medigraphic.com
ENGLISH

Acta Médica Grupo Angeles

Órgano Oficial del Hospital Angeles Health System
  • Mostrar índice
  • Números disponibles
  • Información
    • Información general        
    • Directorio
  • Publicar
    • Instrucciones para autores        
    • Envío de artículos
    • Políticas
    • Nombre y afiliación del Comité Editorial
  • Nosotros
    • Plan de gestión e intercambio de datos
    • Objetivos declarados y alcance
  • medigraphic.com
    • Inicio
    • Índice de revistas            
    • Registro / Acceso
  • Mi perfil

2023, Número 1

<< Anterior Siguiente >>

Acta Med 2023; 21 (1)


Absceso hepático piógeno secundario a apendicitis del muñón

Argüello Ramírez, Verónica1; Boscó Gárate, Ilka2; Gutiérrez Ruiz, Francisco1; Martínez Rentería, Dalia Araceli3
Texto completo Cómo citar este artículo 10.35366/109028

DOI

DOI: 10.35366/109028
URL: https://dx.doi.org/10.35366/109028
Artículos similares

Idioma: Español
Referencias bibliográficas: 7
Paginas: 76-79
Archivo PDF: 190.41 Kb.


PALABRAS CLAVE

apendicitis muñón, absceso hepático, dolor abdominal, tomografía.

RESUMEN

La apendicitis del muñón es una rara y grave complicación tardía que se produce en pacientes apendicectomizados. La incidencia y prevalencia real no es bien conocida; no obstante, se considera que es superior a los casos publicados en la literatura médica. En el 2012 había alrededor de 50 casos reportados a nivel internacional. Una resección apendicular previa incompleta deja la vía abierta a una nueva apendicitis, en este caso del muñón, así como a complicaciones entre las que se encuentra el absceso intrahepático, el cual es realmente excepcional, motivo por lo cual se decidió reportar el siguiente caso. El diagnóstico de sospecha es clínico junto con técnicas de imagen, siendo la ecografía y la tomografía computarizada las exploraciones más rentables.



INTRODUCCIóN

La apendicitis del muñón es una situación clínica muy rara, en la cual el resto quirúrgico apendicular presenta un cuadro de inflamación-infección progresiva.1 Su etiopatogenia no es clara, pero se apunta a que la luz del remanente apendicular puede ser obstruida por un fecalito, llegando a producir una isquemia y la perforación posterior.2 Se han descrito como factores de riesgo la insuficiente invaginación del muñón, un resto apendicular excesivamente largo y una insuficiente apendicectomía laparoscópica, también se tendría que considerar si se realizó cirugía laparoscópica o abierta, ya que en la primera, aunque disminuye el dolor, las infecciones de la herida quirúrgica y la estancia hospitalaria corta han reportado mayor presentación de abscesos intraabdominales en los pacientes con procesos complicados.3

Los restos apendiculares que posteriormente han tenido una apendicitis van en un rango de 0.5 a 5.1 cm. La presentación clínica de la apendicitis del muñón puede ser aguda, subaguda o crónica, y se ha descrito su aparición entre los dos meses y los 52 años desde la apendicectomía.4

El absceso hepático como complicación de una apendicitis fue descrito por primera vez por Dieulafoy en 1898, la apendicitis solía ser la razón principal por la que las personas desarrollaban un absceso hepático, pero eso ha disminuido a menos de 10% desde que se dispone de un mejor diagnóstico y manejo de la enfermedad. Hoy en día, las enfermedades del tracto biliar (cálculos biliares, estenosis, malignidad y anomalías congénitas) son las principales causas de abscesos hepáticos piógenos,5 al momento no existen casos reportados de esta complicación secundaria a apendicitis del muñón6 de ahí la importancia de la publicación del siguiente caso.

El diagnóstico de sospecha, tanto de la apendicitis del muñón como de sus complicaciones, es clínico junto con técnicas de imagen como son la ecografía y la tomografía computarizada abdominal.7



CASO CLíNICO

Se presenta el caso de masculino de 67 años, el cual cuenta con antecedente de apendicectomía laparoscópica en 2018 (26 meses previo al padecimiento actual), acude al Servicio de Urgencias por malestar general, astenia y adinamia asociado a febrícula; a la exploración física dolor abdominal generalizado; se le solicitan estudios de laboratorio en donde se demuestra importante leucocitosis a expensas de neutrófilos, así como elevación de pruebas de funcionamiento hepático (Tabla 1).

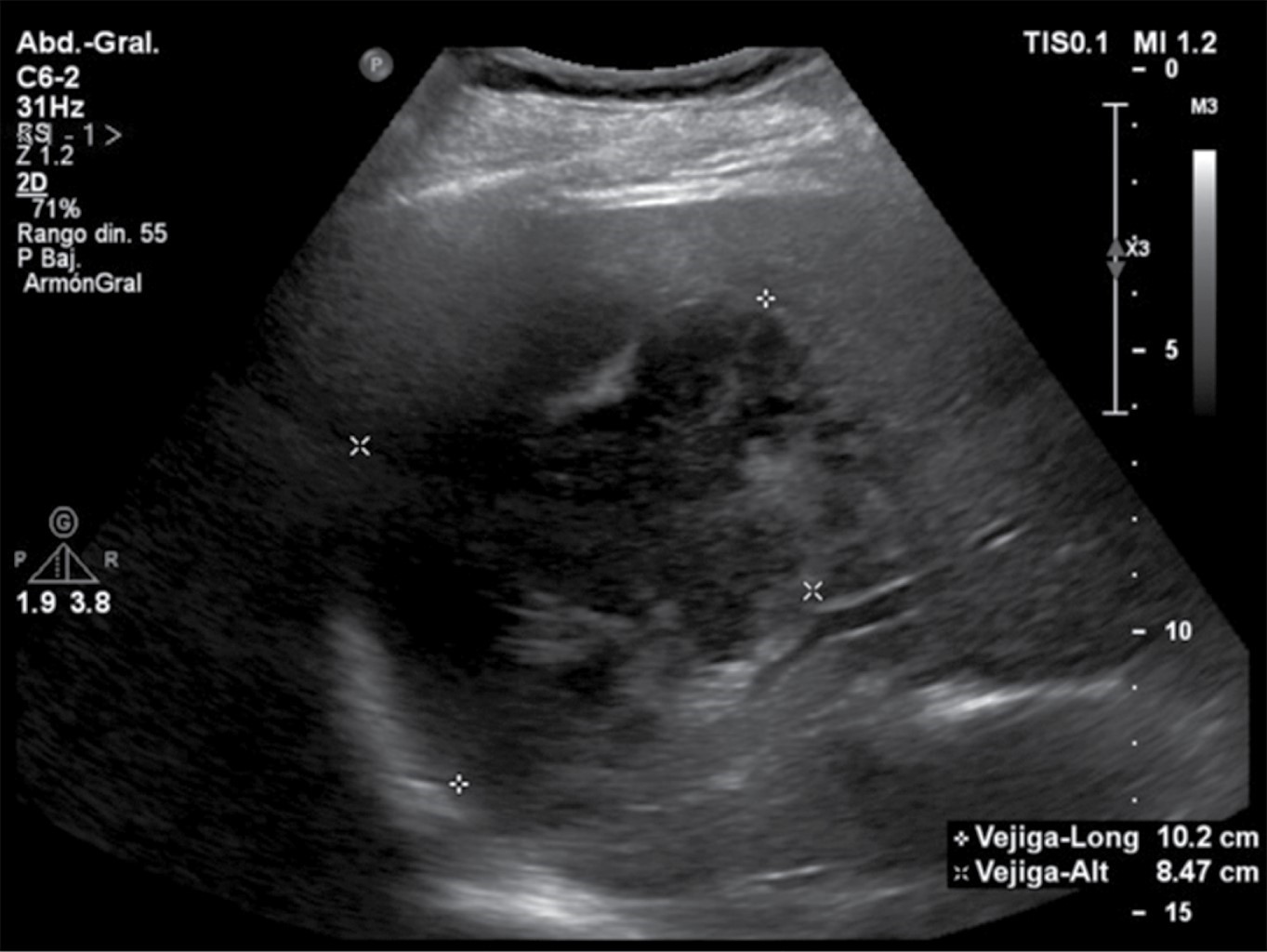
Debido a los hallazgos laboratoriales encontrados, se solicitó estudio de ultrasonido en búsqueda de foco infeccioso donde se identificó, en lóbulo hepático derecho, colección heterogénea ovoidea de bordes lobulados de predominio anecoico con imágenes ecogénicas lineales en su interior con dimensiones aproximadas de 10.2 × 8.4 × 7.5 cm, volumen de 341 cm3 a considerar en relación con absceso (Figura 1).

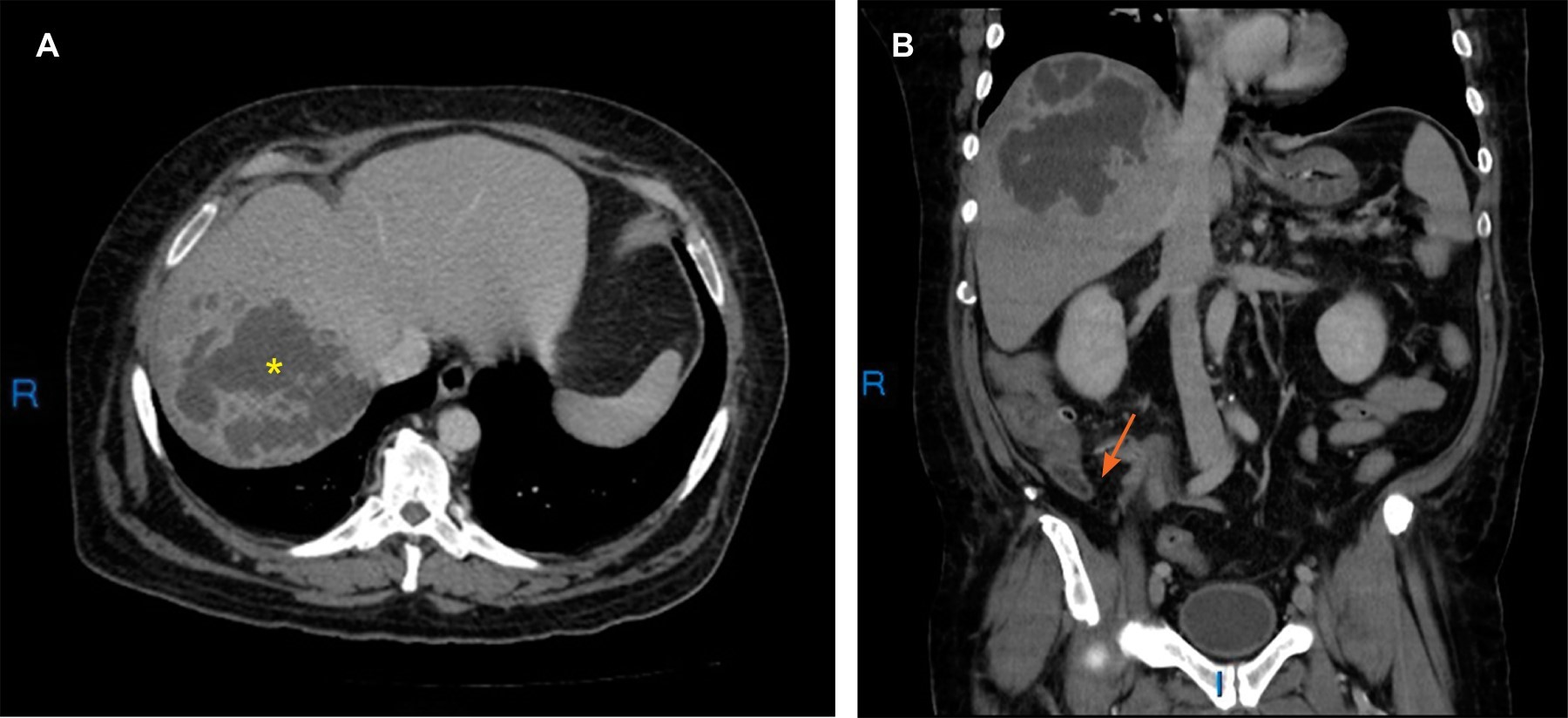
Se decide complementar con tomografía contrastada para mejor caracterización; se observa, en segmentos VII y VIII hepáticos, imágenes confluentes de bordes irregulares de predominio hipodenso en rango de atenuación de -4 UH que presentan realce periférico al paso del medio de contraste de hasta 60 UH en relación con absceso piógeno en fase subaguda (Figura 2A), como hallazgo se identifica remanente apendicular con longitud de 23 mm y un diámetro anteroposterior de 12 mm, con cambios inflamatorios a considerar en relación con apendicitis del muñón (Figura 2B).

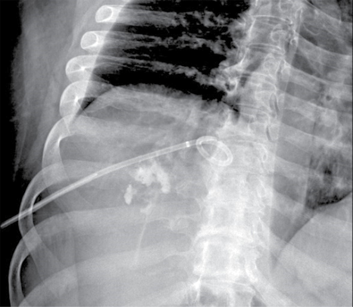
Posteriormente se realizó drenaje hepático por radiología intervencionista, obteniendo material purulento que en el cultivo reportó Streptococcus viridans (Figura 3). Asimismo, se dio manejo médico para el proceso inflamatorio apendicular, el cual no requirió quirúrgico.



DISCUSIóN

La apendicitis del muñón es una situación clínica muy rara, la cual, si existe un remanente apendicular (ya sea por una insuficiente invaginación, un remanente muy largo o una insuficiente apendicectomía), puede presentar inflamación e infección progresiva, de la misma manera en la que se presentaría una apendicitis aguda y, como cualquier infección, si no se resuelve de manera oportuna puede presentar complicaciones, como en este caso el absceso hepático. Éste no es una complicación frecuente, se produce en mayor proporción en el lóbulo hepático derecho con respecto al izquierdo; es mucho menos frecuente que se presente en pacientes que desarrollan apendicitis del muñón, de ahí la importancia de reportar este caso. Sin embargo, debe ser considerada como diagnóstico diferencial en pacientes con fiebre que no se resuelve, dolor abdominal y laboratorios que denoten infección.

Para la adecuada valoración, es necesario el interrogatorio y la exploración inicial, como se realiza para el diagnóstico de síndrome doloroso abdominal, posteriormente realizar los estudios de laboratorio iniciales y de la misma manera complementar con estudios de imagen.

En primera instancia, para establecer al diagnóstico, que por la inespecificidad de los síntomas puede dificultarse, se prefiere iniciar con los estudios de imagen más accesibles, siendo el ultrasonido el de primera línea por la no exposición a radiación.

La tomografía es el segundo estudio de imagen que se recomienda utilizar, ya que puede mostrarnos el proceso inflamatorio, como fue en este paciente el remanente apendicular que condicionó la formación del absceso. En este caso el tamaño del muñón apendicular permitió que fuera posible el desarrollo del proceso inflamatorio primario, de ahí la importancia de que en la apendicectomía se realice la resección completa, dejando un remanente menor a 5 mm, para que se reduzca el porcentaje de complicaciones a corto y a largo plazo.

Consideramos que los estudios de imagen aunado a la clínica del paciente son la base del diagnóstico, el cual debe realizarse de manera oportuna, para evitar un aumento de las complicaciones.



CONCLUSIóN

Consideramos que los estudios de imagen, aunados al contexto clínico del paciente, además de considerar esta patología como un factor diferencial para el dolor abdominal agudo en el cuadrante inferior derecho, son la base del diagnóstico, el cual debe realizarse de manera oportuna, para evitar un aumento de las complicaciones de morbilidad y mortalidad como sucedió en el caso presentado.


REFERENCIAS (EN ESTE ARTÍCULO)

  1. Kumar A, Sharma A, Khullar R, Soni V, Baijal M, Chowbey PK. Stump appendicitis: A rare clinical entity. J Minim Access Surg. 2013; 9 (4): 173-176.

  2. Watkins BP, Kothari SN, Landercasper J. Stump appendicitis: case report and review. Surg Laparosc Endosc Percutan Tech. 2004; 14 (3): 167-171.

  3. Paik PS, Towson JA, Anthone GJ, Ortega AE, Simons AJ, Beart RW Jr. Intra-abdominal abscesses following laparoscopic and open appendectomies. J Gastrointest Surg. 1997; 1 (2): 188-192; discussion 192-193.

  4. Shin LK, Halpern D, Weston SR, Meiner EM, Katz DS. Prospective CT diagnosis of stump appendicitis. AJR Am J Roentgenol. 2005; 184 (3 Suppl): S62-S64.

  5. Akhondi H, Sabih DE. Liver abscess. In: StatPearls [Internet]. Treasure Island (FL): StatPearls Publishing; 2022.

  6. Lederman ER, Crum NF. Pyogenic liver abscess with a focus on Klebsiella pneumoniae as a primary pathogen: an emerging disease with unique clinical characteristics. Am J Gastroenterol. 2005; 100 (2): 322-331.

  7. Eroles Vega G, Mecina Gutiérrez AB, Fernández García C, Mancebo Plaza AB, Riva Jiménez I. de la. Abscesos hepáticos: análisis retrospectivo de 68 casos. An Med Interna (Madrid). 2008; 25 (7): 335-341.



AFILIACIONES

1 Médico adscrito al Servicio de Radiología e Imagen, Hospital Central Norte de Pemex. México.

2 Médico Residente de cuarto año del curso de Imagenología Diagnóstica y Terapéutica del Hospital Central Norte de Pemex.

3 Jefa del Servicio de Radiología e Imagen, Hospital Central Norte de Pemex. México.



Conflicto de intereses: no existe conflicto de intereses.



CORRESPONDENCIA

Verónica Argüello Ramírez. Correo electrónico: draveroarguello@gmail.com




Aceptado: 20-04-2022.

Figura 1
Figura 2
Figura 3
Tabla 1

2020     |     www.medigraphic.com

Mi perfil

C?MO CITAR (Vancouver)

Acta Med. 2023;21

ARTíCULOS SIMILARES

CARGANDO ...