medigraphic.com
ENGLISH

Acta Ortopédica Mexicana

ISSN 2992-8036 (Digital)
ISSN 2306-4102 (Impreso)
Órgano Oficial del Colegio Mexicano de Ortopedia y Traumatología
  • Mostrar índice
  • Números disponibles
  • Información
    • Información general        
    • Directorio
  • Publicar
    • Instrucciones para autores        
  • medigraphic.com
    • Inicio
    • Índice de revistas            
    • Registro / Acceso
  • Mi perfil

2023, Número 1

<< Anterior Siguiente >>

Acta Ortop Mex 2023; 37 (1)


Evaluación funcional y de calidad de vida en el seguimiento de pacientes con artropatía de Charcot tratados mediante artrodesis de tobillo con clavo centromedular retrógrado bloqueado

López-Gavito, EG1; Pasache-Lozano, RP2; Parra-Téllez, EP3
Texto completo Cómo citar este artículo 10.35366/112810

DOI

DOI: 10.35366/112810
URL: https://dx.doi.org/10.35366/112810
Artículos similares

Idioma: Español
Referencias bibliográficas: 5
Paginas: 25-29
Archivo PDF: 184.30 Kb.


PALABRAS CLAVE

Charcot, AOFAS, EuroQol-5D, fusión, artrodesis, clavo centromedular.

RESUMEN

Introducción: la artropatía de Charcot es una condición incapacitante, no infecciosa, progresiva, que se caracteriza por destrucción ósea y articular en pacientes con neuropatía sensorial. En casos avanzados, en los que se tiene deformidad severa e inestabilidad de tobillo, se requieren procedimientos más invasivos como la artrodesis de tobillo con clavo centromedular retrógrado bloqueado. Se desconoce si en estos pacientes las puntuaciones de la valoración funcional postquirúrgica con la escala de AOFAS (American Orthopaedic Foot and Ankle Society) correlaciona con las puntuaciones de la escala de calidad de vida medida con el test EuroQol-5D y las posibles complicaciones postquirúrgicas. Material y métodos: se trata de un ensayo autocontrolado de práctica clínica habitual, cuasiexperimental, longitudinal y prospectivo con recolección ambispectiva (retrospectiva y prospectiva) de datos para evaluar los resultados funcionales y de calidad de vida a un año de seguimiento de los pacientes con artropatía de Charcot tratados mediante artrodesis de tobillo con clavo centromedular retrógrado bloqueado del 1 de Enero de 2010 al 1 de Noviembre de 2018. Resultados: la consolidación se logró en nueve casos de un total de 11 pacientes para una tasa de éxitos de 81.8% y únicamente dos casos (18.2%) en los cuales no se observó consolidación. Las escalas de AOFAS y EuroQol-5D se correlacionaron positivamente de acuerdo con la correlación de Pearson. Conclusiones: las escalas de AOFAS y EuroQol-5D se correlacionan positivamente, obteniéndose 45 y 63% con resultados aceptables y satisfactorios respectivamente en ambas escalas.



INTRODUCCIóN

La artropatía de Charcot es una condición incapacitante, no infecciosa, progresiva que se caracteriza por destrucción ósea y articular en pacientes con neuropatía sensorial. Actualmente se encuentra asociada directamente con la diabetes mellitus 1 y 2; sin embargo, puede presentarse asociada a otras condiciones tales como defectos en el tubo neural, entre otras.

De acuerdo con la patogenia, existen varios tipos de propuestas terapéuticas para el padecimiento, de acuerdo al grado de severidad, con el objetivo de lograr un pie plantígrado, con mínima deformidad y sin áreas de mayor carga, siendo el principal tratamiento la inmovilización dejando como procedimiento final la cirugía.

La artrodesis ha sido considerada como un procedimiento de salvamento, la cual se usa en caso de compromiso severo de partes blandas, inestabilidad grave del tobillo o que presenta incapacidad para el uso de calzado.

Etiopatogenia. Existen dos teorías que pretenden explicar la patogenia de la enfermedad:1

  • a. Traumatismo: condicionaría en estos pacientes, al tener disminuida la sensibilidad por neuropatía periférica, microtraumatismo repetitivo, trauma agudo o incluso cirugía de pie previa que afectaría posteriormente, llegando a la destrucción ósea y articular.
  • b. Neurovascular: es la teoría más aceptada actualmente. La destrucción ósea ocurriría secundaria a un estado hipervascular consecuente a la pérdida de la función del sistema simpático. El flujo sanguíneo es cinco veces mayor en un pie neuropático. La neuropatía autonómica condiciona a shunts arteriovenosos que, se han comprobado, se encuentra en el pie neuropático y en la artropatía de Charcot.

Actualmente hay una nueva teoría que está ganando popularidad. Esta teoría indica que la causa de la artropatía de Charcot es la inflamación local descontrolada.2 Presentan una respuesta inflamatoria local al trauma excesiva, no es una respuesta sistémica. El flujo sanguíneo incrementado aumenta, a su vez, la resorción ósea y el aumento de la actividad osteoclástica, actualmente documentada.

Clasificaciones. Se tienen dos clasificaciones en la literatura más utilizadas para la artropatía de Charcot; la primera clínico-radiológica y la segunda anatómica3 para poder definir el lugar de afección y en qué estadio de la enfermedad se encuentra y con ello poder normar una conducta a seguir para el tratamiento.



CLASIFICACIóN DE EICHENHOLTZ:

  • • Etapa I. Desarrollo y fragmentación: en esta etapa, que dura de tres a cuatro meses, se produce una gran hiperemia que conduce a la destrucción y fragmentación ósea. El pie se presenta eritematoso, caliente, similar a un proceso infeccioso de partes blandas.
  • • Etapa II. Coalescencia: en esta etapa, que dura de ocho a 12 meses, comienza y predomina el proceso reparador. Clínicamente desaparece el rubor, disminuyen el edema y el calor.
  • • Etapa III. Consolidación: se caracteriza por la consolidación y curación, por lo general con deformidad residual. Clínicamente desaparece el calor, pero puede persistir algo de tumefacción.



CLASIFICACIóN DE BRODSKY:

  • • Tipo 1: afección de toda o parte de la articulación de Lisfranc.
  • • Tipo 2: afección de la articulación de Chopart, subastragalina o las tres articulaciones del retropié.
  • • Tipo 3a: afección del tobillo.
  • • Tipo 3b: afección del calcáneo posterior con avulsión de la tuberosidad superior.
  • • Tipo 4: múltiples regiones.
  • • Tipo 5: antepié.

Diagnóstico. Inicialmente el diagnóstico es clínico; se tratará de un paciente diabético de larga evolución con mal control glucémico que se presenta normalmente en una primera etapa de Eichenholtz, por lo que, como ya se había mencionado, se debe realizar el diagnóstico diferencial con osteomielitis.

Las radiografías se consideran el método de diagnóstico más útil. Permite identificar el área de compromiso, evalúa la calidad ósea y si el proceso es agudo o crónico, el cual puede ser complementado con una tomografía axial computarizada (Figura 1).

Tratamiento. El tratamiento debe iniciarse con la disminución de la carga del pie afectado; para lograr este objetivo, se realiza una inmovilización con aparato circular de contacto total para disminuir la carga en la fase aguda de la enfermedad, es recomendado de 6-8 semanas, posteriormente con cambios cada dos semanas. La mayoría de los estudios indican que el paciente se debe encontrar inmovilizado un total de 4-6 meses, con el riesgo de incrementar la carga en el pie contralateral.

El clavo centromedular retrógrado bloqueado ha sido usado en otras patologías de tobillo con buenos resultados.4 En nuestro medio comenzamos a utilizarlo como tratamiento desde 20025 y posteriormente aplicado a la artropatía de Charcot, que es un procedimiento ya descrito de manera internacional en estudios con resultados satisfactorios en cuanto a mejoría funcional y menor incidencia de complicaciones.

El objetivo de realizar tratamiento quirúrgico en estos pacientes es lograr estabilidad, disminución de la deformidad y la posibilidad de realizar una adecuada deambulación.



MATERIAL Y MéTODOS

Diseño: ensayo autocontrolado de práctica clínica habitual cuasiexperimental, longitudinal y prospectivo con recolección ambispectiva (retrospectiva y prospectiva) de datos.

Muestra: pacientes con artropatía de Charcot Brodsky 3a tratados mediante artrodesis de tobillo con clavo centromedular retrógrado bloqueado entre el 1 de Enero de 2010 y el 1 de Noviembre de 2018.

Criterios de inclusión: pacientes de ambos géneros, con madurez esquelética, con neuroartropatía de Charcot tipo 3a de Brodsky.

Criterios de exclusión: pacientes que no deseen participar de la investigación (se realizó consentimiento informado a los pacientes participantes de la investigación).

Criterios de eliminación: pacientes fallecidos y que no hayan realizado seguimiento postoperatorio.

Análisis estadístico: se utilizó previa comprobación del tipo de distribución que tengan ambas variables (AOFAS y EuroQol-5D) a través del test de Kolmogórov-Smirnov, la correlación se efectuó con el estadístico r de Pearson. Para controlar los efectos de la edad, se realizó una correlación parcial controlando la edad previa normalización de ambas variables en caso necesario. El análisis multivariado se realizó con el modelo lineal general del análisis de varianza univariado. Para rechazar las hipótesis nulas se tomó un valor de error alfa igual o menor a 0.05. Los datos se procesaron con el paquete SPSS versión 17.0 para Windows.



RESULTADOS

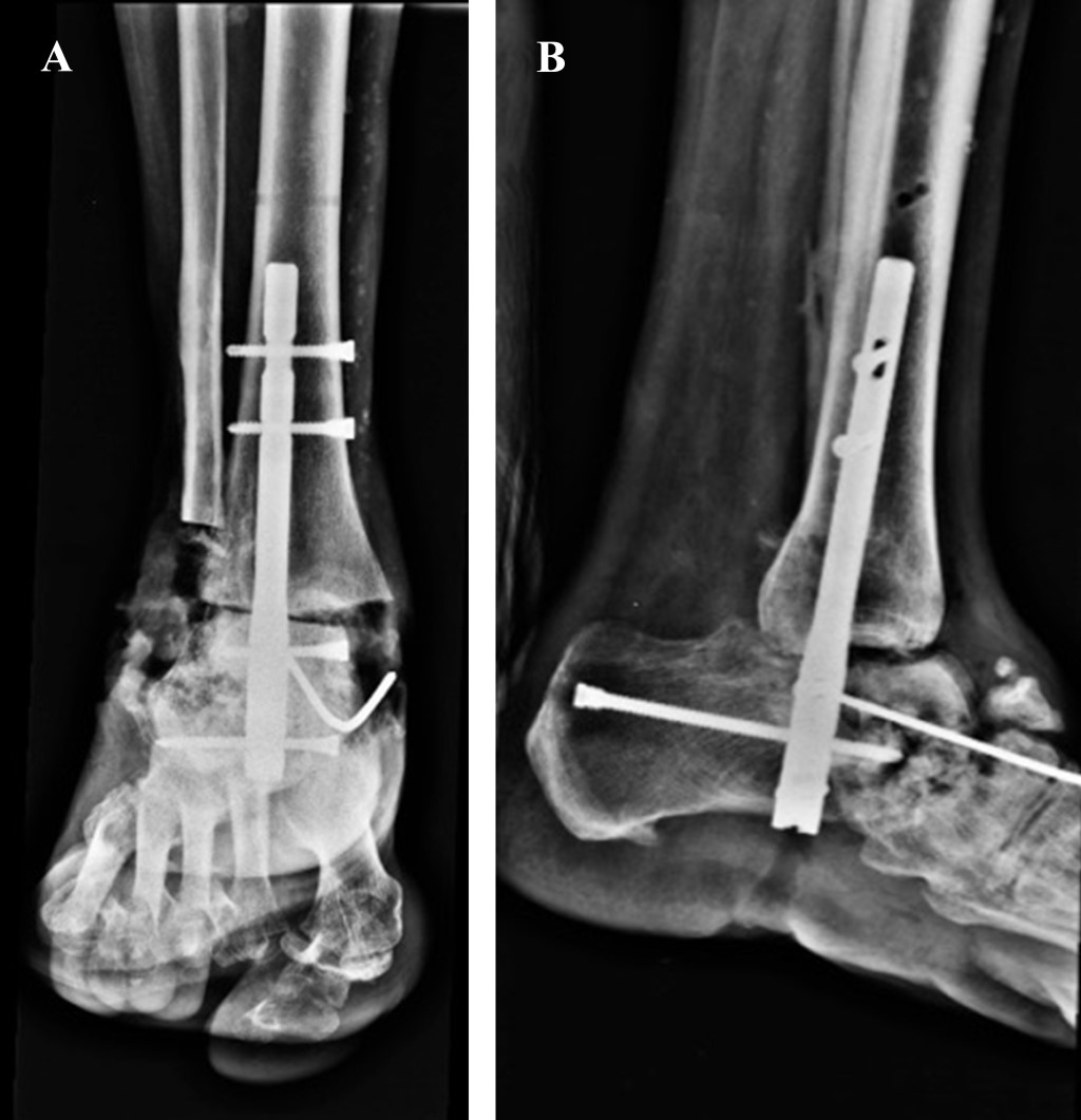
Se analizaron 11 casos de pacientes con artropatía de Charcot tratados con clavo centromedular retrógrado (Figura 2) de los cuales ocho (72.7%) correspondieron al sexo femenino y tres (27.3%) al masculino. La edad mínima fue de 31 años y la máxima de 68 años con media de 53.2 ± 11.4 años.

Del total de tobillos seis fueron derechos y cuatro izquierdos más un caso bilateral. La consolidación se logró en nueve casos para una tasa de éxitos de 81.8% y únicamente dos (18.2%) casos no consolidaron.

Las complicaciones (Tabla 1) fueron aflojamiento de clavo en los dos (18.2%) casos que no consolidaron y que tuvieron que ser reoperados; aflojamiento de tornillos de bloqueo del clavo en tres (27.3%) casos e infección en dos (18.2%), cabe mencionar que se trató de una infección de tejidos blandos que fueron tratados con antibioticoterapia, sin requerir manejo quirúrgico para la misma en ninguno de los casos.

De tal manera que cuatro casos fueron reoperados (Tabla 2), de los cuales únicamente dos fueron para revisión de la artrodesis, los otros dos fueron para retiro del tornillo de bloqueo aflojado.

La escala AOFAS tuvo un promedio de 56.7 ± 14.6 puntos (rango 23-73); la escala de EuroQol-5D tuvo un promedio de 59.36 ± 19.1 puntos (rango 20-76); en cuanto al cuestionario de la escala y en su vertiente de termómetro obtuvimos un promedio de 72.73 ± 11.9 puntos (rango 50-90) (Tabla 3).

AOFAS y EuroQol-5D correlacionaron de manera positiva con un coeficiente r de Pearson de 0.637 (p = 0.03), lo cual indica que a mayor puntuación en AOFAS mayor puntuación correlativa se tuvo en EuroQol-5D (Figura 3).

La edad correlacionó negativamente tanto con AOFAS como con EuroQol-5D y con termómetro siendo los coeficientes respectivos de -0.304 (p = 0.36), -0.551 (p = 0.10) y -0.342 (p = 0.30). La correlación más intensa se observa entre edad y EuroQol-5D, indicando que a medida que aumenta la edad de los pacientes disminuye su calidad de vida (Figura 4).

Finalmente al controlar el efecto de la edad a través del análisis de correlación parcial la correlación entre AOFAS y EuroQol-5D se transformó a un coeficiente r de 0.588 (p = 0.07), lo cual muestra que, aun cuando la p no alcanza a ser significativa por el pequeño tamaño de la muestra, AOFAS y EuroQol-5D tienen en efecto un coeficiente de correlación muy importante; pero se debe tener en cuenta que a su vez la calidad de vida está correlacionada con la edad de los pacientes, ya que al avanzar ésta disminuye la otra.



DISCUSIóN

La artropatía de Charcot es una complicación cada vez más frecuente y, al ser poco conocida, no se diagnostica con la frecuencia adecuada, confundiéndose casi siempre con un proceso infeccioso de partes blandas o hueso. Las consecuencias son devastadoras en cuanto a la calidad de vida, tomando en cuenta las afecciones agregadas que puede tener el paciente como son úlceras crónicas, insuficiencia renal y ceguera. En la mayoría de las veces no se consigue recuperar el estado previo a esta enfermedad, por lo que es muy importante buscar opciones efectivas para lograr restablecer, de la mejor manera posible, las actividades diarias de estos pacientes, por lo que pretendemos, en este estudio, buscar los resultados de la artrodesis de tobillo en cuanto a mejoría en la marcha, dolor, deformidad y calidad de vida.

En la presente investigación clínica se aplicaron la escala funcional de AOFAS y de calidad de vida EuroQol-5D a pacientes con artropatía de Charcot, tratados mediante artrodesis de tobillo con clavo centromedular retrógrado bloqueado entre el 1 de Enero de 2010 y el 1 de Noviembre de 2018. Se realizó seguimiento postquirúrgico a un año; ambas escalas se correlacionaron positivamente de acuerdo con la correlación de Pearson. Se encontró una tasa de éxitos de 81.8% y únicamente dos (18.2%) casos no consolidaron, lo cual muestra que el tratamiento con clavo centromedular retrógrado bloqueado constituye un tratamiento válido y con resultados satisfactorios para pacientes con artropatía de Charcot Brodsky 3a y Eichenholtz en fase de consolidación.

Se realizó la evaluación de las escalas, obteniendo en AOFAS y EUROQOL-5D; 67% de pacientes con resultados insatisfactorios y 33% con resultados aceptables, con una media de resultado de 56.73 y 59.36, respectivamente; en la vertiente del termómetro, que corresponde a cómo asume el paciente su estado actual de salud al momento de la realización de la escala, se obtuvieron 33% de resultados satisfactorios, 33% de resultados aceptables y 34% de resultados insatisfactorios. En cuanto a estos resultados, es importante analizar que estos pacientes tienen un descontrol metabólico severo y muchas veces tienen asociadas otras comorbilidades que afectan tanto su estado funcional como de calidad de vida; asimismo con la escala de AOFAS, debido a la ausencia de movilidad secundaria a la artrodesis, la máxima puntuación a alcanzar seria de 90.

La edad se correlacionó de manera inversamente proporcional, teniendo mayor cantidad de resultados satisfactorios o aceptables en pacientes más jóvenes y mayor porcentaje de pacientes insatisfactorios mayores de 60 años.

En cuanto a complicaciones, se presentaron únicamente dos (18.2%) casos que no consolidaron y requirieron ser reintervenidos. Existen 36.4% de pacientes que no presentaron ninguna complicación, de acuerdo con las condiciones metabólicas se esperarían más complicaciones secundarias a la herida quirúrgica; sin embargo, sólo se presentaron dos (18.2%) casos de infección, la cual fue de tejidos blandos y no requirieron manejo quirúrgico.



CONCLUSIONES

La artrodesis de tobillo con clavo centromedular retrógrado bloqueado es actualmente un tratamiento efectivo y válido para los pacientes con artropatía de Charcot Brodsky 3a y Eichenholtz en fase de consolidación. En esta investigación hubo 81.8% de consolidación, sin pérdida de la extremidad del paciente en ninguno de los casos.

Las escalas de AOFAS y EuroQol-5D se correlacionan positivamente, obteniéndose 45 y 63% con resultados aceptables y satisfactorios, respectivamente, en ambas escalas.

Es importante tomar en cuenta que la calidad de vida de este tipo de pacientes se encuentra comprometida previamente debido a la alteración metabólica secundaria a la patología de base, al apego a un tratamiento adecuado; y a las complicaciones crónicas, como insuficiencia renal, retinopatía diabética y alteraciones vasculares, pero no necesariamente secundarias a los resultados postquirúrgicos, por lo que se debe continuar el seguimiento de estos pacientes a largo plazo.


REFERENCIAS (EN ESTE ARTÍCULO)

  1. Blume PA, Sumpio B, Schmidt B, Donegan R. Charcot neuroarthropathy of the foot and ankle: diagnosis and management strategies. Clin Podiatr Med Surg. 2014; 31(1): 151-72.

  2. Sánchez-Alepuz E, Sánchez-González M, Martínez-Arribas E. Artrodesis tibiotalocalcánea con clavo retrógrado de reconstrucción. Rev Ort op Traumatol. 2003; 47: 137-44.

  3. Schinca N, Álvarez J. Artropatía neuropática o pie de Charcot. Biomedicina. 2012; 7(1): 44-50.

  4. Thomas RL, Sathe V, Habib SI. The use of intramedullary nails in tibiotalocalcaneal arthrodesis. J Am Acad Orthop Surg. 2012; 20(1): 1-7.

  5. Parra-Téllez A, García-Alberto E, López Gavito J, Vázquez-Escamilla J. Artrodesis tibio-astrágalo-calcánea con clavo de revisión. experiencia y resultados. Rev Pie Tobillo. 2004; 18(2): 136-40.



AFILIACIONES

1 Jefe de División de Deformidades Neuromusculares. Instituto Nacional de Rehabilitación "Luis Guillermo Ibarra Ibarra". Ciudad de México, México.

2 Médico residente de cuarto año en Ortopedia. Instituto Nacional de Rehabilitación "Luis Guillermo Ibarra Ibarra". Ciudad de México, México.

3 Médico adscrito de la División de Deformidades. Instituto Nacional de Rehabilitación "Luis Guillermo Ibarra Ibarra". Ciudad de México, México.



NIVEL DE EVIDENCIA

II



CORRESPONDENCIA

Eduardo López-Gavito. E-mail: egavito@hotmail.com, elopez@inr.gob.mx




Recibido: 25-02-2022. Aceptado: 05-06-2023.

Figura 1
Figura 2
Figura 3
Figura 4
Tabla 1
Tabla 2
Tabla 3

2020     |     www.medigraphic.com

Mi perfil

C?MO CITAR (Vancouver)

Acta Ortop Mex. 2023 Ene-Feb;37

ARTíCULOS SIMILARES

CARGANDO ...