medigraphic.com
ENGLISH

Cardiovascular and Metabolic Science

ISSN 2954-3835 (Digital)
ISSN 2683-2828 (Impreso)
Antes Revista Mexicana de Cardiología

Ver Revista Mexicana de Cardiología


  • Mostrar índice
  • Números disponibles
  • Información
    • Información general        
    • Directorio
  • Publicar
    • Instrucciones para autores        
    • Envío de artículos
  • medigraphic.com
    • Inicio
    • Índice de revistas            
    • Registro / Acceso
  • Mi perfil

2023, Número 2

<< Anterior Siguiente >>

Cardiovasc Metab Sci 2023; 34 (2)


Ventrículo único en adulto de 28 años de edad, historia y actualidad de un corazón no quirúrgico

Herrera-Morales JA, Becerra-Gutiérrez CA, Cazares-Hernández KE, Palomares-Alonso VI
Texto completo Cómo citar este artículo 10.35366/111547

DOI

DOI: 10.35366/111547
URL: https://dx.doi.org/10.35366/111547
Artículos similares

Idioma: Inglés [English version]
Referencias bibliográficas: 12
Paginas: 54-58
Archivo PDF: 223.83 Kb.


PALABRAS CLAVE

ventrículo único, hipertensión arterial pulmonar, defectos cardiacos congénitos, ventrículo único complejo.

RESUMEN

Introducción: el ventrículo único es una patología poco frecuente dentro de las cardiopatías congénitas en el adulto. Este es un grupo de anomalías graves de la estructura del corazón tras un mal desarrollo, que da como resultado una sola cámara ventricular. En esta población las medidas farmacológicas son poco eficaces para evitar la progresión de una falla cardiaca terminal; sin embargo, existen procedimientos quirúrgicos que ayudan a alargar la supervivencia y la calidad de vida. Objetivo: reportar el caso de una cardiopatía congénita en el adulto de baja prevalencia. Caso clínico: se presenta el caso de un hombre de 28 años con antecedente de cardiopatía congénita cianógena de tipo corazón univentricular de morfología indeterminada con doble vía de salida diagnosticada desde su primer año de vida, que ha llevado solamente manejo médico. Conclusiones: desafortunadamente, al ser una cardiopatía congénita poco frecuente en los adultos, existen pocas referencias sobre su manejo médico. Si no son sometidos a intervención quirúrgica en edades tempranas, lo que ofrece mayor calidad de vida y supervivencia, algunos pacientes fallecen durante la lactancia debido a insuficiencia cardiaca.


REFERENCIAS (EN ESTE ARTÍCULO)

  1. Garcia AM, Beatty JT, Nakano SJ. Heart failure in single right ventricle congenital heart disease: physiological and molecular considerations. Am J Physiol Heart Circ Physiol. 2020; 318 (4): H947-H965.

  2. Nederend M, Egorova AD, Vliegen HW, Roest AAW, Ruijter BN, Korteweg T et al. Case report of the broad spectrum of late complications in an adult patient with univentricular physiology palliated by the Fontan circulation. Eur Heart J Case Rep. 2022; 6 (2): ytac067.

  3. Frescura C, Thiene G. The new concept of univentricular heart. Front Pediatr. 2014; 2: 62.

  4. Buber J, Schwaegler RG, Mazor Dray E. Echocardiographic evaluation of univentricular physiology and cavopulmonary shunts. Echocardiography. 2019; 36 (7): 1381-1390.

  5. Osa A, Almenar L, Malo P, Palencia M, García A, Caffarena JM et al. Trasplante cardíaco en el ventrículo único. Rev Esp Cardiol. 1998; 51: 488-493.

  6. Hadjicosta E, Franklin R, Seale A, Stumper O, Tsang V, Anderson DR, Pagel C, Crowe S, Pujol FE, Ridout D, Brown KL. Cohort study of intervened functionally univentricular heart in England and Wales (2000-2018). Heart. 2022; 108: 1046-1054.

  7. Khoshnood B, Lelong N, Houyel L, Thieulin AC, Jouannic JM, Magnier S et al. Prevalence, timing of diagnosis and mortality of newborns with congenital heart defects: a population-based study. Heart. 2012; 98 (22): 1667-1673.

  8. Reller MD, Strickland MJ, Riehle-Colarusso T, Mahle WT, Correa A. Prevalence of congenital heart defects in metropolitan Atlanta, 1998-2005. J Pediatr. 2008; 153 (6): 807-813.

  9. Diab SG, Dohlen G, Seem E, Moller T. Fontan circulation with univentricular heart disease. Tidsskrift Nor Laegeforen. 2019; 139 (5).

  10. Hager A, Kaemmerer H, Eicken A, Fratz S, Hess J. Long-term survival of patients with univentricular heart not treated surgically. J Thorac Cardiovasc Surg. 2002; 123: 1214-1217.

  11. Galiè N, Humbert M, Vachiery J-L, Gibbs S, Lang I, Torbicki A et al. Guía ESC/ERS 2015 sobre diagnóstico y tratamiento de la hipertensión pulmonar. Rev Esp Cardiol. 2016; 69 (2): 177.e1-e62.

  12. Ruopp NF, Cockrill BA. Diagnosis and treatment of pulmonary arterial hypertension: a review. JAMA. 2022; 327 (14): 1379-1391.




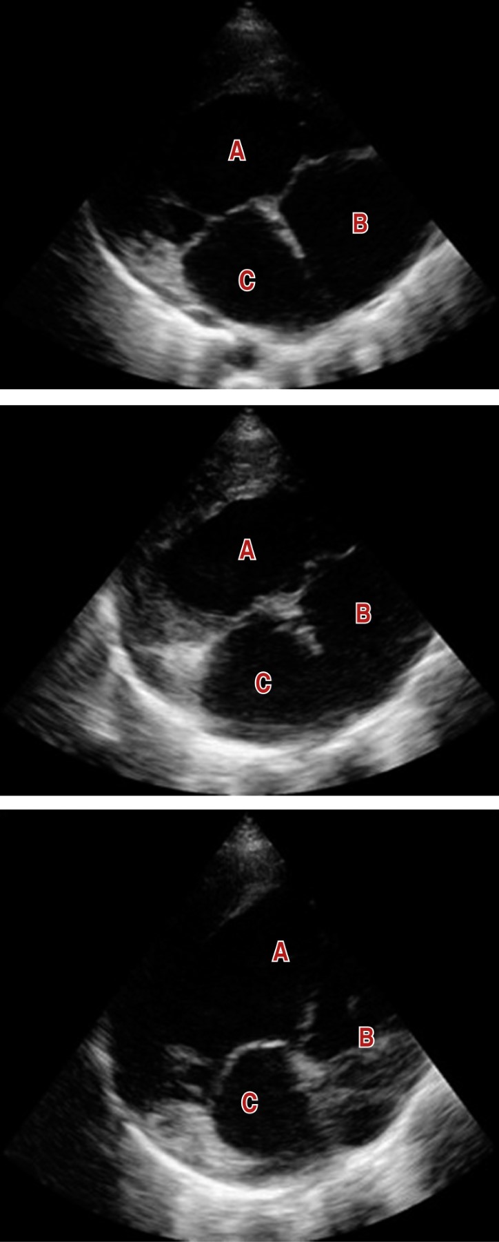
Figura 1
Figura 2
Figura 3
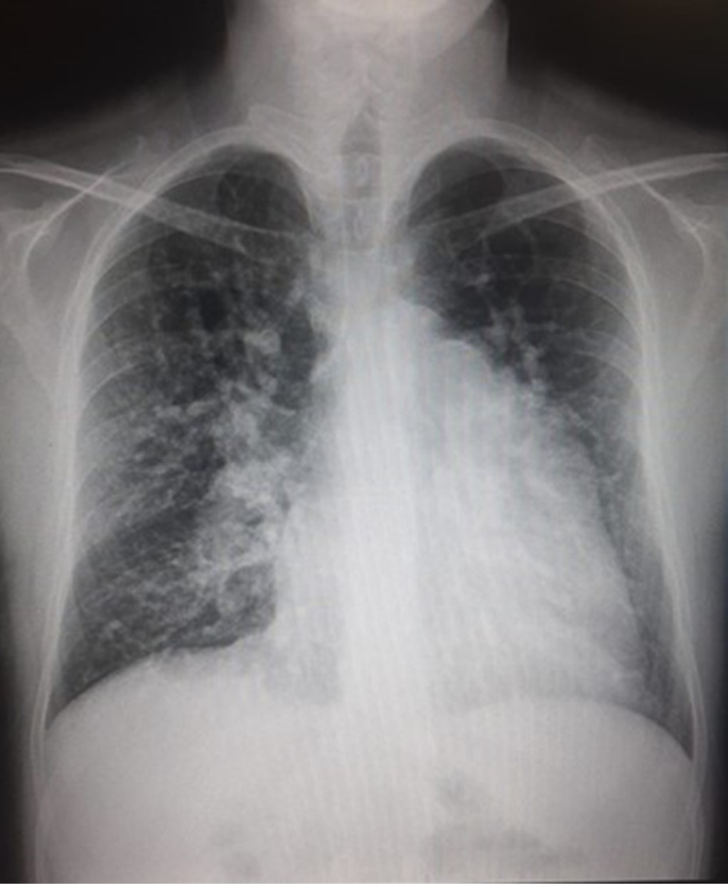
Figura 4

2020     |     www.medigraphic.com

Mi perfil

C?MO CITAR (Vancouver)

Cardiovasc Metab Sci . 2023;34

ARTíCULOS SIMILARES

CARGANDO ...