medigraphic.com
ENGLISH

Revista Mexicana de Ortodoncia

ISSN 2395-9215 (Impreso)
Órgano Oficial de Difusión de la Facultad de Odontología de la UNAM
  • Mostrar índice
  • Números disponibles
  • Información
    • Información general        
    • Directorio
  • Publicar
    • Instrucciones para autores        
  • medigraphic.com
    • Inicio
    • Índice de revistas            
    • Registro / Acceso
  • Mi perfil

2020, Número 4

<< Anterior

Rev Mex Ortodon 2020; 8 (4)


Tratamiento de apiñamiento severo sin extracciones con sistema de autoligado Damon®: reporte de caso

Carrillo-Padilla, Sahian Abigail1; Benítez Vázquez, Tania Jocelyn1; Ávila Santacruz, Salma Eugenia2; Rodríguez-Chávez, Jacqueline Adelina3; Moreno Martínez, Víctor Omark3; Orozco Varela, Carlos3
Texto completo Cómo citar este artículo Artículos similares

Idioma: Español/Inglés [English version]
Referencias bibliográficas: 24
Paginas: 271-281
Archivo PDF: 477.00 Kb.


PALABRAS CLAVE

apiñamiento severo, maloclusión clase II, sistema de autoligado, elásticos clase II, sin extracciones.

RESUMEN

Introducción: la planificación del tratamiento de una maloclusión clase II con apiñamiento severo estará determinada por el análisis clínico-estomatológico, analizando los efectos colaterales en un sistema de fuerzas y evaluando su repercusión en los tejidos blandos. Objetivos: mantener perfil facial, descruzar mordida de lado derecho, eliminar apiñamiento, establecer clase I canina y clase I molar. Diagnóstico y plan de tratamiento: paciente masculino, 13 años, dentición permanente. Clase II canina unilateral de lado derecho, apiñamiento severo, mordida cruzada posterior unilateral derecha. Colocación de aparatología de autoligado, bite turbo, elásticos iniciales clase II y botones palatinos para elásticos cruzados. Resultados: se corrigió la mordida cruzada y se consiguió la clase I canina manteniendo el perfil recto del paciente. Conclusión: el presente reporte muestra que la corrección de apiñamiento severo y una clase II unilateral puede realizarse sin extracciones, logrando un adecuado resultado funcional y estético. Además, es posible efectuar dicha corrección aprovechando las ventajas que nos proporciona el sistema de autoligado.



INTRODUCCIóN

Angle definió la maloclusión de clase II de un solo lado como una relación unilateral de clase II1 y del lado contralateral de clase I.2 Por lo regular, podemos observar una posición más distal unilateral del molar mandibular, mientras que los molares maxilares podrían estar en una correcta posición con respecto a su contralateral o estar mesializados.2,3 La etiología de la maloclusión de clase II unilateral con apiñamiento severo está más relacionada a un origen dentoalveolar (por una pérdida temprana de piezas deciduas, traumatismos, agenesias, etc.). En menor porcentaje se puede relacionar a ligeras asimetrías esqueléticas, posiciones distales de los cóndilos en las cavidades glenoideas así como problemas de alteraciones neuromusculares.4 La prevalencia de la maloclusión clase II es aproximadamente de 41% del total de las maloclusiones, y dentro del grupo de clase II, la maloclusión unilateral tiene una frecuencia de 25% con una proporción de 1:2 entre hombres y mujeres, respectivamente.5

El tratamiento de estas maloclusiones resulta un desafío, tal como lo mencionan diversos autores2,4 por todas las complicaciones que se pueden presentar en cada caso. Los planes de tratamiento para la maloclusión clase II con apiñamiento severo se han enfocado en el diagnóstico facial del paciente y la gravedad existente.6

Es necesario valorar la necesidad de espacio para determinar si se requiere la extracción dental.7 En múltiples reportes de casos de clase II unilateral, la exodoncia unilateral ha sido uno de los abordajes de elección; sin embargo, se debe considerar la magnitud de la desviación de la línea media, la magnitud de la clase II canina y la diferencia de Bolton.5 Los tratamientos no extractivos incluyen el uso de aparatos extraorales, aparatos funcionales y ortopédicos, elásticos de clase II, aparatos de distalización, dispositivos de anclaje temporal, entre otros.4-5,8-13

Una alternativa descrita en diversos artículos14-16 es el uso de aparatología de brackets de autoligado debido a las ventajas que presentan, entre ellas la mejor es la de generar menor fricción entre los arcos y los brackets.16,17 Por la menor fricción se considera que pueden lograr una expansión mayor de los arcos con menos proinclinación de incisivos, y facilita la resolución de ciertos apiñamientos en ocasiones sin la necesidad de extracciones.18

Al planificar el tratamiento hay que tener en cuenta tres aspectos que van a permitir mejorar en gran medida la calidad de los resultados: selección de torques variables, desarticular la oclusión con bite turbo y uso de elásticos ligeros desde etapas tempranas del tratamiento. El uso de elásticos ligeros en combinación con los bite turbos tiene un impacto positivo en las correcciones anteroposteriores, verticales y transversales.16

El propósito del presente artículo es mostrar el control anteroposterior y transversal que se mantuvo en un paciente clase II unilateral con apiñamiento severo y mordida cruzada posterior unilateral derecha, tratado sin extracciones y con las biomecánicas del sistema de autoligado Damon® utilizando elásticos clase II desde la etapa inicial del tratamiento.



REPORTE DE CASO CLíNICO

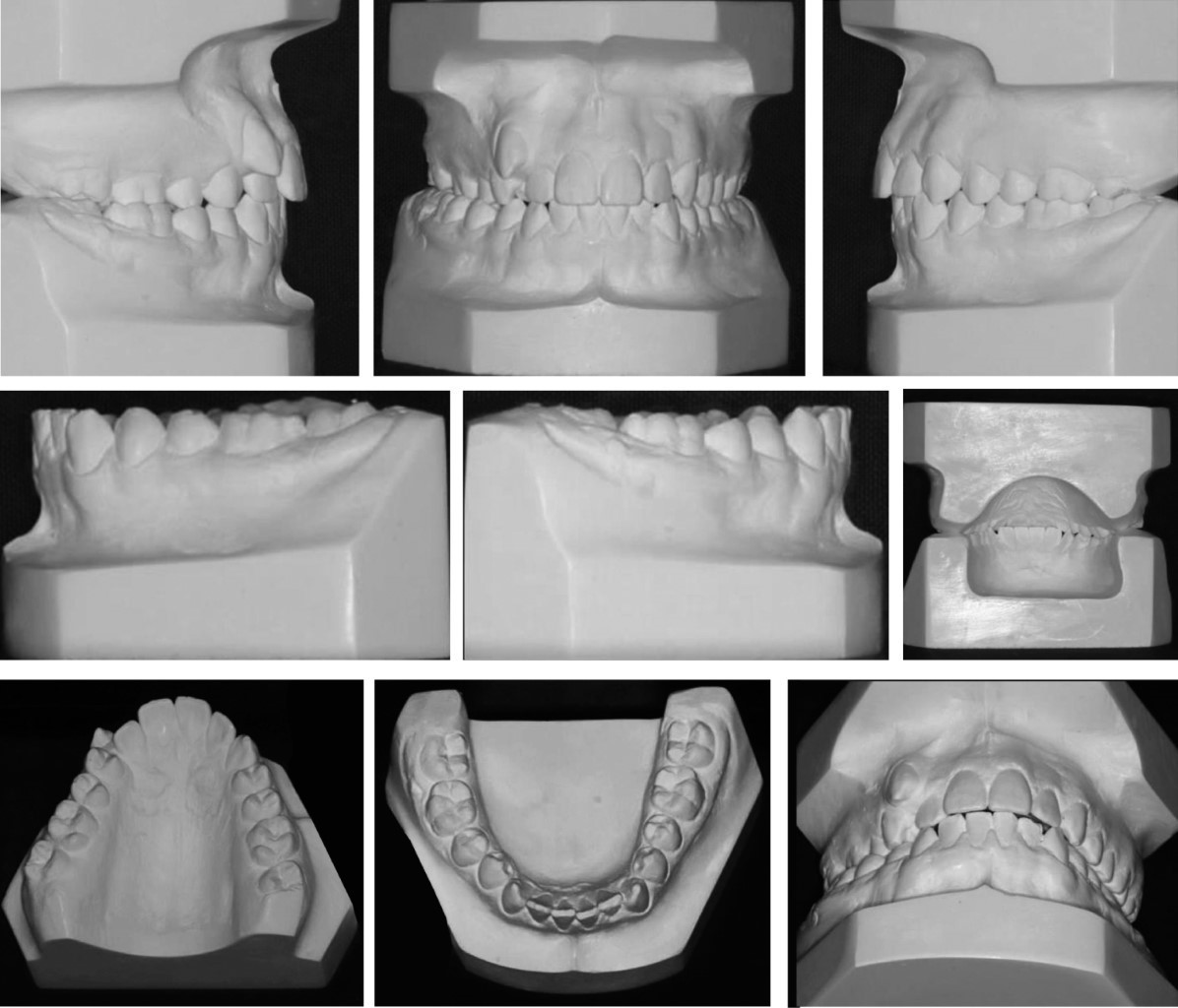
Paciente de género masculino de 13 años 10 meses de edad, sin antecedentes médicos relevantes, que acudió a la clínica de ortodoncia con motivo de consulta "quiero acomodar mi diente". En el análisis extraoral, el paciente presentó un perfil recto, biotipo dolicofacial incipiente, tercio inferior aumentado, pómulos sin proyección (Figura 1A). En la exploración intraoral el paciente mostró dentición permanente, clase II molar derecha, clase II canina derecha y clase I izquierda, forma de arco superior e inferior triangular, dientes grandes y cuadrados, línea media superior desviada 2 mm a la derecha, sobremordida horizontal 3 mm, sobremordida vertical 2 mm (Figura 1B). En el análisis de modelos en el estudio de Bolton presentó exceso maxilar de 3.2 mm, discrepancia de longitud de arco -6 mm superior y -2 mm inferior, con apiñamiento severo anterior superior (Figura 2).

En cuanto al diagnóstico funcional, el paciente mostró onicofagia, pero no alteraciones en la articulación temporomandibular.

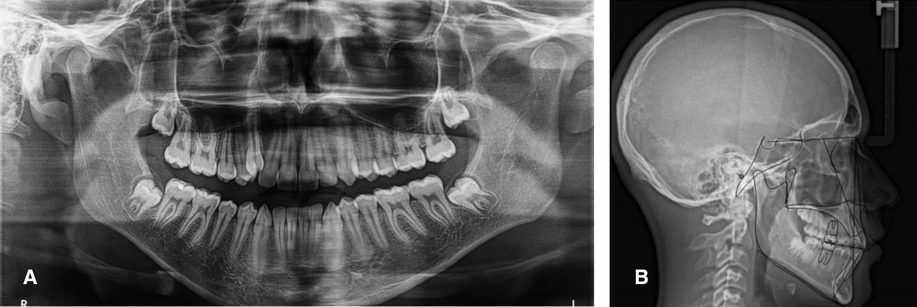
Radiográficamente, en la ortopantomografía se observaron ramas mandibulares simétricas, cóndilos simétricos, niveles de crestas óseas sanas, presencia de gérmenes dentarios de terceros molares en los cuatro cuadrantes, proporción corona-raíz con relación de 1:1 y raíces cónicas (Figura 3A). En la radiografía lateral de cráneo se trazó la cefalometría de Steiner con el software Dolphin Imaging (9.0.00.19©1998-2004 Patterson Companies, Inc.), donde se observó una clase I esqueletal, vías aéreas superiores permeables, perfil recto e incisivos inferiores ligeramente retroinclinados (Figura 3B y Tabla 1).

El objetivo del tratamiento consistió en mantener perfil facial, descruzar mordida de lado derecho, eliminar apiñamiento, establecer clase I canina y clase I molar y conseguir forma de arco ovalada superior e inferior.

Tratamientos alternativos:

  • 1. Uso de aparatología de autoligado Damon® sin extracciones, ayudándonos de elásticos tempranos, y aprovechando la expansión transversal con arcos copper nickel titanium (CuNiTi) para incorporar el canino a la arcada.
  • 2. Realización de extracciones para obtener el espacio necesario para incluir el canino al arco.

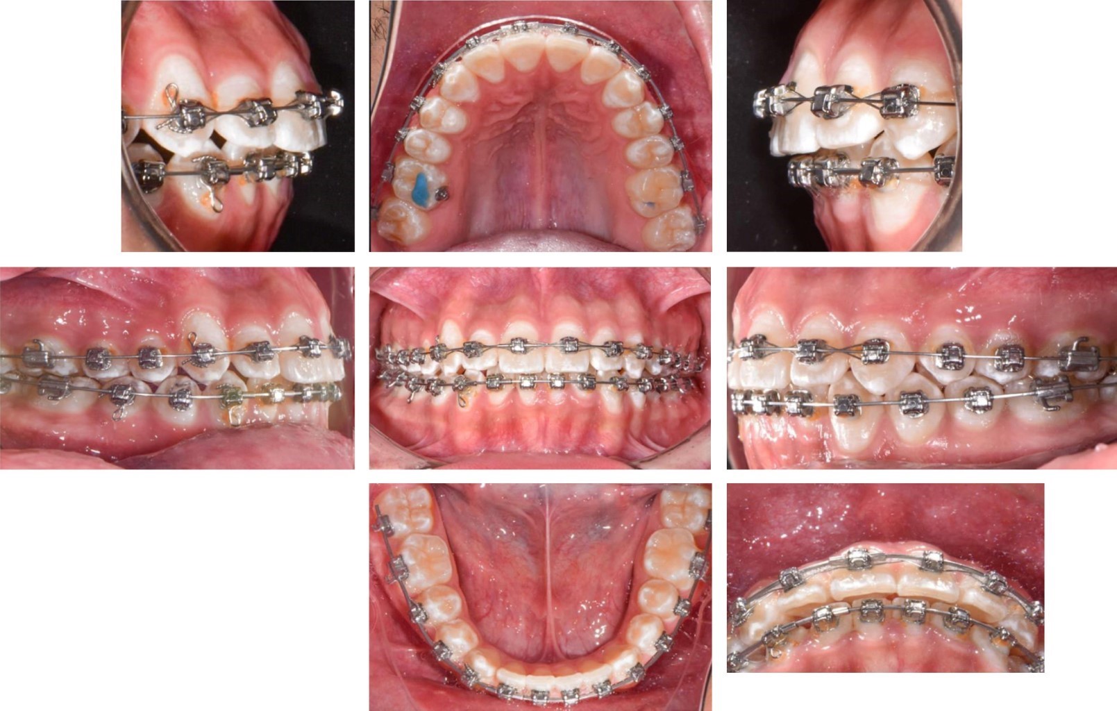
Se inició el tratamiento colocando brackets de autoligado Damon® slot 0.022", con tubos superiores e inferiores en primeros y segundos molares, colocación de bite turbos posteriores y botones palatinos en órganos dentales 14, 15 y 16. Sin incluir el canino superior derecho al arco, se colocó un resorte de lateral a premolar derecho, el arco utilizado en la primera cita fue un CuNiTi 0.016" durante tres meses (Figura 4). Se continuó la alineación con un arco 0.018" CuNiTi superior y se comenzó el uso de elásticos tempranos ¼ 2.5 oz colocados de canino superior a canino y premolar inferior con un vector clase II.

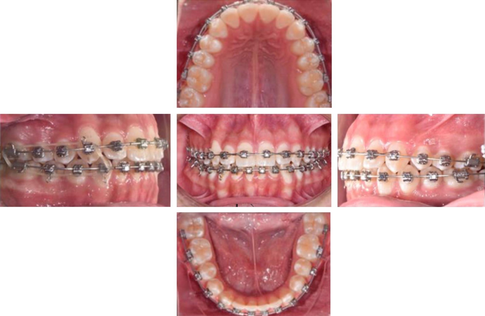
Posteriormente se incorporó el canino al arco y se colocó un arco 0.014" CuNiTi. Una vez incorporado a la arcada, se pasó a un arco 0.018" CuNiTi y se continuó con el uso de elásticos vector clase II ligeros de ¼ 2.5 oz. Tres meses después se colocó un arco 0.014" × 0.025" CuNiTi superior y 0.018" CuNiTi inferior (tres meses). A continuación, se cambió a un arco 0.018" × 0.025" CuNiTi superior e inferior y se colocó un botón en el primer molar superior derecho para el uso de elástico cruzado al primer molar inferior derecho de 3/16 4.5 oz (Figura 5). Después de tres meses se retiraron los bite turbos y se colocaron arcos 0.018" × 0.025" de acero superior e inferior (Figura 6). Por último, se retiró la aparatología y se colocó un retenedor fijo inferior y retenedor tipo essix superior.



RESULTADOS

Se consiguieron los objetivos de tratamiento planteados: se descruzó la mordida posterior de lado derecho; se estableció clase I canina, clase I molar, y la forma de arco ovoide tanto superior como inferior y se logró mantener el perfil facial del paciente (Figura 7). Mediante la radiografía se apreció un buen paralelismo radicular (Figura 8A) y con la lateral de cráneo final, a la que se le realizó la superposición, se observó que se consiguió establecer una mejor relación anteroposterior (Tabla 1, Figura 8B y C).



DISCUSIóN

El uso de una mecánica con fuerzas ligeras produce un resultado biológicamente más estable, considerando que mantener los dientes dentro de una "zona óptima de fuerzas" permite que los labios sean capaces de controlar la posición de los incisivos, lo cual da a lugar a que la forma del arco se alinee, tomando el camino de menor resistencia, esto es una expansión posterior y resulta en una forma más amplia del arco.16 Birnie18 menciona que poder combinar tales factores permite efectuar tratamientos sin necesidad de extracciones. Algunos estudios han evaluado los cambios transversales con el uso de arcos de alta tecnología como el CuNiTi, y al utilizar un sistema de autoligado demostraron un desarrollo transversal importante en la zona de premolares y primeros molares. Es así como se obtiene el espacio necesario para aliviar apiñamientos mayores de 4 mm sin necesidad de extracciones.19,20 En nuestro caso, observamos el éxito del tratamiento obteniendo una discrepancia de longitud de arco de -6 mm superior, logrando incorporar el canino a la arcada y, además, estableciendo una correcta clase I canina.

Atik y Ciger20 hicieron la comparativa de 16 mujeres tratadas con aparatología de autoligado contra un grupo de 17 mujeres en las que se utilizó un Quad-Helix junto con aparatología convencional en el arco maxilar. Se observó una expansión muy similar en ambos grupos caracterizada por una inclinación dental hacia vestibular debido a la forma de los arcos. En nuestro paciente logramos tener el control total transversal, ya que tenía una mordida cruzada posterior, sin necesidad de usar ningún aparato adicional.

Para tratar la clase II unilateral de nuestro paciente, de acuerdo con el diagnóstico del origen de la asimetría (dentoalveolar o esquelético), nos inclinamos a elegir la opción sin extracciones tomando en cuenta el tipo de perfil y la posición labial. La literatura señala que21,22 los elásticos clase II, el uso de sliding jig, los microimplantes y los arcos segmentados, entre otros, han demostrado ser una buena opción con resultados favorables para un tratamiento clase II unilateral. Nuestro reporte demuestra la corrección de la clase II con el uso único de elásticos tempranos con fuerzas ligeras. Según Janson y colaboradores,23 los elásticos clase II son eficaces para la corrección de maloclusiones clase II porque los efectos con su uso son en su mayoría dentoalveolares. Además, conllevan una inclinación lingual, retrusión y extrusión de los incisivos superiores y viceversa con los incisivos mandibulares, así como una mesialización y extrusión de los molares mandibulares. Sin embargo, concluyen que no se ha prestado atención al efecto que tienen en los tejidos blandos. En nuestro caso no hubo una marcada extrusión del incisivo superior ni una sonrisa gingival, como podría pensarse que ocurriría.

Con respecto a los tejidos blandos, Janson y colaboradores24 compararon las cefalometrías para observar cambios en el tratamiento con extracciones de premolares y notaron que ocurrió una retracción del labio superior y una apertura del ángulo nasolabial. El perfil inicial de nuestro paciente y los efectos que pudiera causar un tratamiento de extracciones en los tejidos blandos, fueron factores importantes por los cuales se consideró un tratamiento sin extracciones.



CONCLUSIONES

Este reporte sugiere que la corrección de la maloclusión dental de clase II unilateral con apiñamiento severo se puede resolver sin necesidad de extracciones. Se logró un adecuado resultado funcional y estético, se cumplieron los objetivos de tratamiento propuestos al inicio, se corrigió la mordida cruzada posterior unilateral y se consiguió la clase I canina y clase I molar con el uso de elásticos implementando aparatología de autoligado sin extracciones. Es posible realizar dicha corrección conociendo las bondades de un sistema sin fricción, con buena cooperación del paciente y teniendo en cuenta la biomecánica utilizada para poder controlar tanto la reacción a la fuerza aplicada como todas las etapas del tratamiento.


REFERENCIAS (EN ESTE ARTÍCULO)

  1. Angle EH. Classifications of malocclusions. Dent Cosmos. 1899; 41 (1): 248-264.

  2. Alavi DG, BeGole EA, Schneider BJ. Facial and dental arch asymmetries in class II subdivision malocclusion. Am J Orthod Dentofacial Orthop. 1988; 93 (1): 38-46. doi: 10.1016/0889-5406(88)90191-6.

  3. Janson GR, Metaxas A, Woodside DG, de Freitas MR, Pinzan A. Three-dimensional evaluation of skeletal and dental asymmetries in Class II subdivision malocclusions. Am J Orthod Dentofacial Orthop. 2001; 119 (4): 406-418. doi: 10.1067/mod.2001.113267.

  4. Borja-Sihuinta F, Luque-Luque H. Tratamiento de una maloclusión de clase II subdivisión derecha sin extracciones. Reporte de caso. Odontol Sanmarquina. 2018; 21 (4): 312-321. doi: 10.15381/os.v21i4.15560.

  5. López DF, Herrera-Guardiola S. Corrección de maloclusión dental clase II unilateral con dispositivo de anclaje temporal infracigomático. Rev CES Odont. 2015; 28 (2): 142-155.

  6. Turpin DL. Correcting the class II subdivision malocclusion. Am J Orthod Dentofacial Orthop. 2005; 128 (5): 555-556. doi: 10.1016/j.ajodo.2005.09.006.

  7. Bishara SE. Class II malocclusions: diagnostic and clinical considerations with and without treatment. Semin Orthod. 2006; 12 (1): 11-24. doi: 10.1053/j.sodo.2005.10.005.

  8. Zierhut EC, Joondeph DR, Artun J, Little RM. Long-term profile changes associated with successfully treated extraction and nonextraction class II division 1 malocclusions. Angle Orthod. 2000; 70 (3): 208-219. doi: 10.1043/0003-3219(2000)070<0208:LTPCAW>2.0.CO;2.

  9. Mandakovic D, Rodríguez M. Distalización de molares maxilares utilizando dispositivos de anclaje esqueletal directo en pacientes con maloclusiones clase II. Revisión bibliográfica. Odontología Vital. 2018; 28: 81-90.

  10. Jayachandran S, Wiltshire WA, Hayasaki SM, Pinheiro FH. Comparison of AdvanSync and intermaxillary elastics in the correction of class II malocclusions: a retrospective clinical study. Am J Orthod Dentofacial Orthop. 2016; 150 (6): 979-988. doi: 10.1016/j.ajodo.2016.05.008.

  11. Baccetti T, Franchi L, Kimb LH. Effect of timing on the outcomes of 1-phase nonextraction therapy of class II malocclusion. Am J Orthod Dentofacial Orthop. 2009; 136 (4): 501-509. doi: 10.1016/j.ajodo.2007.08.029.

  12. Jones G, Buschang PH, Kim KB, Oliver DR. Class II non-extraction patients treated with the forsus fatigue resistant device versus intermaxillary elastics. Angle Orthod. 2008; 78 (2): 332-338. doi: 10.2319/030607-115.1.

  13. Ghersi Angulo MV, Gurrola Martínez B, Casasa Araujo A. Corrección de maloclusión clase II, elásticos clase II - Caso clínico. Revista Latinoamericana de Ortodoncia y Odontopediatría. 2016. Disponible en: https://www.ortodoncia.ws/publicaciones/2016/art-21/

  14. Jayachandran B, Padmanabhan R, Vijayalakshmi D, Padmanabhan J. Comparative evaluation of efficacy of self-ligating interactive bracket with conventional preadjusted bracket: A clinical study. Contemp Clin Dent. 2016; 7 (2): 158-162. doi: 10.4103/0976-237X.183049.

  15. Macías-Villanueva TG, Silva-Zatarain AN. Tratamiento de ortodoncia con aparatología de autoligado pasivo: DAMON. Rev Tamé. 2019; 8 (23): 939-942.

  16. Arteche P, Oberti G, Aristizabal JF, Sierra A, Rey D. Consideraciones importantes de la ortodoncia con brackets de autoligado versus ligado convencional. Rev Esp Ortod. 2015; 45: 3-21.

  17. Griffiths HS, Sherriff M, Ireland AJ. Resistance to sliding with 3 types of elastomeric modules. Am J Orthod Dentofacial Orthop. 2005; 127 (6): 670-675. doi: 10.1016/j.ajodo.2004.01.025.

  18. Birnie D. The Damon passive self-ligating appliance system. Semin Orthod. 2008; 14 (1): 19-35.

  19. Maltagliati LA, Myiahira YI, Fattori L, Filho LC, Cardoso M. Transversal changes in dental arches from non-extraction treatment with self ligating brackets. Dental Press J Orthod. 2013; 18 (3): 39-45. doi: 10.1590/s2176-94512013000300008.

  20. Atik E, Ciger S. An assessment of conventional and self-ligating brackets in class I maxillary constriction patients. Angle Orthod. 2014; 84 (4): 615-622. doi: 10.2319/093013-712.1.

  21. Aras I, Pasaoglu A. Class II subdivision treatment with the Forsus Fatigue Resistant Device vs intermaxillary elastics. Angle Orthod. 2017; 87 (3): 371-376. doi: 10.2319/070216-518.1.

  22. Uzel A, Uzel I, Toroglu MS. Two different applications of class II elastics with nonextraction segmental techniques. Angle Orthod. 2007; 77 (4): 694-700. doi: 10.2319/071006-283.

  23. Janson G, Sathler R, Fernandes TM, Branco NC, Freitas MR. Correction of class II malocclusion with class II elastics: a systematic review. Am J Orthod Dentofacial Orthop. 2013; 143 (3): 383-392. doi: 10.1016/j.ajodo.2012.10.015.

  24. Janson G, Carvalho PE, Cancado RH, de Freitas MR, Henriques JF. Cephalometric evaluation of symmetric and asymmetric extraction treatment for patients with class II subdivision malocclusions. Am J Orthod Dentofacial Orthop. 2007; 132 (1): 28-35. doi: 10.1016/j.ajodo.2005.07.024.



AFILIACIONES

1 Alumno de la Especialidad en Ortodoncia. Departamento de Clínicas Odontológicas Integrales. Centro Universitario de Ciencias de la Salud. Universidad de Guadalajara. México.

2 Egresada de la Especialidad en Ortodoncia. Departamento de Clínicas Odontológicas Integrales. Centro Universitario de Ciencias de la Salud. Universidad de Guadalajara. México.

3 Profesor de la Especialidad en Ortodoncia. Departamento de Clínicas Odontológicas Integrales. Centro Universitario de Ciencias de la Salud. Universidad de Guadalajara. México.



CORRESPONDENCIA

Carlos Orozco Varela. E-mail: carlosorozcovare@hotmail.com




Recibido: Julio 2021. Aceptado: Febrero 2022.

Figura 1
Figura 2
Figura 3
Figura 4
Figura 5
Figura 6
Figura 7
Figura 8
Tabla 1

2020     |     www.medigraphic.com

Mi perfil

C?MO CITAR (Vancouver)

Rev Mex Ortodon. 2020;8

ARTíCULOS SIMILARES

CARGANDO ...