medigraphic.com
ENGLISH

Cardiovascular and Metabolic Science

ISSN 2954-3835 (Digital)
ISSN 2683-2828 (Impreso)
Antes Revista Mexicana de Cardiología

Ver Revista Mexicana de Cardiología


  • Mostrar índice
  • Números disponibles
  • Información
    • Información general        
    • Directorio
  • Publicar
    • Instrucciones para autores        
    • Envío de artículos
  • medigraphic.com
    • Inicio
    • Índice de revistas            
    • Registro / Acceso
  • Mi perfil

2023, Número 3

<< Anterior Siguiente >>

Cardiovasc Metab Sci 2023; 34 (3)


Palpitaciones como manifestación de hiperplasia lipomatosa del tabique interauricular: reporte de caso y revisión de literatura

Moreno-Pallares E, Vargas-Vergara D, Bornacelly A
Texto completo Cómo citar este artículo 10.35366/112760

DOI

DOI: 10.35366/112760
URL: https://dx.doi.org/10.35366/112760
Artículos similares

Idioma: Inglés [English version]
Referencias bibliográficas: 17
Paginas: 114-118
Archivo PDF: 205.31 Kb.


PALABRAS CLAVE

hiperplasia lipomatosa, palpitaciones, tabique interauricular, resonancia cardiaca.

RESUMEN

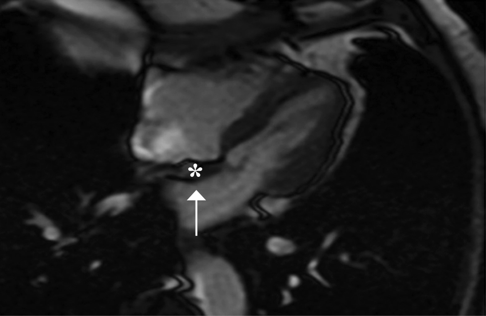
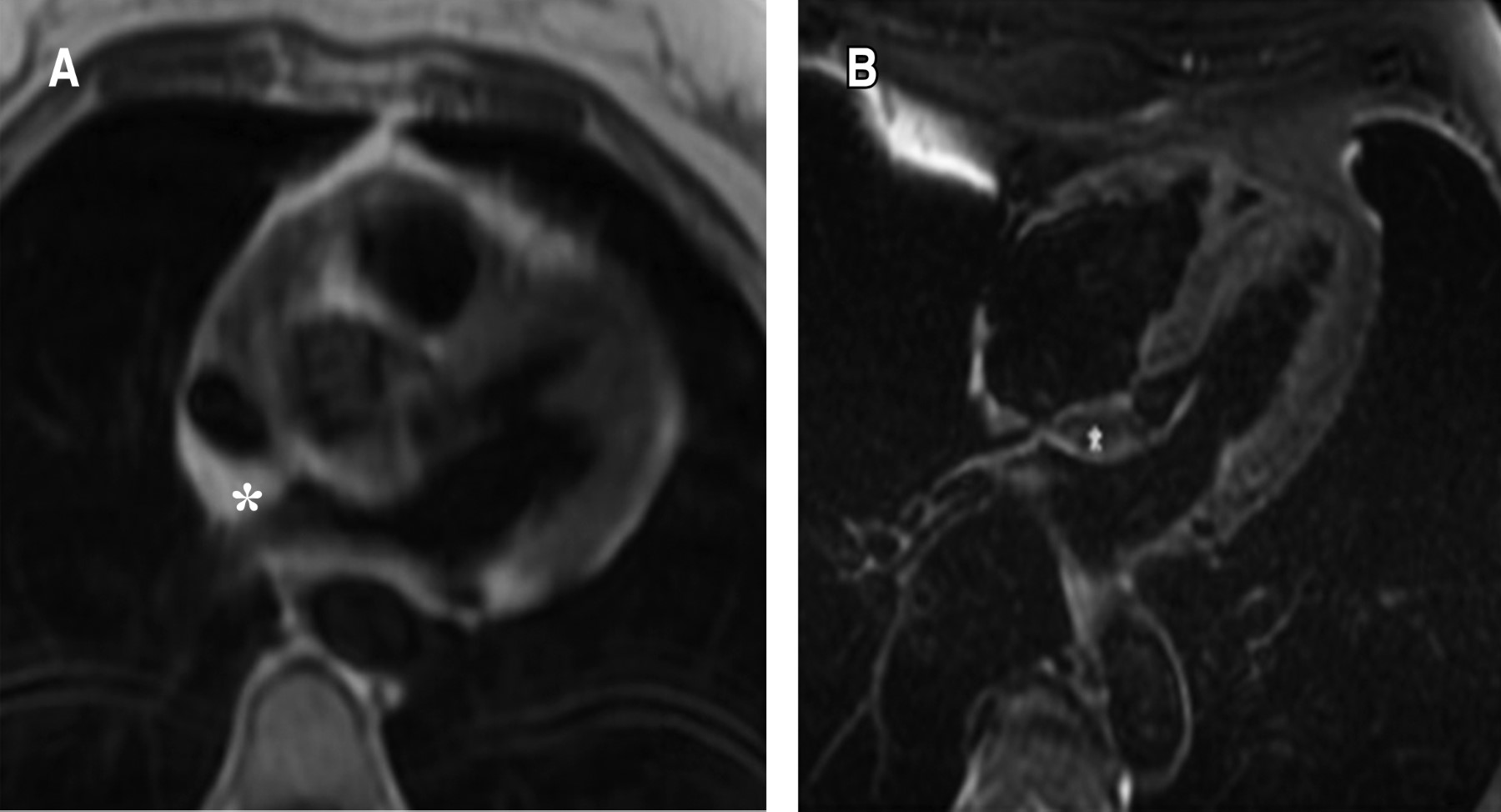
La hipertrofia lipomatosa del tabique interauricular se reconoce cada vez más y debe considerarse como parte del diagnóstico diferencial de uier tumor cardiaco. Presentamos el caso de un paciente de 70 años que acudió al servicio ambulatorio por palpitaciones. El ecocardiograma transtorácico (ETT) detectó engrosamiento del septo interauricular de predominio proximal con respecto de la fosa ovalis. El diagnóstico fue confirmado por resonancia magnética cardiaca. En tales casos, la opinión de un cardiólogo experto en imagen cardiaca ayudaría a evitar un diagnóstico erróneo y una intervención innecesaria. Esta condición es más común de lo que se pensó inicialmente y sigue siendo poco reconocida por la mayoría de los médicos.


REFERENCIAS (EN ESTE ARTÍCULO)

  1. Bhattacharjee M, Neligan MC, Dervan P. Lipomatous hypertrophy of the interatrial septum: an unusual intraoperative finding. Br Heart J. 1991; 65: 49-50.

  2. Hutter AM Jr, Page DL. Atrial arrhythmias and lipomatous hypertrophy of the cardiac interatrial septum. Am Heart J. 1971; 82: 16-21.

  3. Xanthos T, Giannakopoulos N, Papadimitriou L. Lipomatous hypertrophy of the interatrial septum: a pathological and clinical approach. Int J Cardiol. 2007; 121: 4-8.

  4. Prior JT. Lipomatous hypertrophy of cardiac interatrial septum: a lesion resembling hibernoma, lipoblastomatosis and infiltrating lipoma. Arch Pathol. 1964; 78: 11-15.

  5. Pochis WT, Saeian K, Sagar KB. Usefulness of transesophageal echocardiography in diagnosing lipomatous hypertrophy of the atrial septum with comparison to transthoracic echocardiography. Am J Cardiol. 1992; 70: 396-398.

  6. Lampropoulos KM, Kotsas D, Iliopoulos T. Lipomatous hypertrophy of interatrial septum. BMJ Case Rep. 2012; 2012:bcr2012006611.

  7. Langer FW, Rafael G, Alves T, Santos D, Jesus C, Haygert P et al. Lipomatous hypertrophy of the interatrial septum. Radiol Bras. 2018; 51: 130-132.

  8. Cannavale G, Francone M, Galea N, Vullo F, Molisso A, Carbone I et al. Fatty images of the heart: spectrum of normal and pathological findings by computed tomography and cardiac magnetic resonance imaging. Biomed Res Int. 2018; 2018: 5610347.

  9. Maleszewski JJ, Bois MC, Bois JP, Young PM, Stulak JM, Klarich KW. Neoplasia and the heart: pathological review of effects with clinical and radiological correlation. J Am Coll Cardiol. 2018; 72: 202-227.

  10. Kleiman AM, Harding LM, Bechtel AJ. Concomitant lipomatous hypertrophy and left atrial mass: distinguishing benign from malignant. Echocardiography. 2018; 35: 534-536.

  11. Kluge WF. Lipomatous hypertrophy of the interatrial septum. Northwest Med. 1969; 68: 25-30.

  12. Abarello P, Maiese A, Bolino G. Case study of sudden cardiac death caused by lypomatous hypertrophy of the interatrial septum. Med Leg J. 2012; 80: 102-104.

  13. Kimura F, Matsuo Y, Nakajima T, Nishikawa T, Kawamura S, Sannohe S et al. Myocardial fat at cardiac imaging: how can we differentiate pathologic from physiologic fatty infiltration? Radiographics. 2010; 30: 1587-1602.

  14. Novick RJ, Dobell ARC. Tumors of the heart. In: Baue EA. Thoracic and cardiovascular surgery. 5th ed. East Norwalk, CT: 1989-2002. Appleton and Lange, 1991.

  15. Dotti MT, Mondillo S, Plewnia K et al. Cerebrotendinous xanthomatosis: evidence of lipomatous hypertrophy of the right atrium. J Neurol. 1998; 245: 723-726.

  16. Enzi G, Busetto L, Ceschin E et al. Multiple symmetric lipomatosis: clinical aspects and outcome in a long-term longitudinal study. Int J Obes Relat Metab Disord. 2002; 26: 253-261.

  17. Dickerson J, Smith M, Kalbfleisch S, Firstenberg M. Lipomatous hypertrophy of the Intraatrial septum resulting in right atrial inflow obstruction and atrial flutter. Ann Thorac Surg. 2010; 89 (5): 1647-1649.




Figura 1
Figura 2
Figura 3
Figura 4

2020     |     www.medigraphic.com

Mi perfil

C?MO CITAR (Vancouver)

Cardiovasc Metab Sci . 2023;34

ARTíCULOS SIMILARES

CARGANDO ...