medigraphic.com
ENGLISH

Revista ADM Órgano Oficial de la Asociación Dental Mexicana

ISSN 0001-0944 (Impreso)
Órgano Oficial de la Asociación Dental Mexicana
  • Mostrar índice
  • Números disponibles
  • Información
    • Información general        
    • Directorio
  • Publicar
    • Instrucciones para autores        
    • Envío de artículos
  • medigraphic.com
    • Inicio
    • Índice de revistas            
    • Registro / Acceso
  • Mi perfil

2023, Número 3

<< Anterior Siguiente >>

Rev ADM 2023; 80 (3)


Análisis inmunohistoquímico de MMP-1, MMP-2 y MMP-9 en ameloblastoma convencional.

Sustaita-Núñez, Valeria Sofía1; Donohue-Cornejo, Alejandro2; Cruz-Pérez, Iris Azalea3; Villanueva-Sánchez, Francisco Germán4; Trejo-Remigio, David Alonso5; Jacinto-Alemán, Luis Fernando5
Texto completo Cómo citar este artículo 10.35366/111430

DOI

DOI: 10.35366/111430
URL: https://dx.doi.org/10.35366/111430
Artículos similares

Idioma: Español
Referencias bibliográficas: 19
Paginas: 133-138
Archivo PDF: 268.80 Kb.


PALABRAS CLAVE

ameloblastoma, metaloproteinasas, inmunohistoquímica.

RESUMEN

Introducción: las metaloproteinasas son enzimas que participan en la remodelación tisular y su función se relaciona con procesos fisiológicos y patológicos, como la invasión y la metástasis. El ameloblastoma convencional (AMC) es una neoplasia epitelial benigna odontogénica intraósea caracterizada por una progresión lenta y localmente invasiva, cuyo crecimiento se ha vinculado con el recambio ósea y la remodelación de la matriz extracelular. El objetivo del presente trabajo fue determinar la presencia inmunohistoquímica de MMP-1, MMP-2 y MMP-9 en el AMC. Material y métodos: se realizó un estudio piloto observacional analítico utilizando cinco muestras de AMC. Los especímenes fueron recolectados aleatoriamente del archivo del Departamento de Patología Oral y Maxilofacial, de la Escuela Nacional de Estudios Superiores (ENES) Unidad León, UNAM. Como grupo control se emplearon dos especímenes de folículo dental, obtenido de pacientes con indicación de su extracción por motivos ortodóncicos. Se realizó la técnica de inmunohistoquímica por peroxidasa, recolectando el nivel y proporción de inmunoexpresión de manera semicuantitativa. Resultados: cuatro pacientes fueron de género masculino y uno femenino, la edad promedio fue de 40.6 ± 14.9 años. Todas las muestras fueron obtenidas de la región mandibular posterior. Se observaron dos especímenes con patrón folicular y tres con plexiforme. Las MMP-2 y MMP-9 se detectaron sólo en uno de los cinco especímenes y únicamente en el parénquima de la lesión, con una proporción de 100%. Conclusión: según nuestro análisis inmunohistoquímico, las MMP-2 y MMP-9 son las metaloproteinasas que presentaron expresión positiva dentro de la patogénesis del AMC comparado a la MMP-1; no obstante, es necesario realizar este tipo de estudios en una población mayor.



INTRODUCCIóN

El ameloblastoma convencional (AMC) es una neoplasia odontogénica epitelial intraósea benigna de crecimiento progresivo que se caracteriza por la expansión y la tendencia a la recidiva local si no se extirpa adecuadamente.1 Se caracteriza por un crecimiento lento y localmente invasivo, consiste en una proliferación de epitelio odontogénico, que puede surgir a partir de los restos de la lámina dental del órgano del esmalte en desarrollo, o del revestimiento epitelial de un quiste odontogénico.2 La Organización Mundial de la Salud (OMS) considera cuatro subtipos, los cuales son: convencional, uniquístico, periférico y metastásico.

El AMC es uno de los tumores odontogénicos más frecuentes con una incidencia máxima entre la cuarta y quinta décadas de la vida, no tiene predilección por sexo o raza, 80% de los AMC se desarrollan en la mandíbula, preferentemente en la región posterior.2

Clínicamente no presenta manifestaciones tempranas, ya que su expansión es lenta e indolora, en raras ocasiones presenta crecimiento acelerado. Con el aumento de tamaño pueden presentarse complicaciones como la movilidad dental, maloclusión, parestesia, deformidad facial, limitación en la apertura, dificultad para la masticación y en ocasiones puede obstruir las vías respiratorias, lo cual puede ser fatal.1

Imagenológicamente es común observarlo como una lesión radiolúcida multilocular, con apariencia de burbujas de jabón o panal de abeja. Cuando presenta un patrón unilocular se puede observar expansión cortical bucal y lingual, con reabsorción de las raíces de los dientes afectados.3

Histológicamente puede presentar un patrón folicular o plexiforme dentro de un estroma fibroso. El patrón folicular se caracteriza por islas de epitelio parecido al epitelio del órgano del esmalte, los cuales consisten en un núcleo de células dispuestas de forma laxa que tiene semejanza al retículo estrellado del esmalte, rodeado por una empalizada de células parecidas a los ameloblastos, con una polaridad invertida.4 El patrón plexiforme está formado por cordones largos y anastomosados delimitados por células columnares, usualmente está vascularizado. Dentro de los patrones histológicos reconocidos se ha reportado: células granulares, desmoplásico y células basales.

Su patogénesis implica mecanismos complejos tales como la activación de oncogenes, inhibición de genes supresores tumorales entre otros mecanismos moleculares, tales como la activación de moléculas que modifiquen su potencial de invasión local.5

Las metaloproteinasas de matriz extracelular (MMP) son enzimas que participan en la remodelación tisular, regulan la bioactividad de las citocinas y los factores de crecimiento y hormonas de la matriz extracelular (MEC).6,7 Su función se relaciona con varios procesos fisiológicos y patológicos como el desarrollo embrionario, la cicatrización, la invasión del cáncer y la metástasis.8,9

Cuando se activan las MMP son degradados componentes de la MEC, incluidas proteínas colágenas y elastina.10-12 Una de las principales características del AMC es su crecimiento localmente invasivo, éste se asocia con el recambio óseo y la remodelación de la MEC.12 Se ha reportado que la inmunoexpresión de MMP y del factor de crecimiento endotelial vascular puede asociarse con la progresión tumoral y aumento invasivo de AMC.1 El objetivo de este trabajo fue determinar la presencia inmunohistoquímica de MMP-1, MMP-2 y MMP-9 en el AMC.



MATERIAL Y MéTODOS



POBLACIóN Y TIPO DE ESTUDIO

Se realizó un estudio piloto observacional analítico utilizando cinco muestras de ameloblastoma convencional. Los especímenes fueron recolectados aleatoriamente del archivo del Departamento de Patología Oral y Maxilofacial, ENES León, UNAM. Los datos fueron obtenidos respetando el anonimato del paciente y expediente clínico. De todos los pacientes se obtuvo el consentimiento informado. Únicamente se registró la edad, sexo, localización anatómica y patrón histológico de cada muestra, el cual fue reevaluado por dos patólogos bucales. Como grupo control se emplearon dos especímenes de folículo dental, obtenido de pacientes con indicación de su extracción por motivos ortodóncicos.



ENSAYO E INTERPRETACIóN DE INMUNOHISTOQUíMICA

Se realizó ensayo de inmunohistoquímica por peroxidasa de acuerdo con lo previamente reportado. De cada muestra se obtuvieron cuatro cortes a 4 μm de grosor colocados en laminillas tratadas con poli-L-lisina. Las muestras fueron desparafinadas y rehidratadas convencionalmente en xilol y alcohol. La recuperación antigénica se realizó con un buffer de citrato de 10 mL en ebullición mediante el sistema KOS microwave histostation (Milestone Medical, Sorisole, Italia) en cámara de presión a 100 oC por cinco minutos. Se inhibió peroxidasa endógena con peróxido de hidrógeno a 3% durante 20 min (Sigma-Aldrich, St. Louis, MO, USA). El fondo inespecífico fue bloqueado con 100 μL de albúmina a 2% durante 20 min (Sigma-Aldrich, St. Louis, MO, USA), y posteriormente con solución de Triton X-100 a 0.2% durante 20 minutos (Sigma-Aldrich, St. Louis, MO, USA). Se incubó con el anticuerpo primario toda la noche a 4 oC para MMP-1 (monoclonal de ratón, sc-21731), MMP-2 (monoclonal de ratón, sc-13595) y MMP-9 (monoclonal de ratón, sc-12759). Los controles negativos se obtuvieron mediante la omisión del anticuerpo primario, sustituyéndolo por un estabilizador PBS (Polibutilen succinato).

Terminada la incubación se lavó con TBS (Solución Tris buffer) por tres minutos en tres ocasiones. Posteriormente se incubó Immunodetector Biotinylated (BSB 0007, BioSB Santa Barbara, CA) durante 10 minutos, para después lavar con TBS. Se incubó con Immunodetector HRP label (BSB 0007, BioSB Santa Barbara, CA) por 10 minutos. Se lavó con TBS y enseguida se reveló con diaminobencidina (BSB 0007, BioSB Santa Barbara, CA) durante cinco minutos. Se lavó con agua bidestilada durante tres minutos, contratiñendo con hematoxilina de Harris durante dos minutos. Se lavó con agua corriente para eliminar el excedente para después realizar la deshidratación y aclarado en inmersiones de alcohol y xilol, montando el cubreobjetos con resina hidrofóbica.

Para el análisis de cada molécula, se obtuvieron tres fotomicrografías de campos a 400 aumentos utilizando el microscopio Leica DM750, la cámara ICC50 HD y el software LAS EZ 3.0 (Leica Microsystems, Suiza). El análisis de la inmunosupresión se realizó de manera semicuantitativa (Tabla 1); considerando la intensidad como: nula, leve, moderada e intensa y la proporción de células positivas a través de la fórmula:

Proporción = (número de células positivas marcadas/300) × 100

Según el resultado del análisis conjunto de los tres campos ópticos, la proporción se categorizó como: 0) ausente; 1) 1 a 10%; 2) 11 a 50%; y 3) superior a 50%.13



RESULTADOS



CARACTERíSTICAS CLíNICAS-DEMOGRáFICAS

De los cinco casos analizados, cuatro pacientes fueron de género masculino y uno femenino, la edad promedio fue de 40.6 ± 14.9 años. Todas las muestras fueron obtenidas de la región posterior de mandíbula.

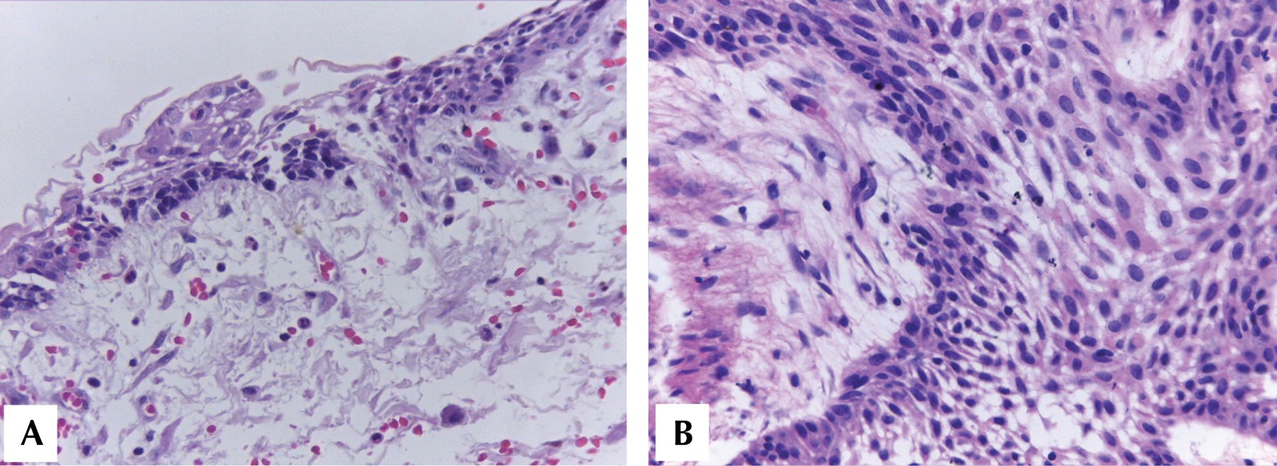
En el análisis histológico observamos proliferación de células epiteliales de origen ameloblástico con un patrón folicular (n = 2) y plexiforme (n = 3) en los casos analizados. Al análisis microscópico de las muestras observamos islotes epiteliales formados por células cilíndricas en un patrón de empalizada que muestran una polarización inversa del núcleo, al interior de los nichos se encuentran células parecidas a las de retículo estrellado, con forma triangular y dispuestas generalmente de manera laxa, ocasionalmente se observaron microquistes en el interior del parénquima de la lesión, también se observó presencia dispersa de vasos sanguíneos en el estroma (Figura 1).

En las muestras control se observó un epitelio de células cúbicas con un patrón estratificado rodeado por un tejido conectivo laxo compuesto en su mayoría por fibroblastos y fibras de colágeno dispersas en la matriz con presencia de eritrocitos y células polimorfonucleares en el tejido cercanos a vasos sanguíneos.



ANáLISIS INMUNOHISTOQUíMICO

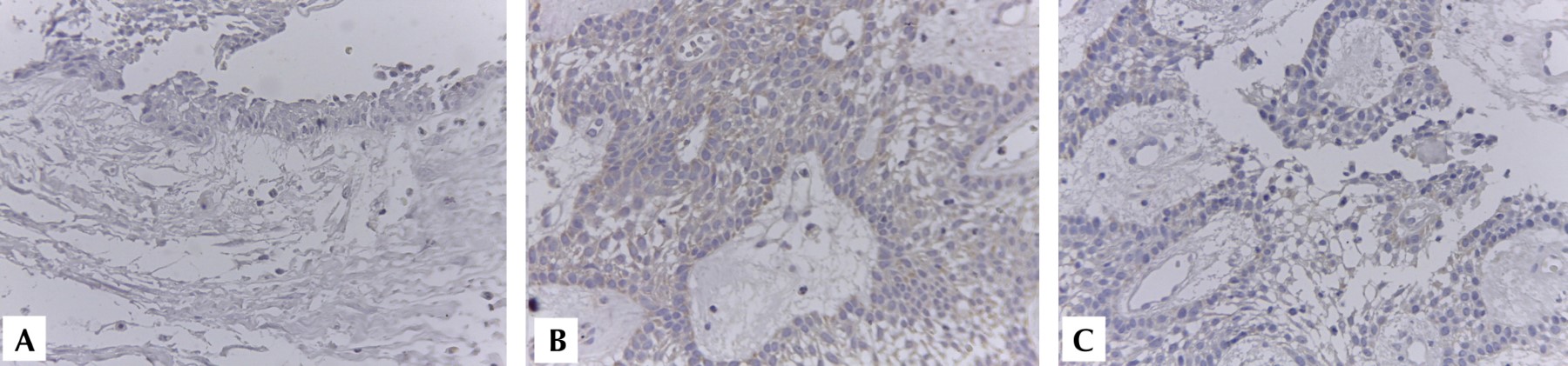
En el análisis inmunohistoquímico se observó expresión positiva sólo en uno de los cinco especímenes de AMC, para las MMP-2 y MMP-9. La intensidad observada para MMP-2 fue moderada con proporción de 100% de las células ameloblásticas y del retículo estrellado; el estroma fue negativo. Para MMP-9 observamos un patrón similar al anterior. En el grupo control no observamos presencia positiva de ninguna de las MMP analizadas (Figura 2).



DISCUSIóN

Los tumores odontogénicos, y en particular el ameloblastoma son neoplasias que pueden afectar la calidad de vida de los pacientes, si éstos no se detectan a tiempo.

La distribución epidemiológica del ameloblastoma varía a través del mundo. En relación con el género, nuestros resultados sugirieron un predominio para el género masculino, no obstante, se ha reportado que no hay predilección por raza o sexo, razón por la cual es necesario establecer los mismos criterios de exploración sin importar el género.1,2

El ameloblastoma convencional es una entidad que puede afectar a pacientes con un rango de edad muy diverso, en la cuarta edición de la clasificación de tumores de cabeza y cuello 2017, señalan un rango de edad de los ocho a 92 años, con una media de 32 años.2 También se ha considerado una prevalencia entre la tercera y séptima décadas de la vida, con rara presencia en niños y adolescentes.3,14

Esta neoplasia se desarrolla preferentemente en la región posterior mandibular, mientras que la región maxilar anterior es el segundo lugar de localización; sin embargo, aproximadamente 80% de los casos se localizan en la mandíbula;2,3 lo cual coincidió con nuestros resultados.

Diversos estudios consideran que el comportamiento localmente agresivo del AMC, no sólo por la capacidad de proliferación del parénquima tumoral, sino también por las enzimas capaces de modificar la MEC, podrían llevar a cabo la remodelación de la matriz ósea, permitiendo la diseminación a través del hueso y los tejidos blandos.15-17 Este es el papel crucial de las MMP en la remodelación y degradación de la matriz extracelular. La producción de MMP se induce en condiciones o estados donde se encuentre presencia de citocinas, factores de crecimiento, hormonas u oncogenes que promuevan la proliferación celular, por lo cual el ameloblastoma puede tener presencia de estas moléculas. En la familia de las metaloproteinasas, la MMP-2 y MMP-9 son consideradas gelatinasas y son capaces de escindir el colágeno IV presente en la membrana basal de los vasos sanguíneos.18,19 La modificación la membrana basal de los vasos sanguíneos es un proceso necesario para la angiogénesis, no obstante, al considerar la presencia tumoral, esto podría significar una potencial vía de diseminación metastásica si la neoplasia alcanza otras características que le permitan migrar. En nuestro análisis inmunohistoquímico únicamente tuvimos inmunoexpresión positiva a MMP-2 y MMP-9 en una sola muestra con patrón plexiforme, lo cual nos sugiere la necesidad de tratar de analizar otras variables tales como el grado de vascularización del tumor o en un escenario negativo la búsqueda de posibles metástasis, para lo cual es necesario realizar más estudios.



CONCLUSIóN

Con base en los resultados obtenidos, podemos concluir que es posible observar inmunoexpresión de MMP-2 y MMP-9 en los ameloblastomas convencionales, no obstante, esta expresión sólo se observó en 20% de la población. La principal limitante de nuestro estudio fue contar con una población pequeña, por lo que se recomienda realizar este tipo de estudios en una población más numerosa, así como el relacionarlo con la presencia de otras moléculas asociadas al crecimiento tumoral.



AGRADECIMIENTOS

Agradecemos las facilidades proporcionadas para la estancia de verano científico de la Subdirección de Cooperación e Internacionalización de la Universidad Autónoma de Ciudad Juárez (UACJ).


REFERENCIAS (EN ESTE ARTÍCULO)

  1. Muller S, Vered M. Odontogenic and maxillofacial bone tumours. In: El-Naggar AK, Chan JKC, Grandis JR, Takata T, Slootweg PJ. WHO classification of head and neck tumours. International Agency for Research on Cancer. 4th ed. IARC; 2017. pp. 215-219.

  2. Waldron CA. Odontogenic cysts and tumors. In. Neville BW, Damm DD, Allen CM, Bouquot JE. Oral and maxillofacial pathology. 2nd ed. London, England: W B Saunders; 2002. pp. 611-618.

  3. Sapp JP. Tumores odontógenos. Patología Oral y Maxilofacial Contemporánea. 2a ed. Elsevier; 2005, pp. 128-132.

  4. Regezi JA, Sciubba JJ, Gómez JP. Tumores odontogénicos. Patología bucal?: correlaciones clinicopatológicas. 3a ed. McGraw-Hill Interamericana; 2000. pp. 327-338.

  5. Mendonca RP, Balbinot KM, Martins BV, da Silva Kataoka MS, Mesquita RA, de Jesus Viana Pinheiro J, et al. Hypoxia and proangiogenic proteins in human ameloblastoma. Sci Rep. 2020; 10 (1): 17567.

  6. Michalczyk K, Cymbaluk-Ploska A. Metalloproteinases in endometrial cancer-are they worth measuring? Int J Mol Sci. 2021; 22 (22): 12472.

  7. Raeeszadeh-Sarmazdeh M, Do LD, Hritz BG. Metalloproteinases and their inhibitors: potential for the development of new therapeutics. Cells. 2020; 9 (5): 1313.

  8. Ameli F, Ghafourina Nassab F, Masir N, Kahtib F. Tumor-derived matrix metalloproteinase-13 (MMP-13) expression in benign and malignant breast lesions. Asian Pac J Cancer Prev. 2021; 22 (8): 2603-2609.

  9. Niland S, Riscanevo AX, Eble JA. Matrix metalloproteinases shape the tumor microenvironment in cancer progression. Int J Mol Sci. 2021; 23 (1): 146.

  10. Zhang B, Cao X, Liu Y, Cao W, Zhang F, Zhang S et al. Tumor-derived matrix metalloproteinase-13 (MMP-13) correlates with poor prognoses of invasive breast cancer. BMC Cancer. 2008; 8 (1): 83.

  11. Masson V, de la Ballina LR, Munaut C, Wielockx B, Jost M, Maillard C et al. Contribution of host MMP-2 and MMP-9 to promote tumor vascularization and invasion of malignant keratinocytes. FASEB J. 2005; 19 (2): 234-236.

  12. Shantha Kumara H, Miyagaki H, Herath SA, Pettke E, Yan X, Cekic V et al. Plasma MMP-2 and MMP-7 levels are elevated first month after surgery and may promote growth of residual metastases. World J Gastrointest Oncol. 2021; 13 (8): 879-892.

  13. Matos LL, Stabenow E, Tavares MR, Ferraz AR, Capelozzi VL, Pinhal MA. Immunohistochemistry quantification by a digital computer-assisted method compared to semiquantitative analysis. Clinics (Sao Paulo). 2006; 61 (5): 417-424.

  14. Farias LC, Gomes CC, Rodrigues MC, de Castro WH, Lacerda JCT, E Ferreira EF et al. Epigenetic regulation of matrix metalloproteinase expression in ameloblastoma. BMC Clin Pathol. 2012; 12 (1): 11.

  15. Neagu D, Escuder-de la Torre O, Vázquez-Mahía I, Carral-Roura N, Rubín-Roger G, Penedo-Vázquez Á et al. Surgical management of ameloblastoma. Review of literature. J Clin Exp Dent. 2019; 11 (1): e70-75.

  16. Zhang J, Gu Z, Jiang L, Zhao J, Tian M, Zhou J et al. Ameloblastoma in children and adolescents. Br J Oral Maxillofac Surg. 2010; 48 (7): 549-554.

  17. Palanisamy JC, Jenzer AC. Ameloblastoma. En: StatPearls. StatPearls Publishing; 2022.

  18. Frieling JS, Li T, Tauro M, Lynch CC. Prostate cancer-derived MMP-3 controls intrinsic cell growth and extrinsic angiogenesis. Neoplasia. 2020; 22 (10): 511-521.

  19. Santos ES, Rodrigues-Fernandes CI, Cabral JC, Fonseca FP, Leme AFP. Epigenetic alterations in ameloblastomas: a literature review. J Clin Exp Dent. 2021; 13 (3): e295-302.



AFILIACIONES

1 Estudiante de licenciatura de Cirujano Dentista, Instituto de Ciencias Biomédicas, Universidad Autónoma de Ciudad Juárez. México.

2 Departamento de Patología Oral y Maxilofacial, Programa de Cirujano Dentista, Instituto de Ciencias Biomédicas, Universidad Autónoma de Ciudad Juárez. México.

3 Departamento de Estomatología. Programa de Cirujano Dentista, Instituto de Ciencias Biomédicas, Universidad Autónoma de Ciudad Juárez. México.

4 Área de Patología Oral y Maxilofacial, Escuela Nacional de Estudios Superiores (ENES) Unidad León, Universidad Nacional Autónoma de México. México.

5 Departamento de Patología y Medicina Oral, División de Postgrado e Investigación, Facultad de Odontología, Universidad Nacional Autónoma de México. México.



Conflicto de intereses: los autores declaran no presentar conflicto de intereses.

Aspectos éticos: de acuerdo con el Reglamento de la Ley General de Salud en Materia de Investigación para la Salud, en el título Segundo, De los Aspectos Éticos de la Investigación en Seres Humanos, artículo 17; esta investigación se clasifica dentro de las investigaciones sin riesgo.

Financiamiento: investigación realizada gracias al programa UNAM-PAPIIT IN226720.



CORRESPONDENCIA

Luis Fernando Jacinto-Alemán. E-mail: jacintoalemanlf@gmail.com




Recibido: 29 de julio de 2022. Aceptado: 26 de mayo de 2023.

Figura 1
Figura 2
Tabla 1

2020     |     www.medigraphic.com

Mi perfil

C?MO CITAR (Vancouver)

Rev ADM. 2023;80

ARTíCULOS SIMILARES

CARGANDO ...