medigraphic.com
ENGLISH

Acta Médica Grupo Ángeles

Órgano Oficial del Hospital Ángeles Health System
  • Mostrar índice
  • Números disponibles
  • Información
    • Información general        
    • Directorio
  • Publicar
    • Instrucciones para autores        
    • Envío de artículos
    • Políticas
    • Nombre y afiliación del Comité Editorial
  • Nosotros
    • Plan de gestión e intercambio de datos
    • Objetivos declarados y alcance
  • medigraphic.com
    • Inicio
    • Índice de revistas            
    • Registro / Acceso
  • Mi perfil

2023, Número 3

<< Anterior Siguiente >>

Acta Med 2023; 21 (3)


Hallazgos tomográficos en casos sospechosos de COVID-19 y su asociación con escala CO-RADS en pacientes con prueba RT-PCR negativa

Rodríguez Ortiz, Catherine Vianey1; González Vergara, Carolina2; Figueroa García, Juan3
Texto completo Cómo citar este artículo 10.35366/111346

DOI

DOI: 10.35366/111346
URL: https://dx.doi.org/10.35366/111346
Artículos similares

Idioma: Español
Referencias bibliográficas: 13
Paginas: 241-246
Archivo PDF: 248.06 Kb.


PALABRAS CLAVE

coronavirus, RT-PCR negativa, tomografía tórax, CO-RADS, vidrio despulido.

RESUMEN

Introducción: a partir de la pandemia por COVID-19 en 2020, el diagnóstico temprano fue crucial para el tratamiento. La RT-PCR es el estándar para el diagnóstico de la infección y se puede ver limitada en cierto grupo de pacientes, por lo que la tomografía de tórax tiene un papel importante en la detección oportuna. Objetivo: determinar la prevalencia de los hallazgos tomográficos de tórax en pacientes que tienen sospecha clínica de COVID-19 y resultado RT-PCR negativo, así como su relación con la escala CO-RADS de acuerdo con la Sociedad Radiológica Holandesa. Material y métodos: se realizó un estudio transversal, observacional y retrospectivo en pacientes con sospecha clínica de COVID-19 y prueba RT-PCR negativa mediante hisopado nasofaríngeo, que posteriormente se sometieron a tomografía computarizada de tórax para su diagnóstico. La clasificación tomográfica se evaluó mediante la escala CO-RADS de acuerdo con la Sociedad Radiológica Holandesa. Resultados: se analizó un total de 113 pacientes, predominó el sexo masculino con 60% y la edad promedio fue de 58.4 años. Los principales hallazgos tomográficos encontrados fueron opacidades en vidrio despulido con 77%, seguido de patrón adoquinado y consolidación en menor proporción. En cuanto a la relación con la escala CO-RADS, las pruebas tuvieron significancia estadística con un valor de p < 0.05, al encontrar que la mayoría de los pacientes se determinaron en una clasificación de alta sospecha de la enfermedad, CO-RADS 5. Conclusión: los hallazgos tomográficos principales en pacientes con sospecha clínica de enfermedad COVID-19 y prueba RT-PCR negativa son similares a los reportados en la literatura, lo cual se asocia con los hallazgos basados en la escala CO-RADS donde se observa una alta sospecha de la enfermedad, pese a la prueba confirmatoria RT-PCR negativa.



INTRODUCCIóN

COVID-19 es una infección causada por una nueva cepa de coronavirus que la Organización Mundial de la Salud (OMS) declaró el 11 de marzo del 2020 como pandemia. Un diagnóstico temprano es crucial para el tratamiento de la enfermedad y el control de su propagación. La prueba para el diagnóstico mediante reacción en cadena de la polimerasa con transcripción reversa (RT-PCR) demostró una sensibilidad inicial baja, por lo que la tomografía computarizada (TC) de tórax juega un papel fundamental en la detección y diagnóstico temprano, especialmente para las pruebas RT-PCR negativas, así como en el seguimiento del curso clínico y en la evaluación de la gravedad.1

La transmisión por aerosoles sigue siendo la principal fuente de contagios y mientras no existan medidas preventivas controladas ni un tratamiento eficaz, seguiremos observando casos o picos de epidemias, por lo que es importante prevenir el contagio de pacientes no diagnosticados adecuadamente. La vigilancia epidemiológica de la enfermedad respiratoria viral en México debe enfocarse en la detección inmediata de casos sospechosos que cumplan con la definición operacional, para unificar los criterios a través de los signos y síntomas más frecuentes reportados hasta el momento. La definición operacional de caso sospechoso de enfermedad respiratoria viral es para personas de cualquier edad que en los últimos 10 días hayan presentado al menos uno de los siguientes signos y síntomas: tos, disnea, fiebre o cefalea, acompañados al menos de mialgias, artralgias, odinofagia, escalofríos, dolor torácico, rinorrea, polipnea, anosmia, disgeusia o conjuntivitis.2

Los criterios moleculares para el diagnóstico in vitro de la enfermedad son heterogéneos y requieren la detección de dos o más genes de SARS-CoV-2. Un falso negativo de la enfermedad se define como un caso sospechoso con resultado inicial negativo por RT-PCR y resultado positivo en una prueba posterior. Los casos de falsos negativos tienen implicaciones importantes para el aislamiento, el riesgo de transmisión de personas infectadas y el manejo de la enfermedad. Debido a la alta tasa de falsos negativos de la prueba viral y a que en ocasiones no se pueden realizar pruebas seriadas, se ha puesto en duda su sensibilidad y especificidad para la valoración en todos los pacientes.3 Aunque sigue siendo el estándar de referencia para el diagnóstico final de la infección por COVID-19, se puede ver limitada la oportunidad de diagnóstico en cierto grupo de pacientes; por lo que los exámenes radiológicos, especialmente la tomografía de tórax, juegan un papel importante en la detección oportuna de la infección.

Algunos estudios han demostrado que la sensibilidad de la tomografía de tórax puede ser mayor que la RT-PCR; sin embargo, es necesaria una revisión completa del papel radiológico para el diagnóstico de COVID-19, por lo que el objetivo de este estudio es determinar la prevalencia de los hallazgos tomográficos en dichos pacientes. La tomografía computarizada de tórax tiene un rol preponderante cuando el hisopado nasofaríngeo resulta negativo en pacientes altamente sospechosos. En cuanto al protocolo, se prefieren las adquisiciones en inspiración profunda con un grosor de corte < 3 mm. Los parámetros de exploración óptimos son sin medio de contraste con 100-120 kV y mA modulado para ahorro de dosis.4

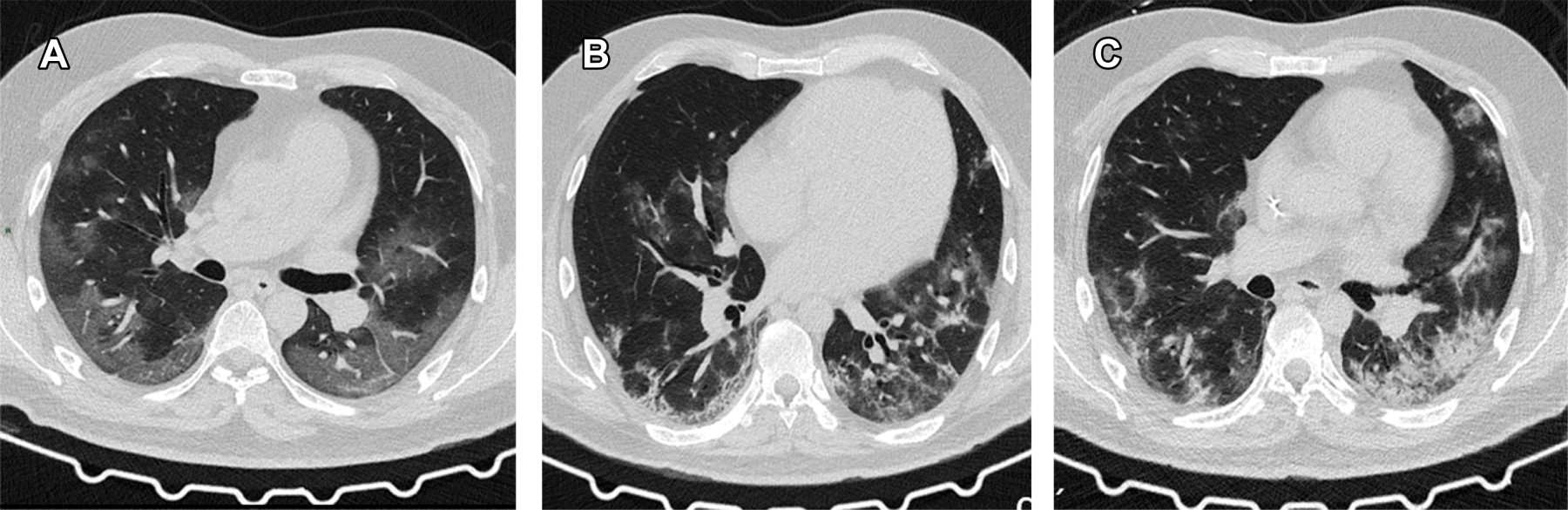
Los hallazgos tomográficos principales de COVID-19 son la presencia de imágenes en vidrio despulido bilaterales y de distribución periférica, que se describen como opacidades pulmonares que no oscurecen los márgenes vasculares o bronquiales subyacentes, están relacionados con afectación del espacio aéreo y engrosamiento intersticial; a medida que avanza la enfermedad, el número de lesiones puede aumentar rápidamente. Las consolidaciones son secundarias al reemplazo completo de espacios aéreos alveolares por fluidos patológicos que llevan a un aumento en la densidad parenquimatosa, oscurece los vasos subyacentes y paredes bronquiales. El patrón en "empedrado" o "adoquinado" (crazy paving pattern) se define como la presencia de vidrio despulido con engrosamiento septal interlobulillar superpuesto que da la apariencia de adoquines irregulares.5 Las linfadenopatías mediastinales son hallazgos que no están reportados de forma frecuente en la literatura y se definen como un ganglio linfático cuyo diámetro en el eje corto es mayor a un centímetro a este nivel. Entre otros hallazgos descritos se encuentran las bronquioloectasias, atelectasias, zonas de fibrosis y derrame pleural.6 Los principales hallazgos tomográficos en el presente estudio se detallan en la Figura 1.

Complementario a lo anteriormente descrito, este artículo se planteó como objetivo determinar la prevalencia de hallazgos tomográficos de tórax en pacientes que tienen sospecha clínica de COVID-19 con resultado de RT-PCR negativo.

La Sociedad Radiológica Holandesa propuso un consenso para el informe estructurado de hallazgos tomográficos en pacientes con sospecha de COVID-19. Eligieron el término sistema de informes y datos CO-RADS, que proporciona un nivel de sospecha de afectación pulmonar basado en las características principales vistas en tomografía computarizada simple de tórax.

Se clasifica en CO-RADS 0 cuando los escaneos tomográficos son incompletos o de insuficiente calidad; CO-RADS 1 implica un nivel de sospecha muy bajo con estudios normales o patología no infecciosa; CO-RADS 2 es un bajo nivel de sospecha por hallazgos que se consideran no compatibles con COVID-19; CO-RADS 3 describe hallazgos indeterminados basado en características que también pueden encontrarse en otras neumonías virales o causas no infecciosas, los hallazgos también pueden ser erróneos debido a ciertas patologías de base en los pacientes; CO-RADS 4 se considera un alto nivel de sospecha con hallazgos que son típicos, pero también pueden mostrar superposición con otras neumonías virales como influenza; CO-RADS 5 es un grado de sospecha muy alto basado en los hallazgos típicos en tomografía descritos; CO-RADS 6 se considera cuando COVID-19 es confirmado con resultado positivo de prueba RT-PCR, independientemente de los hallazgos por imagen.7

En la actualidad es importante ampliar la información acerca de las características radiológicas y los hallazgos en la TC de tórax de la neumonía por SARS-CoV-2 para detectar la enfermedad en sus diferentes etapas, ya que los hallazgos de neumonía causada por COVID-19 pueden llegar a ser similares a los causados por otros coronavirus humanos y confundirse con algunos tipos de neumonías virales como influenza y adenovirus en los que se caracterizan las opacidades en vidrio despulido con o sin consolidación; sin embargo, dentro de los hallazgos más importantes distinguibles de COVID-19 se encuentran el patrón pulmonar de las lesiones con distribución periférica bilateral y la opacidad en vidrio despulido, que son características significativamente observadas de la neumonía por SARS-CoV-2.8 Debido a estas características radiológicas encontradas con el paso del tiempo en la pandemia, es que se ha considerado a los hallazgos en las imágenes de tórax como criterios importantes para detectar los casos clínicamente sospechosos. Se ha demostrado que COVID-19 afecta principalmente al sistema respiratorio y es propenso a permanecer en los bronquíolos terminales. A diferencia de toda la información documentada sobre los hallazgos tomográficos en pacientes confirmados por RT-PCR con COVID-19, no se ha informado si estos hallazgos de imágenes existen en los pacientes sospechosos pero negativos con prueba RT-PCR, por lo que este estudio busca determinar esa relación.9



MATERIAL Y MéTODOS

Se realizó un estudio de tipo transversal, observacional, retrospectivo y analítico. El análisis estadístico se llevó a cabo mediante el programa SPSS y los datos se obtuvieron del sistema PACS (Picture Archiving and Communication System) institucional del Hospital Angeles Mocel en la Ciudad de México. Se revisó el archivo hospitalario del laboratorio para obtener los resultados de pruebas RT-PCR por hisopado nasofaríngeo, de marzo a diciembre del 2020, con un total de 113 pacientes que se sometieron a tomografía de tórax simple en la institución.

Los criterios de inclusión fueron pacientes mayores de edad con definición operacional clínica de COVID-19 y tomografía de tórax durante los días de sintomatología, con prueba RT-PCR negativa. Los criterios de exclusión fueron pacientes con prueba RT-PCR positiva o quienes no contaban con una tomografía dentro de la institución.

Las imágenes de tomografía de tórax fueron obtenidas con un equipo Siemens SOMATOM de 64 cortes, con los pacientes en decúbito supino durante inspiración máxima, sin medio de contraste. Los parámetros de adquisición son acordes al protocolo hospitalario con 90 kV y 200 mAs, se realizaron reconstrucciones de alta resolución con grosor de corte de hasta 1 mm en modulación pulmonar y para valoración mediastinal. Las imágenes fueron evaluadas por dos radiólogos adscritos al Servicio de Imagen del hospital con más de 20 años de experiencia y todos fueron categorizados con base en la escala CO-RADS del 1 al 5, de acuerdo con los hallazgos de sospecha de la enfermedad establecidos por la Sociedad Radiológica Holandesa.



RESULTADOS

Se incluyeron 113 pacientes, con una edad promedio de 58.49 ± 19.05 años. Respecto al sexo, 60% fueron hombres (Tabla 1). En cuanto a la prevalencia de los hallazgos por tomografía se encontró que lo más frecuente fueron las opacidades en vidrio despulido (77.9%) y lo menos frecuente fue la consolidación (31.9%). De acuerdo con la clasificación CO-RADS, el grado más frecuente fue CO-RADS 5 (muy alto nivel de sospecha) con 41.6% (Tabla 2).

Respecto a la prueba de χ2 para la asociación de hallazgos tomográficos y clasificación de CO-RADS, las cuatro pruebas realizadas tuvieron significancia estadística, con un valor de p < 0.05 (Tabla 3).



DISCUSIóN

El resultado del estudio en cuanto a edad y sexo de los pacientes estudiados con sospecha de COVID-19 es de características similares a lo publicado en la población mexicana, como se describe en las estadísticas epidemiológicas de la Secretaría de Salud durante los primeros meses del 2020, donde se encontró predominio del sexo masculino, con un rango de edad promedio de 40-60 años.10

La RT-PCR es la prueba de laboratorio necesaria para confirmar el diagnóstico, pero la tomografía de tórax representa una herramienta válida en la evaluación de pacientes, como se ha argumentado previamente. Los hallazgos descritos en este estudio tienen concordancia con la literatura mundial, incluso si la prueba confirmatoria es negativa, más aún, si se toma en cuenta que los resultados de la RT-PCR pueden tener falsos negativos y el tiempo de obtención del resultado es relativamente largo y asociado a posibles errores de laboratorio, por lo que se recomienda que los pacientes con hallazgos de imagen típicos sean aislados y se les repitan las pruebas para evitar diagnósticos erróneos.11

Los hallazgos tomográficos comúnmente observados en pacientes con COVID-19 son la expresión del daño pulmonar intersticial agudo y cambios parenquimatosos resultantes del proceso inflamatorio que condicionan opacidades en vidrio despulido por afectación intersticial, en algunas ocasiones asociado a engrosamiento septal. Conforme avanza la enfermedad pulmonar se observan áreas de consolidación parenquimatosa como complicación, estos datos coinciden con los pacientes reportados en este artículo, donde el principal hallazgo tomográfico fue el vidrio despulido en la mayoría de los pacientes, seguido del patrón adoquinado (crazy paving) y áreas de consolidación.11

Long y colaboradores reportaron un estudio para evaluar el valor diagnóstico de la tomografía de tórax y RT-PCR en pacientes con neumonía por COVID-19, donde concluyeron que la prueba RT-PCR puede producir inicialmente falsos negativos, por lo que sugirieron que los pacientes con hallazgos tomográficos típicos deberían ser aislados con pruebas seriadas, lo que sugiere un papel importante del estudio tomográfico para la resolución de problemas, estos hallazgos tienen relación con lo reportado en nuestro estudio. La especificidad de la tomografía es baja cuando la justificación del estudio es demasiado débil para su uso en el diagnóstico de COVID-19, por lo que no se justifica realizar una revisión tomográfica en pacientes que no cumplen criterios de caso sospechoso; sin embargo, los pacientes con alta sospecha clínica de enfermedad por COVID-19 que obtengan prueba RT-PCR negativa se pueden ver beneficiados con rastreos tomográficos para un adecuado diagnóstico.12

Se ha reportado que el resultado de la prueba RT-PCR es positivo luego de varias pruebas negativas en pacientes con clínica e imagen que concuerdan con la enfermedad, por lo que se puede utilizar la escala CO-RADS mediante tomografía en estos casos para mejorar la comunicación y estandarizar el informe de hallazgos pulmonares, además, de esta manera dar un adecuado diagnóstico y seguimiento, en este sentido consideramos relevante el artículo presentado.13

Algunas debilidades con las que cuenta nuestro estudio, son que no se dio seguimiento a todos los pacientes y, por tanto, no se pudo conocer si se realizaron pruebas seriadas posteriores, que confirmaran o descartaran el diagnóstico por RT-PCR. Otra debilidad fue el tamaño de la muestra, esto debido a que se llevó a cabo en un centro hospitalario privado con un número reducido de pacientes si se compara con el número de posibles pacientes de una institución del sector público. Una de las fortalezas de nuestro estudio fue la aportación de datos valiosos del comportamiento tomográfico en pacientes sospechosos de COVID-19 en la población mexicana, ya que, hasta este momento, son pocos los reportes científicos que se han realizado en México sobre estos temas en específico.



CONCLUSIóN

Los hallazgos tomográficos principales en pacientes con sospecha de enfermedad COVID-19 y prueba RT-PCR negativa fueron las opacidades en vidrio despulido, seguidas de un patrón adoquinado y consolidaciones pulmonares, lo cual tiene relación con los hallazgos encontrados y basados en la escala CO-RADS, en donde se observa una clasificación 5 en su mayoría con alta sospecha de la enfermedad en pacientes con datos clínicos y prueba confirmatoria RT-PCR negativa, por lo que podrá orientar, en casos dudosos, el inicio del tratamiento y aislamiento de los pacientes para un adecuado control de la enfermedad.


REFERENCIAS (EN ESTE ARTÍCULO)

  1. Carotti M, Salaffi F, Sarzi-Puttini P, Agostini A, Borgheresi A, Minorati D et al. Chest CT features of coronavirus disease 2019 (COVID-19) pneumonia: key points for radiologists. Radiol Med. 2020; 125 (7):636-646. doi: 10.1007/s11547-020-01237-4.

  2. 25o Informe epidemiológico de la situación de COVID-19. Dirección de Información Epidemiológica, 21 de junio de 2021 [Internet]. México: Secretaría de Salud; 2021 [citado 03 de julio de 2021]. Disponible en https://www.gob.mx/cms/uploads/attachment/file/648004/Informe_COVID-19_2021.06.21.pdf

  3. Xiao AT, Tong YX, Zhang S. False negative of RT-PCR and prolonged nucleic acid conversion in COVID-19: Rather than recurrence. J Med Virol. 2020; 92 (10): 1755-1756. doi: 10.1002/jmv.25855.

  4. Ai T, Yang Z, Hou H, Zhan C, Chen C, Lv W et al. Correlation of chest CT and RT-PCR testing for coronavirus disease 2019 (COVID-19) in China: a report of 1014 cases. Radiology. 2020; 296 (2): E32-E40. doi: 10.1148/radiol.2020200642.

  5. Juárez-Hernández F, García-Benítez MP, Hurtado-Duarte AM, Rojas-Varela R, Farías-Contreras JP, Pensado PLE et al. Hallazgos tomográficos en afectación pulmonar por COVID-19, experiencia inicial en el Instituto Nacional de Enfermedades Respiratorias Ismael Cosío Villegas, Ciudad de México. Neumol Cir Tórax. 2020; 79 (2): 71-77. doi: 10.35366/94630.

  6. González VC, Arias MRE, Villalón DRJ, Delgado NM, Saucedo MEM, Rodríguez OCV et al. Correlación de carga viral con prueba RT-PCR en infección por SARS-CoV-2 y hallazgos en tomografía computarizada de tórax. Acta Med GA. 2020; 18 (4): 382-389. doi: 10.35366/97264.

  7. Prokop M, van Everdingen W, van Rees Vellinga T, Quarles van Ufford H, Stoger L, Beenen L et al. CO-RADS: a categorical CT assessment scheme for patients suspected of having COVID-19-definition and evaluation. Radiology. 2020; 296 (2): E97-E104. doi: 10.1148/radiol.2020201473.

  8. Koo HJ, Choi SH, Sung H, Choe J, Do KH. RadioGraphics update: radiographic and CT features of viral pneumonia. Radiographics. 2020; 40 (4): E8-E15. doi: 10.1148/rg.2020200097.

  9. Xie S, Lei Z, Chen X, Liu W, Wang X, Dong Y et al. Chest CT-based differential diagnosis of 28 patients with suspected corona virus disease 2019 (COVID-19). Br J Radiol. 2020; 93 (1112): 20200243. doi: 10.1259/bjr.20200243.

  10. Informe técnico diario COVID-19 México. México: Secretaría de Salud; 2020. Disponible en: https://www.gob.mx/cms/uploads/attachment/file/602370/Comunicado_Tecnico_Diario_COVID-19_2020.12.25.pdf

  11. Pontone G, Scafuri S, Mancini ME, Agalbato C, Guglielmo M, Baggiano A et al. Role of computed tomography in COVID-19. J Cardiovasc Comput Tomogr. 2021; 15 (1): 27-36. doi: 10.1016/j.jcct.2020.08.013.

  12. Long C, Xu H, Shen Q, Zhang X, Fan B, Wang C et al. Diagnosis of the coronavirus disease (COVID-19): rRT-PCR or CT? Eur J Radiol. 2020; 126: 108961. doi: 10.1016/j.ejrad.2020.108961.

  13. Vila Muntadas M, Agustí Sunyer I, Agustí Garcia-Navarro A. COVID-19 diagnostic tests: importance of the clinical context. Med Clin (Barc). 2021; 157 (4): 185-190. doi: 10.1016/j.medcli.2021.03.007.



AFILIACIONES

1 Departamento de Radiología e Imagen, Hospital Angeles Mocel. Facultad Mexicana de Medicina de la Universidad La Salle. México.

2 Médico radiólogo. Jefe de Educación Médica. Departamento de Radiología e Imagen, Hospital Angeles Mocel. México.

3 Maestría en Ciencias Médicas. Facultad Mexicana de Medicina de la Universidad La Salle. México.



Conflicto de intereses: los autores declaramos que no existe conflicto de intereses en la realización de este estudio.



CORRESPONDENCIA

Catherine Vianey Rodríguez Ortiz. Correo electrónico: catherinerod05mail@gmail.com




Aceptado: 11-11-2022.

Figura 1
Tabla 1
Tabla 2
Tabla 3

2020     |     www.medigraphic.com

Mi perfil

C?MO CITAR (Vancouver)

Acta Med. 2023;21

ARTíCULOS SIMILARES

CARGANDO ...