medigraphic.com
ENGLISH

Revista ADM Órgano Oficial de la Asociación Dental Mexicana

ISSN 0001-0944 (Impreso)
Órgano Oficial de la Asociación Dental Mexicana
  • Mostrar índice
  • Números disponibles
  • Información
    • Información general        
    • Directorio
  • Publicar
    • Instrucciones para autores        
    • Envío de artículos
  • medigraphic.com
    • Inicio
    • Índice de revistas            
    • Registro / Acceso
  • Mi perfil

2022, Número 6

<< Anterior Siguiente >>

Rev ADM 2022; 79 (6)


El material restaurador ideal en la era de la odontología de invasión mínima. Rescatando al oro directo.

Carrillo Sánchez, Carlos1; Magallanes Ramos, Roberto2
Texto completo Cómo citar este artículo 10.35366/108706

DOI

DOI: 10.35366/108706
URL: https://dx.doi.org/10.35366/108706
Artículos similares

Idioma: Español
Referencias bibliográficas: 18
Paginas: 325-331
Archivo PDF: 370.03 Kb.


PALABRAS CLAVE

odontología de invasión mínima, lesiones incipientes de caries, manejo de caries, restauraciones de oro directo.

RESUMEN

Los logros de los avances obtenidos en el manejo actual de la caries han dado la oportunidad a los odontólogos de detectar lesiones de caries en sus estadios incipientes. A pesar de la existencia de una gran variedad de materiales restauradores directos disponibles en el mercado actual y que pueden utilizarse para restaurar lesiones pequeñas de caries, el material que tiene más posibilidades de éxito para este tipo de lesiones es sin duda alguna el oro cohesivo, también conocido como oro directo.



COMENTARIO INICIAL

En el número 6, de noviembre-diciembre del volumen 67 de la Revista de la Asociación Dental Mexicana en el año de 2010 se publicó un artículo en forma interrogatoria, narrativa y explicativa sobre si las restauraciones de oro directo serían las ideales para utilizar en la odontología de invasión mínima. Sirva esta nueva publicación para, en una forma más enfática, poder sustentar la gran utilidad que representa la selección del oro directo como material ideal para la restauración de lesiones incipientes de caries o de erosiones cervicales y sugerir el rescate del oro directo para un uso más rutinario en la práctica de la odontología restauradora moderna. ¡Vale mucho la pena rescatarlo!



INTRODUCCIóN

La mayoría de las actividades propias del trabajo cotidiano de los odontólogos en sus prácticas diarias están enmarcadas en requerimientos de mucha precisión y con una tendencia natural de perfeccionamiento en el tratamiento. Es muy común que en la búsqueda incesante por practicar las técnicas más exactas o de mayor precisión, los dentistas vayan sustituyendo o adoptando técnicas y materiales que sean más simples de utilizar y que den ciertos resultados similares, aunque no sean los mejores o más deseados.1

Las excelentes cualidades y virtudes que tiene el oro directo o cohesivo como material restaurador no han tenido más peso en su lado de la balanza sobre la estética o lo demandante de la técnica para efectuar una muy buena restauración, lo que ha generado que el uso y la enseñanza del oro directo se haya ido relegando hasta ser considerado hoy en día "un animal en peligro de extinción", como lo denomina el Dr. Roberto Magallanes R.

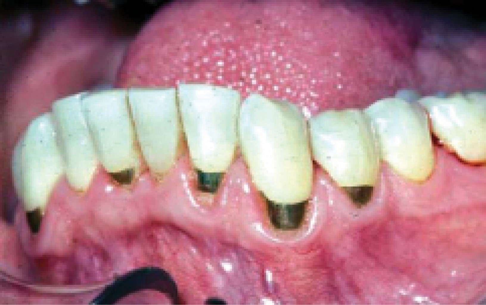
Dentro de circunstancias en igualdad de condiciones, pocos son los materiales que se podrían considerar como rivales directos del oro cohesivo como material restaurador de excelencia y sobre todo, pensando en las lesiones de caries incipiente en las que la lesión ya haya penetrado ligeramente la dentina y que son propias de la evolución dental en el contexto del manejo actual de caries (Figura 1).

Al intentar abrir una lesión incipiente en dentina, normalmente se hace una preparación de cavidad más extensa por las demandas propias del principio de conveniencia para remover la lesión, poder colocar el material restaurador y terminarlo adecuadamente.2

Nada mejor para una lesión pequeña de caries o una erosión cervical inicial donde se cuenta con un excelente acceso que poder ofrecer una restauración con técnica exacta y de suma precisión como la del oro directo, con el que es posible obtener una restauración de excelencia y de probada longevidad. Es el tipo de restauraciones que se conocen actualmente como "justo a tiempo" y que se expresan bajo la precisión de lo que debe ser removido sin causar mayor daño al tejido adyacente. El oro directo sigue siendo la mejor opción dentro de la gama de los materiales restauradores directos para este propósito.



ODONTOLOGíA DE INVASIóN MíNIMA

La odontología de invasión mínima o de mínima invasión puede definirse o referirse a la posibilidad de efectuar un manejo de caries dentro de un recurso más científico o biológico con seguimiento en lugar del tratamiento quirúrgico, como se ha combatido a la enfermedad caries en la operatoria dental tradicional.3

Se puede considerar en una forma muy sencilla que la odontología de invasión mínima no es otra cosa que el resultado propio de la evolución natural que ha llevado la odontología restauradora y que, junto con los avances de la odontología preventiva y la aplicación de la ciencia de la cariología, hoy en día es posible avanzar un poco más allá de las experiencias clínicas y de los conocimientos adquiridos con la odontología restauradora y conservadora con el fin de lograr lo que en alguna instancia se consideró como microodontología, también llamada recientemente odontología preservadora.3,4

Cuando se ejerce la odontología restauradora, se intenta lograr en una forma mucho más conservadora generar una cavidad con la mínima destrucción posible de la estructura dentaria remanente para su restauración, esto no necesariamente implica realizar restauraciones muy pequeñas. Hay bases y fundamentos mucho más amplios y más científicos que sustentan la odontología de invasión mínima.

La parte fundamental e ideal en la odontología de invasión mínima es encontrar el balance ecológico para generar los efectos de cambio biológico en todo el sistema oral, y no sólo como se ha considerado en algunas instancias con el control del biofilm microbiano, llamado anteriormente placa bacteriana.5,6

Bajo premisas de ética no es factible considerar restauraciones pequeñas o mínimamente aceptadas cuando los pacientes no están bajo un adecuado manejo de caries, o con un control de índice muy bajo en la medición del riesgo de caries.5

Brostek y colaboradores reportan que todo proceso involucrado en la odontología de invasión mínima debe estar sustentado por diferentes recursos que deben organizarse en tres categorías:4

  • 1. Reconocimiento: significa que se debe identificar y medir perfectamente el índice de riesgo carioso del paciente y bajarlo a su mínima capacidad.
  • 2. Remineralización: se refiere a enfocar la prevención de caries y tratar de revertir lesiones de caries no cavitadas aumentando las medidas protectoras sobre las medidas destructoras.
  • 3. Reparación: significa el control de la actividad de la caries, maximizando la presencia de salud y la reparación (restauración) de las lesiones que hayan penetrado la dentina o que no hubieran reaccionado favorablemente al proceso de remineralización.

Todos estos principios no sólo dan la certeza al detener el proceso de la enfermedad y de restaurar la función del tejido dental dañado, sino que permiten elevar el potencial de los dientes a llegar a ser más resistentes a los embates de la desmineralización. Además de que algunos otros procedimientos y técnicas pueden y deben implementarse durante este manejo de caries permitiendo aumentar los factores protectores como pueden ser: la medición de cantidad y calidad de la saliva así como su pH y la disponibilidad oral de fluoruro, o la implementación de agentes antibacterianos que promuevan la mayor presencia de factores protectores sobre los factores destructores.5,6

Las decisiones de tratamiento restaurador, principalmente con restauraciones definitivas, deben modificarse de una forma más actualizada.7 Los planes de tratamiento se han seguido manejando según las enseñanzas tradicionales del siglo pasado, cuando no existía un manejo de caries que derivaba en una alta prevalencia. Los cambios más trascendentes que han propiciado la baja incidencia de caries presente en el siglo XXI, abren un abanico de posibilidades que llevan a considerar en una forma más objetiva y más científica los factores de riesgo en los que deben enfocarse los planes de tratamiento actuales.7,8

Bajo la premisa de la odontología de invasión mínima es posible enfocarse en la modificación del tratamiento tradicional de las lesiones de caries por métodos quirúrgicos, antes de aplicarlo en una intervención sobre las causas de la enfermedad, como lo sugirió G.V. Black en 1908, quien aseguraba que "las restauraciones dentales no son curativas".9



RAZONAMIENTO

Con la falta de un control adecuado de la enfermedad de caries en el siglo pasado era factible pensar que muchos de los materiales dentales restauradores y sus diferentes métodos de manejo podrían presentarse como una forma de abuso, nunca bien aplicados.

Ferrier1 manifiesta que sin considerar la gran cantidad de ventajas y características favorables que pueda presentar un material restaurador para ser colocado en una cavidad producto de una lesión con pérdida de estructura dental, estos materiales siempre van a quedar cortos en la suplantación de la estructura original del diente. Los dientes son órganos que no tienen el potencial o capacidad para un proceso regenerativo total como los huesos, músculos o membranas mucosas. Por lo que el pensamiento lógico debe ser: restaurar la pérdida de estructura evitando sacrificar en lo posible la estructura dental remanente y también, lo más temprano que pueda detectarse la lesión. Y como parte de ese pensamiento lógico, también utilizar el material restaurador que se acerque más en sus características favorables con las mismas ventajas de la estructura dental perdida (Figura 2).

Se pueden nombrar un número indeterminado de razones que justifiquen el retorno del oro cohesivo como la selección ideal del material restaurador para lesiones pequeñas de caries, y como complemento perfecto en el manejo actual de caries para preservar la dentición humana. No existe mejor momento para decidir incorporar al oro directo a la práctica de la odontología preservadora (Figura 3).

Desafortunadamente, efectuar restauraciones de oro directo requiere de una técnica muy exacta, una preparación de cavidades muy refinada y un procedimiento operatorio muy sistematizado, pero puede considerarse menos inconveniente para el operador y para el paciente que la utilización de otros materiales u otras técnicas.1,10,11

El acceso a la lesión de caries o a la erosión cervical puede presentar muchos obstáculos, sobre todo en dientes posteriores o en áreas interproximales, pero normalmente cualquier diente con caries o erosión en proceso dentinario inicial y en el que sea posible obtener un buen aislamiento con dique de hule, puede ser restaurado utilizando oro directo.1,12

Se llega a considerar que "cuanto más pequeña es la lesión, mayor es la indicación para el uso del oro directo." Y se puede agregar que "cuanto mayor es la necesidad de aplicar odontología conservadora, mayor también es su indicación."



¿POR QUé EL ORO DIRECTO?

Se puede considerar, sin lugar a dudas, que la modificación o el tratamiento que dio Arthur al oro en hoja para generar "soldar en frío" o su natural cohesividad entre sí, fue el impulsor principal para desarrollar restauraciones de oro directo en la odontología.13 La posibilidad de obtener una adaptación casi perfecta entre la estructura dental y la restauración es muy propio de las características del oro directo; y gracias a que no sufre expansión o contracción considerable, mantiene esta adaptación en forma permanente. Al ser un metal resistente a la corrosión, el oro puede por lo tanto permanecer en el medio ambiente oral sin sufrir ningún tipo de alteraciones.10-12 También, al ser un material restaurador indicado en preparaciones ideales o pequeñas, hace casi inevitable que a pesar de que pueda presentar conductividad térmica, ésta no genera efectos adversos y se traduce en que es muy similar a la estructura propia del diente (Figura 4).

El oro ha demostrado ser un material restaurador muy biocompatible. No se conocen reportes serios o con evidencia científica que demuestren algún tipo de reacción alérgica o daños colaterales por su uso como material restaurador, además de que en su forma cohesiva puede ser presionado o condensado a formar una masa sólida que se adapta perfecta e íntimamente a las paredes de la cavidad, y permite restablecer la superficie externa de la restauración a su forma original (Figura 5).11,12,14

El oro cohesivo que se utiliza para la restauración de dientes en odontología, normalmente es provisto por el fabricante en su forma más pura, por lo que no es necesario mezclarlo o manipularlo en alguna forma especial más que el simple proceso de limpieza de contaminantes para obtener su máxima pureza y cohesividad, que le permita unirse entre sí en diferentes incrementos.

En épocas pasadas el fabricante sólo proveía el oro en hoja que tenía que ser recortado en porciones específicas dependiendo del tamaño de la cavidad preparada. Actualmente, esto se ha superado y se ha hecho la preparación del oro de forma en que pueda manipularse con más facilidad y llevarse a la cavidad para ser condensado adecuadamente (Figura 6).1,10,12

El oro en hoja puede estar todavía disponible en el mercado y sigue siendo conveniente su uso por la posibilidad de obtener distintas porciones de diferentes tamaños de la misma hoja. El oro en hoja normalmente viene en forma de láminas, block o libro, donde cada hoja de oro se encuentra separada de las otras por hojas de papel que evitan la unión cohesiva entre las de oro. Estas hojas de papel (tratadas con cera amónia u otro tipo de agentes no contaminantes) favorecen considerablemente el manejo del oro, permitiendo además efectuar el corte con tijeras y el manejo individual de cada porción cortada hasta su conformación y tratamiento antes de ser llevado el metal, ya descontaminado, a la cavidad preparada.11,14,15



MANIPULACIóN DEL ORO DIRECTO

Como se mencionó anteriormente, previo a ser llevado a la cavidad, el oro requiere de un tratamiento para "atemperar" el metal o más bien, generar un proceso de eliminación de impurezas o contaminantes. En el idioma inglés se conoce como annealing, un término muy utilizado en el manejo del vidrio y que se emplea cuando se genera un "atemperamiento" o cambio de temperatura en el vidrio por medio de calor para incorporar colores al cristal (Figura 7).1,12

Se han recomendado y utilizado muchas formas de atemperar el oro directo para su descontaminación, hay incluso charolas de porcelana o metal esmaltado que se colocan sobre un mechero de gas o platones eléctricos generadores de calor especialmente diseñados con este fin para descontaminar varias porciones de oro al mismo tiempo. Pero el más económico, práctico y útil es usar una flama (en zona azul) producto de un mechero con alcohol etílico puro de grano o madera con mecha muy limpia y sin contaminantes en el que se coloca sólo la porción del oro a utilizar, de forma que elimine el agente contaminante o cera hasta que tome un color rojo naranja y removerlo inmediatamente para llevarlo a la cavidad.10,16,17

Cada porción del oro, sea grande o pequeña, debe pasar por este proceso de "atemperamiento" o descontaminación y la mejor forma de hacerlo es utilizando el instrumento más recomendado por el fabricante del oro o en su defecto, emplear un pequeño explorador biangulado muy afilado y fino. Algunos autores consideran que las porciones tratadas del oro, además de descontaminadas, también son esterilizadas.10-12 Y recomiendan el uso preferente del instrumento del fabricante sobre el uso de un explorador, por ser éste de níquel-cromo y porque normalmente los exploradores son fabricados de acero al carbón, que al ser pasados por el calor de una flama pueden generar contaminación en el oro.

La temperatura mínima para atemperar el oro para lograr su cohesividad debe ser de 121 a 122 oC (250 oF), que es suficiente también para eliminar las impurezas, aunque la temperatura que se obtiene con el uso de una flama de mechero puede ser hasta de 676 oC (1,250 oF), por lo que es importante no "sobreatemperar" la porción del oro por más de dos segundos en contacto con la flama.

Aunque ahora es más difícil conseguirlo, el oro cohesivo sigue estando disponible en sus distintas presentaciones que se utilizaban en el pasado, pero ahora contamos con mejores opciones para su uso que facilitan y aligeran el trabajo, principalmente en la simplificación del condensado y el terminado.18



SELECCIóN Y USO DEL MATERIAL

Black10 decía con mucha certeza que ningún otro material puede ser trabajado contra las paredes de la cavidad y hacer uso total de la capacidad elástica de la dentina.18 La dificultad en la técnica o en el manejo del oro directo ha sido superada y mejorada, ya que se han refinado los procedimientos al hacerla mucho más simple y sencilla que en sus inicios (Figura 8).14,16

El Dr. Lloyd Baum y el Dr. Melvin R. Lund desarrollaron a principios de los años 60 un tipo de oro cohesivo (Goldent) que facilitaba mucho el manejo del metal, principalmente en el atemperamiento y en la colocación en la cavidad. Es un tipo de oro en polvo recubierto con oro en hoja que permite una buena compactación de toda la porción llevada a la cavidad, sin perder control en el condensado.14

Baum también desarrolló a finales de los años 80 otro tipo de oro similar al Goldent (E-Z Gold), siendo también oro en polvo, pero con una formulación que facilita mucho más su manejo. Este tipo de oro es fácil de conseguir a través de la Academia Americana de Operadores de Oro Directo o en la Universidad de Loma Linda en California. Este E-Z Gold tiene, una vez colocado en la cavidad, características de manipulación similares a las de la amalgama dental y mayor cohesividad entre porciones que la del Goldent; es más suave en la condensación y de mejores características de manejo para su bruñido y terminado.

Es importante tener un buen kit de instrumentos para su colocación, condensación, bruñido y terminado (Figura 9). No cualquier instrumento puede utilizarse adecuadamente sobre la superficie del oro cohesivo. En la condensación, o más bien llamada compactación, es muy importante seguir un orden con uniformidad sobre cada partícula antes de continuar con la siguiente porción para evitar defectos internos que se pueden transferir y mostrarse en la superficie.1,12,14 La idea de seguir ese orden, además de facilitar el poder generar la ligera sobreobturación deseada, va a permitir bruñir adecuadamente el oro y facilita desarrollar el contorno natural de la superficie del diente y la localización precisa de los márgenes de la preparación de la cavidad (Figura 10).

Al terminar la condensación, la superficie debe tener suficiente excedente que sobrecubra los márgenes de la cavidad, ya que toda la superficie del oro debe ser perfectamente bruñida con instrumentos de mano para terminarla de manera adecuada y aglomerar las porciones para ser más unidas entre sí (Figura 11). Este trabajo del bruñido excesivo sobre el metal también va a permitir que el oro obtenga así su mayor dureza.10,11



CONCLUSIONES

El uso del oro cohesivo es la forma más permanente y conservadora para restaurar dientes, ya que mantienen su función, apariencia y contorno. De ahí que su recomendación para la restauración de lesiones incipientes de caries sea muy amplia. Ningún material lo iguala en su permanencia y longevidad.

Cuando es necesario efectuar restauraciones en dientes con lesiones incipientes y la idea es realizarlas sin demasiada extensión de la preparación de la cavidad, el uso del oro directo como material restaurador es muy indicado.

Los pasos más básicos e indispensables durante el procedimiento de efectuar las restauraciones con oro directo son muy similares a las de otros materiales restauradores y pueden ser entendidos y asimilados con facilidad. La diferencia estriba principalmente en que para obtener una restauración exitosa, se requiere mayor meticulosidad y precisión al detalle que sólo se obtiene con la aplicación diligente y la práctica continua.


REFERENCIAS (EN ESTE ARTÍCULO)

  1. Ferrier WI. Gold foil operations. In: Johnson DN. Operative dentistry. New York: National Medical Book Co. Inc.; 1938.

  2. Peters MC, McLean ME. Minimally invasive operative care. I. Minimal intervention and concepts for minimally invasive cavity preparations. J Adhes Dent. 2001; 3 (1): 7-16.

  3. Ericson D, Kidd E, McComb D, Mjor I, Noack MJ. Minimally invasive dentistry--concepts and techniques in cariology. Oral Health Prev Dent. 2003; 1 (1): 59-72.

  4. Brostek AM, Bochenek AJ, Walsh LJ. Minimally invasive dentistry: a review and update. Shanghai Kou Qiang Yi Xue. 2006; 15 (3): 225-249.

  5. Kidd E. Part 2: Minimally invasive dentistry. Concepts and techniques in cariology. Diagnostics: a cornerstone in minimally invasive dentistry. In: Proceedings from the European Festival of Oral Sciences. Symposium on Minimal Invasive Dentistry. 2002. Cardiff, Wales: Oral Health and Preventive Dentistry; 2003. Vol. 1, No. 1, pp. 62-64.

  6. Noack MJ. Part 3: Minimally Invasive Dentistry. Concepts and techniques in cariology. Defect related restorative interventions of carious lessions. In: Proceedings from the European Festival of Oral Sciences. Symposium on Minimal Invasive Dentistry. 2002. Cardiff, Wales: Oral Health and Preventive Dentistry; 2003. Vol. 1, No. 1, pp. 64-67.

  7. Anusavice KJ. Treatment regimens in preventive and restorative dentistry. J Am Dent Assoc. 1995; 126 (6): 727-743.

  8. Anusavice KJ. Decision analysis in restorative dentistry. J Dent Educ. 1992; 56 (12): 812-822.

  9. Black GV. A work on operative dentistry. Chicago: Medico-Dental Publishing Co.; 1908. Vol. 1. p. 193.

  10. Ingraham R, Koser JR. An atlas of gold foil and rubber dam procedures. Operative Atlas 1. 6th edition. Fullerton, CA: Langdon Press; 1976. Chapter 2. pp. 21-25.

  11. Schnepper HE, Kinser RL. Direct gold course manual. Loma Linda University Press; 1981.

  12. Stibbs GD. Manual. Stibbs gold foil seminar. Seattle: 1991.

  13. Arthur R. A new method of using gold foil. Am J Dent Sci. 1855; 5: 600-605.

  14. Carrillo SC, Magallanes RR. Restauraciones de oro directo. ¿Son éstas las restauraciones ideales para la Odontología de Invasión Mínima? Rev ADM. 2010; 67 (6): 278-284.

  15. Stibbs GD. Direct golds in dental restorative therapy. Oper Dent. 1980; 5 (3): 107-114.

  16. Stibbs GD. Manipulation of cohesive gold foil in dental restorations. Oper Dent. 1985; 10 (2): 49-57.

  17. Alperstein KS, Yearwood L, Boston D. E-Z Gold: the new Goldent. Oper Dent. 1996; 21: 36-41.

  18. Black GV. Operative dentistry. Chicago: Medico-Dental Publishing, Co.; 1908. Vol. 2. pp. 223-226.



AFILIACIONES

1 Práctica privada. Toluca, México.

2 Práctica privada. Ciudad de México, México.



CORRESPONDENCIA

Dr. Carlos Carrillo Sánchez, MSD. E-mail: drcarrillocdmsd@gmail.com




Recibido: 26 de agosto de 2020. Aceptado: 20 de septiembre de 2022.

Figura 1
Figura 2
Figura 3
Figura 4
Figura 5
Figura 6
Figura 7
Figura 8
Figura 9
Figura 10
Figura 11

2020     |     www.medigraphic.com

Mi perfil

C?MO CITAR (Vancouver)

Rev ADM. 2022;79

ARTíCULOS SIMILARES

CARGANDO ...