medigraphic.com
ENGLISH

Revista Mexicana de Anestesiología

ISSN 3061-8142 (Digital)
ISSN 0484-7903 (Impreso)
  • Mostrar índice
  • Números disponibles
  • Información
    • Información general        
    • Directorio
  • Publicar
    • Instrucciones para autores        
  • medigraphic.com
    • Inicio
    • Índice de revistas            
    • Registro / Acceso
  • Mi perfil

2023, Número 3

<< Anterior

Rev Mex Anest 2023; 46 (3)


Rotura traqueal iatrogénica en el tratamiento de secuelas por COVID-19

Carballo-Fernández, Jesús1; Arca-Suárez, Julia1; Curros-Mata, Noelia1; Rama-Maceiras, Pablo1
Texto completo Cómo citar este artículo 10.35366/111081

DOI

DOI: 10.35366/111081
URL: https://dx.doi.org/10.35366/111081

Idioma: Español
Referencias bibliográficas: 5
Paginas: 226-228
Archivo PDF: 191.17 Kb.


PALABRAS CLAVE

Sin palabras Clave



Estimado editor:

La rotura traqueal iatrogénica es una complicación grave y poco frecuente secundaria a diversos procedimientos, el más frecuente es la intubación orotraqueal(1,2). Su importancia radica en la morbimortalidad asociada, así como en las opciones de tratamiento, sobre las que no hay un consenso claro(2,3). Presentamos dos casos de rotura traqueal iatrogénica en el contexto del abordaje terapéutico de secuelas de la enfermedad por COVID-19, y que fueron tratadas de diferente forma.

El primer caso fue una mujer de 79 años con antecedentes de tabaquismo y obesidad (índice de masa corporal de 32 kg/m2). La paciente había precisado ingreso en cuidados críticos por neumonía COVID-19 bilateral grave, que requirió ventilación mecánica prolongada y se complicó con el desarrollo de una neumonía bacteriana, un tromboembolismo pulmonar, traqueomalacia, una estenosis subglótica y una parálisis bilateral de cuerdas vocales en posición paramedial debido a la intubación prolongada.

La paciente ingresó para la realización de una cordotomía con láser de CO2 por parálisis de cuerdas. El procedimiento se realizó bajo anestesia general, lo que facilitó la intubación con un tubo endotraqueal de láser número 6 (Shiley®, Covidien, Mansfield, Estados Unidos), antes de finalizar la intervención se practicó una traqueotomía reglada sin incidencia.

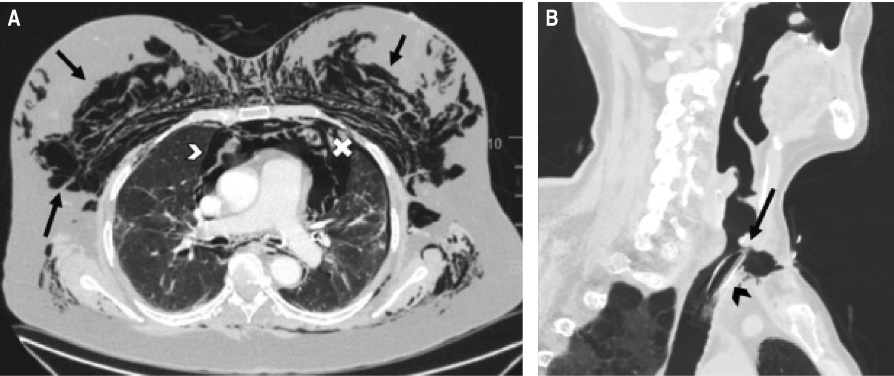
A las 72 horas de la intervención se observó un abundante enfisema subcutáneo cervicofacial. Se llevó a cabo una tomografía computarizada (TC) que describía el enfisema subcutáneo, neumomediastino con compresión traqueal, así como un pequeño neumotórax izquierdo (Figura 1A). A pesar de que en la TC no se evidenciaba una rotura traqueal, se hizo una fibrobroncoscopía que mostró una solución de continuidad de 2 centímetros en la pars membranosa, a nivel de la carina. Ante la estabilidad clínica de la paciente, la ausencia de progresión del enfisema subcutáneo y al tener en cuenta los antecedentes recientes, se decidió llevar a cabo un manejo conservador administrando piperacilina-tazobactam, con lo cual hubo una franca mejoría en los tres días posteriores, lo que permitió el alta a la planta de hospitalización.

El segundo caso fue un varón de 67 años con antecedentes de diabetes mellitus tipo 2 y enfermedad pulmonar obstructiva crónica tipo enfisema. Desarrolló un síndrome de distrés respiratorio agudo causado por el virus SARS-CoV-2, que requirió ventilación mecánica invasiva prolongada y presentó una estenosis traqueal secundaria. Bajo anestesia general, se realizó una broncoscopía rígida para la corrección de la estenosis mediante láser, pero durante el procedimiento se produjo una lesión en la pared traqueal con un flap que obstruía la luz de la tráquea, lo que impidió la correcta ventilación. Se hizo una traqueotomía emergente, en la que se vio la rotura de los dos primeros anillos traqueales, se introdujo una cánula de traqueostomía del número 8 y se trasladó sedorrelajado a la Unidad de Cuidados Críticos Quirúrgicos. Además, se efectuó una TC (Figura 1B) en la que se observó enfisema subcutáneo anterior, un pequeño neumomediastino y un neumotórax izquierdo que necesitó la colocación de un tubo de tórax.

Una semana después se llevó a cabo una cirugía de reconstrucción traqueal con exéresis de los tres primeros anillos traqueales y del cartílago cricoides, sin incidencias. Después de este procedimiento el paciente evolucionó favorablemente, lo que permitió el alta a planta.

La rotura traqueal iatrogénica es una entidad rara, con alta morbilidad y mortalidad asociada. La incidencia, difícil de calcular, se estima que es entre 0.05 y 0.37% de todas las intubaciones llevadas a cabo(2), con una mayor incidencia (0.5-1%) en el caso de tubos de doble luz(3). Los factores de riesgo mecánicos incluyen múltiples intentos de intubación, inexperiencia del profesional, fiadores endotraqueales, exceso de hinchado del neumotaponamiento, reposicionamiento del tubo sin deshinchar el manguito, tamaño inapropiado del tubo, tos significativa, así como movimientos de la cabeza y el cuello mientras el paciente está intubado. Los factores anatómicos incluyen anomalías congénitas, debilidad de la pars membranosa, enfermedad pulmonar obstructiva crónica (EPOC), uso crónico de esteroides, edad avanzada y sexo femenino, aunque el sexo masculino y la intubación de emergencia se asocian con una mayor mortalidad(2).

La manifestación clínica más frecuente es el enfisema subcutáneo, seguido por neumomediastino y neumotórax(2). Otros signos incluyen disnea, disfonía, tos, hemoptisis y neumoperitoneo, aunque en muchas ocasiones la aparición es insidiosa, por lo que el diagnóstico es complicado. Un aporte interesante es que el enfisema subcutáneo sea un factor protector al acelerar el diagnóstico y el inicio del tratamiento(2,3).

El diagnóstico se basa en la sospecha clínica guiada por los signos y síntomas sugestivos comentados, así la prueba de referencia para el diagnóstico es la fibrobroncoscopía(2,3).

El tratamiento se ha basado tradicionalmente en la reparación quirúrgica temprana; sin embargo, según los estudios más recientes(4), se deberían manejar de forma conservadora los pacientes clínicamente estables, en ventilación espontánea sin dificultad respiratoria o en ventilación mecánica sin fuga aérea, sin daño esofágico y sin signos de progresión ni de infección; como ocurrió en el primero de los pacientes presentados. En esos casos, el manejo puede incluir la intubación, al colocar el neumotaponamiento distal en la zona de rotura, aspiración traqueal continua, drenaje pleural si es necesario y antibioterapia adecuada(2,3). Cuando el daño se produce en una cirugía cardiotorácica, si engloba todo el grosor de la pared posterior traqueal o si las estructuras mediastínicas protruyen al interior de la luz traqueal, está indicada la reparación quirúrgica, como ocurrió con el segundo de nuestros pacientes; se debe tener en cuenta que este abordaje puede aumentar el riesgo, especialmente en pacientes críticos(2-4).

En el contexto de la pandemia por COVID-19, muchos pacientes pueden presentar factores de riesgo para el desarrollo de una rotura traqueal iatrogénica(5), como se refiere en los dos casos citados. A pesar de ser una complicación poco frecuente, la debemos tener presente para agilizar su diagnóstico y tratamiento ante el posible aumento de su incidencia, secundaria a las complicaciones y secuelas de la infección por el virus SARS-CoV-2.


REFERENCIAS (EN ESTE ARTÍCULO)

  1. Redondo Martínez P, Gijón Herreros N, Delgado García DR, Quílez Caballero E, Porras Muñoz MC, García Del Valle y Manzano S. Iatrogenic tracheal rupture in a patient with acute respiratory distress syndrome due to SARS-CoV-2 pneumonia. Rev Esp Anestesiol Reanim (Engl Ed). 2021;68:597-601.

  2. Miñambres E, Burón J, Ballesteros MA, Llorca J, Muñoz P, González-Castro A. Tracheal rupture after endotracheal intubation: a literature systematic review. Eur J Cardiothorac Surg. 2009;35:1056-1062.

  3. Panagiotopoulos N, Patrini D, Barnard M, Koletsis E, Dougenis D, Lawrence D. Conservative versus surgical management of iatrogenic tracheal rupture. Med Princ Pract. 2017;26:218-220.

  4. Grewal HS, Dangayach NS, Ahmad U, Ghosh S, Gildea T, Mehta AC. Treatment of tracheobronchial injuries: a contemporary review. Chest. 2019;155:595-604.

  5. Rodríguez-Fuster A, Aguiló Espases R, Fontané Ventura J, Adália Bartolomé R, Sánchez Navas S, Belda-Sanchis J. Tracheal trauma in the context of the current infection by COVID-19. About 2 cases. Arch Bronconeumol. 2020;56:670-671.



AFILIACIONES

1 Servicio de Anestesiología y Reanimación. Complejo Hospitalario Universitario A Coruña. España.



CORRESPONDENCIA

Dr. Jesús Carballo-Fernández. E-mail: jesus.carballo.fernandez@sergas.es


Figura 1

2020     |     www.medigraphic.com

Mi perfil

C?MO CITAR (Vancouver)

Rev Mex Anest. 2023;46

ARTíCULOS SIMILARES

CARGANDO ...