medigraphic.com
ENGLISH

Revista Latinoamericana de Infectología Pediátrica

ISSN 2683-1678 (Impreso)
Órgano Oficial de la Sociedad
Latinoamericana de lnfectología Pediátrica.
Órgano de la Asociación Mexicana de
Infectología Pediátrica, A.C.
Órgano difusor de la Sociedad Española
de lnfectología
  • Mostrar índice
  • Números disponibles
  • Información
    • Información general        
    • Directorio
  • Publicar
    • Instrucciones para autores        
  • medigraphic.com
    • Inicio
    • Índice de revistas            
    • Registro / Acceso
  • Mi perfil

2023, Número 2

<< Anterior Siguiente >>

Rev Latin Infect Pediatr 2023; 36 (2)


Síndrome hemofagocítico secundario a rickettsiosis. Experiencia en un Hospital Pediátrico de Sinaloa, México

Carreón Guerrero, Juan Manuel1; Arce Cabrera, Daniela2; Macías Rodríguez, Scott Alonso2; Sánchez Matías, Nelson2; Reyes Gómez, Ulises3; Quero Hernández, Armando4; Reyes Hernández, Katy Lizeth5; Vargas Mosso, María Elena6; Mercado Díaz, Carlos Uriel6; González Ortiz, Ana María6
Texto completo Cómo citar este artículo 10.35366/112108

DOI

DOI: 10.35366/112108
URL: https://dx.doi.org/10.35366/112108
Artículos similares

Idioma: Español
Referencias bibliográficas: 19
Paginas: 87-93
Archivo PDF: 230.82 Kb.


PALABRAS CLAVE

Rickettsia rickettsii, rickettsiosis, complicaciones, síndrome hemofagocítico, tratamiento.

RESUMEN

Las rickettsias son bacterias intracelulares, transmitidas principalmente por artrópodos hematófagos de las que el hombre es un hospedero accidental. La de mayor morbimortalidad, que oscila entre 35 a 85%, es causada por la Rickettsia rickettsii; por otra parte, la linfohistiocitosis hemofagocítica o síndrome hemofagocítico se caracteriza a nivel fisiopatológico por hiperinflamación que ocurre por la activación sin control de linfocitos T citotóxicos, macrófagos que afectan múltiples sistemas orgánicos. El objetivo de este reporte es describir una serie de casos atendidos en un hospital pediátrico de Sinaloa, México; estos casos fueron diagnosticados con fiebre manchada de las Montañas Rocosas por Rickettsia rickettsii, quienes posteriormente desarrollaron síndrome hemofagocítico secundario, fueron tratados con doxiciclina, etopósido y dexametasona, con lo cual consiguieron una evolución favorable. Conclusión: la rickettsiosis es una enfermedad febril, aguda, transmitida por artrópodos hematófagos, si la evolución manifiesta infiltración hepatoesplénica, citopenia periférica, coagulopatía de consumo o cambios hemodinámicos profundos, esto podría ser una expresión de hipercitoquinemia y de actividad citotóxica. Se debe considerar al síndrome hemofagocítico como una complicación grave secundaria a la infección por Rickettsia que puede ser incluso mortal. Con los casos descritos, se contribuye a la mejora de la calidad y oportunidad de la atención médica.



ABREVIATURAS:

  • BHC = biometría hemática completa
  • EBV = virus Epstein-Barr
  • FHL = linfohistiocitosis hemofagocítica primaria o familiar
  • HLH = linfohistiocitosis hemofagocítica
  • SH = síndrome hemofagocítico
  • SHLH = linfohistiocitosis hemofagocítica secundaria



INTRODUCCIóN

La linfohistiocitosis hemofagocítica (HLH, por sus siglas en inglés) o síndrome hemofagocítico (SH) es una patología que fue descrita a mediados del siglo XX y actualmente se clasifica en: primaria, que tiene un fondo genético, y secundaria, cuyos disparadores son procesos infecciosos; sin embargo, también ocurren en procesos malignos e inmunológicos, ambas entidades con frecuencia tienen una alta morbimortalidad, ya que existe un espectro fisiopatológico de hiperinflamación dada por la activación sin control de linfocitos T citotóxicos, macrófagos que afectan múltiples sistemas orgánicos.

En el grupo de enfermedades primarias, se han descrito una serie de alteraciones genéticas que tienen que ver con trastornos de pigmentación, granulación de células mieloides, estados linfoproliferativos y un aumento en la susceptibilidad a la infección por el virus Epstein-Barr (EBV), los casos asociados a infección por rickettsias son raros.1,2

La HLH se puede clasificar en dos formas distintas: HLH primaria o familiar (FHL, por sus siglas en inglés) y HLH secundaria (SHLH, por sus siglas en inglés). La HLH puede aparecer a cualquier edad, aunque la forma primaria suele ocurrir en la infancia. Cualquier estimulación intensa de la inmunidad celular (infección, reumatismo o tumor) podría desencadenar una forma secundaria de SHLH. La infección es el desencadenante más común de SHLH en niños, especialmente el EBV. Es de primordial importancia establecer la etiología del síndrome para tener la oportunidad de instalar el tratamiento oportuno y mejorar el pronóstico.1,3

En relación con las manifestaciones clínicas, recientemente se ha considerado oportuno identificar el fenotipo clásico, caracterizado por fiebre, hepatoesplenomegalia, citopenias y un aspecto similar a la sepsis, principalmente en menores de un año de edad. Inusualmente el paciente puede presentar de manera aislada afección neurológica, así como meningismo, crisis convulsivas, encefalopatía, insuficiencia hepática aguda.4,5

Los criterios diagnósticos se establecieron en el 2004, cuando la Sociedad de Histiocitosis actualizó el abordaje diagnóstico después de un análisis de pacientes inscritos en el estudio HLH-94, donde se describió un protocolo de estudio internacional prospectivo de abordaje y tratamiento para HLH, al tomar en cuenta cinco criterios (fiebre, esplenomegalia, bicitopenia, hipertrigliceridemia o hipofibrinogenemia y hemofagocitosis); en el HLH-2004 se agregaron tres criterios adicionales (hiperferritinemia, actividad baja o ausente de las células NK y niveles altos de receptores de interleucina-2 solubles). Se deben cumplir cinco de estos ocho criterios, a menos que exista un antecedente familiar o el diagnóstico molecular sea compatible con HLH.6

La etiología infecciosa del SH que tiene mayor frecuencia y está más documentada es la originada por EBV, puede tener una gran variabilidad en su presentación, desde un curso agudo en aquellos pacientes con predisposición genética, o bien indolente en aquellos con cierta vulnerabilidad, como en las alteraciones linfoproliferativas. No obstante, a lo largo del tiempo también se han ido documentando diversas bacterias, parásitos y otros virus, como el coronavirus que recientemente afectó a la humanidad, pero más raros aún son los reportes cuya etiología sea la rickettsia.7-9

El objetivo de este artículo es describir una serie de tres casos con diagnóstico de fiebre manchada de las Montañas Rocosas, que desarrollaron síndrome hemofagocítico, además de realizar una revisión de la literatura.



CASOS CLíNICOS



CASO 1

Masculino de cinco años de edad, sin antecedentes de importancia, con padecimiento de 10 días de evolución, con fiebre, cefalea, exantema maculopapular generalizado y petequias en extremidades superiores e inferiores con extensión a tórax. En la exploración física tenía irritabilidad, deshidratación moderada, adenopatía generalizada, dermatosis maculopapular, petequias y equimosis por vasculitis, hepatomegalia y esplenomegalia (Figura 1). Fue tratado con doxiciclina (2.2 mg/kg/día), ceftriaxona (100 mg/kg/día), fitomenadiona 10 mg y paracetamol (15 mg/kg/dosis).

Biometría hemática completa (BHC) con hemoglobina 11.17 g/dL, hematocrito 34.9%, plaquetas 22,000 mm3, leucocitos 9,400/ mm3, segmentados de 6,110/mm3, reacciones febriles con Proteus OX-19 positivo, proteína C reactiva 16.86%, procalcitonina 18.7 ng/mL, fibrinógeno 139 mg/dL, ferritina 1,200 ng/mL y dímero D 10,000 ug/mL.

Al segundo día de hospitalización se confirmó diagnóstico de rickettsiosis por inmunofluorescencia indirecta. Su evolución transcurrió sin mejoría, a lo que se sumaron crisis convulsivas, por lo que se agregó fenitoína. Fue valorado por el área de Inmunología que indicó gammaglobulina (2 g/kg/dosis) dosis única ante sospecha de HLH; en el aspirado de médula ósea describieron hemofagocitosis; se inició tratamiento de primera línea con dexamentasona durante dos días y al no presentar mejoría se escaló a etopósido por cuatro dosis. La evolución tuvo una mejoría paulatina; el paciente se egresó con seguimiento por parte del servicio de oncología pediátrica, donde un mes después reportaron que el paciente se encontraba sin evidencia clínica o de laboratorio de HLH.



CASO 2

Masculino de seis años de edad, residente de Nayarit, con padecimiento de 18 días de evolución, fiebre no cuantificada, rinorrea y vómito, su médico de primer nivel le prescribió sintomáticos, sin mejoría; 12 días previos a su ingreso se agregó lesión dérmica violácea en palmas y plantas, además de mialgias y artralgias, por lo que fue referido con diagnóstico de púrpura trombocitopénica trombótica y coagulación intravascular diseminada. Ingresó en malas condiciones hemodinámicas y con deterioro, por lo que requirió apoyo con ventilación mecánica asisto-controlada, así como empleo de aminas. A nivel cutáneo tenía lesiones purpúricas palpables, diseminadas y zonas de necrosis en pabellones auriculares y en ortejos de dedos de las cuatro extremidades, además de hepatomegalia (Figura 2). Al reinterrogatorio se refirió antecedente de convivencia con perros, gatos; así como lesiones secundarias a mordedura de garrapata.

BHC con hemoglobina 5.8 g/dL, plaquetas 47,000/mm3, leucocitos 1,177/mm3, neutrófilos 80.5%, linfocitos 15.4%, monocitos 3.7%, Coombs directo positivo, sodio 148 mEq/L, potasio 1.5 mEq/L, cloro 99 mEq/L, magnesio 1.5 mg/dL, fósforo 0.5 mg/dL, calcio 8 mg/dL, procalcitonina 7.41 ng/mL, ferritina > 1,200 ng/mL, NT-proBNP > 35,000 ng/L, Dímero D > 5,000 ng/mL, creatinina 1.1 mg/dL.

Los diagnósticos a su ingreso fueron probable fiebre manchada de las Montañas Rocosas, coagulación intravascular diseminada, púrpura trombocitopénica trombótica, anemia hemolítica inmune, desequilibrio hidroelectrolítico y lesión renal aguda.

Se inició tratamiento con doxiciclina (2.2 mg/kg/dosis), meropenem (20 mg/kg/dosis), vancomicina (15 mg/kg/dosis). Se confirmó infección por Rickettsia rickettsii, además inició tratamiento con dexametasona por sospecha de síndrome hemofagocítico (fiebre, esplenomegalia, bicitopenia, hipeferritinemia), se interconsultó con oncología donde se observó en aspirado de médula ósea hemofagocitosis, por lo que se agregó gammaglobulina intravenosa (2 g/kg/dosis). Durante su estancia, el paciente presentó múltiples infecciones sistémicas de tipo bacteriana y micótica. A los 11 días de su ingreso a terapia intensiva se evidenciaron secuelas de las complicaciones de dedos de manos y pie (necrosis de falange distal), por lo que el servicio de angiología planteó la amputación, sin que se aceptara dicho procedimiento, ante lo cual solicitaron el traslado a otra unidad médica.



CASO 3

Masculino de dos años de edad, sin antecedentes de importancia, negó zoonosis y presentó un padecimiento con cinco días de evolución con lesiones petequiales en extremidades inferiores, acompañado de dolor abdominal generalizado de intensidad 5/10 en la escala análoga del dolor de Wong Baker; acudió con un médico que le inició tratamiento sintomático cuyo resultado fue una mejoría parcial, las lesiones petequiales se extendieron hasta la región torácica y comenzó con edema de miembros inferiores y edema bipalpebral. En la exploración física inicial se encontraron lesiones dérmicas eritematovioláceas que no desaparecían con digitopresión, de predominio en tórax, abdomen y extremidades inferiores, edema bipalpebral y de extremidades inferiores.

BHC con hemoglobina 10.60 g/dL, hematocrito 31.60%, plaquetas 47,000/mm3, leucocitos 6 290/mm3, neutrófilos 63.7%, linfocitos 30.40%, glucosa 80 mg/dL, urea 36 mg/dL, BUN 17 mg/dL, creatinina 0.3 mg/dL, albúmina 2.9 g/dL, AST 91 U/L, ALT 54U/L, triglicéridos 233 mg/dL, bilirrubina total 0.42 mg/dL, bilirrubina indirecta 0.24 mg/dL, tiempo de protrombina 12.1 seg, tiempo parcial de tromboplastina 28.4 seg, PCR 120.9 mg/dL, Coombs directo negativo.

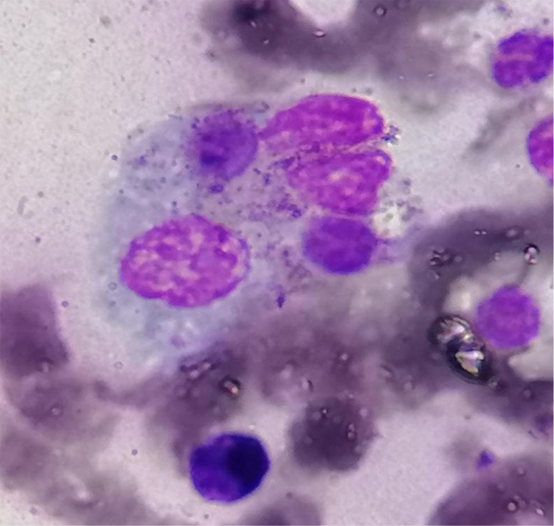
Se ingresó al paciente con diagnóstico de púrpura trombocitopénica idiopática. Los servicios de hematología e inmunología consideraron como diagnóstico linfohistiocitosis hemofagocítica secundaria probable a fiebre manchada; mismo que se confirmó primero con Proteus OX 19 1:1280, corroborado por inmunofluorescencia. En el aspirado de médula ósea observaron hemofagocitosis (Figura 3). El tratamiento se basó en doxiciclina (5 mg/kg/dosis), dexametasona 6 mg/kg dos dosis por dos semanas y disminución gradual como está estandarizado, gammaglobulina 2 g/kg dosis única con adecuada respuesta clínica y egresado por presentar mejoría.



DISCUSIóN

Se han reportado SHLH asociadas a infecciones virales, sobre todo por EBV; sin embargo, también son originadas por brucelosis, leptospirosis, rickettsiosis y hantavirosis como factores desencadenantes.10,11

Las rickettsias son bacterias intracelulares, pleomórficas y Gram negativas, transmitidas principalmente por artrópodos hematófagos como la garrapata Rhipicephalus sanguineus, pulgas, piojos o ácaros, el hombre es un hospedero accidental y responsables de varias epidemias a nivel mundial. La que tiene mayor morbimortalidad es la fiebre manchada de las Montañas Rocosas causada por la Rickettsia rickettsii.12

Las rickettsiosis fueron identificadas en México en 1930, principalmente en los estados de Baja California, Sinaloa, Sonora, Durango y Coahuila, donde se registraron algunos brotes con una mortalidad de 35 a 80%; el último brote ocurrió en Mexicali en el año 2009. Las de mayor interés clínico a nivel nacional fueron Rickettsia rickettsii, Rickettsia typhi y Rickettsia prowasekii.13

El diagnóstico de fiebre manchada puede resultar difícil, dado lo inespecífico de su sintomatología en las primeras fases de la enfermedad. Se caracteriza por fiebre, cefalea, mialgias, confusión mental, vómitos y anorexia; con menor frecuencia dolor abdominal, diarrea y tos. El exantema se observa en 90% de los casos, de tipo eritematoso, macular, luego maculopapular y petequial; principalmente en muñecas, palmas, tobillos y plantas, y enseguida al tronco. La enfermedad grave es lo más común en la mayoría de los casos, lo cual afecta al sistema nervioso central, cardiaco, pulmonar, gastrointestinal, renal y provoca disfunción orgánica, coagulación intravascular diseminada y choque que pueden ocasionar la muerte.14,15

Los tres casos descritos fueron pacientes provenientes de un área endémica16 y mostraron fiebre, lesiones cutáneas petequiales y necróticas, además de afectación hemodinámica y de hemofagocitosis con bicitopenia de moderada a severa.

La detección temprana se puede realizar con la reacción en cadena de polimerasa, incluso antes de que exista respuesta serológica. Dado que cuantifica el número de copias de la rickettsia, se ha relacionado esta característica con el curso de la enfermedad. Para los casos no fatales el rango es de 8.40 × 101 a 3.95 × 105, mientras que las formas fatales se han reportado en un rango de 1.41 × 103 a 2.05 × 106 de número de copias/mL de sangre.

Además de la PCR, se describen estudios serológicos como ELISA, inmunofluorescencia indirecta, prueba de inmunoperoxidasa indirecta y la prueba de aglutinación de Weil-Felix, ésta tiene baja sensibilidad en la fase aguda (47%) por ello actualmente no se recomienda para el diagnóstico de infección por rickettsias.17

Los tres casos aquí presentados se caracterizaron por alteraciones a nivel hematológico, que se evidenció por bicitopenia en grado variable, por lo que se documentó hemofagocitosis a nivel medular. Se combinaron por igual alteraciones bioquímicas como el aumento de la ferritina, Dímeros-D, infiltración hepática y esplénica, por lo que consideramos que la hemofagocitosis fue secundaria a la infección por Rickettsia rickettsii. La terapia antibiótica especifica con doxiciclina y la inmunosupresión con dexametasona y etopósido fueron el pilar que permitió la mejoría clínica.

La hemofagocitosis es una condición fisiopatológica que representa una alta morbimortalidad, situación desencadenada por la excesiva activación linfocitaria, en particular de los linfocitos T citotóxicos, los asesinos naturales y activación macrofágica, lo que resulta en hipercitoquinemia y daño multiorgánico.18 Entre las causas secundarias se han descritos a los VEP, citomegalovirus, herpesvirus, también diversas bacterias Gram negativas, problemas autoinmunes de la colágena y neoplasias malignas, en este trabajo documentamos el síndrome hemofagocítico secundario a infección por Rickettsia rickettsii.

La rickettsiosis se está considerando una enfermedad emergente y su mayor complejidad estriba en su poca sospecha, su comportamiento clínico puede ser idéntico a otras enfermedades que tienen un gran impacto en la salud pública nacional, como es el dengue, la leptospirosis o la fiebre tifoidea. La prevalencia de rickettsiosis parece ir en aumento, tal como lo registran diversos estudios, tanto nacionales como internacionales,13,15,16 además, dado su contexto clínico confuso y su alta morbimortalidad, debemos tener una alta sospecha clínica, así como apoyarnos con los estudios de laboratorio específicos como la cuantificación por PCR o por inmunofluorescencia indirecta, que fue el estudio que nos permitió efectuar el diagnóstico.

El inicio temprano del tratamiento mejora el pronóstico de los pacientes, el tratamiento con doxiciclina oral 4 mg/kg/día, dividida en dos dosis, aunque para niños con un peso menor de 45 kg se recomiendan 2 mg/kg, dos veces por día. La duración del tratamiento es de siete a 10 días, o más de tres días luego del cese de la fiebre, mientras en pacientes alérgicos se puede utilizar cloranfenicol oral o intravenoso 50 a 100 mg/kg/día. El tratamiento debe iniciarse ante la sospecha clínica, sobre todo en zonas endémicas, pues pacientes que no iniciaron el tratamiento antes del quinto día de la enfermedad tienen de dos a 2.5 más riesgo de un resultado fatal.19



CONCLUSIONES

El estudio epidemiológico de las enfermedades infecciosas representa el abordaje básico para tener una alta sospecha en la identificación de enfermedades emergentes. La rickettsiosis en nuestro país parece que ya tiene amplia distribución, desde su identificación por primera vez en el norte de la República Mexicana, hasta actualmente que ha sido registrada en el sur. Es una enfermedad febril, aguda, transmitida por artrópodos hematófagos. El diagnóstico debemos basarlo en las características clínica y epidemiológica; los estudios por inmunofluorescencia indirecta o la reacción en cadena de la polimerasa representan el estándar de oro para establecer el diagnóstico. Si la evolución manifiesta infiltración hepatoesplénica, citopenia periférica, coagulopatía de consumo o cambios hemodinámicos profundos, esto podría representar una expresión de hipercitoquinemia y de actividad citotóxica que requerirá manejo oportuno con inmunosupresores, así como un apoyo multidisciplinario.


REFERENCIAS (EN ESTE ARTÍCULO)

  1. Wei A, Lu X, Ma H, Lian H, Yang X, Zhang L et al. 18F-FDG PET/CT for identifying the potential primary diseases and predicting prognosis of secondary hemophagocytic lymphohistiocytosis in children. Contrast Media Mol Imaging. 2022; 2022: 4849081. Available in: http://doi.org/10.1155/2022/4849081

  2. Canna SW, Marsh RA. Pediatric hemophagocytic lymphohistiocytosis. Blood. 2020; 135 (16): 1332-1343 doi: 10.1182/blood.2019000936.

  3. Ponnatt TS, Lilley CM, Mirza KM. Hemophagocytic lymphohistiocytosis. Arch Pathol Lab Med. 2022;146(4): 507-519.

  4. Jordan MB, Allen CE, Greenberg J, Henry M, Hermiston M, Kumar A et al. Challenges in the diagnosis of hemophagocytic lymphohistiocytosis: recommendations from the North American Consortium for Histiocytosis (NACHO). Pediatr Blood Cancer. 2019; 66 (11): e27929. doi: 10.1002/pbc.27929.

  5. Astigarraga I, González Granado L, Allende LM, Alsina L. Haemophagocytic síndromes: the importance of early diagnosis and treatment. Ann Pediatr (Engl Ed). 2018; (2): 124.e1-124.e8 doi: 10.1016/j.anpedi.2018.05.003.

  6. Henter JI, Horne A, Aricó M, Egeler RM, Filipovich AH, Imashuko S et al. HLH-2004: diagnostic and therapeutic guidelines for hemophagocytic lymphohistiocytosis. Pediatr Blood Cancer. 2007; 48 (2): 124-131 doi: 10.1002/pbc.21039.

  7. El-Mallawany NK, Curry C, Allen CE. Haemophagocytic lymphohistiocytosis and Epstein-Barr virus: a complex relationship with diverse origins, expression and outcomes. Br J Haematol. 2022; 196 (1): 31-44. doi. 10.1111/bjh.17638.

  8. Ferreira-Brum NF, Coelho JS, Carvalho LS, Vieira MN, Bentes AA, Carellos EV et al. Hemophagocytic limphohistiocytosis and visceral leishmaniasis in children: a series of cases and literature review. Rev Paul Pediatr. 2022; 40: e2020269 doi: 10.1590/1984.

  9. Laria Ch, Colomba C, Di Carlo P, Scarlet F. Rickettsia typhi and haemophagocytic syndrome. Am J Trop Med Hyg. 2017; 97 (5): 1632. doi: 10.4269/ajtmh.17-0606.

  10. Astigarraga I, Gonzalez-Granado LI, Allende LM, Alsina L. Síndromes hemofagocíticos: la importancia del diagnóstico y tratamiento precoces. An Pediatr. 2018; 89 (2): 124.e1-124.e8. doi: 10.1016/j.anpedi.2018.05.003.

  11. Santamaría-Arza, Reyes-Gómez U, Reyes-Hernández K, López-Cruz G, López-Díaz A, Quero-Hernández A et al. Rickettsiosis. Conceptos básicos. Rev Sal Jal. 2018; 2: 113-121.

  12. López-Gatell Ramírez H, Fernández Cantón SB, Rodríguez Martínez JC, Meneses González F, Palacios Zavala E. Rickettsiosis. Una enfermedad presente pero olvidada. Epidemiología. 2010; 46 (27): 1-28.

  13. Sood AK, Sachdeva A. Rickettsioses in children. A review. Indian J Pediatr. 2020; 87 (11): 930-936.

  14. Martínez Medina MA, Rascón Alcantara A. Complications and cause of death in mexican children with rocky mountain spotted fever. Gac Med Mex. 2016; 152 (6): 789-795.

  15. Zazueta OE, Armstrong PA, Márquez-Elguea A, Hernández Milán NS, Peterson AE, Ovalle-Marroquín DF et al. Rocky Mountain Spotted Fever in a Large Metropolitan Center, Mexico-United States Border, 2009-2019. Emerg Infect Dis. 2021; 27 (6): 1567-76. doi: 10.3201/eid2706.191662.

  16. Robinson MT, Satjanadumrong J, Hughes T, Stenos J, Blacksell SD. Diagnosis of spotted fever group Rickettsia infections: the Asian perspective. Epidemiol Infect. 2019; 147: e286. doi. 10.1017/S0950268819001390.

  17. Gottlieb M, Long B, Koyfman A. The evaluation and management of Rocky mountain spotted fever in the emergency department: a review of the literature. J Emerg Med. 2018; 55 (1): 42-50 doi: 10.1016/j.jemermed.2018.02.043 epub2018.

  18. Orts Paco JF, Sánchez Llinares JR, Cano Gracia H. Hemophagocytic syndrome secondary to Mediterranean spotted fever. Med Clin (Barc). 2023: S0025-7753(23)00226-9. doi: 10.1016/j.medcli.2023.04.011.

  19. Rodríguez Vidigal FF, Calvo Cano A, Sánchez Sánchez M, Nogales Muñoz N, Vera Tomé A, Muñoz Sanz A. Haemophagocytic syndrome associated with infections: Not so uncommon. Rev Clin Esp (Barc). 2020; 220 (2): 109-114. doi: 10.1016/j.rce.2019.04.008.



AFILIACIONES

1 Infectólogo Pediatra y Oncólogo Pediatra, adscrito a Infectología Pediátrica y Oncología Pediátrica del Hospital Pediátrico de Sinaloa.

2 Residente del segundo año de Pediatría, Hospital Pediátrico de Sinaloa.

3 Unidad de Investigación en Pediatría, Instituto San Rafael, San Luis Potosí.

4 Facultad de Medicina de la Universidad Autónoma Benito Juárez de Oaxaca, Academia Mexicana de Pediatría.

5 Unidad de Cuidados Intensivos Neonatales. Hospital "Dr. Ignacio Morones Prieto".

6 Grupo de Investigación en Infectología Pediátrica.



CORRESPONDENCIA

Juan Manuel Carreón Guerrero. E-mail: jhonmany73@hotmail.com
Ulises Reyes Gómez. E-mail: reyes_gu@yahoo.com




Recibido: 18-04-2023. Aceptado: 02-05-2023.

Figura 1
Figura 2
Figura 3

2020     |     www.medigraphic.com

Mi perfil

C?MO CITAR (Vancouver)

Rev Latin Infect Pediatr. 2023;36

ARTíCULOS SIMILARES

CARGANDO ...