medigraphic.com
ENGLISH

Latin American Journal of Oral and Maxillofacial Surgery

ISSN 2992-7757 (Digital)
Órgano de difusión de la Asociación Latinoamericana de Cirugía y Traumatología Bucomaxilofacial (ALACIBU)
  • Mostrar índice
  • Números disponibles
  • Información
    • Información general        
    • Directorio
  • Publicar
    • Instrucciones para autores        
  • medigraphic.com
    • Inicio
    • Índice de revistas            
    • Registro / Acceso
  • Mi perfil

2023, Número 1

<< Anterior Siguiente >>

Lat Am J Oral Maxillofac Surg 2023; 3 (1)


Miofibroma de cavidad oral: a propósito de un caso clínico

Mariluz, Federico1; Ruiz, Damián Alfredo1; Benítez, Javier1; Giannunzio, Graciela Ana1
Texto completo Cómo citar este artículo 10.35366/111859

DOI

DOI: 10.35366/111859
URL: https://dx.doi.org/10.35366/111859
Artículos similares

Idioma: Español
Referencias bibliográficas: 22
Paginas: 40-43
Archivo PDF: 270.23 Kb.


PALABRAS CLAVE

miofibroma, cavidad oral, miofibroblasto.

RESUMEN

El miofibroma es una neoplasia de células fusiformes de rara aparición en la cavidad oral. Descrita inicialmente por Stout en 1954, puede presentarse de forma aislada o multifocal, de esta manera se denomina neurofibromatosis. En ocasiones, esta lesión exhibe un crecimiento rápido, lo cual puede ser mal interpretado como una lesión maligna y agresiva, por lo que es fundamental un correcto análisis histopatológico. Se presenta a continuación el reporte de caso de un paciente masculino de 61 años de edad con diagnóstico de miofibroma en cavidad oral.



INTRODUCCIóN

El miofibroma (MF) es un tumor benigno de tejidos blandos de rara aparición en la cavidad, con predilección por los tejidos blandos de la región de cabeza y cuello. Inicialmente descrito por Stout en 1954,1 puede presentarse de forma aislada o de manera multifocal, con lo que adquiere la denominación de miofibromatosis.2

Si bien puede presentarse en cualquier etapa de la vida, desde el neonato hasta el geronte, casi 70% de las lesiones se presentan antes de los dos años de vida.2-4

La cavidad oral es raramente afectada por el MF;5 en orden decreciente, sus ubicaciones más frecuentes son: mandíbula, labios, carrillo, lengua, paladar y piso de boca.6

De forma histológica se encuentra compuesta por células denominadas miofibroblastos, los cuales forman una masa bien delimitada, no encapsulada.7 Presentan una histoarquitectura con un patrón bifásico; la zona periférica compuesta por células fusiformes con núcleos alargados y abundante citoplasma eosinófilo que se asemeja al músculo esquelético. La porción central del tumor presenta células ahusadas más primitivas asociadas a un patrón de células vasculares hemangiopericitomatosas.8

El MF en ocasiones exhibe un crecimiento rápido, lo cual puede ser interpretado y mal diagnosticado como una lesión maligna y agresiva; es por esto que para evitar tratamientos quirúrgicos no conservadores innecesarios, la correcta interpretación del examen histopatológico es fundamental.

Su tratamiento es la resección quirúrgica total, sin margen de seguridad y sin reportar recidiva del mismo.

A continuación, se presenta el reporte de un caso clínico de miofibroma con una ubicación poco frecuente en el paladar duro.



CASO CLíNICO

Paciente masculino de 61 años de edad, hipertenso controlado, es derivado al Servicio de Cirugía y Traumatología Bucomaxilofacial del Hospital Zonal General de Agudos "General Manuel Belgrano", Buenos Aires, Argentina, por presentar tumor indoloro en bóveda palatina de aproximadamente dos años de evolución.

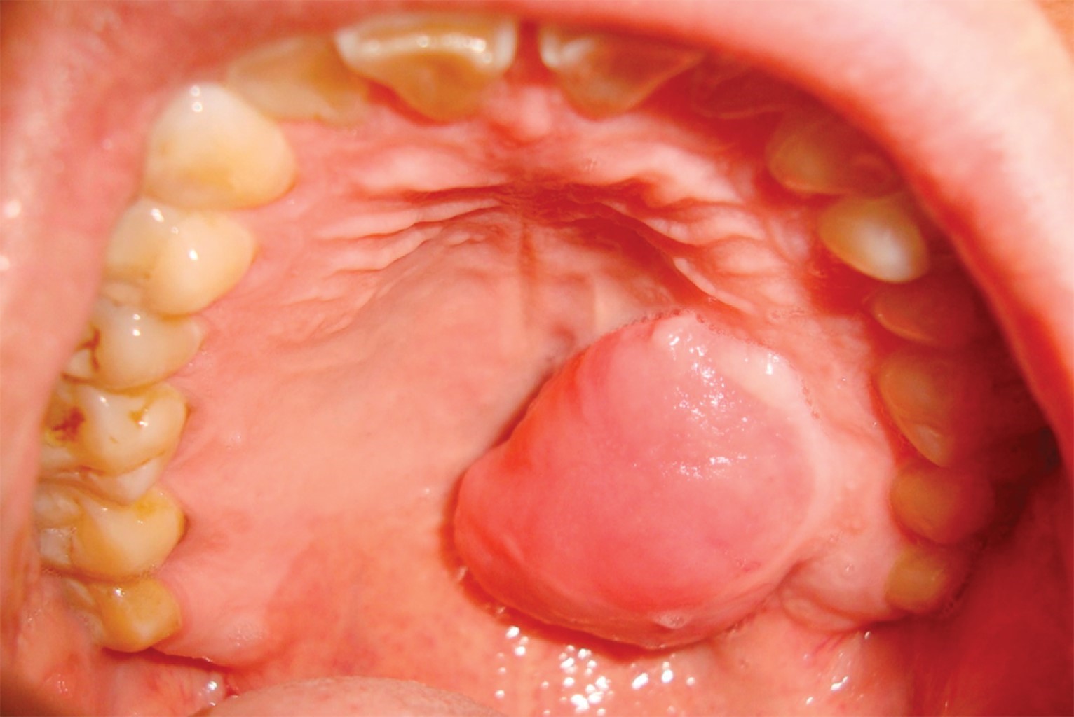
Al examen clínico se observa lesión tumoral en paladar duro, lado izquierdo, de base pediculada que respeta línea media, cuyas dimensiones son 3 cm en sentido latero-lateral por 2.5 cm en sentido anteroposterior (Figura 1). La mucosa que lo recubre no presenta alteraciones de color ni superficie. El paciente no relata cambios significativos de tamaño en los últimos meses. No se evidencia presencia de adenopatías cervicales. Se realiza tomografía de haz cónico donde no se observa compromiso alguno de cortical palatina.

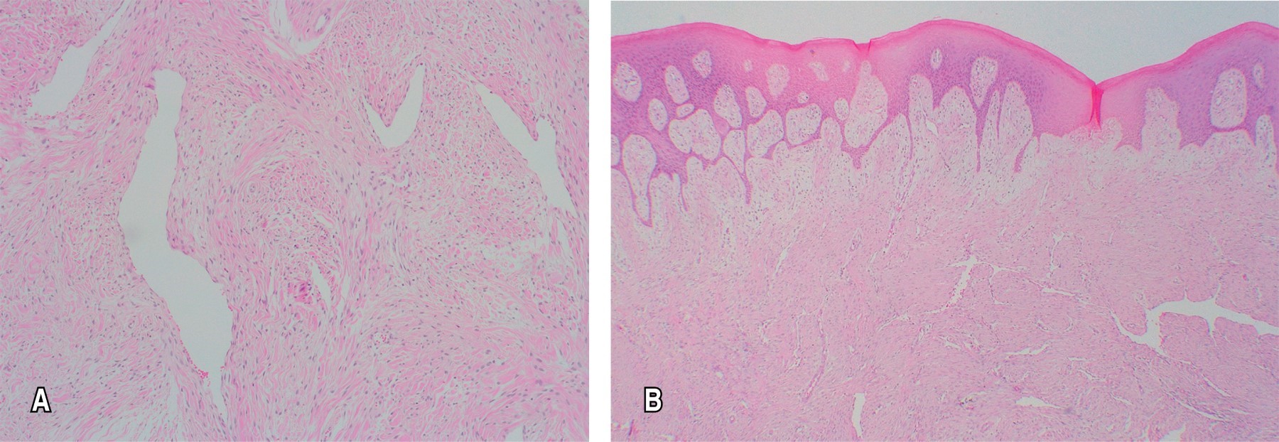
El paciente es remitido con informe de biopsia incisional, la cual detalla mucosa revestida por epitelio escamoso con ligera acantosis y foco de exocitosis linfocitaria. Corion con infiltrado inflamatorio linfoplasmocitario y presencia de proliferación fusocelular entremezclada con fibrosis que comprime estructuras vasculares (Figura 2). Se realizaron técnicas de inmunomarcación con vimentina, actina, demina y CD31, resultó la proliferación descrita positiva con vimentina y actina, en tanto que negativa para desmina y CD31; posteriormente, se arribó al diagnóstico de miofibroma. Bajo anestesia general balanceada se realizó la enucleación marginal de la lesión (Figuras 3 y 4). El análisis histopatológico de la pieza quirúrgica confirma el diagnóstico prequirúrgico. No se evidenciaron signos de recurrencia de la enfermedad luego de 24 meses de controles (Figura 5).



DISCUSIóN

Desde su descripción inicial por Stout, en 1954, el miofibroma ha sido reportado en numerosos artículos de la literatura. El MF es un tumor benigno compuesto por células denominadas miofibroblastos (MFB).9

Los MFB son células mesenquimales de forma ahusada que comparten estructuras celulares similares a fibroblastos y células musculares estriadas.5 De forma ultraestructural, los MFB exhiben un aparato contráctil característico, organizado en forma de prominentes haces de miofilamentos periféricos positivos para α-SMA, fibronexo y abundante retículo endoplasmático rugoso.10 El fibronexo es un complejo de adhesión especializado, que no se expresa en células de músculo liso o fibroblastos, además representa la estructura más importante para identificar una célula como miofibroblasto.11

En la más reciente clasificación de tumores de tejidos blandos de la Organización Mundial de la Salud, el MF fue incluido bajo la categoría de miopericitomas.12

De aparición solitaria o multifocal (miofibromatosis),2 pueden aparecer en cualquier etapa de la vida, desde el nacimiento hasta la tercera edad. Existe una mayor incidencia como lesiones únicas en poblaciones pediátricas.2,6,12-14

Generalmente los MF son más comunes en el sexo masculino2 con una proporción de entre 1.5:12 a 2:1.15 Vered y colegas reportan, en su revisión de 41 MF y 12 miofibromatosis, una mayor incidencia en el sexo femenino con una proporción de 1.6:1.5

Más de 33% de los MF ocurren en la región de la cabeza y el cuello.2,16 Las lesiones en la cavidad oral son poco frecuentes.5 Foss y colaboradores6 reportaron 79 casos de MF en cavidad oral; en orden decreciente los sitios de aparición fueron: mandíbula, labios, mucosa yugal, lengua, paladar, espacio pterigomandibular, piso de boca y glándula submandibular.

Vered y su equipo5 reportan, en su revisión de la literatura de 53 lesiones de miofibromas y miofibromatosis de la cavidad oral, una distribución similar a Foss y colaboradores con la salvedad de que el labio fue la ubicación menos frecuente.

Recientemente Smith y colegas9 analizaron 247 casos de MF y miofibromatosis que habían sido reportados en 74 artículos de la literatura. En dicha revisión 41.3% (n = 102) de las lesiones se localizaron en mucosa móvil, 22.7% (n = 56) eran lesiones de tipo intraóseas, 18.2% (n = 45) en mucosa alveolar y 17.8% (n = 44) en otras localizaciones, donde se destaca 5.67% (n = 14) de lesiones asentadas en el paladar, como es el caso reportado en el presente artículo.

De forma clínica, el MF de cavidad oral se presenta como una masa firme, indolora, de coloración que varía de rosada a roja.6 En ocasiones, por acción de la dinámica masticatoria estas lesiones pueden ulcerarse y presentar sintomatología asociada. Capo y colaboradores17 reportaron el caso de una paciente de nueve años de edad con un MF de ubicación palatina, con ulceración de su superficie y destrucción ósea asociada. Dependiendo de la ubicación y el tamaño de la lesión pueden producirse obstrucciones de la vía aérea18 o parestesias.19

De forma histológica, el MF es una lesión bien circunscripta pero no encapsulada,9 en ocasiones exhibe un patrón bifásico con áreas de tinción claras y oscuras. El área clara consiste en células ahusadas con citoplasma eosinófilo y núcleos cónicos dispuestos en fascículos cortos o en espirales con nódulos en su periferia. Sin embargo, estas células en ocasiones se distribuyen de forma aleatoria a lo largo de la lesión.20 El área oscura de la lesión se presenta en la porción central de la misma, al contener células ahusadas primitivas asociadas a un patrón de células vasculares hemangiopericitomatosas.8

Esta presentación bifásica no está siempre presente. Chang y su colega sugirieron que este patrón histológico es menos frecuente en los MF de pacientes adultos.21 Otros autores remarcan el hecho de no existir diferencias histológicas entre los miofibromas reportados en adultos o en pediátricos.5,6

El examen inmunohistoquímico es una herramienta muy importante para completar el diagnóstico. Los miofibromas son positivos a la tinción con α-SMA, MSA, calponina y vimentina, así como negativos para CD34, CD31, desmina, queratina y proteína S-100.9 En nuestro caso, se realizaron tinciones positivas para actina y vimentina, en tanto que negativas para desmina y CD31.

En ocasiones, el MF presenta un crecimiento rápido que puede resultar preocupante. Algunas lesiones tienen características clínicas y radiológicas que recuerdan a patologías malignas. En la revisión realizada por Chung y Enzinger,2 más de 10% de los casos fueron diagnosticados inicialmente como lesiones malignas. En algunos casos presentes en maxilares o tejido gingival se han reportado movilidad dentaria asociada y reabsorción ósea; no se ha reportado reabsorción radicular. Se ha descrito un aumento de tamaño exacerbado luego de realizar biopsia incisional.6,22

El diagnóstico diferencial de los MF incluye: fascitis nodular, fascitis proliferativa, neurofibroma, histiocitoma fibroso, leiomioma, leiomiosarcoma, tumor fibroso solitario, fibromatosis, fibrosarcoma infantil, tumor miofibroblástico inflamatorio, sarcoma sinovial monofásico, ente otros.9

Si bien no existe consenso en la literatura sobre el tratamiento de elección para los MF de cavidad oral, por sus características histológicas la exéresis de la lesión parece ser la terapéutica a elegir. En concordancia con lo expuesto, el presente caso clínico fue sometido a la escisión de la lesión bajo anestesia general sin presentar complicaciones postquirúrgicas.

La tasa de recidiva es muy baja y se relaciona con la incompleta eliminación de la lesión. De 247 lesiones analizadas por Smith y colegas, nueve son reportadas con recidivas (seis con una sola recurrencia, dos con dos recurrencias y una sola con más de dos).9 El caso reportado y tratado en nuestro servicio se encuentra libre de signos de recidiva a los 24 meses de seguimiento postoperatorio.



CONCLUSIóN

El miofibroma es una lesión de rara aparición en los tejidos de la cavidad oral, la ubicación palatina es excepcional; requiere de un análisis anatomopatológico e inmunohistoquímico, a fin de evitar errores diagnósticos que pudieran llevar a un tratamiento más agresivo que el requerido. La recidiva está directamente relacionada a la incompleta eliminación de la lesión.


REFERENCIAS (EN ESTE ARTÍCULO)

  1. Stout AP. Juvenile fibromatoses. Cancer. 1954; 7 (5): 953-978.

  2. Chung EB, Enzinger FM. Infantile myofibromatosis. Cancer. 1981; 48 (8): 1807-1818.

  3. Rubin BO, Bridge JA. Myofibroma/myofibromatosis. In: Fletcher CD, Unni KK, Mertens F, eds. WHO classification of tumors. Pathology and genetics. Tumours of soft tissue and bone. Lyon: IARC Press; 2002. pp. 59-61.

  4. Myofibroma, solitary and multicentric (myofibromatosis). In: Kempson RL, Fletcher CD, Evans HL, Hendrikson MR, Sibley RK, eds. Atlas of tumor pathology. Third series, Fascicle 30. Tumors of the soft tissues. Washington, DC: Armed Forces Institute of Pathology; 2001. pp. 64-67.

  5. Vered M, Allon I, Buchner A, Dayan D. Clinico-pathologic correlations of myofibroblastic tumors of the oral cavity. II. Myofibroma and myofibromatosis of the oral soft tissues. J Oral Pathol Med. 2007; 36 (5): 304-314.

  6. Foss RD, Ellis GL. Myofibromas and myofibromatosis of the oral region: A clinicopathologic analysis of 79 cases. Oral Surg Oral Med Oral Pathol Oral Radiol Endod. 2000; 89 (1): 57-65.

  7. Folpe AL. Soft-tissue tumors of the head and neck. In: Gnepp DR (ed). Diagnostic surgical pathology of the head and neck. 2nd ed. St Louis, MO: Saunders Elsevier; 2009. p. 651.

  8. Neville BW, Damm DD, Allen CM, et al. Soft tissue tumors. In: Neville BW, Damm DD, Allen CM, et al (eds). Oral and maxillofacial pathology. 3rd ed. Philadelphia, PA: WB Saunders; 2009. p. 515.

  9. Smith MH, Reith JD, Cohen DM, Islam NM, Sibille KT, Bhattacharyya I. An update on myofibromas and myofibromatosis affecting the oral regions with report of 24 new cases. Oral Surg Oral Med Oral Pathol Oral Radiol. 2017; 124 (1): 62-75.

  10. Montgomery E, Speight PM, Fisher C. Myofibromas presenting in the oral cavity: a series of 9 cases. Oral Surg Oral Med Oral Pathol Oral Radiol Endod. 2000; 89 (3): 343-348.

  11. Pereira de Oliveira DHI, da Silveira EJD, de Souza LB, Caro-Sanchez CHS, Dominguez-Malagon H, Mosqueda Taylor A et al. Myofibroblastic lesions in the oral cavity: Immunohistochemical and ultrastructural analysis. Oral Dis. 2019; 25 (1): 174-181.

  12. Fletcher CD, Hogendoorn P, Mertens F, Bridge J. WHO classification of tumours of soft tissue and bone. 4th ed. Lyon, France: IARC Press; 2013.

  13. Fletcher CD, Unni KK, Mertens F. World Health Organization classification of tumors. Pathology and genetics. Tumors of soft tissue and bone. Lyon: IARC Press; 2002.

  14. Jones AC, Freedman PD, Kerpel SM. Oral myofibromas: a report of 13 cases and review of the literature. J Oral Maxillofac Surg. 1994; 52: 870-875.

  15. Myofibroma and myofibromatosis. In: Weiss SW, Goldblum JR, eds. Enzinger and Weiss's soft tissue tumors. Mosby: St Louis; 2001. pp. 357-363.

  16. Allon I, Vered M, Buchner A, Dayan D. Central (intraosseous) myofibroma of the mandible: clinical, radiologic, and histopathologic features of a rare lesion. Oral Surg Oral Med Oral Pathol Oral Radiol Endod. 2007; 103 (4): e45-e53.

  17. Capo JA, Moubayed D, Moubayed SP, Hernandez-Prera JC, Khorsandi A, Buchbinder D, et al. Pediatric myofibroma of the palate with ulceration and bone destruction. Case Rep Otolaryngol. 2016; 2016: 1432764.

  18. Eze N, Pitkin L, Crowley S, Wilson P, Daya H. Solitary infantile myofibroma compromising the airway. Int J Pediatr Otorhinolaryngol. 2004; 68 (12): 1533-1537.

  19. Cruz AA, Maia EM, Burmamm TG, Perez LC, Santos AN, Valera ET, et al. Involvement of the bony orbit in infantile myofibromatosis. Ophthalmic Plast Reconstr Surg. 2004; 20 (3): 252-254.

  20. Andreadis D, Epivatianos A, Samara A, Kirili T, Iordanidis F, Poulopoulos A. Myofibroma of the oral mucosa: a case report. Med Princ Pract. 2012; 21 (3): 288-291. doi: 10.1159/000334587.

  21. Chang JY, Kessler HP. Masson trichrome stain helps differentiate myofibroma from smooth muscle lesions in the head and neck region. J Formos Med Assoc. 2008; 107 (10): 767-773. doi: 10.1016/S0929-6646(08)60189-8.

  22. Tanaka Y, Yamada H, Saito T, Nakaoka K, Kumagai K, Fujihara H, et al. Solitary myofibroma of the mandible in an adult with magnetic resonance imaging and positron emission tomography findings: a case report. World J Surg Oncol. 2014; 12: 69. doi: 10.1186/1477-7819-12-69.



AFILIACIONES

1 Departamento de Cirugía y Traumatología Bucomaxilofacial, Hospital Zonal General de Agudos "General Manuel Belgrano", Buenos Aires, Argentina.



CORRESPONDENCIA

Federico Mariluz. E-mail: mariluzfede@gmail.com




Recibido: 01/05/2023. Aceptado: 19/06/2023

Figura 1
Figura 2
Figura 3
Figura 4
Figura 5

2020     |     www.medigraphic.com

Mi perfil

C?MO CITAR (Vancouver)

Lat Am J Oral Maxillofac Surg. 2023;3

ARTíCULOS SIMILARES

CARGANDO ...