medigraphic.com
ENGLISH

Revista Mexicana de Anestesiología

ISSN 3061-8142 (Digital)
ISSN 0484-7903 (Impreso)
  • Mostrar índice
  • Números disponibles
  • Información
    • Información general        
    • Directorio
  • Publicar
    • Instrucciones para autores        
  • medigraphic.com
    • Inicio
    • Índice de revistas            
    • Registro / Acceso
  • Mi perfil

2023, Número 4

<< Anterior Siguiente >>

Rev Mex Anest 2023; 46 (4)


Bloqueo del músculo erector de la espina como rescate analgésico para control de dolor agudo postoperatorio en fractura de escápula: reporte de caso

Leotau-Rodríguez, Mario Andrés1; Valenzuela, Angy2; Rangel, Germán W1
Texto completo Cómo citar este artículo 10.35366/112299

DOI

DOI: 10.35366/112299
URL: https://dx.doi.org/10.35366/112299
Artículos similares

Idioma: Español
Referencias bibliográficas: 6
Paginas: 272-274
Archivo PDF: 229.35 Kb.


PALABRAS CLAVE

bloqueo nervioso, anestesia regional, dolor postoperatorio, dolor agudo, escápula.

RESUMEN

Introducción: el bloqueo en el plano del músculo erector de la espina (ESPB, por sus siglas en inglés) es un procedimiento seguro, en teoría menos exigente que las técnicas convencionales de anestesia regional torácica. Se utiliza para el tratamiento del dolor agudo y crónico. En la revisión de la literatura, no se encontraron informes de su uso como una técnica única en el dolor agudo de fractura de escápula. Presentación de caso: se reporta un caso clínico de ESPB como técnica experimental para el control del dolor postoperatorio agudo en fracturas de la escápula con aplicación a nivel T2. Se llevó a cabo postoperatorio con disminución de dolor después de 10 minutos de realizado, con una calificación de cero en la escala análoga del dolor. En este caso el ESPB fue realizado en el postoperatorio inmediato, con lo que se logró una disminución total del dolor a los 10 minutos, con posterior control de dolor a las 36 horas. Conclusión: este caso muestra la efectividad de ESPB como técnica experimental para control de dolor postoperatorio en fractura de escápula.



INTRODUCCIóN

El bloqueo en el plano del músculo erector de la espina (ESPB, por sus siglas en inglés) fue descrito inicialmente en 2016 como un procedimiento seguro. Utiliza una técnica que se aleja de los planos de la pleura, de las estructuras de neuroeje; contrario a la anestesia epidural y paravertebral torácica(1). Esto hace que técnicamente sea menos exigente respecto a las técnicas convencionales de anestesia regional torácica. Es utilizado para tratamiento de dolor agudo y crónico.

Con esta técnica, el anestésico local pasa a los planos musculares y dorsales, desde las apófisis transversas hacia el espacio paravertebral y los espacios intercostales. Las zonas que se alcanzan con el bloqueo son extensas pero variables y en algunos casos llega a la cadena paravertebral(2).

Fue usado inicialmente en el manejo de dolor neuropático refractario por tratamiento convencional, su uso se ha extendido desde cirugía de mama, fracturas costales y cirugía de columna lumbosacra, hasta cirugía abdominal. Adicionalmente se ha utilizado en el manejo de dolor de hombro crónico, neuralgia postherpética y síndrome de cirugía de espalda fallida(1).

Del uso para control de dolor crónico en hombro se describe que una aplicación a nivel de T2 puede dar niveles de analgesia a nivel de C3, existen reportes de caso de dos pacientes que fueron sometidos a cirugías artroscópicas de hombro para dolor crónico de hombro y en un paciente con una fractura humeral proximal Neer tipo 3(3). En la revisión de literatura se encontró su uso en combinación con bloqueo de plexo braquial a nivel interescalénico en el control de dolor agudo; sin embargo, no se encuentran reportes de su uso como técnica única en el manejo de dolor agudo de fractura de escápula, por lo cual se realiza la descripción en este reporte de caso; éste presenta el uso de experimental de ESPB para control de dolor agudo postoperatorio de reparación de fractura de escápula con aplicación a nivel de T2.



PRESENTACIóN DE CASO

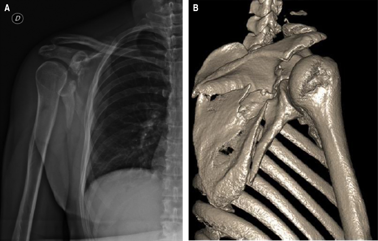
Paciente sin antecedentes patológicos diagnosticados, presentó accidente de tránsito de alta enérgica con fractura a nivel de escápula derecha (Figura 1). Fue llevado a manejo quirúrgico operatorio con reducción abierta de fractura más fijación interna. Presentó episodio de dolor intenso calificado en la escala numérica del dolor (numeric rating scale [NRS]) de 10 en zona de hombro y escápula derecha, se manejó con morfina 8 mg, diclofenaco 75 mg, dipirona 2 g en forma endovenosa, con mejora de dolor durante 30 minutos. Refirió recurrencia de dolor a intensidad en NRS de 10.

Se realizó ESPB derecho a nivel de T2 bajo guía ecográfica con equipo SonoSite M-Turbo®, con una aguja de Tuohy, al colocar catéter epidural en el plano erector de la espina sobre apófisis trasversa de T2 derecha. Se llevó a cabo verificación ecográfica y aplicación volumen de 20 cm3 de solución anestésica compuesta de bupivacaína 0.25%, más lidocaína al 0.5%. Después de 10 minutos hubo presencia de control de dolor con NRS de 0, además presentó ausencia de la sensación del pinprick en los dermatomas evaluados desde C4 hasta T4 derechos. Se dejó catéter cerrado.

A las 14 horas presentó exacerbación de dolor con calificación de dolor NRS 6. Se colocó nueva dosis analgésica con una solución de lidocaína al 0.5% para un volumen de 20 cm3. El paciente refirió buen control del dolor a los 10 minutos con NRS 4 y ausencia de la sensación del pinprick en los dermatomas evaluados desde C5 hasta T4 derechos. Se decidió instalar máquina de bomba CADD-Legacy® PCA con mezcla analgésica de bupivacaina 0.1% (1 mg/cm3) programada con 0 cm3 de infusión continua, tiempo de bloqueo de 20 minutos y un bolo de rescate de 5 cm3. Se complementó manejo con acetaminofén 1 g vía oral cada ocho horas y diclofenaco 50 mg cada ocho horas. Presentó buen control de dolor durante las siguientes 36 horas (NRS menor de 3) con consumo total de 150 cm3 de la solución.

Las siguientes 12 horas el paciente no usó sistema de rescate, mantuvo valores en NRS menor de 3, por lo que se decidió realizar retiro de catéter. Se dio manejo de analgesia ambulatoria con acetaminofén 1 gramo cada ocho horas y diclofenaco 50 mg vía oral cada ocho horas hasta completar cinco días, tiempo después del cual se dejó sólo rescates de analgésicos con acetaminofén 1 g en caso de crisis de dolor. Se realizó seguimiento telefónico ambulatorio de caso cada 48 horas por 15 días con control de dolor, valores en NRS menores de 4. Se hizo control en consulta médica ambulatoria de clínica de dolor 30 días con control completo de dolor, NRS de 0.



DISCUSIóN

El ESPB se realiza como anestesia guiada por ecografía en la pared torácica y abdominal(1). Selvi y colegas reportaron su uso para control de dolor a nivel de hombro después de la cirugía de hombro por fractura de húmero Neer tipo 3 y dos pacientes con artroscopía de hombro. En estos casos se llevó a cabo inyección preoperatoria de 25 mL de bupivacaina al 0.375% con 5 mL de lidocaína al 2% a nivel de T2 con alivio de dolor e inmediato aumento de la movilización. Sin embargo, el control de dolor postoperatorio en uno de los casos fue bajo y requirió dosis adicionales de analgesia(3).

Ma W y colegas reportaron el uso de ESPB a nivel de T2 en manejo intraoperatorio de cirugía de húmero y en manejo postoperatorio de artroplastía de hombro total. En ambos casos el retiro de los catéteres fue al tercer y segundo día, respectivamente; se tuvo adecuado control de dolor con puntuaciones bajas en NRS(4). Hamadnalla y colegas realizan ESPB con colocación de catéter a nivel de C7 para el manejo preoperativo de desarticulación de hombro en una factura patológica de húmero en un paciente con cáncer de pulmón estadío IV, por lo que se dejó manejo postoperatorio con dosis continua y demanda con ropivacaína, luego de dos días se retiró el catéter; el paciente requirió dosis de opioides durante esas 48 horas de postoperatorio, con lo que se concluyó que ESPB a nivel de C7 puede dar manejo efectivo y analgésico durante la realización de una cirugía de desarticulación de hombro, con niveles de analgesia desde C4 a T4(5).

Otro reporte más cercano a este caso fue descrito por Kilicaslan, en donde se realizó combinación de ESPB a nivel de T2/T3 y bloqueo interescaleno para la analgesia de cirugía de escápula, con lo cual se logró un control postoperatorio adecuado que requirió dosis analgésica 12 horas después del procedimiento(6).

En este caso el procedimiento fue realizado en el postoperatorio inmediato y se logró una disminución total del dolor a los 10 minutos, se requirió dosis de rescate después de 14 horas, acompañada de posterior control de dolor a las 36 horas con sistema de analgesia controlada por el paciente a través de catéter en el plano interfacial a nivel de T2. Sin requerimiento de opioides para el control de dolor agudo postoperatorio.



CONCLUSIóN

EL ESPB guiado por ecografía se muestra como una alternativa en el manejo de dolor agudo postraumático para control en fase aguda de fractura de escápula, al lograr niveles de bloqueos sensitivos adecuados para usarse como rescate analgésico a nivel postoperatorio.


REFERENCIAS (EN ESTE ARTÍCULO)

  1. Urits I, Charipova K, Gress K, Laughlin P, Orhurhu V, Kaye AD, et al. Expanding role of the erector spinae plane block for postoperative and chronic pain management. Curr Pain Headache Rep. 2019;23:71.

  2. Vidal E, Giménez H, Forero M, Fajardo M. Erector spinae plane block: A cadaver study to determine its mechanism of action. Rev Esp Anestesiol Reanim (Engl Ed). 2018;65:514-519.

  3. Selvi O, Tulgar S, Ozer Z. Case report presentation of ultrasound-guided erector spinae plane block in shoulder surgery: three patients and two different results. Cureus. 2018;10(11):e3538.

  4. Ma W, Sun L, Ngai L, Costouros JG, Steffner R, Boublik J, et al. Motor-sparing high-thoracic erector spinae plane block for proximal humerus surgery and total shoulder arthroplasty surgery: clinical evidence for differential peripheral nerve block? Can J Anaesth. 2019;66:1274-1275.

  5. Hamadnalla H, Elsharkawy H, Shimada T, Maheshwari K, Esa WAS, Tsui BCH. Cervical erector spinae plane block catheter for shoulder disarticulation surgery. Can J Anaesth. 2019;66:1129-1131.

  6. Kilicaslan A, Hacibeyoglu G, Goger E, Uzun ST, Ozer M. Combined erector spinae plane and interscalene brachial plexus block for surgical anesthesia of scapula fracture. J Clin Anesth. 2019;54:166-167.



AFILIACIONES

1 Clínica del Dolor Aliviar. Fundación Oftalmológica de Santander. Universidad Autónoma de Bucaramanga. Bucaramanga, Santander, Colombia.

2 Universidad Industrial de Santander. Bucaramanga, Santander, Colombia.



Comité de ética: el caso fue aceptado por parte de los comités de ética e investigación de la Fundación Oftalmológica de Santander.

Responsabilidades éticas: los autores declaramos que se han tenido en cuenta todas las consideraciones éticas en este artículo para conservar el anonimato e intimidad del paciente.

Financiamiento: este trabajo no ha recibido ningún tipo de financiamiento.

Autoría: los autores declaramos haber participado durante la realización de todas las partes de este artículo.

Conflicto de intereses: los autores manifestamos no tener conflicto de intereses.



CORRESPONDENCIA

Dr. Mario Andrés Leotau-Rodríguez. E-mail: mleotau@unab.edu.co




Recibido: 07-01-2021. Aceptado: 29-09-2022.

Figura 1

2020     |     www.medigraphic.com

Mi perfil

C?MO CITAR (Vancouver)

Rev Mex Anest. 2023;46

ARTíCULOS SIMILARES

CARGANDO ...