medigraphic.com
ENGLISH

Acta Ortopédica Mexicana

ISSN 2992-8036 (Digital)
ISSN 2306-4102 (Impreso)
Órgano Oficial del Colegio Mexicano de Ortopedia y Traumatología
  • Mostrar índice
  • Números disponibles
  • Información
    • Información general        
    • Directorio
  • Publicar
    • Instrucciones para autores        
  • medigraphic.com
    • Inicio
    • Índice de revistas            
    • Registro / Acceso
  • Mi perfil

2022, Número 5

<< Anterior Siguiente >>

Acta Ortop Mex 2022; 36 (5)


Tratamiento de no unión de fractura de escafoides con tornillos canulados sin cabeza e injerto autólogo esponjoso de radio distal

Santiago-Balmaseda, E1; Sánchez-Rowold, R2; Romo-Rodríguez, R3
Texto completo Cómo citar este artículo 10.35366/111159

DOI

DOI: 10.35366/111159
URL: https://dx.doi.org/10.35366/111159
Artículos similares

Idioma: Español
Referencias bibliográficas: 15
Paginas: 268-273
Archivo PDF: 213.19 Kb.


PALABRAS CLAVE

tratamiento, fractura de escafoides, tornillos canulados, injerto autólogo, radio.

RESUMEN

Introducción: las fracturas de escafoides representan 50-80% de las fracturas de los huesos del carpo. De las fracturas de escafoides 10% evolucionan a no unión con tratamiento conservador y presentan cambios degenerativos en el carpo en 75-97% a cinco años y en 100% a 10 años. El objetivo de este trabajo fue evaluar la tasa y tiempo de consolidación en pacientes con diagnóstico de no unión de fractura de escafoides, sin fragmentación del polo proximal, tras tratamiento con dos tornillos canulados sin cabeza e injerto autólogo esponjoso de radio distal. Material y métodos: serie de casos de cuatro pacientes con diagnóstico de no unión de fractura de escafoides sin fragmentación del polo proximal, tratados mediante reducción abierta y fijación interna utilizando dos tornillos canulados sin cabeza y toma más aplicación de autoinjerto esponjoso de radio distal. Todos recibieron el mismo tratamiento postoperatorio y se tomó control radiográfico para evidenciar consolidación una vez que el paciente experimentó resolución clínica. Resultados: la tasa de consolidación radiográfica fue de 100% con un tiempo de consolidación promedio de 11.25 ± 3.4 semanas. No presentaron complicaciones y no fue necesaria una cirugía de revisión. Conclusión: el resultado del uso de dos tornillos canulados sin cabeza y toma más aplicación de autoinjerto óseo esponjoso de radio distal avala la técnica como una opción efectiva y segura para el tratamiento de no unión de fracturas de escafoides sin fragmentación del polo proximal.



INTRODUCCIóN

Las fracturas de escafoides representan 50-80% de las fracturas de los huesos del carpo, 10-15% de la mano y 2-3% de todas las fracturas.1,2,3 Éstas constituyen un reto diagnóstico por mostrar clínica inespecífica y ser difíciles de visualizar en radiografías convencionales de muñeca.1

El escafoides es de vital importancia para la función y adecuada biomecánica de la muñeca. Su forma en espiral, inserciones ligamentarias y superficie articular cubierta en 80% por cartílago articular dificultan la colocación de implantes y propician la hipovascularidad ósea.2

La tasa de consolidación de estas fracturas varía dependiendo del tratamiento utilizado entre 55-100%.1 De todas las fracturas de escafoides con tratamiento conservador 10% progresan a no unión, la cual se define como ausencia de consolidación seis meses posteriores a la lesión.4 Existen varios factores relacionados con la no unión de fracturas de escafoides: la irrigación vascular retrógrada, el sitio de la fractura, el grado de desplazamiento, la temporalidad hasta el inicio de tratamiento y las fuerzas mecánicas ejercidas sobre los polos proximal y distal del escafoides que inestabilizan la fractura.1 El retraso en el tratamiento de la no unión de escafoides condiciona cambios degenerativos en el carpo a los cinco años en 75-97% de los casos y en 100% a los 10 años.4

Históricamente se han utilizado múltiples métodos de tratamiento para la no unión de fractura de escafoides, abarcando desde la escisión del fragmento proximal hasta el uso de implantes protésicos de silicón. Sin embargo, los resultados de estos procedimientos no fueron favorables sino hasta la introducción de la toma y aplicación de injerto óseo combinado con fijación interna de los fragmentos.1,5

La tendencia actual para la elección del tratamiento se basa en la presencia de ciertas características tomográficas en el sitio de no unión como la fragmentación, la esclerosis y el patrón trabecular del polo proximal. Las técnicas quirúrgicas se pueden dividir a grandes rasgos en dos grupos: los procedimientos que utilizan como fundamento principal la estabilización de los fragmentos para lograr la consolidación y los que, por medio de autoinjerto estructural óseo vascularizado, propician la revascularización del sitio de no unión.4

El objetivo de este estudio fue evaluar la tasa y el tiempo de consolidación en pacientes sometidos a reducción abierta y fijación interna de no unión de fractura de escafoides con dos tornillos canulados y autoinjerto esponjoso de radio distal ipsilateral. Asimismo, definir las complicaciones y corrección de deformidad en joroba y de la inestabilidad dorsal del segmento intercalado.

Como hipótesis sostuvimos que la estabilidad proveída por dos tornillos asociada al uso de injerto esponjoso genera un ambiente propicio para la neovascularización del escafoides y por ende, la consolidación, lo cual evita la necesidad de realizar colgajos óseos vascularizados.



MATERIAL Y MéTODOS

Revisamos de forma retrospectiva los expedientes de cuatro pacientes con diagnóstico de no unión de fractura de escafoides sin fragmentación del polo proximal que fueron sometidos a reducción abierta y fijación interna utilizando dos tornillos canulados y autoinjerto esponjoso de radio distal ipsilateral en un centro médico de la Ciudad de México entre Junio de 2016 y Octubre de 2019.

Todos los pacientes incluidos fueron del género masculino, tres presentaron la patología en el miembro superior derecho y uno en el izquierdo y la edad media al momento de la cirugía fue de 25 ± 7.79 años. Los pacientes no habían recibido tratamiento médico o quirúrgico previo para la fractura de escafoides, no presentaban fragmentación del polo proximal, no eran fumadores y no padecían comorbilidades.

Los pacientes buscaron atención médica por persistencia de dolor después de haber presentado una caída desde su plano de sustentación que ocasionó contusión axial e hiperextensión de la muñeca. Tardaron en promedio 4 ± 1.83 meses en ser sometidos a corrección quirúrgica posterior al accidente.

Se consideraron como indicaciones quirúrgicas: fractura inestable de escafoides con deformidad angular, incremento en los ángulos escafosemilunar > 45o y semiluno-hueso grande > 15o, separación de los fragmentos > 1 mm y pérdida ósea.

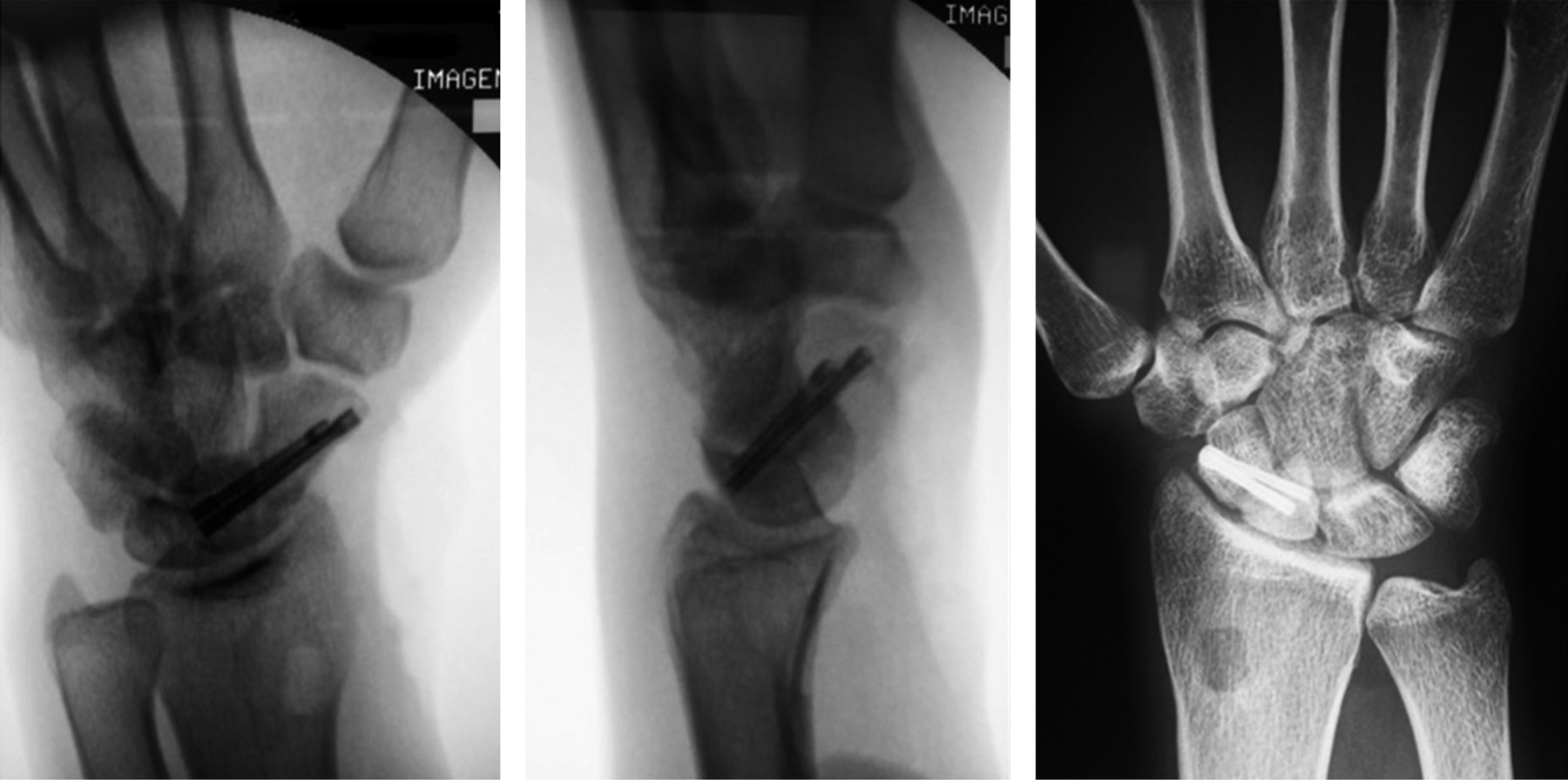
Todas las fracturas se encontraron en la cintura del escafoides y fueron catalogadas mediante la clasificación de Herbert y Fisher propuesta en 19846 utilizando radiografías anteroposterior, lateral y oblicua de muñeca (Figura 1). Una de las fracturas se clasificó como seudoartrosis (tipo D2) y las tres restantes como no unión fibrosa (tipo D1). Tres presentaron inestabilidad dorsal del segmento intercalado y dos deformidad en joroba del escafoides.

El abordaje que se usó en los cuatro casos fue el volar y se utilizaron tornillos canulados ExtremiFix (OsteoMed, Addison, Texas). El diámetro de los tornillos empleados fue de 2.0, 2.4 y 3.0 mm y su longitud de 16-28 mm, de acuerdo con la selección del cirujano que realizó el procedimiento.

El protocolo postoperatorio fue el mismo en los cuatro pacientes con el uso de férula antebraquiopalmar no removible durante dos semanas progresando al uso de muñequera removible. Al momento que se retiró la férula antebraquiopalmar iniciaron fisioterapia con movimientos pasivos y activos de codo, muñeca, articulaciones interfalángicas y metacarpofalángicas, restringiendo cargar objetos pesados. Una vez que resolvió la sintomatología clínica se retiró el uso de inmovilización y se tomaron radiografías de control, las cuales definieron consolidación radiográfica la presencia de puentes óseos trabeculares entre los fragmentos en tres proyecciones distintas.

La técnica quirúrgica empleada fue a través del abordaje volar con el paciente bajo anestesia general balanceada y ventilación mecánica invasiva. Colocamos al paciente en posición decúbito supino con miembro superior sobre mesa de mano radiolúcida y mango de isquemia en brazo programado a 250 mmHg. Incidimos de forma longitudinal al miembro comenzando 3 cm proximal al pliegue de flexión de la muñeca y radial del flexor carpi radialis. Una vez sobre el pliegue se redirigió la incisión al tubérculo del escafoides por aproximadamente 2 cm más en forma de palo de jockey. Se disecó por planos hasta observar cápsula articular y ligamento radioescafogrande, que se incidió en "V" con vértice distal para exponer sitio de no unión.7 Se desbridó el tejido necrótico y fibroso con cucharillas y se expuso defecto óseo. Para recabar injerto autólogo esponjoso se disecó la porción metafisaria radial incidiendo sobre fascia y vientre muscular de pronador cuadrado. Con osteótomo se retiró un cuadro de 2 × 2 mm de cortical para poder acceder a hueso esponjoso, que se recabó con cucharilla y posteriormente el defecto se cubrió con cera de hueso (Figura 2).

En pacientes con inestabilidad dorsal el segmento intercalado se redujo mediante flexión de la muñeca y se fijó colocando un clavo Kirschner de distal a proximal. En los casos con deformidad en joroba se utilizaron dos clavillos Kirschner como joystick para rotar y reducir los fragmentos.

Una vez obtenida la reducción se perforó con dos clavillos Kirschner desde el polo distal y desde tubérculo escafoídeo hacia el polo proximal, perpendicular al trazo de fractura. Se brocó a través de guía y se colocó autoinjerto óseo esponjoso de radio distal en el defecto para después introducir los tornillos canulados sin cabeza bajo visión fluoroscópica (Figura 3).

Se suturó cápsula articular, ligamento radioescafogrande, vientre muscular y fascia de pronador cuadrado con vicryl (Ethicon) del número 2 utilizando puntos en "X" y tejido celular subcutáneo y piel con MONOCRYL (Ethicon) 4-0 con puntos invertidos y subdérmicos respectivamente. Se cubrió la herida con gasas y férula antebraquiopalmar.

Métodos estadísticos. A los datos obtenidos se les calculó la media aritmética y la desviación estándar de la media y se estudiaron mediante un análisis de varianza de un factor (ANOVA) con un nivel de confianza de 95%. Para determinar si existían diferencias significativas en el tiempo de consolidación condicionadas por las características propias de los pacientes (edad y tiempo de evolución desde la lesión inicial) se realizó la prueba de Tukey utilizando p < 0.05 como límite de significancia estadística.



RESULTADOS

La edad de los pacientes fue de 25 ± 7.79 años y se atendieron 4 ± 1.83 meses posteriores a la lesión inicial. Todos los trazos de fractura se encontraban a nivel de la cintura del escafoides. Se observó la consolidación radiográfica de los cuatro pacientes en un tiempo promedio de 11.25 ± 3.4 semanas (Tabla 1). Ninguno de los cuatro pacientes presentó infección de sitio quirúrgico, aflojamiento del material de osteosíntesis o complicaciones que hayan necesitado de cirugía de revisión.

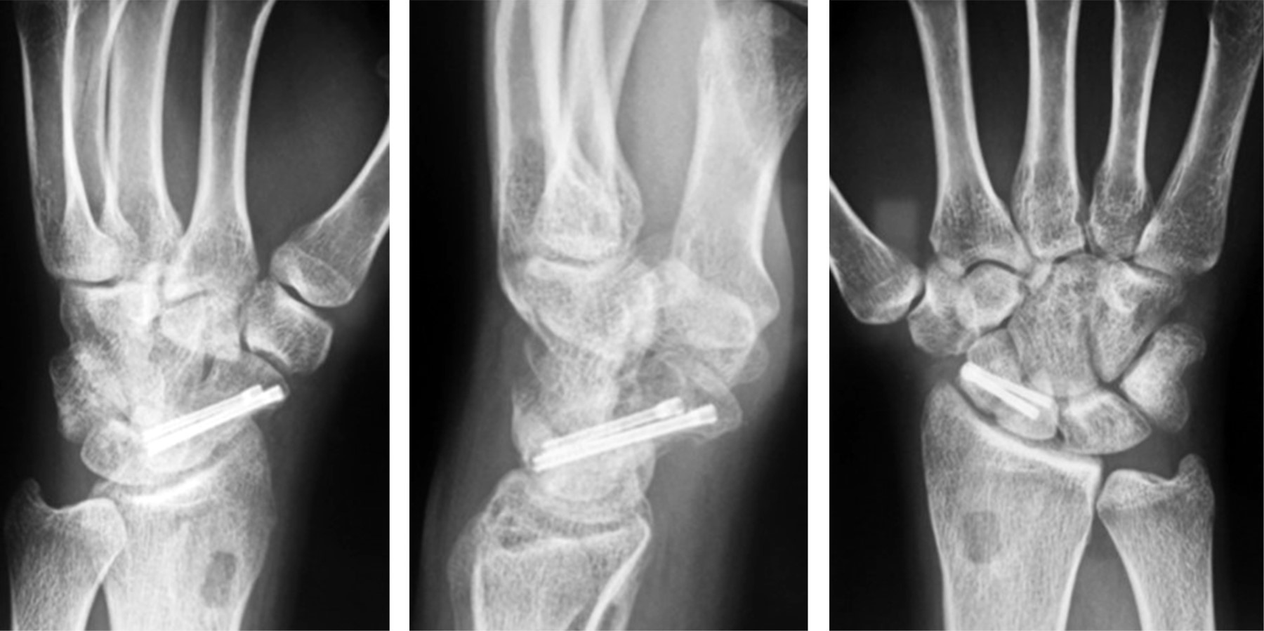
Se corrigió la deformidad en joroba del escafoides que mostraban los dos pacientes y se corrigió la inestabilidad dorsal del segmento intercalado en dos de los tres pacientes que lo presentaban (Figura 4).



DISCUSIóN

El tratamiento quirúrgico para la no unión de fractura de escafoides tiene como objetivos obtener consolidación de la fractura, aliviar la sintomatología, recobrar los rangos de movimiento de la muñeca, corregir deformidades y evitar la progresión a artrosis.2,4

El implante más utilizado para la osteosíntesis en estos casos ha sido el tornillo diseñado por Herbert y Fisher en 1984.2 No obstante, se ha demostrado que un tornillo único no es capaz de limitar el movimiento rotacional, por lo que se ha optado por el uso de dos tornillos o placas para obtener la estabilidad de la fractura.8

Jurkowitsch y colaboradores compararon las características biomecánicas que ofrecía la osteosíntesis con un tornillo de doble rosca sin cabeza con el uso de tornillos de doble rosca sin cabeza o el uso de placa. Demostraron que tanto la placa como dos tornillos proporcionaban mayor resistencia contra fuerzas rotacionales, mejor estabilidad y capacidad de absorción de energía al constructo. Asimismo, determinaron que la placa presenta mejores resultados en pacientes con hueso osteoporótico y con mayores defectos óseos.8 Basados en estos resultados, se optó por tratar a los cuatro pacientes presentados en este trabajo con dos tornillos canulados sin cabeza, los cuales proporcionaron estabilidad de manera satisfactoria y en consecuencia favorecieron la consolidación en 100% de los casos, aunque debe destacarse que se trató únicamente de pacientes jóvenes, no fumadores, sin comorbilidades y por lo tanto, con buena calidad ósea.

Todos los pacientes en este artículo presentaron fractura a nivel de la cintura del escafoides. Según Sendher y Ladd al tener una fractura desplazada en la cintura del escafoides existe disrupción del aporte sanguíneo retrógrado del polo proximal y la inestabilidad proporcionada por el cambio en la cinemática del escafoides impide la neovascularización. Sin embargo, la técnica quirúrgica utilizada demostró ser suficiente para contrarrestar la lesión anatómica en todos los pacientes.9

La elección del tipo de injerto óseo tiene que considerar varios factores; el tamaño y zona del defecto, la presencia de deformidad y la vascularidad del escafoides.3 Con la técnica de Fisk-Fernández que utiliza injertos estructurales corticoesponjosos no vascularizados se han obtenido buenas tasas de consolidación y alineación de deformidades. No obstante, se han sustituido debido a que este tipo de injertos se asocian a mayor morbilidad del sitio de toma del injerto y no han mostrado superioridad frente al uso del autoinjerto esponjoso.3

No existe diferencia estadísticamente significativa entre la tasa de consolidación al comparar el sitio de toma de injerto, de cresta ilíaca o de radio distal. Sin embargo, se ha notado mayor tasa de infección, dolor postoperatorio, fracturas iatrogénicas y síndrome doloroso regional complejo relacionado a la toma de injerto de cresta ilíaca.10 Debido a esto, a la disponibilidad por cercanía con el sitio quirúrgico, a la menor demanda técnica y por tratarse de un procedimiento menos invasivo, en esta serie de casos optamos por el uso de autoinjerto esponjoso de radio distal, obteniendo consolidación en los cuatro casos, sin complicaciones relacionadas a la toma del injerto. Estos resultados son consistentes con la serie de casos expuestos por Cohen y colaboradores, quienes trataron la no unión de escafoides con injerto autólogo esponjoso de radio distal y un tornillo canulado de doble rosca sin cabeza. Obtuvieron una tasa de consolidación de 100% y mejoría estadísticamente significativa en el ángulo intraescafoideo a dos años. Demostrando, al igual que en este trabajo, que no es necesario el uso de injerto estructural corticoesponjoso para tratar la deformidad en joroba y el defecto óseo.11

Por otro lado, en el estudio clínico aleatorizado realizado por Hegazy y colaboradores se concluyó que en los casos con deformidad severa del escafoides sería preferible la utilización de injerto corticoesponjoso para favorecer la corrección de la deformidad y obtener un puntaje QuickDASH superior. Sin embargo, destacan que en caso de tratarse de un paciente sin defecto óseo importante, el injerto esponjoso proporciona un tiempo de consolidación más corto con resultados clínicos y radiográficos similares al injerto corticoesponjoso.12 En nuestro reporte de casos, los cuatro pacientes presentaron consolidación y corrección de la deformidad con la aplicación de injerto esponjoso en un período promedio de 11.25 semanas, resultado similar al que se reporta en la revisión sistemática realizada por Pinder y colaboradores que describe períodos de 13.6 semanas con injertos no vascularizados y 13.8 semanas con injertos vascularizados.1

Por último, podría considerarse superior la utilización de injertos vascularizados. Algunos autores sugieren el uso de este tipo de injertos ante fracturas del polo proximal, fragmentación o defectos estructurales como la deformidad en joroba y la inestabilidad intercalada dorsal por riesgo de fallo al tratamiento. A la fecha, no se han demostrado diferencias significativas entre injertos vascularizados y no vascularizados en cuanto a tiempo y tasa de consolidación en investigaciones que consideren una muestra grande y variables relevantes como el método de diagnóstico de necrosis avascular previo a la toma de decisiones.13

Consideramos que la toma y aplicación de injertos vascularizados es un procedimiento invasivo que constituye un reto técnico mayor. Se ha descrito que, aunque en ciertos casos la consolidación es más temprana con los injertos pediculados, no existen diferencias funcionales al compararlos con los injertos no vascularizados.14 Además, aunque no contamos con estudios de tomografía de los pacientes presentados en esta serie, es válido respaldar este trabajo con el algoritmo propuesto por Schmidle y colaboradores. Dichos autores realizaron estudios histopatológicos en pacientes con no unión de escafoides y correlacionaron los resultados con características tomográficas. Con base en sus resultados, recomiendan el uso de injerto óseo vascularizado en las no uniones con menor capacidad de consolidación (tipo 3, 4 que presentan esclerosis, necrosis ósea y fragmentación del fragmento proximal y aquéllas en zona blanca-blanca) e injerto óseo no vascularizado para las no uniones que muestren estructura trabecular en el fragmento proximal o se encuentren en zona roja-blanca o roja-roja.15 En nuestro caso, el escafoides proximal no se encontraba multifragmentado y todas las fracturas se encontraron en la cintura del escafoides, región clasificada como zona roja-roja por contar con abundantes sitios de inserción ligamentaria y aporte sanguíneo. Por tanto, el uso de injerto no vascularizado resultaba la opción de tratamiento y se obtuvo consolidación en todos los casos.

Reconocemos las limitaciones que existen en este trabajo. Se trata de un estudio retrospectivo con un volumen bajo de pacientes. Sin embargo, establece un precedente para considerar el tratamiento de esta patología en gente joven sin comorbilidades mediante la utilización de dos tornillos canulados de doble rosca sin cabeza y toma más aplicación de autoinjerto óseo esponjoso no vascularizado de radio distal como una alternativa que da buenos resultados y con una tasa de complicaciones baja. A futuro, se requiere de un estudio observacional, prospectivo y con mayor volumen de sujetos para determinar la efectividad de esta técnica.



CONCLUSIóN

Los resultados observados con el uso de dos tornillos canulados sin cabeza asociado a la toma más aplicación de autoinjerto óseo esponjoso no vascularizado de radio distal avalan la técnica como una opción efectiva, segura y de menor demanda técnica para el tratamiento de la no unión de fracturas de escafoides sin fragmentación del polo proximal.


REFERENCIAS (EN ESTE ARTÍCULO)

  1. Pinder RM, Brkljac M, Rix L, Muir L, Brewster M. Treatment of scaphoid nonunion: a systematic review of the existing evidence. J Hand Surg Am. 2015; 40(9): 1797-805.

  2. Quadlbauer S, Pezzei C, Beer T, Jurkowitsch J, Keuchel T, Schlintner C, et al. Treatment of scaphoid waist nonunion by one, two headless compression screws or plate with or without additional extracorporeal shockwave therapy. Arch Orthop Trauma Surg. 2019; 139(2): 281-93.

  3. Yeo JH, Kim JY. Surgical strategy for scaphoid nonunion treatment. J Hand Surg Asian Pac Vol. 2018; 23(4): 450-62.

  4. Schmidle G, Ebner HL, Klima G, Pfaller K, Fritz J, Hoermann R, et al. Time-dependent changes in bone healing capacity of scaphoid fractures and non-unions. J Anat. 2018; 232(6): 908-18.

  5. Matsuki H, Ishikawa J, Iwasaki N, Uchiyama S, Minami A, Kato H. Non-vascularized bone graft with Herbert-type screw fixation for proximal pole scaphoid nonunion. J Orthop Sci. 2011; 16(6): 749-55.

  6. Herbert TJ, Fisher WE. Management of the fractured scaphoid using a new bone screw. J Bone Joint Surg Br. 1984; 66(1): 114-23.

  7. Aguilella L, Garcia-Elias M. The anterolateral corner of the radial metaphysis as a source of bone graft for the treatment of scaphoid nonunion. J Hand Surg Am. 2012; 37(6): 1258-62.

  8. Jurkowitsch J, Dall'Ara E, Quadlbauer S, Pezzei C, Jung I, Pahr D, et al. Rotational stability in screw-fixed scaphoid fractures compared to plate-fixed scaphoid fractures. Arch Orthop Trauma Surg. 2016; 136(11): 1623-8.

  9. Sendher R, Ladd AL. The scaphoid. Orthop Clin North Am. 2013; 44(1): 107-20.

  10. Tambe AD, Cutler L, Murali SR, Trail IA, Stanley JK. In scaphoid non-union, does the source of graft affect outcome? Iliac crest versus distal end of radius bone graft. J Hand Surg Br. 2006; 31(1): 47-51.

  11. Cohen MS, Jupiter JB, Fallahi K, Shukla SK. Scaphoid waist nonunion with humpback deformity treated without structural bone graft. J Hand Surg Am. 2013; 38(4): 701-5.

  12. Hegazy G, Massoud AH, Seddik M, Abd-Elghany T, Abdelaal M, Saqr Y, et al. Structural versus nonstructural bone grafting for the treatment of unstable scaphoid waist nonunion without avascular necrosis: a randomized clinical trial. J Hand Surg Am. 2021; 46(6): 462-70.

  13. Rancy SK, Schmidle G, Wolfe SW. Does anyone need a vascularized graft? Hand Clin. 2019; 35(3): 323-44.

  14. Zhang H, Gu J, Liu H, Yuan C. Pedicled vascularized versus non-vascularized bone grafts in the treatment of scaphoid non-union: a meta-analysis of comparative studies. ANZ J Surg. 2021; 91(11): E682-9.

  15. Schmidle G, Ebner HL, Klauser AS, Fritz J, Arora R, Gabl M. Correlation of CT imaging and histology to guide bone graft selection in scaphoid non-union surgery. Arch Orthop Trauma Surg. 2018; 138(10): 1395-405.



AFILIACIONES

1 Residente de segundo año. Traumatología y Ortopedia del Centro Médico ABC. Ciudad de México, México.

2 Ayudante del servicio. Traumatología y Ortopedia del Centro Médico ABC. Ciudad de México, México.

3 Adscrito al servicio. Traumatología y Ortopedia del Centro Médico ABC. Ciudad de México, México.



NIVEL DE EVIDENCIA

IV



CORRESPONDENCIA

Dra. Eira Santiago-Balmaseda. E-mail: esb0510@hotmail.com




Recibido: 13-02-2023. Aceptado: 27-04-2023.

Figura 1
Figura 2
Figura 3
Figura 4
Tabla 1

2020     |     www.medigraphic.com

Mi perfil

C?MO CITAR (Vancouver)

Acta Ortop Mex. 2022 Sep-Oct;36

ARTíCULOS SIMILARES

CARGANDO ...