medigraphic.com
ENGLISH

Acta Ortopédica Mexicana

ISSN 2992-8036 (Digital)
ISSN 2306-4102 (Impreso)
Órgano Oficial del Colegio Mexicano de Ortopedia y Traumatología
  • Mostrar índice
  • Números disponibles
  • Información
    • Información general        
    • Directorio
  • Publicar
    • Instrucciones para autores        
  • medigraphic.com
    • Inicio
    • Índice de revistas            
    • Registro / Acceso
  • Mi perfil

2022, Número 5

<< Anterior Siguiente >>

Acta Ortop Mex 2022; 36 (5)


Hemiartroplastía por interposición utilizando el extensor hallucis brevis para el tratamiento de hallux rigidus con involucro unicompartimental lateral: reporte de un caso

Berebichez-Fridman, R1; Ávila-Salgado, A1; Hermida-Galindo, LF1
Texto completo Cómo citar este artículo 10.35366/111167

DOI

DOI: 10.35366/111167
URL: https://dx.doi.org/10.35366/111167
Artículos similares

Idioma: Español
Referencias bibliográficas: 15
Paginas: 318-323
Archivo PDF: 245.67 Kb.


PALABRAS CLAVE

hallux rigidus, hemiartroplastía, interposición, extensor hallucis brevis, artrosis.

RESUMEN

Hallux rigidus es la patología degenerativa de la articulación metatarsofalángica del hallux. Esta patología provoca dolor y disminución en el movimiento. Existen múltiples tratamientos quirúrgicos para esta patología, todas con sus respectivas indicaciones. Presentamos el caso de un paciente de 54 años de edad con el diagnóstico de hallux rigidus quien tenía afectación únicamente del aspecto lateral de la cabeza del metatarsiano. Este paciente fue tratado con un procedimiento quirúrgico novedoso, se realizó una hemiartroplastía de interposición utilizando el extensor hallucis brevis asociado a una queilectomía y exostectomía. El paciente tuvo una favorable evolución clínica con mejoría evidenciado por escalas clínicas, con resolución de la sintomatología y sin complicaciones. La hemiartroplastía de interposición utilizando el extensor hallucis brevis es un tratamiento exitoso de preservación articular y del movimiento para el hallux rigidus en pacientes jóvenes en los que hay afectación unicompartimental lateral de la cabeza metatarsiana, en quienes es importante preservar el movimiento.



ABREVIATURAS:

  • AOFAS-HMI = American Orthopaedic Foot and Ankle Society Hallux Metatarsophalangeal-Interphalangeal Rating System.
  • AP = radiografías anteroposteriores.
  • EHB = extensor hallucis brevis.
  • FAAM = Foot and Ankle Ability Measure.
  • HR = Hallux rigidus.



INTRODUCCIóN

Hallux rigidus (HR) es la condición de artritis más común en el pie. Se define como la degeneración de la primera articulación metatarsofalángica y la articulación metatarsosesamoidal.1 En esta condición dolorosa, la degeneración del cartílago y la formación de osteofitos dorsales ocurre en las primeras etapas. A medida que avanza la patología, aparecen osteofitos globales. Los pacientes con HR experimentan dolor articular con disminución del rango de movimiento, especialmente durante la dorsiflexión y la flexión plantar. Esto conduce a alteraciones en la mecánica de la marcha con reducción de la actividad y afectación de la calidad de vida.1 Se han descrito varios procedimientos quirúrgicos para el HR. Éstos incluyen queilectomía, osteotomías falángicas y metatarsianas, artroplastía de resección, artroplastía y hemiartroplastía, artroplastía de interposición, artrodesis y colocación de cartílago sintético e implantes condrales.2,3 Presentamos un caso de paciente masculino de 54 años con HR en el que sólo el aspecto lateral de la cabeza metatarsiana estaba ausente de cartílago, en quien se realizó un procedimiento quirúrgico novedoso basado en hemiartroplastía de interposición extensor hallux brevis, con buenos resultados funcionales y radiográficos.



REPORTE DEL CASO

Paciente masculino de 54 años de edad quien presenta dolor y rigidez en la cara dorsal y medial de la articulación metatarsofalángica del hallux derecho que comenzó hace cuatro años. El dolor empeora con la caminata y disminuye con el descanso. No reportan antecedentes traumáticos en ese pie. Sus antecedentes personales patológicos son hipotiroidismo y dislipidemia y su historial quirúrgico es una liberación del dedo en gatillo de las manos derecha e izquierda y una resección del quiste sinovial de la muñeca izquierda.

Tras la exploración física en el pie derecho, presenta dolor a la palpación en los aspectos dorsal y medial de la articulación metatarsofalángica del hallux, piel sin alteraciones. Su rango de movimiento de la articulación metatarsofalángica del hallux es dorsiflexión de 25o con dolor y flexión plantar de 20o, examen neurovascular distal sin alteraciones con un llenado capilar distal de dos segundos. El examen físico del resto del pie fue normal.

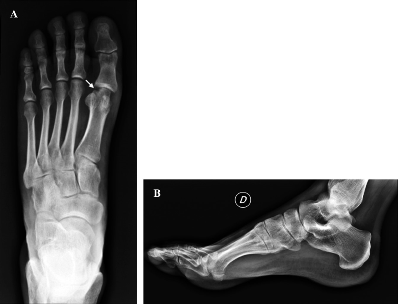
Se obtuvieron radiografías dorsoplantares y laterales con apoyo del pie derecho, que mostraron un espacio articular disminuido de la articulación metatarsofalángica del hallux predominantemente de la cara lateral, esclerosis subcondral y quistes con un osteofito dorsal en la cabeza del primer metatarsiano, así como presencia de pequeños osteofitos en la cabeza del primer metatarsiano y la base de la falange proximal del hallux (Figura 1).

Con base en los hallazgos radiográficos, se realizó el diagnóstico de hallux rigidus Coughlin y Shurnas etapa 3.

El paciente intentó tratamiento conservador con antiinflamatorios no esteroideos y modificaciones en el tipo del calzado durante seis meses sin mejoría, por lo que se propuso tratamiento quirúrgico.

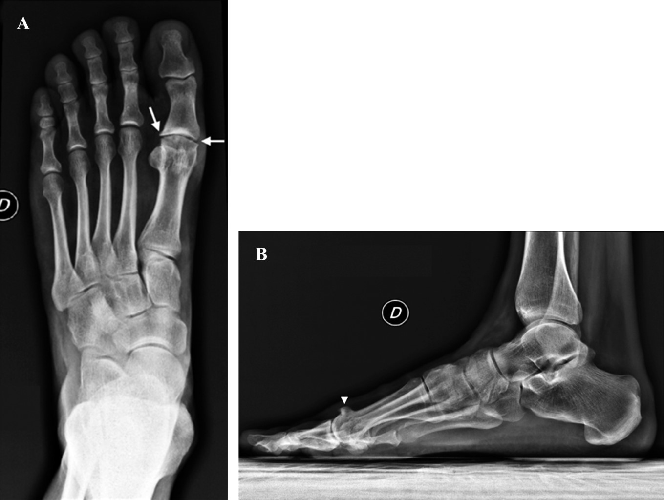
Bajo anestesia general y el uso de un torniquete se realizó una incisión de 4 cm en el aspecto dorsal de la articulación metatarsofalángica del hallux. Se realizó disección y se identificó y retrajo el extensor hallucis longus. Se efectuó una capsulotomía dorsal y se expuso la articulación. Se observó un gran osteofito dorsal en la cabeza del metatarsiano. Se hizo una exostectomía dorsal con sierra y gubia. Además, se realizó una queilectomía y una buniectomía medial con una sierra. Los sesamoideos fueron expuestos y liberados. Se observó ausencia de cartílago articular en la cara lateral de la cabeza del primer metatarsiano. El cartílago en la cara medial estaba intacto. El extensor hallucis brevis (EHB) fue localizado y liberado de su inserción. Se realizó una perforación transósea en la cabeza del metatarsiano, el EHB se interpuso en el aspecto medial de la articulación metatarsofalángica y fijó con vicryl. Se lavó la herida, se realizó una capsulorrafia y la herida fue cerrada en capas. Se cubrió la piel con gasas, vendaje elástico y se colocó un zapato de rehabilitación (Figura 2). Las radiografías a los seis meses de rehabilitación se muestran en la Figura 3.

El Foot Function Index preoperatorio fue de 27% y el postoperatorio fue de 8%; la puntuación preoperatoria del American Orthopaedic Foot and Ankle Society Hallux Metatarsophalangeal-Interphalangeal Rating System (AOFAS-HMI) fue de 77% y el postoperatorio fue de 90%; la subescala preoperatoria de actividades de la vida diaria Foot and Ankle Ability Measure (FAAM) fue de 76% y postoperatorio de 95% y la subescala de deportes preoperatorios fue de 75% y postoperatorio de 97%.

A los 1.7 años después de la cirugía, su rango de movimiento postoperatorio era de 60o de dorsiflexión activa y 40o de flexión plantar activa (Figura 4). El paciente negó dolor, malestar o debilidad en la articulación metatarsofalángica. Realizaba sus actividades de la vida diaria sin limitaciones y estaba satisfecho con los resultados postoperatorios.



DISCUSIóN

El HR se define como la osteoartritis degenerativa de la primera articulación metatarsofalángica. El HR es la forma más común de artrosis que afecta al pie, afecta a 2.5% de las personas de > 50 años.1,4

La etiología del HR no se comprende en su totalidad. En las presentaciones unilaterales, el trauma es la causa principal. La edad media de aparición de los síntomas es de 51 años, afecta más a las mujeres que a los hombres. Los antecedentes familiares son positivos en 75% de los pacientes, 95% de los pacientes afectados tienen una presentación bilateral.1

El HR no se ha asociado con el desgaste del calzado, el primer rayo elevado y el acortamiento del tendón de Aquiles. El HR se ha asociado con el metatarso aducto, hallux valgus interfalángico y la forma articular de la cabeza metatarsiana. La contractura de la fascia plantar medial y el aumento del estrés de la articulación metatarsofalángica durante la dorsiflexión se han correlacionado con el HR.4

La causa del HR no está clara. La causa más común de HR es idiopática, aunque puede ser causada por lesiones traumáticas o iatrogénicas. Durante la progresión del HR, el centro de rotación de la falange proximal y la cabeza metatarsiana se altera, lo que conduce a un deslizamiento excéntrico de la falange proximal en la cabeza metatarsiana. Esto provoca la formación de osteofitos dorsales.4

El HR con frecuencia se asocia con dolor en la articulación metatarsofalángica durante los extremos de movimiento, más comúnmente justo antes de la etapa de despegue. Los zapatos con tacones pueden aumentar los síntomas así como los zapatos con suela flexible. Los zapatos con suelas rígidas pueden mejorar los síntomas.1 Los pacientes pueden reportar dolor en la cara lateral del pie y patrones de marcha alterados para reducir la carga en el primer metatarsiano. Los osteofitos medial y dorsal en la cabeza metatarsiana y la falange proximal pueden limitar el uso de ciertos tipos de calzado.1

En el examen físico hay dolor durante la dorsiflexión extrema y la flexión plantar, con dolor dorsal. En pacientes con HR, el rango de movimiento pasivo global es inferior a 76o de dorsiflexión y 34o de flexión plantar. Dolor en los sesamoideos puede estar presente y el primer rayo puede estar elevado. El dolor al realizar compresión de la primera articulación metatarsofalángica, que se conoce como grind test, puede indicar artritis más avanzada.1,4

Se deben obtener radiografías anteroposteriores (AP), laterales y oblicuas del pie. En la vista AP, se debe observar la disminución del espacio articular y la forma de la cabeza metatarsiana. Los osteofitos en la cabeza metatarsiana y la falange proximal a menudo se observan en las vistas laterales. El aspecto dorsal de la articulación tiende a verse afectado primero. La artritis sesamoidea puede ocurrir de forma independiente, aunque esto es menos comúnmente sintomático que el HR.1

Se han desarrollado varios sistemas de clasificación para la estadificación del HR. La clasificación de Coughlin y Shurnas es el sistema de clasificación más utilizado y completo. Esta clasificación tiene en cuenta los hallazgos de dorsiflexión, radiográficos y clínicos.1

Para el manejo del HR, existen opciones quirúrgicas y no quirúrgicas. Primero se debe intentar el manejo no quirúrgico, éstos incluyen medicamentos antiinflamatorios no esteroideos, inyecciones de corticosteroides, modificaciones en el calzado y cambios en las actividades de la vida diaria.5

Si el tratamiento no quirúrgico no proporciona mejoría, se debe seguir el tratamiento quirúrgico. Las opciones quirúrgicas incluyen queilectomía, artrodesis, artroplastía de interposición, osteotomías falángicas y metatarsianas, artroplastía de resección, artroplastía con colocación de implantes protésicos o hemiartroplastía y colocación de cartílago sintético e implantes condrales.1

La queilectomía consiste en el desbridamiento y la escisión de los osteofitos dorsales que se localizan en la cabeza metatarsiana y la falange proximal. Durante la queilectomía se reseca aproximadamente 30% de la cara dorsal de la superficie articular de la cabeza metatarsiana. Este procedimiento no causa destrucción articular, permitiendo la retención del movimiento articular y la estabilidad, ya que mejora el rango de movimiento y la dorsiflexión. La queilectomía tiene una tasa de satisfacción de 88 a 95%. Este procedimiento debe estar indicado para los grados 1 a 3 de la clasificación de Coughlin y Shurnas.1 La queilectomía es un procedimiento relativamente seguro con pocas complicaciones. La mayoría de las complicaciones pueden atribuirse a errores técnicos, ya sea resecando demasiado hueso o no resecando lo suficiente. Las tasas de complicaciones de la queilectomía varían entre 0 y 8%. La recurrencia puede llegar al 30% y la tasa de revisión se ha reportado en 8.8%.6

Las osteotomías periarticulares se pueden realizar a través de la falange o el metatarso; estos procedimientos no están destinados a tratar la artritis en sí, pero se llevan a cabo para aliviar el dolor y aumentar la dorsiflexión. Hay varias osteotomías metatarsianas, incluyendo las osteotomías de Green-Watermann y Youngswick. En la osteotomía de Green-Watermann se reseca una cuña dorsal de hueso para acortar la cabeza metatarsiana y desplazarla en dirección plantar. En la osteotomía de Youngswick se reseca una cuña dorsal de hueso en un ángulo de distal a proximal para acortar y desplazar la cabeza metatarsiana en dirección plantar.7 Se cree que las osteotomías de falange proximal descomprimen la articulación y aumentan la dorsiflexión, con frecuencia se realizan junto con la queilectomía. Este procedimiento debe indicarse para los grados 1 a 3 de la clasificación de Coughlin y Shurnas. Las osteotomías se asocian con metatarsalgia en aproximadamente 5% de los pacientes.1 La osteotomía de Moberg es una osteotomía en cuña de cierre dorsal realizada en la falange proximal. Esta osteotomía mejora la dorsiflexión de la primera articulación metatarsofalángica, con una tasa de satisfacción de 85%. Este procedimiento se puede realizar junto con una queilectomía que puede mejorar el rango de movimiento.6 Las complicaciones de este procedimiento incluyen no unión, varo o valgo, extensión intraarticular de la osteotomía y material de osteosíntesis sintomático.6

El estándar de oro para el HR es la artrodesis de la articulación metatarsofalángica, especialmente para casos graves, como Coughlin y Shurnas grado 3 y 4.1 La tasa de satisfacción para este procedimiento varía de 81 a 100%. El uso de una placa dorsal y un tornillo de compresión es el constructo más estable biomecánicamente. El posicionamiento correcto de la artrodesis es de suma importancia, ya que dicta el resultado clínico; la posición recomendada del hallux con respecto al suelo es entre 10o y 15o de dorsiflexión y 10o a 15o de varo. La artrodesis proporciona una reducción significativa del dolor y mejora la estabilidad funcional y mecánica.1,8 Las complicaciones más comunes asociadas con la artrodesis son la no unión, mala unión y la irritación del material de osteosíntesis.9 La incidencia general de malunión es de 6.1%, con la malunión en dorsiflexión que representa 87.1%. Las tasas de no unión varían entre 0 y 20%.6

El procedimiento de Keller es una artroplastía de resección que consiste en la extirpación de la base de la falange proximal con el objetivo de lograr la descompresión articular y aumentar la dorsiflexión pasiva.1 Este procedimiento provoca la desestabilización de la articulación metatarsofalángica, lo que puede causar deformidad tipo cock-up, debilidad del hallux y metatarsalgia de transferencia. Este procedimiento es una buena opción para pacientes de > 70 años y para personas menos activas, ya que el tiempo de recuperación es más rápido y la tasa de complicaciones quirúrgicas es menor.1,10

La artroplastía de interposición, que son procedimientos de preservación articular y del movimiento, implica la colocación de un espaciador biológico, como la cápsula articular, un autoinjerto o un aloinjerto, que generalmente implica también una queilectomía y resección de la base falángica. Estos procedimientos fueron desarrollados para retener la función del hallux y eliminar el dolor, mientras que al mismo tiempo estabilizan la articulación y conservan la longitud del mismo.10,11 Existen varias opciones para la artroplastía de interposición que incluyen matriz dérmica acelular, cápsula, hidrogel de alcohol polivinílico, implante de ácido poliglicólico-hialuronano, EHB, aloinjerto de fascia lata y autoinjerto, aloinjerto de menisco, Gelfoam, tendón de gracilis, periostio y peroneo largo.3,11 La artroplastía de interposición utiliza tejidos blandos con cápsula, tiene buenos resultados clínicos a largo plazo como lo observado por Vulcano y colaboradores.12 Las complicaciones de estos procedimientos incluyen debilidad del hallux, fracturas por estrés, osteonecrosis, metatarsalgia de transferencia, cock-deformity y deformidad en garra.1,3 Sin embargo, la artroplastía de interposición representa una opción viable para el tratamiento del HR moderado y grave, especialmente para los pacientes que buscan retener el movimiento de la primera articulación metatarsofalángica, con buenos resultados clínicos. Los resultados reportados por los pacientes indican una alta satisfacción postoperatoria, con una mejora del rango de movimiento postoperatorio, en especial para la dorsiflexión.3 La tasa de revisión de pacientes sometidos a artroplastía de interposición con implantes de cartílago sintético es de 9-20%, convirtiéndose más comúnmente en artrodesis secundaria a dolor persistente.6 En cuanto a la artroplastía de interposición, se ha observado debilidad del hallux en 4.8-72.7% de estos pacientes.6 Otras complicaciones son la metatarsalgia (13.9%), pérdida de contacto con el suelo (9.7%), osteonecrosis (5.4%), hipoestesia (4.2%), formación de callos (4.2%) y disminución de la potencia de despegue (4.2%).13,14 La tasa global de fracaso de la artroplastía de interposición es de 3.8% como se observa en el estudio de Aynardi y colaboradores.15 En su estudio, la mayoría de los pacientes tuvieron resultados excelentes o buenos con un seguimiento medio de 62.2 meses y 76% pudo volver a utilizar el calzado normal.15

La primera artroplastía con colocación de implantes utilizó Silastic y se realizó hace más de 50 años. La artroplastía total y la hemiartroplastía se pueden efectuarse en la falange y en el metatarsiano. El uso del implante Silastic proporciona éxito a corto plazo. Los resultados a largo plazo muestran altas tasas de osteólisis, subluxación, fracturas de componentes, hundimiento y reacciones inmunológicas. La artroplastía total se ha realizado con varios implantes como la prótesis ReFlexion y Bio-Action. Estos implantes no constreñidos utilizan vástagos en el metatarso o falange con buenos resultados, pero con una alta tasa de revisión debido al hundimiento del implante y al aflojamiento metatarsiano o falángico.9 La hemiartroplastía se ha utilizado recientemente para el tratamiento del HR con colocación de componentes metatarsianos o en la falange proximal. Similar al uso de la artroplastía total, estos implantes se asocian con buenos resultados clínicos, pero con una alta tasa de aflojamiento o hundimiento. Además, la mayoría de los estudios sobre hemiartroplastía tienen un seguimiento a corto plazo.1

No se encontraron reportes en la literatura en los que se interpuso el EHB para el tratamiento del HR en el que sólo se vio afectada la cara lateral de la cabeza metatarsiana, lo que proporciona su carácter distintivo a este reporte de caso.



CONCLUSIONES

El HR es la degeneración de la primera articulación metatarsofalángica y la articulación metatarsosesamoidal. Esta patología produce dolor y limitación del rango de movimiento. Se han descrito varios tratamientos no quirúrgicos y quirúrgicos, todos con sus propias indicaciones y complicaciones. En este reporte de caso mostramos el caso de un paciente joven con diagnóstico clínico y radiográfico de HR, durante el procedimiento quirúrgico se observó que sólo la cara lateral de la cabeza metatarsiana estaba ausente de cartílago. Por lo tanto, se tomó la decisión de interponer el EHB en la cara lateral de la cabeza metatarsiana creando una hemiartroplastía de interposición de tejidos blandos, lo que provee un tratamiento de preservación de la articulación y del movimiento, en el que no se queman puentes en caso de que la patología progrese con el tiempo y el paciente requiera tratamiento adicional. El paciente en este reporte de caso tuvo excelentes resultados clínicos y radiográficos sin complicaciones.


REFERENCIAS (EN ESTE ARTÍCULO)

  1. Deland JT, Williams BR. Surgical management of hallux. J Am Acad Orthop Surg. 2012; 20(6): 347-58.

  2. Galois L, Hemmer J, Ray V, Sirveaux F. Surgical options for hallux rigidus: state of the art and review of the literature. Eur J Orthop Surg Traumatol. 2020; 30(1): 57-65.

  3. Emmons BR, Carreira DS. Outcomes following interposition arthroplasty of the first metatarsophalangeal joint for the treatment of hallux rigidus: a systematic review. Foot Ankle Orthop. 2019; 4(2): 2473011418814427.

  4. Ho B, Baumhauer J. Hallux rigidus. EFORT Open Rev. 2017; 2(1): 13-20.

  5. Migues A, Slullitel G. Joint-preserving procedure for moderate hallux rigidus. Foot Ankle Clin. 2012; 17(3): 459-71.

  6. Lunati M, Mahmoud K, Kadakia R, Coleman M. Complications associated with the surgical management of hallux rigidus. Orthop Clin North Am. 2021; 52(3): 291-6.

  7. Polzer H, Polzer S, Brumann M, Mutschler W, Regauer M, Polzer H, et al. Hallux rigidus: joint preserving alternatives to arthrodesis-a review of the literature. World J Orthop. 2014; 5(1): 6-13.

  8. Stevens J, de Bot RTAL, Witlox AM, Borghans R, Smeets T, Beertema W, et al. Long-term effects of cheilectomy, Keller's arthroplasty, and arthrodesis for symptomatic hallux rigidus on patient-reported and radiologic outcome. Foot Ankle Int. 2020; 41(7): 775-83.

  9. Stevens J, de Bot RTAL, Hermus JPS, van Rhijn LW, Witlox AM. Clinical outcome following total joint replacement and arthrodesis for hallux rigidus: a systematic review. JBJS Rev. 2017; 5(11): e2.

  10. Coughlin MJ, Shurnas PJ. Soft-tissue arthroplasty for hallux rigidus. Foot Ankle Int. 2003; 24(9): 661-72.

  11. Partio N, Ponkilainen VT, Rinkinen V, Honkanen P, Haapasalo H, Laine HJ, et al. Interpositional arthroplasty of the first metatarsophalangeal joint with bioresorbable Pldla implant in the treatment of hallux rigidus and arthritic hallux valgus: a 9-year case series follow-up. Scand J Surg. 2021; 110(1): 93-8.

  12. Vulcano E, Chang AL, Solomon D, Myerson M. Long-term follow-up of capsular interposition arthroplasty for hallux rigidus. Foot Ankle Int. 2018; 39(1): 1-5.

  13. Patel HA, Kalra R, Johnson JL, Huntley SR, Lehtonen EJ, Mcgwin G, et al. Is interposition arthroplasty a viable option for treatment of moderate to severe hallux rigidus? A systematic review and meta-analysis. Foot Ankle Surg. 2019; 25(5): 571-9.

  14. Roukis TS. Outcome following autogenous soft tissue interpositional arthroplasty for end-stage hallux rigidus: a systematic review. J Foot Ankle Surg. 2010; 49(5): 475-8.

  15. Aynardi MC, Atwater L, Dein EJ, Zahoor T, Schon LC, Miller SD. Outcomes after interpositional arthroplasty of the first metatarsophalangeal joint. Foot Ankle Int. 2017; c38(5): 514-8.



AFILIACIONES

1 Departamento de Ortopedia y Traumatología, Centro Médico ABC. Ciudad de México, México.



Conflicto de intereses: los autores declaran no tener ningún conflicto de intereses.



CORRESPONDENCIA

Dr. Roberto Berebichez-Fridman. E-mail: berebichezmd@gmail.com




Recibido: 10-02-2023. Aceptado: 27-04-2023.

Figura 1
Figura 2
Figura 3
Figura 4

2020     |     www.medigraphic.com

Mi perfil

C?MO CITAR (Vancouver)

Acta Ortop Mex. 2022 Sep-Oct;36

ARTíCULOS SIMILARES

CARGANDO ...