medigraphic.com
ENGLISH

Revista del Centro Dermatológico Pascua

ISSN 1405-1710 (Impreso)
  • Mostrar índice
  • Números disponibles
  • Información
    • Información general        
    • Directorio
  • Publicar
    • Instrucciones para autores        
  • medigraphic.com
    • Inicio
    • Índice de revistas            
    • Registro / Acceso
  • Mi perfil

2022, Número 3

<< Anterior Siguiente >>

Rev Cent Dermatol Pascua 2022; 31 (3)


Úlcera de Marjolin y sepsis

Cardona-Hernández, Miguel Ángel1; González-González, Maribet2; Camacho-Frausto, Lilia Yolanda3; Campos Gómez, Mariana4; Gallegos-Franco, Carolina5
Texto completo Cómo citar este artículo 10.35366/110009

DOI

DOI: 10.35366/110009
URL: https://dx.doi.org/10.35366/110009
Artículos similares

Idioma: Español
Referencias bibliográficas: 10
Paginas: 94-98
Archivo PDF: 342.19 Kb.


PALABRAS CLAVE

úlcera de Marjolin, quemaduras, carcinoma epidermoide.

RESUMEN

La úlcera de Marjolin es una neoplasia maligna cutánea que se desarrolla sobre piel previamente lesionada, en cicatrices de larga evolución o heridas crónicas. Es poco frecuente; sin embargo, cuando se desarrolla, su desenlace es poco afortunado, ya que puede originar un carcinoma epidermoide que ocasiona metástasis. En este artículo comunicamos un caso de úlcera de Marjolin, en un paciente del sexo masculino, de 43 años de edad, en el cual se desarrolló un carcinoma epidermoide, complicándose con sepsis y fascitis necrotizante, ocasionando el fallecimiento del paciente.



INTRODUCCIóN

La úlcera de Marjolin es una neoplasia maligna cutánea que se desarrolla sobre piel previamente lesionada, en cicatrices de larga evolución o heridas crónicas.1,2 Se le conoce también con el nombre de "úlcera de Kangri" en Kashmir, "cáncer de Kairo" en Japón, "úlcera de Kang" en China. Se le clasifica en aguda y crónica; la primera desarrolla malignidad en un periodo menor a un año, y la segunda posterior a ese tiempo.3



EPIDEMIOLOGíA

Es más frecuente en hombres en proporción 2:1, en pacientes en la quinta década de la vida.3 La incidencia mundial es de 0.7%. Se ha detectado su desarrollo en 2.0% sobre cicatrices de quemaduras que se han dejado cicatrizar por segunda intención.1 El riesgo de desarrollarla es igual en todas las razas y etnias, aunque su incidencia es mayor en algunos países por causas culturales, como en Asia (6.8%).3



ETIOLOGíA

Las cicatrices por quemaduras son el antecedente más frecuente, pero también puede ser secundaria a otras patologías inflamatorias crónicas, tales como heridas traumáticas, úlceras por estasis venosa y por presión, osteomielitis, dermatitis por radiación, picaduras o mordeduras, hidradenitis supurativa, entre otros.1



FISIOPATOLOGíA

Existen numerosas teorías que intentan explicar su fisiopatología; no obstante, se considera un proceso multifactorial.3 La teoría más aceptada menciona irritación local crónica, en donde hay estimulación repetida, y por tanto reepitelización constante, con aumento de mutaciones espontáneas. Otra es la teoría de iniciación y promoción que hace referencia al proceso de dos etapas de transformación maligna de células sanas. Durante la etapa de iniciación, las células sanas se convierten en células malignas latentes que, más tarde, durante la etapa de promoción, pueden ser activadas por un cocarcinógeno. Asimismo, la teoría de las localizaciones inmunológicamente privilegiadas explica que la cicatrización en heridas por quemadura oblitera definitivamente los vasos linfáticos en el lugar de la lesión, dificultando el control inmunológico fisiológico, e incrementando el riesgo de crecimiento neoplásico. También se ha identificado predisposición genética en donde el HLA DL4 se ha asociado con el crecimiento del cáncer y anomalías en el gen p53, así como mutaciones en FAS en la región de apoptosis.2



CUADRO CLíNICO

La localización habitual de estas úlceras es a nivel de extremidades inferiores en 53.3% de los casos, seguido de las extremidades superiores en 18.7%, tronco 12.4% y cabeza 5.8%.3 Se puede manifestar de dos formas: la más común es como neoformación plana, ulcerada, con infiltración en la periferia, de bordes elevados e indurados, de crecimiento rápido; la otra menos frecuente como neoformación exofítica con tejido de granulación en su superficie, siendo ésta de peor pronóstico. Ambas pueden sangrar fácilmente, y acompañarse de olor fétido y/o linfadenopatía regional.1,4,5



DIAGNóSTICO

Se basa en las características de topografía, morfología y antecedentes de cada caso, y en la realización de una biopsia incisional a cualquier úlcera cutánea que persista por más de tres meses. Se recomienda tomar dos segmentos en lesiones < 2.5 cm, cuatro áreas en lesiones de 2.5-5 cm y hasta seis segmentos en tamaños > 5 cm de las zonas más representativas.4

Es importante la exploración física de ganglios linfáticos regionales y considerar solicitar ultrasonido de dichas estructuras. Llevar a cabo una biopsia de ganglio centinela es controversial, debido a la alteracio?n que existe en el drenaje linfa?tico en el a?rea afectada, lo que le resta sensibilidad y especificidad al procedimiento. Los estudios de gabinete permiten evaluar el grado de penetración en tejidos blandos y hueso, por lo que está indicado solicitar radiografías, resonancia magnética, tomografía axial computarizada en los casos necesarios.1,4



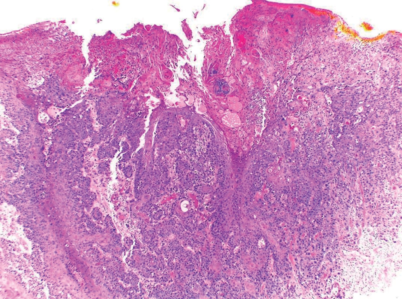
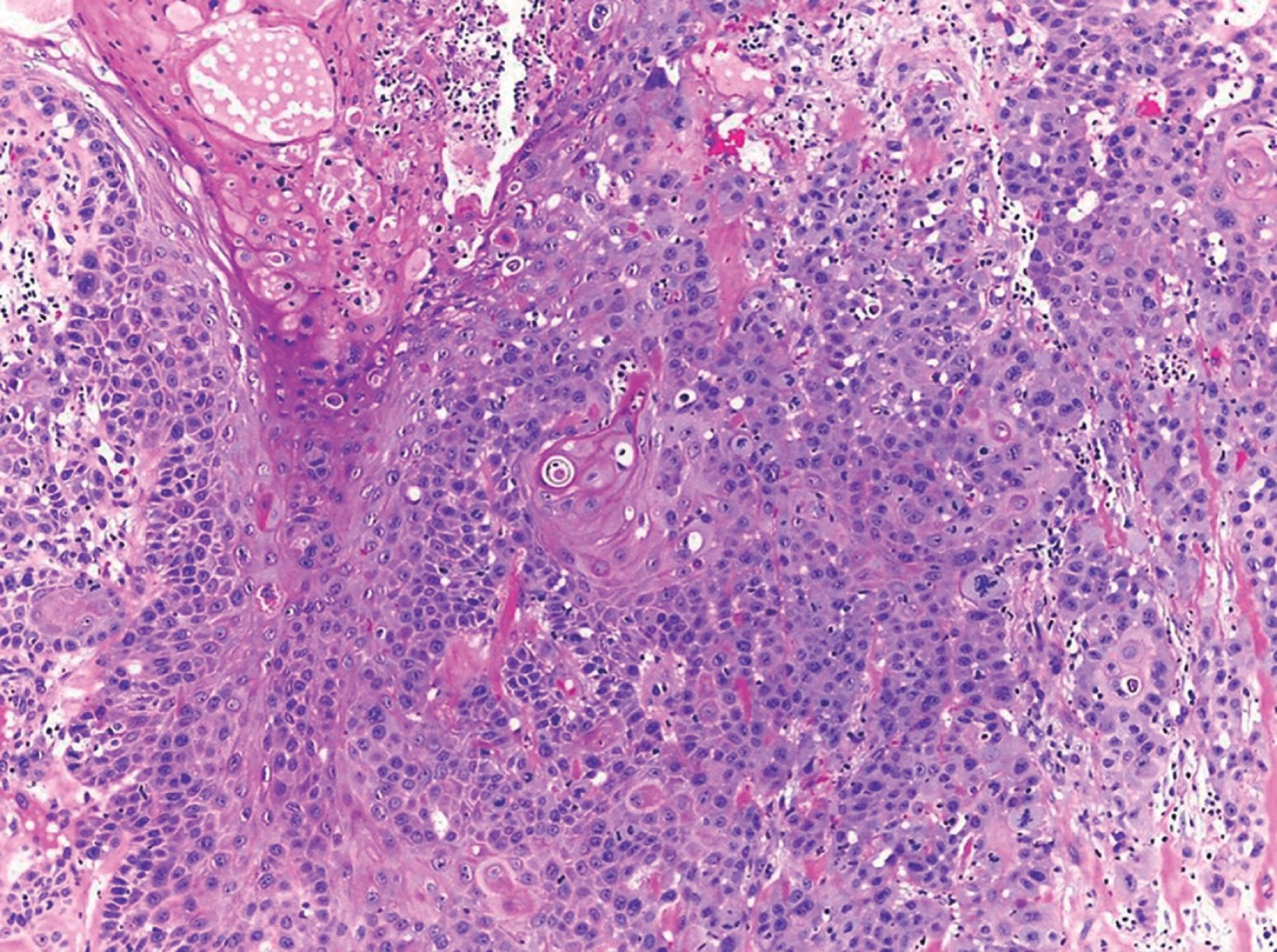
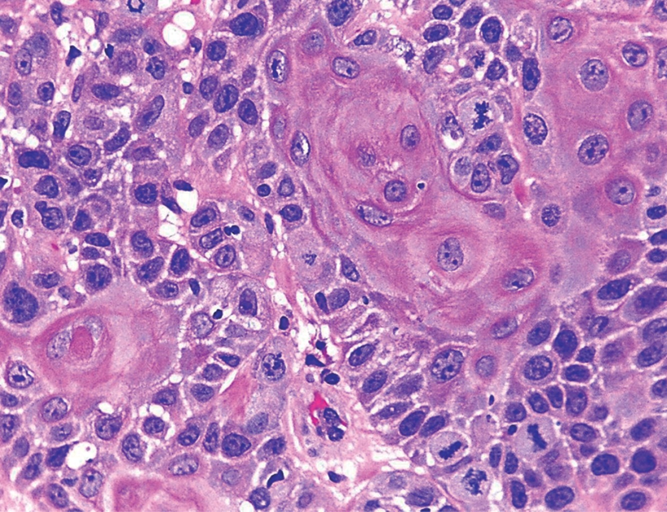
HISTOPATOLOGíA

Las imágenes histopatológicas muestran patrones de diferentes carcinomas cutáneos, principalmente de carcinoma epidermoide en 71%.3 El resto corresponde a carcinoma basocelular, melanoma, sarcoma, entre otros.1,3



ESTADIFICACIóN

No existen criterios de estadificación TNM específicos para las úlceras de Marjolin. Después de realizar una biopsia, se puede emplear el tipo histopatológico característico de cada tumor para estadificar la enfermedad. Por ejemplo, si la biopsia revela carcinoma de células escamosas, se pueden usar los criterios existentes establecidos por el Comité Conjunto Estadounidense sobre el Cáncer (AJCC)1 para clasificarlo como: bien, moderado o mal diferenciado.



DIAGNóSTICO DIFERENCIAL

Se debe hacer diagnóstico diferencial clínico e histopatológico con otras neoplasias malignas, entre ellas: fibroxantoma atípico, sarcomas o carcinoma de células basales.1



TRATAMIENTO

El tratamiento de elección es la extirpación quirúrgica, con márgenes de seguridad. La cirugía micrográfica de Mohs es útil para tratar lesiones en cara, piel cabelluda, manos y pies, areolas y otras áreas donde se desea preservar la mayor cantidad de tejido sano, y un mejor resultado estético. La amputación se reserva para la enfermedad en estadios avanzados, cuando después de una minuciosa evaluación no se lograría la curación con escisión local amplia o con cirugía micrográfica de Mohs.6 A menudo se realiza la cobertura del defecto con injertos o colgajos locales, aunque la técnica es también controversial, ya que algunos estudios han demostrado mayor riesgo de recurrencia con la reconstrucción de este tipo. Después de la resección, es necesario un seguimiento estrecho debido al alto riesgo de recurrencia.1,6,7

La disección de los ganglios linfáticos se puede considerar con ganglios linfáticos positivos detectados en el examen físico o por ultrasonido.1,6

La radiación y la quimioterapia adyuvantes están indicadas si la resección quirúrgica no es posible. Los agentes que se han sugerido incluyen 5-fluorouracilo tópico, metotrexato, L-fenilalanina y terapia basada en platinos. Se recomienda radioterapia cuando hay metástasis en ganglios linfáticos regionales, lesiones de alto grado (grado III) y lesiones mayores de 10 cm de diámetro.7



PRONóSTICO

Este padecimiento ocasiona alto riesgo de metástasis, presentándose en más de 27% de los pacientes, en comparación con 3% cuando se trata de carcinoma de células escamosas que no se asienta sobre piel previamente dañada. Los tumores con peor pronóstico son aquellos con alto grado de diferenciación, metástasis ganglionares y topografía en extremidades inferiores. La tasa de recurrencia después de la resección quirúrgica es de hasta 50%.1



CAUSAS DE MUERTE

En estos pacientes, las principales son las infecciones secundarias y las metástasis. En la literatura mundial, en 80 reportes de casos, se detectaron seis defunciones, de las cuales dos de ellas fueron por sepsis y fascitis necrotizante, el resto fue por neumonía, y metástasis a cerebro y pulmón.8

En dos estudios retrospectivos efectuados en China se detectaron infecciones en 41 y 75.2% de los casos, respectivamente, aislando como agente etiológico al Staphylococcus aureus.9,10



CASO CLíNICO

Paciente del sexo masculino, de 43 años de edad, originario y residente de Guerrero, desempleado. Acude por una dermatosis localizada a tronco, del que afectaba tórax posterior en la región escapular izquierda; constituida por una neoformación exofítica, de 10 × 8 cm en su eje mayor, ulcerada, con costras melicéricas y secreción purulenta en su superficie, de bordes irregulares y bien definidos (Figura 1). Presentaba también una segunda neoformación en región escapular y hombro de lado izquierdo, de aspecto atrófico, de 9 cm de diámetro, con escama amarillenta y gruesa en su superficie, de bordes mal definidos (Figura 2), ambas de evolución crónica, dolorosas, que emitían olor fétido. Presentaba además adenopatías palpables ipsilaterales. Como antecedentes de importancia refirió haber sufrido una quemadura de tercer grado extensa en tórax y extremidades superiores con gasolina 22 años antes. El padecimiento actual lo inició hace tres años, con una "bola de rápido crecimiento" (sic paciente), la cual más tarde se ulceró en forma espontánea, acompañándose de sangrado y dolor progresivo. Acudió con especialista en Guerrero quien realizó biopsia y lo canalizó a este centro dermatológico con el diagnóstico de carcinoma epidermoide moderadamente diferenciado queratinizante, invasor (Figuras 3, 4 y 5). Al tratarse de un tumor de alto riesgo, el paciente fue referido a un hospital de tercer nivel en donde falleció al mes del internamiento debido a choque séptico y fascitis necrotizante.



COMENTARIO

La úlcera de Marjolin es un padecimiento muy agresivo, cuyo desarrollo debe sospecharse, sobre todo, en pacientes que han sufrido quemaduras, por lo que este grupo de personas debe mantenerse en vigilancia estrecha, y ante cualquier herida o úlcera crónica (sobre lesiones inflamatorias previas), que no reepitelizan en forma adecuada, realizar una biopsia incisional.

Asimismo, como se presentó en el caso reportado, se debe detectar una sobreinfección agregada, ya que es un proceso que deteriora y complica rápidamente el cuadro clínico del paciente, para así efectuar un diagnóstico precoz y tratamiento oportuno, y evitar así la morbilidad y mortalidad por este padecimiento.


REFERENCIAS (EN ESTE ARTÍCULO)

  1. Shah M, Crane JS. Marjolin ulcer. [Updated 2021 Jul 21]. In: StatPearls [Internet]. Treasure Island (FL): StatPearls Publishing; 2022.

  2. Bazalinski D, Przybek-Mita J, Baranska B, Wiech P. Marjolin's ulcer in chronic wounds - review of available literature. Contemp Oncol (Pozn). 2017; 21: 197-202.

  3. Khan K, Schafer C, Wood J. Marjolin ulcer: a comprehensive review. Adv Skin Wound Care. 2020; 33: 629-634.

  4. Jiménez HF, González GM, Douriet MFA. Surgery and grafting in the treatment of Marjolin's ulcer: case report. Dermatología Cosmética, Médica y Quirúrgica. 2014; 12: 114-117.

  5. Sadegh Fazeli M, Lebaschi AH, Hajirostam M, Keramati MR. Marjolin's ulcer: clinical and pathologic features of 83 cases and review of literature. Med J Islam Repub Iran. 2013; 27: 215-224.

  6. Copcu E. Marjolin's ulcer: a preventable complication of burns? Plast Reconstr Surg. 2009; 124: 156e-164e.

  7. Soto-Dávalos BA, Cortés-Flores AO, Bandera-Delgado A et al. Neoplasia maligna en cicatriz de quemadura: úlcera de Marjolin. Informe de dos casos y revisión de la literatura. Cir Cir. 2008; 76: 329-331.

  8. Burusapat C, Wanichjaroen N, Wongprakob N, Satayasoontorn K. Characteristics of Marjolin's ulcers in 21st century: a retrospective study, systematic review, and surgical guideline recommendation. J Burn Care Res. 2021; 42: 152-166.

  9. Yu N, Long X, Lujan-Hernandez JR, Hassan KZ, Bai M, Wang Y et al. Marjolin's ulcer: a preventable malignancy arising from scars. World J Surg Oncol. 2013; 11: 313.

  10. Xie W, Ye Z, Xie Q, Ruan Q, Wang H, Zhang W et al. Zhonghua shao shang za zhi = Zhonghua shaoshang zazhi. Chin J Burns. 2014; 30: 491-494.



AFILIACIONES

1 Dermatólogo y Dermato-Oncólogo. Centro Dermatológico "Dr. Ladislao de la Pascua", SSCDMX.

2 Dermatopatóloga. Centro Dermatológico "Dr. Ladislao de la Pascua", SSCDMX.

3 Residente del segundo año. Centro Dermatológico "Dr. Ladislao de la Pascua", SSCDMX.

4 Residente del primer año. Centro Dermatológico "Dr. Ladislao de la Pascua", SSCDMX.

5 Residente del tercer año de Patología del Hospital General de México "Dr. Eduardo Liceaga". Centro Dermatológico "Dr. Ladislao de la Pascua", SSCDMX.



CORRESPONDENCIA

Dr. Miguel Ángel Cardona-Hernández. E-mail: drmiguelcardona08@gmail.com


Figura 1
Figura 2
Figura 3
Figura 4
Figura 5

2020     |     www.medigraphic.com

Mi perfil

C?MO CITAR (Vancouver)

Rev Cent Dermatol Pascua. 2022;31

ARTíCULOS SIMILARES

CARGANDO ...