medigraphic.com
ENGLISH

Latin American Journal of Oral and Maxillofacial Surgery

ISSN 2992-7757 (Digital)
Órgano de difusión de la Asociación Latinoamericana de Cirugía y Traumatología Bucomaxilofacial (ALACIBU)
  • Mostrar índice
  • Números disponibles
  • Información
    • Información general        
    • Directorio
  • Publicar
    • Instrucciones para autores        
  • medigraphic.com
    • Inicio
    • Índice de revistas            
    • Registro / Acceso
  • Mi perfil

2022, Número 3

<< Anterior Siguiente >>

Lat Am J Oral Maxillofac Surg 2022; 2 (3)


¿Es la planificación virtual una alternativa para elegir el abordaje quirúrgico?

Solano N, Gutiérrez P, Parra E, Barrios Ó
Texto completo Cómo citar este artículo 10.35366/108186

DOI

DOI: 10.35366/108186
URL: https://dx.doi.org/10.35366/108186
Artículos similares

Idioma: Ingles.
Referencias bibliográficas: 9
Paginas: 106-108
Archivo PDF: 236.90 Kb.


PALABRAS CLAVE

Herramientas de software, cirugía maxilofacial.

RESUMEN

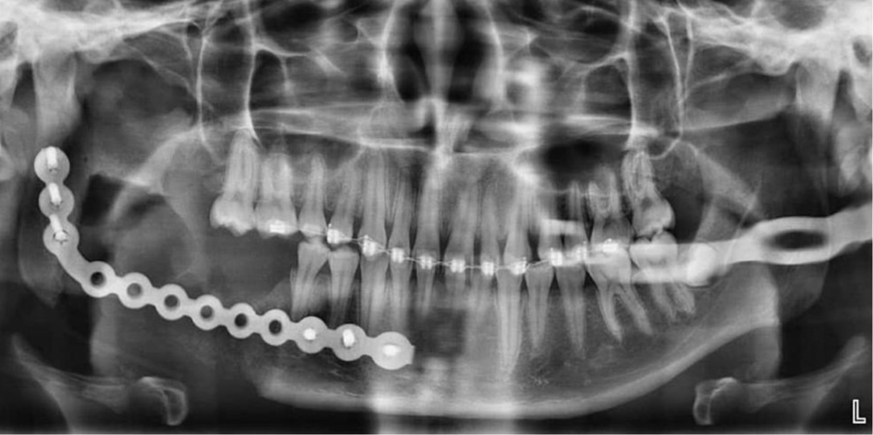
La razón fundamental para el desarrollo y el uso de la planificación quirúrgica virtual (PQV) es optimizar la capacidad del cirujano para prepararse y mitigar posibles contratiempos en el quirófano. En la literatura se encuentra relativamente poca evidencia sobre la aplicación de la PQV en procedimientos quirúrgicos complejos, aún más escasa en la literatura se refleja la bondad que ofrece la PQV en cuanto a la elección del abordaje quirúrgico. Este estudio presenta el abordaje de una lesión benigna mandibular extensa y su reconstrucción con material de osteosíntesis. Todo ello asistido por un software virtual de planificación quirúrgica que permitió realizar la ejecución virtual de la cirugía, la planificación del abordaje más conveniente para la extirpación de la lesión mediante guías quirúrgicas y la posterior reconstrucción. Enfatizando el análisis de los beneficios de la PQV y su influencia en la elección del abordaje quirúrgico más ideal y menos invasivo para el caso.


REFERENCIAS (EN ESTE ARTÍCULO)

  1. Thakker JS, Pace M, Lowe I, et al. Virtual surgical planning in maxillofacial trauma. Atlas Oral Maxillofac Surg Clin North Am. 2019; 27: 143-155.

  2. Guo Y, Lopez J, Macmillan A, et al. The use of virtual surgical planning in total facial skeletal reconstruction of Treacher Collins syndrome: a case report. Craniomaxillofac Trauma Reconstr. 2018; 11 (3): 230-237.

  3. Childers CP, Maggard-Gibbons M. Understanding costs of care in the operating room. JAMA Surg. 2018; 153 (4): e176233.

  4. Efanov JI, Roy AA, Huang KN, et al. Virtual surgical planning: the pearls and pitfalls. Plast Reconstr Surg Glob Open. 2018; 6 (1): e1443.

  5. Chim H, Wetjen N, Mardini S. Virtual surgical planning in craniofacial surgery. Semin Plast Surg. 2014; 28 (3): 150-158.

  6. Shen Y, Sun J, Li J, et al. Special considerations in virtual surgical planning for secondary accurate maxillary reconstruction with vascularised fibula osteomyocutaneous flap. J Plast Reconstr Aesthet Surg. 2012; 65 (7): 893-902.

  7. Ricotta F, Cercenelli L, Battaglia S, et al. Navigation-guided resection of maxillary tumors: can a new volumetric virtual planning method improve outcomes in terms of control of resection margins? J Craniomaxillofac Surg. 2018; 46 (12): 2240-2247.

  8. Jack Hua, Shahid Aziz, Jonathan W. Shum. Virtual surgical planning in oral and maxillofacial surgery. Oral Maxillofacial Surg Clin N Am. 2019; 31: 519-530.

  9. Nilsson J, Hindocha N, Thor A. Time matters e differences between computer-assisted surgery and conventional planning in cranio-maxillofacial surgery: a systematic review and meta-analysis. Journal of Cranio-Maxillo-Facial Surgery. 2020; 48: 132-140.




Figura 1
Figura 2
Figura 3
Figura 4

2020     |     www.medigraphic.com

Mi perfil

C?MO CITAR (Vancouver)

Lat Am J Oral Maxillofac Surg. 2022;2

ARTíCULOS SIMILARES

CARGANDO ...