medigraphic.com
ENGLISH

Acta Ortopédica Mexicana

ISSN 2992-8036 (Digital)
ISSN 2306-4102 (Impreso)
Órgano Oficial del Colegio Mexicano de Ortopedia y Traumatología
  • Mostrar índice
  • Números disponibles
  • Información
    • Información general        
    • Directorio
  • Publicar
    • Instrucciones para autores        
  • medigraphic.com
    • Inicio
    • Índice de revistas            
    • Registro / Acceso
  • Mi perfil

2023, Número 2

<< Anterior

Acta Ortop Mex 2023; 37 (2)


Luxación del tendón tibial posterior oculta tras un esguince de tobillo: reporte de caso

Cebolla-Tosán, J1; Pablos-González, O2; Plano-Jerez, X3
Texto completo Cómo citar este artículo 10.35366/112993

DOI

DOI: 10.35366/112993
URL: https://dx.doi.org/10.35366/112993
Artículos similares

Idioma: Español
Referencias bibliográficas: 10
Paginas: 118-120
Archivo PDF: 143.79 Kb.


PALABRAS CLAVE

luxación, tendón tibial, accidente, reducción, tobillo.

RESUMEN

Introducción: la luxación traumática del tendón tibial posterior es una entidad poco frecuente que puede pasar desapercibida en nuestra práctica clínica habitual. Material y métodos: un hombre de 31 años, sin antecedentes médicos de interés, sufrió un accidente de tráfico de alta energía. Presentaba una luxación del tendón tibial posterior que pasó desapercibida. Tras un diagnóstico precoz se consiguió realizar una reparación primaria del retináculo flexor y se logró la reducción anatómica del tendón. Resultados: el paciente pudo retomar la actividad deportiva a los tres meses de la lesión con buen resultado funcional. Conclusiones: debemos sospechar esta entidad tras un traumatismo de alta energía con entorsis de tobillo. El tratamiento quirúrgico de esta lesión ofrece buenos resultados funcionales.



INTRODUCCIóN

La luxación del tendón tibial posterior es un hallazgo raramente descrito en la literatura. Es más frecuente en varones jóvenes asociado a actividad deportiva hasta 58% de los casos, aunque están descritas lesiones indirectas y de alta energía.1 Se describió por primera vez, en 1874, por Martius tras una lesión en su tobillo al caer de un globo.2 La serie de casos más larga publicada fue la de Ouzounian y Myerson, en 1992.3 Hasta el año 2010 sólo había 61 casos publicados en la literatura. Es una lesión que pasa desapercibida en pacientes postraumáticos que inicialmente se orientan en su mayoría como esguince o contusión de tobillo. La exploración física meticulosa es imprescindible, ya que el paciente puede presentar un balance articular prácticamente completo asociado a un edema global de la región afectada. Es frecuente la demora del diagnóstico, a no ser que se sospeche desde un inicio.1 El mecanismo de lesión es un traumatismo con el pie invertido en flexión dorsal o, más frecuentemente, en flexión plantar junto con una contracción súbita del tendón.

El tendón tibial posterior transcurre a nivel del tobillo en la región posterior del maléolo interno a través de retináculo flexor, siendo la estructura más anterior y superficial, junto con el tendón del flexor largo del primer dedo, el tendón flexor largo de los dedos y el paquete neurovascular con la arteria, vena y nervio tibial posterior.

El diagnóstico es eminentemente clínico. Durante la exploración física, el paciente presentará dolor con la flexión plantar y la inversión activa y contra resistencia del pie. A la palpación, encontraremos una estructura tendinosa móvil medial al maléolo interno. La resonancia magnética es útil para confirmar el diagnóstico de luxación y determinar el tipo de lesión del retináculo flexor. El tratamiento de elección es la reparación quirúrgica del retináculo, ya que en múltiples ocasiones consigue un buen resultado funcional postquirúrgico que permite a los pacientes volver a una actividad física similar a la previa del traumatismo.

El objetivo de este artículo es reportar una lesión poco frecuente, que en muchas ocasiones no se tiene en cuenta en el diagnóstico diferencial agudo y que se trató quirúrgicamente de forma aguda a raíz de la sospecha diagnóstica en la autoexploración del propio paciente.



PRESENTACIóN DEL CASO

Hombre de 31 años que sufre accidente de tráfico de alta energía (50 km/h), conducía una motocicleta. El paciente era traumatólogo del hospital y no tenía antecedentes médicos de interés ni había presentado lesiones previas en ese tobillo. Valorado inicialmente por un equipo médico multidisciplinario en Urgencias que descartaron lesiones toracoabdominales tras la exploración y la realización de analítica sanguínea y radiografías de tórax, pelvis y columna vertebral. Durante la evaluación secundaria del paciente se procedió a la exploración de la extremidad afectada y se realizaron radiografías de tobillo. Presentaba moderada tumefacción y hematoma de partes blandas a nivel de la cara medial y lateral del tobillo. En la exploración física presentaba dolor e impotencia funcional con cualquier movilización. No presentaba inestabilidad durante la exploración ligamentosa. Las radiografías de tobillo no mostraban lesiones óseas agudas. Se orientó el caso clínico como esguince de tobillo y se indicó terapia farmacológica antiinflamatoria, crioterapia y media elástica semicompresiva, se autorizó la carga de la extremidad a tolerancia. No se sospechó que el paciente pudiese tener luxación del tendón tibial posterior y esta lesión pasó desapercibida.

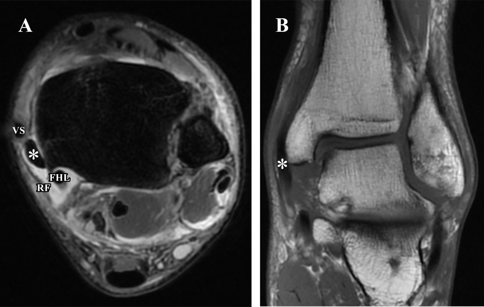
Tras la mejoría de tumefacción de partes blandas, el mismo paciente en su domicilio realizó autoexploración de tobillo palpando estructura tubular móvil a nivel de la cara medial del tobillo y dolor al intentar realizar inversión del pie. Volvió a acudir a Urgencias y se indicó la realización de una resonancia magnética para ampliar estudio (Figura 1).

En la imagen de resonancia magnética se apreció una avulsión del retináculo flexor con luxación del tendón tibial posterior asociado a ruptura parcial del ligamento deltoideo, ruptura completa de ligamento peroneoastragalino anterior y ligamento peroneocalcáneo, fractura-avulsión del ligamento tibioperoneo anterior y lesión osteocondral de la cúpula astragalina.

Dada la buena evolución de partes blandas del paciente se decidió proceder a intervención quirúrgica a los ocho días tras el accidente. Se realizó un abordaje posterior al maléolo medial en el que se evidenció la avulsión del retináculo con la luxación anterior del tendón, el cual no era reductible con la posición neutra de tobillo. Se procedió a la sutura del retináculo flexor con puntos dobles de sutura reabsorbible, reinserción de la región posterior del ligamento deltoideo y tejido fascial con dos cintas y dos arpones metálicos de 3.5 mm. Además, se realizó reinserción de la región anterior del ligamento deltoideo con punto tipo Mason Allen con cinta y arpón metálico de 3.5 mm. Tras comprobar la estabilidad del tendón se realizó inmovilización del tobillo durante tres semanas para proteger la reparación del retináculo flexor con una doble férula suropédica de yeso (Figura 2).

Postoperatoriamente se indicó descarga de la extremidad durante un mes, pasado ese tiempo, se inició carga parcial, al sustituirse la inmovilización de yeso por una ortesis rígida de tobillo y se iniciaron sesiones de rehabilitación diarias con magnetoterapia domiciliaria.

Al mes de la intervención quirúrgica, el paciente no presentaba dolor durante la deambulación en carga parcial con órtesis rígida. A las seis semanas postoperatorias, el paciente comenzó carga completa sin requerimiento de ortesis ni bastones, con buena tolerancia.

A los dos meses del inicio de la rehabilitación, el paciente presenta únicamente déficit de 10° para la flexión plantar (50°) y un déficit de 5° para la dorsiflexión respecto al tobillo contralateral (30°) sin presentar déficit en otros rangos de movimiento.

A los tres meses de la cirugía, el paciente fue capaz de realizar deambulación en posición de puntillas monopodales e inició actividad deportiva previa al traumatismo. El resultado funcional según la escala de la American Orthopaedic Foot and Ankle Society (AOFAS) para retropié y tobillo es de 97 puntos sobre 100, por lo que podemos considerar un buen resultado funcional postoperatorio.



DISCUSIóN

El tendón tibial posterior es un estabilizador dinámico fundamental del pie, por lo que, si la luxación no es diagnosticada de forma aguda, puede quedar una inestabilidad crónica, una deformidad en pie plano, valgo del retropié y dolor crónico a medio plazo.4

La luxación del tendón suele presentarse como una lesión única; sin embargo, puede presentarse asociado a lesiones por avulsión ósea, otras lesiones tendinosas y ligamentosas como en el caso de nuestro paciente.

La rareza de esta lesión y la tumefacción que presentaba el paciente hizo que la lesión nos pasara desapercibida en la atención inicial en Urgencias, por lo que en ocasiones tiene que diagnosticarse a posteriori.

El diagnóstico es clínico y en la mayoría de las ocasiones las radiografías simples son normales. En una revisión de Perlman5 de 11 pacientes, 10 de ellos tenían resultados negativos en la radiografía simple siendo patológica tan sólo en un caso donde se objetivaba una avulsión. Por ello, la luxación del tendón tibial posterior se ha de considerar dentro del diagnóstico diferencial en los pacientes con dolor medial crónico postraumático de tobillo con radiografías normales.6

La resonancia magnética es la prueba de imagen de elección, ya que permite la visualización de la posición del tendón, determinar la lesión del retináculo flexor, la lesión de otros tendones del compartimento, la lesión de otros ligamentos de la articulación y la visualización de edema o aumento del líquido sinovial.7 Sin embargo, puede llegar a haber 25% de falsos negativos con respecto a la posición del tendón, ya que es una prueba estática. Si se sospecha la luxación o inestabilidad clínica del tendón tibial posterior es necesario realizar una ecografía dinámica, ya que permite el estudio de la integridad y la posición del tendón en todo el recorrido en el canal óseo en diferentes grados de flexión plantar y dorsal del tobillo.8

La tomografía axial computarizada permite descartar lesiones por avulsión, fracturas asociadas y valorar la hipoplasia del surco retromaleolar. Soler y colaboradores9 realizaron un estudio de las variaciones del surco retromaleolar en 25 cadáveres, objetivando una variabilidad del ancho del surco de entre 6 y 15 milímetros y de 1.5 y 4 milímetros en la profundidad.

Decidimos, junto con el paciente, el tratamiento quirúrgico de la lesión para evitar posibles secuelas. Existe consenso en la literatura publicada para el manejo quirúrgico, incluso en casos crónicos.10 Decidimos realizar sutura del retináculo flexor y reinserción del ligamento deltoideo con base en la lesión anatomopatológica que presentaba nuestro paciente.

Se pueden realizar múltiples técnicas, por ejemplo, el retensado del retináculo, la reinserción del mismo con arpones y cintas y la reconstrucción con periostio de tibia o con un colgajo de tendón de Aquiles. Además, hay autores que, si objetivan una hipoplasia del surco retromaleolar, asocian procedimientos de profundización del surco junto con la reconstrucción.5

Los resultados quirúrgicos reportados en la literatura suelen ser buenos o excelentes en 93% de los casos.1 Nuestro paciente pudo retomar su actividad deportiva previa a los tres meses sin secuelas funcionales ni dolor.


REFERENCIAS (EN ESTE ARTÍCULO)

  1. Lohrer H, Nauck T. Posterior tibial tendon dislocation: a systematic review of the literature and presentation of a case. Br J Sports Med. 2010; 44(6): 398-406. doi: 10.1136/bjsm.2007.040204.

  2. Martius Ch. Notes sur un cas de luxation du tendon du jambier postérieur. Mem Acad Chir. 1874; 23: 14-5.

  3. Ouzounian TJ, Myerson MS. Dislocation of the posterior tibial tendon. Foot Ankle. 1992; 13(4): 215-9. doi: 10.1177/107110079201300409.

  4. Alamri WM, Aljeaan R, Almulhim AK, Saleh H. Traumatic dislocation of tibialis posterior tendon: a case report and literature review. Cureus. 2020; 12(10): e10885.

  5. Perlman MD, Wertheimer SJ, Leveille DW. Traumatic dislocations of the tibialis posterior tendon: a review of the literature and two case reports. J Foot Surg. 1990; 29(3): 253-9.

  6. Goucher NR, Coughlin MJ, Kristensen RM. Dislocation of the posterior tibial tendon: a literature review and presentation of two cases. Iowa Orthop J. 2006; 26: 122-6.

  7. Bencardino J, Rosenberg ZS, Beltran J, Broker M, Cheung Y, Rosemberg LA, et al. MR imaging of dislocation of the posterior tibial tendon. AJR Am J Roentgenol. 1997; 169(4): 1109-12. doi: 10.2214/ajr.169.4.9308473.

  8. Prato N, Abello E, Martinoli C, Derchi L, Bianchi S. Sonography of posterior tibialis tendon dislocation. J Ultrasound Med. 2004; 23(5): 701-5.

  9. Soler RR, Gallart Castany FJ, Riba Ferret J, Garcia Ramiro S. Traumatic dislocation of the tibialis posterior tendon at the ankle level. J Trauma. 1986; 26(11): 1049-52. doi: 10.1097/00005373-198611000-00016.

  10. Matsui T, Kumai T, Tanaka Y. Recurrent dislocation of the tibialis posterior tendon treated with suture tape: a case report of an innovative operative procedure. J Foot Ankle Surg. 2018; 57(6): 1267-71. doi: 10.1053/j.jfas.2018.03.046.



AFILIACIONES

1 Servicio de Cirugía Ortopédica y Traumatología, Mutua Universal. Barcelona, España.

2 Servicio de Cirugía Ortopédica y Traumatología. Hospital Universitario de Bellvitge. Hospitalet de Llobregat, España.

3 Servicio de Cirugía Ortopédica y Traumatología, Hospital Universitario Germans Trias i Pujol. Barcelona, España.



CORRESPONDENCIA

Jairo Cebolla-Tosán. E-mail: j.cebolla.tosan@gmail.com




Recibido: 07-04-2023. Aceptado: 16-06-2023.

Figura 1
Figura 2

2020     |     www.medigraphic.com

Mi perfil

C?MO CITAR (Vancouver)

Acta Ortop Mex. 2023 Mar-Abr;37

ARTíCULOS SIMILARES

CARGANDO ...