medigraphic.com
ENGLISH

Archivos de Investigación Materno Infantil

ISSN 2007-3194 (Impreso)
Órgano de difusión oficial del Instituto Materno Infantil del Estado de México
  • Mostrar índice
  • Números disponibles
  • Información
    • Información general        
    • Directorio
  • Publicar
    • Instrucciones para autores        
  • medigraphic.com
    • Inicio
    • Índice de revistas            
    • Registro / Acceso
  • Mi perfil

2022, Número 1

<< Anterior Siguiente >>

Arch Inv Mat Inf 2022; 13 (1)


Profilaxis antibiótica en odontología, en pacientes con VIH y caries de la infancia temprana. A propósito de un caso

Jaimes Marcos, Esbeyda Rubí1; Sánchez Valle, Gabriela2
Texto completo Cómo citar este artículo 10.35366/112745

DOI

DOI: 10.35366/112745
URL: https://dx.doi.org/10.35366/112745
Artículos similares

Idioma: Español
Referencias bibliográficas: 19
Paginas: 27-34
Archivo PDF: 260.68 Kb.


PALABRAS CLAVE

VIH, indetectable, profilaxis antibiótica, manejo odontológico.

RESUMEN

Introducción: el virus de la inmunodeficiencia humana (VIH) afecta al sistema inmunológico, principalmente a los linfocitos T y CD4, y cuando evoluciona causa un daño inmunológico severo acompañado de infecciones oportunistas. Existen tres vías de transmisión: sexual, sanguínea y perinatal. Presentación de caso: en este artículo se presenta el caso de un paciente masculino de cuatro años y tres meses, con diagnóstico sistémico de VIH por lactancia, bajo tratamiento antirretroviral, y caries de la infancia temprana severa; el cual recibió rehabilitación bucal bajo anestesia general. Se evitó administrar profilaxis antibiótica previo a la rehabilitación bucal, debido a que el paciente presentaba un estadio de VIH(+) indetectable y un recuento de neutrófilos dentro de los parámetros normales; criterios considerados por la Asociación Americana del Corazón (AHA, 2007) y la Academia Americana de Odontología Pediátrica (AAPD, 2014) para establecer cuándo aplicar profilaxis antibiótica en pacientes inmunodeprimidos previo a la rehabilitación bucal. Conclusión: odontólogos o cualquier profesional de la salud debe de tratar a todos los pacientes como potencialmente infecciosos, con las mismas medidas y sin excesos u omisiones.



ABREVIATURAS:

  • AAPD = Asociación Americana de Odontología Pediátrica.
  • AHA = Asociación Americana del Corazón.
  • CIT = caries de la infancia temprana.
  • EPP = equipo de protección personal.
  • OMS = Organización Mundial de la Salud.
  • ONUSIDA = Programa Conjunto de las Naciones Unidas sobre el VIH/Sida.
  • RBBAG = rehabilitación bucal bajo anestesia general.
  • RPBI = residuos peligrosos biológico-infecciosos.
  • SIDA = síndrome de inmunodeficiencia adquirida.
  • TARGA = tratamiento antirretroviral de gran actividad.
  • VIH = virus de inmunodeficiencia humana.



INTRODUCCIóN

El VIH afecta el sistema inmunológico, especialmente a los linfocitos T y CD4. Una persona con VIH es aquella que posee el virus sin tener síntomas, cuando la infección no se trata evoluciona a sida, que se caracteriza por daño inmunológico severo, acompañado de múltiples infecciones oportunistas que comprometen la vida.1

La Organización Mundial de la Salud (OMS) considera al VIH como el microorganismo infeccioso más mortífero del mundo, antes de la epidemia por SARS-CoV-2. Hasta el año 2020 se registraron a nivel mundial 37.7 millones de personas vivas con VIH, de las cuales 1.7 millones eran niños (hasta los 14 años), 53% de todas las personas que viven con VIH son mujeres y niñas, según el informe de la ONUSIDA; y de toda la población que vivía con VIH en 2020, 84% conocían su estado, 73% tenían acceso a tratamiento y 66% presentaban una carga viral indetectable.2,3

Los primeros casos se remontan al año de 1981 en EUA, al igual que en México, principalmente en homosexuales; en 1982 se reconoció como una nueva enfermedad y se inició su vigilancia epidemiológica.1

Se considera que una persona presenta infección por VIH desde que el virus entra en su organismo, aunque no se presente ninguna sintomatología, la aparición de síntomas puede tardar años, pues depende de varios factores como la edad, higiene, dieta y estado de salud general previo.1

Se puede transmitir por tres vías: sexual, sanguínea y perinatal. La vía perinatal o vertical (paso de la madre al niño) durante el embarazo, el parto o la lactancia, es la más común en la población infantil en México y a nivel mundial.4

Una persona con VIH inicia normalmente siendo asintomática, y puede continuar así durante meses o años antes de que se haga evidente su padecimiento. El periodo inicial se caracteriza por fiebre de origen desconocido, diarrea constante, pérdida de peso sin causa aparente y sudores nocturnos, incluso se pueden presentar linfoadenopatías. Dentro de las manifestaciones iniciales más comunes se encuentran las lesiones bucales, ahí es donde radica la importancia de que el odontólogo pueda identificarlas tempranamente (Tabla 1).4-6

Los tejidos duros también se ven comprometidos cuando se presenta caries dental, que en estos niños se agrava no sólo por su condición, sino también por la xerostomía presente debido al mal funcionamiento de las glándulas salivales, los medicamentos antirretrovirales (efectos secundarios y presentación farmacéutica debido al azúcar añadida), dieta cariogénica y la falla en las medidas de prevención dental.2

Cuando el paciente es diagnosticado con VIH debe ser monitoreado durante toda su vida, su manejo es individualizado y la valoración de los parámetros inmunológicos debe realizarse cada tres meses. Una vez que el paciente haya logrado obtener una carga viral indetectable (cuando la carga viral desciende a menos de 50 copias por mililitro de sangre, según la ONUSIDA), se decidirá realizar la valoración cada cuatro o seis meses. Es trascendental conocer que un resultado de carga viral indetectable no significa que el virus haya desaparecido del paciente, sino que no se detecta en sangre y, de acuerdo a la ONUSIDA (2018), el concepto de indetectable no es igual a intransmisible.5,7,8

De esta manera, una buena adherencia al TARGA es primordial para lograr obtener una carga viral indetectable, lo cual retarda y previene la progresión de la enfermedad, restaura el sistema inmunológico y mejora la calidad de vida.9



MANEJO ODONTOLóGICO

El manejo de pacientes pediátricos infectados por el VIH requiere una estrecha colaboración entre el odontopediatra, el pediatra y los padres, tutores o cuidadores del niño. Los pacientes VIH(+) siempre deben recibir el mismo tratamiento que se administraría a los pacientes VIH negativos; no obstante, el tratamiento puede administrarse de manera más lenta y cuidadosa.10

Es importante conocer los criterios que se deben considerar para elegir el uso de antibióticos como profilácticos en pacientes pediátricos previo a la RBBAG, esto de acuerdo con diferentes guías de uso de profilaxis antibiótica, las cuales mencionan un uso reservado en pacientes con alto riesgo de presentar una enfermedad infecciosa. En el caso de pacientes con VIH se debe tomar en cuenta el estado inmunológico del paciente, en específico el recuento de CD4, el recuento de neutrófilos y la carga viral, además de la historia de salud del paciente.10,11

En cuanto al manejo odontológico de los pacientes con VIH o sida, de acuerdo al tipo de tratamiento se establecen dos categorías: la primera corresponde a procedimientos de bajo riesgo, como lo es la valoración clínica, colocación de prótesis dentales, ortodoncia y toma de radiografías; en cuanto a la segunda categoría, ésta incluye procedimientos de alto riesgo como cirugías, endodoncias, tratamiento periodontal, prostodoncia y urgencias.2



PRESENTACIóN DEL CASO

Paciente masculino originario de Temoaya, México, de cuatro años y tres meses de edad, nacido por parto distócico, con llanto espontáneo, sin complicaciones al nacimiento, con un peso de 3.360 kg; la madre refiere que el paciente adquirió infección de VIH por vía vertical, a través de la lactancia y que se encuentra bajo tratamiento antirretroviral (lopinavir/ ritonavir "Kaletra" 2.5 mL/12 h, abacavir 6.5 mL/12 h y lamivudina 6.5 mL/12 h). Fue hospitalizado a los 18 meses por un cuadro de gastroenteritis, sin complicaciones, no refiere ninguna alergia y cuenta con esquema de vacunación completo.

Se interrogó a la madre sobre aspectos relevantes del historial médico. Dentro de los antecedentes heredofamiliares destaca que la madre presenta VIH y se encuentra bajo tratamiento, al aclarar que fue diagnosticada tiempo después del nacimiento del paciente, y como factor de riesgo reportó haber tenido varias parejas sexuales. El padre biológico presentaba sindactilia completa bilateral, se desconoce su estado en cuanto a VIH.

Como antecedentes personales y patológicos, el paciente fue reportado como VIH(+) asintomático por exposición perinatal, por lactancia materna, la madre desconocía en ese momento su patología. El diagnóstico en el paciente se estableció cuando él tenía dos años y siete meses, edad en la que empezó a recibir TARGA en el Centro Ambulatorio para la Prevención y Atención en SIDA e Infecciones de Transmisión Sexual (CAPASITS), Toluca; después fue remitido al CEO del IMIEM en el año 2019, e ingresó al Servicio de Odontopediatría debido a que presentaba lesiones cariosas en cada uno de los órganos dentarios y una deficiente higiene bucal. Al ingresar al CEO el paciente ya había cursado 21 meses como paciente indetectable, debido a su buena adherencia al TARGA (Figura 1).

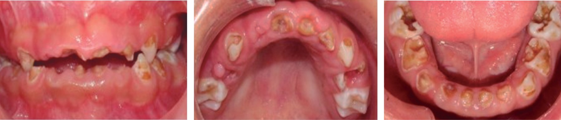
Durante la exploración física y el examen intraoral del paciente se observó higiene bucal deficiente, con lesiones cariosas de segundo, tercer y cuarto grado, diagnosticado con caries de la infancia temprana severa y gingivitis generalizada (Tabla 2). El paciente en el momento del examen oral presentaba dentición temporal, paladar profundo oval, lengua saburral, frenillos bien implantados a excepción del frenillo lingual, el cual se observó corto (Figura 2).

El plan de tratamiento que se decidió realizar fue la rehabilitación bucal bajo anestesia general (RBBAG), debido a la presencia de numerosas lesiones cariosas complejas, para eliminar focos de infección, por el diagnóstico de base y para un mejor manejo de los fluidos corporales (saliva y sangre); mediante la realización de extracciones, terapias pulpares y colocación de coronas acero cromo.

Previo a la RBBAG se realizó una interconsulta médica con los servicios de pediatría y anestesiología, además de diferentes estudios de gabinete: biometría hemática, química sanguínea, examen general de orina, determinación de la carga viral y subpoblación linfocitaria. Los cuales se encontraron dentro de los parámetros normales, además de la obtención de una ortopantomografía como auxiliar de diagnóstico bucal (Tabla 3).

No se presentó ningún inconveniente para la obtención de estos métodos de diagnóstico, además el paciente y la madre siempre mostraron una actitud muy cooperadora.



REHABILITACIóN DENTAL

Se decidió no administrar profilaxis antibiótica previa a la RBBAG, ya que el paciente se consideró como paciente VIH(+) indetectable y presentó un recuento de neutrófilos dentro de los parámetros normales; dichos criterios son los que considera la Asociación Americana del Corazón, 2007, (AHA, por sus siglas en inglés) y la Academia Americana de odontología Pediátrica, 2014, (AAPD, por sus siglas en inglés) para decidir el uso de antibióticos como profilácticos en pacientes inmunodeprimidos previo a la rehabilitación bucal.12

Esto se sustenta con lo descrito en la literatura, la cual menciona que cuando un paciente VIH(+) presenta una carga viral indetectable, un recuento de linfocitos CD4 mayor de 200 CD4/mm3 y un recuento de neutrófilos mayor de 500 células/mm3, no es necesario administrar profilaxis antirretroviral, debido a que el paciente se encuentra bien controlado y a su adherencia al TARGA.11-13

El paciente presentaba un riesgo quirúrgico ASA II, se le informó a la madre sobre los posibles riesgos y complicaciones, los cuales aceptó y firmó el consentimiento odontológico, de hospitalización, quirúrgico y de anestesia.

En primer lugar, se realizó inducción anestésica general, posteriormente se llevó a cabo el procedimiento quirúrgico (rehabilitación bucal): se hizo asepsia y antisepsia, luego se colocaron los campos quirúrgicos, el abrebocas y un aislamiento absoluto con dique de hule y grapas del número 14; entonces se procedió a realizar los tratamientos de operatoria, dentro de los cuales se efectuaron 10 extracciones (OD 54, 52, 51, 61, 62, 64, 72, 71, 81, 82), ocho pulpotomías (OD 53, 63, 75, 74, 73, 83, 84, 85), ocho coronas acero cromo (OD 53, 63, 75, 74, 73, 83, 84, 85) y dos resinas preventivas (OD 55, 65).

Todos los tratamientos se ejecutaron siguiendo los protocolos adecuados sin variaciones; puesto que el VIH no es un factor determinante para modificar el tratamiento dental. Posteriormente, el paciente fue retirado del aislamiento absoluto (Figura 3).

Se dio por terminado el acto quirúrgico sin incidentes, contingencias o accidentes respecto a la an estesia; se recuperó ventilación autónoma, asimismo, se aspiraron secreciones, se retiró neumotaponamiento, se realizó extubación; y por último, se trasladó al paciente a una unidad de cuidados postanestésicos.

Es importante resaltar el uso de las diferentes barreras de protección que se utilizaron durante la rehabilitación quirúrgica del paciente, como lo es el uso del EPP: uso de cubrebocas quirúrgico, careta, bata desechable, lavado de manos quirúrgico antes de colocarse guantes, uso de doble guante, uso de cubiertas desechables para mangueras, pieza de mano, lámpara de fotocurado y utilización de aislamiento de campo operatorio con dique de hule.

Al terminar, el instrumental se colocó en una solución de hipoclorito de sodio; previo al lavado con jabón quirúrgico, se lavó la pieza de alta velocidad con la última fresa utilizada, posteriormente la fresa se retiró y se desechó en el envase rígido de color rojo de RPBI, se empaquetó y esterilizó el instrumental (pieza de mano, fórceps, elevador, mangueras, carpule y juego básico de exploración).

Los problemas clínicos que quedaron pendientes de realizar fueron la colocación de ortopedia dental para devolver función y estética, debido a la contingencia actual por la presencia del virus SARS-CoV-2 (COVID-19). Actualmente se llevan citas de control para revisar las restauraciones, higiene, aplicaciones de flúor y control de erupción.



DISCUSIóN

Hasta la fecha hay escasez de estudios que investiguen el manejo dental en pacientes inmunosuprimidos; no obstante, existen pautas recomendadas que han sido establecidas por la Academia Americana de Pediatría (AAP), la Asociación Dental Americana (ADA), la Academia Americana de Odontología Pediátrica (AAPD) y la Asociación Americana del Corazón (AHA), para el uso de profilaxis antibiótica de rutina, en pacientes que reciben inmunosupresión crónica o radiación, con VIH o enfermedades cardiacas.11

En pacientes con VIH se debe considerar tanto el recuento de CD4 como el recuento de neutrófilos, para valorar la aplicación de profilaxis antibiótica, además se debe considerar la carga viral del paciente, es decir, si se encuentra detectable o indetectable. Se recomienda que se proporcione profilaxis antibiótica a los pacientes con un recuento de neutrófilos inferior a 500 células por mm3 y un recuento de linfocitos CD4 inferior de 200 CD4 por mm3, antes de la cirugía oral o el tratamiento periodontal.10-12

Los médicos deben evaluar el riesgo-beneficio asociado, al considerar el uso de profilaxis antibiótica antes de un procedimiento dental, de acuerdo con su juicio y las necesidades del paciente.

Situaciones en las que se requiera modificar el tratamiento dental de rutina en pacientes con VIH:

  • 1. Niveles bajos de linfocitos CD4 predisponen lesiones orales que requieren un tratamiento específico.
  • 2. Niveles reducidos de plaquetas por debajo de 60,000 células mm3 (normal 150,000-400,000) afectan el tiempo de coagulación.
  • 3. Niveles reducidos de neutrófilos por debajo de 500 células mm3 (normal 2,500-7,500) perjudican los mecanismos de defensa contra los invasores microbianos.
  • 4. El VIH no es un factor determinante para modificar el tratamiento dental.10

El uso conservador de antibióticos está indicado para minimizar el riesgo de desarrollar resistencia a los antibióticos, la evidencia existente actual no respalda el uso extenso de profilaxis antibiótica, asimismo la profilaxis debe limitarse a pacientes inmunodeprimidos con alto riesgo.14

Es esencial identificar cuándo es adecuado administrar antibióticos como profilácticos y evitar usarlos inapropiadamente, principalmente en pacientes inmunodeprimidos. Esto se basa en los criterios que considera la AHA, la AAPD y el Centro Nacional de Excelencia Tecnológica en Salud (CENETEC) para la aplicación de profilaxis antibiótica en los pacientes con VIH(+), los cuales deben presentar un recuento de CD4 menor de 200 CD4/mm3, una carga viral con valores mayores a 3,000 copias y una neutropenia con valores menores a 500 células/mm3.12,13,15

Se debe conocer que el uso inadecuado e innecesario de antibióticos puede provocar un mayor riego de desarrollar resistencia bacteriana, toxicidad, alergias, interacciones medicamentosas y efectos adversos, por tal motivo se debe valorar su uso, evaluando los riesgos y beneficios individualmente en cada paciente.12,16,17



PROTOCOLO DE MANEJO DENTAL DE PACIENTES CON VIH

Se debe establecer un protocolo adecuado de atención bucal en pacientes con VIH, ya que en la actualidad no se han desarrollado programas o protocolos de atención odontológica destinados a la prevención o tratamiento de patologías bucales en pacientes pediátricos con VIH:

  • 1. Inicialmente, se debe realizar la historia clínica al padre o tutor, determinando su condición sistémica, cultural y económica.
  • 2. Informar sobre la importancia de la higiene bucal, evitar la aparición de caries y orientar sobre la dieta.
  • 3. Realizar examen de la cavidad oral y establecer un diagnóstico bucal.
  • 4. Hacer interconsulta con el médico tratante y realizar estudios de gabinete.
  • 5. Establecer plan de tratamiento de acuerdo al grado de caries y características del paciente.
  • 6. Rehabilitación bucodental en cuanto a las características del paciente y juicio clínico del odontopediatra.
  • 7. Orientar, controlar y educar a los pacientes verticalmente expuestos.18

Medidas de bioseguridad:

  • 1. Triaje COVID-19 previo a la consulta dental.
  • 2. Lavado de manos antes y después de la realización de cualquier procedimiento.
  • 3. Uso del EPP adecuado: uso de guantes (en caso de procedimientos quirúrgicos de alto riesgo utilizar doble guante), uso de bata desechable, de cubrebocas quirúrgico y careta.
  • 4. Si el operador presenta alguna lesión cutánea debe evitar atender al paciente.
  • 5. En caso de salpicadura de sangre o secreciones sobre la piel se deberá lavar con abundante agua y jabón desinfectante.
  • 6. Todo el material desechable, incluyendo batas, algodón, gasas, agujas, toallas de papel, entre otros, se desechará en bolsas de plástico rojas de RPBI.
  • 7. Manejo adecuado de agujas o instrumentos punzocortantes que puedan ocasionar lesiones. Para desecharlos colocarlos en recipientes rígidos rotulados con la leyenda RPBI de color rojo.
  • 8. Se utilizan bolsas de plástico de color rojo para colocar materiales de curación impregnados de fluidos (gasas empapadas de sangre) y bolsas de color amarillo para residuos de tejidos humanos (órganos, por ejemplo, dientes).19
  • 9. Para residuos líquidos se utilizan recipientes de color rojo en donde debe depositarse la sangre líquida, seca y cualquier fluido corporal.
  • 10. Los líquidos de revelado y fijado de radiografías, bajo ninguna circunstancia deben ser eliminados por el desagüe, deben ser conservados en recipientes o galones, que posteriormente serán recolectados por una empresa recolectora de desechos industriales.19
  • 11. Asimismo, se debe recordar que las medidas preventivas, como el uso de cubrebocas, el distanciamiento social y el frecuente lavado de manos, mantienen a todos los pacientes protegidos contra las infecciones.



CONCLUSIóN

Los odontólogos, o cualquier profesional de la salud, deben ser conscientes de tratar a todos los pacientes como potencialmente infecciosos con las mismas medidas, sin excesos innecesarios u omisiones durante la consulta odontológica, siguiendo un protocolo de atención odontológica adecuado.

Cabe destacar la importancia que tiene el manejo interdisciplinario que desempeñan los odontopediatras, en conjunto con el pediatra o especialista que trata habitualmente al paciente con VIH o sida, para poder establecer un adecuado manejo odontológico, al desarrollar un buen plan de tratamiento.

En los últimos años se ha reducido el uso de antibióticos con fines preventivos o terapéuticos, esto basado en la literatura científica; en el caso de los pacientes con VIH, los resultados inmunológicos son los más relevantes para dar un adecuado manejo de la enfermedad y poder decidir el uso de antibióticos como profilácticos; asimismo se recomienda la interconsulta con el médico tratante para el manejo de pacientes con sistema inmunológico comprometido.

Los tratamientos dentales y cuidados de pacientes con VIH no requieren de modificaciones especiales; no obstante, los odontólogos al estar en estrecho contacto con la cavidad oral deben estar capacitados para detectar posibles lesiones orales relacionadas con el VIH, y tratarlas adecuadamente.

En este caso el paciente y la madre siempre mostraron una actitud muy cooperadora, la madre firmó el consentimiento informado sobre la utilización de datos personales para la publicación del reporte de caso.

No se presentó ningún conflicto de intereses entre los autores.


REFERENCIAS (EN ESTE ARTÍCULO)

  1. Ruiz-Gómez PF, Rodríguez-Cruz AR, Luengas-Quintero E, Ramos-Alamillo U, Cruz-Palacios JC, Cruz-Páez MG. Guía para la Atención Estomatológica en Personas con VIH México, 2015. México: Secretaría de Salud. CENAPRECE. CENSIDA; 2015.

  2. Martínez-Menchaca HR, González-Treviño MG, Rivera-Silva G. Manejo de la salud oral en el paciente pediátrico infectado por VIH. Rev ADM. 2015; 72 (6): 299-305.

  3. ONUSIDA. Hoja Informativa 2021 - Estadísticas mundiales sobre el VIH. Disponible en: https://www.unaids.org/sites/default/files/media_asset/UNAIDS_FactSheet_es.pdf

  4. Cameron A, Widmer R. Manual de odontología pediátrica. 3a ed. España: Elsevier; 2010. pp. 39-52.

  5. Guerra ME, Casanova ME, Suárez JA, Salazar A. Tratamiento odontopediátrico de un paciente VIH(+) bajo anestesia general: Primer caso en el Postgrado de Odontología Infantil en la Facultad de Odontología Universidad Central de Venezuela. Acta Odontol Venez. 2003; 41 (1): 43-52.

  6. Fleming P, Palmer NO. Pharmaceutical prescribing for children. Part 6. Dental management and prescribing for the immunocompromised child. Prim Dent Care. 2006; 13 (4): 135-139.

  7. González-Alba JM, Rodríguez-Domínguez M, Mateos LM. Determinación de la carga viral del VIH-1. Enferm Infecc Microbiol Clin. 2011; 29 (Supl 3): 47-50.

  8. ONUSIDA. Indetectable = intransmisible La salud pública y la supresión de la carga vírica del VIH. 2018.

  9. Pérez-Bastán JE. Adherencia al tratamiento antirretroviral de personas con VIH/sida en la Atención Primaria de Salud. Rev Hab Cienc Med. 2020; 19 (5): 1-11.

  10. Shirlaw PJ, Chikte U, MacPhail L, Schmidt-Westhausen A, Croser D, Reichart P. Oral and dental care and treatment protocols for the management of HIV-infected patients. Oral Dis. 2002; 8 (Suppl 2): 136-143.

  11. Squire JD, Gardner PJ, Moutsopoulos NM, Leiding JW. Antibiotic prophylaxis for dental treatment in patients with immunodeficiency. J Allergy Clin Immunol Pract. 2019; 7 (3): 819-823.

  12. Rodríguez-Campos LF, Ceballos-Hernández H, Bobadilla-Aguirre A. Profilaxis antimicrobiana previa a procedimientos dentales. Situación actual y nuevas perspectivas. Acta Pediatr Mex. 2017; 38 (5): 337-350.

  13. Campo J, Cano J, Moreno LA, Bascones A. Manejo del paciente infeccioso en la consulta dental (Parte I). Manejo odontológico del paciente infectado por el VIH/sida. Gaceta Dental. 2009. Disponible en: https://gacetadental.com/2009/03/manejo-del-paciente-infeccioso-en-la-consulta-dental-parte-i-manejo-odontolgico-del-paciente-infectado-por-el-vihsida-31249/

  14. American Academy of Pediatric Dentistry. Antibiotic prophylaxis for dental patients at risk for infection. The Reference Manual of Pediatric Dentistry. 2020.

  15. Cornejo-Saucedo MA, Sifuentes-Díaz E, Ríos-Holgado IM, Soto-Cárdenas MJ. Protocolo de profilaxis infecciosa en la infección por el VIH. Medicine. 2014; 11 (49): 2920-2023.

  16. Mederos J, Ortega LM, Quiñones D, Presedo C, Ramos N. Uso inapropiado de antibióticos en pacientes cubanos hospitalizados con virus de inmunodeficiencia humana. Panorama Cuba Salud. 2018; 13 (3): 51-57.

  17. American Academy of Pediatric Dentistry. Use of antibiotic therapy for pediatric dental patients. The Reference Manual of Pediatric Dentistry. 2020.

  18. Guerra ME, Tovar V, Garrido E, Blanco L. Programa de odontología preventiva dirigido a bebés VIH(+) y verticalmente expuestos. Acta Odontol Venez. 2004; 42 (3): 182-186.

  19. Tiol-Carrillo A, Gutiérrez-Ospina I. Manejo de residuos peligrosos en el consultorio dental. Rev Odontol Mex. 2018; 22 (3): 126-127.



AFILIACIONES

1 Pasante de cirujano dentista egresada de la Universidad Autónoma del Estado de México. México.

2 Especialista en Odontología Pediátrica adscrita al Centro de Especialidades Odontológicas del Instituto Materno del Estado de México. México.



CORRESPONDENCIA

Gabriela Sánchez Valle. E-mail: gaby_valle@hotmail.es




Recibido: 06/12/2021. Aceptado: 16/02/2022.

Figura 1
Figura 2
Figura 3
Tabla 1
Tabla 2
Tabla 3

2020     |     www.medigraphic.com

Mi perfil

C?MO CITAR (Vancouver)

Arch Inv Mat Inf. 2022;13

ARTíCULOS SIMILARES

CARGANDO ...