medigraphic.com
ENGLISH

Cirugía Plástica

ISSN 2992-8559 (Digital)
ISSN 1405-0625 (Impreso)
  • Mostrar índice
  • Números disponibles
  • Información
    • Información general        
    • Directorio
  • Publicar
    • Instrucciones para autores        
    • Envío de artículos
  • Políticas
    • Políticas éticas
    • Políticas de acceso abierto
    • Políticas de revisión de manuscritos
    • Políticas editoriales generales
  • medigraphic.com
    • Inicio
    • Índice de revistas            
    • Registro / Acceso
  • Mi perfil

2022, Número 2

<< Anterior

Cir Plast 2022; 32 (2)


Colgajo local de patrón aleatorio para cobertura de resección de liposarcoma de tejidos blandos de extremidad superior

Barajas-Puga, Julio Ángel1; Lira-Álvarez, Elia Aída1; López-Giacoman, Claudio2; Sánchez-Martínez, Marco Antonio3
Texto completo Cómo citar este artículo 10.35366/107769

DOI

DOI: 10.35366/107769
URL: https://dx.doi.org/10.35366/107769
Artículos similares

Idioma: Español
Referencias bibliográficas: 26
Paginas: 104-108
Archivo PDF: 342.15 Kb.


PALABRAS CLAVE

colgajo de patrón aleatorio, liposarcoma, miembro superior.

RESUMEN

Los sarcomas de tejidos blandos son raras formas de cáncer, cerca del 15% de los sarcomas crecen en las extremidades superiores y de éstos, el liposarcoma ha sido vinculado a mutaciones del gen p53 y MDM2. Las estrategias de tratamiento se basan en la escisión quirúrgica amplia con enfoque en salvar la extremidad, reservando la amputación para los casos avanzados. La reconstrucción de defectos de la extremidad superior es una tarea desafiante para el cirujano plástico. Los colgajos locales de patrón aleatorio son opciones reconstructivas. El colgajo de perforantes de la arteria toracodorsal y toracolateral contiene piel sin músculo y se basa en sus perforantes; se usa en defectos del tronco, la axila, el brazo proximal y reconstrucción locorregional sin lesionar ningún músculo. Presentamos el caso de un hombre de 47 años con una lesión tumoral en brazo izquierdo de 14 × 10 cm, que fue sometido a resección oncológica y reconstrucción con un colgajo local fasciocutáneo de patrón aleatorio, dependiente de perforantes de la arteria toracodorsal y toracolateral con diagnóstico histológico de liposarcoma. La evolución postoperatoria fue satisfactoria, no se observó recurrencia durante el periodo de seguimiento y el rango de movimiento regresó al normal. Concluimos que la cirugía reconstructiva de la extremidad superior es muy desafiante por la poca viabilidad de los tejidos locales. El colgajo local de patrón aleatorio basado en perforantes de las arterias toracodorsal y toracolateral es versátil, de utilidad para sarcomas de tejidos blandos de extremidad superior. Un trabajo de equipo multidisciplinario es posible para salvar la extremidad. El colgajo local de patrón aleatorio puede ser una opción y un arma en el arsenal reconstructivo.



INTRODUCCIóN

Los sarcomas de tejidos blandos son raras formas de cáncer que pueden presentarse en las extremidades.1,2 Aproximadamente 15% de los sarcomas crecen en las extremidades superiores.3-6 El liposarcoma ha sido vinculado a una serie de errores genéticos; el más común son mutaciones del gen p53.7 Las mutaciones de MDM2 se han implicado en la patogenia del liposarcoma debido a la inhibición de p53.8 Las estrategias de tratamiento estándar se basan en la escisión quirúrgica amplia enfocada en salvar la extremidad, reservando la amputación para los casos avanzados.9 Se requiere un acceso multimodal que integre la cirugía oncológica y la cirugía reconstructiva, además de la integración de quimioterapia y radioterapia. Con todo esto se obtiene el mejor resultado en supervivencia libre de enfermedad, y se salva la extremidad con buenos resultados funcionales.10 Esto se logra en gran parte por la habilidad de proveer una duradera y eficaz cobertura de la herida posterior a la cirugía de resección.

Los colgajos locales de patrón aleatorio son opciones reconstructivas para los defectos cutáneos. Dentro de este grupo se incluyen los colgajos de avance y los colgajos de rotación.11 La supervivencia de un colgajo depende del suministro de sangre oxigenada a los bordes del mismo. La perfusión de sangre a través de los plexos vasculares disminuye a medida que aumenta la distancia desde la arteria o arteriola de alimentación. Las porciones de un colgajo más vulnerables a la necrosis son la punta distal, ya que tiene menos vasos sanguíneos para nutrirlo y está más distante de la arteria o arteriola de alimentación y de la porción del colgajo suturada, ya que la tensión del cierre da como resultado fuerzas de compresión en los vasos sanguíneos.12

El sistema toracodorsal y torácico lateral ha proporcionado colgajos durante la evolución de la cirugía reconstructiva. Varios artículos presentan colgajos de la zona.13 El suministro vascular de estos colgajos se ha definido como arteria torácica lateral, o perforantes de esta arteria; es una de las ramas de la arteria axilar, además, contribuye a la circulación de la mama y la región torácica lateral.14 Sus perforantes conectan con las del sistema toracodorsal y los vasos intercostales posteriores. Las perforantes de esta arteria suelen estar situadas en el borde anteroinferior de la axila, lateral al músculo pectoral mayor.15 El tamaño del colgajo es bastante grande, acercándose a 15 × 12 cm, suficiente para reconstruir la mayoría de los defectos en la axila y áreas circundantes. Tiene la capacidad de rotar 180 grados.16 El colgajo de perforantes de la arteria toracodorsal contiene piel sin músculo y se basa en las perforantes musculocutáneas o las perforantes cutáneas directas de la arteria y vena toracodorsal.17 El colgajo de perforantes del sistema toracodorsal y torácico lateral se usa en defectos del tronco, axila, brazo proximal y en reconstrucción locorregional sin lesionar ningún músculo.18 La ubicación y distribución de estas perforantes hacen de este colgajo una opción considerable. Presentamos el caso de un paciente sometido a resección de liposarcoma de la extremidad superior, con cobertura cutánea usando un colgajo local de patrón aleatorio con inclusión de vasos perforantes de la arteria toracodorsal y toracolateral.



CASO CLíNICO

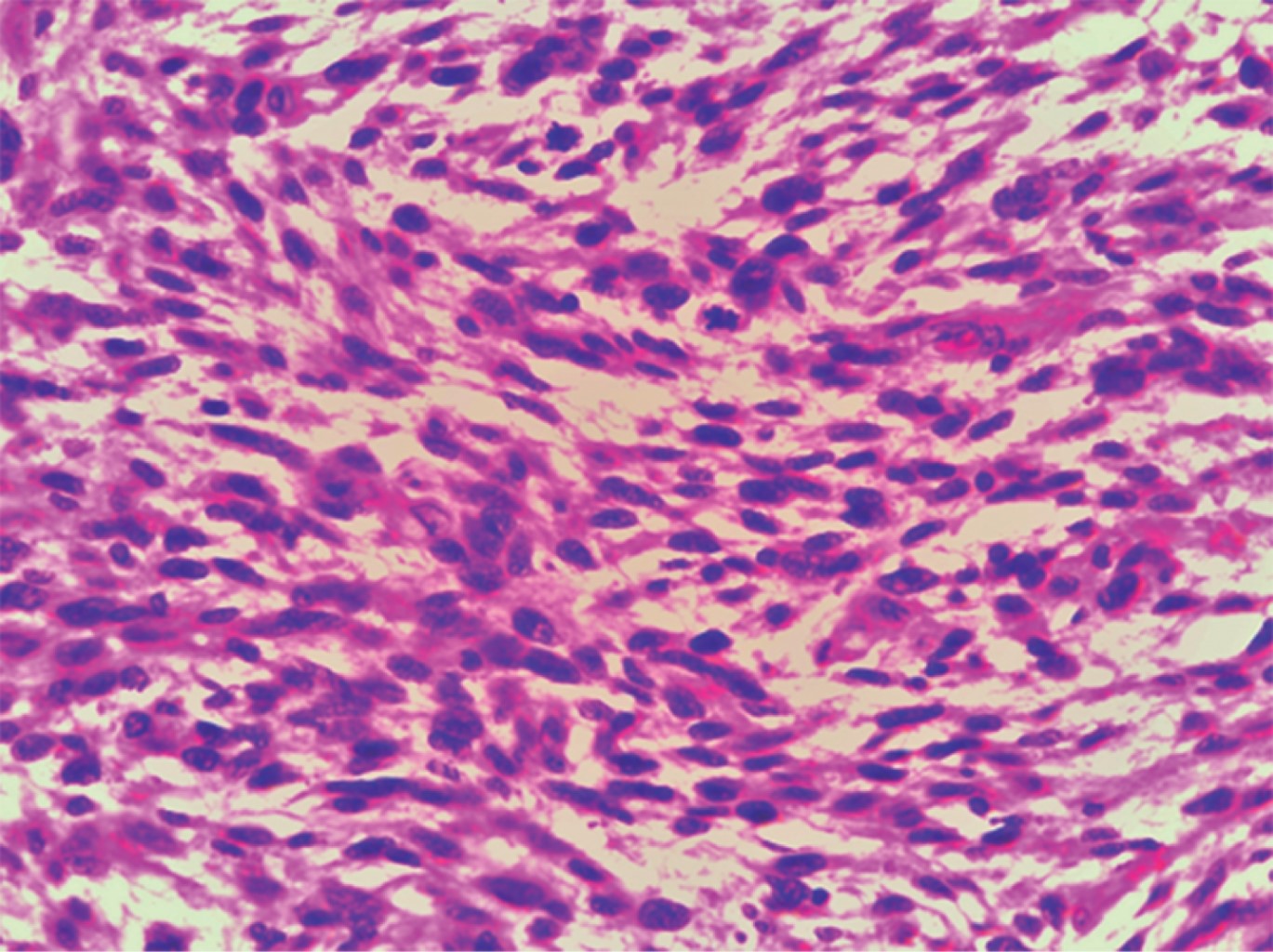
Hombre de 47 años, con el antecedente de tabaquismo y esquizofrenia de 20 años de diagnóstico. Se presentó con una lesión tumoral en el brazo izquierdo, de 14 × 10 cm, de dos años de evolución (Figura 1). Fue sometido a resección oncológica (Figura 2) y reconstrucción con un colgajo local fasciocutáneo de patrón aleatorio dependiente de perforantes de la arteria toracodorsal y toracolateral, las cuales fueron detectadas por ultrasonido Doppler, con cierre primario del sitio donante (Figura 3). La lesión era consistente clínicamente con un liposarcoma, el cual fue confirmado por histopatología (Figuras 4 y 5). La evolución postoperatoria fue satisfactoria y sin eventualidades. La duración de la hospitalización fue de cinco días. El paciente recibió radioterapia de haz externo postoperatoria. No se observó recurrencia durante el periodo de seguimiento de un año. El rango de movimiento postoperatorio regresó al normal. No se realizó ningún procedimiento adicional.



DISCUSIóN

En la cirugía plástica reconstructiva los colgajos de perforantes han recibido mucha atención. Numerosos tipos de colgajos se han descrito en la literatura.19,20 El colgajo de patrón aleatorio dependiente de perforantes fue introducido por Mardini y Wei, quienes reportaron una gran libertad en la planeación de colgajos en cualquier área anatómica, donde la señal Doppler pueda detectar un vaso perforante.21 Morris y colaboradores describieron el cierre exitoso de defectos de tejidos blandos de extremidades basados en el mismo concepto.22

Realizamos un colgajo local de patrón aleatorio basado en perforantes de las arterias toracodorsal y toracolateral adyacente al defecto de tejidos blandos. La selección del colgajo se basó de forma sólida en la detección de una señal Doppler audible. El movimiento del colgajo fue llevado a cabo con una maniobra de rotación. Yildirim y colaboradores presentaron un trabajo de colgajos locales de patrón aleatorio basados en perforantes en varias regiones anatómicas, llegando a la conclusión de que este concepto es una técnica segura, confiable y versátil, con resultados estéticos y funcionales buenos.23 En la cirugía de colgajo local de patrón aleatorio basado en perforantes es obligatorio realizar de forma preoperatoria el ultrasonido Doppler, ya que provee información útil acerca de la topografía y calidad de los vasos perforantes.24,25

Las guías quirúrgicas para el tratamiento de los sarcomas de la extremidad superior evolucionaron de las cirugías de amputación a salvar la extremidad, con los procedimientos para la inmediata recuperación funcional y los tratamientos multimodales complementarios.26 En el caso presentado se realizó una cobertura multidisciplinaria, posteriormente el paciente recibió radioterapia de haz externo, con lo cual se logró preservar la extremidad. Se obtuvo un buen resultado estético y funcional.



CONCLUSIóN

La cirugía reconstructiva de la extremidad superior es muy desafiante por la poca viabilidad de los tejidos locales. El colgajo local de patrón aleatorio basado en perforantes de las arterias toracodorsal y toracolateral es versátil, confiable, con un buen aporte sanguíneo; tiene una excelente textura y color; el área donadora puede cerrarse de manera primaria, sin morbilidad, además de la libertad para su diseño. Para sarcomas de tejidos blandos de la extremidad superior, salvar la extremidad con un resultado funcional satisfactorio es posible con una juiciosa cobertura multidisciplinaria. El colgajo local de patrón aleatorio puede ser una opción y un arma en el arsenal reconstructivo.


REFERENCIAS (EN ESTE ARTÍCULO)

  1. Brinkmann EJ, Ahmed SK, Houdek MT. Extremity soft tissue sarcoma: role of local control. Curr Treat Options Oncol 2020; 21 (2): 13.

  2. Gronchi A, Colombo C, Raut CP. Surgical management of localized soft tissue tumors. Cancer 2014; 120 (17): 2638-2648.

  3. American Cancer Society. What are the key statistics for sarcoma? [Accessed March 12, 2003] Available in: http://www.cancer.org

  4. Pisters PW, Leung DH, Woodruff J, Shi W, Brennan MF. Analysis of prognostic factors in 1,041 patients with localized soft tissue sarcomas of the extremities. J Clin Oncol 1996; 14:1679-1689.

  5. Brennan MF. The surgeon as a leader in cancer care: lessons learned from the study of soft tissue sarcomas. J Am Coll Surg 1996; 182: 520-529.

  6. Lohman RF, Nabowi AS, Reece GP, Pollock RE, Evans GR. Soft tissue sarcoma of the upper extremity: a 5-year experience at two institutions emphasizing the role of soft tissue flap reconstruction. Cancer 2002; 94: 2256-2264.

  7. Enzinger FM, Weiss SW. Liposarcoma. In: Enzinger FM, Weiss SW (Eds). Soft tissue tumors. Mosby-Yearbook, St. Louis, MO, 1994, pp. 431-466.

  8. Rosai J, Akerman M, Dal Cin P et al. Combined morphologic and karyotypic study of 59 atypical lipomatous tumors. Evaluation of their relationship and differential diagnosis with other adipose tissue tumors (a report of the CHAMP Study Group). Am J Surg Pathol 1996; 20: 1182-1189.

  9. Serletti JM, Carras AJ, O'Keefe RJ, Rosier RN. Functional outcome after soft-tissue reconstruction for limb salvage after sarcoma surgery. Plast Reconstr Surg 1998; 102: 1576-1583.

  10. Williard WC, Hajdu SI, Casper ES, Brennan MF. Comparison of amputation with limb-sparing operations for adult soft tissue sarcoma of the extremity. Ann Surg 1992; 215 (3): 269-275.

  11. Billington A, Dayicioglu D, Smith P, Kiluk J. Review of procedures for reconstruction of soft tissue chest wall defects following advanced breast malignancies. Cancer Control 2019; 26 (1): 1073274819827284.

  12. Karjalainen T, Sebastin SJ, Chee KG, Peng YP, Chong AKS. Flap related complications requiring secondary surgery in a series of 851 local flaps used for fingertip reconstruction. J Hand Surg Asian Pac 2019; 24 (1): 24-29.

  13. Kim JT, Ng SW, Naidu S et al. Lateral thoracic perforator flap: additional perforator flap option from the lateral thoracic region. J Plast Reconstr Aesthet Surg 2011; 64: 1596-1602.

  14. Olinger A, Benninger B. Branching patterns of the lateral thoracic, subscapular, and posterior circumflex humeral arteries and their relationship to the posterior cord of the brachial plexus. Clin Anat 2010; 23: 407-412.

  15. Palmer JH, Taylor GI. The vascular territories of the anterior chest wall. Br J Plast Surg 1986; 39: 287-299.

  16. Yamamoto Y, Sugihara T, Kawashima K et al. An anatomic study of the latissimus dorsi-rib flap: an extension of the subscapular combined flap. Plast Reconstr Surg 1996; 98: 811-812.

  17. Pierce TD, Tomaino MM. Use of the pedicled latissimus muscle flap for upper-extremity reconstruction. J Am Acad Orthop Surg 2000; 8: 324-331.

  18. Baghaki S, Cevirme M, Diyarbakirli M et al. Locoregional use of lateral thoracic artery perforator flap as a propeller flap. Ann Plast Surg 2015; 74 (5): 532-535.

  19. Tolhurst DE, Hallock GG. History of flap surgery. In: Blondeel PN, Morris SF, Hallock GG, Neligan PC, Ed. Perforator flaps: anatomy, technique, and clinical application. Vol. I. St. Louis: QMP; 2006. pp. 3e11.

  20. Hallock GG. Direct and indirect perforator flaps: the history and the controversy. Plast Reconstr Surg 2003; 111: 855-865.

  21. Mardini S, Tsai FC, Wei FC. The thigh as a model for free style free flaps. Clin Plast Surg 2003; 30: 473-480.

  22. Morris SF, Neligan PC, Taylor GI. Free-style local perforator flaps. In: Blondeel PN, Morris SF, Hallock GG, Neligan PC, editors. Perforator flaps: anatomy, technique, and clinical application. vol. I. St. Louis: QMP; 2006, pp. 948e60.

  23. Yildirim S, Taylan G, Akoz T. Free-style perforator-based VY-advancement flap for reconstruction of soft tissue defects at various anatomic regions. Ann Plast Surg 2007; 58: 501-506.

  24. Giunta RE, Geisweid A, Feller AM et al. The value of preoperative Doppler sonography for planning free perforator flaps. Plast Reconstr Surg 2000; 105: 2381-2386.

  25. Voet DV, Petrovic M. Ultrasound evaluation of perforator vessels. In: Blondeel PN, Morris SF, Hallock GG, Neligan PC, editors. Perforator flaps: anatomy, technique, and clinical application. Vol. I. St. Louis: QMP; 2006, pp. 92e102.

  26. Wasif N, Tamurian RM, Christensen S, Do L, Martinez SR, Chen SL. Influence of specialty and clinical experience on sequencing in the multimodal management of soft tissue extremity sarcoma. Ann Surg Oncol 2012; 19 (2): 504-510.



AFILIACIONES

1 Departamento de Cirugía General. Hospital General de Zacatecas.

2 Departamento de Cirugía Plástica y Reconstructiva. Hospital General de Zacatecas.

3 Departamento de Histopatología. Hospital General de Zacatecas.



Conflicto de intereses: los autores declaran no tener conflicto de intereses.



CORRESPONDENCIA

Dr. Julio Ángel Barajas-Puga. E-mail: dr.julioangelbarajas@gmail.com




Recibido: 11 marzo 2022. Aceptado: 16 mayo 2022

Figura 1
Figura 2
Figura 3
Figura 4
Figura 5

2020     |     www.medigraphic.com

Mi perfil

C?MO CITAR (Vancouver)

Cir Plast. 2022;32

ARTíCULOS SIMILARES

CARGANDO ...