medigraphic.com
ENGLISH

Neurología, Neurocirugía y Psiquiatría

ISSN 0028-3851 (Impreso)
  • Mostrar índice
  • Números disponibles
  • Información
    • Información general        
    • Directorio
  • Publicar
    • Instrucciones para autores        
  • medigraphic.com
    • Inicio
    • Índice de revistas            
    • Registro / Acceso
  • Mi perfil

2022, Número 3

<< Anterior

Rev Neurol Neurocir Psiquiat 2022; 50 (3)


Absceso cerebral bilateral frontal, medicina hiperbárica, cirugía y terapia antimicrobiana en germen extraño. Reporte de caso y revisión de la literatura

Serrato PJD, Gutiérrez A, Chacón L, Donato Á
Texto completo Cómo citar este artículo 10.35366/108767

DOI

DOI: 10.35366/108767
URL: https://dx.doi.org/10.35366/108767
Artículos similares

Idioma: Ingles.
Referencias bibliográficas: 20
Paginas: 109-113
Archivo PDF: 234.41 Kb.


PALABRAS CLAVE

Absceso cerebral, Streptococcus intermedius, terapia hiperbárica, cirugía cerebral.

RESUMEN

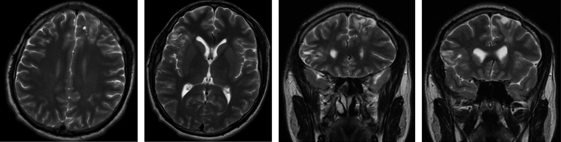
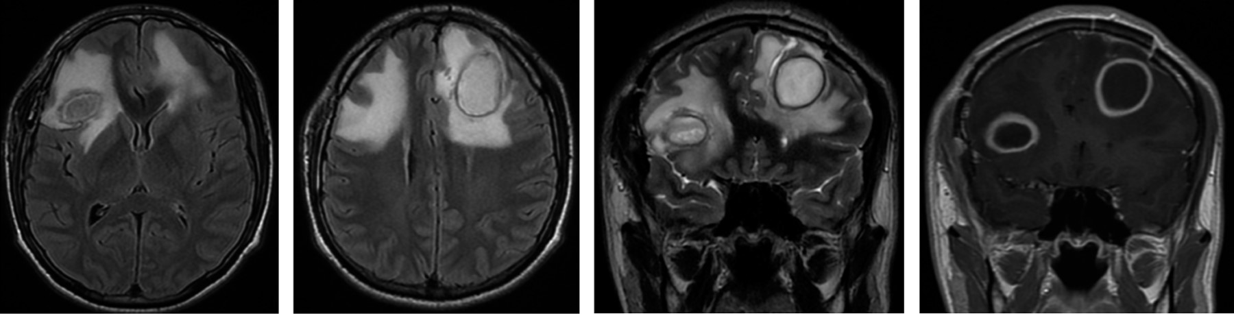
El absceso cerebral es un evento extraño en el paciente inmunológicamente competente, por lo general secundario a procesos infecciosos en cavidades craneales, principalmente en senos paranasales, celdillas mastoideas y oído medio. Diferentes esquemas de manejo han sido propuestos en presencia de microorganismos que día a día son más resistentes a los tratamientos farmacológicos. Dependiendo del tamaño y la localización, los abscesos cerebrales requieren tratamiento médico y quirúrgico en conjunto con técnicas modernas como la terapia hiperbárica. Presentamos un caso clínico de un hombre de 20 años con cefalea intensa y compromiso del estado neurológico secundario a dos abscesos en lóbulos frontales con erradicación del 100% de las colecciones y mejoría del estado neurológico y funcional del paciente.


REFERENCIAS (EN ESTE ARTÍCULO)

  1. Britt RH, Enzmann DR, Yeager AS. Neuropathological and computerized tomographic findings in experimental brain abscess. J Neurosurg. 1981; 55 (4): 590-603. doi: 10.3171/jns.1981.55.4.0590.

  2. Alvis Miranda H, Castellar-Leones SM, Elzain MA, Moscote-Salazar LR. Brain abscess: current management. J Neurosci Rural Pract. 2013; 4 (Suppl 1): S67-S81. doi: 10.4103/0976-3147.116472.

  3. Brook I. Microbiology and treatment of brain abscess. J Clin Neurosci. 2017; 38: 8-12. doi: 10.1016/j.jocn.2016.12.035.

  4. Brouwer MC, Tunkel AR, van de Beek D. Epidemiology, diagnosis, and antimicrobial treatment of acute bacterial meningitis. Clin Microbiol Rev. 2010; 23 (3): 467-492. doi: 10.1128/CMR.00070-09.

  5. Tomoye EO, Moon RE. Hyperbaric oxygen for intracranial abscess. Undersea Hyperb Med. 2021; 48 (1): 97-102. doi: 10.22462/01.03.2021.12.

  6. Sonneville R, Ruimy R, Benzonana N et al. An update on bacterial brain abscess in immunocompetent patients. Clin Microbiol Infect. 2017; 23 (9): 614-620. doi: 10.1016/j.cmi.2017.05.004.

  7. Pelosi RE. Brain abscess. J Med Soc N J. 1973; 70 (8): 574-577.

  8. Cantiera M, Tattevin P, Sonneville R. Brain abscess in immunocompetent adult patients. Rev Neurol (Paris). 2019; 175 (7-8): 469-474. doi: 10.1016/j.neurol.2019.07.002.

  9. Brouwer MC, Tunkel AR, McKhann GM 2nd, van de Beek D. Brain abscess. N Engl J Med. 2014; 371 (5): 447-456. doi: 10.1056/NEJMra1301635.

  10. Greenberg MS. Handbook of neurosurgery. 9th ed. New York: Thieme; 2019.

  11. González-Hachero J, Carbonero Celis MJ, Ruiz Ledesma C, Gómez Calzado A, Romero Arce J. Absceso cerebral. Rev Esp Pediatr. 2005; 61 (5): 387-390.

  12. Lai PH, Ho JT, Chen WL, Hsu SS, Wang JS, Pan HB et al. Brain abscess and necrotic brain tumor: discrimination with proton MR spectroscopy and diffusion-weighted imaging. AJNR Am J Neuroradiol. 2002; 23 (8): 1369-1377.

  13. Sims L, Lim M, Harsh GR. Review of brain abscesses. Oper Tech Neurosurg. 2004; 7 (4): 176-181. Available in: https://doi.org/10.1053/j.otns.2005.06.002

  14. Erdogan E, Cansever T. Pyogenic brain abscess. Neurosurg Focus. 2008; 24 (6): E2. doi: 10.3171/FOC/2008/24/6/E2.

  15. Bilic I, Petri NM, Krstulja M et al. Hyperbaric oxygen is effective in early stage of healing of experimental brain abscess in rats. Neurol Res. 2012; 34 (10): 931-936. doi: 10.1179/1743132812Y.0000000091.

  16. Muzumdar D, Jhawar S, Goel A. Brain abscess: an overview. Int J Surg. 2011; 9 (2): 136-144. doi: 10.1016/j.ijsu.2010.11.005.

  17. Kurschel S, Mohia A, Weigl V, Eder HG. Hyperbaric oxygen therapy for the treatment of brain abscess in children. Childs Nerv Syst. 2006; 22 (1): 38-42. doi: 10.1007/s00381-005-1147-z.

  18. Mortensen CR. Hyperbaric oxygen therapy. Curr Anaesth Crit Care. 2008; 19 (5-6): 333-337. doi: 10.1016/j.cacc.2008.07.007.

  19. Tibbles PM, Edelsberg JS. Hyperbaric-oxygen therapy. N Engl J Med. 1996; 334 (25): 1642-1648. doi: 10.1056/NEJM199606203342506.

  20. Kutlay M, Colak A, Yildiz S, Demircan N, Akin ON. Stereotactic aspiration and antibiotic treatment combined with hyperbaric oxygen therapy in the management of bacterial brain abscesses. Neurosurgery. 2005; 57 (6): 1140-1146.






Figura 1
Figura 2
Figura 3
Figura 4

2020     |     www.medigraphic.com

Mi perfil

C?MO CITAR (Vancouver)

Rev Neurol Neurocir Psiquiat. 2022;50

ARTíCULOS SIMILARES

CARGANDO ...