, por lo que ingresa a la unidad de cuidados intensivos (UCI). Durante su estancia en la UCI, el tratamiento administrado fue piperacilina-tazobactam, dexametasona, heparina de bajo peso molecular y sedación con midazolam. A su ingreso se reportan los siguientes laboratorios: leucocitos 9.1 103/µL, neutrófilos 6,700 103/µL, linfocitos 1,180 103/µL, hemoglobina 13.8 g/dL, hematocrito 45.8%, plaquetas 248 103/µL, creatinina 0.61 mg/dL, urea 26 mg/dL, ferritina 1,675 ng/mL, procalcitonina 2.41 ng/mL, dímero D 2,196 ng/mL.

Su cuadro clínico fue mejorando progresivamente, se procede al retiro de la ventilación mecánica el 6 de octubre y egreso a piso de infectología el día 8 de octubre para continuar su tratamiento.

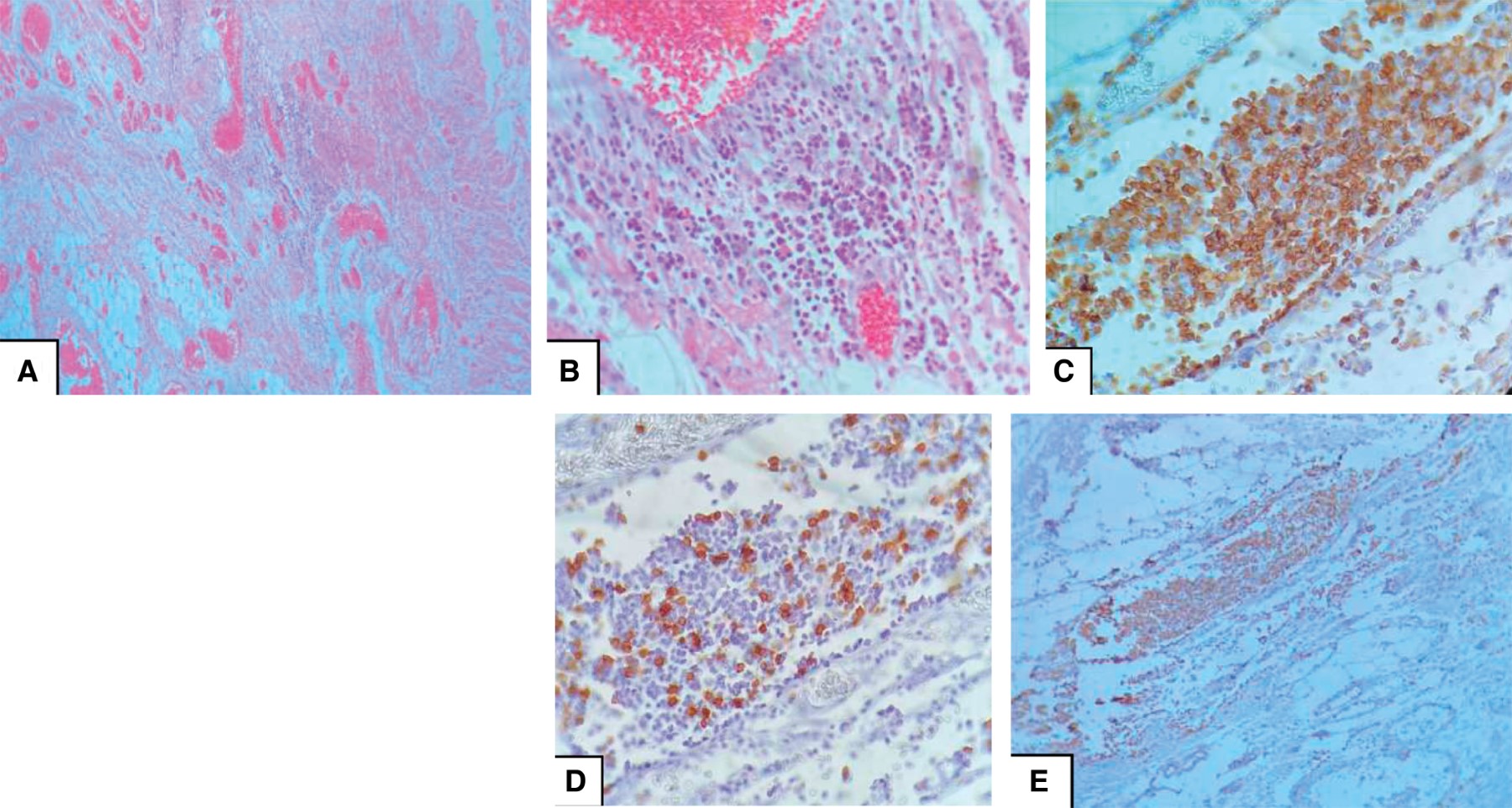
Se envía la muestra quirúrgica a patología reportando segmento de intestino compuesto por íleon, ciego, colon ascendente y apéndice cecal, peritonitis aguda fibrinopurulenta con paniculitis mixta y congestión vascular con infiltrado inflamatorio polimorfo, ileítis y colitis con hiperplasia folicular del tejido linfoide, apéndice con congestión vascular de la serosa, negativo para proceso neoplásico o enfermedad diverticular.

Marcadores de inmunohistoquímica: patrón reactivo de CD3, CD4, CD8, CD79a, CD138 (Figura 3).



DISCUSIóN

Dentro de las manifestaciones más frecuentes en pacientes que inician con COVID-19 se establecen síntomas respiratorios y fiebre. Sin embargo, existen estudios que han demostrado que las manifestaciones extrapulmonares como gastrointestinales, neurológicas, cardiacas y renales no son tan infrecuentes. Las complicaciones intestinales en los pacientes graves hospitalizados por SARS-CoV-2 suponen una incidencia de 1.1% con un riesgo relativo de muerte de 4.97%.1

A medida que se acumula evidencia de la literatura, quedó claro que también se pueden observar varios síntomas gastrointestinales. El estudio de Zhang J y colaboradores informan que las manifestaciones gastrointestinales en COVID-19 se presentaron en 50% de los casos, que incluyen síntomas como náuseas (17.3%), diarrea (12.9%), anorexia (12.2%), dolor abdominal (5.8%), eructos (5%) y emesis (5%).2 Existe la hipótesis de que el virus puede sobrerregular la expresión de receptores de ECA-2 (enzima convertidora de angiotensina II), lo cual permite mayor penetración del virus a las células digestivas. Existe el eje intestino-pulmón, que al modificar y alterar la composición de la microbiota, interactúa con el sistema inmunológico de la mucosa intestinal propiciando un aumento en la producción de citocinas, con endoteliopatía, caracterizado por sobreexpresión de los factores de coagulación, congestión vascular, estasis, hipoxia local y mayor infiltrado inflamatorio con gran reclutamiento de células CD4, CD8, neutrófilos y Th2 con mayor producción de IgE, lo cual propicia el proceso de lesión a nivel pulmonar y gastrointestinal.3-6

Todos estos mecanismos pueden inducir a trombosis mesentérica, lo cual puede contribuir a la isquemia intestinal y posterior choque. Las perforaciones espontáneas parecen ocurrir predominantemente en el ciego o en el yeyuno proximal. Hay reportes que describen un cambio de coloración irregular amarillento en la serosa intestinal de las lesiones isquémicas, diferente del usual color morado o negro del intestino necrótico.7,8

En el caso aquí descrito se observó una sobredistensión aguda de todo el colon sin obstrucción distal mecánica. Aunque se desconoce la fisiopatología de este evento, el reporte histopatológico describe la serosa de un aspecto café grisáceo liso y brillante a excepción de la porción perforada que corresponde al ciego y colon ascendente, donde cambia a una textura granular y con placas amarillentas. El mesocolon sin presentar perforación, pero también con aspecto amarillento con áreas café rojizas de aspecto hemorrágico.

Dentro de las principales limitaciones de nuestro reporte, hay que mencionar que no fue posible contar con el estudio de inmunofluorescencia que mostrara la expresión de la ACE-2 como sitio de unión al SARS-CoV-2, la cual suele ser expresada abundantemente en las células glandulares de los epitelios gástrico duodenal y rectal; no contamos con la detección de ARN de SARS-CoV-2 a nivel celular o la tinción intracelular de la proteína de la nucleocápside viral ni hubo la forma de conocer la carga viral del paciente al ingreso hospitalario.

Sin embargo, podemos demostrar una PCR positiva y que el paciente sí presentó elevación de ferritina en 1,675 ng/dL, dímero D 2,196 ng/mL. En el estudio histopatológico reveló congestión vascular con infiltrado inflamatorio de predominio linfocito, en los marcadores inmunohistoquímicos reportó patrón reactivo CD3, CD4, CD8, CD138, CD79a, Por lo anterior, es un fuerte marcador de severidad y de progresión de la enfermedad por SARS-CoV-2.



CONCLUSIONES

Dado que se trata de una enfermedad nueva cuyas manifestaciones clínicas también son extrapulmonares, estamos descubriendo posibles expresiones atípicas de la infección y sus complicaciones. En este caso reportado, destaca la necesidad de estar atentos a los síntomas gastrointestinales en pacientes COVID-19 positivo para un diagnóstico precoz y prevenir complicaciones.


REFERENCIAS (EN ESTE ARTÍCULO)

  1. De Nardi P, Parolini DC, Ripa M, Racca S, Rosati R. Bowel perforation in a Covid-19 patient: case report. Int J Colorectal Dis. 2020;35(9):1797-1800. doi: 10.1007/s00384-020-03627-6.

  2. Zhang J, Dong X, Cao Y, Yuan Y, Yang Y, Yan Y, et al. Clinical characteristics of 140 patients infected with SARS-CoV-2 in Wuhan, China. Allergy. 2020;75(7):1730-1741.

  3. Ren B, Yan F, Deng Z, Zhang S, Xiao L, Wu M, et al. Extremely high incidence of lower extremity deep venous thrombosis in 48 patients with severe COVID-19 in Wuhan. Circulation. 2020;142:181-183.

  4. Spiezia L, Boscolo A, Poletto F, Cerruti L, Tiberio I, Campello E, et al. COVID-19-related severe hypercoagulability in patients admitted to intensive care unit for acute respiratory failure. Thromb Haemost. 2020;120(6):998-1000.

  5. Tay MZ, Poh CM, Rénia L, MacAry PA, Ng LFP. The trinity of COVID-19: immunity, inflammation and intervention. Nat Rev Immunol. 2020;20(6):363-374.

  6. Zhang Y, Cao W, Xiao M, Li YJ, Yang Y, Zhao J, et al. Clinical and coagulation characteristics of 7 patients with critical COVID-2019 pneumonia and acro-ischemia. Zhonghua Xue Ye Xue Za Zhi. 2020;41(0):E006.

  7. Nahas SC, Meira-Júnior JD, Sobrado LF, Sorbello M, Segatelli V, Abdala E, et al. Intestinal perforation caused by COVID-19. Arq Bras Cir Dig. 2020;33(2):e1515. doi: 10.1590/0102-672020190001e1515.

  8. Fan BE, Chang CCR, Teo CHY, Yap ES. COVID-19 coagulopathy with superior mesenteric vein thrombosis complicated by an ischaemic bowel. Hamostaseologie. 2020;40(5):592-593. doi: 10.1055/a-1232-7446.



AFILIACIONES

1 Unidad Médica de Alta Especialidad, Hospital de Infectología "Dr. Daniel Méndez Hernández". Instituto Mexicano del Seguro Social, Centro Médico Nacional "La Raza".

2 Unidad Médica de Alta Especialidad, Hospital de Especialidades "Dr. Antonio Fraga Mouret". Instituto Mexicano del Seguro Social, Centro Médico Nacional "La Raza".



CORRESPONDENCIA

Ignacio Alberto Méndez-de Jesús. E-mail: ignacio.mendez.300@hotmail.com




Recibido: 28/12/2021. Aceptado: 18/03/2022.







Figura 1
Figura 2
Figura 3

2020     |     www.medigraphic.com

Mi perfil

C?MO CITAR (Vancouver)

Med Crit. 2022;36

ARTíCULOS SIMILARES

CARGANDO ...