medigraphic.com
ENGLISH

Revista ADM Órgano Oficial de la Asociación Dental Mexicana

ISSN 0001-0944 (Impreso)
Órgano Oficial de la Asociación Dental Mexicana
  • Mostrar índice
  • Números disponibles
  • Información
    • Información general        
    • Directorio
  • Publicar
    • Instrucciones para autores        
    • Envío de artículos
  • medigraphic.com
    • Inicio
    • Índice de revistas            
    • Registro / Acceso
  • Mi perfil

2022, Número 6

<< Anterior Siguiente >>

Rev ADM 2022; 79 (6)


Materiales bioactivos para restauraciones directas en dientes posteriores.

Hernández-Coronado, Paulina1; Hernández-Ramírez, Armando1; Cedillo-Valencia, José de Jesús1; Guízar-Mendoza, Juan Manuel1
Texto completo Cómo citar este artículo 10.35366/108708

DOI

DOI: 10.35366/108708
URL: https://dx.doi.org/10.35366/108708
Artículos similares

Idioma: Español
Referencias bibliográficas: 9
Paginas: 338-341
Archivo PDF: 242.54 Kb.


PALABRAS CLAVE

caries, material bioactivo, restauración.

RESUMEN

Se trata de paciente femenino de 22 años de edad, en quien se realizó una restauración en un molar siguiendo la filosofía de mínima intervención desde el diagnóstico hasta la obturación con un material bioactivo. Los objetivos del tratamiento fueron devolver la funcionalidad y estética de dicho molar, pero sobre todo brindar una protección a largo plazo mediante la liberación y recarga de iones de calcio, fosfato y flúor proporcionado por el material bioactivo.



INTRODUCCIóN

La caries aún representa un gran desafío para el odontólogo. Evidencia reciente muestra que las lesiones de caries no tratadas, afectan a 35% de la población mundial, convirtiéndola en la condición de salud más prevalente alrededor del mundo.1 Es una enfermedad ecológica y no contagiosa, no infecciosa y no transmisible.2 La presencia de biofilm microbiano (placa bacteriana adherida a los dientes) y los hidratos de carbono son los factores primarios de desarrollo de caries, cuya aparición es producto de una alteración ecológica del biofilm que lo transformará en una población de células más cariogénicas.3 La "caries dental" es el nombre de la enfermedad y lesión cariosa, es la consecuencia del proceso de la caries a lo largo del tiempo. Una lesión cariosa se presenta de diferentes extensiones, desde un área pequeña de desmineralización en el esmalte hasta una cavidad grande en la dentina con o sin afectación pulpar.4 El conocimiento biológico actual del proceso de caries ha motivado el desarrollo de nuevas estrategias que permitan la detección temprana, el manejo preventivo y la preservación de la estructura dental.5 La restauración es un proceso en el cual se elimina el tejido desmineralizado, de preferencia siguiendo el principio de mínima intervención, es decir, en lo posible retirar la menor cantidad de tejido sano y poder conservar la mayor parte de estructura dental y la vitalidad de los dientes, y posteriormente colocar material de restauración.



PRESENTACIóN DEL CASO

Se presenta al consultorio paciente femenino de 22 años de edad; el motivo de consulta era restaurar los dientes que presentaban lesiones de caries. Como se observa en la imagen, clínicamente el órgano dentario 36 presentaba una lesión de caries en diferentes puntos de las fosas y surcos oclusales (Figura 1).

El órgano dental se exploró con el sistema Spectra® para diagnosticar el grado de desmineralización del molar (Figura 2). De acuerdo con los criterios diagnósticos del sistema Spectra®: esmalte sano (verde), 1.0 caries incipiente en esmalte (azul), 1.5 caries profunda en esmalte (rojo), 2.0 caries en dentina (naranja) y 2.5 caries profunda en dentina (amarillo). En el presente caso se observó que la desmineralización se encontraba en dentina, lo que explica el ligero dolor al masticar que refirió la paciente.

Se decidió restaurar el molar, no hubo necesidad de aplicación de anestesia local debido a que se utilizaron técnicas mínimamente invasivas que permiten evitar el dolor. Procediéndose a realizar aislamiento absoluto del campo operatorio de manera convencional con una grapa W3 en el segundo molar inferior izquierdo. El primer molar se selló con una barrera de resina fotopolimerizable, utilizada para blanqueamiento, y así evitar absolutamente la filtración de humedad y saliva.

Se retiró la lesión de caries con una fresa redonda número 801 009 de diamante de mínima intervención, utilizando el micromotor eléctrico Bien-Air®, a una velocidad de 50,000 rpm (revoluciones por minuto) 1:5. Al momento de llegar a la dentina, se amplió la cavidad con una fresa de mayor tamaño, una fresa de pera larga de diamante número 830L 012 4, a 50,000 rpm 1:5, la cual es una velocidad conservadora para preparación de cavidad.

Debido a la profundidad y cantidad de tejido afectado que se observó al momento de abrir la cavidad, se decidió usar una fresa inteligente SmartBurs de SS White®, fresas con polímero cerámico, dióxido de silicio, dióxido de magnesio, dióxido de titanio y dióxido de circonio. Estas fresas tienen una dureza Knoop de 50, la dentina infectada de 30 y la dentina sana de 70-90, por esa razón se desactivan cuando están en tejido sano. Se utilizó a una velocidad de 9,000 rpm 1:1, lográndose retirar sólo tejido infectado y dejar tejido sano (Figura 3).

Posteriormente se realizó un bisel recto con una fresa de terminado de 12 hojas. Se lavó la cavidad con agua destilada y se secó generosamente con una gasa, procurando dejar la cavidad húmeda y glaseada. Luego se aplicó ácido fosfórico Ultra-Etch de Ultradent®, al 35% por 15 segundos (Figura 4).

Después se lavó la cavidad por 15 segundos para luego secarse sin deshidratarla. Se colocó adhesivo de octava generación (adhesivo universal) Tetric N-Bond Universal de Ivoclar Vivadent®, se secó con aire por 15 segundos para evaporar muy bien el vehículo y colocar una segunda capa de adhesivo, se volatilizó y se fotopolimerizó por 20 segundos con una lámpara LED de cuarta generación, con la que se pudiera alcanzar por lo menos 1,200 mW/cm2. Después de polimerizar el adhesivo (Figura 5), se procedió a obturar la cavidad con el material Activa® en una sola intención y se fotopolimerizó por 20 segundos (Figura 6).

Posteriormente se colocó una capa de glicerina hidrosoluble DeOx de Ultradent® con la finalidad de inhibir la última capa del oxígeno y permitir que fotopolimerice la resina bioactiva totalmente por 20 segundos. Luego se utilizó una fresa raptor de Bisco® para darle anatomía a la restauración, ya que el material es muy fluido y no permite dar anatomía fácilmente.

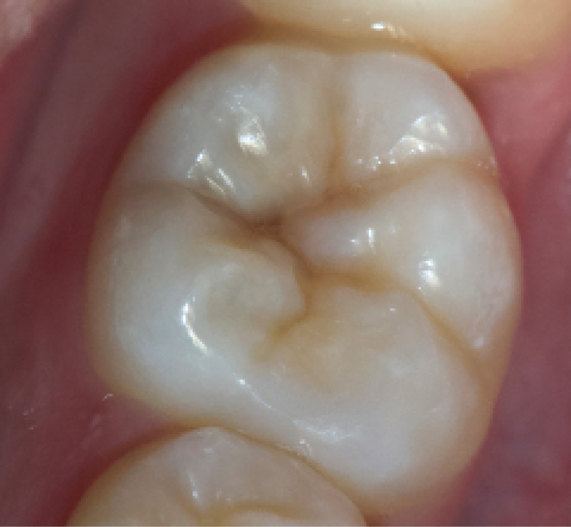
Se retiró el dique de hule y no hubo necesidad de revisar la oclusión, ya que no había diente antagonista. Al final se pulió la restauración con un cepillo Jiffy de Ultradent® y pasta Diamond Polish Mint 0.5 mm de Ultradent®. A una velocidad de pulido de 4,000 rpm relación 1:1. En la Figura 7 se muestra la restauración terminada.



DISCUSIóN

La investigación en el desarrollo de nuevos materiales bioactivos, aquéllos que se definen como el material bioactivo que provoque una respuesta específica biológica, favorezca la unión de un material y los tejidos al contacto con los líquidos del organismo, generando intercambio inmediato de iones de naturaleza físico química entre el material bioactivo, tejido blando y hueso y que en las restauraciones favorecen la efectividad a largo plazo y tienen protección antilesiones de caries.1 Todos los materiales bioactivos requieren tres propiedades fundamentales: material alcalino, sellado duradero y trabajar a base de agua. Se clasifican de acuerdo con la funcionalidad de cada material y sus usos clínicos pueden ser preventivos, terapéuticos, cementos y restaurativos.2

Activa® es el primer composite bioactivo con una matriz de resina iónica, un componente de resina que absorbe los choques y rellenos bioactivos que mimetizan las propiedades físicas y químicas de los dientes naturales.3,6 Algunas de las ventajas que nos llevaron a la elección de este material fue su capacidad de liberación de iones de calcio, fosfato y flúor, que se recargan con los iones de calcio, fosfato y flúor que se encuentran en la saliva, lo que permite continúe su bioactividad por un tiempo prolongado.6-9 No contiene bisfenol A, Bis-GMA ni derivados de BPA, además de que tiene la fuerza, estética y propiedades físicas similares a la de las resinas compuestas, lo cual nos permite que con mayor razón se utilicen en dientes posteriores.



CONCLUSIONES

Los materiales bioactivos, además de restaurar, tienen la función de liberar componentes protectores a largo plazo para mantener sano al órgano dentario, propiedad que no tienen los materiales tradicionales. Se sugiere su uso en pacientes de alto y bajo riesgo de caries.


REFERENCIAS (EN ESTE ARTÍCULO)

  1. Fernández Constanza E. Una de las enfermedades más prevalentes del mundo no es transmisible y puede ser controlada. Rev Clin Periodoncia Implantol Rehabil Oral. 2016; 9 (2): 175-176.

  2. Kassebaum NJ, Bernabe E, Dahiya M, Bhandari B, Murray CJ, Marcenes W. Global burden of untreated caries: a systematic review and metaregression. J Dent Res. 2015; 94: 650-658.

  3. Francisconi LF, Scaffa PM, de Barros VR, Coutinho M, Francisconi PA. Glass ionomer cements and their role in the restoration of non-carious cervical lesions. J Appl Oral Sci. 2009; 17 (5): 364-369.

  4. Frencken JE. Atraumatic restorative treatment and minimal intervention dentistry. Br Dent J. 2017; 223 (3): 183-189.

  5. Gomez J. Detection and diagnosis of the early caries lesion. BMC Oral Health. 2015; 15 Suppl 1 (Suppl 1): S3. doi: 10.1186/1472-6831-15-S1-S3.

  6. Jefferies SR. Bioactive and biomimetic restorative materials: a comprehensive review. Part I. J Esthet Restor Dent. 2014; 26 (1): 14-26.

  7. Opdam NJ, van de Sande FH, Bronkhorst E, Cenci MS, Bottenberg P, Pallesen U et al. Longevity of posterior composite restorations: a systematic review and meta-analysis. J Dent Res. 2014; 93 (10): 943-949.

  8. Sheiham A. Oral health, general health and quality of life. Bull World Health Organ. 2005; 83 (9): 644.

  9. May E, Donly KJ. Flouride release and re-release from a bioactive restorative material. Am J Dent. 2017; 30 (6): 305-308.



AFILIACIONES

1 Universidad De La Salle Bajío. León, Guanajuato.



Conflicto de intereses: no hay conflicto de intereses.

Aspectos éticos: el paciente leyó y firmó un consentimiento informado.

Financiamiento: no se recibió financiamiento.



CORRESPONDENCIA

Paulina Hernández-Coronado. E-mail: phernandezcoronado@gmail.com




Recibido: 06 de septiembre de 2021. Aceptado: 16 de noviembre de 2022.

Figura 1
Figura 2
Figura 3
Figura 4
Figura 5
Figura 6
Figura 7

2020     |     www.medigraphic.com

Mi perfil

C?MO CITAR (Vancouver)

Rev ADM. 2022;79

ARTíCULOS SIMILARES

CARGANDO ...