medigraphic.com
ENGLISH

Acta Médica Grupo Ángeles

Órgano Oficial del Hospital Ángeles Health System
  • Mostrar índice
  • Números disponibles
  • Información
    • Información general        
    • Directorio
  • Publicar
    • Instrucciones para autores        
    • Envío de artículos
    • Políticas
    • Nombre y afiliación del Comité Editorial
  • Nosotros
    • Plan de gestión e intercambio de datos
    • Objetivos declarados y alcance
  • medigraphic.com
    • Inicio
    • Índice de revistas            
    • Registro / Acceso
  • Mi perfil

2023, Número 4

<< Anterior Siguiente >>

Acta Med 2023; 21 (4)


Colpocefalia en adulto

Díaz Sánchez, Mario de Jesús1; Zaragoza Navarro, Andrea1; Botello Ramírez, Iván1; Vadillo Santos, Adriana1; Conde Castro, Benjamín1; Castro Sánchez, José Azael1; Gaxiola Mascareño, Aarón Patricio1; Galindo Sarco, Carlos Martín1
Texto completo Cómo citar este artículo 10.35366/112650

DOI

DOI: 10.35366/112650
URL: https://dx.doi.org/10.35366/112650
Artículos similares

Idioma: Español
Referencias bibliográficas: 4
Paginas: 379-380
Archivo PDF: 134.41 Kb.


PALABRAS CLAVE

colpocefalia, agenesia del cuerpo calloso, resonancia magnética, ventrículos laterales, imagenología diagnóstica, anormalidades congénitas.

RESUMEN

Introducción: la colpocefalia es una alteración congénita rara que se diagnostica en la infancia. Se caracteriza por agrandamiento desproporcionado de las astas occipitales de los ventrículos laterales y se relaciona con otras alteraciones cerebrales. Se diagnostica mediante tomografía computarizada (TC) y/o resonancia magnética (RM), las cuales permiten evidenciar las distintas anomalías encefálicas. Caso clínico: masculino de 20 años que presenta crisis convulsivas, se solicitó RM para valoración donde se observaron datos de colpocefalia con agenesia del cuerpo calloso. Conclusión: la colpocefalia debe considerarse dentro del diagnóstico diferencial de ventriculomegalia en adultos, sin embargo, debido a su poca frecuencia pueden cometerse errores en el diagnóstico por imagen.



INTRODUCCIóN

La colpocefalia es una alteración congénita rara que se caracteriza por un alargamiento desproporcionado de los cuernos o astas occipitales de los ventrículos laterales.1 Por lo general se diagnostica durante la infancia, de manera que en la edad adulta es extremadamente raro, incluso en la última publicación encontrada se reportan sólo nueve pacientes.2 Principalmente se asocia a anomalías del sistema motor, discapacidad intelectual, defectos visuales, dificultades del habla y lenguaje; en muy pocos casos cursa de manera asintomática.1 Existen múltiples etiologías que pueden estar relacionadas con este desarrollo anormal del sistema nervioso central (SNC), entre las que se encuentran: lesiones intrauterinas y perinatales, desórdenes genéticos y errores en la morfogénesis. Pueden asociarse con otras malformaciones neurológicas como la agenesia del cuerpo calloso, que es una de las más frecuentes (40% de los casos), de ahí que la RM sea el estándar de oro para su diagnóstico.3



PRESENTACIóN DEL CASO

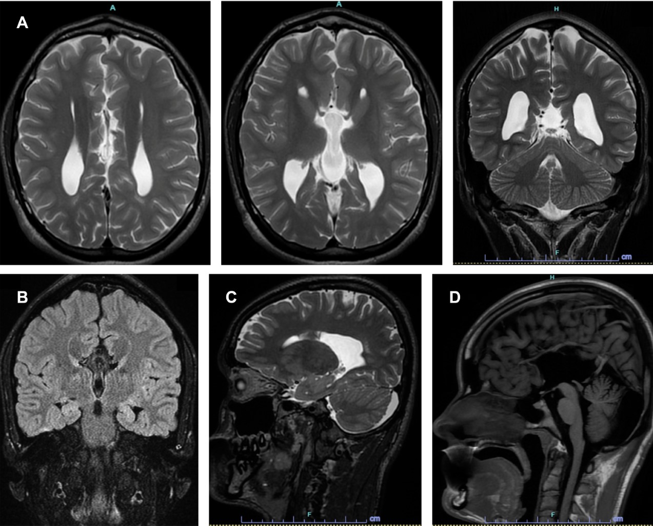
Paciente masculino de 20 años, que acude para valoración médica debido a que presenta crisis convulsivas, por lo cual se le solicitó RM (Figura 1), la cual evidenció los hallazgos de colpocefalia con agenesia del cuerpo calloso.



DISCUSIóN

La colpocefalia se diagnostica en la infancia debido a los datos asociados de discapacidad intelectual, crisis convulsivas, anomalías motoras y visuales. El diagnóstico hasta la edad adulta es poco común y puede diagnosticarse erróneamente como hidrocefalia de presión normal (HPN), causa mucho más frecuente de ventriculomegalia en adultos.4 Es importante considerar que puede relacionarse a severas malformaciones del SNC como: agenesia del cuerpo calloso, lisencefalia, paquigiria, esquizencefalia, macrogiria, ensanchamiento de la cisterna magna, atrofia cerebelosa, hipoplasia del nervio óptico, coloboma coriorretiniano, microcefalia, mielomeningocele e hidrocefalia.3

El diagnóstico inicial puede realizarse mediante TC y/o RM, para observar el agrandamiento de los cuernos occipitales con una relación posterior a anterior de ≥ 3, mientras que la HPN se diagnostica por la tríada clínica: alteración en la marcha, disfunción cognitiva y urinaria.

El estudio mediante RM permite medir índices de distensibilidad intracraneal, de Evans y el ángulo calloso, los cuales se utilizan para distinguir entre colpocefalia y HPN. El índice de Evans muestra la relación entre el ancho máximo de los cuernos frontales de los ventrículos laterales y el diámetro interno máximo del cráneo, así una relación > 3 indica HPN.1



CONCLUSIóN

La colpocefalia es una entidad que debería ser considerada dentro del diagnóstico diferencial en adultos con ventriculomegalia; aunque el diagnóstico en la edad adulta es poco frecuente, resulta necesario reconocer las diferencias clínicas y radiológicas entre dichos diagnósticos para evitar procedimientos diagnósticos y terapéuticos innecesarios, así como mejorar la calidad de vida de los pacientes.


REFERENCIAS (EN ESTE ARTÍCULO)

  1. Jumaan AAA, Tahseen WM. Colpocephaly and corpus callosum agenesis in an asymptomatic adult. Bahrain Med Bull. 2019; 41 (4): 275-277.

  2. Reiter K, Gustaw Rothenberg K. Neuropsychological presentation of colpocephaly and porencephaly with symptom onset in adulthood. Neurocase. 2020; 26 (6): 353-359.

  3. Pimentel Saldanha R, Lacerda de Jesus JA, Mathias Silva B, de Lima Junior WF. Colpocephaly in newborn: case report and literature review. Residencia Pediátrica. 2017; 7 (3): 110-113.

  4. Parker C, Eilbert W, Meehan T, Colbert C. Colpocephaly diagnosed in a neurologically normal adult in the emergency department. Clin Pract Cases Emerg Med. 2019; 3 (4): 421-424.



AFILIACIONES

1 Médico radiólogo de Salud Digna. México.



CORRESPONDENCIA

Mario de Jesús Díaz Sánchez. Correo electrónico: mario.diaz@salud-digna.org




Aceptado: 12-02-2023.

Figura 1

2020     |     www.medigraphic.com

Mi perfil

C?MO CITAR (Vancouver)

Acta Med. 2023;21

ARTíCULOS SIMILARES

CARGANDO ...