medigraphic.com
ENGLISH

Neurología, Neurocirugía y Psiquiatría

ISSN 0028-3851 (Impreso)
  • Mostrar índice
  • Números disponibles
  • Información
    • Información general        
    • Directorio
  • Publicar
    • Instrucciones para autores        
  • medigraphic.com
    • Inicio
    • Índice de revistas            
    • Registro / Acceso
  • Mi perfil

2022, Número 2

<< Anterior

Rev Neurol Neurocir Psiquiat 2022; 50 (2)


Quistes sintomáticos de la bolsa de Rathke: reporte de casos

Rangel-Morales, Carlos Raúl1; Gómez-Ventura, Erick Guiomar2
Texto completo Cómo citar este artículo 10.35366/108561

DOI

DOI: 10.35366/108561
URL: https://dx.doi.org/10.35366/108561
Artículos similares

Idioma: Español
Referencias bibliográficas: 17
Paginas: 74-78
Archivo PDF: 220.08 Kb.


PALABRAS CLAVE

quiste, hendidura de Rathke, selar, transesfenoidal, neurocirugía.

RESUMEN

Los quistes de la bolsa de Rathke sintomáticos son lesiones selares y suprasellares poco frecuentes que surgen del remanente epitelial de la bolsa de Rathke, casi siempre su diagnóstico es un hallazgo incidental, ya que en la mayoría de los casos son asintomáticos. Cuando se manifiestan se debe a su aumento de tamaño que ejerce efecto de vector hasta comprimir estructuras vecinas, lo que causa cefalea, alteraciones visuales y disfunción hipofisaria. Ocurre en adultos entre la cuarta y quinta década de su vida. Presentamos dos casos de pacientes diagnosticados con quistes de la bolsa de Rathke de un total de 1,835 abordajes endonasales realizados en el HE CMN La Raza, IMSS.



INTRODUCCIóN

El quiste de la bolsa Rathke es una lesión benigna que aparece como remanente epitelial del ectodermo en el periodo de embriogénesis, suele ser asintomático, por lo que no se ha logrado establecer una prevalencia clara, aunque se propone que puede estar entre 11 y 22%, cifras obtenidas en múltiples autopsias hipofisarias.1

Su presentación clínica más frecuente consiste en alteración visual por compresión del quiasma óptico, disfunción adenohipofisaria y cefalea, síntomas que se producen al aumentar el tamaño del quiste lo suficiente para comprimir estructuras adyacentes. Aunque es más frecuente en hombres, se diagnostica más en mujeres, ya que las manifestaciones son más floridas, en especial las hormonales. El estudio diagnóstico de elección es la resonancia magnética2 y el tratamiento se basa en el drenaje y resección quirúrgica del quiste, el cual sólo está indicado en caso de ser sintomático.

En el periodo de 2006-2022 se han operado 1,835 lesiones sellares por abordaje transesfenoidal, de los cuales se han identificado dos casos de quistes de la bolsa de Rathke, mismos que se mencionan a continuación.



PRESENTACIóN DE LOS CASOS



CASO CLíNICO 1

Se presenta el caso de hombre de 17 años sin antecedentes personales patológicos de importancia para su padecimiento actual. Inició con cefalea holocraneana de tipo pulsátil con seis meses de evolución, acompañada de disminución de agudeza visual bilateral con predominio izquierdo, la cual se exacerba el día 12 de enero de 2016 y a la que se agrega síncope, por este motivo acudió a valoración. Se encuentra neurológicamente con cefalea en escala de valoración análoga del dolor 8/10 y hemianopsia bitemporal.

El perfil hormonal se reportó sin alteraciones. Se realizó panel viral en búsqueda de inmunocompromiso sin evidencia de alteraciones por este estudio.

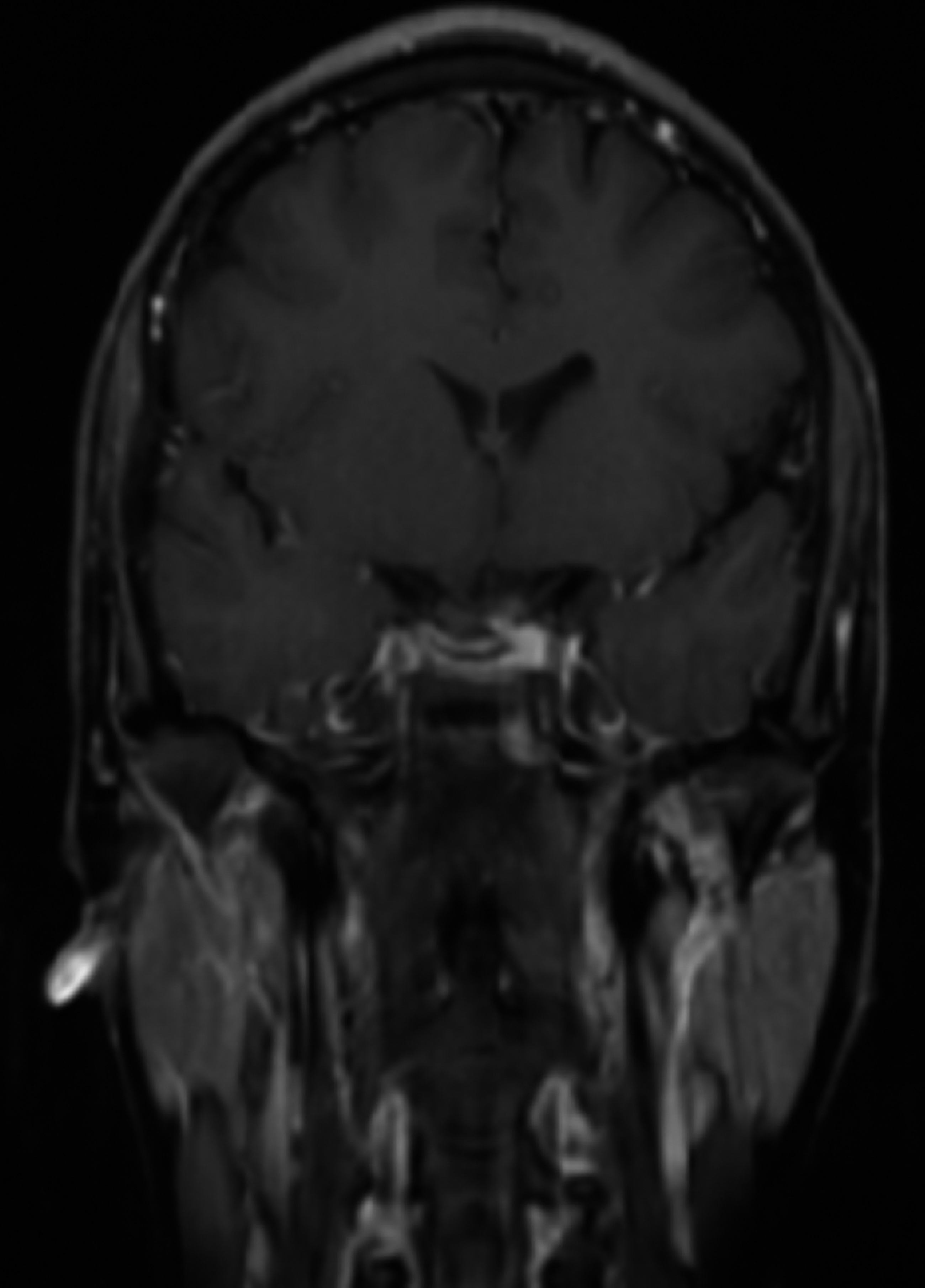
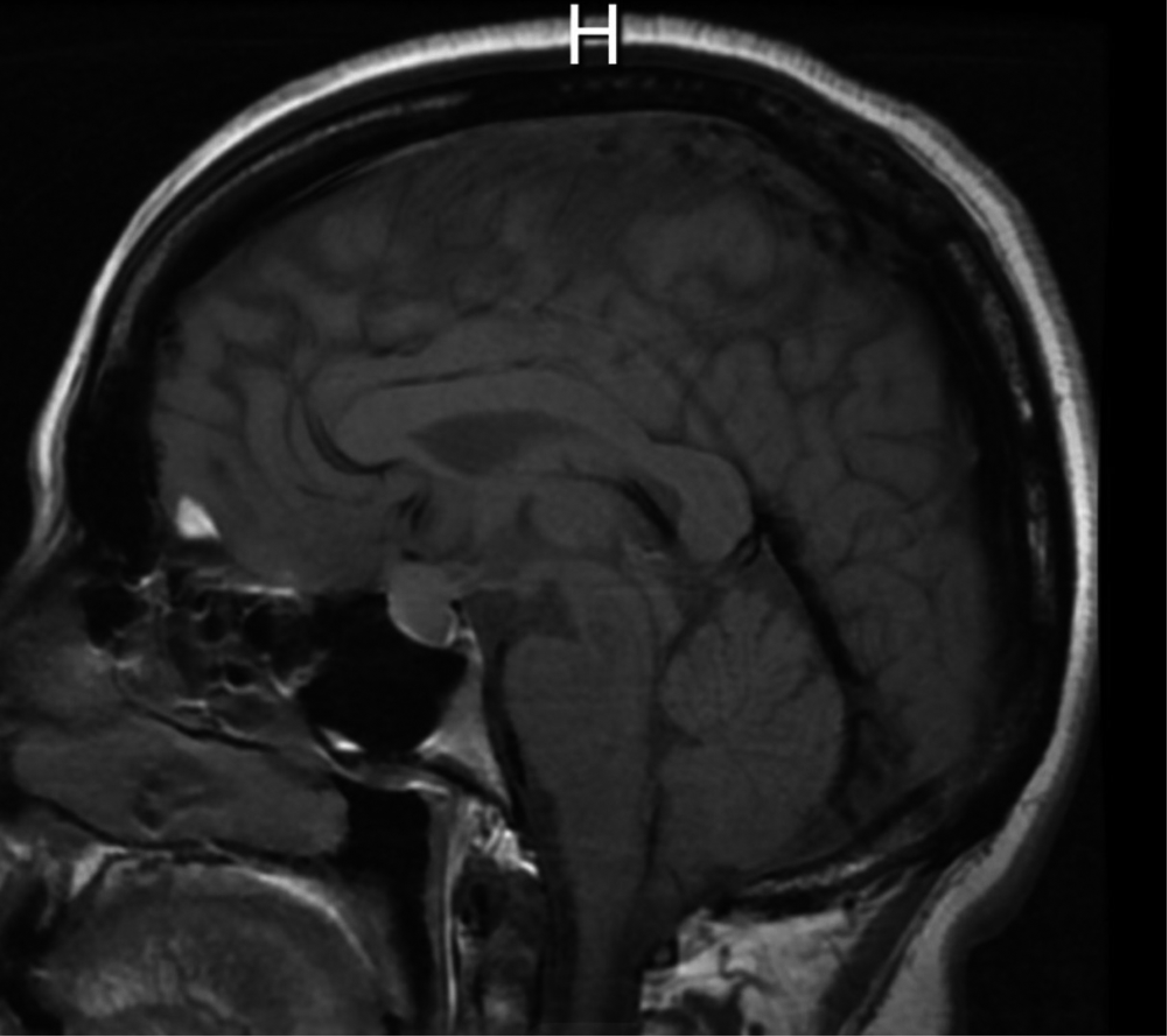
Se realizó resonancia magnética de cráneo ponderada en T1 y T2, T1 contrastado con gadolinio detectó lesión selar de bordes bien definidos, isointenso en relación con parénquima cerebral con realce en anillo tras administración de gadolinio, con diámetro 22 × 37 × 28 mm, se extiende hacia región supraselar sin compresión del tercer ventrículo, el resto sin alteraciones (Figura 1).

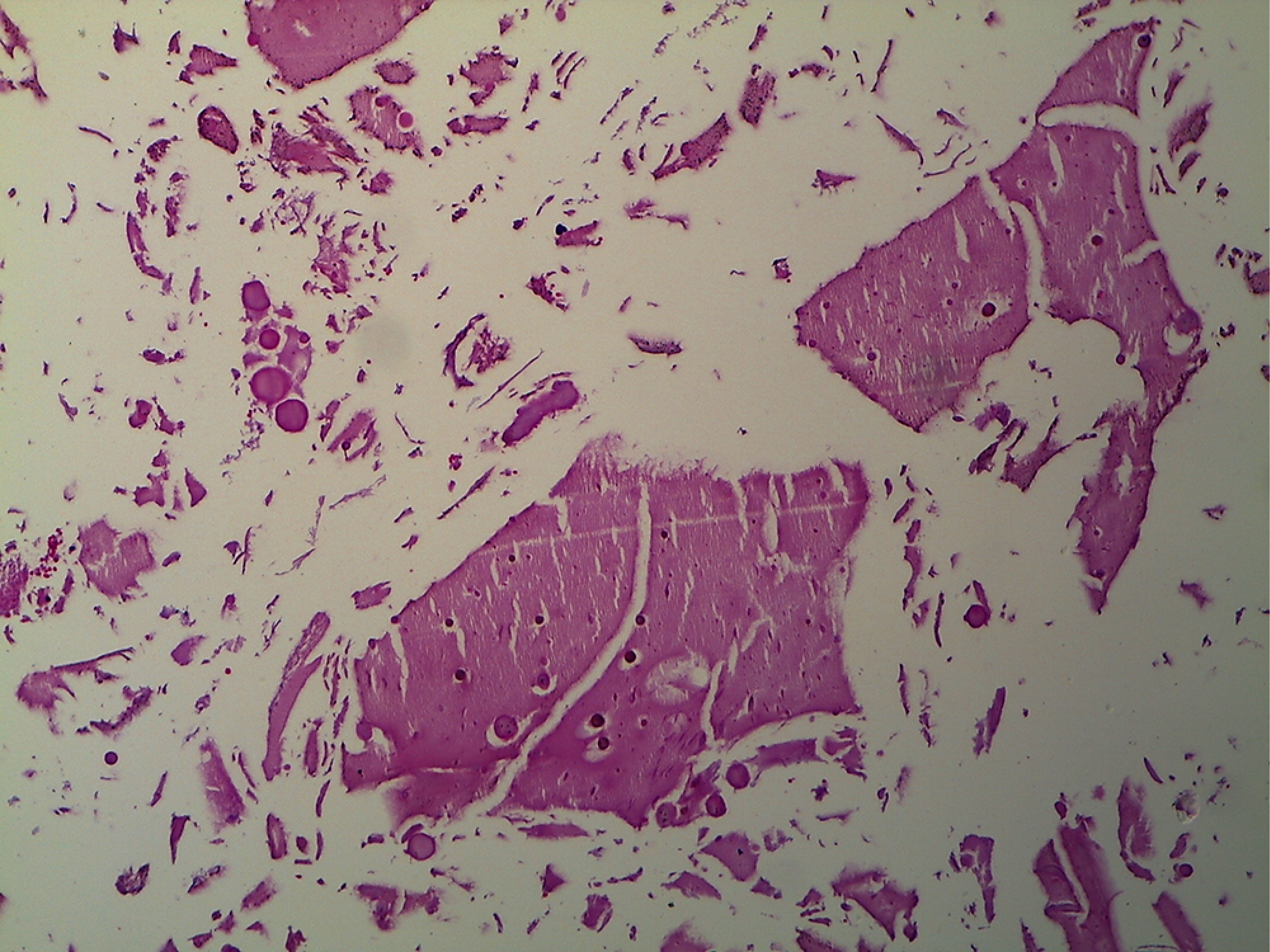
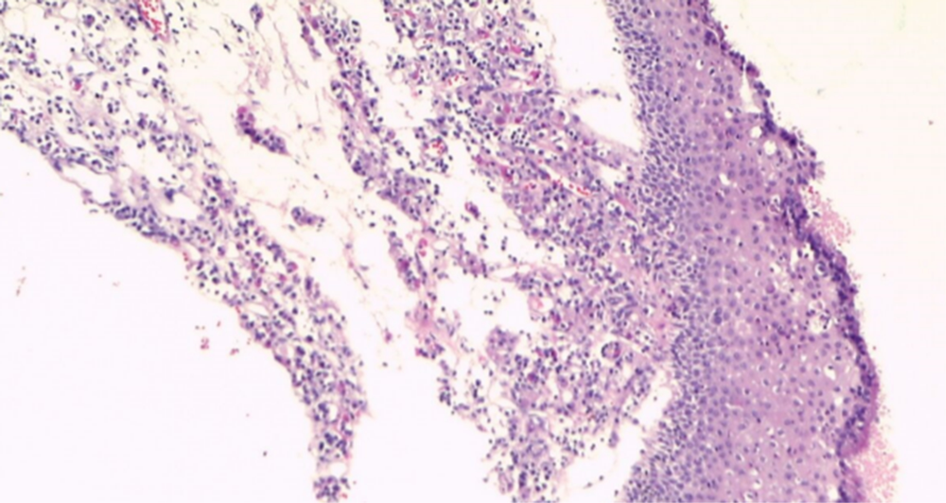
Tras completarse el protocolo de estudio con valoración por Servicio de Endocrinología, y sin contraindicación de evento quirúrgico, se programó para cirugía con diagnóstico presuntivo de adenoma hipofisario. Se realizó cirugía electiva el día 11 de marzo de 2016, a través de abordaje transesfenoidal directo, más resección de la lesión, más drenaje de absceso selar con hallazgos transoperatorios, lesión blanquecina aspirable, poco sangrante, de consistencia blanda y friable, acompañada de salida de material purulento y sangrado de 50 mililitros (Figura 2). Se enviaron muestras para cultivo de material, así como muestra a definitivo de lesión selar, con desarrollo bacteriano Staphylococcus aureus y reporte histopatológico de quiste de la bolsa de Rathke (Figuras 3 y 4). Se interconsulta al Servicio de Infectología que indica doble esquema de antibiótico a base de ceftriaxona y metronidazol.

Paciente con adecuada evolución postquirúrgica, sin déficit neurológico, con mejoría de hemianopsia bitemporal valorado por campimetría y dado de alta en buenas condiciones generales.



CASO CLíNICO 2

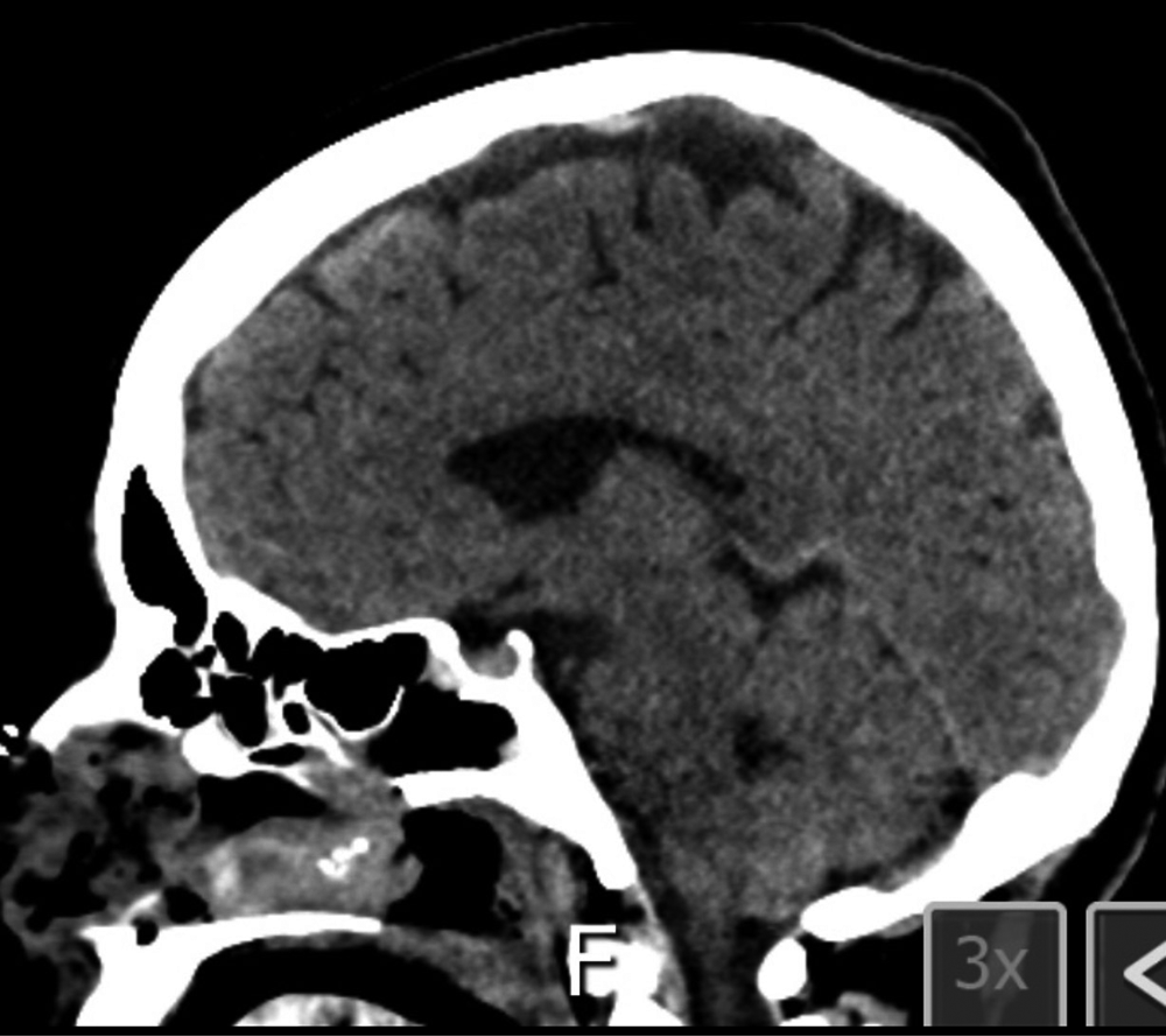
Se trata de mujer de 45 años que inició padecimiento en el 2018 con presencia de cefalea, fue tratada con analgésicos y hemianopsia bitemporal de predominio izquierdo, por lo que acudió a realizarse tomografía axial computarizada (TAC) simple y contrastada de cráneo, en donde se identificó lesión selar. Continuó con protocolo diagnóstico con imagen por resonancia magnética (IRM) de cráneo y se encontró lesión selar (Figura 5). Se inició protocolo preoperatorio solicitando los siguientes estudios: campimetría visual computarizada con hemianopsia bitemporal, perfil hormonal sin alteraciones, laboratorio paraclínico normal, radiografía de tórax, electrocardiograma normal y valoración preoperatoria por parte de los servicios de medicina interna y endocrinología para recibir recomendaciones sin contraindicación.

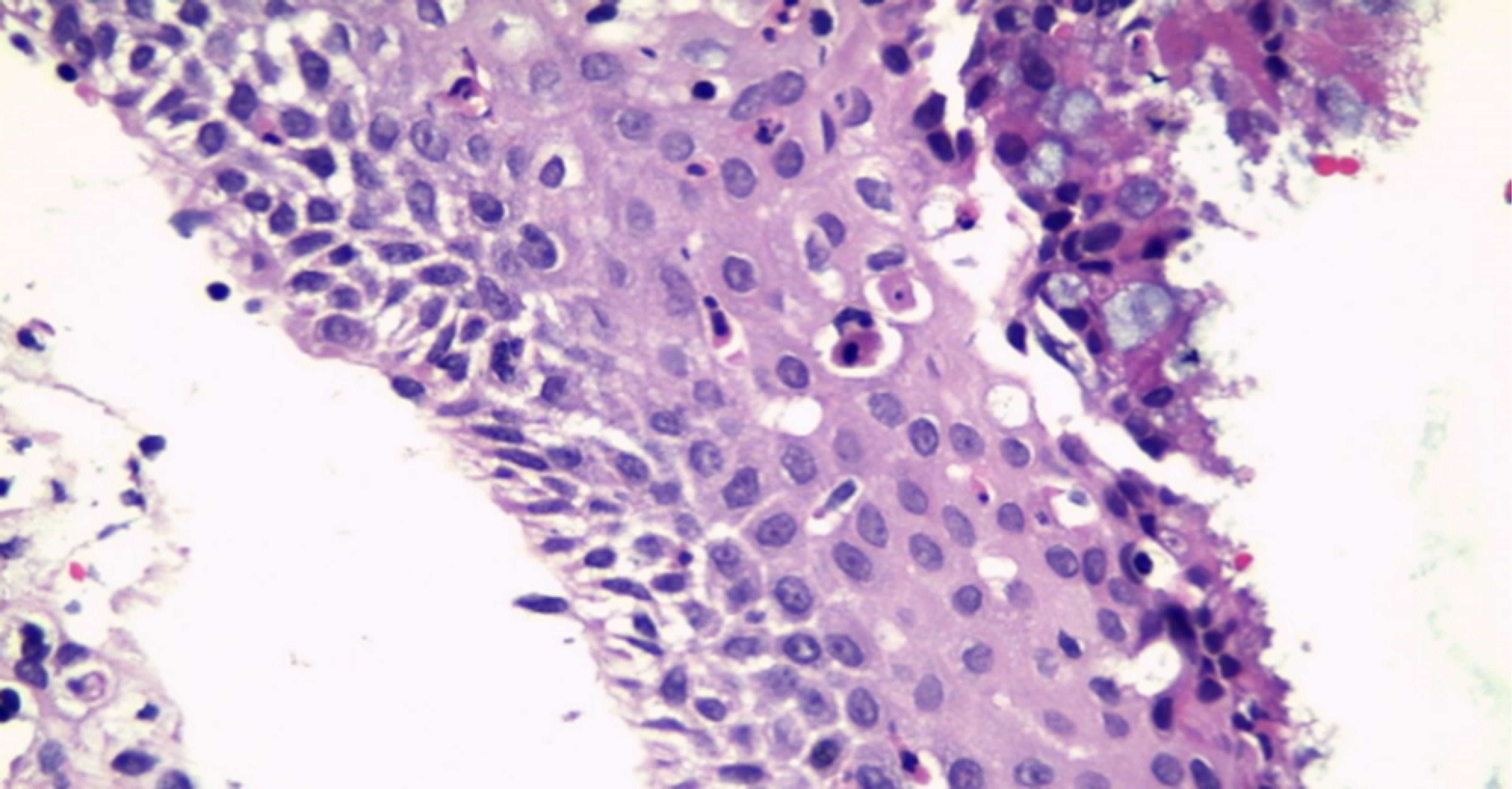
La paciente fue programada de forma electiva para abordaje transesfenoidal más resección de la lesión, la cual se realizó el día 28 de febrero de 2022 (Figura 6), y se encontraron como hallazgos microquirúrgicos lesión mucinosa transparente aspirable de consistencia gelatinosa, la cual se mandó a estudio histopatológico donde se hallaron características que se muestran en las Figuras 3, 4 y 7.



DISCUSIóN

Embriología. En el embrión de dos semanas el extremo cefálico de la notocorda induce la formación de dos esbozos: la adenohipófisis y la neurohipófisis. En la tercera o cuarta semana de vida intrauterina aparece un esbozo hueco a partir del ectodermo del techo estomodeo, que va migrando en forma dorsal y penetrando en el mesodermo suprayacente (el que dará origen al esfenoides) hacia el tubo neural; de esta forma, la bolsa se forma en un conducto llamado nasofaríngeo. En la decimoprimera semana el conducto comienza a obliterarse en su parte proximal, mientras que su porción craneal toma contacto con el esbozo neurohipofisario.

El conducto desaparece y se desconecta paulatinamente del ectodermo que lo originó. La pared anterior del mismo formará la pars distalis y tuberalis, mientras que la pared posterior dará origen a la pars intermedia que es vestigial en el adulto. El conjunto constituirá la adenohipófisis. Entre las paredes del conducto nasofaríngeo queda una cavidad o hendidura que en la mayoría de los casos se oblitera, si no lo hace, se puede transformar en una estructura quística y agrandarse por la secreción de células de su pared, lo que da origen al quiste de la bolsa de Rathke.2-5 La neurohipófisis se origina a partir del piso del diencéfalo como infundíbulo, éste penetra en el mesodermo y avanza hacia el conducto nasofaríngeo. La parte proximal del infundíbulo se convierte en el tallo y la parte distal será la "neurohipófisis". Existen autores que postulan que el quiste de la bolsa de Rathke (QBR) deriva, en realidad, de una metaplasia de células adenohipofisarias; se basan en el hallazgo de casos de adenomas hipofisarios combinados con quistes de la bolsa de Rathke. Cabe destacar que las células de este quiste pueden ser inmunohistoquímicamente positivas para algunas de las hormonas hipofisarias.1,5,6 Otros investigadores postulan que estos quistes son tumores neuroepiteliales por la gran semejanza estructural que tienen con los quistes coloides.1,2,7

Manifestaciones clínicas. Los quistes de la bolsa de Rathke son asintomáticos en la mayoría de los casos.1 Predominan en el sexo femenino entre los 30 y 50 años, aunque se ha descrito en niños y adultos mayores. El síntoma más común es la disfunción hipofisaria, en forma de hipopituitarismo o hiperprolactinemia, amenorrea y galactorrea debido a la compresión del tallo.1,3,4,6 La segunda manifestación más frecuente son las alteraciones visuales, debido a la compresión del quiasma que origina una hemianopsia bilateral. La cefalea es la tercera causa de consulta en estos pacientes. Es menos común la instalación brusca de este síntoma por la hemorragia intraquística o la extravasación del contenido al espacio subaracnoideo, lo que da lugar a una meningitis aséptica. Algunos pacientes presentan hidrocefalia por la compresión del agujero de Monroe.8

Histopatología. El estándar de oro es el análisis histopatológico. A veces, tras el drenaje del quiste, puede ser difícil obtener una muestra quirúrgica de la pared quística. En el análisis rutinario de hematoxilina y eosina, se muestra un epitelio columnar o cuboidal simple con células caliciformes ciliadas o mucinosas. También se observan con frecuencia células columnares pseudoestratificadas.

Diagnóstico por imágenes. La placa simple de cráneo en perfil estricto muestra en 80% de las lesiones sintomáticas abombamiento y erosión de la silla turca.6 En la TAC de cráneo estos quistes son en general hipodensos. En algunas ocasiones con realce al contraste en forma de anillo, en especial cuando presentan focos de epitelio escamoso.1-4,9 La IRM de cráneo muestra la extensión supraselar de estas lesiones, la relación con los nervios ópticos, quiasma e hipotálamo.1,9,10

Tratamiento. La mayoría de los pacientes con quiste de la bolsa de Rathke son asintomáticos y los que llegan a presentar síntomas es por compresión de estructuras nerviosas, o bien al producirse alteraciones endocrinológicas. La vía de elección es el abordaje transesfenoidal, ya que es un abordaje con menor tasa de morbilidad, pero que hay que tener en cuenta que, si bien ofrece un campo operatorio estrecho, no alcanza para realizar la apertura quística, la aspiración del líquido y la toma de muestra de la pared. Con este tipo de cirugía la recidiva es del 5%.1 La craneotomía se reserva para aquellos casos en los cuales se contraindica la vía transesfenoidal y cuando existen signos que hagan dudar del diagnóstico de quiste de la bolsa de Rathke.11-13

Diagnóstico diferencial. Los quistes selares más frecuentes son los que presentan los adenomas de hipófisis, por lo tanto, es la primera patología a descartar. Otras lesiones con imágenes similares en TAC e IRM son: los quistes aracnoideos, en los cuales no hay epitelio, los quistes epidermoides, los craneofaringiomas quísticos (éstos son mayoritariamente de localización supraselar), la cisticercosis selar y los mucoceles (en esta patología se caracterizan por estar adheridos al seno esfenoidal).8,14



CONCLUSIONES

Los quistes de la bolsa de Rathke y la asociación de absceso selar dentro de un quiste de la bolsa de Rathke son una patología muy rara, de baja frecuencia, de clínica inespecífica y de difícil diagnóstico imagenológico, que se presenta en personas sin patologías hipofisarias previas. Por lo cual, es importante pensar en esta entidad como uno de los diagnósticos diferenciales en las lesiones de la silla turca cuando se observe una lesión que involucre la región selar, ya que con frecuencia se confunden con el adenoma hipofisario.15,16

El drenaje por vía transesfenoidal es la piedra angular en el manejo definitivo de esta entidad.1,15,17



AGRADECIMIENTOS

Al Servicio de Neurocirugía del Hospital de Especialidad del Centro Médico Nacional La Raza, Instituto Mexicano del Seguro Social.


REFERENCIAS (EN ESTE ARTÍCULO)

  1. Simmonds M, Pathologic hypophysis. Ver Disch Pathol. 1914; 17: 202-212.

  2. Jain KC, Varma A, Mahapatra AK. Pituitary abscess: a series of six cases. Br J Neurosurg. 1997; 11 (2): 139-143.

  3. Altas M, Serefhan A, Silav G, Cerci A, Coskun KK, Elmaci I. Diagnosis and management of pituitary abscess: a case series and review of the literature. Turk Neurosurg. 2013; 23 (5): 611-616.

  4. Soto R, Quintana L, Vega R. Absceso pituitario. Rev Chile Neuroc. 2013; 39: 65-68.

  5. Prieto Tenreiro AM. Absceso hipofisario primario: una causa poco frecuente de cefalea y fiebre. Med Clin. 2011; 136 (1): 42-43.

  6. González-Ibarra FP, Guzmán-Astorga CP, Leyva-Álvarez EA, Hernández-Félix CP, Estevan-Ortíz PD, Gómez Llanos-Navidad M. Absceso hipofisiario: presentación de un caso. Rev Fac Med UNAM. 2011; 54 (5): 34-38.

  7. Watcharasaksilp W, Limpastan K, Norasathada T, Vaniyapong T. Primary pituitary abscess presenting as cystic pituitary adenoma. Chiang Mai Med J. 2013; 52 (1-2): 37-41.

  8. Gulgun YO, Serdar T, Huseyin S, Petek B, Yuksel P. Pituitary abscess simulating macroadenoma. Turk J Med Sci. 2004; 34 (5): 337-339.

  9. Graña D, Ponce de León C, Perendones M, Dufrechou C. Abscesos de hipófisis: presentación de dos casos clínicos y revisión de la literatura. Arch Med Int. 2015; 37 (3): 122-126.

  10. Shrestha R, Ji Z, Jin L, Shu J, Chao Y. Intrasellar abscess after transsphenoidal pituitary surgery. Rom Neurosurg. 2011; 18 (3): 326-330.

  11. Beatty N, Medina-Garcia L, Al Mohajer M, Zangeneh TT. Polymicrobial pituitary abscess predominately involving escherichia coli in the setting of an apoplectic pituitary prolactinoma. Case Rep Infect Dis. 2016; 2016: 4743212.

  12. Gill M, Pathak HC, Singh P, Garg MK. Recurrent primary pituitary abscess. World J Endoc Surg. 2012; 4 (3): 108-111.

  13. Galicia I, Orea I, Abad A, Aragón A, García-Durruti P, Ley L et al. Abscesos hipofisarios: estudio de siete casos. Endocrinol Nutr. 2005; 52: 152-156.

  14. Israel ZH, Yacoub M, Gomori JM, Dotan S, Fellig Y, Shoshan Y et al. Rathke's cleft cyst abscess. Pediatr Neurosurg. 2000; 33 (3): 159-161.

  15. Dalan R, Leow MK. Pituitary abscess: our experience with a case and a review of the literature. Pituitary. 2008; 11 (3): 299-306.

  16. Zhu H, Gu XM, Hong J, Shen FX. Successful treatment of pituitary abscess with intravenous antibiotics: a case report and literature review. Genet Mol Res. 2014; 13 (4): 10523-10528.

  17. Coulter IC, Mahmood S, Scoones D, Bradey N, Kane PJ. Abscess formation within a Rathke's cleft cyst. J Surg Case Rep. 2014; 2014 (11): rju105.



AFILIACIONES

1 Neurocirujano adscrito al Departamento de Neurocirugía. Hospital de Especialidades del Centro Médico Nacional La Raza. Ciudad de México, México.

2 Residente de quinto año en Neurocirugía. Hospital de Especialidades del Centro Médico Nacional La Raza. Ciudad de México, México.



CORRESPONDENCIA

Dr. Carlos Raúl Rangel-Morales. E-mail: guiomardao@gmail.com




Recibido: 14/05/2022. Aceptado: 13/06/2022.



Figura 1
Figura 2
Figura 3
Figura 4
Figura 5
Figura 6
Figura 7

2020     |     www.medigraphic.com

Mi perfil

C?MO CITAR (Vancouver)

Rev Neurol Neurocir Psiquiat. 2022;50

ARTíCULOS SIMILARES

CARGANDO ...