medigraphic.com
ENGLISH

Medicina Crítica

  • Mostrar índice
  • Números disponibles
  • Información
    • Información general        
    • Directorio
  • Publicar
    • Instrucciones para autores        
  • Políticas
  • Lineamientos
  • medigraphic.com
    • Inicio
    • Índice de revistas            
    • Registro / Acceso
  • Mi perfil

2023, Número 2

<< Anterior Siguiente >>

Med Crit 2023; 37 (2)


Trombocitopenia inducida por heparina y síndrome de trombo blanco en paciente con SARS-CoV-2

Giraldo Sánchez, Javier Mauricio1
Texto completo Cómo citar este artículo 10.35366/110450

DOI

DOI: 10.35366/110450
URL: https://dx.doi.org/10.35366/110450
Artículos similares

Idioma: Español
Referencias bibliográficas: 26
Paginas: 141-145
Archivo PDF: 193.88 Kb.


PALABRAS CLAVE

trombocitopenia, factor de agregación plaquetaria 4, dímero D, heparina, COVID-19.

RESUMEN

La trombocitopenia inducida por heparina es una entidad clínica infrecuente; sin embargo, la amplia y masiva utilización de anticoagulantes en épocas de pandemia por COVID-19 pone de manifiesto una realidad evidente a la cual no podemos escapar. Presentamos el caso de un paciente masculino en la sexta década de vida con SARS-CoV-2, quien luego de la administración de heparina en el escenario de una enfermedad pulmonar tromboembólica desarrolló consumo plaquetario asociado a presencia de anticuerpos antifactor de agregación plaquetaria 4.



INTRODUCCIóN

El consumo plaquetario después de la administración de heparina está determinado por cambios conformacionales en dichas células. Éstas están inmersas en respuesta a infecciones virales de relevancia trascendental en tiempos de pandemia, lo cual predispone un escenario autoinmune frente a la interacción entre heparina y consumo plaquetario. La exposición de glicosaminoglicanos y de células endoteliales, así como la participación en la activación de la vía ternaria de la coagulación son determinantes en la disfunción hematológica. La autoinmunidad generada y la pérdida del equilibrio entre eicosanoides, adenosín difosfato plaquetario (ADP), hidroxitriptamina y glicoproteínas endógenas anticoagulantes serán preponderantes en el desarrollo del trombo blanco.



PRESENTACIóN DEL CASO

Paciente de 65 años de edad con un cuadro clínico de tres días de evolución, que consistía en incremento del trabajo respiratorio y aumento de la clase funcional, asociado a fiebre no cuantificada. Como único antecedente de importancia, había tenido la última vacuna para COVID-19 con ocho meses de anterioridad. Acudió a centro de referencia, donde le evidencian un deterioro importante de la oxigenación, por lo que decidieron trasladarlo a mayor nivel de complejidad. Ingresó a la unidad de cuidados intensivos en la que se documentó tensión arterial de 150/100, frecuencia cardiaca de 100 por minuto, frecuencia respiratoria de 35 por minuto afebril, saturación de oxígeno 78% con FiO2 de 50% y Glasgow de 15/15.

Como datos positivos, en el examen físico se percibieron crepitaciones en ambos campos pulmonares, así como ruidos cardiacos taquicárdicos rítmicos a pulso periférico, por lo que se plantea impresión diagnóstica de insuficiencia respiratoria aguda con etiología por determinar. Los resultados de los laboratorios de ingreso están documentados en la Tabla 1.

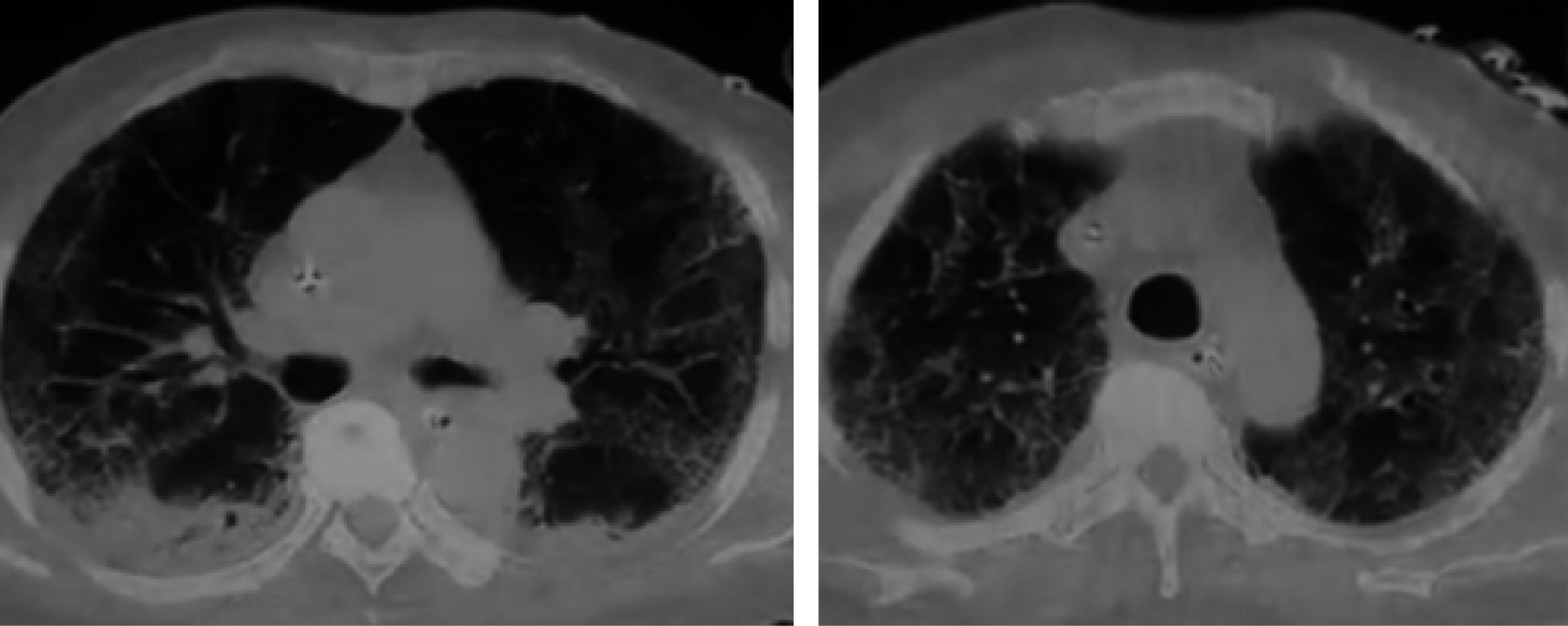
Reporte de gases arteriales con injuria pulmonar severa, PaFiO2 de 75, sin deterioro de la ventilación minuto alveolar, sin deuda bajo gasto ni sufrimiento mitocondrial. Se implementó cánula de alto flujo con un pico en su nivel de 60 y FiO2 de 100%, con el ánimo de implementar inertancia por presión y temperatura. Fue llevado a escanografía de tórax, que documentó infiltrados en cuatro campos pulmonares, en vidrio esmerilado con colapsos posterobasales (Figura 1).

Con base en los reportes de laboratorios de su ingreso, se presumió alta probabilidad de una complicación ante la sospecha de SARS-CoV-2.1 Evolucionó tórpidamente con aumento de la carga inspiratoria e índices de ROX persistentemente bajos,2 en consecuencia se decidió iniciarle ventilación mecánica no invasiva. Presentó hiperlactatemias considerables sin falla circulatoria, deuda de oxígeno ni bajo gasto, que hizo suponer actividad inflamatoria a nivel pulmonar, en el contexto de una injuria pulmonar severa, relacionada con una presión arterial de oxígeno/fracción inspirada de oxígeno de 50.3,4

Ante la evolución presentada se solicitaron nuevos marcadores de actividad fibrinolítica, los cuales fueron positivos con dímero D en 2,000 mg/dL. En el marco de una posible enfermedad pulmonar tromboembólica se continuó anticoagulación formal con heparina no fraccionada y fue llevado a perfusión pulmonar, que reveló defectos segmentarios de distribución vascular compatibles con tromboembolismo pulmonar (Figura 2).

Frente el fracaso de la cánula de alto flujo y de la ventilación mecánica no invasiva, se protegió la vía aérea con sedación y relajación, se evidenció Cormack-Lehane III y se avanzó tubo orotraqueal número 7.5 sin eventualidad.5,6 Se inició protección pulmonar extrema entre 3 y 4 mL por kg de peso predicho, más insuflación de gas traqueal, lo que ahorró volumen tidal y presión positiva al final de la espiración con estabilización de la ventilación por minuto alveolar y de la oxigenación.7-10

Se recibieron reportes de microbiología con RT-PCR positiva para COVID-19, panel viral y cultivos de vía aérea negativos. Se registraron conteos plaquetarios bajos en una proporción de 45,000 U/mm3, en relación con el inicio de heparina no fraccionada, sin evidencia de alguna otra causa generadora de ello, motivo por el cual se solicitaron anticuerpos antiplaquetarios, los cuales están reportados en la Tabla 2.

Presentó fibrilación auricular de respuesta ventricular rápida, por lo que requirió cardioversión farmacológica con antiarrítmico del grupo IIIb. Se realizó ecocardiograma que mostró fracción de eyección normal con insuficiencia tricúspidea más hipertensión pulmonar moderada. Con base en el reporte de los anticuerpos se modificó la anticoagulación.

Cursó con disfunción cognitiva y con delirio, además de alteración en las escalas de comportamiento, por ello precisó protocolo institucional de sedación para el dolor y el delirio.11,12 Presentó mejoría en la mecánica ventilatoria, al tolerar ventilación mecánica convencional, por lo cual se retiró sonda de succión cerrada de gas traqueal direccionado por protocolo institucional. Se realizó monitoria en asa cerrada con asistencia por flujo y volumen de 60%, presión positiva, fin de espiración de 10 centímetros de agua y fracción inspirada de oxígeno de 50%, se documentó compliance de 50 centímetros de agua, resistencias de 4.5 centímetros litro por segundo, presión elástica alveolar de fin de espiración normal, trabajo respiratorio de 0.7 J/L y elastancia de 36 centímetros de agua, de modo que se difirió liberación de la ventilación mecánica y fue llevado a traqueostomía con evolución favorable, por eso fue trasladado a cuidado crónico.



DISCUSIóN

El factor de agregación plaquetaria 4 es una pequeña proteína liberada por activación plaquetaria. Su mayor función fisiológica es la de promover la coagulación sanguínea. Esta función está relacionada con la afinidad del factor de agregación plaquetaria 4 con la heparina y otros glicosaminoglicanos, los cuales son largas cadenas de polisacáridos generadoras de unidades disacáridas. Por neutralización de las cargas negativas del heparán sulfato del lado de los glicosaminoglicanos de las superficies de las plaquetas y de las células endoteliales, el factor de agregación plaquetaria 4 facilita la agregación de las plaquetas para la formación del trombo. La expresión del factor de agregación plaquetaria 4 está también elevada en el trauma como determinante para evitar la pérdida durante la injuria.

De forma adicional, una cantidad importante de factor de agregación plaquetaria 4 es liberada en respuesta a la infección. Las plaquetas están involucradas de manera crucial en varios procesos biológicos como son la hemostasis, la coagulación, la cicatrización de las heridas, la angiogénesis, la inmunidad y la respuesta inflamatoria. El rol de las plaquetas en la respuesta inflamatoria, específicamente en la inmunidad innata, es relevante durante la infección viral en los pulmones, un importante sitio en su biogénesis.

Por imagen directa de la microcirculación pulmonar en modelos murinos, Liu y colaboradores demostraron la circulación de un gran número de megacariocitos a través de los pulmones y la liberación de plaquetas en este órgano. En efecto, la liberación de plaquetas a partir de los megacariocitos en el pulmón constituye 50% de la producción total de plaquetas.

Definitivamente el pulmón es el órgano de mayor generación plaquetaria, lo cual es preponderante durante la infección por H1N1, pues las plaquetas encapsulan los viriones y liberan sustancias antivirales procedentes de los gránulos alfa plaquetarios, los cuales pueden destruir los virus. En respuesta a infecciones de virus singulares, las plaquetas pueden también formar agregación heterotípica con los neutrófilos.

El TLR 7 (tool like receptor 7), que se expresa en las superficies de las plaquetas, es crucial para el encapsulamiento de los virus y la posterior activación de los neutrófilos. La liberación del TLR 7 a partir de la estimulación plaquetaria, debido al encapsulamiento del virus y posterior liberación de sus ácidos nucleicos, lidera la interacción con el complemento C3, el cual incrementa la liberación de ADN del neutrófilo. En la presencia de neutrófilos las plaquetas también liberan factor estimulador de colonias del granulocito.13-20

La trombocitopenia es un problema mayor en pacientes con COVID-19. Un estudio realizado en China, el cual involucró a 1,099 pacientes con COVID-19, determinó 31% de trombocitopenia en formas leves y hasta 57% en formas severas de pacientes con infección por coronavirus.21,22

Las afectaciones en la coagulación de pacientes con COVID-19 están relacionadas con la respuesta del huésped frente a la infección por SARS-CoV-2; sin embargo, la trombocitopenia puede ser causada por el uso de heparina.13

En un análisis de cohorte retrospectiva que comprendió 652 pacientes hospitalizados con COVID-19 en Beth Israel Deaconess Medical Center, 88 pacientes recibieron al menos cinco días de heparina no fraccionada. Se seleccionaron ocho pacientes con sospecha de trombocitopenia inducida por heparina, de los cuales cinco resultaron positivos, los cinco pacientes fueron tratados con inhibidores directos de la trombina después del testeo de los anticuerpos (cuatro con argatroban y uno con bivalirudin). Tres pacientes desarrollaron sangrado mayor y fallecieron, uno presentó infarto cerebral y otro infarto esplénico.13,23

En otra serie de casos reportada en Wuhan, 61 pacientes críticamente enfermos con COVID-19 y 93 no críticos con COVID-19 fueron randomizados en el seguimiento de disfunción hematológica durante su estancia. Se demostró en 41% de los pacientes críticos la presencia de trombocitopenia severa con recuentos plaquetarios por debajo de 50,000, casi todos excepto uno (24/25) presentaron desenlace fatal. Desarrollaron trombocitopenia severa 52.2% (24/46) de los pacientes no sobrevivientes, comparado con 6.7% (1/15) de los sobrevivientes. Altos niveles de anticuerpos antifactor de agregación plaquetaria 4 fueron identificados en la mayoría de pacientes de la Unidad de Cuidados Intensivos.

Riker y colegas documentaron, en 16 pacientes con SARS-CoV-2, la presencia de trombocitopenia severa con anticuerpos antifactor de agregación plaquetaria 4, en dichos pacientes la presencia de trombosis se manifestó en pulmones y extremidades inferiores, mientras que en otro por medio de necrosis cutánea, y en uno de ellos se identificó la presencia de los anticuerpos mediante la prueba de liberación de serotonina.14,24

El riesgo de trombocitopenia inducida por heparina y síndrome de trombo blanco, no sólo se limita a los escenarios terapéuticos durante la enfermedad pulmonar tromboembólica en medio de pandemia, sino que también se relaciona con la exposición al uso del anticoagulante durante los procedimientos médicos como las terapias de reemplazo renal continuo u oxigenación con membrana de circulación extracorpórea.25 La tromboprofilaxis con heparina es rutinariamente utilizada durante hospitalizaciones en pacientes con COVID-19, debido a la estimulación inmune por COVID-19. Existe evidencia del aumento de la trombocitopenia inducida por heparina.

Se realizó una búsqueda electrónica en PubMed, Cochrane, Embase y medRxiv database, para identificar estudios que evidenciaran manifestaciones clínicas o de laboratorio relacionadas con trombocitopenia inducida por el uso de heparina en pacientes con COVID-19. El primer objetivo fue revisar sistemáticamente las presentaciones clínicas y los desenlaces de pacientes infectados con COVID-19 con confirmación de trombocitopenia inducida por heparina. El segundo objetivo fue optimizar un metaanálisis que estimara la presencia de pacientes con trombocitopenia inducida por heparina y que estuvieran infectados por COVID-19.

Un metaanálisis de siete estudios, que incluyeron 5,849 pacientes, reveló una incidencia de 0.8% de trombocitopenia inducida por heparina con técnicas estadísticas que combinaron resultados de múltiples estudios epidemiológicos, y una incidencia estimada de 1.2% con intervalo de confianza de 95%.

En los subgrupos analizados sobre el uso de heparina terapéutica y profiláctica, respectivamente, la trombocitopenia inducida por heparina fue más alta en pacientes críticamente enfermos que en los no críticos. Hubo 19 pacientes con trombocitopenia inducida por heparina y uno con confirmación autoinmune de trombocitopenia inducida por heparina por clínica y por caracterización de laboratorio.

El tiempo promedio de inicio de trombocitopenia, una vez que se comenzaba el uso de heparina, fue de 13.5 días. Veinte pacientes (63%) desarrollaron tromboembolismo pulmonar después de la administración de heparina, es decir, la incidencia de trombocitopenia inducida por heparina en pacientes con COVID-19 es comparable con la trombocitopenia desarrollada por pacientes sin la infección, con una alta incidencia cuando la anticoagulación es terapéutica en pacientes críticamente enfermos.26



CONCLUSIONES

La trombocitopenia inducida por heparina, a pesar de ser una entidad clínica infrecuente, genera una carga de enfermedad adicional a los pacientes críticamente enfermos por COVID-19. Conociendo la relación directa existente entre escalas de severidad pronóstica en pacientes con COVID-19 y la presencia de trombocitopenia inducida por heparina cuando es utilizada de manera terapéutica, podríamos discriminar su uso en aquel subgrupo de pacientes que requieran anticoagulación formal con alguna otra alternativa terapéutica.



AGRADECIMIENTOS

Agradecemos la oportunidad de publicación como aporte a la academia y la gestión del conocimiento.


REFERENCIAS (EN ESTE ARTÍCULO)

  1. Ji D, Zhang D, Xu J, Chen Z, Yang T, Zhao P, et al. Prediction for progression risk in patients with COVID-19 pneumonia: the CALL score. Clin Infect Dis. 2020;71(6):1393-1399. doi: 10.1093/cid/ciaa414.

  2. Chandel A, Patolia S, Brown AW, Collins AC, Sahjwani D, Khangoora V, et al. High-flow nasal cannula therapy in COVID-19: using the ROX index to predict success. Respir Care. 2021;66(6):909-919. doi: 10.4187/respcare.08631.

  3. Brown SD, Clark C, Gutierrez G. Pulmonary lactate release in patients with sepsis and the adult respiratory distress syndrome. J Crit Care. 1996;11(1):2-8.

  4. Routsi C, Bardouniotou H, Delivoria-Ioannidou V, Kazi D, Roussos C, Zakynthinos S. Pulmonary lactate release in patients with acute lung injury is not attributable to lung tissue hypoxia. Crit Care Med. 1999;27(11):2469-2473.

  5. Rosenblatt WH, Abrons RO, Sukhupragarn W. Airway management. In: Barash PG, Cullen BF, Stoelting RK, et al. Clinical anesthesia. 8th ed. Philadelphia, PA: Wolters Kluwer; 2017. pp. 1901-2004.

  6. Finucane B, Tsui BC, Santora A. The difficult airway. In: Principles of airway management. 4th ed. New York: Springer; 2011. pp. 361-414.

  7. Giraldo Sánchez JM, Badillo E, Pacheco J, Beltrán E, Barranco E, Leonardo Rojas RG. Insuflación de gas traqueal como estrategia de rescate en hipoxemia refractaria por edema pulmonar multifactorial en paciente con hemorragia subaracnoidea. Acta Colomb Cuid Intensivo. 2015;15:220-226.

  8. Giraldo JM, Vargas F, Cantillo GA. Ventilación mecánica protectora más insuflación de gas traqueal en paciente con tromboembolismo pulmonar masivo secundario a deficiencia de proteína C, S y de antitrombina III (AT III). Acta Colomb Cuid Intensivo. 2009;10(2):136-142.

  9. Giraldo Sánchez JM, Villamarín R. Ventilación mecánica de alta frecuencia más insuflación de gas traqueal en paciente con síndrome de dificultad respiratoria del adulto secundario a aspiración masiva inducida por opioide. Acta Colomb Cuid Intensivo. 2008;8(4):312-317.

  10. Giraldo Sánchez JM, Cantillo A, Puentes FE. Ventilación mecánica protectora e insuflación de gas traqueal en paciente con contusión pulmonar. Acta Colomb Cuid Intensivo. 2008;8(4):318-321.

  11. van den Boogaard M, Pickkers P, Slooter AJ, Kuiper MA, Spronk PE, van der Voort PH, et al. Development and validation of PRE-DELIRIC (PREdiction of DELIRium in ICu patients) delirium prediction model for intensive care patients: observational multicentre study. BMJ. 2012;344:e420.

  12. Ely EW, Truman B, Shintani A, Thomason JW, Wheeler AP, Gordon S, et al. Monitoring sedation status over time in ICU patients: reliability and validity of the Richmond Agitation-Sedation Scale (RASS). JAMA. 2003;289(22):2983-2991.

  13. Liu X, Zhang X, Xiao Y, et al. Heparin-induced thrombocytopenia is associated with a high risk of mortality in critical COVID-19 patients receiving heparin-involved treatment. medRxiv. 2020. Available in: https://www.medrxiv.org/content/10.1101/2020.04.23.20076851v1

  14. Cai Z, Greene MI, Zhu Z, Zhang H. Structural features and PF4 functions that occur in heparin-induced thrombocytopenia (HIT) complicated by COVID-19. Antibodies (Basel). 2020;9(4):52. doi: 10.3390/antib9040052.

  15. Poncz M, Surrey S, LaRocco P, Weiss MJ, Rappaport EF, Conway TM, et al. Cloning and characterization of platelet factor 4 cDNA derived from a human erythroleukemic cell line. Blood. 1987;69(1):219-223.

  16. Barber AJ, Kaser-Glanzmann R, Jakabova M, Luscher EF. Characterization of a chondroitin 4 -sulfate proteoglycan carrier for heparin neutralizing activity (platelet factor 4) released from human blood platelets. Biochim Biophys Acta. 1972;286:312-329. doi: 10.1016/0304-4165(72)90267-X.

  17. Holt JC, Niewiarowski S. Biochemistry of alpha granule proteins. Semin Hematol. 1985;22(2):151-163.

  18. Qiu J, Ma J, Zhang S, Han J, Liu S. Promoting platelets is a therapeutic option to combat severe viral infection of the lung. Blood Adv. 2020;4(8):1640-1642. doi: 10.1182/bloodadvances.2020001669.

  19. Salamanna F, Maglio M, Landini MP, Fini M. Platelet functions and activities as potential hematologic parameters related to Coronavirus Disease 2019 (Covid-19). Platelets. 2020;31(5):627-632. doi: 10.1080/09537104.2020.1762852.

  20. Schrottmaier WC, Mussbacher M, Salzmann M, Assinger A. Platelet-leukocyte interplay during vascular disease. Atherosclerosis. 2020;307:109-120. doi: 10.1016/j.atherosclerosis.2020.04.018.

  21. Guan WJ, Ni ZY, Hu Y, Liang WH, Ou CQ, He JX, et al. Clinical characteristics of coronavirus disease 2019 in China. N Engl J Med. 2020;382(18):1708-1720. doi: 10.1056/NEJMoa2002032.

  22. Bao C, Tao X, Cui W, Yi B, Pan T, Young KH, et al. SARS-CoV-2 induced thrombocytopenia as an important biomarker significantly correlated with abnormal coagulation function, increased intravascular blood clot risk and mortality in COVID-19 patients. Exp Hematol Oncol. 2020;9:16. doi: 10.1186/s40164-020-00172-4.

  23. Patell R, Khan AM, Bogue T, Merrill M, Koshy A, Bindal P, et al. Heparin induced thrombocytopenia antibodies in Covid-19. Am J Hematol. 2020;95(10):E295-E296. doi: 10.1002/ajh.25935.

  24. Riker RR, May TL, Fraser GL, Gagnon DJ, Bandara M, Zemrak WR, et al. Heparin-induced thrombocytopenia with thrombosis in COVID-19 adult respiratory distress syndrome. Res Pract Thromb Haemost. 2020;4(5):936-941. doi: 10.1002/rth2.12390.

  25. Phan XT, Nguyen TH, Tran TT, Huynh TT, Hoang TT, Nguyen VV, et al. Suspected heparin-induced thrombocytopenia in a COVID-19 patient on extracorporeal membrane oxygenation support: a case report. Thromb J. 2020;18(1):37. doi: 10.1186/s12959-020-00252-9.

  26. Uaprasert N, Tangcheewinsirikul N, Rojnuckarin P, Patell R, Zwicker JI, Chiasakul T. Heparin-induced thrombocytopenia in patients with COVID-19: a systematic review and meta-analysis. Blood Adv. 2021;5(21):4521-4534. doi: 10.1182/bloodadvances.2021005314.



AFILIACIONES

1 Medicina Intensiva del Tolima UCI Honda. Colombia.



CORRESPONDENCIA

Javier Mauricio Giraldo Sánchez. E-mail: dircientifico@ucihonda.com.co




Recibido: 25/01/2022. Aceptado: 18/03/2022.







Figura 1
Figura 2
Tabla 1
Tabla 2

2020     |     www.medigraphic.com

Mi perfil

C?MO CITAR (Vancouver)

Med Crit. 2023;37

ARTíCULOS SIMILARES

CARGANDO ...