medigraphic.com
ENGLISH

Revista ADM Órgano Oficial de la Asociación Dental Mexicana

ISSN 0001-0944 (Impreso)
Órgano Oficial de la Asociación Dental Mexicana
  • Mostrar índice
  • Números disponibles
  • Información
    • Información general        
    • Directorio
  • Publicar
    • Instrucciones para autores        
    • Envío de artículos
  • medigraphic.com
    • Inicio
    • Índice de revistas            
    • Registro / Acceso
  • Mi perfil

2022, Número 6

<< Anterior Siguiente >>

Rev ADM 2022; 79 (6)


Estudio de la morfología de los conductos radiculares de los primeros premolares superiores en tomografía computarizada de haz cónico.

Carosi, María Julia1; Antoniuk, Alejandra Valeria2; Benítez, Lorena Elizabeth1; Nart, Leonardo Jorge1; del Valle Molina, Gladys3; Félix Gualtieri, Ariel4; Sanchis, Solana Belén5; Vázquez, Diego Jorge6
Texto completo Cómo citar este artículo 10.35366/108704

DOI

DOI: 10.35366/108704
URL: https://dx.doi.org/10.35366/108704
Artículos similares

Idioma: Español
Referencias bibliográficas: 20
Paginas: 312-317
Archivo PDF: 263.68 Kb.


PALABRAS CLAVE

tomografía, CBCT, ápice cerrado, salud dental, primeros premolares superiores.

RESUMEN

Objetivo: analizar, mediante tomografía computarizada de haz cónico (TC o CBCT [Cone Beam Computed Tomograph]) la frecuencia del tipo de morfología interna de los conductos radiculares según la clasificación de Vertucci y el número de raíces de los primeros premolares superiores. Material y métodos: en una población argentina de 50 pacientes, 30 de sexo femenino y 20 masculino, que concurrieron a la Cátedra de Diagnóstico por Imágenes de la Facultad de Odontología de la Universidad de Buenos Aires, se evaluaron 100 primeros premolares superiores con CBCT. Se estudiaron las variables: número de raíces, tipo de morfología interna, edad, sexo y lado. Fueron seleccionadas las tomografías de maxilar superior que incluyeron ambos primeros premolares en salud dental, periodontal y con ápice cerrado. Se realizó una adquisición volumétrica 100 × 90 mm y tamaño de vóxel de 150 µm. Se realizó la exploración de las imágenes en el plano axial de los tercios apical, medio y cervical de las piezas 1.4 y 2.4. Se utilizó un corte axial, observando en él, el tercio apical, medio y cervical de las piezas 1.4 y 2.4. Cada premolar fue analizado con 30 cortes transversales. Se utilizó la clasificación de Vertucci para agrupar las distintas variables anatómicas de los conductos radiculares de los primeros premolares superiores, la cual consta de VIII tipologías. Resultados: el tipo más representativo entre los 100 primeros premolares superiores, dentro de la clasificación de Vertucci, fue el tipo IV (dos conductos separados desde la cámara al ápice). La coincidencia de tipos entre los lados derecho (78%; IC 95%: 65 a 87%) e izquierdo (70%; IC 95%: 56 a 81%) fue significativa. La distribución según el número de raíces en el lado derecho (χ2 = 2.88) e izquierdo (χ2 = 0.72) no presentó una heterogeneidad significativa. La coincidencia del número de raíces entre los lados derecho e izquierdo fue significativa. Conclusión: se comprobó el tipo de morfología interna más frecuente, el número de raíces y su variabilidad de acuerdo al lado, sexo, y edad; lo cual es de una relevante importancia para realizar una correcta instrumentación y obturación del sistema de conductos radiculares.



INTRODUCCIóN

El uso del examen imagenológico es imprescindible para realizar un diagnóstico endodóncico correcto. La evolución de las imágenes 2D a 3D nos otorga importantes beneficios. A partir de una exploración dinámica de la imagen obtenida mediante cortes axiales, transversales y sagitales se nos revelan variantes anatómicas de la morfología interna radicular, patologías dentarias y apicales que sería imposible visualizar en una imagen comprimida bidimensional.1,2

La tomografía computarizada de haz cónico (CBCT, por sus siglas en inglés) aplicada a la endodoncia le permite al especialista tomar mejores decisiones y establecer un adecuado plan de tratamiento.3,4

Según la declaración conjunta realizada por la Asociación Americana de Endodoncistas y la Academia Americana de Radiología Oral y Maxilofacial, en endodoncia es recomendable utilizar el campo de adquisición volumétrico (FOV, por sus siglas en inglés) más pequeño o sectorizado, ya que nos aporta imágenes tridimensionales con alta resolución espacial, gracias a la dimensión del vóxel. Cuanto menos es el tamaño del vóxel, mayor será la posibilidad de detectar estructuras más pequeñas, tales como conductos accesorios, calcificaciones y delta apical. A su vez, con adquisiciones de volumen limitado se disminuye la exposición del paciente a la radiación.5,6

En diversos estudios se ha recalcado lo esencial de la CBCT con alta resolución en la identificación inicial de la morfología interna de las piezas dentarias, por ejemplo, el caso del hallazgo de un cuarto conducto en los primeros molares superiores o el tercer conducto en la raíz mesial del primer molar inferior.7,8 También, en la detección de lesiones periapicales que en la radiología convencional 2D serían imposibles de diagnosticar, debido a la anatomía de la lesión, como sucede en ocasiones en los ápices de los molares superiores por la estrecha proximidad con el piso del seno maxilar o cuando el espesor óseo entre la lesión y el piso del seno es menor a un milímetro.9

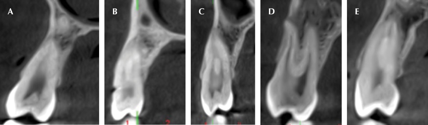
Para describir la anatomía interna de los conductos radiculares de los primeros premolares superiores Vertucci (1984) los agrupó según la siguiente clasificación (Figura 1):

  • • Tipo I: un solo conducto desde la cámara hasta el ápice.
  • • Tipo II: dos conductos separados desde la cámara y que se unen en el ápice.
  • • Tipo III: un conducto que se divide en dos y luego se une nuevamente.
  • • Tipo IV: dos conductos separados de la cámara al ápice.
  • • Tipo V: un conducto desde la cámara, que se divide en dos y termina en dos foraminas separadas.
  • • Tipo VI: dos conductos que se unen en el tercio medio y luego vuelven a separarse para terminar en dos foraminas separadas.
  • • Tipo VII: un conducto que se divide en dos, se une en el tercio medio y luego vuelve a separarse para terminar en dos foraminas separadas.
  • • Tipo VIII: tres conductos desde la cámara hasta el ápice.10

El objetivo de este trabajo es analizar la frecuencia del tipo de morfología interna de los conductos radiculares de los primeros premolares superiores, según la clasificación de Vertucci y el número de raíces mediante CBCT, en una población de 50 individuos (100 primeros premolares) de nacionalidad argentina, con una edad de entre 11 y 70 años; al comparar los datos obtenidos estadísticamente con la bibliografía actual. Se tendrá en cuenta la edad, el sexo y el lado derecho e izquierdo (Figura 2).



MATERIAL Y MéTODOS

Se evaluaron con tomografía computarizada de haz cónico (TCHC). obtenidas en la Cátedra de Diagnóstico por Imágenes de la Facultad de Odontología de la Universidad de Buenos Aires con el tomógrafo Planmeca FOV 26 × 23 mm; en una población argentina de 50 pacientes, 30 de sexo femenino y 20 masculino, la edad de los pacientes estuvo entre 11 y 70 años.

Fueron seleccionadas las adquisiciones volumétricas del maxilar superior (FOV 100 × 90 mm) en las que, con una sola exposición al paciente, se visualizaron ambos primeros premolares con un tamaño de vóxel de 150 μm; ya que el objetivo de nuestro estudio es comparar la anatomía radicular de ambos lados, izquierdo y derecho. Dichos órganos dentales debían estar en salud dental, periodontal y con ápices cerrados. Las tomografías fueron observadas por un operador registrando las variables anatómicas y éstas fueron corroboradas por segunda vez por otro operador. Ambos operadores eran especialistas en diagnóstico por imágenes. Las tomas se completaron con reconstrucciones multiplanares usando el software Romexis.

Se observó el tercio apical, medio y cervical de los órganos 1.4 y 2.4 en el corte axial; a partir del cual se realizó el corte curvo panorámico, y se obtuvieron, por cada premolar, 30 cortes transversales con un espesor de 1 mm, un ancho de 25 mm y un distancia entre cortes de 0.02 mm. La mínima distancia entre cortes nos brindó el mínimo detalle anatómico de los órganos dentales, para poder luego ordenarlas según la clasificación de Vertucci y el número de raíces.

Análisis estadístico: las variables se describieron mediante frecuencias absolutas (FA) y porcentajes con intervalos de confianza a 95% (IC 95%), estimados mediante el método score.

Las coincidencias del tipo y del número de raíces se evaluaron mediante los coeficientes kappa de Cohen no ponderado y de correlación intraclase (ICC), respectivamente. Los valores de los coeficientes kappa de Cohen e ICC fueron evaluados mediante los criterios propuestos por Altman11 y Cicchetti,12 respectivamente. Se fijó un nivel de significación de 5%. Se utilizaron los siguientes programas: Calc, de Apache OpenOfficeTM v. 4.1.3 (Apache Software Foundation), InfoStat v. 2018,13 MedCalc v. 17.214 y software R versión 3.4.1 con paquetes irr y psych.15



RESULTADOS

Tipo en lado derecho: la distribución según el tipo en el lado derecho fue heterogénea (χ2 = 106.80; gL = 4; p < 0.05) (Tabla 1 y Figura 3). El tipo más representado fue el IV (78%; IC 95%: 65 a 87%).

Tipo en lado izquierdo: como en el lado derecho, la distribución según tipo en el lado izquierdo fue heterogénea (χ2 = 55.92; gL = 3; p < 0.05) (Tabla 2 y Figura 3). El tipo más representado también fue el IV (70%; IC 95%: 56 a 81%).

Coincidencia de tipos entre lados derecho e izquierdo: la coincidencia de tipos entre los lados derecho e izquierdo fue significativa y buena (Figura 3): kappa = 0.63 (IC 95%: 0.39 a 0.86%); z = 6.49; p < 0.05.

Número de raíces, lado derecho: la distribución según el número de raíces en el lado derecho no presentó una heterogeneidad significativa (χ2 = 2.88; gL = 1; p = 0.09 (Tabla 3 y Figura 3).

Número de raíces, lado izquierdo: la distribución según el número de raíces en el lado izquierdo no presentó una heterogeneidad significativa (χ2 = 0.72; gL = 1; p = 0.4) (Tabla 4 y Figura 4).

Coincidencia del número de raíces entre lados derecho e izquierdo: la coincidencia del número de raíces entre los lados derecho e izquierdo fue significativa y buena (Figura 4): ICC = 0.63 (IC 95%: 0.44 a 0.77%); F = 4.46; p < 0.05.



DISCUSIóN

El uso de imágenes de TCHC antes del tratamiento muestra en detalle la anatomía de los conductos radiculares. Brindarle al profesional la exacta información tridimensional de las piezas dentarias antes del tratamiento endodóncico es de fundamental importancia para el éxito de la terapéutica.3

Peiris realizó un estudio en una población de Japón y de Sri Lanka con un total de 2,976 conductos radiculares analizados, entre molares y premolares observados con luz de cuarzo. De los 153 primeros premolares superiores de la población de Sri Lanka, la más representativa fue el tipo IV con 64% y en segundo lugar el tipo II con 16.3%. Se observaron 81 primeros premolares superiores en la población japonesa, donde el porcentaje más alto fue del tipo IV con 45.7% y en segundo lugar 29.6% del tipo II. Nuestro estudio coincide en que el más representado fue el tipo IV con 78% en los premolares derechos y 70% en los premolares izquierdos.16

Cobos Parra D y colega realizaron un estudio in vitro en el que seleccionaron una muestra de 50 primeros premolares superiores extraídos por motivo ortodóncico. Entre sus resultados pudieron observar, según la clasificación de Vertucci, que 24 piezas presentaron una morfología tipo I, del tipo II se encontraron 10 piezas, del tipo IV se encontraron 11 piezas, del tipo V se encontraron dos piezas y tan solo dos piezas del tipo VIII. Hubo una pieza que presentó una morfología peculiar, la cual fue descrita por la clasificación adicional de Gulabivala, 2002.

En comparación, en el presente estudio se evaluaron 100 primeros premolares, 50 del lado derecho y 50 del lado izquierdo; dentro de los 50 del lado derecho se encontraron una pieza de tipo I, tres piezas de tipo II, seis piezas de tipo III, 39 piezas de tipo IV y una pieza de tipo V; en el lado izquierdo hubo tres piezas de tipo I, tres piezas de tipo II, nueve piezas de tipo III y 35 piezas de tipo IV. En nuestro estudio el mayor porcentaje fue el tipo IV, que fue diferente al obtenido por Cobos y su colega, quienes tuvieron un mayor porcentaje de piezas de tipo I.17

Tian YY y colaboradores evaluaron la anatomía radicular de 300 primeros premolares en una población China con CBCT, según la clasificación de Vertucci y el número de raíces. El tipo IV fue el más prevalente (n = 153; 51%), seguido por el tipo II (n = 70; 23%), tipo I (n = 43; 14%), tipo III (n = 13; 4%), tipo V (n = 10; 3%), tipo VI (n = 7; 2%), tipo VII (n = 2; 1%) y tipo VIII (n = 2; 1%). Al igual que en nuestro estudio, el tipo IV fue el más representado. Tian YY y colaboradores obtuvieron un total de 198 primeros premolares superiores con una raíz, 100 piezas con dos raíces y dos piezas con tres raíces. En nuestro estudio obtuvimos 41 primeros premolares superiores con una raíz y 59 con dos raíces.9



CONCLUSIONES

Con este trabajo se llegó a comprobar el tipo de morfología interna más frecuente en los primeros premolares superiores, el número de raíces y su variabilidad, de acuerdo al lado derecho e izquierdo y mediante imágenes obtenidas con un tomógrafo odontológico. La obtención de imágenes tridimensionales es de relevante importancia para el especialista a fin de realizar una correcta instrumentación y obturación del sistema de conductos radiculares. Los datos volumétricos obtenidos mediante CBCT proporcionan mediciones precisas y confiables de la longitud del órgano dentario y su morfología radicular, para así poder disminuir los fracasos a corto y largo plazo, con lo que se puede lograr el éxito del tratamiento endodóncico.18 Cabe destacar que los estudios imagenológicos con CBCT son esenciales en el hallazgo de todo tipo de variación anatómica, como puede ser la localización del MV2 en el primer molar superior y también del tercer conducto en la raíz mesial del primer molar inferior.19,20


REFERENCIAS (EN ESTE ARTÍCULO)

  1. Ambu E, Ghiretti R, Loziosi R. Radiología 3D en odontología. Diagnóstico, planificación preoperatoria y seguimiento. Bologna, Italia: Amolca; 2014. p. 187.

  2. Portigliatti RP, Tumini JL, Urzua S, Puente García C. Tomografía para endodoncia. Qué solicitar y cómo interpretar. Rev Asoc Odontol Argent. 2015; 103: 193-197.

  3. Patel S, Horner K. The use of cone beam computed tomography in endodontics. Int Endod J. 2009; 42 (9): 755-756.

  4. Scarfe WC, Farman AG, Sukovic P. Clinical applications of cone-beam computed tomography in dental practice. J Can Dent Assoc. 2006; 72 (1): 75-80.

  5. Cotton TP, Schindler WG, Schwartz SA, Watson WR, Hargreaves KM. Endodontics applications of cone beam volumetric tomography. J Endod. 2007; 33 (9): 1121-1132.

  6. Patel S, Dawood A, Ford TP, Whaites E. The potential applications of cone beam computed tomography in the management of endodontic problems. Int Endod J. 2007; 40 (10): 818-830.

  7. Bauman M. The effect of CBCT voxel resolution on the detection of canals in the mesiobuccal roots of permanent maxillary first molars [Thesis]. Louisville, Kentucky: University of Louisville Scholl of Dentistry Masters in Oral Biology; 2009.

  8. Neelakantan P, Subbarao C, Ahuja R, Subbarao CV, Gutmann JL. Cone beam computed tomography study molars in a Indian population. J Endod. 2010; 36 (10): 1622-1627.

  9. Tian YY, Guo B, Zhang R, Yu X, Wang H, Hu T et al. Root and canal morphology of maxillary first premolars in a Chinese subpopulation evaluated using cone-beam computed tomography. Int Endod J. 2012; 45 (11): 996-1003.

  10. Vertucci FJ. Root canal anatomy of the human permanent teeth. Oral Surg Oral Med Oral Pathol. 1984; 58 (5): 589-599.

  11. Altman DG. Practical statistics for medical research. London: Chapman & Hall; 1991.

  12. Cicchetti DV. Guidelines, criteria, and rules of thumb for evaluating normed and standardized assessment instruments in psychology. Psychological Assessment. 1994; 6 (4): 284-290.

  13. Di Rienzo JA, Casanoves F, Balzarini MG, Gonzalez L, Tablada M, Robledo CW. InfoStat versión 2018. Grupo InfoStat, FCA. Argentina: Universidad Nacional de Córdoba; 2018. Disponible en: http://www.infostat.com.ar

  14. MedCalc Software bvba. MedCalc Statistical Software version 17.2. Ostend, Belgium. 2017. Available in: http://www.medcalc.org

  15. Gamer M, Lemon J, Singh IFP. irr: Various coefficients of interrater reliability and agreement. 2012.

  16. Peiris R. Root and canal morphology of human permanent teeth in Sri Lankan and Japanese population. Anthropol Sci. 2008; 116: 123-133.

  17. Cobos Parra D, Moscoso Abad M. Estudio morfológico de los canales radiculares del primer premolar superior, utilizando radiografía periapical y tomografía de haz cónico, en el centro radiológico dental-maxilofacial. Rev Cuenca. 2016; 1 (1): 56-65

  18. Sherrard JF, Rossouw PE, Benson BW, Carrillo R, Buschang PH. Accuracy and reliability of tooth and root length measured on cone beam computed tomographs. Am J Orthod Dentofacial Orthop. 2010; 37 (4 suppl): S100-S108.

  19. Blattner TC, George N, Lee CC, Kumar V, Yelton CD. Efficacy of cone beam computed tomography as a modality to accurately identify the presence of second mesiobuccal canals in maxillary first and second molars: a pilot study. J Endod. 2010; 36 (5): 867-870.

  20. La SH, Jung DH, Kim EC, Min KS. Identification of independent middle mesial canal in mandibular first molar using cone-beam computed tomography imaging. J Endod. 2010; 36 (5): 542-545.



AFILIACIONES

1 Odontóloga. Jefe de trabajos prácticos regular, dedicación semiexclusiva. Facultad de Odontología de la Universidad de Buenos Aires (UBA). Argentina.

2 Odontóloga. Jefe de trabajos prácticos regular dedicación parcial. Facultad de Odontología de la Universidad de Buenos Aires (UBA). Argentina.

3 Odontóloga. Docente autorizada: ayudante de primera regular semiexclusiva. Facultad de Odontología de la Universidad de Buenos Aires (UBA). Argentina. Facultad de Odontología de la Universidad de Buenos Aires (UBA). Argentina.

4 Licenciado en Ciencias Biológicas. Doctor de la Universidad de Buenos Aires, Área de Epidemiología y Salud Pública. Docente autorizado de la Facultad de Odontología. Jefe de trabajos prácticos regular dedicación exclusiva. Facultad de Odontología de la Universidad de Buenos Aires (UBA). Argentina.

5 Odontóloga. Docente en Cátedra de Diagnóstico por Imágenes. Docente en Servicio de Guardia. Facultad de Odontología de la Universidad de Buenos Aires (UBA). Argentina.

6 Odontólogo. Profesor titular. Docente autorizado de la Facultad de Odontología. Facultad de Odontología de la Universidad de Buenos Aires (UBA). Argentina.



CORRESPONDENCIA

María Julia Carosi. E-mail: juliacarosi14@gmail.com




Recibido: 04 de febrero de 2021. Aceptado: 16 de noviembre de 2022.

Figura 1
Figura 2
Figura 3
Figura 4
Tabla 1
Tabla 2
Tabla 3
Tabla 4

2020     |     www.medigraphic.com

Mi perfil

C?MO CITAR (Vancouver)

Rev ADM. 2022;79

ARTíCULOS SIMILARES

CARGANDO ...