medigraphic.com
ENGLISH

Acta Médica Grupo Angeles

Órgano Oficial del Hospital Angeles Health System
  • Mostrar índice
  • Números disponibles
  • Información
    • Información general        
    • Directorio
  • Publicar
    • Instrucciones para autores        
    • Envío de artículos
    • Políticas
    • Nombre y afiliación del Comité Editorial
  • Nosotros
    • Plan de gestión e intercambio de datos
    • Objetivos declarados y alcance
  • medigraphic.com
    • Inicio
    • Índice de revistas            
    • Registro / Acceso
  • Mi perfil

2023, Número 1

<< Anterior Siguiente >>

Acta Med 2023; 21 (1)


Orbitopatía tiroidea unilateral

Magaña Reyes, Jorge Ignacio1; Domínguez Carrillo, Luis Gerardo2
Texto completo Cómo citar este artículo 10.35366/109034

DOI

DOI: 10.35366/109034
URL: https://dx.doi.org/10.35366/109034

Idioma: Español
Referencias bibliográficas: 0
Paginas: 91-91
Archivo PDF: 110.09 Kb.


PALABRAS CLAVE

Sin palabras Clave



La orbitopatía tiroidea (OT) es una enfermedad de carácter autoinmune de etiología desconocida, con incidencia entre 50 y 60%, conocida con el nombre de oftalmopatía de Graves (OG), se considera la manifestación extratiroidea más frecuente; puede presentarse en pacientes sin historia pasada o presente de hipertiroidismo, en pacientes hipotiroideos y en la tiroiditis de Hashimoto.

La edad de presentación es entre los 25 a 65 años; de 10 a 12% de los pacientes con enfermedad de Graves presentan signos y síntomas clínicos de OT, es bilateral (85-95%) y unilateral (5-15%); aparece seis meses antes del hipertiroidismo en 18.5%, coinciden ambas en 20% y se presenta seis meses después del hipertiroidismo en 35%, puede asociarse a otras enfermedades autoinmunes como Miastenia gravis, vitíligo y diabetes.

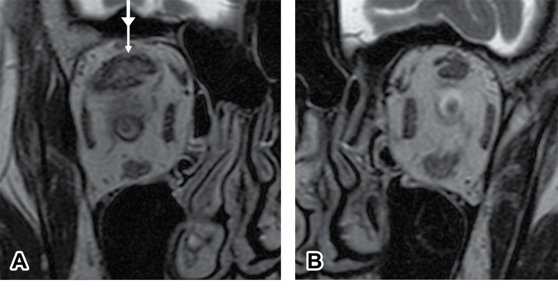
En la OT se produce aumento de volumen de los músculos extraoculares, de la grasa y del tejido conectivo por depósito de glucosaminoglicanos y de linfocitos T CD4+, macrófagos y linfocitos, lo que afecta al tejido conectivo o septos fibrosos de los músculos extraoculares que parecen ser los sitios involucrados en la fibrosis y cicatrización que se manifiesta como exoftalmos, alteración de la motilidad, congestión venosa, compresión en el ápex y neuropatía (Figuras 1 y 2).




AFILIACIONES

1 Radiología e Imagenología. Gestalt Imagen. León, Guanajuato. México.

2 Especialista en Medicina de Rehabilitación. Catedrático de la Facultad de Medicina de León, Universidad de Guanajuato. México.



CORRESPONDENCIA

Dr. Luis Gerardo Domínguez Carrillo. Correo electrónico: lgdominguez@hotmail.com




Aceptado: 31-03-2022.

Figura 1
Figura 2

2020     |     www.medigraphic.com

Mi perfil

C?MO CITAR (Vancouver)

Acta Med. 2023;21

ARTíCULOS SIMILARES

CARGANDO ...