medigraphic.com
ENGLISH

Orthotips AMOT

ISSN 2007-8560 (Impreso)
Órgano Oficial de Difusión Científica de la Federación Mexicana de Colegios de Ortopedia y Traumatología, A.C. (FEMECOT)
  • Mostrar índice
  • Números disponibles
  • Información
    • Información general        
    • Directorio
  • Publicar
    • Instrucciones para autores        
  • medigraphic.com
    • Inicio
    • Índice de revistas            
    • Registro / Acceso
  • Mi perfil

2023, Número 3

<< Anterior Siguiente >>

Ortho-tips 2023; 19 (3)


Tratamiento quirúrgico del trauma subaxial cervical. Reporte de tres casos clínicos y revisión de la literatura

Ramírez Hernández, Fabián1; Robles Ortiz, Ricardo Erik2; Rodríguez Messina, Alejandro Fabián2; Hernández Cora, Alberto1; Rascón Sosa, Olivia María1
Texto completo Cómo citar este artículo 10.35366/111667

DOI

DOI: 10.35366/111667
URL: https://dx.doi.org/10.35366/111667
Artículos similares

Idioma: Español
Referencias bibliográficas: 20
Paginas: 166-174
Archivo PDF: 346.08 Kb.


PALABRAS CLAVE

vértebras cervicales, fractura, esqueleto subaxial, estabilización cervical.

RESUMEN

Las lesiones de la columna vertebral subaxial cervical corresponden a la región entre las vértebras C3 y C7; ocurren en 3.5% de los pacientes con trauma cerrado que afecta cuello, la región habitualmente afectada es C5-C6 y C6-C7, además es más frecuente que el trauma C0-C2. Se reportan tres casos de pacientes con lesiones de la columna cervical subaxial tratados quirúrgicamente, desde su diagnóstico hasta su postoperatorio inmediato, así como la revisión de las clasificaciones e indicaciones quirúrgicas. Caso 1: mujer de 43 años con diagnóstico luxación C5-C6 tipo C; caso 2: mujer de 66 años con diagnóstico de fractura luxación C6-C7 tipo C; y caso 3: hombre de 26 años con diagnóstico de fractura C5-C6 tipo C. Se concluye que los pacientes lesionados de la columna subaxial cervical deben tener un protocolo de estudio tanto clínico como de imagen, una toma de decisiones basada en evidencia en relación con la indicación de tratamiento quirúrgico, el cual debe ser dentro de las primeras 24 horas a partir de la lesión.



INTRODUCCIóN

El Hospital Regional Puebla del Instituto de Seguridad y Servicios Sociales de los Trabajadores del Estado (ISSSTE) cuenta con un módulo de cirugía de columna vertebral del servicio de traumatología y ortopedia, se atiende a pacientes politraumatizados, provenientes de la región sureste del país como: Puebla, Oaxaca, Veracruz, Guerrero y Tlaxcala; dichos pacientes presentan lesiones cervicales subaxiales y, al contar con esta ventaja, estamos en la posibilidad de realizar trabajos de investigación relacionados a la patología cervical en cuanto al diagnóstico, a la toma de decisiones relacionadas al tratamiento y evolución clínica de nuestros pacientes. Al organizar dicha información nos es posible poder presentar los casos clínicos a la comunidad interesada en las lesiones cervicales.

Las lesiones de la columna vertebral subaxial corresponden a la región delimitada entre las vértebras C3 a C7 e incluyen tanto a la anatomía ósea como a la ligamentaria, lo que resulta en diferentes patrones de fractura con diferentes niveles de déficit neurológico. Debido a que la estructura y función de los segmentos C1-C1 varían considerablemente de la región C2-C7, en la práctica clínica se manejan por separado para su abordaje.1,2

Las lesiones de la columna cervical subaxial ocurren en 2.4-3.7% de los pacientes con trauma cerrado y el lugar más común que resulta afectado es de C5 a C7 en aproximadamente 50% de los casos, además es más frecuente que el trauma occipital-C2 en una razón de proporción 2:3. La presentación de mayor incidencia es la luxofractura con afección más común del segmento C5-C6, el cual está sujeto a fijación abierta en más casos en comparación con el segmento C7-T1. Cabe destacar que es menos habitual encontrar fracturas mayores a tres niveles y el patrón de fractura está altamente ligado al mecanismo de lesión. Es de considerar que estas lesiones están acompañadas de otras condiciones médicas como el traumatismo craneoencefálico o fracturas asociadas.3-7

Los accidentes de tráfico, las caídas, crímenes violentos y lesiones deportivas son reportados dentro de los principales antecedentes de los pacientes con lesiones de la columna cervical.8,9

La región cervical es altamente propensa a las lesiones debido a su rango de movimiento; a pesar de que la descompresión y estabilización en las lesiones de la columna subaxial es el tratamiento estándar, no se ha podido establecer un protocolo estándar universalmente aceptado para la toma de decisiones en estos casos e históricamente está basado en prácticas institucionales, regionales e inclusive preferencias por el cirujano.8,10

Actualmente el diagnóstico inicial de las lesiones de columna cervical consiste en considerar los signos y síntomas asociados en el interrogatorio y durante la exploración neurológica con apoyo de la escala de la Asociación Americana de Lesiones de la Columna (ASIA), junto con estudios de imagen; el uso de radiografías simples no descarta la patología cervical y la tomografía axial computarizada es el referente para el estudio de estas lesiones y para complementar posteriormente a la estabilización del paciente, con una resonancia magnética nuclear, principalmente para identificar alteraciones del complejo ligamentario posterior y de disco intervertebral. Descartar lesiones de la columna cervical es crucial para prevenir lesiones incapacitantes que puedan disminuir la calidad de vida del paciente.3,7,11-14

Gracias a los avances en los primeros sistemas estandarizados de clasificaciones de lesiones cervicales y su evolución, como el descrito por Holdswoth, Allen y Harris, han evolucionado a otras clasificaciones como la de la Asociación de Osteosíntesis (AO), y es posible categorizar este tipo de lesiones.1,3

La inestabilidad es una indicación primaria quirúrgica, entendiéndola como la capacidad de la columna de resistir desplazamientos de estructuras vertebrales al estar bajo vectores de fuerza fisiológicos. La cirugía está indicada en presencia de déficit neurológico progresivo y compromiso del conducto medular, también puede estar indicada en déficit neurológico leve, pero con compromiso severo del conducto medular; esta toma de decisión quirúrgica puede estar apoyada en sistemas de clasificaciones como la denominada "Sistema de clasificación de la lesión de la columna cervical subaxial" conocida por sus siglas SLICS.10,15-19

Una vez definido el tratamiento quirúrgico, se puede elegir la estabilización anterior o posterior para tratar lesiones de la columna subaxial. La elección del abordaje anterior versus abordaje posterior debe basarse en el patrón de lesión, aunque actualmente no hay un consenso definido si existen condiciones basadas en el patrón de lesión y biomecánica de la columna cervical para optar por cierto tipo de abordaje o ambos; pero el objetivo final siempre debe estar enfocado en una reducción anatómica, descompresión medular, evitar inestabilidad preservando la movilidad articular y una rehabilitación temprana del paciente.10,15-18

Otro aspecto importante a destacar es el tiempo de intervención quirúrgica, el cual es todavía controversial, pero con tendencia a preferir las intervenciones entre las ocho a 24 horas posterior a la lesión cervical, a fin de limitar las posibles secuelas, así como brindar una pronta recuperación neurológica del paciente.2,20

El objetivo general del artículo es dar a conocer los procedimientos que se realizan dentro del instituto en cuanto a la toma de decisiones relacionadas al tratamiento en pacientes con lesión subaxial cervical y como objetivo específico ofrecer información al cirujano de columna vertebral para las clasificaciones actuales, indicación quirúrgica junto con los tipos de abordaje, manejo pre y postoperatorio, así como el seguimiento clínico asociado al trauma subaxial cervical. En relación con el objetivo particular, se centra en proponer líneas de investigación a partir de este artículo al presentar el reporte de tres casos de pacientes con lesiones de la columna cervical subaxial tratados quirúrgicamente, desde su diagnóstico hasta el seguimiento en la consulta externa al menos los primeros ocho meses postquirúrgicos.



PRESENTACIóN DE LOS CASOS



CASO 1

Se trata de paciente femenino de 43 años de edad, originaria y residente de Tlaxcala, Tlaxcala, sin enfermedades cronicodegenerativas asociadas, que inicia su padecimiento al presentar caída de cama con contusión a nivel craneal con hiperflexión de columna cervical, lo que condiciona hipoestesias en las extremidades torácicas; es trasladada en ambulancia al área de urgencias donde es valorada por el módulo de cirugía de columna vertebral. A su llegada, se encuentra paciente con escala de coma de Glasgow 15/15, extremidades torácicas con fuerza 4/5 bilateral de C5 a T1, hipoestesias a nivel de C5-C6 bilaterales 1/2, reflejos osteotendinosos (ROTS) normales, extremidades pélvicas con fuerza muscular 5/5 de L2-S1, sensibilidad 2/2 de L1-S1 bilateral, ROTS normales.

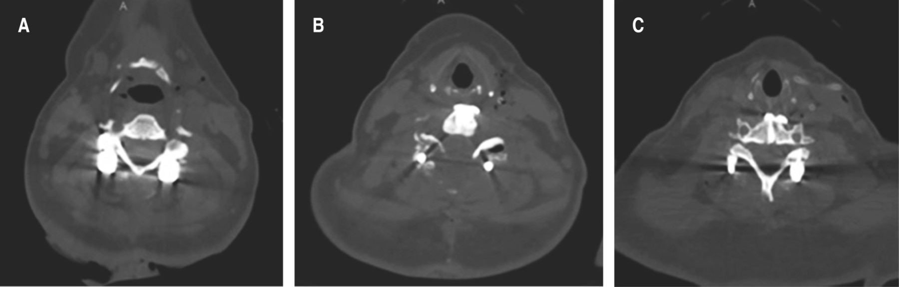
Posterior al interrogatorio y exploración física, se procede a solicitar estudios de gabinete con radiografías simples de columna cervical en proyecciones anteroposterior y lateral, así como tomografía axial computarizada, donde se observa desplazamiento anterior del cuerpo vertebral C5 sobre C6 e incongruencia articular facetaria mismos niveles. Se indica inmovilización con collarín rígido a permanencia en espera de realizar el complemento del estudio de imagen con una resonancia magnética nuclear simple de columna vertebral cervical corte sagital y axial T2 con presencia de compresión medular y lesión de complejo ligamentario posterior C5-C6. Se integra diagnóstico de luxación AO C5-C6:C (F4;N2;M1) ASIA D SLICS 5 y se procede a programar evento quirúrgico (Figura 1).

A los siete días después de su lesión, en primer orden se realiza el abordaje posterior con estabilización a masas laterales C4-C5 C5-C6, laminectomía C5-C6 y artrodesis posterolateral; se procede a efectuar un abordaje anterior con discectomía C5-C6 más fusión con caja intersomática tipo PEEK C5-C6 y placa anterior cervical, con una duración quirúrgica de tres horas 30 minutos para ambos abordajes y un sangrado reportado de 350 mililitros (Figura 2).

La paciente es egresada en su segundo día postquirúrgico neurológicamente igual; se cita a la consulta externa de ortopedia para valoración del cierre de herida quirúrgica y retiro de material de sutura y, posteriormente, al mes, con recuperación de fuerza muscular por lo que la paciente es enviada a rehabilitación. Con un seguimiento de ocho meses, la paciente presenta mejoría funcional y sensitiva con capacidad de marcha independiente y de realizar actividades de su vida diaria.



CASO 2

Paciente femenino de 66 años de edad, con diabetes mellitus tipo II, obesa e hipertensa de larga evolución; trasladada al sistema de urgencias de primer contacto tras sufrir accidente automovilístico tipo volcadura, ocupando el asiento trasero del copiloto sin cinturón de seguridad con pérdida de conocimiento referida por cinco minutos. Al momento del ingreso, durante la revisión primaria, se encuentra una paciente con escala de coma de Glasgow 12/15, sin compromiso de vía aérea, uso de collarín blando el cual es sustituido por collarín rígido, dolor en línea media cervical con sensación de escalonamiento, sin equimosis, extremidades superiores integras, con fuerza muscular C5-T1 3/5 bilateral, sensibilidad derecha C5-T1 1/2, izquierda C5-T1 2/2, ROTS hiporreflécticos, Hoffman negativo, reflejo pectoral de Bekhterev negativo, sin datos de inestabilidad clínica en pelvis, no se aprecian datos de bajo gasto cardiaco, extremidad inferior izquierda con fuerza muscular 3/5 de L2-S1, sensibilidad y ROTS presentes, extremidad inferior derecha con dolor, aumento de volumen ++ y crepito a la palpación en tercio proximal de pierna con pulsos distales presentes, tono de esfínter anal disminuido. Se realiza protocolo ATLS, se procede a solicitar valoración de neurocirugía con traumatismo craneoencefálico Marshall I y fractura luxación AO C6-C7:C (F4;N3;M1) evidenciada mediante tomografía axial computarizada clínicamente ASIA B (Figura 3); en revisión secundaria y con uso de estudios de imagen extendidos se reporta una fractura de meseta tibial derecha Schatzker VI AO 41C1.2, fractura diafisaria de peroné derecho AO 4F2b(a) y fracturas de arcos costales izquierdos 6, 7 y 8.

Se solicita resonancia magnética simple de columna vertebral cervical corte sagital y axial T2 con compresión medular a expensas de deslizamiento anterior al menos de 50% de cuerpo somático C6 sobre C7 con lesión de disco intervertebral C6-C7 y de complejo ligamentario posterior desde C6 hasta T1 SLICS 6 (Figura 3).

Ingresa para tratamiento quirúrgico con doble abordaje cervical en un solo tiempo quirúrgico. Se realiza un abordaje cervical posterior con estabilización a masas laterales C5-C7 e instrumentación transpedicular T2, laminectomía C6-C7, artrodesis posterolateral y, posteriormente, con la paciente en decúbito supino, se efectúa un abordaje cervical anterior con discectomía C6-C7 más fusión con caja intersomática PEEK C6-C7 y colocación de placa cervical anterior. La duración de la cirugía fue de cinco horas 45 minutos y un sangrado reportado de 600 mililitros (Figura 4).

La paciente continúa en piso en espera de resolución quirúrgica de las demás lesiones. Sin embargo, comienza a presentar un deterioro pulmonar progresivo por lo que se indica estudio tomográfico en el cual se encuentran datos de derrame pleuropulmonar asociado a una neumonía nosocomial, se ajusta tratamiento antibiótico, pero con poca mejoría y tras una larga estancia hospitalaria finalmente fallece por complicaciones asociadas a la neumonía nosocomial.



CASO 3

Se trata de paciente masculino de 26 años de edad que presenta accidente automovilístico por choque frontal, ocupa el asiento de copiloto, saliendo expulsado a través del parabrisas al no usar cinturón de seguridad, con pérdida del estado de alerta; es atendido de manera inicial por personal paramédico y es trasladado a medio particular en donde se realiza protocolo ATLS y valoración por cirujano de columna vertebral. A la exploración física con escala de coma de Glasgow 14/15, dermoabrasiones múltiples en cara, antebrazo y pierna derecha, dolor cervical en línea media, extremidades torácicas con fuerza muscular 3/5 de C5-T1, sensibilidad bilateral 1/2, ROTS +/+++, control de esfínteres, extremidades pélvicas fuerza muscular 1/5 de L2-S1, sensibilidad derecha 1/2 con cambios termoalgésicos en extremidad torácica izquierda, ROTS +/+++. Con base en los estudios de imagen iniciales se establece diagnóstico de fractura en lágrima AO C5-C6:C (N1;M2) ASIA C con contusión medular y lesión de complejo ligamentario posterior SLICS 6 (Figura 5).

Ingresa para tratamiento quirúrgico de urgencia en medio particular el 02/11/2021, dentro de las primeras 24 horas posteriores a la lesión, con doble abordaje en un solo tiempo quirúrgico y se inicia con un abordaje cervical posterior para la estabilización a masas laterales C3 a C6 (masa lateral C6 izquierda, al momento de la cirugía se observa fracturada y no realiza estabilización en dicha región) con laminectomía C5-C6 y artrodesis posterolateral. Se procede a colocar al paciente en de cubito supino para continuar con un abordaje cervical anterior, se realiza corpectomía C5, colocación de malla de titanio en C5 y placa cervical anterior C4-C6, con tiempo quirúrgico total de tres horas 30 minutos y un sangrado de 300 mililitros (Figura 6).

El paciente es egresado al no presentar complicaciones postquirúrgicas inmediatas tras dos días posteriores a su cirugía. En relación con la recuperación neurológica, se logró a las ocho semanas de la cirugía. En seguimiento a los ocho meses, el paciente es independiente, sin aparentes alteraciones de la marcha y con fuerza muscular en extremidades torácicas 4/5 izquierda extensores y flexores de muñeca, sensibilidad y ROTS normales.



DISCUSIóN

Nuestro centro hospitalario tiene la fortaleza de contar con un módulo de columna especializado en el manejo quirúrgico de pacientes con lesiones del esqueleto axial. Es importante entender que, al ser la institución de carácter público, estamos limitados en cuanto a los recursos e implantes utilizados en las cirugías, así como en los estudios de imagen a los que es posible tener acceso; sin embargo, nos fue posible recabar la información e imágenes necesarias para la presentación de los casos y poder ofrecer una discusión de los casos clínicos, así como su manejo dentro de nuestra noble institución.

La incidencia anual de lesión medular aguda es reportada entre 15-40 por millón de habitantes, más frecuente dentro del rango de edad 15-35 años de edad y con una proporción 5:1 de hombres con respecto a mujeres.8

Retomando lo planteado por Moeri y colaboradores y Wang y asociados, aproximadamente 35% de los traumas cerrados de columna vertebral ocurren en la región cervical, por lo que es necesario instaurar algoritmos para el diagnóstico y manejo de estos pacientes que incluyen inicialmente un manejo apegado al soporte vital en trauma ATLS, estudios de imagen bien indicados con base en criterios Nexus (déficit neurológico, rigidez en línea media cervical, alteración del estado de consciencia, intoxicación o lesiones distractoras) o la regla canadiense de la columna (edad, mecanismo de lesión, déficit neurológico, alteraciones en el rango de movimiento del cuello), así como el uso de la escala ASIA (American Spinal Injury Association score) para categorizar los grados de lesión medular (alteraciones motoras y sensitivas) del paciente lesionado.3,8,11,14,15

La disponibilidad actual de estudios de imagen como la tomografía axial computarizada y la resonancia magnética nuclear ha mejorado el diagnóstico oportuno de las lesiones de la columna cervical y ha permitido a los cirujanos de columna un manejo más efectivo de dichas lesiones.3,4

Hitti y colaboradores y Yildizhan y su grupo consideran a las lesiones de la columna cervical como una causa frecuente de trauma raquimedular y pueden ocasionar incapacidad neurológica severa, al igual que en nuestro instituto, por lo que es necesario establecer una estandarización para el manejo de estos pacientes. Los dos sistemas más popularmente usados para la categorización el manejo de lesiones de columna cervical son usados en nuestra institución al igual que Sharif y colaboradores y Cruz y asociados; corresponden al sistema de clasificación de la asociación de osteosíntesis AO spine y el sistema SLICS (sistema de clasificación de lesiones cervicales subaxiales). Estos sistemas proveen una categorización del patrón de lesión, así como una guía para decidir si es posible optar por el tratamiento conservador o quirúrgico.2,8,10,19

Sharif y colaboradores y Cruz y su grupo mencionan el uso de la clasificación de la asociación de osteosíntesis para la columna AO, la cual comprende tres grupos principales: a) fracturas por compresión o estallamiento; b) lesiones por distracción que comprometen el complejo ligamentario posterior; y c) fracturas con componentes rotacionales; se incluye un grupo F para lesiones facetarias, N para déficits neurológicos y M para modificadores.6,10,19

El sistema de puntuación SLICS puede guiar el tipo de tratamiento. Consiste en tres categorías principales: 1) la morfología de la lesión, 2) la integridad del complejo disco-ligamentoso, y 3) el estado neurológico. Estos tres aspectos resultan ser cruciales para la descripción de lesión, tratamiento y pronóstico; en pacientes con puntuación menor a 4 es posible indicar tratamiento conservador, el puntaje intermedio de 4 para decisión del cirujano y mayores con indicación de tratamiento quirúrgico.10,19

Dentro del Hospital Regional ISSSTE, tomada la decisión de intervención quirúrgica, el siguiente paso es valorar el tipo de fijación y abordaje quirúrgico que se considera es mejor para la lesión cervical. Al igual que Sharif y colaboradores, Marsol y asociados y Soto y su grupo, consideramos que el abordaje anterior tiene las ventajas de fácil acceso, menos pérdida de sangre, mínimo trauma quirúrgico y tasas de infección menores; está principalmente indicado cuando involucra lesiones de la región anterior de la columna y sin evidencia de lesión de complejo ligamentario posterior, ya que permiten una descompresión de elementos neurales anteriores como discectomías o corpectomías para una adecuada fusión del segmento.10,17,18

Por otro lado, teniendo en cuenta las sugerencias de Wang y colaboradores y de Soto y asociados, pensamos que el abordaje posterior, basado en técnicas de fijación rígida con estabilización a masas laterales o tornillos pediculares, permite la distracción y tratamiento de lesiones por traslación/rotación, así como luxaciones facetarias, ya que las fuerzas de reducción pueden aplicarse directamente para realinear la columna cervical.10,17

En cuanto al tiempo de intervención, a pesar de que todavía es un tema controversial, Wang y colaboradores y Castrillo y su grupo manifiestan que los pacientes intervenidos dentro de las primeras 24 horas tras la lesión pueden recobrar al menos dos puntos en la escala de ASIA. Sin embargo, estudios como el de Liu y asociados y revisiones sistemáticas como la de Wilson y colaboradores concluyen que, tras seis meses de evolución postquirúrgica, los pacientes intervenidos después de las 72 horas no presentan resultados neurológicos mejores que los pacientes intervenidos antes de las 24 horas. En el Hospital Regional de Puebla consideramos que el paciente debe ser intervenido en las 24 horas próximas al trauma y hemos impulsado propuestas para iniciar un protocolo de lesión medular para el manejo de este tipo de pacientes; pero, por motivos de presupuesto y cuestiones administrativas, no ha sido factible y continuamos operando de acuerdo a las condiciones y recursos de nuestro hospital.3,20



CONCLUSIONES

Las lesiones de la región subaxial cervical representan un reto para el especialista desde su diagnóstico hasta su tratamiento. Posterior al protocolo de soporte vital avanzado en trauma e identificar pacientes con lesión subaxial cervical, la toma de decisión del tipo de tratamiento sugerimos puede ser apoyada en las clasificaciones de la asociación para la osteosíntesis de columna (AO spine) y el sistema de puntuación para la severidad de las lesiones de columna cervical (SLICS). Para decidir el tipo de abordaje, es necesario tomar en cuenta el patrón de lesión y el compromiso del complejo ligamentario posterior; al existir alteraciones puras del disco o columna anterior preferimos el abordaje anterior; para lesiones que comprometen estructuras posteriores o luxaciones facetarias el abordaje por la vía posterior y, en el caso de presentar ambas lesiones, un abordaje combinado. La descompresión temprana puede mejorar la evolución del paciente y se prefiere que sea antes de las 24 horas. De la presentación de los casos y la revisión surgen nuevas ramas de investigación como pueden ser: el uso de tracciones previas a la cirugía, uso de corticosteroides y correlaciones con el déficit neurológico pre y postquirúrgico contra escalas funcionales en el seguimiento de los pacientes. Se concluye que los pacientes lesionados de la columna subaxial cervical deben tener un protocolo de estudio, una toma de decisiones basada en evidencia y su tratamiento quirúrgico debe ser en las primeras 24 horas a partir de la lesión.


REFERENCIAS (EN ESTE ARTÍCULO)

  1. Canseco JA, Schroeder GD, Paziuk TM, Karamian BA, Kandziora F, Vialle EN, et al. The subaxial cervical AO spine injury score. Global Spine J. 2022; 12 (6): 1066-1073.

  2. Hitti FL, Mcshane BJ, Yang AI, Rinehart C, Albayar A, Branche M, et al. Predictors of neurological outcome following subaxial cervical spine trauma. Cureus. 2019; 11 (12): e6402.

  3. Wang TY, Mehta VA, Dalton T, Sankey EW, Rory Goodwin C, Karikari IO, et al. Biomechanics, evaluation, and management of subaxial cervical spine injuries: a comprehensive review of the literature. J Clin Neurosci. 2021; 83: 131-139.

  4. Ibarra JM, María VA, Franco MR, Perdomo EH. Fijación posterior con placas para fracturas cervicales subaxiales. Rev Colomb Ortop Traumatol. 2004; 18 (4): 28-37.

  5. Vargas Mena R, Dufoo Olvera M, García López OF, López Palacios JJ, Aburto Trejo JA, Capiz Ruiz ER. Fracturas múltiples de la columna cervical. Reporte de un caso. Acta Ortop Mex. 2014; 28 (5): 315-318.

  6. Raniga SB, Menon V, Al Muzahmi KS, Butt S. MDCT of acute subaxial cervical spine trauma: a mechanism-based approach. Insights Imaging. 2014; 5 (3): 321-338.

  7. Alvarado Gómez F, Rodríguez Múnera A, Rosales Camargo S, Marroquín Herrera O. Valoración de traumatismo en columna cervical subaxial por el médico de primer contacto. Ortho-tips. 2022; 18 (3): 230-238.

  8. Yildizhan S, Aslan A, Boyaci M, Rakip U, Kilinc K. Management of subaxial cervical spine trauma: clinical results of early surgical decompression. Med-Science. 2021; 10 (1): 207-211.

  9. González Rebatú y González A, Cordero Ramírez JD, Murguía Casas M, Yáñez Mejía LG, Barrón González M. Luxación unifacetaria cervical traumática C5-C6, tratamiento con reducción y placa anterior tipo PCB (Scient'x). Reporte de un caso. Rev Esp Med Quir. 2014; 19: 205-209.

  10. Sharif S, Ali MYJ, Sih IMY, Parthiban J, Alves ÓL. Subaxial cervical spine injuries: WFNS spine committee recommendations. Neurospine. 2020; 17 (4): 737-758.

  11. Moeri M, Rothenfluh DA, Laux CJ, Dominguez DE. Cervical spine clearance after blunt trauma: current state of the art. EFORT Open Rev. 2020; 5 (4): 253-259.

  12. Tamara Montes NG, Casas Martínez G, Fajardo Barranza R, Anaya Vallejo S. Tratamiento de las lesiones cervicales traumáticas inestables. Rev Mex Ortop Traum. 2000; 14 (1): 53-61.

  13. Quiroz J, Laluf A, Sisi T, Coombes N, Manzone P. Inestabilidad de la columna cervical subaxial por falla de la banda de tensión posterior: artrodesis contécnica de Magerl. Informe preliminar de los resultados a corto plazo. Coluna/Columna. 2012; 11 (2): 101-105.

  14. Frank S, Cavallaro R, Sánchez S, Tulli A, Griglio A, Koll F. Evaluación de lesiones de la columna cervical en pacientes con politraumatismos, en el Servicio de Urgencias. Rev Asoc Arg Ort y Traumatol. 2021; 86 (1): 71-76.

  15. Gómez Flores G, Gutiérrez Herrera L, Dufoo Olvera M, Ladewig Bernáldez G, Collado Arce M, Oropeza E, et al. Espondiloptosis traumática C7-T1 sin compromiso neurológico. Acta Ortop Mex. 2020; 34 (6): 412-416.

  16. Bandera MP. Fractura cervical subaxial de C7. Revista Cubana de Neurología y Neurocirugía. 2021; 11 (2): e432.

  17. Soto RO. Fractura luxación de la columna cervical subaxial. ¿Qué abordaje utilizar? Orthotips. 2017; 13 (2): 73-81.

  18. Marsol A, Huguet R, González-Pedrouzo E, Miranda-Sanromà E, Giné-Gomá J. Lesiones traumáticas cervicales tratadas con artrodesis anterior con placa. Revista Española de Cirugía Ortopédica y Traumatología. 2004; 48 (3): 179-185.

  19. Cruz HYF da, Joaquim AF, Tedeschi H, Patel AA. Evaluation of the SLICS use in the treatment of subaxial cervical spine injuries. Arq Neuropsiquiatr. 2015; 73 (5): 445-450.

  20. Castrillo Hine C, Solano Muñoz JC, Leitón Solano V. Particularidades y abordaje de la lesión espinal cervical en la población pediátrica. Rev Méd Sinerg. 2022; 7 (6): e851.



AFILIACIONES

1Médico Traumatólogo y Ortopedista cursando la residencia en Alta Especialidad en Cirugía de Columna Vertebral. Hospital Regional Puebla, Instituto de Seguridad y Servicios Sociales de los Trabajadores del Estado (ISSSTE).

2Médico Traumatólogo y Ortopedista con Alta Especialidad en Cirugía de Columna Vertebral.



Conflicto de intereses: Ninguno.



CORRESPONDENCIA

Dr. Ricardo Erik Robles Ortiz. E-mail: dr.ricardorobles@gmail.com




Recibido: 06-11-2022. Aceptado: 15-02-2023.

Figura 1
Figura 2
Figura 3
Figura 4
Figura 5
Figura 6

2020     |     www.medigraphic.com

Mi perfil

C?MO CITAR (Vancouver)

Ortho-tips. 2023;19

ARTíCULOS SIMILARES

CARGANDO ...