medigraphic.com
ENGLISH

Cardiovascular and Metabolic Science

ISSN 2954-3835 (Digital)
ISSN 2683-2828 (Impreso)
Antes Revista Mexicana de Cardiología

Ver Revista Mexicana de Cardiología


  • Mostrar índice
  • Números disponibles
  • Información
    • Información general        
    • Directorio
  • Publicar
    • Instrucciones para autores        
    • Envío de artículos
  • medigraphic.com
    • Inicio
    • Índice de revistas            
    • Registro / Acceso
  • Mi perfil

2023, Número 2

<< Anterior Siguiente >>

Cardiovasc Metab Sci 2023; 34 (2)


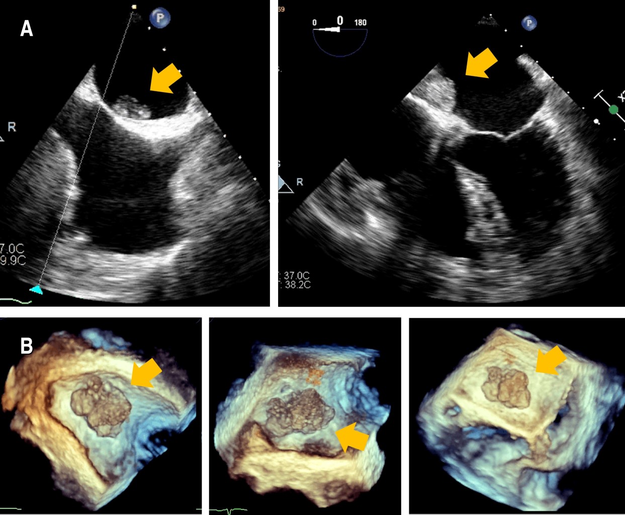
Mixoma auricular izquierdo: importancia de la imagen cardiovascular en el seguimiento a largo plazo de las sobrevivientes de cáncer de mama

Alanís-Naranjo JM, Galeana-Abarca C, Rentería-Galicia MA, Arroyo-Martínez EA, Loredo-Alanís MA, Rodríguez-López T
Texto completo Cómo citar este artículo 10.35366/111549

DOI

DOI: 10.35366/111549
URL: https://dx.doi.org/10.35366/111549
Artículos similares

Idioma: Inglés [English version]
Referencias bibliográficas: 18
Paginas: 66-71
Archivo PDF: 318.81 Kb.


PALABRAS CLAVE

mixoma auricular, cáncer de mama, imagen cardiovascular, segundo tumor primario, seguimiento oncológico, cardio-oncología.

RESUMEN

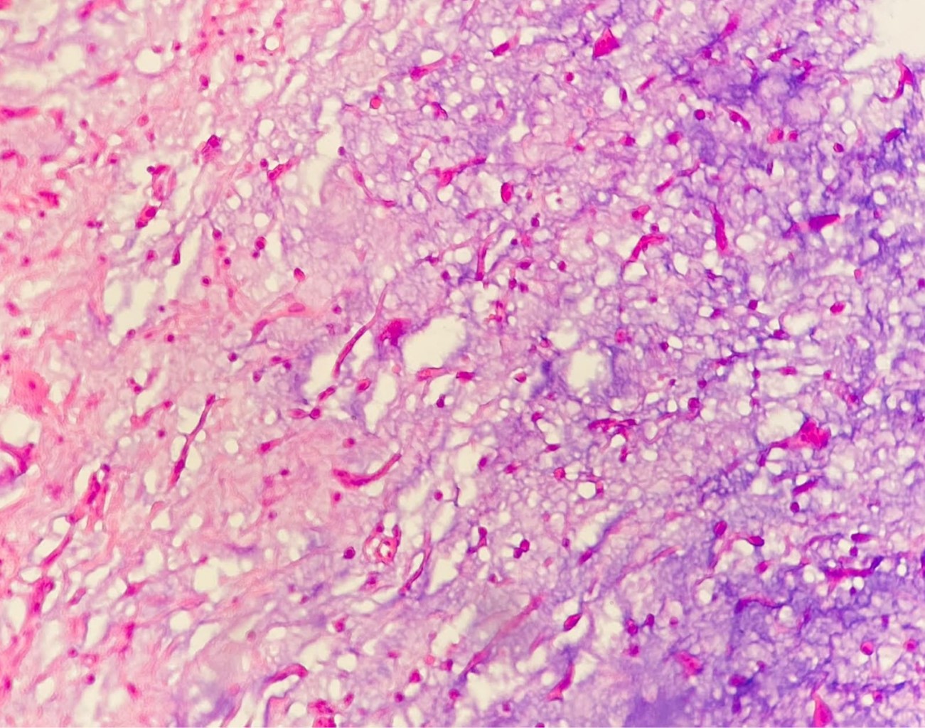
La incidencia de pacientes con cáncer y enfermedades cardiacas que requieren cirugía aumenta a medida que la población envejece. La detección temprana del cáncer y el uso de nuevas terapias aumentan las tasas de supervivencia. Los tumores cardiacos, a pesar de su rareza, son una parte integral de la cardio-oncología, requiriendo diagnóstico y tratamiento. En los últimos años, la incidencia de tumores cardiacos ha aumentado debido a los avances en los estudios de imagen, que se han vuelto más accesibles. La asociación entre el cáncer de mama y el mixoma podría considerarse una mera coincidencia, pero hay pocos casos documentados. Presentamos el caso de una paciente con antecedente de cáncer de mama que, durante el seguimiento, presentó una masa cardiaca en la aurícula izquierda en estudios de imagen cardiovascular y, de inmediato, fue intervenida quirúrgicamente. Este caso ilustra la importancia de las Clínicas de Cardio-Oncología durante el seguimiento de las sobrevivientes de cáncer de mama.


REFERENCIAS (EN ESTE ARTÍCULO)

  1. Narin C, Ege E, Onoglu R, Yazici M, Sarigül A. Surgery of left atrial myxoma as a second primary tumor in a patient previously treated for breast cancer. Turk Gogus Kalp Dama. 2012; 20 (1): 133-135.

  2. Tyebally S, Chen D, Bhattacharyya S, Mughrabi A, Hussain Z, Manisty C et al. Cardiac tumors: JACC cardiooncology state-of-the-art review. JACC CardioOncol. 2020; 2 (2): 293-311.

  3. Maleszewski JJ, Bois MC, Bois JP, Young PM, Stulak JM, Klarich KW. Neoplasia and the heart: pathological review of effects with clinical and radiological correlation. J Am Coll Cardiol. 2018; 72 (2): 202-227.

  4. Mahavar RK, Arora D, Singh A, Mishra M. Recurrent cardiac myxoma: a case report. Ann Card Anaesth. 2021; 24 (4): 490-492.

  5. Pinede L, Duhaut P, Loire R. Clinical presentation of left atrial cardiac myxoma. A series of 112 consecutive cases. Medicine (Baltimore). 2001; 80 (3): 159-172.

  6. Alizadehasl A, Rahbar Z. Relationship between breast cancer and cardiac myxoma. Int J Hematol Oncol Stem Cell Res. 2021; 15 (2): 75-76.

  7. Lyon AR, López-Fernández T, Couch LS, Asteggiano R, Aznar MC, Bergler-Klein J et al. 2022 ESC Guidelines on cardio-oncology developed in collaboration with the European Hematology Association (EHA), the European Society for Therapeutic Radiology and Oncology (ESTRO) and the International Cardio-Oncology Society (IC-OS). Eur Heart J. 2022; 43 (41): 4229-4361.

  8. Cardinali Ré BA, Olgiati FJ, Ortiz LM, Mancini LF, Echazarreta D, Portis M. Metástasis cardíaca sintomática intracavitaria 12 años después del diagnóstico de cáncer de mama. Rev Argent Cardiol. 2018; 86 (2): 133-134.

  9. Mousavi N, Cheezum MK, Aghayev A, Padera R, Vita T, Steigner M et al. Assessment of cardiac masses by cardiac magnetic resonance imaging: histological correlation and clinical outcomes. J Am Heart Assoc. 2019; 8 (1): e007829.

  10. Suman VJ, Tazelaar HD, Bailey K, Melton J, Longaker MT, Stern R et al. Are patients with neoplasia at an increased risk for cardiac myxomas? Hum Pathol. 1993; 24 (9): 1008-1011.

  11. Singh P, Bajaj N, Agrawal G, Sharma A. Atrial myxoma-related to chronic immunosuppression: a case report. J Saudi Heart Assoc. 2012; 24 (4): 265-267.

  12. Hill G, Castellino S, Williams D. Cardiac myxoma after treatment for childhood neuroblastoma. Pediatr Cardiol. 2009; 30 (3): 340-342.

  13. Dadkhah R, Decoodt P. Cardiac myxoma: related to immunosuppression? A case report. Acta Cardiol. 2009; 64 (4): 571-573.

  14. Baronciani D, Angelucci E, Polchi P, Martinelli F, Mariotti E, Marzocchi A et al. An unusual marrow transplant complication: cardiac myxoma. Bone Marrow Transplant. 1998; 21 (8): 825-827.

  15. Reulen RC, Winter DL, Frobisher C, Lancashire ER, Stiller CA, Jenney ME et al. Long-term cause-specific mortality among survivors of childhood cancer. JAMA. 2010; 304 (2): 172-179.

  16. Kamilaris CDC, Faucz FR, Voutetakis A, Stratakis CA. Carney complex. Exp Clin Endocrinol Diabetes. 2019; 127 (2-03): 156-164.

  17. Liu F, Kong L, Chen L, Xiang W, Shen D. Concurrence of left atrial myxoma and breast cancer: underestimated value of echocardiography. Authorea. April 19, 2022. doi: 10.22541/au.165035357.70696853/v1.

  18. Paolisso P, Foà A, Bergamaschi L, Graziosi M, Rinaldi A, Magnani I et al. Echocardiographic markers in the diagnosis of cardiac masses. J Am Soc Echocardiogr. 2023; 36 (5): 464-473.e2.




Figura 1
Figura 2
Figura 3
Figura 4
Figura 5

2020     |     www.medigraphic.com

Mi perfil

C?MO CITAR (Vancouver)

Cardiovasc Metab Sci . 2023;34

ARTíCULOS SIMILARES

CARGANDO ...