medigraphic.com
ENGLISH

Revista Mexicana de Pediatría

ISSN 0035-0052 (Impreso)
  • Mostrar índice
  • Números disponibles
  • Información
    • Información general        
    • Directorio
  • Publicar
    • Instrucciones para autores        
    • Envío de artículos
  • medigraphic.com
    • Inicio
    • Índice de revistas            
    • Registro / Acceso
  • Mi perfil

2022, Número 2

<< Anterior Siguiente >>

Rev Mex Pediatr 2022; 89 (2)


Hepatitis de células gigantes con anemia hemolítica autoinmune

Vásconez-Muñoz, Fabián1; Hernandez-Almeida, Pamela1; Sandoval-Carrión, Gonzalo2; Vásconez-Montalvo, Andrea3; Flores-Santy, Karina3
Texto completo Cómo citar este artículo 10.35366/107501

DOI

DOI: 10.35366/107501
URL: https://dx.doi.org/10.35366/107501
Artículos similares

Idioma: Español
Referencias bibliográficas: 12
Paginas: 68-71
Archivo PDF: 233.22 Kb.


PALABRAS CLAVE

hepatitis de células gigantes, anemia hemolítica autoinmune, azatioprina, corticoides, hiperbilirrubinemia.

RESUMEN

Introducción: la hepatitis de células gigantes con anemia hemolítica autoinmune (HCG-AHAI) es una condición rara y grave que se presenta por lo regular en el primer año de vida. No hay una prueba diagnóstica específica. Se caracteriza histológicamente por una transformación de los hepatocitos en células gigantes. Presentación del caso: paciente masculino que a la edad de 45 días de vida inicia con ictericia, palidez y hepatomegalia. Se evidenció leucocitosis, anemia normocítica con Coombs directo positivo, así como de elevación de bilirrubinas, lactato deshidrogenasa y transaminasas. Serología negativa para sífilis, toxoplasma, rubéola, citomegalovirus y herpes simple. El diagnóstico se estableció por hallazgos histopatológicos en biopsia hepática, más anemia hemolítica. El paciente fue tratado con esteroides y azatioprina. Hasta la edad de ocho años, se ha mantenido con evolución satisfactoria sin recaídas, y con mejoría del patrón histopatológico. Conclusiones: la HCG-AHAI es una enfermedad grave que debe sospecharse en lactantes con anemia hemolítica, más datos de hepatitis aguda después de descartar otras causas de hepatitis.



INTRODUCCIóN

La hepatitis de células gigantes con anemia hemolítica autoinmune (HCG-AHAI) es una enfermedad poco frecuente de la infancia; fue reportada por primera vez en 1981 por Bernard y colaboradores.1 Desde entonces, alrededor de 100 casos se han descrito alrededor del mundo.2

El diagnóstico de HCG-AHAI se confirma por la presencia de anemia hemolítica autoinmune con Coombs directo positivo y enfermedad hepática progresiva, con transformación de los hepatocitos en células gigantes.3 Se desconoce su fisiopatología, pero se considera que existe autoinmunidad mediada por las células B.4 Para el tratamiento, los inmunosupresores (prednisona y azatioprina) proporcionan una adecuada respuesta inicial en la mayoría de los pacientes; no obstante, pueden ocurrir recaídas.5 Sin embargo, se considera que esta entidad es grave, ya que los pacientes tienen una evolución posiblemente letal a pesar del diagnóstico y tratamiento oportuno;3 la tasa de mortalidad puede llegar hasta 30%.2

Presentamos el caso de un niño diagnosticado de HCG-AHAI a los dos meses de edad, quien presentó una adecuada respuesta al tratamiento inmunosupresor.



PRESENTACIóN DEL CASO

Lactante masculino, hijo de padres no consanguíneos, sin historia perinatal de importancia. Como antecedente personal importante, el paciente requirió fototerapia y exanguinotransfusión por hiperbilirrubinemia neonatal secundaria a incompatibilidad ABO, pero fue dado de alta tras su resolución.

El padecimiento se inició a los 45 días de vida, con la presencia de ictericia, pero sin coluria, por lo que en una unidad médica de primer nivel de atención se realiza ecografía de abdomen evidenciándose un hígado de tamaño normal con vía biliar extrahepática normal, mientras que los exámenes de laboratorio mostraron: leucocitos de 11,380 cel/mL, plaquetas 410,000 cel/mL; hemoglobina 6.4 mg/dL; Coombs directo: positivo; bilirrubina total: 6.3 mg/dL; bilirrubina directa: 5.19 mg/dL; transaminasa glutámico-oxalacética 187 U/I; transaminasa glutámico-pirúvica oxalacética: 58 U/I; gamma-glutamil tranfersa: 217 U/I; fosfatasa alcalina: 701 UI/L; tiempo protrombina: 2"; tiempo parcial de tromboplastina: 37", serología negativa para sífilis, toxoplasma, rubéola, citomegalovirus y herpes simple. Con estos hallazgos se sospechó de anemia hemolítica más colestasis intrahepática, por lo que recibió tratamiento con metilprednisolona a dosis bajas, ácido ursodesoxicólico y fenobarbital. Sin embargo, dado que no se observó una adecuada evolución, se decide enviarlo a Gastroenterología Pediátrica del Hospital Metropolitano de Quito.

En su primera evaluación en este servicio, el paciente tenía un peso de 5,200 g y talla de 58 cm, asimismo se identificó ictericia, palidez generalizada, hepatomegalia de consistencia blanda a 4 cm del reborde costal, sin esplenomegalia.

Se solicitaron nuevos exámenes de laboratorio, y como se muestra en la Tabla 1, se encontró leucocitosis, sin trombocitosis, anemia normocítica y normocrómica, Coombs directo positivo, elevación de bilirrubina directa y de aminotransferasas.

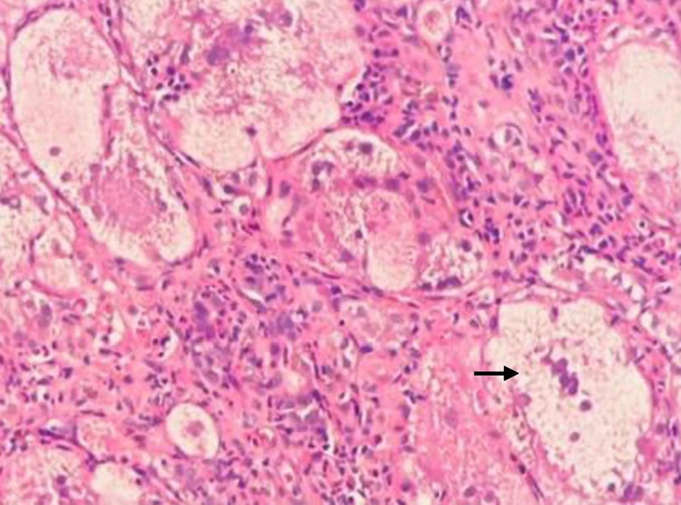
En el análisis del caso se descartó colestasis de origen extrahepática así como hepatitis de etiología infecciosa, las cuales son las principales causas de colestasis en este grupo de edad, por lo que se procedió a realizar biopsia hepática percutánea. En el estudio histopatológico se reportó: transformación de hepatocitos a células gigantes multinucleadas, incremento de trama fibrosa con necrosis y formación de puentes (Figura 1). Con estos resultados, junto con los exámenes de laboratorio, se concluyó que se trataba de HCG-AHAI.

Se inició tratamiento con prednisona a 2 mg/kg/día y azatioprina a 2 mg/kg/día. En la Tabla 1 también se describe la evolución de los exámenes de laboratorio hasta los dos años de edad. Como se muestra, aproximadamente al mes de iniciado el tratamiento, se evidenció mejoría tanto clínica como en los exámenes de laboratorio, por lo que se mantuvo este tratamiento. A los tres meses de edad, el Coombs directo fue negativo y la hemoglobina ya era normal, mientras que a los cuatro meses desapareció la ictericia, y para los seis meses ya no había hepatomegalia. A la edad de dos años, debido a que permanecía asintomático y con exámenes de laboratorio normales, se suspenden los corticoides.

A los cinco años seis meses se realizó control de biopsia hepática, cuyos hallazgos histopatológicos fueron: tejido conectivo-fibroso que amplía los tractos portales sin llegar a formar puentes, mínima fibrosis perivenular centrolobulillar y hepatocitos normales (Figura 2); mientras que a los ocho años, el paciente continúa con azatioprina, se mantiene asintomático y con exámenes de laboratorio normales. La elastografía hepática reportó fibrosis hepática mínima (escala METAVIR F1).



DISCUSIóN

La HCG-AHAI es una patología grave, progresiva y poco frecuente que se presenta principalmente en lactantes. Se caracteriza por la asociación de una lesión hepática aguda con transformación difusa de los hepatocitos en células gigantes, más anemia hemolítica.6

Su fisiopatología se desconoce, aunque se ha propuesto que sea autoinmune, basado en su asociación con otras enfermedades autoinmunes y buena respuesta al tratamiento inmunosupresor.7 En cinco de los 16 pacientes reportados por Maggiore y colaboradores se documentaron antecedentes familiares de autoinmunidad;8 sin embargo, en nuestro paciente no hubo este antecedente.

La HCG-AHAI se presenta después del periodo neonatal, por lo regular entre el primer y cuarto año de vida, afectando por igual a ambos sexos.3 Suele iniciar de forma aguda con anemia, y en aproximadamente la mitad de los pacientes se asocia con datos clínicos de enfermedad hepática aguda. A menudo se inicia sólo como cuadro de AHAI aislada.9 El paciente que presentamos inició antes de los dos meses con anemia hemolítica (por Coombs positivo) junto con enfermedad hepática.

Similar a nuestro paciente, en los casos previos reportados se informa que en el laboratorio se observa anemia normocítica, recuento alto de reticulocitos y prueba de Coombs directa positiva, además puede haber leucocitosis y trombocitosis leve o trombocitopenia; las aminotransferasas pueden elevarse hasta 200 veces, con gamma-glutamil transferasa levemente elevada e hiperbilirrubinemia directa. Los niveles de gammaglobulinas pueden ser altos o normales.3 Los autoanticuerpos antinucleares, antimúsculo liso, antimicrosomales frente a hígado/riñón sólo son identificables de manera ocasional.4

No se dispone de una prueba de laboratorio específica. El diagnóstico de HCG-AHAI se apoya en el patrón histopatológico caracterizado por transformación generalizada de los hepatocitos en células gigantes, inflamación leve portal y periportal, con infiltrado compuesto predominantemente por neutrófilos polimorfonucleares y macrófagos,3 hallazgos que se correlacionan con el presente caso.

La HCG-AHAI tiene una alta tasa de mortalidad incluso con tratamiento inmunosupresor agresivo. En la primera línea de manejo se incluye azatioprina más prednisona. No se ha establecido la duración de la terapia inmunosupresora, aunque se sugiere que se puede retirar luego de tres a cinco años de remisión persistente y estable, monitoreando las transaminasas séricas.3 En nuestro caso se obtuvo una buena respuesta clínica con tratamiento inmunosupresor de primera línea.

Cuando no hay una adecuada respuesta al tratamiento, se puede optar por ciclosporina, ciclofosfamida, micofenolato de mofetilo, 6-mercaptopurina, tacrolimus, sirolimus, o inmunoglobulina intravenosa.3,10 Recientemente, parece ser que con el uso de terapia biológica con rituximab la mortalidad ha disminuido de 45 a 10%;6 con este tratamiento se evitan los efectos adversos del uso prolongado de esteroides, y se consigue remisión completa.2,11

Se debe considerar que con el tratamiento existe mejoría significativa del componente hematológico, pero el problema hepático se resuelve en alrededor de 50% de los pacientes.6 Por esta razón, el pronóstico sigue siendo incierto, ya que puede haber falta de respuesta al tratamiento y recaídas.12 Las principales causas de mortalidad son insuficiencia hepática, complicaciones del trasplante de hígado y sepsis.3



CONCLUSIONES

La HCG-AHAI es una enfermedad grave que debe sospecharse en lactantes con anemia hemolítica, más datos de hepatitis aguda, después de descartar otras causas de hepatitis. El diagnóstico se confirma por histopatología con hallazgos de células gigantes multinucleadas en la biopsia hepática. El tratamiento es con terapia inmunosupresora, pero el pronóstico puede ser desfavorable y hasta mortal.


REFERENCIAS (EN ESTE ARTÍCULO)

  1. Bernard O, Hadchouel M, Scotto J, Odièvre M, Alagille D. Severe giant cell hepatitis with autoimmune hemolytic anemia in early childhood. J Pediatr. 1981; 99(5): 704-711.

  2. Kim YH, Kim JW, Lee EJ, Kang GH, Kang HJ, Moon JS et al. Successful Treatment of a Korean Infant with Giant Cell Hepatitis with Autoimmune Hemolytic Anemia Using Rituximab. Pediatr Gastroenterol Hepatol Nutr. 2020; 23(2): 180-187.

  3. Nastasio S, Matarazzo L, Sciveres M, Maggiore G. Giant cell hepatitis associated with autoimmune hemolytic anemia: an update. Transl Gastroenterol Hepatol. 2021; 6: 25.

  4. Whitington PF, Vos MB, Bass LM, Melin-Aldana H, Romero R, Roy CC et al. Humoral immune mechanism of liver injury in giant cell hepatitis with autoimmune hemolytic anemia. J Pediatr Gastroenterol Nutr. 2014; 58(1): 74-80.

  5. Cho MH, Park HS, Han HS, Bae SH. Giant cell hepatitis with autoimmune hemolytic anemia in a Korean infant. Pediatr Int. 2016; 58(7): 628-631.

  6. Poddighe D, Madiyeva A, Talipova D, Umirbekova B. Infantile giant cell hepatitis with autoimmune hemolytic anemia. World J Hepatol. 2021; 13(4): 411-420.

  7. Nastasio S, Sciveres M, Maggiore G. Should Giant Cell Hepatitis With Autoimmune Hemolytic Anemia Be Considered a Pediatric Autoimmune Liver Disease? J Pediatr Gastroenterol Nutr. 2018; 66(5): e137.

  8. Maggiore G, Sciveres M, Fabre M, Gori L, Pacifico L, Resti M et al. Giant cell hepatitis with autoimmune hemolytic anemia in early childhood: long-term outcome in 16 children. J Pediatr. 2011; 159(1): 127-132.e1.

  9. Kashyap R, Sarangi JN, Choudhry VP. Autoimmune hemolytic anemia in an infant with giant cell hepatitis. Am J Hematol. 2006; 81(3): 199-201.

  10. Marsalli G, Nastasio S, Sciveres M, Calvo PL, Ramenghi U, Gatti S et al. Efficacy of intravenous immunoglobulin therapy in giant cell hepatitis with autoimmune hemolytic anemia: A multicenter study. Clin Res Hepatol Gastroenterol. 2016; 40(1): 83-89.

  11. Matarazzo L, Di Chio T, Nastasio S, Tommasini A, Ventura A, Maggiore G. B-cell depletion induces prolonged remission in patients with giant cell hepatitis and autoimmune hemolytic anemia. Clin Res Hepatol Gastroenterol. 2020; 44(1): 66-72.

  12. Bakula A, Socha P, Klaudel-Dreszler M, Karolczyk G, Wozniak M, Rutynowska-Pronicka O et al. Giant cell hepatitis with autoimmune hemolytic anemia in children: Proposal for therapeutic approach. J Pediatr Gastroenterol Nutr. 2014; 58(5): 669-673.



AFILIACIONES

1 Servicio de Gastroenterología Pediátrica Hospital Metropolitano

2 Facultad de Ciencias de la Salud, Universidad UTE

3 Departamento de Pediatría Hospital Metropolitano. Quito, Ecuador.



Conflicto de intereses: los autores declaran que no tienen.






Recibido: 17/06/2021. Aceptado: 07/01/2022

Figura 1
Figura 2
Tabla 1

2020     |     www.medigraphic.com

Mi perfil

C?MO CITAR (Vancouver)

Rev Mex Pediatr. 2022;89

ARTíCULOS SIMILARES

CARGANDO ...