medigraphic.com
ENGLISH

Acta Ortopédica Mexicana

ISSN 2992-8036 (Digital)
ISSN 2306-4102 (Impreso)
Órgano Oficial del Colegio Mexicano de Ortopedia y Traumatología
  • Mostrar índice
  • Números disponibles
  • Información
    • Información general        
    • Directorio
  • Publicar
    • Instrucciones para autores        
  • medigraphic.com
    • Inicio
    • Índice de revistas            
    • Registro / Acceso
  • Mi perfil

2022, Número 6

<< Anterior Siguiente >>

Acta Ortop Mex 2022; 36 (6)


Impacto del diámetro del clavo endomedular en la consolidación de fracturas diafisarias de tibia. Análisis retrospectivo sobre 96 pacientes

Garabano, G1; Crossa, JI1; Cullari, M1; Pérez-Alamino, L1; Pesciallo, CA1
Texto completo Cómo citar este artículo 10.35366/111867

DOI

DOI: 10.35366/111867
URL: https://dx.doi.org/10.35366/111867
Artículos similares

Idioma: Español
Referencias bibliográficas: 27
Paginas: 346-351
Archivo PDF: 182.47 Kb.


PALABRAS CLAVE

tibia, diáfisis de tibia, fractura de tibia, clavo endomedular, diámetro del clavo, consolidación.

RESUMEN

Introducción: el estándar de oro de tratamiento para la mayoría de las fracturas diafisarias de tibia está representado por el clavo endomedular (CEM). El objetivo de este estudio fue analizar la importancia del diámetro del CEM sobre la consolidación de fracturas diafisarias de tibia. Material y métodos: se realizó un estudio retrospectivo en pacientes con fracturas cerradas de tibia 42 OTA/AO, tratados con un CEM fresado y acerrojado, entre Enero de 2014 y Diciembre de 2020. Las variables analizadas fueron género, edad, comorbilidades, cantidad de cerrojos utilizados, relación clavo/canal (diferencia entre el diámetro del canal medular y clavo), el índice clavo/canal (razón entre diámetro del clavo y el canal medular), en relación con la tasa de consolidación y falla (retardo de consolidación y seudoartrosis). Resultados: la serie final se conformó por 96 pacientes y la tasa de consolidación fue de 91.7% (n = 88). Se observó un diámetro de clavo significativamente mayor en los pacientes que consolidaron respecto a los que fallaron (p = 0.0014), incrementando la posibilidad de consolidación 5.30 (p = 0.04) veces, por cada milímetro que el clavo aumentó su diámetro. Se observó un incremento de probabilidad de consolidación de 13.56 (p = 0.018) veces utilizando un clavo > 10 mm de diámetro. El índice clavo/canal ≥ 0.80 aumentó la posibilidad de consolidación 23.33 veces (p = 0.005). Conclusión: nuestros hallazgos sugieren que los CEM fresados y acerrojados en fracturas diafisarias de tibia deben colocarse del mayor diámetro posible (> 10 mm y con un índice clavo/canal ≥ 0.80) para favorecer la consolidación.



INTRODUCCIóN

Las fracturas diafisarias de tibia representan una de las fracturas más frecuentes que se presentan ante el cirujano de trauma ortopédico.1,2,3 El tratamiento indicado para la mayoría de ellas está representado por el clavo endomedular acerrojado (CEM).4,5 Con esta estrategia se han reportado tasas de consolidación de hasta 96.5%;6,7 sin embargo, algunas series describen porcentajes de fallas que pueden alcanzar 12%.8,9,10

En la búsqueda de las variables que afectan la consolidación de este tipo de fracturas, distintos parámetros han sido evaluados en la literatura, siendo uno de ellos el diámetro del clavo.11,12,13 Trabajos previos investigaron la influencia del diámetro del CEM sobre la consolidación, con resultados controversiales. Mientras algunos sugieren que la utilización de CEM del mayor diámetro posible favorecería la consolidación, otros autores no hallaron una relación directa entre el diámetro del clavo y la unión ósea.14,15,16,17,18

A la fecha existe escasa literatura sobre la relación existente entre el diámetro del CEM y su relación con la consolidación en fracturas diafisarias de tibia en la población latina. Nuestra hipótesis fue que cuanto menor es la diferencia entre el diámetro del canal medular y del clavo, mayor será la probabilidad de consolidación. Por lo tanto, el propósito de nuestro estudio fue determinar la relación entre el diámetro del CEM y la consolidación de las fracturas diafisarias cerradas de tibia.



MATERIAL Y MéTODOS

Luego de obtener la aprobación del Comité de Ética de nuestro hospital (protocolo número 8162), analizamos retrospectivamente la base de datos de nuestro servicio, identificando todos los pacientes tratados consecutivamente entre Enero de 2014 y Diciembre de 2020, por una fractura diafisaria de tibia.

Los criterios de inclusión fueron: pacientes mayores de 18 años; fractura diafisaria de tibia (OTA/AO 42) tratada con CEM fresado y acerrojado; seguimiento mínimo de 12 meses. Los pacientes tratados por fracturas patológicas y fracturas expuestas fueron excluidos.



VARIABLES ANALIZADAS

Registramos datos como género, edad, mecanismo de lesión (alta o baja energía), comorbilidades (diabetes, índice de masa corporal, fumadores).

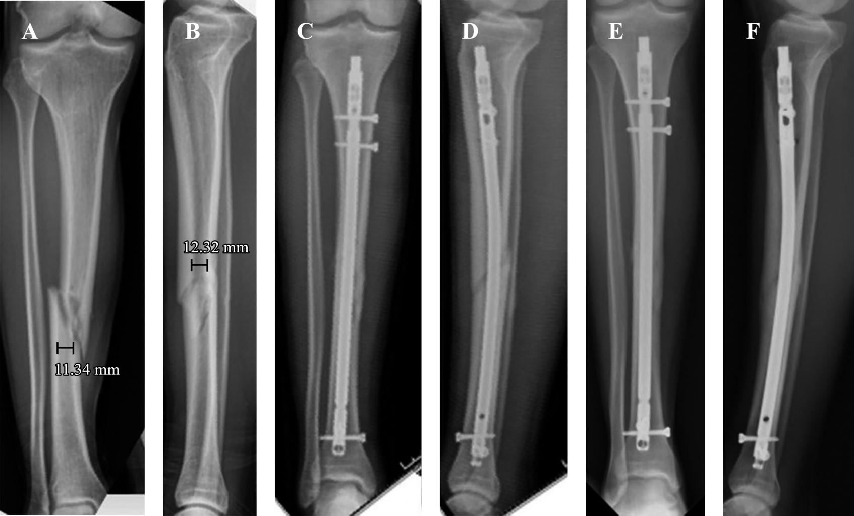
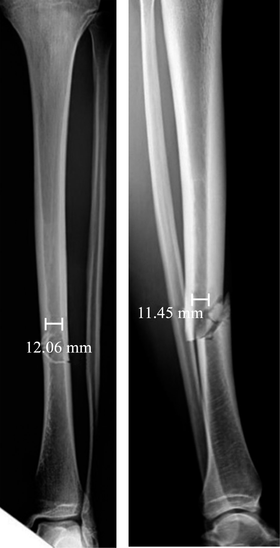
El análisis radiográfico fue realizado utilizando las proyecciones anteroposterior (AP) y lateral (L) de pierna. Con las radiografías del ingreso catalogamos las fracturas según la clasificación OTA/AO. Para determinar el diámetro del canal medular y evitar un sesgo de precisión utilizamos el software digital Synapse (Fujifilm Corporation) de nuestro centro. Dichas mediciones se realizaron en ambas proyecciones radiográficas (AP y L) a nivel del istmo en las radiografías de la lesión (Figura 1). Estas mediciones se realizaron en dos oportunidades (con un intervalo de tres meses) por dos observadores independientes y las diferencias se resolvieron por consenso junto al cirujano más experimentado. El diámetro del clavo se obtuvo de los registros del protocolo quirúrgico.

La discrepancia canal-clavo se obtuvo del valor resultante de la diferencia entre el diámetro del canal tibial y el diámetro del clavo. Por otra parte, la razón entre el diámetro del clavo sobre el diámetro del canal tibial se consideró como el índice clavo-canal, de acuerdo con lo establecido por Donegan y colaboradores.16 Además se registró el número de cerrojos utilizados tanto a proximal como a distal de la fractura.

Consolidación ósea se definió como la presencia de puentes óseos en al menos tres de las cuatro corticales en ambas proyecciones radiológicas, con ausencia de dolor ante la carga de peso.19 Se consideró como falla aquellos pacientes que desarrollaron retardo de consolidación (falta de consolidación entre los tres y nueve meses o ausencia de cambios radiográficos entre uno y tres meses) o seudoartrosis (tres meses consecutivos sin cambios radiográficos o falta de consolidación a los nueve meses).20 Asimismo, registramos cualquier tipo de complicación postoperatoria.



TéCNICA QUIRúRGICA

Todos los pacientes fueron operados por el mismo equipo quirúrgico, bajo anestesia raquídea y radioscopía intraoperatoria. Se administró un gramo de cefazolina por vía endovenosa 30 minutos antes de realizar el abordaje y dos dosis postoperatorias cada ocho horas como profilaxis. Los pacientes se posicionaron en decúbito dorsal sobre una mesa radiolúcida. El abordaje utilizado en todos los casos fue el trans-tendón rotuliano. La reducción de la fractura fue realizada manualmente y, en los casos en que no se logró, se utilizaron pinzas de reducción. Los clavos se bloquearon de manera estática en todos los casos, utilizando al menos dos cerrojos proximales y dos distales, siendo criterio del cirujano tratante la posibilidad de agregar cerrojos adicionales.

A todos los pacientes se les indicó el mismo protocolo de rehabilitación, permitiéndose la marcha con carga parcial asistida por muletas o andador y la flexoextensión de rodilla y tobillo, desde el primer día postoperatorio según tolerancia.

Los controles clínico-radiográficos postoperatorios fueron realizados en forma sistemática a las tres y seis semanas, a los tres, seis, nueve y 12 meses, continuando luego con controles anuales.



ANáLISIS ESTADíSTICO

Las variables numéricas fueron descritas como media y desviación estándar o mediana y rango intercuartílico de acuerdo con su distribución, evaluada a través del método de Kolmogórov-Smirnov, mientras que las cualitativas como frecuencias y porcentajes.

La comparación con las variables cuantitativas y categóricas fueron realizadas mediante las pruebas de t de Student y χ2 (o método exacto de Fischer de ser necesario), respectivamente. Consideramos como diferencia significativa un valor de p < 0.05. Luego del análisis comparativo entre los pacientes que presentaron consolidación y los que no, categorizamos las variables según las diferencias observadas (diámetro del clavo > 10 mm, diferencia > 3 mm e índice clavo-canal [ICC] > 0.80) y posteriormente realizamos un análisis multivariado con las variables de interés significativas.

Los datos recopilados fueron analizados en una planilla Excel® (Redmon, USA) y para realizar los cálculos estadísticos utilizamos el software GraphPad Prism 8.0® (LaJoya, CA, USA).



RESULTADOS

De un total de 118 pacientes, 17 se excluyeron por presentar fracturas expuestas, dos por relacionarse a patología oncológica y tres por no completar el seguimiento mínimo. La serie final quedó conformada por 96 pacientes con 96 fracturas, con una mediana de seguimiento de 24 meses (rango: 12.0-56.3).

Las características de la serie se describen en la Tabla 1.

La tasa de consolidación fue de 91.7% (n = 88), en una media de tiempo de 5.1 ± 2.3 meses posterior a la cirugía (Figura 2). Ocho (8.3%) pacientes evolucionaron con falla, de los cuales tres (3.1%) presentaron retardo de consolidación, logrando la curación ósea con la dinamización del clavo realizada a las 12, 14 y 20 semanas en cada caso. Los cinco (5.2%) restantes desarrollaron seudoartrosis y fueron tratados mediante un recambio del CEM por uno de mayor diámetro y, además, en dos de ellos se utilizó aloinjerto óseo.

Registramos cinco (5.2%) complicaciones: una infección superficial, una trombosis venosa profunda y tres casos de osteosíntesis dolorosas, relacionados a intolerancia de los cerrojos distales, los cuales debieron ser retirados luego de la consolidación.



ANáLISIS COMPARATIVO ENTRE LOS PACIENTES QUE CONSOLIDARON Y LOS QUE FALLARON

Comparativamente no hubo diferencias significativas respecto del género, edad, índice de masa corporal (IMC), diabetes (DBT), tabaquismo, energía de trauma, tipo de fractura, ni número de cerrojos utilizados, entre ambos grupos.

Los pacientes que consolidaron presentaron un diámetro de clavo significativamente mayor con respecto a los que fallaron (p = 0.0014). Al agrupar los pacientes en dos categorías según el diámetro del clavo: > 10 mm (11, 12 y 13 mm) y ≤ 10 mm (9 y 10 mm), observamos que hubo una asociación significativa entre falla y pacientes con un clavo ≤ 10 mm (p = 0.006). Al analizar la diferencia entre el diámetro del canal medular y del clavo, observamos que los pacientes que evolucionaron con falla presentaron una diferencia mayor (p = 0.0012). Respecto al índice clavo/canal, observamos que los pacientes que evolucionaron a consolidación tuvieron un valor significativamente mayor respecto de los que fallaron (p = 0.0024) (Tabla 2).



ANáLISIS MULTIVARIADO

Con el modelo final ajustado, observamos que el diámetro del clavo y el índice clavo canal resultaron variables independientes relacionadas con la consolidación. Mientras que una diferencia mayor o igual a 3 mm entre el diámetro del canal medular y el clavo presentó un efecto negativo sobre la consolidación (Tabla 3).



DISCUSIóN

Este estudio muestra la relación existente entre el diámetro del CEM y del canal medular en la consolidación de las fracturas diafisarias de tibia, respondiendo nuestra hipótesis inicial. Nuestros resultados sugieren que la utilización de clavos con un diámetro ≥ 11 mm, una diferencia de diámetros entre el canal medular y el clavo < 3.2 mm y un índice clavo-canal ≥ 0.8, favorecen la consolidación.

Históricamente, ha existido cierto debate sobre si un clavo de mayor diámetro es beneficioso en la fijación intramedular de las fracturas de la diáfisis tibial.14,16,18,21 En los años 90, surgió una tendencia de la utilización de diámetros menores de CEM para disminuir el daño endostal en fracturas.20,21,22 Sin embargo, actualmente múltiples autores han demostrado que el proceso de fresado, aunque es transitoriamente perjudicial para el suministro de sangre endostal, permite la inserción de un clavo de mayor diámetro, aumentando la relación clavo/canal.16,23,24,25,26 Esta construcción más rígida conduce a una disminución del movimiento interfragmentario, aumenta la estabilidad y favorece la consolidación ósea.27 Adicionalmente, diferentes estudios han mostrado que los clavos tibiales de menor diámetro (8-9 mm) pueden conducir al fracaso, con índices de rotura del clavo o cerrojos reportados entre 3 y 20%.7,8 En relación con esto, Penzkofer y colaboradores,14 en un estudio biomecánico, recomendaron usar el mayor diámetro de clavo posible para disminuir el movimiento en el sitio de fractura y aumentar la rigidez total del constructo. Nuestro estudio, concuerda con estos hallazgos, demostrando que los clavos de más de 10 mm aumentan significativamente las oportunidades de consolidación hasta 13.56 veces y que por cada milímetro que se aumenta su diámetro, la posibilidad de consolidación se incrementa 5.30 veces. Por otro lado, demuestra también que cuando la diferencia entre el diámetro del canal y clavo es mayor de 3 mm, esta variable ejerce un efecto "inverso" sobre la consolidación.

Uno de los primeros informes donde se destaca la relación entre consolidación y el índice clavo-canal fue reportada por Donegan y colaboradores.16 En su serie analizaron 78 pacientes con fracturas diafisarias de tibia tratados con CEM e informaron que los pacientes cuya relación clavo-canal se encontraba entre 0.80 y 0.99, tenían 4.4 veces más posibilidades de consolidar. De manera opuesta a estos resultados, Kawasaki y asociados,17 en su estudio retrospectivo sobre 258 pacientes, reportaron que no encontraron relación significativa entre el índice clavo-canal y seudoartrosis. Una posible explicación para esto es que un porcentaje importante de los pacientes de la serie presentaban graves lesiones de partes blandas, lo cual ha sido claramente demostrado como una variable que puede afectar negativamente la consolidación.27 Los resultados de nuestro estudio, evaluando exclusivamente fracturas cerradas, coinciden con lo reportado por Donegan y su grupo,16 en que un índice clavo-canal mayor o igual a 0.80 favorece la consolidación, aumentando sus chances hasta 23 veces. En contrapartida, un índice clavo-canal de 0.72 se asoció significativamente con falla, contrastando lo reportado por Kawasaki y colaboradores.17

Las limitaciones de este estudio se basan en su diseño retrospectivo y la ausencia de un grupo control. Por otro lado, si bien analizamos un número relativamente bajo de pacientes, comparativamente a otras series la cantidad de pacientes resultó similar e incluso superior. Al mismo tiempo, al evaluarse sólo fracturas cerradas, nuestros resultados no serían aplicables a todos los tipos de fracturas diafisarias de tibia.



CONCLUSIóN

Nuestros hallazgos sugieren que el diámetro del clavo intramedular influye en la consolidación de fracturas diafisarias de tibia. Su implantación con un diámetro > 10 mm y un ICC > 0.80 impacta significativamente sobre la consolidación. Futuros estudios correctamente diseñados se necesitan para confirmar estos hallazgos.


REFERENCIAS (EN ESTE ARTÍCULO)

  1. Mahajan A, Kumar N, Gupta B. Delayed tibial shaft fracture healing associated with smoking: a systematic review and meta-analysis of observational studies conducted worldwide. Int J Environ Res Public Health. 2021; 18(19): 10228.

  2. Bhandari M, Guyatt G, Tornetta P 3rd, Schemitsch EH, Swiontkowski M, Sanders D, et al. Randomized trial of reamed and unreamed intramedullary nailing of tibial shaft fractures. J Bone Joint Surg Am. 2008; 90(12): 2567-78.

  3. Álvarez LA, García LY. Fracturas cerradas de la diáfisis tibial. Acta Ortop Mex. 2005; 19(3): 122-7.

  4. Clark D, Vo LU, Piscoya AS, Chan A, Dunn JC. Systematic review and analysis of the quality of randomized controlled trials comparing reamed and unreamed intramedullary nailing of tibial fractures. J Orthop Trauma. 2021; 35(2): 59-64.

  5. Im GI, Tae SK. Distal metaphyseal fractures of tibia: a prospective randomized trial of closed reduction and intramedullary nail versus open reduction and plate and screws fixation. J Trauma. 2005; 59(5): 1219-23.

  6. Xia L, Zhou J, Zhang Y, Mei G, Jin D. A meta-analysis of reamed versus unreamed intramedullary nailing for the treatment of closed tibial fractures. Orthopedics. 2014; 37(4): e332-8.

  7. Gaebler C, McQueen MM, Vécsei V, Court-Brown CM. Reamed versus minimally reamed nailing: a prospectively randomised study of 100 patients with closed fractures of the tibia. Injury. 2011; 42 Suppl 4: S17-21.

  8. Bhandari M, Guyatt GH, Swiontkowski MF, Schemitsch EH. Treatment of open fractures of the shaft of the tibia. J Bone Joint Surg Br. 2001; 83(1): 62-8.

  9. Bilat C, Leutenegger A, Ruedi T. Osteosynthesis of 245 tibial shaft fractures: early and late complications. Injury. 1994; 25(6): 349-58.

  10. Hupel TM, Askenov SA, Schemitsch EH. Cortical bone blood flow in loose and tight fitting locked unreamed intramedullary nailing: a canine segmental tibia fracture model. J Orthop Trauma. 1998; 12(2): 127-35.

  11. Fairbank AC, Thomas D, Cunningham B, Curtis M, Jinnah RH. Stability of reamed and unreamed intramedullary tibial nails: a biomechanical study. Injury. 1995; 26(7): 483-5.

  12. Claes LE, Heigele CA, Neidlinger-Wilke C, Kaspar D, Seidl W, Margevicius KJ, et al. Effects of mechanical factors on the fracture healing process. Clin Orthop Relat Res. 1998; (355 Suppl): S132-47.

  13. Kessler SB, Hallfeldt KK, Perren SM, Schweiberer L. The effects of reaming and intramedullary nailing on fracture healing. Clin Orthop Relat Res. 1986; (212): 18-25.

  14. Penzkofer R, Maier M, Nolte A, von Oldenburg G, Puschel K, Buhren V, et al. Influence of intramedullary nail diameter and locking mode on the stability of tibial shaft fracture fixation. Arch Orthop Trauma Surg. 2009; 129(4): 525-31.

  15. Sanders R, Jersinovich I, Anglen J, DiPasquale T, Herscovici D Jr. The treatment of open tibial shaft fractures using an interlocked intramedullary nail without reaming. J Orthop Trauma. 1994; 8(6): 504-10.

  16. Donegan DJ, Akinleye S, Taylor RM, Baldwin K, Mehta S. Intramedullary nailing of tibial shaft fractures: size matters. J Orthop Trauma. 2016; 30(7): 377-80.

  17. Kawasaki N, Takegami Y, Sakai R, Todoroki K, Uemi R, Imagama S; Hospitals of Trauma Research of Nagoya (TRON) group. Prediction of delayed union of tibial shaft fracture treated with intramedullary nailing: multicenter-study analysis and literature review-the TRON study. Eur J Orthop Surg Traumatol. 2022; 32(1): 129-35.

  18. Bedeir FK, Mohamed MAS, Hegazy MM, Zawam SH. Are small-diameter intramedullary nails enough for treating simple diaphyseal tibial fractures? A comparative study between small versus large nails. Eur J Trauma Emerg Surg. 2022; 48(5): 3677-81.

  19. Whelan DB, Bhandari M, Stephen D, Kreder H, McKee MD, Zdero R, et al. Development of the radiographic union score for tibial fractures for the assessment of tibial fracture healing after intramedullary fixation. J Trauma. 2010; 68(3): 629-32.

  20. Smith RM. Aseptic nonunion. In: AO Principles of fracture management. 3rd ed. Davos, Switzerland: AO Foundation; 2017. pp. 513-528.

  21. Perren SM. Evolution of the internal fixation of long bone fractures. The scientific basis of biological internal fixation: choosing a new balance between stability and biology. J Bone Joint Surg Br. 2002; 84(8): 1093-110.

  22. Henley M, Mayo K. Prospective comparison of unreamed interlocking intramedullary nail vs half pin external fixation for grade II and III open tibial fractures. J Orthop Trauma. 1990; 4(2): 223-9.

  23. Blachut PA, O'Brien PJ, Meek RN, Broekhuyse HM. Interlocking intramedullary nailing with and without reaming treatment of closed fractures of the tibial shaft. A prospective, randomized study. J Bone Joint Surg Am. 1997; 79(5): 640-6.

  24. Nork SE, Schwartz AK, Agel J, Holt SK, Schrick JL, Winquist RA. Intramedullary nailing of distal metaphyseal tibial fractures. J Bone Joint Surg Am. 2005; 87(6): 1213-21.

  25. Bone LB, Johnson KD. Treatment of tibial fractures by reaming and intramedullary nailing. J Bone Joint Surgery Am. 1986; 68(6): 877-87.

  26. Cui Y, Hua X, Schmidutz F, Zhou J, Yin Z, Yan SG. Suprapatellar versus infrapatellar approaches in the treatment of tibia intramedullary nailing: a retrospective cohort study. BMC Musculoskelet Disord. 2019; 20(1): 573-83.

  27. Metsemakers WJ, Kortram K, Ferreira N, Morgenstern M, Joeris A, Pape HC, et al. Fracture-related outcome study for operatively treated tibia shaft fractures (F.R.O.S.T.): registry rationale and design. BMC Musculoskelet Disord. 2021; 22(1): 57.



AFILIACIONES

1 Servicio de Ortopedia y Traumatología del Hospital Británico de Buenos Aires, Argentina.



Conflicto de intereses: los autores declaran que no tienen conflicto de intereses.

Ética: este estudio fue aprobado por el Comité de Ética del Hospital Británico de Buenos Aires (protocolo número 8162), de acuerdo con los estándares nacionales y la declaración de Helsinki de 1964 y sus posteriores enmiendas.



NIVEL DE EVIDENCIA

III



CORRESPONDENCIA

Germán Garabano. E-mail: ggarabano@gmail.com; ggarabano@hbritanico.com.ar




Recibido: 11-02-2023. Aceptado: 01-04-2023.

Figura 1
Figura 2
Tabla 1
Tabla 2
Tabla 3

2020     |     www.medigraphic.com

Mi perfil

C?MO CITAR (Vancouver)

Acta Ortop Mex. 2022 Nov-Dic;36

ARTíCULOS SIMILARES

CARGANDO ...