medigraphic.com
ENGLISH

Orthotips AMOT

ISSN 2007-8560 (Impreso)
Órgano Oficial de Difusión Científica de la Federación Mexicana de Colegios de Ortopedia y Traumatología, A.C. (FEMECOT)
  • Mostrar índice
  • Números disponibles
  • Información
    • Información general        
    • Directorio
  • Publicar
    • Instrucciones para autores        
  • medigraphic.com
    • Inicio
    • Índice de revistas            
    • Registro / Acceso
  • Mi perfil

2023, Número 2

<< Anterior Siguiente >>

Ortho-tips 2023; 19 (2)


Tumor de células gigantes en columna pediátrica

Delángel Solís Cámara, Brenda Berenice1; Vilchis Sámano, Hugo2; Sandoval Plata, Alfredo3; Pinzón Largo, Cristian Yiovanny1
Texto completo Cómo citar este artículo 10.35366/110716

DOI

DOI: 10.35366/110716
URL: https://dx.doi.org/10.35366/110716
Artículos similares

Idioma: Español
Referencias bibliográficas: 20
Paginas: 96-101
Archivo PDF: 235.00 Kb.


PALABRAS CLAVE

tumor, células gigantes, paraparesia progresiva, instrumentación pedicular, sistema facetario.

RESUMEN

Introducción: el tumor de células gigantes es primario y benigno del hueso, localmente agresivo, raramente se presenta en la edad pediátrica y ubicado en la columna torácica. Objetivo: dar a conocer la presentación de esta patología, el abordaje para realizar el diagnóstico, planeación, tratamiento quirúrgico y los resultados posteriores con seguimiento multidisciplinario durante 10 años. Resultados: masculino de nueve años de edad sin presencia de comorbilidades con inicio de padecimiento en 2011 caracterizado por cuadro clínico de siete meses de evolución que consistía en dorsalgia, alteraciones de la marcha, paraparesia progresiva en miembros pélvicos. Mediante la correlación clínica-patológica se realiza el diagnóstico de tumor de células gigantes. Se realiza instrumentación pedicular de T2-T3, con puenteo a T4 y fijación distal de T5-T6 con un implante de sistema facetario/pedicular tipo Axon, posteriormente con terapia adyuvante con radioterapia. El paciente presenta evolución postquirúrgica favorable con restitución de la fuerza, sensibilidad y sin recidiva del tumor. Conclusión: ante la presencia de síntomas neuromotores progresivos se tiene que realizar un adecuado protocolo de estudio teniendo en cuenta los diversos diagnósticos diferenciales. El tratamiento de las neoplasias en columna idealmente es la resección completa de la lesión tumoral para evitar recidiva, así como lograr una adecuada descompresión del conducto medular para la remisión completa de la sintomatología neurológica, el tratamiento quirúrgico puede ser complementado con terapias adyuvantes como en este caso la radioterapia para disminuir el riesgo de recidiva.



INTRODUCCIóN

El tumor de células gigantes (TCG) es primario y benigno del hueso, aunque se ha reportado que puede hacer metástasis a distancia, generalmente a los pulmones.1 Es localmente agresivo y se ubica generalmente en región metaepifisaria de los huesos largos, principalmente en fémur distal y tibia proximal.2 Representan 4% de las lesiones óseas.3 Comprende menos de 5% de los tumores óseos primarios en la columna vertebral y, cuando involucran el esqueleto axial, ocurre predominantemente en el sacro.4 En la columna vertebral el sacro es el sito más afectado por esta neoplasia, con una incidencia de 6.7-9.4% de todos los tumores de células gigantes del cuerpo.5,6 Se trata de un tumor óseo bien definido caracterizado por su agresividad local, compuesto por células ovales, en forma de huso y células gigantes multinucleadas.7 El objetivo del tratamiento es remover el tumor y reconstruir el defecto óseo resultante para así disminuir el riesgo de recurrencia y restaurar la función del área afectada.2

Los tumores de células gigantes raramente se presentan en columna torácica, y se trata de una neoplasia que se manifiesta con más frecuencia entre los 30-40 años con ligera predominancia en el sexo femenino.5,8,9 Los síntomas que puede presentar cuando su localización es en la columna son dolor de espalda y alteraciones neurológicas, como debilidad de las extremidades por compresión de la médula o raíces nerviosas,10,11 con reporte de compromiso neurológico que puede estar en hasta 72% de los pacientes afectados.12

No existen reportes de casos en la literatura de este tipo de neoplasias con localización en columna vertebral en la población pediátrica, ni abordaje quirúrgico establecido cuando se presenta en columna vertebral, debido a que se debe considerar el nivel al que se localiza; sin embargo, la importancia de una planeación quirúrgica eficiente ayuda a obtener adecuados resultados como remisión total de la sintomatología motora o sensitiva, y a restaurar la anatomía funcional de la columna, por lo que el propósito de este trabajo es dar a conocer la presentación de esta patología, el abordaje para realizar el diagnóstico, planeación, manejo quirúrgico y los resultados posteriores al evento quirúrgico con seguimiento multidisciplinario durante 10 años.



PRESENTACIóN DEL CASO

Paciente masculino de nueve años, sin antecedentes heredofamiliares relevantes o presencia de comorbilidades previas, inicia con dolor a nivel dorsal, el cual es tratado conservadoramente, remitiendo de forma parcial; posteriormente presenta alteraciones de la marcha, por lo que acude a su hospital general de zona donde se le integra el diagnóstico de cerebelitis y se establece manejo conservador, con mejoría parcial. Es valorado por el Servicio de Neurocirugía Pediátrica en el Hospital Centro Medico "La Raza" por persistencia de alteraciones en la marcha, a la cual se agrega paraparesia progresiva y dolor torácico, integrándose diagnóstico de probable síndrome de Guillain-Barré, por lo que se le solicita resonancia magnética y tomografía, donde se aprecia a nivel de T4 tumoración con crecimiento intrarraquídeo extradural que condiciona compresión de 50% del canal medular (Figura 1). Se realiza biopsia y resección intralesional del tumor, con resultado de esta biopsia de tumor de células gigantes con componente de quiste óseo aneurismático y es egresado a su domicilio (Figura 2). Sin embargo, el paciente es reingresado al servicio de neurocirugía pediátrica por persistencia de paraparesia, por lo que se decide realizar nueva resonancia magnética en la que se observa colapso vertebral, cifosis segmentaria, por lo que es enviado al Hospital de Traumatología y Ortopedia de Lomas Verdes.

A su ingreso se encuentra con fuerza muscular 1/5 desde L 2 a distal, hiperreflexia rotuliana y aquílea, clonus, Babinski bilateral, hipoestesia de T4 a distal, control de esfínteres presente. Motivo por el cual se decide realizar instrumentación pedicular T2-T3, puenteo a T4 y fijación distal T5-T6 más resección intralesional del tumor (Figura 3). El implante seleccionado fue un sistema facetario/pedicular tipo Axon. Se efectúa planeación quirúrgica digital mediante el uso de tomografía axial computarizada simple (TAC) con reconstrucción en 3D usando el programa OsiriX para valorar sitio de colocación de tornillos facetario/pedicular (Figura 4). Se ingresa a la unidad de cuidados intensivos procedente de quirófano por iniciar retención de CO2 importante, permanece en dicha unidad durante 24 horas y se egresa a hospitalización al área de ortopedia pediátrica.

A su quinto día posterior a la cirugía se encuentra con signos vitales normales, con movilización de extremidades, arcos de movilidad en miembros pélvicos conservados, fuerza 4/5, REM 1/2 para L 4 y S1 bilateral, llenado capilar inmediato sin compromiso neurovascular.

Se decide egreso hospitalario y se envía a oncología para tratamiento integral, con citas periódicas por parte del servicio de cirugía de columna. Por parte de oncología se decide tratamiento con radioterapia, la cual finaliza completamente con recuperación total de la fuerza y sensibilidad.

Durante los 10 años de seguimiento posterior al manejo quirúrgico el paciente permanece sin datos de actividad tumoral, con fuerza y sensibilidad conservados; sin embargo, se realiza diagnóstico de hipotiroidismo secundario probablemente asociado a tratamiento con radioterapia. Se decide retiro de material de osteosíntesis cinco años después de la cirugía por riesgo de cifosis y efecto cigüeñal.

Evaluación de estudios de imagen: en la tomografía realizada inicialmente se observa en corte sagital pérdida de la curvatura normal de la columna con presencia de colapso vertebral a nivel de T4 con lesión tumoral de patrón geográfico (Figura 1), lobulada, que compromete apófisis espinosa. En el corte axial se observa compromiso del cuerpo vertebral, pedículo, lámina y unión costovertebral izquierda con invasión al conducto medular, lo cual explicaría la paresia de miembros inferiores y alteraciones de la marcha que presentaba el paciente.

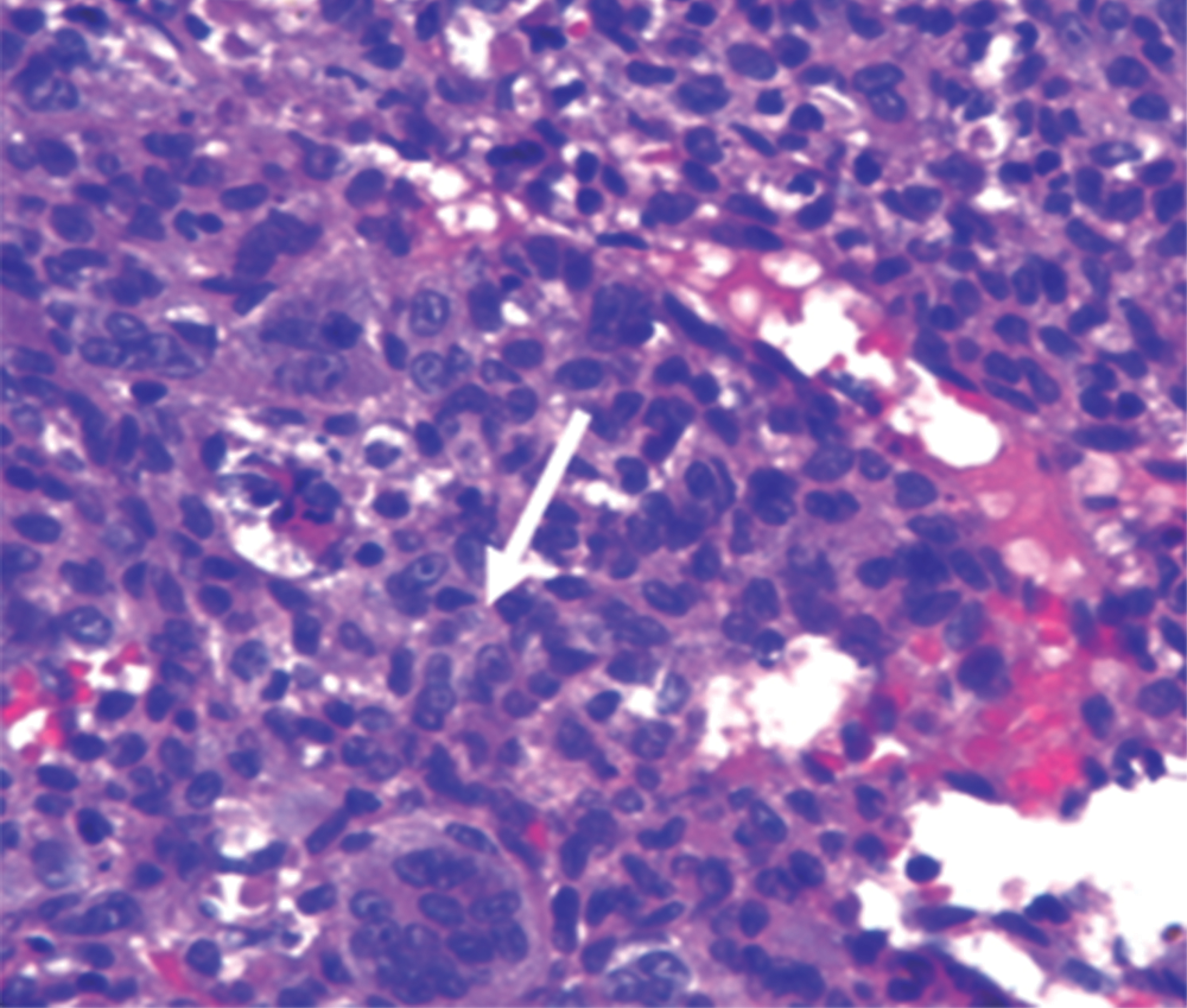
Resultado histopatológico en el que se muestran los hallazgos característicos de este tipo de neoplasias, con células gigantes, multinucleadas con la cual se realiza diagnóstico definitivo (Figura 2).

Para realizar la planeación quirúrgica (Figura 4), se solicita tomografía con reconstrucción en 3D y en el programa OsiriX se analiza el diámetro pedicular, el punto de entrada ideal y los ángulos sagitales y axiales para cada vértebra a instrumentar, además del diámetro y longitud de los tornillos. Las imágenes más representativas de estas mediciones se copian a un programa de diapositivas y este se lleva a quirófano para revisarlo en tiempo real, aunado a la técnica de manos libres y fluoroscopio.

El resultado postquirúrgico lo observamos en la Figura 3 donde se muestra una tomografía en corte sagital con presencia de tornillos facetario/pedicular en los niveles ya mencionados con puenteo de T4, lo que permite resección quirúrgica del tumor con descompresión del conducto medular.



DISCUSIóN

El tumor de células gigantes es una neoplasia infrecuente, sobre todo en la columna vertebral, por lo que puede pasar desapercibido debido a que presenta una sintomatología inespecífica. Es importante su diagnóstico oportuno debido al comportamiento agresivo de esta patología, lo que puede resultar en secuelas para el paciente. El objetivo de este estudio es dar a conocer la presentación y el manejo interdisciplinario que se le dio a un paciente pediátrico con TCG, debido a lo infrecuente que es este tumor en esta localización y a esta edad.

Es de relevancia tener un protocolo de estudio adecuado en pacientes que inicialmente presentan dolor en columna, que se acompañe de déficit neurológico como de paraparesia o paraplejia, incluyendo un estudio de imagen tempranamente para descartar neoplasia ósea debido al comportamiento agresivo de ciertos tumores, ya que si no se realiza tratamiento de forma temprana los pacientes pueden presentar secuelas irreversibles por invasión medular.

Charest-Morin y colaboradores13 proponen que ante una lesión tumoral solitaria en columna se puede determinar el origen en 85% de los casos mediante un escaneo con tomografía computarizada de tórax, abdomen y pelvis; y una vez confirmado el sitio de lesión debe ser realizada la biopsia para confirmar el diagnóstico.

El tratamiento de este tipo de tumores es quirúrgico, por la alta agresividad local que presente, y en el caso de la columna los potenciales riesgos de secuelas neurológicas; sin embargo, hay que tener en cuenta el riesgo de intervenir estos tumores debido a lo altamente vascularizados, incluso con reporte de complicaciones y muertes perioperatorias.14

La clasificación Enneking se utiliza para la estadificación quirúrgica de los tumores óseos, y se clasifica a los tumores de células gigantes como lesiones benignas agresivas, de ahí la importancia de realizar por un tratamiento quirúrgico idealmente con escisión en bloque con márgenes amplios; sin embargo, al presentarse en lugares de difícil acceso o al tener un tamaño considerable podría no ser posible, aumentando el riesgo de recurrencia del tumor, volviéndose un desafío su tratamiento. Debido a lo anterior se han intentado realizar otras alternativas de tratamiento con resecciones subtotales y tratamientos complementarios como radioterapia, embolización arterial, coagulación con argón, crioterapia, quimioterapia intraarterial, ablación con láser e inyección de metilmetacrilato, además de ayuda de medicamentos como bisfosfonatos, interferón alfa y denosumab.4,12,15,16

Se ha informado la alta tasa de recurrencia en los tumores de células gigantes en pacientes con resección incompleta y sin tratamiento adyuvante, Leggon y su equipo14 informaron sobre 31 pacientes con resección incompleta de TCG en sacro y pelvis de los cuales 49% tuvieron recurrencia del tumor. De esto, la importancia del tratamiento complementario e interdisiciplinario de esta patología.

El tratamiento con radioterapia se ha utilizado como tratamiento adyuvante para intentar disminuir el riesgo de recidiva, cuando no es posible la resección en bloque, aunque aun así se han reportado tasas de recurrencias de 45-49%.6,14 Además se debe tener en cuenta el alto riesgo reportado en la literatura de sarcomas malignos secundarios a la radioterapia 10-14%,10,14,17 lo que se debe considerar en conjunto con los familiares antes de empezar el tratamiento.

Durante los 10 años de seguimiento, nuestro paciente permanece sin recidiva, pero en la investigación de Qi Jia Ph y colaboradores18 se reporta una incidencia de recidiva de 38.7% posterior al tratamiento quirúrgico con una media de 9.9 meses principalmente en pacientes con un rango de edad de 14-18 años, por lo que se debe realizar seguimiento posterior al tratamiento quirúrgico.

Como podemos observar, no existe un tratamiento de elección para esta patología, pero se prefiere el tratamiento quirúrgico con resección total del tumor para evitar recidivas y persistencia de la sintomatología ocasionada por invasión al conducto medular.

En el tratamiento quirúrgico se debe restaurar alineación de la columna, liberar el conducto medular y realizar una fijación exitosa para que los síntomas motores y sensitivos disminuyan o remitan. Dentro del tratamiento quirúrgico, se debe enfocar hacia la descompresión del conducto medular así como la resección completa del tumor.

Estos tumores al estar localizados en la columna, presentan mayor complejidad a la hora de la resección, al buscar en la literatura encontramos que no en todos los pacientes es posible realizar resección completa del tumor, además la terapia adyuvante varía de acuerdo a la experiencia de los médicos y la disponibilidad de cada centro hospitalario. En un estudio de Martin y colaboradores19 con 13 casos de TCG ubicados en columna, a 11 se les pudo realizar resección en bloque, dos resecciones intralesionales, cuatro recibieron embolización, dos recibieron radioterapia adyuvante, lo que muestra que aún no hay consenso y que hay variación de las técnicas utilizadas de acuerdo a la ubicación exacta del tumor en la columna vertebral, el tamaño, los recursos médicos de cada institución y según los riesgos y beneficios de cada procedimiento. Nuestro paciente recibió resección intralesional además de radioterapia adyuvante, lo que está dentro de las opciones aceptadas a nivel mundial.

Se han publicado varias técnicas para la colocación de tornillos pediculares torácicos. Gelalis11 documenta que la navegación tiene mayores ventajas en cuanto a la efectividad en la colocación, al igual que disminuye el índice de radiación utilizado. Por otro lado, Kim y su grupo20 comentan que la técnica a manos libres es muy segura. La TAC simple con reconstrucciones 3D analizada con el programa OsiriX se utilizó para determinar el punto de entrada pedicular ideal, para obtener el diámetro pedicular, ángulos de entrada y longitudes de los tornillos, lo cual incrementa la confianza y seguridad del cirujano y disminuyen los riesgos para el paciente. Las ventajas de esta técnica aunada a la técnica a manos libres son: menor tiempo quirúrgico, menor riesgo de lesionar las paredes lateral o medial pedicular, mayor confianza y menor costo, ya que no es necesario un sistema de navegación o potenciales evocados transquirúrgicos. Los tornillos fueron colocados de manera correcta en los cuatro niveles. El paciente evoluciona de manera favorable, recupera la fuerza, sensibilidad y marcha.



CONCLUSIóN

Es importante realizar un adecuado protocolo de estudio teniendo en cuenta los diversos diagnósticos diferenciales y realizar los estudios imagenológicos oportunamente. El tratamiento de los tumores de células gigantes en columna, cuando es posible, es la resección en bloque de la lesión tumoral para evitar recidiva, así como lograr una adecuada descompresión del conducto medular para la remisión completa de la sintomatología neurológica. El tratamiento quirúrgico puede ser complementando con terapias adyuvantes para disminuir el riesgo de recidiva. Se debe mantener un seguimiento estrecho del paciente a lo largo del tiempo por el riesgo de recidiva de estos tumores para su tratamiento oportuno.


REFERENCIAS (EN ESTE ARTÍCULO)

  1. Siebenrock KA, Unni KK, Rock MG. Giant-cell tumour of bone metastasising to the lungs. A long-term follow-up. J Bone Joint Surg Br. 1998; 80 (1): 43-47. doi: 10.1302/0301-620x.80b1.7875.

  2. Ghouchani A, Ebrahimzadeh MH, Rouhi G. The most appropriate reconstruction method following giant cell tumor curettage: a biomechanical approach. Arch Bone Jt Surg. 2018; 6 (2): 85-89.

  3. Xu L, Jin J, Hu A, Xiong J, Wang D, Sun Q, Wang S. Soft tissue recurrence of giant cell tumor of the bone: Prevalence and radiographic features. J Bone Oncol. 2017; 9: 10-14. doi: 10.1016/j.jbo.2017.09.002.

  4. Luther N, Bilsky MH, Hartl R. Giant cell tumor of the spine. Neurosurg Clin N Am. 2008; 19 (1): 49-55. doi: 10.1016/j.nec.2007.09.009.

  5. Balke M, Henrichs MP, Gosheger G, Ahrens H, Streitbuerger A, Koehler M, et al. Giant cell tumors of the axial skeleton. Sarcoma. 2012; 2012: 410973. doi: 10.1155/2012/410973.

  6. Domovitov SV, Chandhanayingyong C, Boland PJ, McKeown DG, Healey JH. Conservative surgery in the treatment of giant cell tumor of the sacrum: 35 years' experience. J Neurosurg Spine. 2016; 24 (2): 228-240. doi: 10.3171/2015.4.SPINE13215.

  7. Rehkamper J, Steinestel K, Jeiler B, Elges S, Hekeler E, Huss S, et al. Diagnostic tools in the differential diagnosis of giant cell-rich lesions of bone at biopsy. Oncotarget. 2018; 9 (53): 30106-30114. doi: 10.18632/oncotarget.25725.

  8. Verschoor AJ, Bovée JVMG, Mastboom MJL, Sander Dijkstra PD, Van De Sande MAJ, Gelderblom H. Incidence and demographics of giant cell tumor of bone in The Netherlands: first nationwide pathology registry study. Acta Orthop. 2018; 89 (5): 570-574. doi: 10.1080/17453674.2018.1490987.

  9. Campanacci M, Baldini N, Boriani S, Sudanese A. Giant-cell tumor of bone. J Bone Joint Surg Am. 1987; 69 (1): 106-114.

  10. Sanjay BK, Sim FH, Unni KK, McLeod RA, Klassen RA. Giant-cell tumours of the spine. J Bone Joint Surg Br. 1993; 75 (1): 148-154. doi: 10.1302/0301-620X.75B1.8421014.

  11. Gelalis ID, Paschos NK, Pakos EE, Politis AN, Arnaoutoglou CM, Karageorgos AC, et al. Accuracy of pedicle screw placement: a systematic review of prospective in vivo studies comparing free hand, fluoroscopy guidance and navigation techniques. Eur Spine J. 2012; 21 (2): 247-255. doi: 10.1007/s00586-011-2011-3.

  12. Luksanapruksa P, Buchowski JM, Singhatanadgige W, Rose PC, Bumpass DB. Management of spinal giant cell tumors. Spine J. 2016; 16 (2): 259-269. doi: 10.1016/j.spinee.2015.10.045.

  13. Charest-Morin R, Fisher CG, Sahgal A, Boriani S, Gokaslan ZL, Lazary A, et al. Primary bone tumor of the spine-an evolving field: what a general spine surgeon should know. Global Spine J. 2019; 9 (1 Suppl): 108S-116S. doi: 10.1177/2192568219828727.

  14. Leggon RE, Zlotecki R, Reith J, Scarborough MT. Giant cell tumor of the pelvis and sacrum: 17 cases and analysis of the literature. Clin Orthop Relat Res. 2004; (423): 196-207. doi: 10.1097/01.blo.0000128643.38390.07.

  15. Marcove RC, Sheth DS, Brien EW, Huvos AG, Healey JH. Conservative surgery for giant cell tumors of the sacrum. The role of cryosurgery as a supplement to curettage and partial excision. Cancer. 1994; 74 (4): 1253-1260. doi: 10.1002/1097-0142(19940815)74:4<1253::aid-cncr2820740412>3.0.co;2-9.

  16. Lin PP, Guzel VB, Moura MF, Wallace S, Benjamin RS, Weber KL, et al. Long-term follow-up of patients with giant cell tumor of the sacrum treated with selective arterial embolization. Cancer. 2002; 95 (6): 1317-1325. doi: 10.1002/cncr.10803.

  17. Caudell JJ, Ballo MT, Zagars GK, Lewis VO, Weber KL, Lin PP, et al. Radiotherapy in the management of giant cell tumor of bone. Int J Radiat Oncol Biol Phys. 2003; 57 (1): 158-165. doi: 10.1016/s0360-3016(03)00416-4.

  18. Jia Q, Chen G, Cao J, Yang X, Zhou Z, Wei H, et al. Clinical features and prognostic factors of pediatric spine giant cell tumors: report of 31 clinical cases in a single center. Spine J. 2019; 19 (7): 1232-1241. doi: 10.1016/j.spinee.2019.02.011.

  19. Martin C, McCarthy EF. Giant cell tumor of the sacrum and spine: series of 23 cases and a review of the literature. Iowa Orthop J. 2010; 30: 69-75.

  20. Kim YJ, Lenke LG, Bridwell KH, Cho YS, Riew KD. Free hand pedicle screw placement in the thoracic spine: is it safe? Spine (Phila Pa 1976). 2004; 29 (3): 333-342; discussion 342. doi: 10.1097/01.brs.0000109983.12113.9b.



AFILIACIONES

1 Residente de cuarto año. Hospital de Traumatología y Ortopedia Lomas Verdes, Instituto Mexicano del Seguro Social, Naucalpan, Estado de México.

2 Jefe del Servicio de Cirugía de Columna. Hospital de Traumatología y Ortopedia Lomas Verdes, Instituto Mexicano del Seguro Social, Naucalpan, Estado de México.

3 Ortopedista, Cirujano de Columna, Médico adscrito del Servicio de Cirugía de Columna. Hospital de Traumatología y Ortopedia Lomas Verdes, Instituto Mexicano del Seguro Social, Naucalpan, Estado de México.



Conflicto de intereses: Los autores declaran no tener conflicto de intereses.



CORRESPONDENCIA

Dr. Hugo Vilchis Sámano. E-mail: columnahtolv@gmail.com




Recibido: 09-07-2022. Aceptado: 08-11-2022.

Figura 1
Figura 2
Figura 3
Figura 4

2020     |     www.medigraphic.com

Mi perfil

C?MO CITAR (Vancouver)

Ortho-tips. 2023;19

ARTíCULOS SIMILARES

CARGANDO ...