medigraphic.com
ENGLISH

Revista Mexicana de Pediatría

ISSN 0035-0052 (Impreso)
  • Mostrar índice
  • Números disponibles
  • Información
    • Información general        
    • Directorio
  • Publicar
    • Instrucciones para autores        
    • Envío de artículos
  • medigraphic.com
    • Inicio
    • Índice de revistas            
    • Registro / Acceso
  • Mi perfil

2023, Número 1

<< Anterior

Rev Mex Pediatr 2023; 90 (1)


Cuerpo extraño inusual en una niña

Barbosa-Ardila, Samuel1; Córdoba-Gravini, Jorge Luis2; Suescun-Vargas, José Miguel3
Texto completo Cómo citar este artículo 10.35366/112599

DOI

DOI: 10.35366/112599
URL: https://dx.doi.org/10.35366/112599
Artículos similares

Idioma: Español
Referencias bibliográficas: 5
Paginas: 41-42
Archivo PDF: 131.55 Kb.


PALABRAS CLAVE

cuerpo extraño, tracto digestivo, radiografía, endoscopía, preescolar.

RESUMEN

Se presentan imágenes radiológicas de un cuerpo extraño (grapa de acero) en vía digestiva, el cual fue ingerido de manera accidental por una niña de 14 meses de edad.



INTRODUCCIóN

La ingesta de cuerpos extraños es una causa frecuente de lesiones no intensionales en pediatría.1 Se estima que 80% ocurre en población entre seis meses a tres años de edad.2 Alrededor de los cuales 80-90% son eliminados de forma espontánea y 20% requieren manejo por endoscopía o cirugía de urgencia.3 Según su localización, la más común es el tercio superior del tracto digestivo;4 pero las manifestaciones clínicas y el pronóstico dependen de diversos factores, como el tipo de objeto (cortopunzante, químico, etcétera) y el tiempo transcurrido entre la ingesta y el diagnóstico.5



PRESENTACIóN DEL CASO

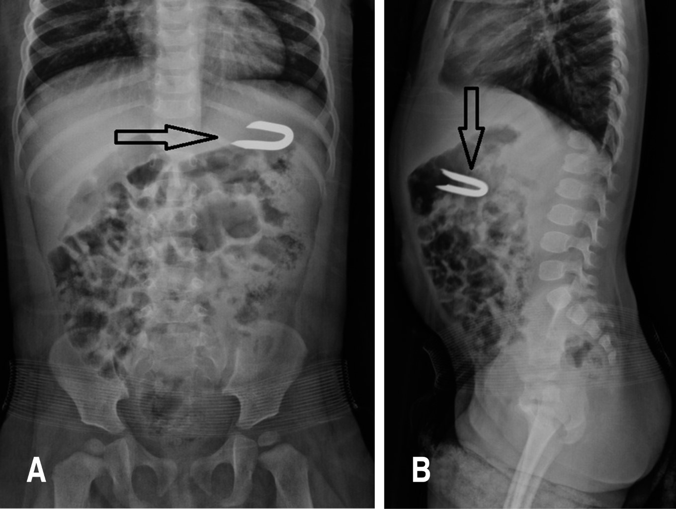
Niña de 14 meses, con historia de tres días de haber ingerido de manera accidental una grapa de acero en forma de U, con puntas biseladas y opuestas, de un tamaño aproximado de 0.9 cm de diámetro por 2.54 cm de largo, la cual se utiliza para fijar el alambre de púas a la madera, cuando se construyen cercas perimetrales.

En la serie radiológica se aprecia el cuerpo extraño ubicado en el hipocrondrio izquierdo (Figura 1). Se realizó endoscopía del tracto digestivo unas horas después de su detección, observando que el cuerpo extraño estaba alojado en la región prepilórica del estómago extrayéndolo con una pinza, sin complicaciones.


REFERENCIAS (EN ESTE ARTÍCULO)

  1. Wright CC, Closson FT. Updates in Pediatric Gastrointestinal foreign bodies. Pediatr Clin N Am. 2013; 60: 1221-1239.

  2. Conners GP, Mohseni M. Pediatric foreign body ingestion. In: StatPearls [Internet]. Treasure island (FL): StatPearls Publishing; 2022. Available from: https://www.ncbi.nlm.nih.gov/books/NBK430915/

  3. Jayachandra S, Eslick GD. A systematic review of paediatric foreign body ingestion: presentation, complications, and management. Int J Pediatr Otorhinolaryngol. 2013; 77: 311-317.

  4. Kim SY, Park B, Kong IG, Choi HG. Analysis of ingested foreign bodies according to age, type and location: a retrospective observational study. Clin Otolaryngol. 2016; 41(6): 640-645. doi: 10.1111/coa.12576.

  5. Cadena-León JF, Cázares-Méndez JM, Toro-Monjaraz EM, Cervantes-Bustamante R, Ramírez-Mayans JA. Manejo de la ingesta de cuerpos extraños por vía digestiva. Acta Pediatr Mex. 2109; 40(5): 290-294.



AFILIACIONES

1 Residente de Pediatría, Universidad el Bosque

2 Instituto Roosevelt

3 Instituto Roosevelt. Universidad del Rosario, Universidad de los Andes y Universidad de La Sabana. Bogotá, Colombia.



Conflicto de intereses: los autores declaran que no tienen.



CORRESPONDENCIA

Samuel David Barbosa-Ardila, E-mail: samuelbarbosatrabajo@gmail.com




Recibido: 24/07/2022. Aceptado: 24/01/2023

Figura 1

2020     |     www.medigraphic.com

Mi perfil

C?MO CITAR (Vancouver)

Rev Mex Pediatr. 2023;90

ARTíCULOS SIMILARES

CARGANDO ...