medigraphic.com
ENGLISH

Acta Ortopédica Mexicana

ISSN 2992-8036 (Digital)
ISSN 2306-4102 (Impreso)
Órgano Oficial del Colegio Mexicano de Ortopedia y Traumatología
  • Mostrar índice
  • Números disponibles
  • Información
    • Información general        
    • Directorio
  • Publicar
    • Instrucciones para autores        
  • medigraphic.com
    • Inicio
    • Índice de revistas            
    • Registro / Acceso
  • Mi perfil

2022, Número 4

<< Anterior Siguiente >>

Acta Ortop Mex 2022; 36 (4)


Luxofractura posterior bilateral de hombro secundaria a episodio de convulsión: importancia del diagnóstico oportuno. A propósito de un caso

Meza, V1,4; López, C1,5; Kameid, G2; Manosalvas, D2; Giménez, B1,6; De Marinis, R3,7
Texto completo Cómo citar este artículo 10.35366/109810

DOI

DOI: 10.35366/109810
URL: https://dx.doi.org/10.35366/109810
Artículos similares

Idioma: Español
Referencias bibliográficas: 18
Paginas: 242-247
Archivo PDF: 273.75 Kb.


PALABRAS CLAVE

luxación glenohumeral posterior, luxación glenohumeral bilateral, luxofractura, convulsión.

RESUMEN

Introducción: la luxofractura glenohumeral posterior (LFGHP) es una lesión poco frecuente. Puede ser secundaria a una crisis convulsiva, casos de electrocución, o por traumatismo directo. Su diagnóstico suele ser tardío, lo que aumenta la tasa de complicaciones y secuelas. Caso clínico: paciente de sexo masculino de 52 años, trasladado a centro de alta complejidad por convulsión tónico-clónica y LFGHP derecha. En el estudio inicial con radiografías se confirma lesión de hombro derecho y se diagnostica luxación glenohumeral posterior simple de hombro izquierdo no pesquisada previamente. Se complementa estudio con tomografía computarizada (TC) de ambos hombros, observándose una LFGHP bilateral, lo que demuestra agravamiento intrahospitalario de la lesión del hombro izquierdo. Se realiza reducción abierta y osteosíntesis con placa bloqueada bilateral en un tiempo. El hombro izquierdo requirió dos reintervenciones, una por falla de osteosíntesis y otra para liberación articular. Dos años después del procedimiento el paciente evoluciona satisfactoriamente con 5% en la escala Quick DASH y un puntaje de 72 y 76 en la escala de Constant en el hombro derecho e izquierdo, respectivamente. Conclusión: la LFGHP es una lesión poco frecuente que requiere un alto índice de sospecha para evitar el retraso diagnóstico y la aparición de secuelas. En casos de convulsión se debe sospechar compromiso bilateral. Con un tratamiento quirúrgico oportuno se pueden obtener resultados satisfactorios y reintegración del paciente a sus actividades habituales.



INTRODUCCIóN

La luxación glenohumeral posterior es una lesión poco frecuente, representa 1-4% del total de las luxaciones de hombro.1,2 Si bien puede ocurrir por un traumatismo directo, es más frecuente su presentación en el contexto de una crisis convulsiva o por electrocución. En estos casos se genera una contracción intensa y brusca de la musculatura alrededor del hombro.3 El evento de luxación se explica por la mayor fuerza relativa de los músculos rotadores internos frente a los rotadores externos del hombro, lo que resulta en una fuerza de traslación posterior de la cabeza humeral. Se ha reportado aproximadamente 65% de lesiones asociadas, siendo en la mayoría de los casos fracturas.4

El diagnóstico de esta lesión con frecuencia es tardío. Se ha reportado que entre 60 y 80% de estas lesiones no son diagnosticadas en la primera consulta, con una demora en el diagnóstico promedio de hasta seis meses.5,6,7 El diagnóstico oportuno de una luxofractura glenohumeral posterior (LFGHP) es esencial para evitar complicaciones, discapacidad y secuelas a largo plazo para el paciente.3,8

El objetivo de este artículo es presentar un caso clínico de LFGHP bilateral y destacar la importancia del diagnóstico precoz y tratamiento oportuno para evitar complicaciones en estos pacientes.



CASO CLíNICO

Presentación del caso

Paciente de sexo masculino de 52 años, sin antecedentes mórbidos, trasladado desde un hospital de menor complejidad a nuestra institución por episodio convulsivo tónico-clónico secundario a deprivación alcohólica y LFGHP derecha no reducida. Fue evaluado por un traumatólogo 24 horas posteriores a su ingreso, destacando compromiso de conciencia, equimosis bilateral de hombros y severa limitación a la rotación externa pasiva bilateral (Figura 1). Además el paciente hasta este punto se mantiene contenido físicamente de ambos pies y de su mano izquierda por agitación sicomotora intermitente.

En su evaluación inicial se revisan de detenidamente las radiografías del paciente tomadas al ingreso, que muestran LFGHP derecha (Figura 2A) y luxación simple posterior izquierda (Figura 2B). Esta segunda lesión (luxación posterior simple de hombro izquierdo) no fue diagnosticada en el centro, que derivó inicialmente al paciente y tomó alrededor de 48 horas para ser diagnosticada en nuestro centro.

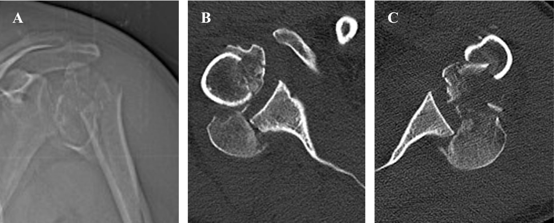
Se solicitó tomografía computarizada (TC) de ambos hombros para caracterizar mejor las lesiones (Figura 3). Se puede observar en estas imágenes franco agravamiento de la lesión del hombro izquierdo desde el momento del primer estudio radiográfico, posiblemente secundario a la contención física del paciente. Se evidencia por lo tanto, progresión desde una luxación posterior glenohumeral simple izquierda en las radiografías de ingreso (Figura 2B) a una LFGHP en la TC tomada 48 horas después (Figura 3A-C).

Planificación

El estudio preoperatorio del hombro derecho mostró indemnidad ósea de la glenoides y compromiso de 40% de la superficie articular del húmero, pero con un gran fragmento con posibilidad de realizar osteosíntesis en continuidad con la tuberosidad menor, por lo que se planificó fijar este fragmento mediante tornillo esponjoso 4.0 mm rosca parcial y suturas de alta resistencia. En el hombro izquierdo tampoco se evidenció defecto óseo significativo en la glenoides y el defecto de la superficie articular del húmero fue de 20%, por lo que se planificó el relleno del defecto con el fragmento de la tuberosidad menor al momento de realizar la osteosíntesis (imitando la cirugía de McLaughlin).

Técnica quirúrgica

Se decide realizar reducción abierta y osteosíntesis con placa bloqueada bilateral en un tiempo. Se coloca al paciente en posición silla de playa y se preparan los campos quirúrgicos de manera habitual para el hombro derecho. Mediante abordaje deltopectoral clásico se accede al foco de fractura. Con una incisión tipo "mini-open" posterior del tamaño de un portal de artroscopía diagnóstica estándar se realiza una maniobra digital para reducir el fragmento posterior de cabeza humeral. Utilizando suturas de alta resistencia y agujas se logra una reducción provisoria de la fractura. Para fijar ambos fragmentos de la cabeza humeral se usa un tornillo esponjoso rosca parcial 4.0 mm y suturas de alta resistencia. Fijación definitiva de la fractura con placa Philos (Depuy Synthes®) logrando adecuada reducción y estabilidad de fragmentos (Figura 4A). Se aumenta la fijación con suturas de alta resistencia a los tendones del manguito rotador que se anudan a la placa. Cierre por planos del hombro derecho, curación e inmovilización de la extremidad con inmovilizador universal de hombro.

Inmediatamente a continuación se prepara el campo quirúrgico del hombro izquierdo. Se realiza de nuevo abordaje deltopectoral clásico para llegar al foco de fractura utilizando un portal posterior accesorio para manipulación digital y reducción de la cabeza humeral. Se realiza fijación y osteosíntesis de la misma manera que la descrita para el hombro derecho a excepción del tornillo de esponjosa, ya que el fragmento anterior pudo fijarse adecuadamente sólo con el uso de suturas de alta resistencia (Figura 4B).

El manejo postoperatorio consistió en el uso de inmovilizador de hombro bilateral por cuatro semanas. Se entregó una pauta de ejercicios pendulares de flexoextensión de codo y ejercicios de puño a realizar desde la segunda semana postoperatoria a tolerancia (según el nivel de dolor). En el control radiográfico del primer mes se constata pérdida de reducción de la tuberosidad mayor izquierda. Se decide realizar cirugía de revisión logrando fijación adecuada del fragmento con suturas de alta resistencia.

Se deja al paciente con inmovilizador de hombro por cuatro semanas adicionales en el hombro izquierdo. Se reinicia pauta de ejercicios autoadministrada según lo descrito previamente a partir de la segunda semana postoperatoria de manera bilateral. A la sexta semana posterior a la cirugía de revisión se inicia terapia kinesiológica presencial con una frecuencia de dos veces por semana. Al cabo de 30 sesiones de rehabilitación kinésica el paciente logra reintegrarse a su trabajo transcurridos cinco meses desde la lesión inicial.

Se da seguimiento a un año desde la cirugía inicial y se constata que el paciente ha recuperado fuerza y movilidad en el hombro derecho. El hombro izquierdo aún presenta severa limitación del rango articular sobre todo en rotación externa. Se decide en este punto realizar una cirugía de liberación articular artroscópica y retiro de osteosíntesis del hombro izquierdo.

En su último control a dos años desde el trauma (Figura 4C y D) el paciente muestra evolución favorable, concordante con escalas funcionales evaluadas (Tabla 1). En la Figura 5 se observa el rango de movimiento clínico del paciente a los dos años de seguimiento desde la lesión inicial.



DISCUSIóN

En el presente reporte se muestra el tratamiento de un paciente con LFGHP bilateral secundario a un episodio convulsivo. Se ha descrito que aproximadamente 1.1% de los pacientes hospitalizados con el diagnóstico de convulsiones presenta fracturas asociadas.8 Dentro de este grupo la LFGHP bilateral es el tipo de fractura más frecuente, representa 33% del total de casos registrados.9

En cuanto a su patogénesis, ésta fue inicialmente detallada por Shaw,10 quien postuló que durante una convulsión el hombro se encuentra en aducción, rotación interna y flexión, posición en la cual la contracción excesiva y desbalanceada por parte de los músculos del hombro genera que la cabeza humeral sea impulsada superior y posteriormente por sobre la cavidad glenoidea.3,8 Una vez concluida la convulsión, la cabeza humeral permanece bloqueada por detrás de la glenoides, lo que puede, en caso de nuevos episodios convulsivos, favorecer una fractura proximal de húmero compleja debido a la impactación continua sobre el reborde glenoideo.3,8,11 Paralelamente, tanto el trauma asociado a una convulsión como la restricción forzosa de las extremidades durante dichos episodios podrían tener un rol en la aparición de una luxofractura.3

En el caso presentado se puede apreciar claramente que en el estudio inicial del paciente no hay fracturas en la zona proximal del húmero izquierdo, observándose 48 horas después una extensa conminución metafisaria en el estudio por TC.

La luxación posterior de hombro es una condición que con frecuencia no se diagnostica en parte debido a su inhabitual incidencia, al uso incorrecto de las herramientas imagenológicas, a la falta de signos clínicos claros que evidencien su presencia y a que la atención en el servicio de urgencias suele centrarse en el episodio convulsivo pasándose por alto otras lesiones.2,8,12 Estos factores parecen verse también reflejados en nuestro caso, en el cual sólo se logró pesquisar la LFGHP derecha previo al traslado a nuestro hospital.

Debido al desafío clínico que representa este cuadro, es sumamente relevante realizar una historia clínica, examen físico y evaluación imagenológica adecuados7 manteniendo un alto índice de sospecha.12 Al examen físico, además del dolor intenso y la restricción de movimientos, se han descrito algunos signos clínicos de utilidad tales como la presencia de hematomas en la cara anterior del brazo3 o un proceso coracoides prominente;11 sin embargo, no están presentes en todos los casos. Comúnmente, ambos brazos se encuentran en flexión, aducción y rotación interna con severa limitación a la rotación externa.8 En nuestro caso, la presencia de hematoma bilateral y el déficit bilateral de rotación externa pasiva fueron fundamentales para el diagnóstico.

En cuanto a la evaluación radiológica, todo paciente debiese contar con al menos una proyección anteroposterior y axilar de ambos hombros. Signos clásicos como el de la "ampolleta" o el de la "glena vacía" no son identificados con frecuencia en la proyección anteroposterior de hombro.13,14 Sin embargo, se han reportado tasas diagnósticas de hasta 100% con el uso de radiografía cuando se incluye una proyección axilar o velpeau.6 En el caso presentado, la incorporación de estas radiografías desde el ingreso pudo haber evitado el retraso diagnóstico de 48 horas y posiblemente prevenido el agravamiento observado de la lesión. En la actualidad, nuestro protocolo contempla la toma de radiografías en proyección axilar/Velpeau en todos los pacientes con trauma de hombro para evitar retrasos en el diagnóstico.

En caso de que se requiera mayor información anatómica o se deba planificar un tratamiento quirúrgico, una tomografía computarizada suele ser necesaria.3,11 De esta manera, es posible evaluar el tamaño del defecto en la superficie articular así como visualizar la zona fracturada.8 En nuestro caso se solicita una TC para planificar la cirugía con un tiempo hasta el diagnóstico menor que el promedio reportado en la literatura.5 No obstante, un retraso de 48 horas derivó en complicaciones significativas para el paciente recalcando la importancia de mantener siempre un alto índice de sospecha desde el ingreso del paciente en el servicio de urgencias.

El manejo de una LFGHP depende de diversos factores tales como: la edad del paciente, el tipo y severidad de la lesión, si ésta es unilateral o bilateral, el tamaño del defecto de la cabeza humeral, el grado de inestabilidad y el tiempo transcurrido antes del diagnóstico.3 Al mismo tiempo, debe considerarse la presencia de traumatismos asociados y las necesidades funcionales de cada paciente en particular.15

Respecto del tiempo de evolución, si la luxación posterior ocurrió hace menos de tres semanas puede considerarse como un evento agudo o subagudo, mientras que si ocurre posterior a tres semanas se considera una luxación crónica o inveterada. Si bien no existen guías claras basadas en evidencia, la magnitud del defecto óseo involucrado puede guiar el manejo. Si se compromete menos de 20% de la superficie articular, es posible resolver el cuadro con una reducción cerrada en los casos de luxación simple.16,17,18 Cuando el defecto corresponde a 20-40% de la superficie articular, suele requerirse una reducción abierta pudiendo agregarse cirugía de transferencia de la tuberosidad menor para mantener la lesión estable (cirugía de McLaughlin modificada por Neer) o tenodesis del subescapular (cirugía de McLaughlin).16,17,18 Si la superficie articular está severamente comprometida (más de 40-50%), se recomienda el uso de hemiartroplastía o aloinjertos masivos en pacientes activos sin artrosis previa.16,17,18 En pacientes mayores de 60-65 años con destrucción extensa de la cabeza humeral o con más de tres semanas de evolución debe considerarse el uso de artroplastía total reversa de hombro de forma primaria.3,12,16,17



CONCLUSIóN

La luxofractura posterior bilateral del hombro es una lesión poco frecuente, por lo que se debe mantener un alto índice de sospecha para evitar el retraso diagnóstico y prevenir secuelas. En el caso clínico presentado el retraso diagnóstico fue determinante en la aparición de nuevas lesiones. Con un tratamiento oportuno y acorde al tiempo de evolución se pueden lograr resultados satisfactorios con excelentes resultados funcionales y reintegración del paciente a sus actividades habituales.


REFERENCIAS (EN ESTE ARTÍCULO)

  1. Yigit M, Yaman A, Yigit E, Turkdogan KA. The overlooked side of convulsion: bilateral posterior fracture and dislocation of proximal humerus. J Pak Med Assoc. 2016;66(5):621-2.

  2. Rosas-Medina JA. Luxación glenohumeral posterior traumática no detectada. Acta Ortop Mex. 2017;31(4):196-201.

  3. Pushpakumara J, Sivathiran S, Roshan L, Gunatilake S. Bilateral posterior fracture-dislocation of the shoulders following epileptic seizures: a case report and review of the literature. BMC Res Notes. 2015;8(1):1-5.

  4. Rouleau DM, Hebert-Davies J. Incidence of associated injury in posterior shoulder dislocation: systematic review of the literature. J Orthop Trauma. 2012;26(4):246-51.

  5. Xu W, Huang L-X, Guo JJ, Jiang D-H, Zhang Y, Yang H-L. Neglected posterior dislocation of the shoulder: a systematic literature review. J Orthop Translat. 2015;3(2):89-94.

  6. Hawkins RJ, Neer CS 2nd, Pianta RM, Mendoza FX. Locked posterior dislocation of the shoulder. J Bone Joint Surg Am. 1987;69(1):9-18.

  7. Neer CS 2nd. Displaced proximal humeral fractures. II. Treatment of three-part and four-part displacement. J Bone Joint Surg Am. 1970;52(6):1090-103.

  8. Wu J, Li L, Wang F, Lu S, Liu F, Jia H, et al. Bilateral posterior fracture-dislocation of the shoulders: two rare case reports and literature review. Medicine. 2020;99(36):e22088.

  9. Grzonka P, Rybitschka A, De Marchis GM, Marsch S, Sutter R. Bone fractures from generalized convulsive seizures and status epilepticus-A systematic review. Epilepsia. 2019;60(5):996-1004.

  10. Shaw JL. Bilateral posterior fracture-dislocation of the shoulder and other trauma caused by convulsive seizures. J Bone Joint Surg Am. 1971;53(7):1437-40.

  11. Claro R, Sousa R, Massada M, Ramos J, M Lourenco J. Bilateral posterior fracture-dislocation of the shoulder: report of two cases. Int J Shoulder Surg. 2009;3(2):41-5.

  12. Gurzì MD, De Meo D, Pugliese M, Di Giorgio L, Persiani P, Villani C. Bilateral posterior fracture-dislocation of the shoulder after epileptic seizure. Trauma Case Rep. 2018;13:35-41.

  13. Mouzopoulos G. The "Mouzopoulos" sign: a radiographic sign of posterior shoulder dislocation. Emerg Radiol. 2010;17(4):317-20.

  14. Gokkus K, Sagtas E, Kara H, Aydin AT. Posterior shoulder dislocation associated with the head (splitting) and humeral neck fracture: impact of understanding radiologic signs and experience with an extended deltopectoral approach. Tech Hand Up Extrem Surg. 2018;22(2):57-64.

  15. Von Keudell A, Walley KC, George J, DeAngelis JP, Rodriguez EK, Appleton PT. Bilateral posterior shoulder fracture dislocations after generalized seizure managed with open reduction and internal fixation and hemiarthroplasty: a case report. The Orthopaedic Journal at Harvard Medical School. 2016;17:88-92.

  16. Cheng SL, Mackay MB, Richards RR. Treatment of locked posterior fracture-dislocations of the shoulder by total shoulder arthroplasty. J Shoulder Elbow Surg. 1997;6(1):11-7.

  17. Walch G, Boileau P, Martin B, Dejour H. [Unreduced posterior luxations and fractures-luxations of the shoulder. Apropos of 30 cases]. Rev Chir Orthop Reparatrice Appar Mot. 1990;76(8):546-58.

  18. Robinson CM, Aderinto J. Posterior shoulder dislocations and fracture-dislocations. J Bone Joint Surg Am. 2005;87(3):639-50. doi: 10.2106/JBJS.D.02371.



AFILIACIONES

1 Interno de Medicina, Facultad de Medicina, Pontificia Universidad Católica de Chile, Santiago, Chile.

2 Equipo de Hombro y Codo, Servicio de Traumatología, Hospital "Dr. Sótero del Río", Santiago, Chile.

3 Departamento de Ortopedia y Traumatología, Pontificia Universidad Católica de Chile, Santiago, Chile.

4 ORCID: 0000-0003-3615-8136.

5 ORCID: 0000-0002-4135-4169.

6 ORCID: 0000-0002-2516-9107.

7 ORCID: 0000-0003-1888-8928.



Conflictos de intereses: ninguno.



CORRESPONDENCIA

Rodrigo de Marinis, MD. E-mail: ridemarinis@uc.cl




Recibido: 20-10-2021 . Aceptado: 01-12-2022.

Figura 1
Figura 2
Figura 3
Figura 4
Figura 5
Tabla 1

2020     |     www.medigraphic.com

Mi perfil

C?MO CITAR (Vancouver)

Acta Ortop Mex. 2022 Jul-Ago;36

ARTíCULOS SIMILARES

CARGANDO ...