medigraphic.com
ENGLISH

Investigación en Discapacidad

ISSN 2992-779X (Digital)
ISSN 2007-6452 (Impreso)
  • Mostrar índice
  • Números disponibles
  • Información
    • Información general        
    • Directorio
  • Publicar
    • Instrucciones para autores        
  • medigraphic.com
    • Inicio
    • Índice de revistas            
    • Registro / Acceso
  • Mi perfil

2023, Número 1

<< Anterior Siguiente >>

Investigación en Discapacidad 2023; 9 (1)


Anomalía de Uhl, una enfermedad infrecuente. Reporte de caso

Ortega-Zhindón, Diego Bernardo1; Calderón-Colmenero, Juan2; Pérez-Hernández, Nonanzit3; Rodríguez-Pérez, José Manuel3; Mora-Canela, Sergio Luis4; Cervantes-Salazar, Jorge Luis1
Texto completo Cómo citar este artículo 10.35366/109509

DOI

DOI: 10.35366/109509
URL: https://dx.doi.org/10.35366/109509
Artículos similares

Idioma: Español
Referencias bibliográficas: 8
Paginas: 24-27
Archivo PDF: 216.58 Kb.


PALABRAS CLAVE

anomalía de Uhl, cardiopatía congénita, disfunción ventricular derecha, cardiopatía dilatada.

RESUMEN

La anomalía de Uhl es una cardiopatía infrecuente que se caracteriza por un ventrículo derecho de paredes delgadas y que está dilatado, esto por la ausencia de miocardio. La hipótesis es que sucede por una alteración en el desarrollo embrionario y una apoptosis del miocardio en el ventrículo derecho. Se presenta con falla cardiaca. El diagnóstico definitivo se determina por anatomía patológica; no obstante, los hallazgos ecocardiográficos y de resonancia magnética nos permiten el acercamiento diagnóstico. No existe un tratamiento estándar por lo que inicialmente es médico y sintomático. Las opciones quirúrgicas incluyen, desde procedimientos paliativos hasta el trasplante cardiaco; sin embargo, el pronóstico es incierto. Presentamos el caso de un lactante con disnea y diaforesis.



INTRODUCCIóN

La anomalía de Uhl es una de las cardiopatías congénitas más inusuales, caracterizada por la ausencia del miocardio de la pared libre del ventrículo derecho, que mantiene las trabeculaciones del septum interventricular derecho y una estructura valvular normal, tanto de la tricúspide como de la pulmonar.1,2

Por este motivo, el ventrículo derecho presenta dilatación de manera importante, pierde su capacidad contráctil manifestándose con congestión venosa sistémica, edema de miembros pélvicos, hepatomegalia, ingurgitación yugular importante, disnea, taquicardia y cianosis.2 A continuación, presentamos el caso de un paciente que debutó con disnea y diaforesis.



PRESENTACIóN DEL CASO

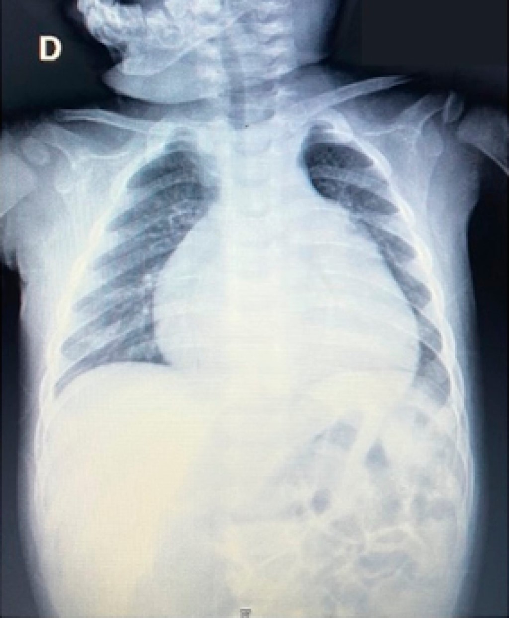
Masculino de un año y cuatro meses sin antecedentes de importancia, ingresó al Departamento de Urgencias por presentar disnea y diaforesis con la alimentación. A la exploración física con oximetría de pulso de 85%. En la radiografía de tórax se observó cardiomegalia a expensas de cavidades derechas con índice cardiotorácico de 0.68 (Figura 1). En el electrocardiograma se encontró ritmo sinusal, con frecuencia cardiaca de 150 latidos por minuto, desviación del eje eléctrico a la derecha con crecimiento de las cavidades derechas.

Durante su valoración inicial presentó deterioro del estado hemodinámico, por lo que se decidió intubación y apoyo con vasopresores e inotrópicos, además de completar el abordaje diagnóstico con estudios de gabinete.

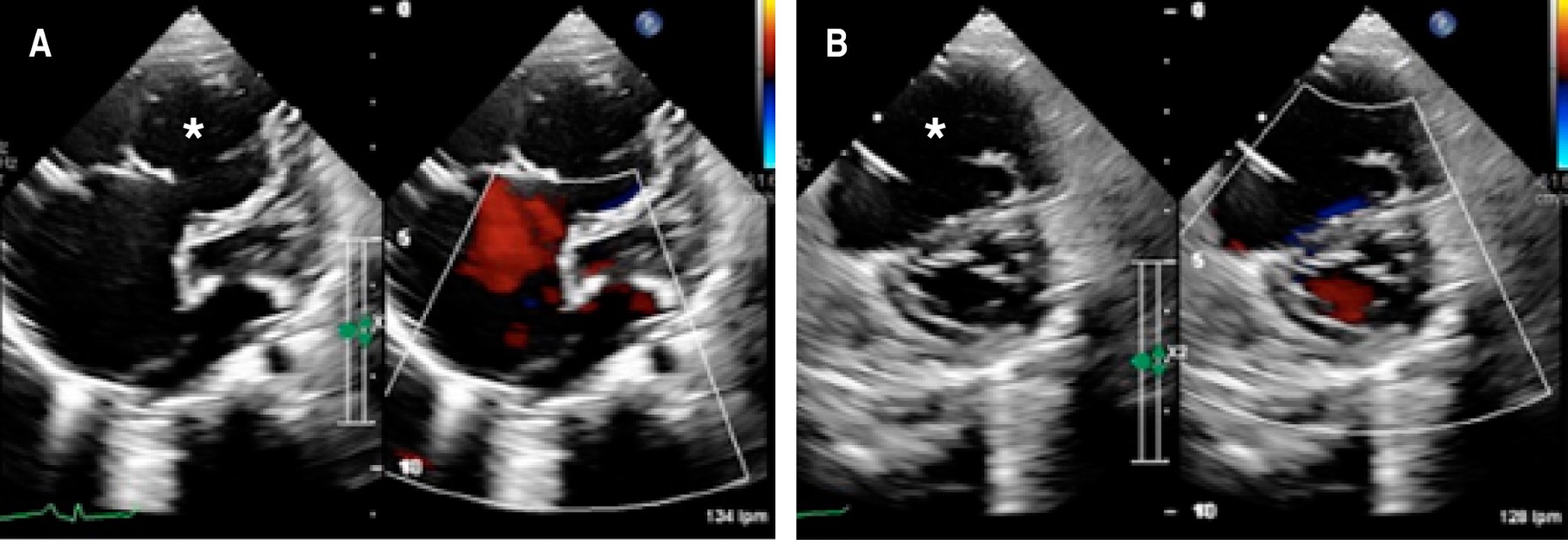
El ecocardiograma mostró una aurícula derecha dilatada de 58 mL/m2 (z-Score: + 2.17) con insuficiencia tricúspide severa, comunicación interauricular de 3.5 mm, con dilatación ventricular derecha 35 mL (z-Score: + 4.16) y disfunción diastólica con TAPSE de 10 mm y fracción de acortamiento del ventrículo derecho de 26% con movimiento septal paradójico (Figura 2).

Se decidió complementar con estudio de resonancia magnética cardiaca, la cual reportó dilatación de la vena cava inferior, aurícula derecha de 38 × 36 mm con área de 13.4 cm2, ventrículo derecho con diámetro diastólico de 42 mm (z-Score: + 4.83), anillo tricuspídeo de 24 mm con insuficiencia grave y el tabique interauricular con abombamiento hacia la izquierda sin evidencia de cortocircuito, disfunción sistólica grave del ventrículo derecho con una fracción de eyección de 21% con sospecha diagnóstica de anomalía de Uhl (Figura 3).

Se decidió abordaje quirúrgico por esternotomía media. Se realizó canulación aórtica y bicaval con derivación cardiopulmonar y pinzamiento aórtico. A través de una auriculotomía se realiza atrioseptectomía y exclusión del ventrículo derecho con cierre de la válvula tricuspídea, parche de pericardio bovino y fenestra de 5 mm (procedimiento de Starnes); posteriormente se confeccionó fístula sistémico-pulmonar desde el tronco braquiocefálico hasta la arteria pulmonar derecha con injerto de Gore-tex© de 5 mm. El procedimiento se realizó con un tiempo de circulación extracorpórea de 70 minutos y pinzamiento aórtico de 20 minutos.

Durante la estancia en terapia intensiva cardiovascular pediátrica el paciente presentó inestabilidad hemodinámica, por lo que requirió de apoyo con vasopresores e inotrópicos, así como manejo con parámetros ventilatorios altos, sin lograr estabilidad hemodinámica ni metabólica, de modo que a las 48 horas postquirúrgicas falleció.



DISCUSIóN

En 1905, Osler realiza la primera descripción de esta patología, al mencionar el adelgazamiento del ventrículo derecho, así como una dilatación característica de esta cavidad.3 Posteriormente, desde 1952 Henry Uhl describe varios casos que se caracterizaban por la ausencia de la capa miocárdica en el ventrículo derecho, se encontró el epicardio y endocardio, sin interposición de tejido adiposo ni evidencia de inflamación o necrosis.2,4,5

Además de estos hallazgos descritos inicialmente, es importante mencionar que la pared septal, la banda septomarginal y los músculos papilares de la válvula tricúspide son normales, situación que lo diferencia de la anomalía de Ebstein. El ventrículo izquierdo es morfológicamente normal.1,2

Una de las hipótesis en la etiología de esta patología establece que, durante el desarrollo embrionario, el ventrículo derecho pierde el control de la apoptosis de las células miocárdicas, llevándolo a mantener únicamente el tejido endocárdico y epicárdico sin la interposición de ningún otro tejido.1 Sin embargo, hasta el momento no se ha identificado el patrón de herencia en esta anomalía y se considera que podría ser secundaria a mutaciones de novo o por exposición a diferentes factores ambientales de riesgo; por ejemplo, agentes infecciosos o tóxicos.2 En este sentido, la epigenética podría representar uno de los próximos desafíos en la comprensión de este tipo de patología en la que no se identifica una causa cromosómica, genómica o monogénica.

Estos pacientes se presentan normalmente con falla cardiaca derecha, frecuentemente con edema periférico y derrame pleural, en ocasiones pueden llegar a desarrollar derrame pericárdico.2 La cianosis es un resultado habitual del cortocircuito de derecha a izquierda a nivel atrial. Si se manifiesta temprano en la niñez el pronóstico es peor, porque pronto se desarrolla una falla cardiaca progresiva y la muerte.1,2,5

Durante el abordaje de estos pacientes, la ecocardiografía tiene un rol fundamental para el diagnóstico,2,5,6 al identificar la característica cavidad ventricular derecha grande y dilatada, con una pared ventricular adelgazada sin trabeculaciones apicales e hipocinética. El anillo tricuspídeo suele estar marcadamente dilatado, pero con una anatomía conservada y de implantación normal.2,5,6

Concomitantemente, la resonancia magnética cardiaca en los últimos años se ha convertido en una herramienta útil en el abordaje diagnóstico de las cardiopatías congénitas, por lo que en esta entidad desempeña un papel importante. La resonancia magnética reporta paredes del ventrículo derecho delgadas con ausencia de miocardio en la pared libre y pocas trabeculaciones apicales, sin infiltración grasa, con disfunción sistólica y aumento del volumen diastólico final.2,5

En estos estudios se evidencia la contractilidad disminuida del ventrículo derecho, pero es importante recalcar que la función del ventrículo izquierdo está preservada.2

No existe un tratamiento definitivo ni curativo para estos pacientes; por lo que la terapéutica inicial es paliativa, enfocada en la congestión derecha y los trastornos del ritmo que se pueden presentar.

El tratamiento quirúrgico como opción plantea la exclusión del ventrículo derecho por el cierre de la válvula tricuspídea, septectomía atrial y una derivación cavopulmonar bidireccional.2 Otra opción es la cirugía uno y medio que se complementa con una ventriculotomía derecha parcial.7,8

Coincidimos en que la mayor parte de los informes son reportes de casos aislados con diferentes abordajes en su tratamiento, por lo que hasta el momento no se ha definido una cirugía estándar y la decisión del tratamiento quirúrgico será en función de las características y condiciones de cada paciente.



CONCLUSIóN

La anomalía de Uhl es una cardiopatía incierta desde su origen hasta el tratamiento. Tiene una presentación con falla ventricular derecha, que puede enmascararse con hipertensión pulmonar debido a los datos aislados de dilatación y disminución en el acortamiento del ventrículo derecho. Su pronóstico es incierto y no existe hasta el momento un tratamiento ideal.


REFERENCIAS (EN ESTE ARTÍCULO)

  1. Osler WM. The principles and practice of medicine; 6th ed. New York: D. Appleton; 1905. p. 280.

  2. Cadavid-Betancur AM, Díaz-Medina LH, Lince-Varela R, Delgado-de Bedout JA. Anomalía de Uhl: presentación de un caso y revisión de la literatura. Arch Cardiol Mex. 2006; 76: 419-423.

  3. Uhl HS. A previously undescribed congenital malformation of the heart: Almost total absence of the myocardium of the right ventricle. Bull Johns Hopkins Hos. 1952; 91: 197-209.

  4. Uhl HS. Uhl anomaly revisited. Circulation. 1996; 93: 1483-1484.

  5. Venkatesh S, Prabhu S, Thakkar M, Kulkarni S. A case of Uhl anomaly with right ventricular failure. Sri Lanka Journal of Child Health. 2018; 47 (1): 80-82.

  6. Uozumi T, Fujita Y, Tsukimori K, Fusazaki N, Nakano T, Kado H et al. Prenatal ultrasonographic diagnosis of Uhl anomaly. Case Rep Perinat Med. 2015; 4 (1): 57-60.

  7. Lozano-Espinosa DA, Eraso-Díaz del Castillo AM, Ronderos-Dumit MA, Stapper-Ortega CM, Peña-Graca JP, Mestra-Durango CF. Uhl's anomaly: a rare disease with few therapeutic options. Progress in Pediatric Cardiology. 2020; 57: 101227.

  8. Yoshii S, Suzuki S, Hosaka S, Osawa H, Takahashi W, Takizawa K, et al. A case of Uhl anomaly treated with one and a half ventricle repair combined with partial right ventriculectomy in infancy. J Thorac Cardiovasc Surg. 2001; 122 (5): 1026-1028.



AFILIACIONES

1 Departamento de Cirugía Cardiaca Pediátrica y Cardiopatías Congénitas. Instituto Nacional de Cardiología "Ignacio Chávez". Ciudad de México, México.

2 Departamento de Cardiología Pediátrica. Instituto Nacional de Cardiología "Ignacio Chávez". Ciudad de México, México.

3 Departamento de Biología Molecular. Instituto Nacional de Cardiología "Ignacio Chávez". Ciudad de México, México.

4 Departamento de Cirugía Cardiotorácica. Instituto Nacional de Cardiología "Ignacio Chávez". Ciudad de México, México.



Conflicto de intereses: los autores declaran que no tienen ningún conflicto de intereses.

Financiamiento: no se recibió ningún patrocinio para llevar a cabo este artículo.



CORRESPONDENCIA

Jorge Luis Cervantes-Salazar. E-mail: jorgeluis.cervantes@gmail.com




Recibido: 3 de Octubre de 2022. Aceptado: 28 de Diciembre de 2022

Figura 1
Figura 2
Figura 3

2020     |     www.medigraphic.com

Mi perfil

C?MO CITAR (Vancouver)

Investigación en Discapacidad. 2023;9

ARTíCULOS SIMILARES

CARGANDO ...