medigraphic.com
ENGLISH

Revista Mexicana de Trasplantes

ISSN 3122-3893 (Digital)
  • Mostrar índice
  • Números disponibles
  • Información
    • Información general        
    • Directorio
  • Publicar
    • Instrucciones para autores        
    • Envío de artículos
  • Políticas
  • medigraphic.com
    • Inicio
    • Índice de revistas            
    • Registro / Acceso
  • Mi perfil

2023, Número 3

<< Anterior Siguiente >>

Rev Mex Traspl 2023; 12 (3)


Aloinjerto liofilizado de peroné solo o combinado con chips corticoesponjosos en el tratamiento de tumores óseos benignos

Sánchez-Torres, Luis Jair1
Texto completo Cómo citar este artículo 10.35366/112283

DOI

DOI: 10.35366/112283
URL: https://dx.doi.org/10.35366/112283
Artículos similares

Idioma: Español
Referencias bibliográficas: 14
Paginas: 121-126
Archivo PDF: 380.98 Kb.


PALABRAS CLAVE

tumores óseos benignos, tratamiento, aloinjertos.

RESUMEN

Introducción: el tratamiento de algunos tumores óseos benignos genera defectos cuyas alternativas de resolución son variadas. Las reconstrucciones biológicas son las mejores en muchos de los casos y los aloinjertos se constituyen como una opción fácil y segura que además evita los riesgos en la procuración de autoinjertos. Presentamos cinco casos clínicos que pueden considerarse representativos de las ventajas y versatilidad de los aloinjertos en el tratamiento de neoplasias óseas benignas. Material y métodos: se describe cada caso mediante diagnóstico, localización de la lesión, circunstancias acompañantes, tratamiento, complicaciones y evolución hasta la función y soporte de carga completos. Resultados: los diagnósticos fueron: quiste óseo aneurismático (2), tumor óseo de células gigantes (1), condroblastoma (1) y condroma periostial (1). Los tratamientos fueron resección intralesional (4) y resección amplia (1). No se presentaron complicaciones. La movilidad completa y soporte total de carga se logró en todos los casos. Conclusión: cada una de las situaciones clínicas y terapéuticas deben individualizarse, las ventajas de las reconstrucciones con aloinjertos en el tratamiento de los tumores óseos benignos superan a los riesgos que genera la obtención de autoinjertos.



INTRODUCCIóN

Los tumores óseos benignos consisten en una amplia variedad de neoplasias que varían en términos de incidencia, presentación clínica y requerimientos terapéuticos.1 Estos tumores fueron clasificados por Enneking (1986)2 como latentes, activos y agresivos. Las lesiones latentes se consideran inactivas, son habitualmente asintomáticas descubiertas de forma incidental y rara vez se asocian a fractura patológica; las lesiones activas suelen ser medianamente sintomáticas, son descubiertas a consecuencia de alguna molestia y, ocasionalmente, se asocian a fractura a este nivel; finalmente, las lesiones benignas agresivas son aquellas que frecuentemente se presentan sintomáticas, son descubiertas por molestia o incomodidad, o bien, a consecuencia de una masa en crecimiento, y generalmente se asocian a fractura patológica. Los tumores óseos benignos pertenecen a un grupo de neoplasias que son más frecuentes en niños y en adultos jóvenes.1 Las resecciones intralesionales (legrados) y marginales están indicadas en lesiones benignas, mientras que las resecciones amplias y radicales en lesiones malignas.

Los injertos óseos han sido utilizados durante muchos años por cirujanos ortopedistas para ayudar en el proceso de reparación ósea en situaciones de origen traumático, en complicaciones derivadas de artroplastias, pero también en la resolución de defectos generados durante el tratamiento de tumores óseos.3 Los injertos autólogos continúan considerándose el estándar de oro en el tratamiento de defectos óseos.4 Estos autoinjertos óseos poseen todas las propiedades requeridas en un injerto, a saber, osteoconducción, osteoinducción y también, en algunos casos, soporte estructural (preservando completa histocompatibilidad);3 sin embargo, han sido reportadas, tras su procuración, tasas de complicaciones difíciles de ignorar.5

Se conoce como aloinjerto a un tejido obtenido de cadáveres humanos y se encuentra disponible en bancos de huesos y tejidos bajo la forma de aloinjertos óseos frescos-congelados, como aloinjertos óseos liofilizados o como aloinjertos óseos liofilizados desmineralizados con propiedades inmunogénicas disminuidas.6 La reconstrucción con aloinjertos es una de las opciones reconstructivas biológicas funcionales en defectos óseos generados en cirugía de salvamento de extremidades,7 pero también lo es en el manejo de cavidades o defectos resultantes del tratamiento de diferentes neoplasias óseas benignas.

Se conoce como osteoconducción a la propiedad de los aloinjertos de proveer un andamiaje para el crecimiento de hueso nuevo desde un lecho óseo adyacente,8 mientras que el soporte estructural es su propiedad orientada hacia su capacidad para soportar peso.

Las causas más frecuentes de falla de un injerto óseo incluyen: una integración limitada del aloinjerto, infección, fractura y/o absorción.7

El objetivo del presente trabajo es exponer mediante ejemplos clínicos, las ventajas del uso aislado o combinado de aloinjerto liofilizado de peroné como base estructural en el manejo de defectos óseos generados tras el tratamiento de algunos tumores óseos benignos.



MATERIAL Y MéTODOS

Se basa en una exposición concisa de cinco casos clínicos provenientes tanto de la consulta privada como institucional del autor. En cada caso se hace hincapié en el aspecto clínico, el diagnóstico, la localización de la lesión, la resección requerida, el tipo de defecto generado, la forma en la que se implantaron los aloinjertos, las situaciones adversas y la evolución presentada. La descripción de cada caso está enfocada en mencionar la importancia de proporcionar, además de relleno y andamiaje para la osteoconducción, un adecuado soporte estructural intralesional y consecuentemente de la región anatómica y sus respectivos requerimientos de carga y movilidad.

La definición de cada una de las entidades clínicas presentadas está basada en las manifestadas por la Organización Mundial de la Salud (OMS) en su versión del año 2020.



RESULTADOS

Caso 1. Paciente masculino de 18 años que, posterior a trauma deportivo indirecto, inició con coxalgia izquierda. Radiológicamente se identificó una lesión osteolítica que involucra la región cérvico-trocantérica mayor en el fémur proximal. Se complementó su estudio desde el punto de vista imagenológico con tomografía computarizada y resonancia magnética, las cuales confirmaron integridad cortical y niveles hídricos en su interior. La biopsia llegó al diagnóstico de quiste óseo aneurismático. Esta lesión es definida como una neoplasia ósea benigna que contiene espacios quísticos multiloculados llenos de sangre.9 El paciente fue llevado a un tratamiento intralesional en cuyo defecto generado se adiciona un segmento diafisario de aloinjerto liofilizado de peroné, además de chips de aloinjerto cortico-esponjoso. La evolución postoperatoria resultó satisfactoria y la prohibición al soporte de carga fue de tres meses, con la indicación de no restringir la movilidad. La consolidación de la zona se logró a los cuatro meses del evento quirúrgico, así como la autorización para el soporte total de carga (Figura 1).

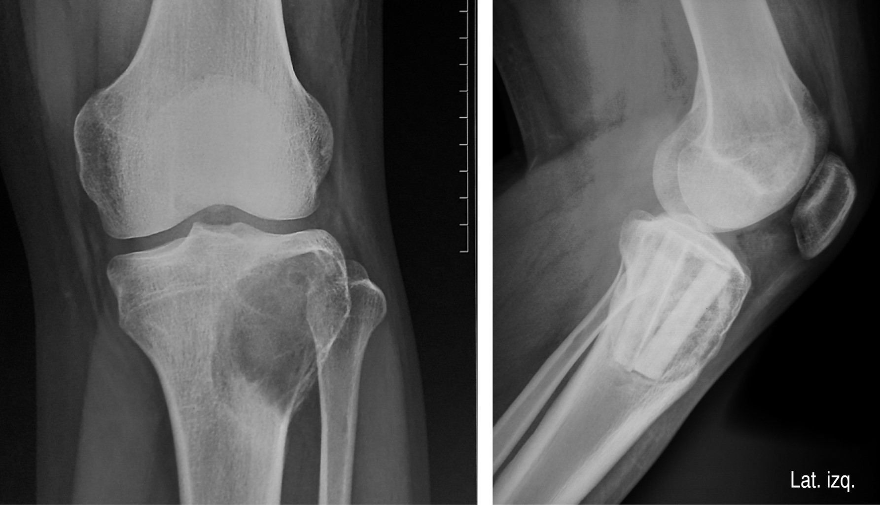
Caso 2. Paciente masculino de 20 años que, a consecuencia de gonalgia progresiva izquierda, fue llevado a estudios de radiología convencional. En este estudio se observó una lesión osteolítica en la meta-epífisis proximal de la tibia, involucrando el platillo tibial lateral. Por tomografía y resonancia magnética se identificó integridad cortical. La biopsia diagnosticó quiste óseo aneurismático, razón por la que se sugirió y realizó una resección intralesional con soporte estructural a base de aloinjertos diafisarios de peroné y se complementó con aloinjerto en chips cortico-esponjosos. El producto de la resección intralesional fue analizado y el diagnóstico fue modificado al de tumor óseo de células gigantes. Esta neoplasia es definida como un tumor óseo localmente agresivo que raramente metastatiza, compuesto de células neoplásicas estromales mononucleadas de apariencia monótona, mezcladas con macrófagos y células gigantes que semejan osteoclastos.10 Pese al cambio en el diagnóstico, se decidió vigilar la evolución. El aloinjerto progresivamente logró consolidar la lesión y el soporte de carga se permitió iniciar a los tres meses del evento quirúrgico completándose a los cinco. Nunca se restringió la movilidad de la rodilla (Figura 2).

Caso 3. Paciente femenino de 17 años quien, posterior a embarazo, inició con coxalgia izquierda. En las radiografías convencionales se observó una imagen osteolítica circular en la epífisis proximal del fémur cuya placa fisaria o de crecimiento ya se encuentra cerrada. La superficie articular en la cabeza femoral permanece íntegra, pero en riesgo inminente de colapsarse. Los cortes de tomografía y resonancia magnética confirmaron integridad ósea y articular. La biopsia indicó que se trataba de un condroblastoma, razón por la cual se realizó resección intralesional con aporte de aloinjerto cortico-esponjoso subcondralmente e inmediato a éste, aloinjerto diafisario de peroné liofilizado, reforzando tanto la lesión como el trayecto cérvico-trocantérico para llegar a ella. El condroblastoma es definido como un tumor óseo benigno que tiene predilección epifisaria o apofisaria, compuesto de células condroblásticas e islas de matriz condroide eosinofílica.11 Por riesgo de colapso articular y de fractura transcervical, se restringió el soporte de carga por tres meses y éste se permitió con incremento progresivo hasta hacerse total durante los siguientes dos meses. Por tratarse de una lesión localizada subcondralmente en una articulación que no permite mínimas incongruencias, continuaremos vigilando por si en algún momento la paciente desarrolla colapso articular con la consecuente artrosis (Figura 3).

Caso 4. Paciente femenino de 32 años que, a consecuencia de dolor en el tobillo derecho, se le solicitaron radiografías convencionales en las que se identificó una lesión osteolítica metaepifisaria en la tibia distal. Los estudios complementarios mostraron una lesión osteolítica con integridad cortical y niveles hídricos en su interior. Se programó para biopsia; sin embargo, dos días previos a dicho procedimiento sufrió caída y se ocasionó una fractura tibioperonea en la metáfisis distal a nivel de la lesión descrita. Se pasó a fijación externa de la lesión y la toma de biopsia, la cual reportó quiste óseo aneurismático. Al tratarse de una neoplasia que ha perdido su integridad cortical, se tomó la decisión conjunta de dar tratamiento con denosumab, el cual se administró únicamente en dos ocasiones 120 y 60 mg, respectivamente, pese a que la indicación había sido diferente. La fijación externa se continuó por tres meses y posteriormente se realizó el retiro de la ésta, se procedió a la colocación de placa de osteosíntesis en peroné y la resección intralesional con aporte de aloinjertos en forma de diáfisis de peroné liofilizado y chips cortico-esponjosos en el interior de la lesión. La ventana ósea se cerró con un pequeño strut de la misma diáfisis y se fijó con un tornillo. La movilidad del tobillo se buscó desde el postoperatorio inmediato, lográndose en su totalidad un mes más tarde. El soporte de carga se inició a los tres meses y se permitió totalmente a los cuatro (Figura 4).

Caso 5. Paciente femenino de 52 años que acudió a consulta por dolor en la región posterolateral del muslo proximal derecho. En las radiografías solicitadas no se hizo evidente alguna lesión, por lo que se complementó la investigación con tomografía computarizada y resonancia magnética. En estos estudios se observó una neoplasia circular aparentemente de origen cartilaginoso adherida a la cortical del fémur. En este caso se decidió no realizar biopsia y se llevó directamente a la paciente a una resección amplia en relación con las características de la lesión. En ese momento no se realizó reconstrucción. El diagnóstico reportado fue condroma periostial, mismo que se define como una neoplasia cartilaginosa benigna que se origina en la superficie ósea debajo del periostio.12 Una vez confirmado el diagnóstico y la limpieza de los bordes quirúrgicos, se reconstruyó con aloinjerto liofilizado de diáfisis de peroné y se colocó placa bloqueada proximal para fémur de forma profiláctica. El apoyo parcial se permitió inmediatamente y se autorizó total a los dos meses del evento quirúrgico (Figura 5).



DISCUSIóN

Los autoinjertos y los aloinjertos óseos parecen generar resultados similares en cuanto a estimaciones de éxito en el tratamiento de tumores óseos benignos.13 En los casos presentados no se presentaron complicaciones con relación a procesos infecciosos o a intolerancia a los aloinjertos. Pese a que al momento de escribirse el presente trabajo no ha habido situaciones clínicas o radiológicas que sugieran absorción de alguno de los aloinjertos, la vigilancia de los mismos deberá continuarse indefinidamente.

Mientras los aloinjertos corticales principalmente proveen de un soporte estructural rígido que parcialmente rellenan los defectos generados al tratar tumores óseos benignos, acelerando así el proceso y la capacidad para el soporte de carga, el aloinjerto cortico-esponjoso en chips proporciona el andamiaje requerido en la osteoconducción.14 Esta situación genera las condiciones requeridas para la rápida recuperación de las propiedades de carga del segmento óseo tratado, evitando las complicaciones reportadas en los sitios donadores durante la obtención de autoinjertos. Lo anterior en un marco de seguridad con relación a la transmisión de enfermedades como las hepatitis B y C, además del VIH.

Todos los pacientes sometidos a esta variedad de reconstrucción deben continuar en vigilancia indefinida ante la posibilidad de recurrencia neoplásica, o bien, ante la posibilidad ya mencionada de absorción del aloinjerto.



CONCLUSIONES

La rehabilitación de cualquier paciente se constituye como la ansiada culminación de su proceso terapéutico. Recobrar rápidamente su movilidad y junto a ello avanzar a la brevedad hacia su total capacidad de carga, es fundamental, al evaluar los resultados globales obtenidos, que una vez logrado el objetivo primario se controle la enfermedad. Rellenar biológicamente un defecto óseo generado durante el tratamiento de tumores óseos es preferible a alternativas no biológicas. Los aloinjertos que proveen soporte estructural aceleran el proceso para tolerar la carga, a la vez que es posible combinarlos con aloinjertos con propiedades de osteoconducción, que a su vez complementan la osteointegración; y finalmente, logran la resolución satisfactoria del defecto generado. Los aloinjertos pueden conseguirse en mayor cantidad que los autoinjertos, son seguros, disminuyen tiempos quirúrgicos, y adicionalmente evitan la morbilidad, molestias y posibles secuelas en una zona donadora.


REFERENCIAS (EN ESTE ARTÍCULO)

  1. Hakim DN, Pelly T, Kulendran M, Caris JA. Benign tumours of bone: a review. J Bone Oncol. 2015; 4: 37-41.

  2. Enneking WF. A system of staging musculoskeletal neoplasms. Clin Orthop Relat Res. 1986; 204: 9-24.

  3. Fillingham Y, Jacobs J. Bone grafts and their substitutes. Bone Joint J. 2016; 98-B (1 Suppl A): 6-9.

  4. Schmidt AH. Autologous bone graft: is it still the gold standard? Injury. 2021; 52 Suppl 2: S18-S22.

  5. Younger EM, Chapman MW. Morbidity at bone graft donor sites. J Orthop Trauma. 1989; 3: 192-195.

  6. Gharedaghi M, Peivandi MT, Mazloomi M, Shoorin HR, Hasani M, Seyf P et al. Evaluation of clinical results and complications of structural allograft reconstruction after bone tumor surgery. Arch Bone Jt Surg. 2016; 4 (3): 236-242.

  7. Cho Y, Choi Y, Kwon YH, Chung SH, Kim JD. How to overcome complications of allograft transplantation? J Korean Bone Joint Tumor Soc. 2011; 17: 65-72.

  8. Heest AV, Swiontkowski M. Bone – graft substitutes. Lancet. 1999; 353 (suppl I): 28-29.

  9. Agaram NP, Bredella MA. Aneurysmal bone cyst. In: WHO Classification of tumours editorial board. Soft tissue and bone tumours. Lyon, France: International Agency for Research on Cancer; 2020.

  10. Flanagan AM, Larousserie F, O'Donnell PG, Yoshida A. Giant cell tumour of bone. In: WHO classification of tumours editorial board. Soft tissue and bone tumours. Lyon, France: International Agency for Research on Cancer; 2020.

  11. Amary F, Bloem JL, Cleven AHG, Konishi E. Chondroblastoma. In: WHO classification of tumours editorial board. Soft tissue and bone tumours. Lyon, France: International Agency for Research on Cancer; 2020.

  12. Bridge JA, Cleven AHG, Tirabosco R. Periosteal condroma. In: WHO classification of tumours editorial board. Soft tissue and bone tumours. Lyon, France: International Agency for Research on Cancer; 2020.

  13. Roudbari S, Sami SHA, Roudbari M. The clinical results of benign bone tumor treatment with allograft or autograft. Arch Iran Med. 2015; 18 (2): 109-113.

  14. Roberts TT, Rosenbaum AJ. Bone grafts, bone substitutes and orthobiologics. The bridge between basic science and clinical advancements in fracture healing. Organogenesis. 2012; 8 (4): 114-124.



AFILIACIONES

1 Tumores Musculoesqueléticos. Médico adscrito al Servicio de Cirugía de Cadera. Unidad Médica de Alta Especialidad en Traumatología y Ortopedia. Centro Médico Nacional del Noreste, Instituto Mexicano del Seguro Social. COXA Especialistas. Monterrey, México.



CORRESPONDENCIA

Dr. Luis Jair Sánchez-Torres. E-mail: dolorarticular@gmail.com




Recibido: 09-Jul-2022. Aceptado: 18-Abr-2023

Figura 1
Figura 2
Figura 3
Figura 4
Figura 5

2020     |     www.medigraphic.com

Mi perfil

C?MO CITAR (Vancouver)

Rev Mex Traspl. 2023;12

ARTíCULOS SIMILARES

CARGANDO ...