medigraphic.com
ENGLISH

Latin American Journal of Oral and Maxillofacial Surgery

ISSN 2992-7757 (Digital)
Órgano de difusión de la Asociación Latinoamericana de Cirugía y Traumatología Bucomaxilofacial (ALACIBU)
  • Mostrar índice
  • Números disponibles
  • Información
    • Información general        
    • Directorio
  • Publicar
    • Instrucciones para autores        
  • medigraphic.com
    • Inicio
    • Índice de revistas            
    • Registro / Acceso
  • Mi perfil

2023, Número 1

<< Anterior Siguiente >>

Lat Am J Oral Maxillofac Surg 2023; 3 (1)


Importancia de la evidencia radiográfica en el tratamiento de sialolitos de gran tamaño

Olivares Guia, Carlos Santiago1; Villegas Graterol, Jovienmily1; Melean González, Yasmeslis Carolina2; Arias Placeres, César Andrés2; Villarroel Dorrego, Mariana3; Gudiño Martínez, Ronar Alejandro4; García Guevara, Henry5
Texto completo Cómo citar este artículo 10.35366/111857

DOI

DOI: 10.35366/111857
URL: https://dx.doi.org/10.35366/111857
Artículos similares

Idioma: Español
Referencias bibliográficas: 9
Paginas: 31-35
Archivo PDF: 270.96 Kb.


PALABRAS CLAVE

sialolitiasis, sialolito, glándula submandibular, abordaje submandibular.

RESUMEN

Introducción: se han descrito muchos abordajes quirúrgicos para la remoción de sialolitos en la glándula submandibular, en su mayoría con la intención de proteger referencias anatómicas y ajustarse al tamaño de la patología; sin embargo, no siempre se discute la correlación con los estudios radiográficos, pero la información que éstos brindan puede ayudar a preparar mejor un caso de este tipo. Objetivo: describir la importancia de la evidencia radiográfica en el tratamiento de sialolitos de gran tamaño. Material y métodos: paciente masculino de 62 años que refirió asimetría facial asociada al tercio inferior debido a una lesión nodular de aproximadamente 10 cm de diámetro, de bordes definidos, normocrómico, normotérmico, indurado, móvil y no doloroso a la palpación; en el estudio de la tomografía computarizada se observó una imagen hiperdensa circunscrita de aproximadamente 6 cm en la cara medial del cuerpo mandibular derecho. Resultados: se realizó la exéresis de la glándula submandibular bajo anestesia general; en el acto intraoperatorio no se presentó ninguna complicación, después se realizó el procesamiento del estudio histopatológico, con lo cual se diagnosticó un quiste de retención, mucoso y asociado a sialolito. Los controles postoperatorios se realizaron a las primeras 24 horas, durante siete días, gracias a esto se evidenciaron afecciones neurosensoriales, como parestesia y paresia, se reevaluó a las tres semanas y al año, con lo cual se constató la restitución de la función. Conclusión: el uso de la tomografía computarizada brinda al clínico la posibilidad de adaptar la técnica quirúrgica al tamaño y ubicación de las lesiones, especialmente las de gran tamaño como las descritas en este reporte, esto permite reducir complicaciones intraoperatorias, reducir tiempo de trabajo y ubicar de forma eficiente la lesión.



INTRODUCCIóN

La sialolitiasis de la glándula submandibular es la causa más común de obstrucción de glándulas salivares, así como de infecciones agudas y crónicas de la misma, incluso algunos la describen como una consecuencia de sialoadenitis; por ejemplo, la presencia de un sialolito en el conducto excretor puede significar la obstrucción del flujo salival, lo que predispone a una infección retrógrada, además una sialoadenitis crónica instaurada puede cambiar la composición de la saliva, esto favorece la disposición de calcio y, en consecuencia, la formación del sialolito.1,2

De forma fisiopatológica, se ha descrito que los acodamientos del conducto excretor de la glándula submandibular son un factor etiológico en la formación de sialolitos, ya que fomentan el estancamiento de saliva en dichas zonas y, aunado a factores como la longitud del conducto, la naturaleza alcalina de la saliva y su alto contenido de sales cálcicas, la predisponen a otras glándulas salivales mayores, por tal motivo los sialolitos se desarrollan principalmente en el sistema de ductos de la glándula submandibular, al quedarse con 80% de los casos.1

Su naturaleza altamente mineralizada nos permite ubicarlos fácilmente mediante técnicas radiográficas, esto nos deja conocer su ubicación anatómica, dimensión, posición y evolución desde la utilización de radiografías simples, como radiografía panorámica o posteroanterior de cráneo, hasta técnicas más específicas como la tomografía computarizada simple o con contraste.3-5

Son imprescindibles las imágenes para la planificación de estos casos, pues, aunque actualmente se han descrito técnicas menos invasivas para la remoción de sialolitos de la glándula submandibular (por ejemplo, un abordaje endoscópico a través del piso de boca con la tunelización del conducto de Wharton), no todos estos procedimientos están indicados para sialotitos de gran tamaño, debido a que el mínimo tamaño de la incisión no permite la exéresis de la lesión, lo que ocasiona cambiar el plan a un abordaje extrabucal (abordaje submandibular).

Este estudio tiene como objetivo describir la importancia de la evidencia radiográfica en el tratamiento de sialolitos de gran tamaño.



MATERIAL Y MéTODOS

Se trata de un paciente masculino de 62 años de edad, sin antecedentes médicos de importancia, el cual acudió a consulta referido por un diagnóstico de adenoma pleomorfo en la glándula submandibular derecha, el paciente presentó odinofagia, xerostomía, halitosis y exudado purulento.

En el examen clínico se observó asimetría facial asociada al tercio inferior en la región submandibular derecha debido a una lesión nodular de aproximadamente 10 cm de diámetro, de bordes definidos, normocrómico, normotérmico, indurado, no doloroso a la palpación y móvil (Figura 1); al estudiar la tomografía computarizada de cortes axiales, sagitales y coronales se advirtió una imagen hiperdensa circunscrita de aproximadamente 6 cm en la cara medial del cuerpo mandibular derecho, que arrojó 1,500 unidades Hounsfield, lo cual se vincula con una lesión de contenido calcificado, además, según su ubicación, se puede saber de qué tipo de lesión se trata (Figura 2).

Se llevó al paciente a la mesa operatoria bajo anestesia general inhalatoria y se planificó un abordaje submandibular (Risdon), se realizó la resección total de la glándula, con lo que se pudo visualizar un sialolito de aproximadamente 7 cm en el espécimen. Se hizo el cierre por planos y se evaluó al paciente en hospitalización durante 24 horas.



RESULTADOS

Se llevó al paciente a la mesa operatoria bajo anestesia general, se realizó el marcaje en la línea de la incisión 2 cm por debajo de la basal mandibular, se ingresó a través del marcaje en piel y tejido celular subcutáneo; posteriormente se procedió a la disección por planos en el músculo platisma, fascia cervical profunda hasta identificar las estructuras vasculares; enseguida se hizo la ligadura de la arteria facial y vena facial con seda 2-0 y electrocauterización, con la finalidad de tener acceso y mayor visibilidad a la cápsula de la glándula submandibular, donde se accedió hasta llegar al parénquima glandular.

La disección a través de la cápsula permitió la separación de las estructuras, lo que evidenció el conducto submandibular en la cara medial de la misma, de tal manera que se pudo seccionar con tijera metzenbaum y entrar al parénquima glandular, donde se demostró la presencia de sialolito para proceder a retirar la porción superficial y profunda de la glándula submandibular (Figura 3A); la muestra fue fijada en solución de formaldehído en proporción 1:9; se comprobó indemnidad de las estructuras adyacentes, como el nervio hipogloso (Figura 3B), luego se procedió a realizar el cierre por planos con fibras del músculo milohioideo para cerrar el primer plano muscular con sutura Vycril 3-0 y puntos simples, una vez verificada la hemostasia se realizó el cierre del plano muscular con el músculo platisma afrontado con sutura Vycril 3-0 y puntos simples, por último se cerró el plano cutáneo con nylon 5-0 y puntos simples (Figura 3C). Al momento de hacer la inspección intraoral se descubrió sangrado profuso proveniente de la cara ventral derecha de la lengua, la cual estaba lesionada, producto de la disección, a continuación se pasó a realizar el cierre con Vycril 4-0. Finalmente se hizo la reversión y entubación del paciente, debido a esto salió de quirófano con ventilación espontánea y fue dirigido a Unidad de Cuidados Postanestésicos.

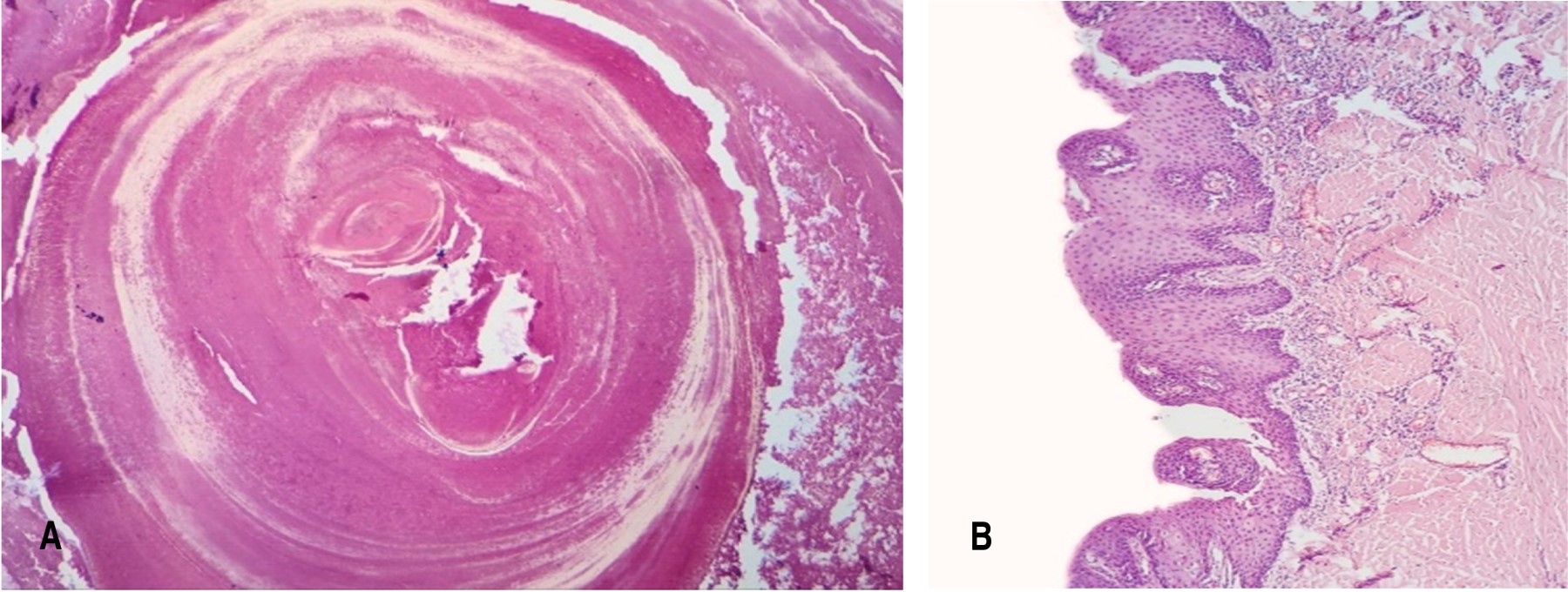
Se llevó a cabo estudio histopatológico con ayuda de un especialista en Patología Bucal y Maxilofacial, con conclusión diagnóstica de quiste de retencion mucoso, asociado a sialolito (Figura 4).



DISCUSIóN

Las radiografías simples representan un método de estudio complementario con una alta sensibilidad para la localización de lesiones mineralizadas en el tercio medio e inferior facial por imágenes radiopacas,6 incluso se pueden utilizar ultrasonidos de glándulas salivales para no sólo ubicar el sialolito, sino también para determinar el estado general del parénquima que lo acoge;7 sin embargo, la tomografía computarizada simple permite al clínico identificar la topografía anatómica del lecho quirúrgico, lo que representa una ventaja en la decisión del abordaje planteado para la sialoadenectomía, en nuestro caso utilizamos una tomografía con contraste que nos permitió, además de lo ya antes mencionado, corroborar que la lesión no estaba perfundida.4

Gracias al advenimiento de la cirugía mínimamente invasiva, en los estudios más recientes se describen técnicas intraorales incluso para sialolitos de más de 10 mm, en los cuales se necesitan algunas especificaciones, por ejemplo, que el lito sea palpable en el piso de boca y que se encuentre en el extremo distal del ducto.7

Las condiciones en nuestro paciente fueron distintas, como una clínica de secreción fétida a través del conducto de Wharton e inflamación crónica del parénquima glandular, por lo que se decidió la sialoadenectomía total, cuyo resultado fue un abordaje extraoral y submandibular (Risdon) que permitieron un abordaje seguro de la cara lateral de la cápsula submandibular y la extracción segura del espécimen.8

La apariencia clínica de este tipo de patologías concuerda con la literatura revisada, se debe tomar en cuenta signos como lesiones induradas palpables en piso de boca, sin cambios neurosensoriales de las zonas adyacentes (submandibular o sublingual) y tener como denominadores comunes el aumento de volumen progresivo en la región submandibular, de bordes definidos, que no hayan signos de flogosis o dolor a la palpación ni xerostomía.1,2,4

En el estudio histopatológico se describió una sustancia mineralizada de forma concéntrica, rodeada de epitelio más basófilo que lo reviste con características ductales,1 lo que en nuestro caso se diagnosticó como quiste de retención, mucoso y asociado a sialolito.

Entre las complicaciones más frecuentes del abordaje transcervical submandibular, se encuentran la parestesia del nervio lingual, paresia del tercio inferior facial ipsilateral por afectación de la rama marginal mandibular del nervio facial, pero se lograron minimizar estas complicaciones gracias a una correcta ejecución de la técnica quirúrgica (como realizar la incisión a 2 cm de la basal mandibular7,9 en el primer pliegue del cuello y a la identificación preoperatoria en el espacio submandibular de estructuras como el tendón interdigástrico y el nervio hipogloso), lo que se tradujo en un resultado favorable para el paciente.

Los controles postoperatorios que se realizaron en las primeras 24 a 48 horas, siete días, tres semanas y un año después se describieron en el postoperatorio inmediato, es decir, las características inherentes al edema postquirúrgico, como sintomatología dolorosa leve controlada con analgésicos y trastornos neurosensoriales de las zonas adyacentes al lecho quirúrgico,3 las cuales se fueron resolviendo en los siguientes controles de forma espontánea hasta llegar a un control final con una cicatriz eutrófica bien disimulada en el primer pliegue cutáneo del cuello, así como movimientos faciales, linguales y gusto conservado.



CONCLUSIóN

El uso de la tomografía computarizada provee al clínico la posibilidad de adecuar la técnica quirúrgica al tamaño y ubicación de las lesiones, sobre todo las de gran tamaño, como se describe en este reporte, esto permite reducir complicaciones intraoperatorias, reducir el tiempo de trabajo y ubicar de forma eficiente la lesión.

La sialolitiasis es más común en la glándula submandibular por el trayecto acodado de su conducto, cuando ésta aumenta de tamaño a expensas de lo que contiene puede tener variaciones anatómicas de las estructuras que la rodean, por lo que es imperativo tener el mayor cuidado posible y manejar correctamente las complicaciones subsiguientes de la disección.

La decisión sobre el abordaje que se va a utilizar dependerá de las características individuales de cada paciente, tanto clínicas como socioeconómicas.


REFERENCIAS (EN ESTE ARTÍCULO)

  1. Neville D. Oral y maxillofacial pathology. 4ta edition. 2014.

  2. Naggar E, Can J, Grandis J, Takata J. WHO classification of head and neck tumours. 2017.

  3. Acevedo J, Hsu A, Yu J, Rice D, Kwon D, et al. Cost-effectiveness analysis of submandibular gland preservation with sialendoscopy for the management of sialolithiasis. Otolaryngol Head Neck Surg. 2022; 166 (4): 662-668.

  4. Holden A, Man C, Samani M, Hills A, McGurk. M. Audit of minimally-invasive surgery for submandibular sialolithiasis. Oral Maxillofac Surg. 2019; 57 (6): 582-586.

  5. Oluwafemi J, Bamidele L, Salam A. submandibular sialolithiasis: the roles of radiology in its diagnosis and treatment. Ann Afr Med. 2018; 17 (4): 221-224.

  6. Ungari C, Cicconetti A, Cerbelli E, Sulpasso A, Filiaci F. Giant submandibular sialolith: a case report. Clin Ter. 2022; 173 (3): 217-221.

  7. Coca K, Benaim E, Reed L, Mamidala M, Gillespie M. Outcome of submandibular Stone removal, with and without salivary endoscopes. Laryngosc. 2022; 132 (4): 754-760.

  8. Latarjet R. Anatomía humana. 5ta Edición, Tomo 1. Editorial Medica Panamericana.

  9. Aravena P, Santibáñez R, Rubilar P, Espinaza C, Perez F. Estudio anatómico de la distancia entre el margen inferior de la mandíbula y la rama marginal mandibular del nervio facial: una revisión sistemática. 2014; 32 (1): 327-333.



AFILIACIONES

1 Residente de Postgrado de Cirugía y Traumatología Bucal y Maxilofacial del Hospital Universitario de Caracas, Venezuela.

2 Cirujano Oral y Maxilofacial. Docente del Departamento de Cirugía y Traumatología Oral y Maxilofacial del Hospital Universitario de Caracas, Venezuela.

3 PhD, Magister en Medicina Bucal. Patólogo Maxilofacial. Caracas, Venezuela.

4 Cirujano Oral y Maxilofacial. Jefe de Programa del Servicio de Cirugía y Traumatología Oral y Maxilofacial del Hospital Universitario de Caracas, Venezuela.

5 Cirujano Oral y Maxilofacial. Profesor del Departamento de Cirugía Oral y Maxilofacial del Hospital de Ortopedia Infantil de Caracas, Venezuela.



CORRESPONDENCIA

Jovienmily Villegas Graterol. E-mail: jovienmilyv@gmail.com




Recibido: 25/05/2023. Aceptado: 10/06/2023

Figura 1
Figura 2
Figura 3
Figura 4

2020     |     www.medigraphic.com

Mi perfil

C?MO CITAR (Vancouver)

Lat Am J Oral Maxillofac Surg. 2023;3

ARTíCULOS SIMILARES

CARGANDO ...