medigraphic.com
ENGLISH

Cirujano General

ISSN 2594-1518 (Digital)
ISSN 1405-0099 (Impreso)
  • Mostrar índice
  • Números disponibles
  • Información
    • Información general        
    • Directorio
  • Publicar
    • Instrucciones para autores        
    • Envío de artículos
  • medigraphic.com
    • Inicio
    • Índice de revistas            
    • Registro / Acceso
  • Mi perfil

2022, Número 1

<< Anterior Siguiente >>

Cir Gen 2022; 44 (1)


Hemocolecisto: abordaje laparoscópico, reporte de un caso y revisión de la literatura

Decanini Terán, César Óscar1; Vega de Jesús, Martín2; Maldonado García, Edwin Leopoldo3; González Macedo, Edgar Agustín2; Pereyra Arzate, Jorge Enrique4
Texto completo Cómo citar este artículo 10.35366/109318

DOI

DOI: 10.35366/109318
URL: https://dx.doi.org/10.35366/109318
Artículos similares

Idioma: Español/Inglés [English version]
Referencias bibliográficas: 12
Paginas: 40-43
Archivo PDF: 217.72 Kb.


PALABRAS CLAVE

hemocolecisto, colecistitis hemorrágica, colecistectomía laparoscópica.

RESUMEN

La colecistitis hemorrágica es una complicación rara de la colecistitis aguda. Presentamos el caso de un paciente masculino de 77 años de edad con el antecedente de cardiopatía isquémica, tromboembolia pulmonar y aneurisma aórtico por medio de manejo con anticoagulación oral, acudió a urgencias por presentar dolor abdominal, la angiotomografía computarizada reportó sangrado activo hacia la luz de la vesícula biliar y hemoperitoneo, se realizó una colecistectomía laparoscópica de cuatro puertos, con los siguientes hallazgos: vesícula biliar perforada, hemoperitoneo y sangrado activo intravesicular. Conclusión: el hemocolecisto es una patología poco frecuente, la colecistectomía laparoscópica constituye una técnica segura en el tratamiento de esta patología.



INTRODUCCIóN

La colecistitis hemorrágica es una complicación rara de la colecistitis aguda. Esta entidad es difícil de detectar, ya que sus síntomas se confunden fácilmente con diagnósticos más comunes.1 Fue descrita por primera vez en el año 1892 por Naunyn, aunque fue hasta 1938 que Fiessinger y colaboradores utilizaron el término hemocolecisto. Desde entonces, existen sólo series y reportes de casos de esta patología, con diferentes protocolos diagnósticos y terapéuticos.2

La colecistitis hemorrágica con perforación vesicular y hemoperitoneo, a pesar de ser una entidad poco frecuente, tiene una alta mortalidad.2 Los hallazgos ultrasonográficos pueden presentarse en colecistitis aguda con signos indirectos de líquido libre complejo, hematoma de fosa de vesícula biliar y hemorragia intrahepática.3



PRESENTACIóN DEL CASO

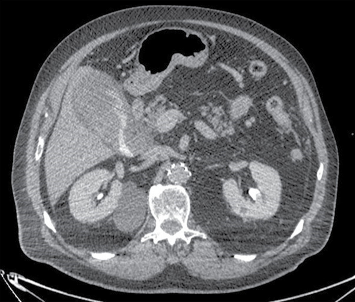
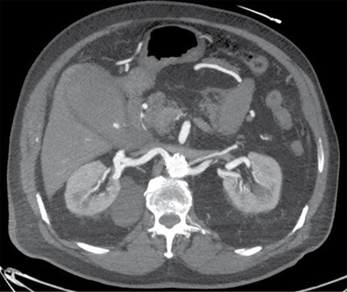
Paciente masculino de 77 años de edad con el antecedente de cardiopatía isquémica no especificada en 2001, tratada con la colocación de dos stents coronarios en acompañamiento con ácido acetilsalicílico; además de tromboembolia pulmonar en 2009, en tratamiento con acenocumarol; y aneurisma aórtico tratado en 2012 con stent aortoiliaco. Acudió a urgencias por presentar dolor abdominal difuso con 12 horas de evolución e intensidad 8/10 en escala de EVA, sin irradiaciones, sin exacerbantes, con náusea sin vómito, se automedicó con butilhioscina y presentó mejoría parcial de 6/10 en escala de EVA. A la exploración física se encontró Glasgow de 15, saturación a 90%, hipertensión arterial 211/116, temperatura de 36 oC, frecuencia respiratoria 13 y abdomen globoso con datos de irritación peritoneal. Los laboratorios reportaron hemoglobina 18.5 g/dl (14.5-18.5), hematocrito 54.4% (42.0-50.0), leucocitos 13.9 103/μl (4.8-10.0), plaquetas 170 103/μl (150-450), TP 42.34 segundos (9.60-12.00), INR 4.33 (0.90-1.20) y TTPa 34 segundos (22-35). Por los antecedentes médicos y quirúrgicos, se decidió realizar angiotomografía computarizada, que reportó sangrado activo hacia la luz de la vesícula biliar (Figuras 1 y 2), hemoperitoneo, stent aortoiliaco permeable y en situación normal, y arteria mesentérica inferior obliterada. Se decidió su ingreso a Terapia Intensiva para estabilización hemodinámica, se transfundieron seis Octapro® (factores de la coagulación IX, II, VII y X), dos paquetes globulares, cuatro plasmas y tres aféresis plaquetarias, además se realizó colecistectomía laparoscópica dos horas después de su ingreso hospitalario.



TéCNICA QUIRúRGICA

Bajo anestesia general, se colocó al paciente en posición americana; se realizó neumoperitoneo por puerto de 12 mm transumbilical con técnica abierta; se colocó, bajo visión directa, puerto de 10 mm subxifoideo y dos puertos de trabajo de 5 mm; se llevó a cabo laparoscopia diagnóstica que encontró vesícula biliar perforada, hemoperitoneo y sangrado activo intravesicular (Figura 3); se ejecutó aspirado de hemoperitoneo y bilis; se efectuó tracción cenital de vesícula biliar y disección de arteria cística; se practicó clipado con Hem-O-Lok® en arteria y conducto cístico, previa vista crítica (Figura 4); se resecó vesícula biliar con bisturí armónico; se retiró pieza quirúrgica utilizando bolsa endoscópica; se hizo lavado de cavidad y aspirado; se colocó Surgicel® en lecho quirúrgico y drenaje tipo Blake 19 Fr; se retiraron puertos de trabajo, bajo visión directa, sin evidencia de sangrado; se afrontó aponeurosis y piel; y se dio por concluido el acto quirúrgico; por último, se reportaron 1,000 ml de sangrado y un tiempo quirúrgico de 100 minutos. El paciente presentó buena evolución postquirúrgica, toleró la vía oral en el segundo día y se decidió su egreso en el quinto día postquirúrgico. Reporte de patología: vesícula biliar con colecistitis aguda perforada con necrosis transmural, no se observan datos de malignidad.



DISCUSIóN

El origen del hemoperitoneo por perforación vesicular puede ser la ruptura de la arteria cística o alguna de sus ramas, la perforación transhepática de la vesícula y el sangrado de los márgenes de la perforación. La presencia de hemoperitoneo en el curso de una perforación vesicular es muy rara.4

El paciente con hemorragia en la vesícula biliar puede presentarse de varias maneras. La sangre puede coagularse dentro de la vesícula biliar, lo que resulta en distensión de la vesícula biliar y posiblemente perforación en el abdomen, al dar lugar a una peritonitis. La sangre también puede coagularse dentro del conducto biliar común, lo que ocasiona síntomas obstructivos. La sangre puede entrar en la luz intestinal, con hematemesis o melena subsecuentes.5

La patogenia es un proceso necroinflamatorio agudo que conlleva a un sangrado. Gremmels y colaboradores describieron los hallazgos patológicos de la colecistitis aguda, que muestran que la inflamación intramural daña la mucosa con infarto y erosión. La ruptura de la mucosa puede causar una hemorragia en la luz de la vesícula biliar.6

En su etiología están implicados los cálculos biliares (50% de los casos), la anticoagulación, la antiagregación o la coagulopatía, el cáncer de la vesícula biliar, los traumatismos, la hipertensión portal, la corticoterapia, la discrasia sanguínea, la mucosa gástrica o pancreática ectópica, y los parásitos.7

La posibilidad de colecistitis hemorrágica debe considerarse en pacientes que reciben tratamiento anticoagulante con un alto riesgo de diátesis hemorrágica y que presentan cólico biliar, hematemesis, ictericia y melena. El cuadro clínico del hemocolecisto es inespecífico y los pacientes pueden presentar dolor en el hipocondrio derecho, debido a la distensión vesicular secundaria a la obstrucción del conducto cístico por coágulos sanguíneos.8

Se debe reconocer la importancia de una evaluación inicial completa en los pacientes con sospecha de colecistitis hemorrágica, además de realizar los estudios radiológicos indicados que ayuden a sospechar de esta rara y desafiante manifestación de la patología vesicular.9

Los hallazgos ecográficos de colecistitis hemorrágica pueden mostrar engrosamiento de la pared de la vesícula biliar, membranas intraluminales y material ecogénico intraluminal no móvil, ni ensombrecido. Los hallazgos de la tomografía computarizada (TC) pueden demostrar extravasación de contraste, alta atenuación dentro de la luz de la vesícula biliar y estratificación fluido-fluido.10

La TC con fase arterial puede ayudar a diagnosticar y demostrar los hallazgos característicos del engrosamiento de la pared, de la vesícula biliar distendida y los materiales heterogéneos en su interior, además de la extravasación activa del contraste en el lumen de la vesícula biliar.11

La colecistectomía es el tratamiento reportado en la mayoría de la literatura de la colecistitis hemorrágica, se ha demostrado que las técnicas quirúrgicas laparoscópicas se pueden usar de manera segura en estos casos, en que la probabilidad de lesiones asociadas es baja, y se puede brindar un tratamiento definitivo sin aumentar la morbilidad y la mortalidad del paciente.12



CONCLUSIóN

La colecistitis hemorrágica con perforación vesicular y hemoperitoneo es una entidad poco frecuente en la patología de la vesícula biliar, la cual establece un reto médico para el cirujano en la urgencia abdominal. La colecistectomía laparoscópica constituye una técnica segura en el tratamiento de esta patología.


REFERENCIAS (EN ESTE ARTÍCULO)

  1. Kwon JN. Hemorrhagic cholecystitis: report of a case. Korean J Hepatobiliary Pancreat Surg. 2012; 16: 120-122.

  2. Agrawal HS, Anderson RE. Hemocholecyst. A case report. Arch Surg. 1967; 94: 286-289.

  3. Bolívar-Rodríguez M, Cázarez-Aguilar MA, Fierro-López R, Morales-Ramírez C. Colecistitis hemorrágica: reporte de caso y revisión de la literatura. Rev Chil Cir. 2019; 71: 70-74.

  4. López Pérez R, Marchena Gómez J, Flebes Molina G, Hernández Romero J. Hemoperitoneo: una rara complicación de la perforación de la vesícula biliar. Rev Esp Enferm Dig. 2004; 96: 516-517.

  5. Lai YC, Tarng DC. Hemorrhagic acalculous cholecystitis: an unusual location of uremic bleeding. J Chin Med Assoc. 2009; 72: 484-487.

  6. Morris DS, Porterfield JR, Sawyer MD. Hemorrhagic cholecystitis in an elderly patient taking aspirin and cilostazol. Case Rep Gastroenterol. 2008; 2: 203-207. doi: 10.1159/000135693.

  7. Calvo Espino P, Chaparro Cabezas MD, Jiménez Cubedo E, Lucena de la Poza JL, Sánchez Turrión V. Colecistitis hemorrágica perforada. Cir Esp. 2016; 94: e35-e36.

  8. García LDJ, Venegas EAI, Ramírez GS, Evaristo MG. Hemocolecisto secundario a colecistitis crónica: reporte de un caso. Rev Esp Med Quir. 2014; 19: 181-184.

  9. Liefman D, Wullschleger M. Hemorrhagic cholecystitis: a rare cause of presentation with upper gastrointestinal bleeding. Int Ann Med. 2018; 2. doi: 10.24087/iam.2018.2.5.480.

  10. Sweeny A, Smith NA, Serfin JA. Hemorrhagic cholecystitis causing hemobilia and common bile duct obstruction. J Surg Case Rep. 2019; 2019: rjz081.

  11. Tavernaraki K, Sykara A, Tavernaraki E, Chondros D, Lolis ED. Massive intraperitoneal bleeding due to hemorrhagic cholecystitis and gallbladder rupture: CT findings. Abdom Imaging. 2011; 36: 565-568.

  12. Shope TR, Bass TL, Haluck RS. Laparoscopic management of traumatic hemorrhagic cholecystitis. JSLS. 2004; 8: 93-95.



AFILIACIONES

1 Cirugía digestiva, coloproctología y de mínima invasión. Jefe de Cirugía. Centro Médico ABC. México.

2 Cirujano de Colon y Recto. Centro Médico ABC. México.

3 Curso de Postgrado de Alta Especialidad en Cirugía Endoscópica. Centro Médico ABC. México.

4 Residente de Cirugía General. Centro Médico ABC. México.



Consideraciones y responsabilidad ética: los autores declaran que siguieron los protocolos de su centro de trabajo sobre la publicación de datos de pacientes, resguardando su derecho a la privacidad mediante la confidencialidad de sus datos.

Financiamiento: no se recibió apoyo financiero para la realización de este trabajo.

Conflicto de intereses: los autores declaran que no existe ningún conflicto de intereses en la realización del trabajo.



CORRESPONDENCIA

Acad. Dr. César Óscar Decanini Terán. E-mail: cdecanini@decaniniyasociados.com




Recibido: 17/07/2021. Aceptado: 22/07/2022

Figura 1
Figura 2
Figura 3
Figura 4

2020     |     www.medigraphic.com

Mi perfil

C?MO CITAR (Vancouver)

Cir Gen. 2022;44

ARTíCULOS SIMILARES

CARGANDO ...