medigraphic.com
ENGLISH

Revista Mexicana de Cirugía Endoscópica

ISSN 1665-2576 (Impreso)
  • Mostrar índice
  • Números disponibles
  • Información
    • Información general        
    • Directorio
  • Publicar
    • Instrucciones para autores        
    • Envío de artículos
  • medigraphic.com
    • Inicio
    • Índice de revistas            
    • Registro / Acceso
  • Mi perfil

2022, Número 3-4

<< Anterior

Rev Mex Cir Endoscop 2022; 23 (3-4)


Quiste de Nuck resuelto por cirugía laparoscópica: reporte de caso clínico

Pereyra-Talamantes, Armando1,2; Rodríguez-Silverio, Jesús Emmanuel1,3; Gallaga-Rojas, Marco Antonio1,4; Vergara-Tamayo, Emmanuel Alejandro1,5; Pérez-Morales, Oscar1,6; De Alba-González, Belem Carolina7
Texto completo Cómo citar este artículo 10.35366/110664

DOI

DOI: 10.35366/110664
URL: https://dx.doi.org/10.35366/110664
Artículos similares

Idioma: Español
Referencias bibliográficas: 7
Paginas: 99-102
Archivo PDF: 210.83 Kb.


PALABRAS CLAVE

quiste de Nuck, laparoscopía, hernia inguinal, caso clínico.

RESUMEN

Introducción: los quistes de Nuck son patologías poco frecuentes y son difíciles de diagnosticar de manera preoperatoria. Presentación del caso: paciente femenino de 40 años de edad, con dolor en la región inguinal derecha, inicialmente diagnosticada por ultrasonido como hernia inguinal. Durante la laparoscopía diagnóstica no se evidenció defecto herniario inguinal, por lo que se realizó exploración del canal inguinal en su totalidad, encontrando la presencia de una lesión quística de 35 × 20 mm que se resecó en su totalidad y se colocó malla de polipropileno preformada. El estudio histopatológico reportó un quiste mesotelial multiloculado compatible con quiste de Nuck. Conclusiones: al ser una patología poco frecuente, cuando no se observa en el transoperatorio la presencia de un defecto herniario, se debe explorar en su totalidad la región inguinal y continuar con la realización de plastia inguinal y colocación de malla de manera convencional.



INTRODUCCIóN

Los quistes de Nuck son una patología poco frecuente y de difícil diagnóstico preoperatorio que habitualmente se abordan por cirugía abierta. Sin embargo, la vía laparoscópica (transabdominal preperitoneal) ofrece la ventaja de poder visualizar ambas regiones inguinales claramente y es de utilidad para identificar la lesión quística y resecarla en su totalidad. El procedimiento se debe complementar con la colocación de malla como se hace en la hernioplastia inguinal laparoscópica de manera convencional. Aquí presentamos un caso clínico que ilustra este procedimiento.



PRESENTACIóN DEL CASO

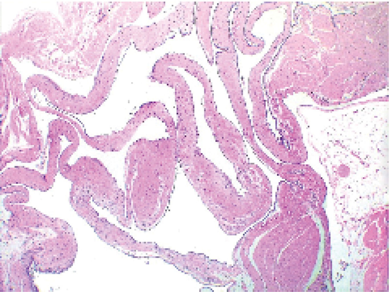
Paciente femenino de 40 años de edad sin comorbilidades ni antecedentes quirúrgicos. Acudió al área de urgencias por la presencia de inguinodinia derecha, a la exploración física se identificó la presencia de una masa irreductible y fluctuante de 3 cm de diámetro aproximadamente. El ultrasonido inguinal reportó al inicio un defecto herniario de 14.6 mm y un saco herniario de 30 × 14 mm de contenido graso (Figura 1), mismo que no mostró vascularidad a la aplicación del modo Doppler color (Figura 2). Se programó para realización de hernioplastia inguinal derecha laparoscópica con técnica transabdominal preperitoneal. Durante el transoperatorio no se identificó defecto herniario (Figura 3), por lo que se realizó la exploración de toda la región inguinal derecha, identificando una lesión quística en el ligamento redondo que fue disecada y resecada en su totalidad (Figura 4), se colocó una malla preformada de polipropileno como en la plastia inguinal laparoscópica convencional. La paciente a las 24 horas posquirúrgicas inició vía oral y se egresó de manera satisfactoria. En el estudio histopatológico se reportó un quiste mesotelial multiloculado revestido por células mesoteliales compatible con quiste de Nuck, sin datos de neoplasia o malignidad (Figura 5).



DISCUSIóN

Durante el desarrollo embriológico femenino, el ligamento redondo sale del canal inguinal y se une a los labios mayores.1 El proceso vaginal y el gubernaculum son dos estructuras fetales principales que contribuyen al desarrollo prenatal del canal inguinal. El proceso vaginal es un pliegue tubular del peritoneo parietal que se extiende hacia el canal inguinal durante el séptimo mes de vida fetal y se oblitera entre el octavo mes de gestación y el primer año de vida posnatal en las niñas, entra en el canal inguinal a través del anillo inguinal profundo, donde se coloca por delante del gubernaculum, pero luego queda medial al gubernaculum dentro del canal inguinal. El pliegue peritoneal que desciende con el ligamento redondo se conoce como canal de Nuck.2

La obliteración del proceso vaginal procede gradualmente en una dirección de superior a inferior. En raras ocasiones, no se oblitera y el pliegue peritoneal persiste hasta la edad adulta, lo que puede provocar una hernia indirecta.3 Un canal de Nuck permeable permite que el líquido o el contenido pélvico se hernien a través del canal inguinal hacia los labios mayores. Si la porción inferior del canal de Nuck permanece permeable y la superior está obliterada, se desarrolla un quiste del canal de Nuck, también llamado hidrocele enquistado del canal de Nuck.1

El primer caso observado de patología en el canal de Nuck se remonta a 1691 por Anton Nuck. El quiste del canal de Nuck también llamado hidrocele del canal de Nuck o hidrocele femenino son términos equivalentes para este poco frecuente y raro trastorno del desarrollo del sistema reproductivo de la mujer y representa un número limitado de casos de inflamación benigna dolorosa o indolora en la región inguinal o incluso en los labios mayores.2

Un quiste del canal de Nuck con frecuencia se diagnostica de manera equivocada como hernia inguinal en mujeres y la mayoría de las veces se detecta correctamente sólo hasta la cirugía. Las imágenes preoperatorias son cruciales para facilitar el diagnóstico. En un ultrasonido, el quiste de Nuck aparece como una estructura quística de pared delgada y tubular bien definida, anecoica o hipoecoica, unilocular o multilocular.4

Un ejemplo del manejo habitual de estos quistes es el presentado por Zarrukh Baig y colaboradores quienes de manera preoperatoria identificaron el quiste de Nuck, planearon la cirugía como hernioplastia abierta mediante una técnica modificada de McVay, repararon el defecto de la hernia femoral, extirparon el quiste del canal de Nuck y cerraron el anillo inguinal interno.5 En nuestro caso clínico, el quiste de Nuck se diagnosticó de manera transoperatoria, se efectuó abordaje transabdominal preperitoneal, se resecó el quiste de Nuck en su totalidad y de manera convencional se colocó una malla preformada de polipropileno.

Es de llamar la atención que, en la mayoría de las publicaciones, esta patología se logra diagnosticar de manera preoperatoria y aun así los cirujanos optan por el abordaje abierto. No obstante, en la actualidad ya existe suficiente evidencia para apoyar que el manejo quirúrgico de un quiste del canal de Nuck por vía laparoscópica con el cierre concomitante del defecto interno inguinal, principalmente con el uso de una malla,6 es adecuado. La técnica quirúrgica se debe adaptar de acuerdo con la extensión del quiste, la precisión del diagnóstico preoperatorio y la coexistencia de una hernia.7



CONCLUSIONES

Los quistes del canal de Nuck son patologías poco frecuentes, siendo un diagnóstico diferencial de las hernias inguinales, por lo que deben tomarse en cuenta en las pacientes que presenten abultamientos en esa región anatómica, sobre todo si ya han sido evidenciados a través de algún método de imagen como ultrasonido o tomografía, tomando en cuenta los sitios probables de aparición (Figura 6).

El diagnóstico preoperatorio es fundamental, si bien, si se realiza de manera transoperatoria se puede resecar en su totalidad el quiste de Nuck y reparar la hernia mediante abordaje preperitoneal más colocación de malla.


REFERENCIAS (EN ESTE ARTÍCULO)

  1. Prodromidou A, Paspala A, Schizas D, Spartalis E, Nastos C, Machairas N. Cyst of the canal of nuck in adult females: a case report and systematic review. Biomed Rep. 2020; 12: 333-338.

  2. Wang L, Maejima T, Fukahori S, Shun K, Yoshikawa D, Kono T. Laparoscopic surgical treatment for hydrocele of canal of Nuck: A case report and literature review. Surg Case Rep. 2021; 7: 121. doi: 10.1186/s40792-021-01205-8.

  3. Ozel A, Kirdar O, Halefoglu AM, Erturk SM, Karpat Z, Lo Russo G et al. Cysts of the canal of Nuck: ultrasound and magnetic resonance imaging findings. J Ultrasound. 2009; 12: 125-127. doi: 10.1016/j.jus.2009.05.002.

  4. Thomas AK, Thomas RL, Thomas B. Canal of nuck abnormalities. J Ultrasound Med. 2020; 39: 385-395. doi: 10.1002/jum.15103.

  5. Baig Z, Hunka N, Gaboury J. Surgical treatment of a canal of Nuck cyst presenting as a femoral hernia: An unusual case report. Int J Surg Case Rep. 2021; 87: 106435. doi: 10.1016/j.ijscr.2021.106435.

  6. Topal U, Saritas AG, Ülkü A, Akcam AT, Doran F. Cyst of the canal of Nuck mimicking inguinal hernia. Int J Surg Case Rep. 2018; 52: 117-119. doi: 10.1016/j.ijscr.2018.09.053.

  7. Ferreira AF, Marques JP, Falcao F. Hydrocele of the canal of Nuck presenting as a sausage-shaped mass. BMJ Case Rep. 2017; 2017: bcr2017221024.



AFILIACIONES

1 Departamento de Cirugía General, Hospital Central Militar. Ciudad de México.

2 ORCID: 0000-0001-8842-4980.

3 ORCID: 0000-0001-5784-6355.

4 ORCID: 0000-0001-6032-9519.

5 ORCID: 0000-0003-0225-8278.

6 ORCID: 0000-0003-4821-9143.

7 Servicio de Biología de la Reproducción, Hospital de Gineco-Obstetricia La Raza. Ciudad de México. ORCID: 0000-0002-4693-3661.



CORRESPONDENCIA

Armando Pereyra-Talamantes. E-mail: drpereyratalamantes@hotmail.com




Recibido: 10/11/2022. Aceptado: 30/12/2022.

Figura 1
Figura 2
Figura 3
Figura 4
Figura 5
Figura 6

2020     |     www.medigraphic.com

Mi perfil

C?MO CITAR (Vancouver)

Rev Mex Cir Endoscop. 2022;23

ARTíCULOS SIMILARES

CARGANDO ...