medigraphic.com
ENGLISH

Cardiovascular and Metabolic Science

ISSN 2954-3835 (Digital)
ISSN 2683-2828 (Impreso)
Antes Revista Mexicana de Cardiología

Ver Revista Mexicana de Cardiología


  • Mostrar índice
  • Números disponibles
  • Información
    • Información general        
    • Directorio
  • Publicar
    • Instrucciones para autores        
    • Envío de artículos
  • medigraphic.com
    • Inicio
    • Índice de revistas            
    • Registro / Acceso
  • Mi perfil

2022, Número 3

<< Anterior Siguiente >>

Cardiovasc Metab Sci 2022; 33 (3)


Miocarditis aguda tras la administración de la vacuna BNT162b2 (Pfizer-BioNTech) contra COVID-19 en un paciente adolescente

López-Martínez SI, Monroy-Sánchez EN, Solís-Reyna RA, Pasos-Caamal MV, Onofre-Castillo JJ
Texto completo Cómo citar este artículo 10.35366/107625

DOI

DOI: 10.35366/107625
URL: https://dx.doi.org/10.35366/107625
Artículos similares

Idioma: Inglés [English version]
Referencias bibliográficas: 20
Paginas: 118-122
Archivo PDF: 279.70 Kb.


PALABRAS CLAVE

covid-19, SARS-CoV-2, vacuna, resonancia magnética, miocarditis, Pfizer-BioNTech.

RESUMEN

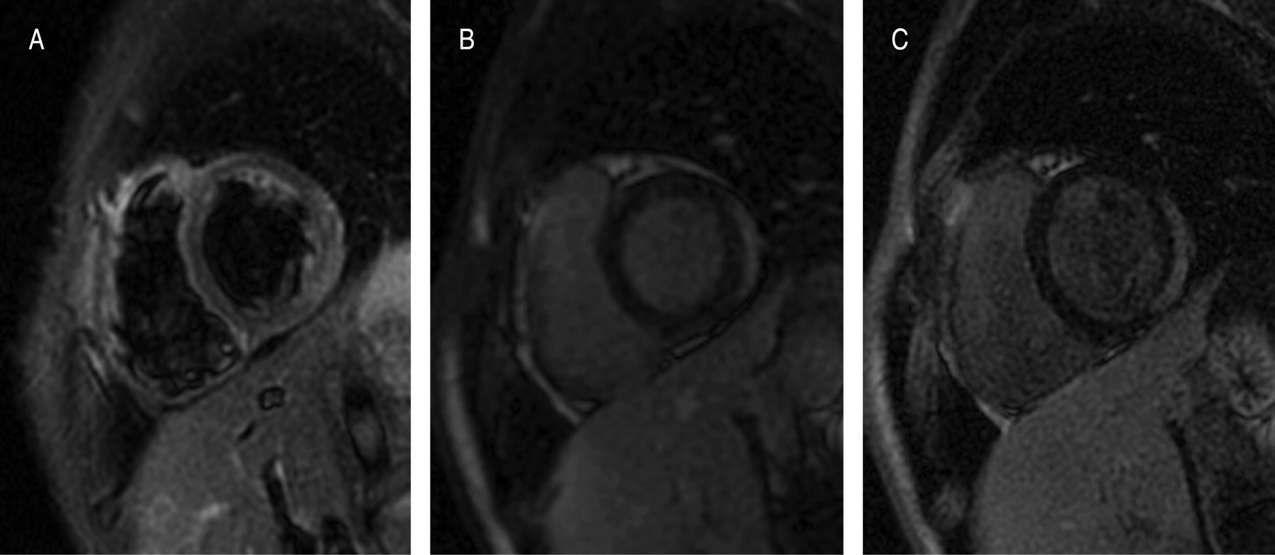
La miocarditis es una condición inflamatoria multifactorial del miocardio. La miocarditis ha sido reconocida recientemente como un evento adverso, en pacientes vacunados contra COVID-19 con Pfizer-BioNTech y Moderna (vacunas de ARNm), principalmente en adolescentes y adultos jóvenes. La resonancia magnética cardiaca (RMC) permite caracterizar el tejido miocárdico y la función cardiaca y se ha convertido en el estándar de oro no-invasivo en pacientes con sospecha de miocarditis aguda. Los autores presentan a un paciente masculino de 16 años con dolor torácico punzante tras la segunda dosis de inmunización contra el SARS-CoV-2 con la vacuna BNT162B2 (Pfizer-BioNTech). El electrocardiograma (ECG) mostró elevación del segmento ST y aumento de los biomarcadores de lesión miocárdica. La angiotomografía (AngioTC) mostró signos sutiles de hipoperfusión miocárdica y disfunción ventricular izquierda. Se realizó RMC con gadolinio, identificando hipocinesia global del ventrículo izquierdo (VI), hiperemia por edema miocárdico y realce tardío de gadolinio (RTG) como evidencia de lesión miocárdica y marcadores de lesión inflamatoria intramiocárdica no-isquémica. Habiendo excluido otras etiologías, se propone que esta presentación de miocarditis aguda sea una reacción adversa asociada a la vacuna BNT162b2 contra COVID-19. Los riesgos a largo plazo de la vacuna contra la COVID-19 en niños, adolescentes y adultos jóvenes aún se desconocen, por lo que será necesario seguir investigando.


REFERENCIAS (EN ESTE ARTÍCULO)

  1. Richardson P, McKenna W, Bristow M, Maisch B, Mautner B, O'Connell J et al. Report of the 1995 World Health Organization/International Society and Federation of Cardiology Task Force on the Definition and Classification of cardiomyopathies. Circulation. 1996 Mar 1; 93 (5): 841-842.

  2. Aretz HT. Myocarditis: the Dallas criteria. Hum Pathol. 1987 Jun; 18 (6): 619-624.

  3. Lampejo T, Durkin SM, Bhatt N, Guttmann O. Acute myocarditis: aetiology, diagnosis and management. Clin Med (Lond). 2021 Sep 1; 21 (5): e505-510.

  4. Sally AH. Viral Myocarditis and Dilated Cardiomyopathy: Etiology and Pathogenesis. Curr Pharm Des. 2016 Jan 31; 22 (4): 408-426.

  5. Gravanis MB, Sternby NH. Incidence of myocarditis. A 10-year autopsy study from Malmö, Sweden. Arch Pathol Lab Med. 1991 Apr; 115 (4): 390-392.

  6. Daniels PR, Berry GJ, Tazelaar HD, Cooper LT. Giant cell myocarditis as a manifestation of drug hypersensitivity. Cardiovasc Pathol. 2000 Oct; 9 (5): 287-291.

  7. Witberg G, Barda N, Hoss S, Richter I, Wiessman M, Aviv Y et al. Myocarditis after Covid-19 Vaccination in a Large Health Care Organization. N Engl J Med. 2021 Dec 2; 385 (23): 2132-2139.

  8. Dionne A, Sperotto F, Chamberlain S, Baker AL, Powell AJ, Prakash A et al. Association of Myocarditis With BNT162b2 Messenger RNA COVID-19 Vaccine in a Case Series of Children. JAMA Cardiol. 2021; E1-5.

  9. Albert E, Aurigemma G, Saucedo J, Gerson DS. Myocarditis following COVID-19 vaccination. Radiol Case Rep. 2021 Aug; 16 (8): 2142-5.

  10. Mas-Stachurska A, Sitges M, Prat-Gonzalez S. Diagnóstico de la miocarditis. Papel de las técnicas de imagen. Cardiocore. 2012 Oct; 47 (4): 143-146.

  11. Liguori C, Farina D, Vaccher F, Ferrandino G, Bellini D, Carbone I. Myocarditis: imaging up to date. Radiol Med. 2020 Nov; 125 (11): 1124-1134.

  12. Luetkens JA, Faron A, Isaak A, Dabir D, Kuetting D, Feisst A, et al. Comparison of Original and 2018 Lake Louise Criteria for Diagnosis of Acute Myocarditis: Results of a Validation Cohort. Radiology: Cardiothoracic Imaging. 2019 Jul 25; 1 (3): 1-8.

  13. CDC. COVID-19 Vaccination. Centers for Disease Control and Prevention. 2020. Available: https: //www.cdc.gov/vaccines/covid-19/covid19-vaccination-guidance.html

  14. Caforio ALP. Receipt of mRNA Vaccine against Covid-19 and Myocarditis. N Engl J Med. 2021 Dec 2; 385 (23): 2189-90.

  15. Marshall M, Ferguson ID, Lewis P, Jaggi P, Gagliardo C, Collins JS, et al. Symptomatic Acute Myocarditis in 7 Adolescents After Pfizer-BioNTech COVID-19 Vaccination. PEDIATRICS. 2021; 148 (3): 1-11.

  16. CDC, CDC. COVID-19 Vaccines for Children & Teens. Centers for Disease Control and Prevention. 2021. Available: https: //www.cdc.gov/coronavirus/2019-ncov/vaccines/recommendations/children-teens.html

  17. Bautista García J, Peña Ortega P, Bonilla Fernández JA, Cárdenes León A, Ramírez Burgos L, Caballero Dorta E. Miocarditis aguda tras administración de vacuna BNT162b2 contra la COVID-19. Rev Esp Cardiol. 2021 Sep 1; 74 (9): 812-814.

  18. Friedrich MG, Sechtem U, Schulz-Menger J, Holmvang G, Alakija P, Cooper LT, et al. Cardiovascular magnetic resonance in myocarditis: A JACC White Paper. J Am Coll Cardiol. 2009 Apr 28; 53 (17): 1475-1487.

  19. Caforio ALP, Pankuweit S, Arbustini E, Basso C, Gimeno-Blanes J, Felix SB, et al. Current state of knowledge on aetiology, diagnosis, management, and therapy of myocarditis: a position statement of the European Society of Cardiology Working Group on Myocardial and Pericardial Diseases. Eur Heart J. 2013 Sep; 34 (33): 2636-48, 2648a-2648d.

  20. Busch JL, Alessio AM, Caldwell JH, Gupta M, Mao S, Kadakia J, et al. Myocardial hypo-enhancement on resting computed tomography angiography images accurately identifies myocardial hypoperfusion. Journal of Cardiovascular Computed Tomography. 2011 Nov; 5 (6): 412-420.




Figura 1
Figura 2
Figura 3

2020     |     www.medigraphic.com

Mi perfil

C?MO CITAR (Vancouver)

Cardiovasc Metab Sci . 2022;33

ARTíCULOS SIMILARES

CARGANDO ...