medigraphic.com
ENGLISH

Revista Mexicana de Anestesiología

ISSN 3061-8142 (Digital)
ISSN 0484-7903 (Impreso)
  • Mostrar índice
  • Números disponibles
  • Información
    • Información general        
    • Directorio
  • Publicar
    • Instrucciones para autores        
  • medigraphic.com
    • Inicio
    • Índice de revistas            
    • Registro / Acceso
  • Mi perfil

2023, Número 3

<< Anterior Siguiente >>

Rev Mex Anest 2023; 46 (3)


Presentación de un caso y revisión de literatura: anestesia total intravenosa en cirugía de estesioneuroblastoma

Gutiérrez-Pérez, Nancy1; Tapia-Hernández, Héctor Miguel2; Torres-Campos, Sandra Noemi2; Becerra-Escobedo, Guillermo2
Texto completo Cómo citar este artículo 10.35366/111079

DOI

DOI: 10.35366/111079
URL: https://dx.doi.org/10.35366/111079
Artículos similares

Idioma: Español
Referencias bibliográficas: 10
Paginas: 212-215
Archivo PDF: 220.18 Kb.


PALABRAS CLAVE

estesioneuroblastoma, anestesia total intravenosa, propofol, sufentanilo, monitoreo invasivo.

RESUMEN

El estesioneuroblastoma es una neoplasia de las células del neuroepitelio olfatorio. Tiene una baja incidencia de 0.4 por cada millón de habitantes. Se caracteriza por síntomas como sinusitis, epistaxis, cefalea, discapacidad visual, obstrucción nasal, hiposmia y rinorrea. En este reporte se presenta el caso de un paciente masculino de 29 años con estesioneuroblastoma estadio Kadish C, quien fue programado para resección quirúrgica bajo anestesia total intravenosa con resultados satisfactorios durante el procedimiento quirúrgico.



INTRODUCCIóN

El tumor de células olfatorias, denominado estesioneuroblastoma, corresponde a una neoplasia maligna de la cavidad nasal que se origina a partir del neuroepitelio olfatorio. Se presenta sin predilección de género en la segunda y sexta década de la vida, con una incidencia de 0.4 por cada millón de habitantes(1). Representa de 3 a 6% de todos los tumores malignos de los senos paranasales(2).

Sus manifestaciones clínicas suelen ser inespecíficas, las más comunes se presentan como síntomas similares a la sinusitis, la obstrucción nasal y la epistaxis recurrente, junto con cefalea, discapacidad visual, rinorrea e hiposmia(1). Puede mostrar un comportamiento indolente que promueve la invasión local comúnmente hacia los senos paranasales, órbita y la fosa craneal anterior, así como generar metástasis a distancia de los ganglios linfáticos del cuello, pulmones, hígado y hueso(2).

El diagnóstico por imágenes de rutina incluye tanto tomografía computarizada como resonancia magnética. Estos tumores, se clasifican con el sistema Kadish, el cual fue establecido en 1976 y es el sistema más utilizado, además de ser considerado un predictor pronóstico importante. En el sistema Kadish, el estadio A indica que el tumor está limitado a la cavidad nasal; el estadio B indica que involucra sólo la cavidad nasal y los senos paranasales; el estadio C indica que se extiende más allá de los límites del B; y el estadio D indica metástasis(2).

El diagnóstico definitivo es hecho por histopatología y puede ser particularmente desafiante dada su similitud histológica con otros tumores neuroendocrinos de células redondas del tracto nasosinusal(3). La resección quirúrgica completa sigue siendo el tratamiento definitivo principal para el estesioneuroblastoma. Históricamente, se ha defendido un enfoque de resección craneofacial estándar, este abordaje generalmente comprende una craneotomía bifrontal a través de una incisión bicoronal en el cuero cabelludo desde arriba, combinada con un abordaje transfacial desde abajo a través de una rinotomía lateral o incisión de Weber-Ferguson(3).



CASO CLíNICO

Presentamos el caso clínico de un paciente masculino de 29 años, originario de Ciudad de México, ayudante de construcción, con antecedentes de importancia de tabaquismo, alcoholismo y toxicomanías positivas, así como alergia a ketorolaco. Inició su padecimiento un año previo, después de que en su trabajo expusiera a yeso uno de sus ojos y nariz, por lo que progresivamente presentó exoftalmos derecho, episodios de epistaxis de difícil control, cefalea opresiva, ageusia y anosmia.

En la exploración neurológica tuvo Glasgow de 15 puntos, funciones mentales íntegras, alteración de nervios craneales, el I y II presentó anosmia total y amaurosis de ojo derecho, nervios craneales III, IV, VI con pupila derecha de 4 mm arrefléctica, reflejo consensual conservado bilateral, mirada primaria con estrabismo divergente a expensas de deformidad orbitaria derecha con movimientos oculares conjugados, nervio craneal V con ageusia, y VII con asimetría facial a expensas de tumoración orbitaria derecha; el resto de nervios craneales y la exploración física se encontró sin alteraciones.

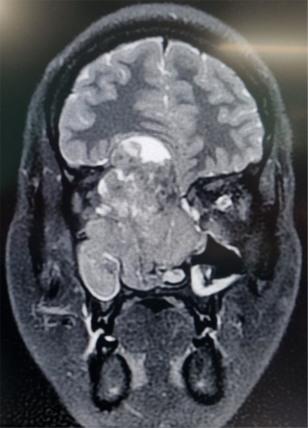
El peso del paciente fue de 67 kg, talla de 1.61 m, índice de masa corporal (IMC) de 25.8 kg/m2, sin predictores de vía aérea difícil. Los estudios paraclínicos de laboratorio se encontraban en parámetros normales. La resonancia magnética evidenció una lesión vascularizada que desplazaba el globo ocular derecho e invadía los senos paranasales (Figura 1). Por este motivo se realizó una toma de biopsia de la lesión. Se diagnosticó un estesioneuroblastoma Kadish C, por lo cual se decidió como plan quirúrgico la embolización y resección de la lesión, y como plan anestésico se decidió otorgar anestesia total intravenosa de tipo manual con monitorización invasiva. Se catalogó al paciente con un riesgo ASA II, con alto riesgo hemorrágico, alto riesgo quirúrgico y riesgo tromboembólico por Caprini moderado.

El paciente ingresó a quirófano a las 9:40 horas, en primera instancia se realizó una monitorización continua no invasiva con presión arterial no invasiva (PANI), electrocardiograma, pletismografía de pulso, pulsioximetría, termómetro axilar y tren de cuatro. Se obtuvieron los siguientes signos vitales basales: TA 127/91 (102) mmHg, FC 82 latidos por minuto (lpm), FR 13 respiraciones por minuto (rpm), SpO2 97% con FiO2 al 21%. Se realizó la inducción anestésica con propofol y sufentanilo para alcanzar una concentración plasmática de 3 μg/mL y de 0.7 ng/mL, respectivamente. Asimismo, se administró bolo de lidocaína de 60 mg y rocuronio 40 mg, se inició la monitorización neuromuscular en la modalidad de tren de cuatro y al obtener 0%, se realizó videolaringoscopía, además se logró intubación exitosa al primer intento con sonda endotraqueal Cambridge # 8.0 mm y se mantuvo ventilación mecánica en modo controlado por volumen.

A las 11:25 horas, se inició la embolización de la arteria carótida interna derecha con micropartículas que terminó a las 12:25 horas, para ello se completó la monitorización invasiva con: presión arterial invasiva con línea arterial radial derecha previa prueba de Allen, monitorización de profundidad anestésica con electroencefalograma procesado (SEDLine) y electroencefalograma no procesado, monitor de nocicepción analgésica (ANI), oximetría Masimo, monitorización de gasto cardíaco no invasivo, sonda urinaria, catéter venoso central colocado con ultrasonografía y dos accesos venosos periféricos de alto flujo adicionales. Al término de la embolización, se colocó bloqueo escalpe con dosis de ropivacaína 75 mg con dexmedetomidina 70 μg previo al pinchamiento y posicionamiento del paciente, ya que a las 13:15 horas inició el equipo de neurocirugía la resección transcraneal y hasta las 17:05 horas se integró el equipo de tumores mixtos para realizar enucleación del globo ocular derecho y resección transfacial tipo Weber-Ferguson (Figura 2).

El mantenimiento se realizó a base de perfusiones, propofol como hipnótico, con el fin de lograr una concentración plasmática de 3 μg/mL durante la embolización, 3.5 a 4 μg/mL para la intervención de neurocirugía, y 2.5 a 3 μg/mL en la última fase, con ello se mantuvo un índice de estado del paciente (PSI, por sus siglas en inglés) en un rango de 25 a 35; con lo cual se obtuvo un total administrado de 3,719 mg, con una concentración plasmática final de 2 μg/mL y una tasa de 4.6 mg/kg/h; sufentanilo con una concentración plasmática de 0.2 ng/mL durante la embolización e intervención de neurocirugía, así como de 0.3 ng/mL en la última fase, con un total de 191 μg, para una concentración plasmática final de 0.3 ng/mL y una tasa de 0.24 μg/kg/h; dexmedetomidina 0.2 μg/kg/h con un total de 85 μg para una concentración plasmática de 0.03 μg/mL y norepinefrina a dosis respuesta, con un rango de 0.03 a 0.2 μg/kg/min.

En el transcurso de la tercera fase de la resección, se administró un gramo de ácido tranexámico previo a la presentación de la mayor cantidad de hemorragia. Se estimó un sangrado total de 2,300 mL, durante dicha fase se realizó reanimación con solución Hartman y tres concentrados eritrocitarios con un total de 860 mL, un resultado de ingresos de 8,887 mL, administración de 2 g de gluconato de calcio y toma de las respectivas gasometrías arteriales (Tabla 1).

La duración total del evento fue de 12 horas con 50 minutos, al obtener un balance positivo de 417 mL y una uresis total de 3,600 mL. Al término de la cirugía, se trasladó al paciente con infusión de propofol y norepinefrina a la unidad de cuidados intensivos, donde se logró su extubación al cuarto día del postoperatorio.



DISCUSIóN

Los principales objetivos de la anestesia en neurocirugía son proporcionar una adecuada estabilidad hemodinámica, reducir el metabolismo cerebral, evitar la hipertensión intracraneana y la interferencia del neuromonitoreo, así como permitir una valoración neurológica temprana postoperatoria(4,5).

Tiene gran importancia la planeación de un despertar suave, para evitar complicaciones como la formación de hematomas, isquemia o herniaciones cerebrales(5). Para ello, el empleo de anestésicos intravenosos presenta una ventaja al reducir el metabolismo y el flujo sanguíneo cerebral, a diferencia de los anestésicos volátiles que presentan perturbación de la reactividad vascular(4,5).

Anestésicos como sevoflurano e isoflurano han demostrado disminución de potenciales evocados motores, atenúan los potenciales evocados auditivos con CAM 0.75-1.0, debido a que esta concentración es la mínima para suprimir la percepción auditiva y evitar un despertar intraoperatorio(5), lo que es una clara desventaja para el mantenimiento del transanestésico neuroquirúrgico. En contra parte, los anestésicos intravenosos, sobre todo el propofol, presentan claras ventajas al permitir un mantenimiento estable, además de conservar la autorregulación y reactividad cerebral.

La técnica de anestesia total intravenosa (ATIV), es la elegida por la gran mayoría de neuroanestesiólogos. El uso del régimen propofol-sufentanilo ha sido comparado en estudios con el régimen propofol-remifentanilo, y ambos han tenido resultados similares respecto de náuseas, vómitos, escalofríos y depresión respiratoria(4). Por lo que el primer régimen fue el elegido para el mantenimiento de nuestro paciente, debido a las propiedades farmacocinéticas y farmacodinámicas en ambos agentes intravenosos. En tiempos recientes, se ha sumado a esta técnica el uso de otros fármacos que favorecen la disminución del requerimiento total de opioides, como es el caso de agonistas alfa 2; tal es el caso de la dexmedetomidina, la cual se ha introducido en la anestesia por sus propiedades simpaticolíticas, sedativas y estabilizadoras hemodinámicas sin presentar depresión respiratoria significativa. El uso de este agente durante nuestro caso clínico fue decidido por todas estas cualidades.

Además, la ATIV presenta una ventaja importante en la calidad de recuperación de los agentes intravenosos en el ámbito del manejo del delirio agitado en pacientes que requieren intubación prolongada en una unidad de cuidados intensivos(4). Gracias a estas ventajas, se eligió esa técnica anestésica, en virtud de que la duración del transanestésico fue extenso, lo que conllevó al diferimiento de la extubación del paciente hasta su estancia en la unidad de cuidados intensivos.

Un escenario importante que se debe considerar en el empleo de esta técnica es el estado de choque. La anestesia tiene una gran influencia sobre los sistemas orgánicos críticos, y la coincidencia del estado anestésico con el estado de choque constituye desequilibrios importantes entre el transporte circulatorio y el consumo regional de oxígeno y nutrientes(6).

Es bien sabido que el propofol presenta consecuencias hemodinámicas en pacientes con compromiso del volumen intravascular, esto es una desventaja en pacientes críticos, porque disminuye el aclaramiento intercompartimental al elevar las concentraciones de éste, como resultado se incrementa su potencia por la pérdida de albúmina sérica que acompaña a la hemorragia, especialmente seguida por la resucitación con cristaloides, debido a cambios en la característica de unión a proteínas, lo cual altera su potencia farmacológica y farmacocinética(6,7).

A pesar de que nuestro paciente presentó un sangrado importante, no se consideró el cambio de técnica, pues en la medida que el régimen anestésico mejora el balance de oxígeno y la redistribución del flujo sanguíneo hacia los órganos críticos, se disminuyen las probabilidades de falla orgánica múltiple(6). Asimismo, contar con una monitorización adecuada nos permite una orientación pertinente de los ajustes necesarios en las perfusiones, por ejemplo, el uso de electroencefalografía para mantener un requerimiento fino de hipnótico y el plano anestésico ideal.

Por esto hay que destacar la relevancia de que los anestesiólogos estén familiarizados con los principios, la interpretación y las limitaciones de la monitorización del paciente, sobre todo del electroencefalograma procesado(8), dado que los monitores de profundidad anestésica están ampliamente disponibles desde hace algunos años y permiten la titulación de la dosis de anestésico para evitar dosis innecesariamente altas, así como también el riesgo de conciencia accidental si se administra muy poco anestésico(9).

En nuestro caso, el PSI (medido por el monitor SEDLine) utiliza cuatro electrodos distintos más un electrodo de tierra y de referencia adicional, esto permite que se incorpore información de varias regiones del cerebro para reflejar simultáneamente los cambios globales y regionales de su estado(10). Por otra parte, el uso de la línea arterial, la monitorización del gasto cardíaco no invasivo para la vigilancia de la hemodinamia y el empleo oportuno de vasopresores permitirán guiar una reanimación de calidad para evitar desenlaces desfavorables en el postoperatorio.



CONCLUSIóN

La mayoría de los pacientes con estesioneuroblastoma se diagnostican en etapas avanzadas, es por ello que el mejor manejo terapéutico es la resección quirúrgica, el resultado es variable dependiendo de la extensión de la lesión. Sin lugar a dudas, la ATIV resulta una técnica valiosa, debido a que es posible realizarla en todos los escenarios quirúrgicos, sobre todo al contar con una monitorización integral de la profundidad anestésica, analgesia y hemodinamia, puesto que, de todos los escenarios, las intervenciones neuroquirúrgicas son donde se muestra una mayor utilidad.


REFERENCIAS (EN ESTE ARTÍCULO)

  1. Fiani B, Quadri SA, Cathel A, Farooqui M, Ramachandran A, Siddiqi I, et al. Esthesioneuroblastoma: a comprehensive review of diagnosis, management, and current treatment options. World Neurosurg. 2019;126:194-211.

  2. Naves AA, da Silveira Filho LG, Etchebehere R, Ribeiro Júnior HA, Lima Junior FVA. Esthesioneuroblastoma. Radiol Bras. 2017;50:341-342.

  3. Schwartz JS, Palmer JN, Adappa ND. Contemporary management of esthesioneuroblastoma. Curr Opin Otolaryngol Head Neck Surg. 2016;24:63-69.

  4. Absalom AR, Mason KP. Total intravenous anesthesia and target controlled infusions. Springer, 2017.

  5. Llorente-Mariñez GM. Por qué TIVA en neurocirugía. ¿Es buena opción? Rev Mex Anest. 2014;37:369-373.

  6. Lugo-Goytia G, Sanabia-Ravelo E. Consideraciones farmacocinéticas en el paciente en estado de choque. Rev Mex Anest. 2006;29:121-123.

  7. Takizawa D, Sato E, Kurosaki D, Hiraoka H, Horiuchi R, Goto F. Pharmacodynamics of propofol during hemorrhagic shock. Anesthesiology. 2005;102:1068-1069; author reply 1069-1070.

  8. Nimmo AF, Absalom AR, Bagshaw O, Biswas A, Cook TM, Costello A, et al. Guidelines for the safe practice of total intravenous anaesthesia (TIVA): Joint Guidelines from the Association of Anaesthetists and the Society for Intravenous Anaesthesia. Anaesthesia. 2019;74:211-224.

  9. Miller D, Lewis SR, Pritchard MW, Schofield-Robinson OJ, Shelton CL, Alderson P, Smith AF. Intravenous versus inhalational maintenance of anaesthesia for postoperative cognitive outcomes in elderly people undergoing non-cardiac surgery. Cochrane Database Syst Rev. 2018;8:CD012317.

  10. Drover D, Ortega HR. Patient state index. Best Pract Res Clin Anaesthesiol. 2006;20:121-128.



AFILIACIONES

1 Residente de segundo año de Anestesiología. Hospital General de México "Dr. Eduardo Liceaga", Ciudad de México. México.

2 Médico adscrito al Servicio de Anestesiología. Hospital General de México "Dr. Eduardo Liceaga", Ciudad de México. México.



CORRESPONDENCIA

Dra. Nancy Gutiérrez-Pérez. E-mail: nan.gutrez@gmail.com




Recibido: 07-09-2022. Aceptado: 27-04-2023

Figura 1
Figura 2
Tabla 1

2020     |     www.medigraphic.com

Mi perfil

C?MO CITAR (Vancouver)

Rev Mex Anest. 2023;46

ARTíCULOS SIMILARES

CARGANDO ...