medigraphic.com
ENGLISH

Acta Ortopédica Mexicana

ISSN 2992-8036 (Digital)
ISSN 2306-4102 (Impreso)
Órgano Oficial del Colegio Mexicano de Ortopedia y Traumatología
  • Mostrar índice
  • Números disponibles
  • Información
    • Información general        
    • Directorio
  • Publicar
    • Instrucciones para autores        
  • medigraphic.com
    • Inicio
    • Índice de revistas            
    • Registro / Acceso
  • Mi perfil

2022, Número 6

<< Anterior Siguiente >>

Acta Ortop Mex 2022; 36 (6)


Zapato de suela rígida versus zapato de suela invertida en la cirugía de hallux valgus: análisis clínico, funcional y radiológico

Calle-García, JA1; Matas-Pareja, M1; Campillo-Recio, D1,2; Rivera-Fierres, S1; Albertí-Fitó, G1,2
Texto completo Cómo citar este artículo 10.35366/111871

DOI

DOI: 10.35366/111871
URL: https://dx.doi.org/10.35366/111871
Artículos similares

Idioma: Español
Referencias bibliográficas: 16
Paginas: 373-378
Archivo PDF: 184. Kb.


PALABRAS CLAVE

hallux valgus, zapato ortopédico, osteotomía scarf, osteotomía akin.

RESUMEN

Introducción: el calzado ortopédico suele prescribirse en el postoperatorio de cirugía de hallux valgus para proteger la osteotomía y mantener la funcionalidad al paciente. En este sentido, la superioridad del zapato de suela rígida en comparación con el zapato de suela invertida sigue siendo controvertido. El objetivo de este estudio es comparar los resultados clínicos, funcionales y radiológicos entre el uso del zapato de suela rígida (ZSR) y el zapato de suela invertida (ZSI) después de la cirugía de hallux valgus. Material y métodos: un total de 57 pacientes intervenidos de hallux valgus fueron incluidos y analizados retrospectivamente. En un grupo se incluyeron 28 pacientes que usaron el ZSR, mientras que el segundo grupo incluyó a 29 pacientes que usaron el ZSI. El zapato ortopédico se usó durante seis semanas tras la cirugía. Se recogieron datos clínicos (dolor lumbar y articular de las extremidades inferiores, necesidad de muletas y problemas para subir y bajar escaleras), datos radiológicos (AIM, AHV), así como complicaciones postoperatorias (desplazamiento de osteotomía, fractura del primer metatarsiano o seudoartrosis). Resultados: el zapato de suela rígida mostró menor dificultad para subir y bajar escaleras (OR 3.8 (IC 95% 1.2-12.8), p 0.02), sólo para subir (OR 3.2 (IC 95% 1.1-10), p 0.03), así como una disminución de la necesidad de muletas (OR 1.7 (IC 95% 1.04-2.6), p < 0.03). El dolor de columna lumbar o articular de extremidades inferiores no mostró diferencias estadísticas. No se encontraron diferencias estadísticas en los datos epidemiológicos y radiológicos entre los grupos. Conclusiones: el zapato de suela parece aportar más comodidad a los pacientes sin aumentar las complicaciones radiológicas.



ABREVIATURAS:

  • AHV = ángulo hallux valgus.
  • AIM = ángulo intermetatarsiano.
  • ZSR = zapato de suela rígida.
  • ZSI = zapato de suela invertida.
  • OR = Odds Ratio.
  • IC = intervalo de confianza.



INTRODUCCIóN

La protección postoperatoria durante la carga después de la cirugía de hallux valgus es un factor importante para conseguir un buen resultado del procedimiento. Para garantizar esta protección, los pacientes suelen utilizar un calzado de descarga del antepié.1 Dos diseños son los más utilizados por los cirujanos: el zapato de suela invertida (ZSI) y el zapato de suela rígida (ZSR). El zapato de suela invertida, descrito por Barouk,2,3 consiste en un tacón corto sin apoyo del medio y antepié. Se indica principalmente para descargar la osteotomía, puesto que traslada el peso al talón.2,3 Las principales desventajas de este calzado ortopédico son la incapacidad para caminar correctamente debido a la dismetría temporal que causa entre las extremidades inferiores y un aumento de 25 a 48.5% en la presión plantar en el pie contralateral.4 Para evitar estos inconvenientes, algunos cirujanos están utilizando un zapato de suela rígida (ZSR). Esta ortesis presenta una suela completa que permite soportar peso en el medio y antepié.1 Este diseño, por un lado, posibilita una deambulación más anatómica, evitando posibles dolores articulares5 pero, por otro lado, al permitir la carga del antepié aumenta el riesgo de desplazamiento de la osteotomía.1

En resumen, no existe un claro consenso en cuanto a utilizar uno u otro modelo de zapato en la cirugía aislada del hallux valgus.1 Por tanto, tal y como se reconoce en la literatura, disponer de más estudios podría ser de gran utilidad.5

El objetivo de este estudio es explorar si existen diferencias en los resultados clínicos, funcionales y radiográficos entre el uso del zapato de suela rígida frente al zapato de suela invertida en pacientes intervenidos de hallux valgus (Figura 1).



MATERIAL Y MéTODOS

Fueron revisados retrospectivamente los datos clínicos de pacientes intervenidos de hallux valgus mediante osteotomía del primer metatarsiano y de la primera falange entre Mayo de 2011 y Febrero de 2016. Todos estos pacientes fueron diagnosticados de una deformidad en hallux valgus moderada y/o severa. De acuerdo con la literatura, se consideró un hallux valgus moderado un ángulo de hallux valgus (AHV) entre 21°-40° y un ángulo intermetatarsiano (AIM) entre 11° y -16°. Las deformidades severas fueron aquellas con AHV superior a 40° y AIM superior a 16°.6

Los criterios de exclusión fueron hallux valgus leves, hallux valgus y comorbilidades como pie diabético o enfermedades neurológicas o reumáticas. Ninguno de los pacientes incluidos había sido operado previamente del hallux y en ningún caso se asociaron otros procedimientos del antepié como osteotomías de los radios menores o cirugía de corrección de deformidades de los dedos.

En total se incluyeron 57 pacientes. A todos se les realizó una osteotomía en Scarf del primer metatarsiano y una osteotomía de Akin de la falange proximal. Los pacientes fueron intervenidos por dos cirujanos senior especialistas en cirugía de pie y tobillo. Un cirujano usó un zapato de suela rígida (ZSR) y el otro cirujano un zapato de suela invertida (ZSI), según sus preferencias. Todos los pacientes usaron el zapato prescrito desde el primer día postoperatorio y hasta un total de seis semanas.

Se obtuvieron dos grupos. El grupo ZSR (N = 28) estaba formado por 21 mujeres (75%) y siete hombres (25%) con edad media de 62.3 ± 15.6 años. El grupo ZSI (N = 29) estuvo formado por 24 mujeres (82.8%) y cinco hombres (17.2%) con edad media de 63.7 ± 7.4 años. En el grupo ZSR fueron intervenidos 18 pacientes del pie derecho (64.3%), seis del pie izquierdo (21.4%) y cuatro casos bilaterales (14.3%), en diferentes sesiones. En el grupo ZSI hubo 15 intervenidos del pie derecho (52%), 14 del pie izquierdo (48%) y ningún caso fue bilateral (Tabla 1).

Se preguntó a todos los pacientes sobre la presencia de dolor lumbar y/o articular en las extremidades inferiores (cadera, rodilla, tobillo), tanto antes de la cirugía como durante el postoperatorio. El empeoramiento o la aparición de cualquiera de estas algias durante el período postoperatorio también fue registrado. Finalmente, se recogieron datos relacionados con la dificultad para subir y/o bajar escaleras y la necesidad de muletas durante el uso del calzado postoperatorio.

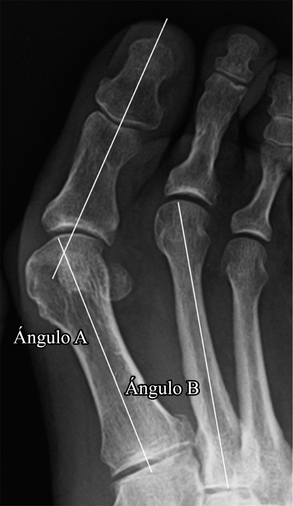
Las radiografías que se utilizaron para el estudio eran todas en carga y fueron revisadas retrospectivamente. El ángulo hallux valgus (AHV) y el ángulo intermetatarsiano (AIM) se midieron antes de la cirugía y a los tres meses de la misma. También se recogieron las complicaciones quirúrgicas, tales como el desplazamiento secundario de la osteotomía, la fractura del primer metatarsiano o la presencia de una seudoartrosis. Los datos se analizaron utilizando el sistema Raim Viewer (versión 2.5). La Figura 2 muestra el ángulo a correspondiente al AHV y el ángulo b que corresponde con el AIM.7

Para el análisis estadístico, las variables cualitativas fueron expresadas en frecuencias y porcentajes y las variables cuantitativas en medias y desviaciones estándar.

Se utilizó la prueba χ2 para comprobar si los grupos ZSR y ZSI estaban equilibrados en cuanto a género y lateralidad. Se analizó la asociación entre el calzado utilizado durante el postoperatorio y las variables dolor (nuevo o empeoramiento), dificultad para subir y/o bajar escaleras y la necesidad de muletas mediante la prueba de χ2, así como se calculó la oportunidad relativa (Odds Ratio, OR) con un intervalo de confianza (IC) de 95%. La normalidad de las variables cuantitativas se comprobó mediante la prueba de Shapiro-Wilk. Se utilizó la U de Mann-Whitney para comprobar si los grupos ZSR y ZSI estaban equilibrados para la edad y para el AHV y el AIM preoperatorio. La misma prueba fue utilizada para comparar entre los dos grupos el AHV y el AIM postoperatorio. Para todas las pruebas, una p < 0.05 se consideró estadísticamente significativa. Para el análisis estadístico se utilizó el paquete de software R versión 3.4.4 (R Foundation for Statistical Computing) para GNU (The Free Software Foundation).

Para la realización de este estudio se obtuvo el permiso del Comité de Ética de nuestra institución (Referencia del Comité de Ética PI-16-165, código HVSABATA). Los participantes de la encuesta fueron completamente informados sobre el procedimiento y se requirió el consentimiento informado.



RESULTADOS

Los grupos ZSR y ZSI resultaron equilibrados para las variables edad y género. La lateralidad fue significativamente diferente entre los grupos (p 0.02), tal y como refleja la Tabla 1.

No se encontraron diferencias significativas en el dolor lumbar y/o articular previo a la cirugía entre los dos grupos. En el grupo ZSR 13 (46.4%) pacientes presentaban algún dolor, frente a 20 (69%) en el grupo ZSI (Tabla 2).

Después de la cirugía y durante el uso del calzado postoperatorio, en el grupo ZSR se registró empeoramiento del dolor previo en cuatro (14.2%) pacientes y la aparición de un nuevo dolor en seis (21.4%) casos. En el grupo de ZSI se produjo empeoramiento del dolor en siete (24.1%) pacientes y la aparición de un nuevo dolor en tres (10.3%) casos. No se observaron diferencias significativas al comparar ambos grupos (Tabla 3).

Los pacientes necesitaron muletas en siete (25%) casos en el grupo ZSR, mientras que el grupo ZSI fueron 16 (55%) pacientes. En cuanto a la dificultad para las escaleras, 12 (42,8%) pacientes del grupo ZSR frente a 20 (68,9%) del grupo ZSI tuvieron alguna dificultad para realizar esta actividad. Estadísticamente, el grupo ZSI mostró un aumento significativo en la necesidad de muletas (odds ratio 1.7, IC95%, 1.04-2.6, p < 0.03), además de mayor dificultad tanto para subir como bajar escaleras (odds ratio 3.8, IC95%, 1.2-12.8, p 0.02) y sólo para subirlas (odds ratio 3.2, IC95%, 1.1-10, p 0.03). No se encontraron diferencias estadísticamente significativas al comparar sólo bajar escaleras. Los resultados relativos a la necesidad de muletas y a la dificultad para subir y/o bajar escaleras se resumen en la Tabla 4.

En cuanto al análisis radiológico, se registraron dos complicaciones, un desplazamiento secundario de la osteotomía y una fractura del primer metatarsiano, en el grupo ZSR (7%); mientras que en el grupo ZSI hubo sólo un caso de desplazamiento secundario de la osteotomía (3.4%). Los valores medios preoperatorios del AHV fueron de 36.9° ± 6.6 en el grupo ZSR y de 39.8° ± 9.4 en el grupo ZSI. A los tres meses de la cirugía, el AHV fue de 17° ± 8.5 en el grupo ZSR y de 22° ± 8.1 en el grupo ZSI. El AIM preoperatorio medio fue de 13.3° ± 3.3 en el grupo ZSR y de 14.9 o ± 4.3 en el grupo ZSI. El AIM medio a los tres meses postoperatorios fue de 9.3° ± 3.6 en el grupo ZSR y de 11.3° (3.6) en el grupo RCS (Figura 3A y B). No se encontraron diferencias estadísticamente significativas entre las complicaciones radiológicas postoperatorias, ni tampoco en los valores del AHV y AIM pre y postoperatorios.



DISCUSIóN

En nuestro estudio, el zapato de suela rígida (ZSR) parece ser más cómodo que el zapato de suela invertida (ZSI) en el postoperatorio de la cirugía de hallux valgus moderado y severo, sin diferencias significativas en cuanto a los resultados radiológicos. Aunque estos resultados están de acuerdo con la literatura, no se habían publicado previamente resultados funcionales específicos. Patel y colaboradores5 compararon el uso del ZSR con el ZSI después de la cirugía de hallux valgus y Dearden y su equipo8 compararon ambos zapatos en pacientes sometidos a osteotomías en Scarf o artrodesis de la primera articulación metatarsofalángica. En esos estudios, ambos zapatos fueron clínica y funcionalmente comparables, sin repercusiones radiológicas. Sin embargo, los pacientes se sintieron más cómodos y satisfechos con el ZSR. Sarmah y su equipo9 evaluaron sólo el ZSI después de la osteotomía del primer metatarsiano y concluyeron que 12.5% de los pacientes abandonaron el uso del zapato antes de completar el tiempo recomendado. Los autores relacionaron este incumplimiento con la edad avanzada, el dolor de cadera o de miembros inferiores y el dolor lumbar. En ese sentido, Hook y colaboradores10 cuantificaron el período de adaptación al ZSI después de la osteotomía en Scarf en unos cinco días de promedio, experimentando dolor en las extremidades inferiores 16% de los pacientes durante las seis semanas de postoperatorio con el calzado. En este mismo estudio, 16 de los 78 pacientes evaluados consideraron que la duración prescrita del uso del calzado ortopédico era excesivamente prolongada, aunque sólo seis de esos pacientes abandonaron el calzado antes de completar las seis semanas de tratamiento postoperatorio. En promedio, todos los pacientes usaron muletas durante 4.3 semanas.

Hemos obtenido diferencias significativas en aspectos funcionales específicos que pueden explicar por qué los pacientes que usaron calzado postoperatorio de suela rígida se sintieron más cómodos y satisfechos. En primer lugar, el uso de muletas fue menos frecuente en los pacientes incluidos en el grupo ZSR en comparación con el grupo ZSI (p < 0.03). Además, el grupo ZSI mostró más dificultad para subir y bajar escaleras y también para sólo subir escaleras.

En la literatura también han sido publicados estudios biomecánicos que cuestionan el uso del ZSI en la osteotomía en Scarf. Estos trabajos concluyen que el ZSR y el ZSI se pueden utilizar indistintamente debido a que la osteotomía en Scarf es una osteotomía estable. Sin embargo, el ZSI es preferible en pacientes con osteoporosis severa o en caso de incumplimiento del paciente.1,11 En cuanto a la diferencia de presión ejercida sobre el pie, Navarro-Cano y colaboradores12 compararon el ZSR y el ZSI en especímenes cadavéricos. Ambos disminuyeron la carga sobre el talón y la cabeza del primer metatarsiano al cargar el pie con 30 o más kilogramos, aunque sin diferencias estadísticamente significativas.

La presión aplicada sobre el pie con el uso de diferentes zapatos postoperatorios también ha sido evaluada en la población general. Caravaggi y su equipo13 compararon en 10 mujeres sanas el ZSI, la suela completa y un zapato convencional. Los autores concluyeron que el ZSI disminuía mejor las presiones en el antepié que el zapato de suela completa, pero se asociaba a diferentes alteraciones de la marcha que provocaban modificaciones cinemáticas en las articulaciones de los miembros inferiores y molestias durante su uso.

Para mejorar la comodidad de los pacientes al usar el calzado de suela invertida, algunos autores han propuesto la implantación de un alza en el calzado contralateral, evitando así la dismetría entre las dos piernas. Paton y colaboradores14 verificaron que el uso de una elevación contralateral beneficia el mantenimiento de la estabilidad, sin perjudicar la reducción de la presión sobre el primer metatarsiano y el hallux. Por tanto, tal y como recomienda Paton, parece ser una buena opción en los casos en los que sea obligatorio el uso de este tipo de calzado postoperatorio, como son los pacientes con neuropatías periféricas. Sería interesante diseñar más estudios que comparen la comodidad que siente el paciente al utilizar el ZSI con y sin alza contralateral.

En nuestro estudio, el uso del ZSR y del ZSI presentan diferencias estadísticamente significativas en aspectos funcionales de su uso, sin interferir en los resultados radiológicos. No se han registrado más complicaciones con el uso del ZSR ni diferencias estadísticamente significativas en cuanto a las correcciones radiológicas postoperatorias conseguidas. Por el contrario, aspectos clínicos como la influencia de estos zapatos postoperatorios en el dolor, en su empeoramiento o en su nueva aparición, no ha sido demostrada en nuestro estudio. Probablemente se deba al pequeño tamaño de la muestra de cada grupo.

Es importante resaltar algunos aspectos del presente estudio. En primer lugar, se incluyeron pacientes con edad media de 60 años y hallux valgus moderados o severos. Este es un punto interesante, dado que traduce que ha sido valorada la idoneidad del calzado en pies con probable mala calidad ósea y en cirugías exigentes en cuanto a la corrección angular. Además, sólo fueron incluidos casos con cirugía aislada de hallux valgus, a fin de eliminar un posible sesgo de procedimiento, tal y como se ha sugerido en otros estudios similares.8 Finalmente, cabe señalar que algunos de los estudios referenciados utilizaron pacientes sanos1,4,11,13 o especímenes cadavéricos.12 El hecho de no haber sido operado puede introducir un sesgo en los resultados. Carl y colaboradores1 y Deleu y su equipo4 consideraron el uso de individuos sanos como una limitación importante.

No obstante, somos conscientes de las limitaciones de este estudio. En primer lugar, se trata de un estudio retrospectivo. En segundo lugar, el tamaño muestral es pequeño. Esto se debe a que la cirugía del primer metatarso se asocia comúnmente con la cirugía de los radios y los dedos menores, intervenciones incluidas en los criterios de exclusión del presente estudio. En tercer lugar, no podemos descartar la posibilidad de que las diferencias entre los grupos pudieran estar relacionadas con una variabilidad intercirujano. Esta es una limitación común de otros estudios retrospectivos caso-control similares, en los que las técnicas son realizadas por diferentes cirujanos.15,16 Finalmente, no se ha realizado un estudio de la marcha, análisis que podría explicar las alteraciones de la marcha en cada grupo.



CONCLUSIóN

En el presente estudio, el zapato de suela rígida brinda mayor comodidad al paciente después de una cirugía de hallux valgus moderado o severo. Este calzado disminuye la necesidad de muletas y la dificultad de subir y bajar escaleras, sin aumentar la incidencia de complicaciones radiológicas y consiguiendo la misma corrección de los ángulos postoperatorios.

El uso del ZSR es una alternativa de calzado postoperatorio en la cirugía de hallux valgus en pacientes mayores sin comorbilidades. Sin embargo, es necesario un estudio con mayor número de pacientes para evaluar estadísticamente los resultados clínicos relacionados con el dolor lumbar o articular de miembros inferiores.


REFERENCIAS (EN ESTE ARTÍCULO)

  1. Carl HD, Pfander D, Swoboda B. Assessment of plantar pressure in forefoot relief shoes of different designs. Foot Ankle Int. 2006; 27(2): 117-20. doi: 10.1177/107110070602700208.

  2. Barouk LS. Use of postoperative shoe without forefoot support, comparative statistical study. Actualités de Medicine et Chirurgie du Pied. 1986; 17: 57-69.

  3. Barouk LS. Re: the use of post-operative reverse camber shoes following scarf osteotomy. Foot Ankle Surg. 2009; 15(4): 210. doi: 10.1016/j.fas.2009.03.001.

  4. Deleu PA, Leemrijse T, Vandeleene B, Maldague P, Bevernage BD. Plantar pressure relief using a forefoot offloading shoe. Foot Ankle Surg. 2010; 16(4): 178-82. doi: 10.1016/j.fas.2009.10.010.

  5. Patel S, Garg P, Fazal MA, Shahid MS, Park DH, Ray PS. A comparison of two designs of postoperative shoe on function, satisfaction, and back pain after hallux valgus surgery. Foot Ankle Spec. 2019; 12(3): 228-32. doi: 10.1177/1938640018782608.

  6. Mann RA, Coughlin MJ. Hallux valgus etiology, anatomy, treatment and surgical considerations. Clin Orthop Relat Res. 1981; (157): 31-41.

  7. Lee KM, Ahn S, Chung CY, Sung KH, Park MS. Reliability and relationship of radiographic measurements in hallux valgus. Clin Orthop Relat Res. 2012; 470(9): 2613-21. doi: 10.1007/s11999-012-2368-6.

  8. Dearden PM, Ray RI, Robinson PW, Varrall CR, Goff TJ, Fogarty KA, Wines AP. Clinical and radiological outcomes of forefoot offloading versus rigid flat shoes in patients undergoing surgery of the first ray. Foot Ankle Int. 2019; 40(10): 1189-94. doi: 10.1177/1071100719858621.

  9. Sarmah SS, Hossain FS, Mishra V. Effectiveness of the reverse camber shoe in postoperative hallux valgus surgery. Foot Ankle Spec. 2012; 5(4): 245-8. doi: 10.1177/1938640012451314.

  10. Hook S, Walker N, Cannon L. The use of post-operative reverse camber shoes following scarf osteotomy. Foot Ankle Surg. 2008; 14(4): 190-3. doi: 10.1016/j.fas.2008.02.002.

  11. Trnka HJ, Parks BG, Ivanic G, Chu IT, Easley ME, Schon LC, Myerson MS. Six first metatarsal shaft osteotomies: mechanical and immobilization comparisons. Clin Orthop Relat Res. 2000; 381: 256-65.

  12. Navarro-Cano E, Guevara-Noriega KA, Lucar-Lopez G, Reina F, Carrera A. A comparison of two designs of postoperative shoe for hallux valgus surgery: a biomechanical study in a cadaveric model. Foot Ankle Surg. 2021; 27(1): 82-86. doi: 10.1016/j.fas.2020.02.010.

  13. Caravaggi P, Giangrande A, Berti L, Lullini G, Leardini A. Pedobarographic and kinematic analysis in the functional evaluation of two post-operative forefoot offloading shoes. J Foot Ankle Res. 2015; 8(1): 59. doi: 10.1186/s13047-015-0116-3.

  14. Paton JS, Thomason K, Trimble K, Metcalfe JE, Marsden. Effect of a forefoot off-loading postoperative shoe on muscle activity, posture, and static balance. J Am Podiatr Med Assoc. 2013; 103(1): 36-42. doi: 10.7547/1030036.

  15. Sinnett T, Fang Y, Nattfogel E, O'Gorman A, Charalambides C. Suture fixation of an akin osteotomy: A cost effective and clinically reliable technique. Foot Ankle Surg. 2017; 23(1): 40-3. doi: 10.1016/j.fas.2016.02.002.

  16. Liszka H, Gadek A. Comparison of the type of fixation of akin osteotomy. Foot Ankle Int. 2019; 40(4): 390-7. doi: 10.1177/1071100718816052.



AFILIACIONES

1 Departamento de Cirugía Ortopédica y Traumatología, Hospital Universitari Germans Trias i Pujol, Facultad de Medicina, Universitat Autònoma de Barcelona, Barcelona, España.

2 Departamento de Cirugía Ortopédica y Traumatología, Hospital Universitari Quirón-Dexeus, Barcelona, España.



NIVEL DE EVIDENCIA

III



CORRESPONDENCIA

Juan Antonio Calle García. E-mail: jcallegarc@gmail.com




Recibido: 19-02-2023. Aceptado: 03-04-2023.

Figura 1
Figura 2
Figura 3
Tabla 1
Tabla 2
Tabla 3
Tabla 4

2020     |     www.medigraphic.com

Mi perfil

C?MO CITAR (Vancouver)

Acta Ortop Mex. 2022 Nov-Dic;36

ARTíCULOS SIMILARES

CARGANDO ...