medigraphic.com
ENGLISH

Cirugía de Columna

ISSN 2992-7749 (Digital)
ISSN 2992-7897 (Impreso)
Órgano Oficial de difusión científica de la Asociación Mexicana de Cirujanos de Columna A. C. y de la Sociedad Iberolatinoamericana de Columna. SILACO.

Indizada en:

Scielo
  • Mostrar índice
  • Números disponibles
  • Información
    • Información general        
    • Directorio
  • Publicar
    • Instrucciones para autores        
    • Envío de artículos
  • Políticas
    • Políticas éticas
    • Políticas de acceso abierto
    • Políticas de revisión de manuscritos
    • Políticas editoriales generales
  • medigraphic.com
    • Inicio
    • Índice de revistas            
    • Registro / Acceso
  • Mi perfil

2023, Número 1

<< Anterior Siguiente >>

Cir Columna 2023; 1 (1)


Hernia cervical traumática asociada a mielopatía sin lesión óseo-articular

Alvarado MT, Rosales-Camargo SA, Marroquín-Herrera O, Alvarado GF
Texto completo Cómo citar este artículo 10.35366/111055

DOI

DOI: 10.35366/111055
URL: https://dx.doi.org/10.35366/111055
Artículos similares

Idioma: Ingles.
Referencias bibliográficas: 11
Paginas: 56-58
Archivo PDF: 150.75 Kb.


PALABRAS CLAVE

trauma cervical, mielopatía, hernia intervertebral, trauma.

RESUMEN

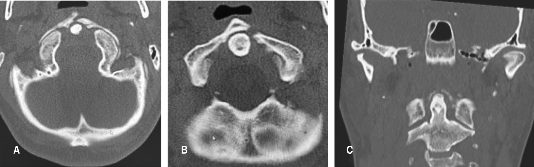
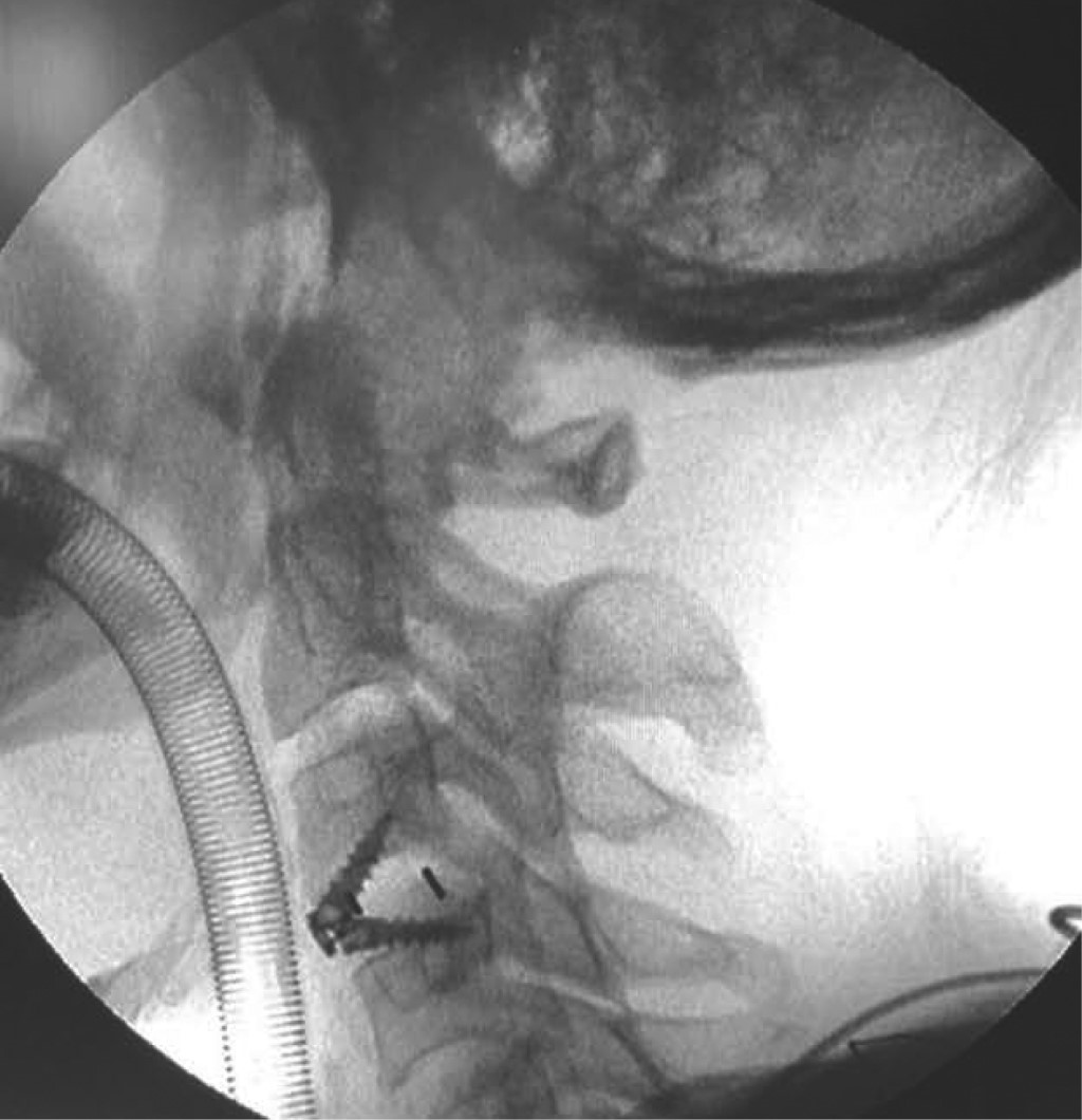
La hernia cervical traumática sin lesión ósea o articular asociada a mielopatía es una patología rara. Los casos reportados en la literatura tuvieron un diagnóstico tardío, secundario a hallazgos clínicos y radiológicos que pueden pasar desapercibidos. Habitualmente, el primer contacto con el paciente no lo realiza un cirujano especialista en columna. Se presenta el caso de un paciente masculino con traumatismo facial, que desarrolló una mielopatía cervical dos semanas después por hernia cervical traumática en C3-C4 sin lesión ósea, que no fue diagnosticada precozmente, posteriormente el paciente presentó alteración neurológica y requirió tratamiento quirúrgico para su descompresión y artrodesis anterior, con buenos resultados a los seis meses de seguimiento.


REFERENCIAS (EN ESTE ARTÍCULO)

  1. Sane JC, Hope JMV, Diao S, Diouf JD, Kasse AN, Sy MH. Early presentation of traumatic cervical disc herniation with neurologic deficit and without an adjacent bone lesion. Int Orthop. 2019; 43: 785-790.

  2. Philip MR, Soumithran CS. Prevalence of neurologic deficits in combined facial and cervical spine injuries: a retrospective analysis. Craniomaxillofac Trauma Reconstr. 2021; 14: 49-55.

  3. Puolakkainen T, Thorén H, Vahasilta L, Narjus-Sterba M, Wilson ML, Brinck T, et al. Cervical spine injuries in facial fracture patients - injury mechanism and fracture type matter. J Craniomaxillofac Surg. 2021; 49: 387-393.

  4. Marroquín-Herrera O, Rosales-Camargo S, Rodríguez-Múnera A, Alvarado-Gómez F. Assessment of trauma in the subaxial cervical spine by the first contact physician. Ortho-tips. 2022; 18: 230-238.

  5. Dai L, Jia L. Central cord injury complicating acute cervical disc herniation in trauma. Spine (Phila Pa 1976). 2000; 25: 331-335; discussion 336.

  6. Kumar V, Gaurav A, Dhatt SS, Neradi D, Kumar S, Shetty A. Traumatic cervical disc protruding postero-laterally mimicking lateral flexion type injury of cervical spine: a case report. SN Compr Clin Med. 2021; 3: 2060-2063.

  7. Dezena RA, Pereira CU, Prézia de Araújo L, Romeo Boullosa JL, Nunes da Silva M. Traumatic extrusion of C5-C6 intervertebral disc associated to myelopathy without bone lesion: report of 2 cases and review. Rev Chil Neurocirugía. 2014; 40: 49-52.

  8. Iyer RD, Sarkar B, Mittal S. Asymmetric incomplete cord syndrome: A delayed and unusual presentation of traumatic sub-axial cervical disc prolapse. Int J Orthop Sci. 2020; 6: 371-374.

  9. Kotilainen EM, Karki T, Satomaa OK. Traumatic cervical disc herniation--tetraparesis in a patient kicked by a horse. Acta Orthop Scand. 1997; 68: 176-177.

  10. Jentzsch T, Cadotte DW, Wilson JR, Jiang F, Badhiwala JH, Akbar MA, et al. Spinal cord signal change on magnetic resonance imaging may predict worse clinical in- and outpatient outcomes in patients with spinal cord injury: a prospective multicenter study in 459 patients. J Clin Med. 2021; 10: 4778.

  11. Song J, Mizuno J, Nakagawa H, Inoue T. Surgery for acute subaxial traumatic central cord syndrome without fracture or dislocation. J Clin Neurosci. 2005; 12: 438-443.




Figura 1
Figura 2
Figura 3

2020     |     www.medigraphic.com

Mi perfil

C?MO CITAR (Vancouver)

Cir Columna. 2023;1

ARTíCULOS SIMILARES

CARGANDO ...