medigraphic.com
ENGLISH

Acta Ortopédica Mexicana

ISSN 2992-8036 (Digital)
ISSN 2306-4102 (Impreso)
Órgano Oficial del Colegio Mexicano de Ortopedia y Traumatología
  • Mostrar índice
  • Números disponibles
  • Información
    • Información general        
    • Directorio
  • Publicar
    • Instrucciones para autores        
  • medigraphic.com
    • Inicio
    • Índice de revistas            
    • Registro / Acceso
  • Mi perfil

2022, Número 6

<< Anterior Siguiente >>

Acta Ortop Mex 2022; 36 (6)


Evaluación y tratamiento de las lesiones osteocondrales del astrágalo en pacientes esqueléticamente inmaduros

Porta-Alesandria J, Van BC, Masquijo J
Texto completo Cómo citar este artículo 10.35366/111865

DOI

DOI: 10.35366/111865
URL: https://dx.doi.org/10.35366/111865
Artículos similares

Idioma: Ingles.
Referencias bibliográficas: 23
Paginas: 335-339
Archivo PDF: 190.07 Kb.


PALABRAS CLAVE

lesión osteocondral, astrágalo, estimulación de la médula ósea, niños, adolescentes.

RESUMEN

Las lesiones osteocondrales del astrágalo (OLT) se definen como lesiones del cartílago talar, con cambios patológicos en el hueso subyacente. Incluyen un grupo de lesiones que implican osteocondritis disecante juvenil (JOCD) y fracturas osteocondrales del astrágalo. La etiología de las OLT aún no está totalmente aclarada, pero son más frecuentes en pacientes jóvenes y activos. Las estrategias de tratamiento de las OLT en poblaciones esqueléticamente inmaduras dependen de la magnitud de los síntomas, la morfología de la lesión (estabilidad e integridad del cartílago suprayacente), el tamaño, la naturaleza de la lesión (traumática frente a JOCD), la estabilidad del tobillo, la alineación de la extremidad inferior y el tratamiento previo. El objetivo de esta revisión es proporcionar una visión general de las pruebas actuales para el diagnóstico y el tratamiento de los OLT en pacientes esqueléticamente inmaduros.


REFERENCIAS (EN ESTE ARTÍCULO)

  1. Rikken QGH, Kerkhoffs GMMJ. Osteochondral lesions of the talus: an individualized treatment paradigm from the Amsterdam perspective. Foot Ankle Clin. 2021; 26(1): 121-36. doi: 10.1016/j.fcl.2020.10.002.

  2. Hurley DJ, Davey MS, Hurley ET, Murawski CD, Calder JDF, D'Hooghe P, et al. Paediatric ankle cartilage lesions: proceedings of the international consensus meeting on cartilage repair of the ankle. J ISAKOS. 2022: S2059-7754(22)00044-X. doi: 10.1016/j.jisako.2022.04.001.

  3. Tol JL, Struijs PA, Bossuyt PM, Verhagen RA, van Dijk CN. Treatment strategies in osteochondral defects of the talar dome: a systematic review. Foot Ankle Int. 2000; 21(2): 119-26. doi: 10.1177/107110070002100205.

  4. van Dijk CN, Reilingh ML, Zengerink M, van Bergen CJ. Osteochondral defects in the ankle: why painful? Knee Surg Sports Traumatol Arthrosc. 2010; 18(5): 570-80. doi: 10.1007/s00167-010-1064-x.

  5. Oberti V, Sanchez Ortiz M, Allende V, Masquijo J. Prevalence of hypovitaminosis D in patients with juvenile osteochondritis dissecans. Rev Esp Cir Ortop Traumatol (Engl Ed). 2021; 65(2): 132-7. doi: 10.1016/j.recot.2020.07.006.

  6. Masquijo JJ, Allende F, Carabajal M. Ankle morphology and juvenile osteochondritis dissecans (JOCD) of the talus: is there an association? An MRI study. J Pediatr Orthop. 2021; 41(2): e147-52. doi: 10.1097/BPO.0000000000001715.

  7. Krause F, Anwander H. Osteochondral lesion of the talus: still a problem? EFORT Open Rev. 2022; 7(6): 337-43. doi: 10.1530/EOR-22-0024.

  8. van Bergen CJA, Baur OL, Murawski CD, Spennacchio P, Carreira DS, Kearns SR, et al. Diagnosis: history, physical examination, imaging, and arthroscopy: proceedings of the international consensus meeting on cartilage repair of the ankle. Foot Ankle Int. 2018; 39(1_suppl): 3S-8S.

  9. Lan T, McCarthy HS, Hulme CH, Wright KT, Makwana N. The management of talar osteochondral lesions - Current concepts. J Arthrosc Jt Surg. 2021; 8(3): 231-7. doi: 10.1016/j.jajs.2021.04.002.

  10. Song Q, Zeng X, Huang H, Long L, Xu J, Cui S, et al. SPECT/CT imaging features of cystic degeneration of the talus and their relation to pathological findings. J Orthop Surg Res. 2022; 17(1): 449. doi: 10.1186/s13018-022-03344-6.

  11. Kirschke JS, Braun S, Baum T, Holwein C, Schaeffeler C, Imhoff AB, et al. Diagnostic value of CT arthrography for evaluation of osteochondral lesions at the ankle. Biomed Res Int. 2016; 2016: 3594253. doi: 10.1155/2016/3594253.

  12. Dahmen J, Steman JAH, Buck TMF, Struijs PAA, Stufkens SAS, van Bergen CJA, et al. Treatment of osteochondral lesions of the talus in the skeletally immature population: a systematic review. J Pediatr Orthop. 2022; 42(8): e852-60. doi: 10.1097/BPO.0000000000002175.

  13. Wall EJ, Brtko K. The nonoperative treatment of osteochondritis dissecans of the knee. Curr Opin Pediatr. 2021; 33(1): 59-64. doi: 10.1097/MOP.0000000000000976.

  14. Murawski CD, Jamal MS, Hurley ET, Buda R, Hunt K, McCollum G, et al. Terminology for osteochondral lesions of the ankle: proceedings of the International Consensus Meeting on Cartilage Repair of the Ankle. J ISAKOS. 2022; 7(2): 62-6. doi: 10.1016/j.jisako.2021.12.001.

  15. Masquijo JJ, Ferreyra A, Baroni E. Arthroscopic retrograde drilling in juvenile osteochondritis dissecans of the talus. J Pediatr Orthop. 2016; 36(6): 589-93. doi: 10.1097/BPO.0000000000000498.

  16. Ikuta Y, Nakasa T, Ota Y, Kanemitsu M, Sumii J, Nekomoto A, Adachi N. Retrograde drilling for osteochondral lesion of the talus in juvenile patients. Foot Ankle Orthop. 2020; 5(2): 2473011420916139. doi: 10.1177/2473011420916139.

  17. Minokawa S, Yoshimura I, Kanazawa K, Hagio T, Nagatomo M, Sugino Y, et al. Retrograde drilling for osteochondral lesions of the talus in skeletally immature children. Foot Ankle Int. 2020; 41(7): 827-33. doi: 10.1177/1071100720920847.

  18. Lambers KTA, Dahmen J, Reilingh ML, van Bergen CJA, Stufkens SAS, Kerkhoffs GMMJ. Arthroscopic lift, drill, fill and fix (LDFF) is an effective treatment option for primary talar osteochondral defects. Knee Surg Sports Traumatol Arthrosc. 2020; 28(1): 141-7. doi: 10.1007/s00167-019-05687-w.

  19. Lambers KTA, Dahmen J, Altink JN, Reilingh ML, van Bergen CJA, Kerkhoffs GMMJ. Bone marrow stimulation for talar osteochondral lesions at long-term follow-up shows a high sports participation though a decrease in clinical outcomes over time. Knee Surg Sports Traumatol Arthrosc. 2021; 29(5): 1562-9. doi: 10.1007/s00167-020-06250-8.

  20. Kramer DE, Glotzbecker MP, Shore BJ, Zurakowski D, Yen YM, Kocher MS, et al. Results of surgical management of osteochondritis dissecans of the ankle in the pediatric and adolescent population. J Pediatr Orthop. 2015; 35(7): 725-33. doi: 10.1097/BPO.0000000000000352.

  21. Jurina A, Dimnjakovic D, Mustapic M, Smoljanovic T, Bojanic I. Clinical and MRI outcomes after surgical treatment of osteochondral lesions of the talus in skeletally immature children. J Pediatr Orthop. 2018; 38(2): 122-7. doi: 10.1097/BPO.0000000000000745.

  22. Buda R, Pagliazzi G, Castagnini F, Cavallo M, Giannini S. Treatment of osteochondritis dissecans of the talus in skeletally immature population: a critical analysis of the available evidence. Foot Ankle Spec. 2016; 9(3): 265-70. doi: 10.1177/1938640016640889.

  23. Kerkhoffs GMMJ, Altink JN, Stufkens SAS, Dahmen J. Talar OsteoPeriostic grafting from the iliac crest (TOPIC) for large medial talar osteochondral defects: operative technique. Oper Orthop Traumatol. 2021; 33(2): 160-9. doi: 10.1007/s00064-020-00673-9.




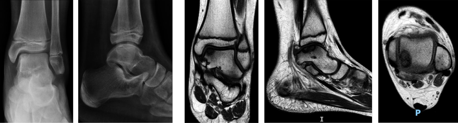
Figura 1
Figura 2
Figura 3
Figura 4
Figura 5

2020     |     www.medigraphic.com

Mi perfil

C?MO CITAR (Vancouver)

Acta Ortop Mex. 2022 Nov-Dic;36

ARTíCULOS SIMILARES

CARGANDO ...