medigraphic.com
ENGLISH

Cardiovascular and Metabolic Science

ISSN 2954-3835 (Digital)
ISSN 2683-2828 (Impreso)
Antes Revista Mexicana de Cardiología

Ver Revista Mexicana de Cardiología


  • Mostrar índice
  • Números disponibles
  • Información
    • Información general        
    • Directorio
  • Publicar
    • Instrucciones para autores        
    • Envío de artículos
  • medigraphic.com
    • Inicio
    • Índice de revistas            
    • Registro / Acceso
  • Mi perfil

2022, Número 3

<< Anterior Siguiente >>

Cardiovasc Metab Sci 2022; 33 (3)


Mixoma cardiaco auricular derecho, dos presentaciones diferentes de una misma entidad y hallazgos histopatológicos

Manuel SV, Velázquez-Sotelo CE, Vega-Hernández R, Mejía-Bañuelos RM
Texto completo Cómo citar este artículo 10.35366/107623

DOI

DOI: 10.35366/107623
URL: https://dx.doi.org/10.35366/107623
Artículos similares

Idioma: Inglés [English version]
Referencias bibliográficas: 19
Paginas: 106-112
Archivo PDF: 300.57 Kb.


PALABRAS CLAVE

mixoma, masa auricular, linfoma cutáneo de células T, embolia y hallazgos histopatológicos.

RESUMEN

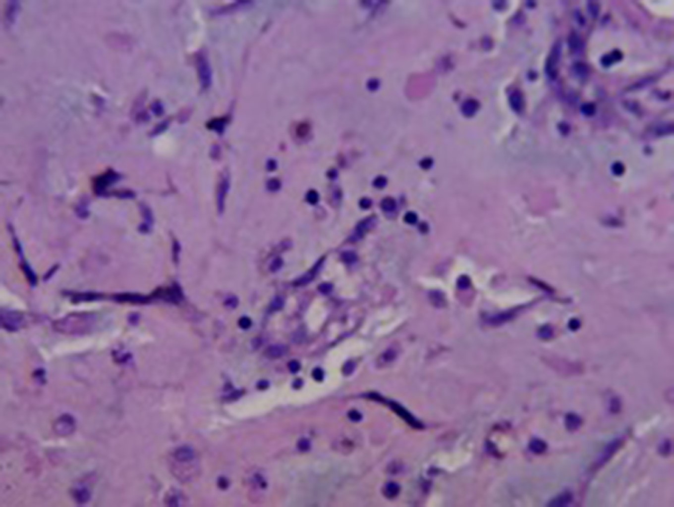
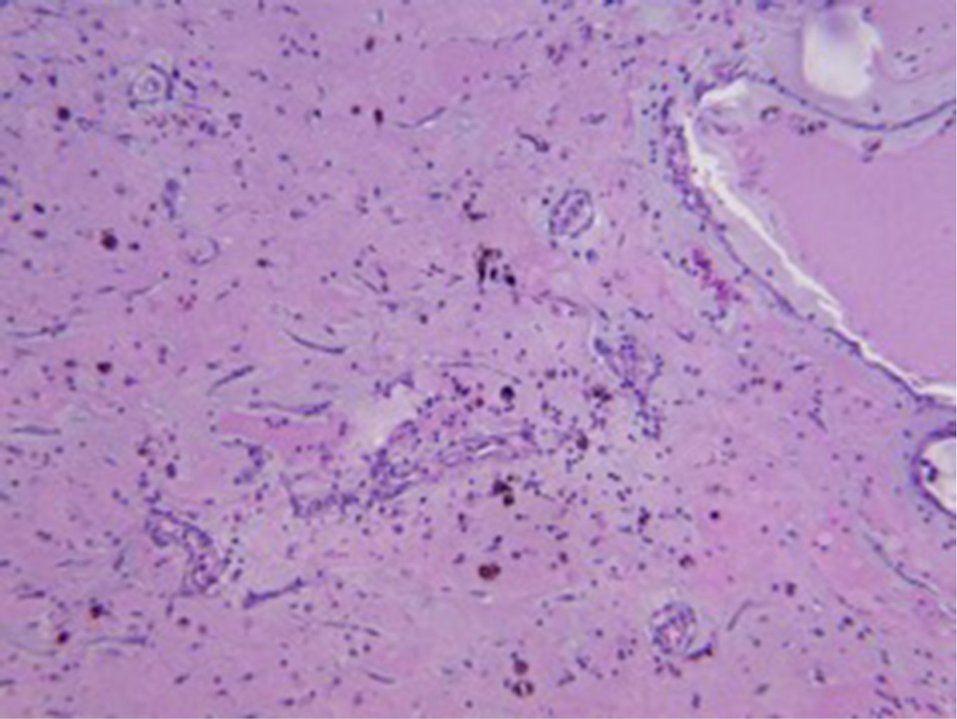
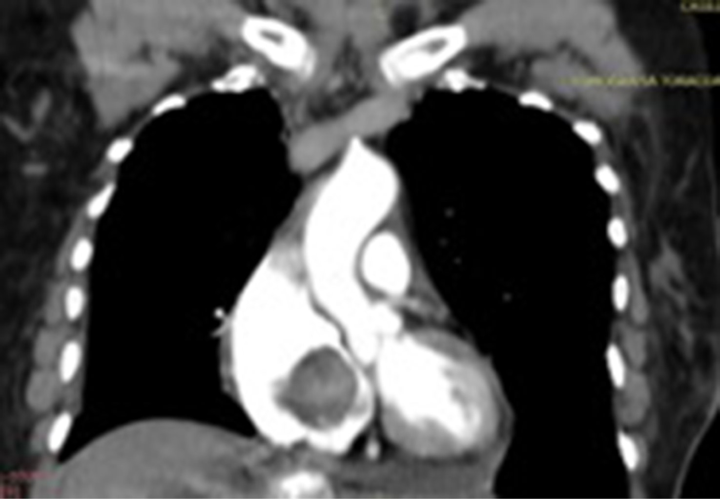
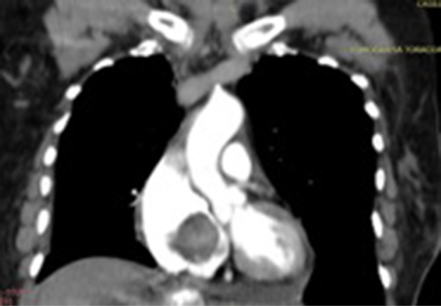
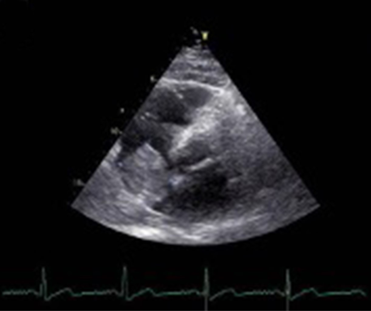
Introducción: los mixomas cardiacos son las neoplasias primarias más frecuentes del corazón. La ubicación más común es la aurícula izquierda (75%), seguido de la aurícula derecha (15-18%) y ventrículo izquierdo. Pueden presentarse con la tríada de síntomas obstructivos, embólicos y constitucionales. Caso 1: varón de 59 años en seguimiento por linfoma cutáneo no Hodgkin de linfocitos T, que padecía disnea progresiva y presentaba una masa localizada en la aurícula derecha. Se realizó resección del tumor y reemplazo de la válvula mitral debido a insuficiencia mitral severa. La histopatología confirmó el diagnóstico de mixoma. Caso 2: mujer de 61 años que consulta por trombosis en vena basílica, cefálica y yugular derecha. Un ecocardiograma mostró una masa cardiaca de 80 × 40 mm en la aurícula derecha. En el informe histopatológico se informó un mixoma cardiaco con el diámetro mayor de 7.5 cm. Fue dada de alta nueve días después de la cirugía. Conclusión: podría haber una presentación inusual de mixoma auricular que ocurra simultáneamente con una neoplasia de diferente linaje. Debe sospecharse mixoma auricular, incluso en ubicaciones inusuales e independientemente de la enfermedad neoplásica concomitante. Los fenómenos embólicos, como la primera presentación, pueden inducir a error; aunque algunos parámetros y puntuaciones pueden ser predictores útiles.


REFERENCIAS (EN ESTE ARTÍCULO)

  1. Yanagawa B, Chan EY, Cusimano RJ, Reardon MJ. Approach to surgery for cardiac tumors: primary simple, primary complex, and secondary. Cardiol Clin. 2019; 37 (4): 525-531.

  2. Lichtenberger JP 3rd, Carter BW, Pavio MA, Biko DM. Cardiac neoplasms: radiologic-pathologic correlation. Radiol Clin North Am. 2021; 59 (2): 231-242.

  3. Guhathakurta S, Riordan JP. Surgical treatment of right atrial myxoma. Tex Heart Inst J. 2000; 27 (1): 61-63.

  4. Aggarwal SK, Barik R, Sarma TC, Iyer VR, Sai V, Mishra J et al. Clinical presentation and investigation findings in cardiac myxomas: new insights from the developing world. Am Heart J. 2007; 154 (6): 1102-1107.

  5. Sanjeev OP, Nath SS, Malviya D, Rajput SS. Right atrial myxoma: unusual location; uncommon association. Ann Card Anaesth. 2018; 21 (4): 437-439.

  6. Gosev I, Paic F, Duric Z, Gosev M, Ivcevic S, Jakus FB et al. Cardiac myxoma the great imitators: comprehensive histopathological and molecular approach. Int J Cardiol. 2013; 164 (1): 7-20.

  7. Yu K, Liu Y, Wang H, Hu S, Long C. Epidemiological and pathological characteristics of cardiac tumors: a clinical study of 242 cases. Interact Cardiovasc Thorac Surg. 2007; 6 (5): 636-639.

  8. Maraj S, Pressman GS, Figueredo VM. Primary cardiac tumors. Int J Cardiol. 2009; 133 (2): 152-156.

  9. Aguilar C, Beltran B, Quiñones P, Carbajal T, Vilcapaza J, Yabar A et al. Large B-cell lymphoma arising in cardiac myxoma or intracardiac fibrinous mass: a localized lymphoma usually associated with Epstein-Barr virus? Cardiovasc Pathol. 2015; 24 (1): 60-64.

  10. Smith M, Chaudhry MA, Lozano P, Humphrey MB. Cardiac myxoma induced paraneoplastic syndromes: a review of the literature. Eur J Intern Med. 2012; 23 (8): 669-673.

  11. Pinede L, Duhaut P, Loire R. Clinical presentation of left atrial cardiac myxoma. A series of 112 consecutive cases. Medicine (Baltimore). 2001; 80 (3): 159-172.

  12. He DK, Zhang YF, Liang Y, Ye SX, Wang C, Kang B et al. Risk factors for embolism in cardiac myxoma: a retrospective analysis. Med Sci Monit. 2015; 21: 1146-1154.

  13. Kalcik M, Bayam E, Güner A, Küp A, Kalkan S, Yesin M et al. Evaluation of the potential predictors of embolism in patients with left atrial myxoma. Echocardiography. 2019; 36 (5): 837-843.

  14. Anagnostopoulos GK, Margantinis G, Kostopoulos P, Papadopoulou G, Roulias A, Sakorafas G et al. Budd-chiari syndrome and portal vein thrombosis due to right atrial myxoma. Ann Thorac Surg. 2004; 78 (1): 333-334.

  15. Anavekar NS, Bonnichsen CR, Foley TA, Morris MF, Martinez MW, Williamson EE et al. Computed tomography of cardiac pseudotumors and neoplasms. Radiol Clin North Am. 2010; 48 (4): 799-816.

  16. Yin L, Wang J, Li W, Ling X, Xue Q, Zhang Y et al. Usefulness of CHA2DS2-VASc scoring systems for predicting risk of perioperative embolism in patients of cardiac myxomas underwent surgical treatment. Sci Rep. 2016; 6: 39323.

  17. Frizell AW, Higgins GL 3rd. Cardiac myxoma as a mimic: a diagnostic challenge. Am J Emerg Med. 2014; 32 (11): 1399-1404.

  18. Wang X, Li Y, Ren W, Yu X, Tan X. Clinical diagnostic value of contrast-enhanced ultrasonography in the diagnosis of cardiac masses: A pilot study. Echocardiography. 2020; 37 (2): 231-238.

  19. Kirkpatrick JN, Wong T, Bednarz JE, Spencer KT, Sugeng L, Ward RP et al. Differential diagnosis of cardiac masses using contrast echocardiographic perfusion imaging. J Am Coll Cardiol. 2004; 43 (8): 1412-1419.




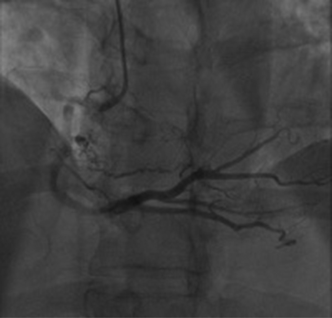
Figura 1
Figura 2
Figura 3
Figura 4
Figura 5
Figura 6
Figura 7
Figura 8

2020     |     www.medigraphic.com

Mi perfil

C?MO CITAR (Vancouver)

Cardiovasc Metab Sci . 2022;33

ARTíCULOS SIMILARES

CARGANDO ...