medigraphic.com
ENGLISH

Medicina Crítica

  • Mostrar índice
  • Números disponibles
  • Información
    • Información general        
    • Directorio
  • Publicar
    • Instrucciones para autores        
  • Políticas
  • Lineamientos
  • medigraphic.com
    • Inicio
    • Índice de revistas            
    • Registro / Acceso
  • Mi perfil

2023, Número 1

<< Anterior

Med Crit 2023; 37 (1)


Neumotórax a tensión secundario a colocación de sonda enteral: reporte de caso

Medina Romero, Jorge1; Toledo Salinas, Otoniel1; Gómez Flores, Saira Sanjuana1; García Hernández, Ernesto1
Texto completo Cómo citar este artículo 10.35366/109965

DOI

DOI: 10.35366/109965
URL: https://dx.doi.org/10.35366/109965
Artículos similares

Idioma: Español
Referencias bibliográficas: 9
Paginas: 56-58
Archivo PDF: 346.86 Kb.


PALABRAS CLAVE

neumotórax, nutrición enteral, paciente críticamente enfermo.

RESUMEN

La colocación de una sonda enteral es un procedimiento invasivo rutinario que puede presentar complicaciones graves. Presentamos el caso de un hombre de 54 años de edad que presentó paro cardiorrespiratorio secundario a infarto de miocardio y que, después de la colocación de una sonda nasoyeyunal, desarrolló neumotórax, por lo que ameritó su retiro, la colocación de una sonda endopleural y la administración de antibióticos. El paciente mostró adecuada expansión pulmonar, lo cual permitió el retiro de la sonda endopleural a los seis días de su instalación, la extubación del enfermo y finalmente su egreso por mejoría. El neumotórax asociado a la colocación de la sonda enteral se presenta en 1.2% de los pacientes. Los factores de riesgo son: déficit neurológico, alteración de la deglución y del reflejo tusígeno. El tratamiento descrito en la literatura es el retiro de la sonda, el uso de antibióticos y el drenaje torácico.



INTRODUCCIóN

La sonda nasoyeyunal es una alternativa postpilórica en aquellos pacientes con intolerancia a la alimentación, que permite la continuación de la terapia de nutrición enteral (NE) y su colocación puede realizarse con técnica ciega o vía endoscópica.1,2

Las complicaciones mecánicas asociadas son: falla en su colocación, obstrucción, doblamiento, epistaxis, odinofagia, úlceras esofágicas y desplazamiento craneal o pulmonar.3,4 La literatura específica es escasa y no existen reportes estadísticos nacionales que nos revelen la magnitud del problema, motivo por el cual reportamos el siguiente caso.



PRESENTACIóN DEL CASO

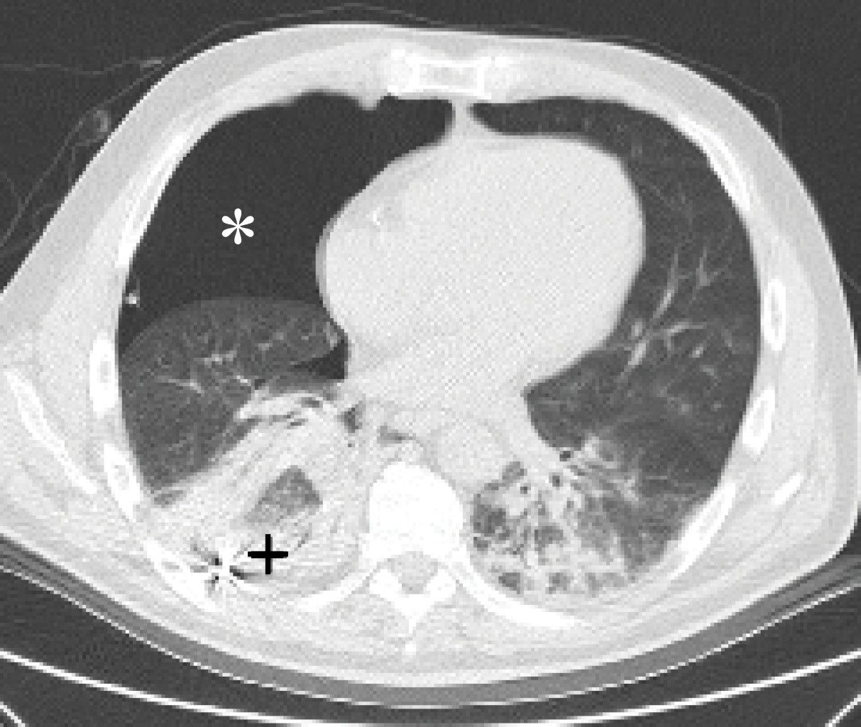
Hombre de 54 años de edad que presentó paro cardiorrespiratorio secundario a infarto de miocardio con angiografía coronaria de rescate exitosa. El paciente cursó con choque cardiogénico, lesión renal aguda KDIGO (Kidney Disease Improving Global Outcomes) 1 y fue extubado por mejoría de las disfunciones orgánicas a los siete días de su ingreso. Debido a la presencia de delirio postextubación y disfagia a sólidos que dificultó la administración de nutrición enteral y el tratamiento antiisquémico, se decidió la colocación de una sonda nasogástrica con técnica ciega, sin éxito después de seis intentos, por lo que se optó por una sonda nasoyeyunal de poliuretano con guía metálica y punta de tungsteno; sin embargo, luego de su colocación el paciente presentó hipoxemia y choque circulatorio que ameritó reintubación orotraqueal y vasopresores. Se realizó ultrasonido pulmonar y radiografía portátil de tórax, con lo que se evidenciaron signos ultrasonográficos de neumotórax y la punta metálica de la sonda nasoyeyunal fuera del tubo digestivo (Figura 1). Se confirmó mediante tomografía la perforación bronquial de la punta metálica de la sonda enteral, así como su localización en el espacio pleural y la expansión del neumotórax (Figura 2). El Departamento de Cardiotórax retiró la sonda nasoyeyunal y colocó una sonda endopleural a las dos horas del evento, lo que permitió la expansión pulmonar (Figura 3). Mientras que la sonda enteral postpilórica fue colocada a través de endoscopia por el Departamento de Otorrinolaringología a las 24 horas, la sonda endopleural fue retirada a los seis días de su instalación.

El paciente desarrolló choque séptico, por lo que se le dio tratamiento de soporte y se le inició tratamiento antibiótico empírico para neumonía nosocomial (cultivos de secreción bronquial negativos), cursó con enfermedad renal aguda que ameritó hemodiálisis intermitente. Fue extubado exitosamente 14 días después a la reintubación y egresado de la Unidad de Cuidados Coronarios.



DISCUSIóN

Realizamos una búsqueda en PubMed con los términos MeSH "Pneumothorax" y "Enteral Nutrition" en pacientes adultos, se encontraron 37 reportes de casos a nivel internacional pero a nivel nacional sólo dos artículos.5,6

La posición anómala de la sonda enteral en el árbol bronquial y en el neumotórax, potencialmente resultante por perforación bronquial, puede presentarse hasta en 15 y 1.2%, respectivamente, en los pacientes que se realiza este procedimiento.7,8

Hasta donde mejor sabemos, los primeros reportes de casos de complicación pleuropulmonar por colocación de sonda enteral fueron descritos en 1978, el tipo de complicaciones reportadas variaron desde la perforación simple bronquial con neumotórax, hasta el hemotórax e hidrotórax por infusión de alimentación parenteral, que finalmente todos recibieron tratamiento antibiótico y colocación de sondas torácicas, con resultado letal en sólo uno de los casos, desde entonces el tratamiento continúa siendo similar al nuestro.9



CONCLUSIONES

Las sondas con guías metálicas incrementan el riesgo de perforación pulmonar en los pacientes con déficit neurológico, alteración en la deglución y debilidad tusígena, por lo que la colocación de sondas enterales en este tipo de pacientes debe realizarse con mayor cautela, así como evitar la fuerza excesiva, retirar ante la presencia de resistencia y verificar de forma estricta su posición final mediante la clínica, ultrasonido y radiografía de tórax, antes de su uso. Sugerimos que, en aquellos pacientes bajo ventilación mecánica con adecuada sedación y analgesia, la colocación de la sonda enteral se realice vía orogástrica por medio de laringoscopia directa.


REFERENCIAS (EN ESTE ARTÍCULO)

  1. De Waele E, Malbrain MLNG, Spapen H. Nutrition in sepsis: a bench-to-bedside review. Nutrients. 2020;12(2):395.

  2. Singer P, Blaser AR, Berger MM, Alhazzani W, Calder PC, Casaer MP, et al. ESPEN guideline on clinical nutrition in the intensive care unit. Clin Nutr. 2019;38(1):48-79.

  3. Tatsumi H. Enteral tolerance in critically ill patients. J Intensive Care. 2019;7:30.

  4. Niv E, Fireman Z, Vaisman N. Post-pyloric feeding. World J Gastroenterol. 2009;15(11):1281-1288.

  5. Soto MJC, Luviano GJA, García RJC, Torres CM. Instalación bronquial de sondas nasoenterales. Presentación de dos casos y revisión de la literatura. Med Crit. 2010;24(2):94-98.

  6. Loyola-García U, Lozano-Corona R, Andrade-Bucio JA, Jasso-Barranco R, Colín-Castañeda D. Perforación pulmonar secundaria a colocación de sonda nasoenteral fallida. Neumol Cir Torax. 2012;71(3):232-235.

  7. de Aguilar-Nascimento JE, Kudsk KA. Clinical costs of feeding tube placement. JPEN J Parenter Enteral Nutr. 2007;31(4):269-273.

  8. Lo JO, Wu V, Reh D, Nadig S, Wax MK. Diagnosis and management of a misplaced nasogastric tube into the pulmonary pleura. Arch Otolaryngol Head Neck Surg. 2008;134(5):547-550.

  9. James RH. An unusual complication of passing a narrow bore nasogastric tube. Anaesthesia. 1978;33(8):716-718.



AFILIACIONES

1 Hospital de Especialidades, Centro Médico Nacional La Raza. Ciudad de México, México.



CORRESPONDENCIA

Otoniel Toledo Salinas. E-mail: otoniel_toledo@live.com.mx




Recibido: 11/06/2022. Aceptado: 20/07/2022.







Figura 1
Figura 2
Figura 3

2020     |     www.medigraphic.com

Mi perfil

C?MO CITAR (Vancouver)

Med Crit. 2023;37

ARTíCULOS SIMILARES

CARGANDO ...