medigraphic.com
ENGLISH

Revista Mexicana de Cirugía Bucal y Maxilofacial

ISSN 2007-3178 (Impreso)
Asociación Mexicana de Cirugía Bucal y Maxilofacial, Colegio Mexicano de Cirugía Bucal y Maxilofacial, A.C.
  • Mostrar índice
  • Números disponibles
  • Información
    • Información general        
    • Directorio
  • Publicar
    • Instrucciones para autores        
    • Envío de artículos
  • medigraphic.com
    • Inicio
    • Índice de revistas            
    • Registro / Acceso
  • Mi perfil

2023, Número 1

<< Anterior Siguiente >>

Rev Mex Cir Bucal Maxilofac 2023; 19 (1)


Osteonecrosis de los maxilares inducida por medicamentos: reporte de un caso y revisión de la literatura

López Lastra, Juan Carlos1; López Noriega, Juan Carlos2; Ruiz Rodríguez, Rafael3; González Reyes, Manuel4
Texto completo Cómo citar este artículo 10.35366/113147

DOI

DOI: 10.35366/113147
URL: https://dx.doi.org/10.35366/113147
Artículos similares

Idioma: Español
Referencias bibliográficas: 27
Paginas: 29-40
Archivo PDF: 431.74 Kb.


PALABRAS CLAVE

osteonecrosis, bifosfonatos, antirresortivos, necrosis ósea inducida.

RESUMEN

La osteonecrosis de los maxilares inducida por medicamentos (OMIM) es posiblemente una de las patologías más descuidadas y que más se pasan por alto en la actualidad en las especialidades tanto odontológicas como médicas. El presente artículo pretende dar un enfoque actual sobre su incidencia, fisiopatología, diagnóstico, estadificación y posible manejo, así como presentar un caso de larga evolución el cual se sometió a diversos tratamientos en sus diferentes estadios de la enfermedad.



INTRODUCCIóN

La osteonecrosis de los maxilares inducida por medicamentos (OMIM) es una patología que disminuye de manera importante la calidad de vida del paciente que la padece. Inicialmente fue ligada al uso de bifosfonatos, de forma reciente se ha descubierto que también puede ser causada por medicamentos antirresortivos o inhibidores de RANK-L (denosumab), antiangiogénicos y también se ha reportado algún anticuerpo monoclonal humano contra el ligando activador del receptor del factor nuclear-kB (Tabla 1).

Es por esto que en el año 2014 la Asociación Americana de Cirugía Oral y Maxilofacial (AAOMS, por sus siglas en inglés) decidió cambiar el nombre de la patología de osteonecrosis de los maxilares inducida por bifosfonatos a osteonecrosis de los maxilares inducida por medicamentos.1,2

La osteonecrosis fue observada por primera vez en trabajadores de las minas de fósforo en el siglo XIX e inicios del XX, en esa época se le denominaba fosfonecrosis. Posteriormente, fue descrita por Marx y Stern en 2002, quienes tuvieron un hallazgo de hueso expuesto que empeoró con debridación, fue hasta 2003 cuando Marx publicó una serie de 36 casos con estas características y todos los pacientes habían sido expuestos a bifosfonatos intravenosos (pamidronato o zolendronato).3

Con la finalidad de distinguir la OMIM de otras patologías o condiciones en las que se ve retrasada la cicatrización, la AAOMS considera que el paciente tiene OMIM si todas las siguientes características están presentes:

  • 1. Tratamiento previo o actual con bifosfonatos, antirresortivos o antiangiogénicos.
  • 2. Hueso expuesto o que puede ser sondeado con presencia de fístula intra o extraoral en la región maxilofacial por más de ocho semanas.
  • 3. No tener historia de radiación de los maxilares o metástasis ósea en los maxilares.1,2

El objetivo del presente artículo fue realizar una revisión bibliográfica sobre la incidencia, diagnóstico, fisiopatología, estadificación y posible manejo de la OMIM, así como presentar un caso de larga evolución manejado de diferentes formas dependiendo el estadio de la enfermedad.



PRESENTACIóN DE CASO CLíNICO

Presentamos un caso de osteonecrosis mandibular asociada a ácido zoledrónico, que por su condición médica general (descrita más adelante) se decidió manejar de forma conservadora durante cuatro años y tras no presentar ninguna mejoría ni estabilización de la enfermedad, en conjunto con la paciente y sus familiares se decidió realizar manejo quirúrgico. A continuación, se presenta resumen de caso clínico y manejo desde abril de 2016 hasta abril de 2022.

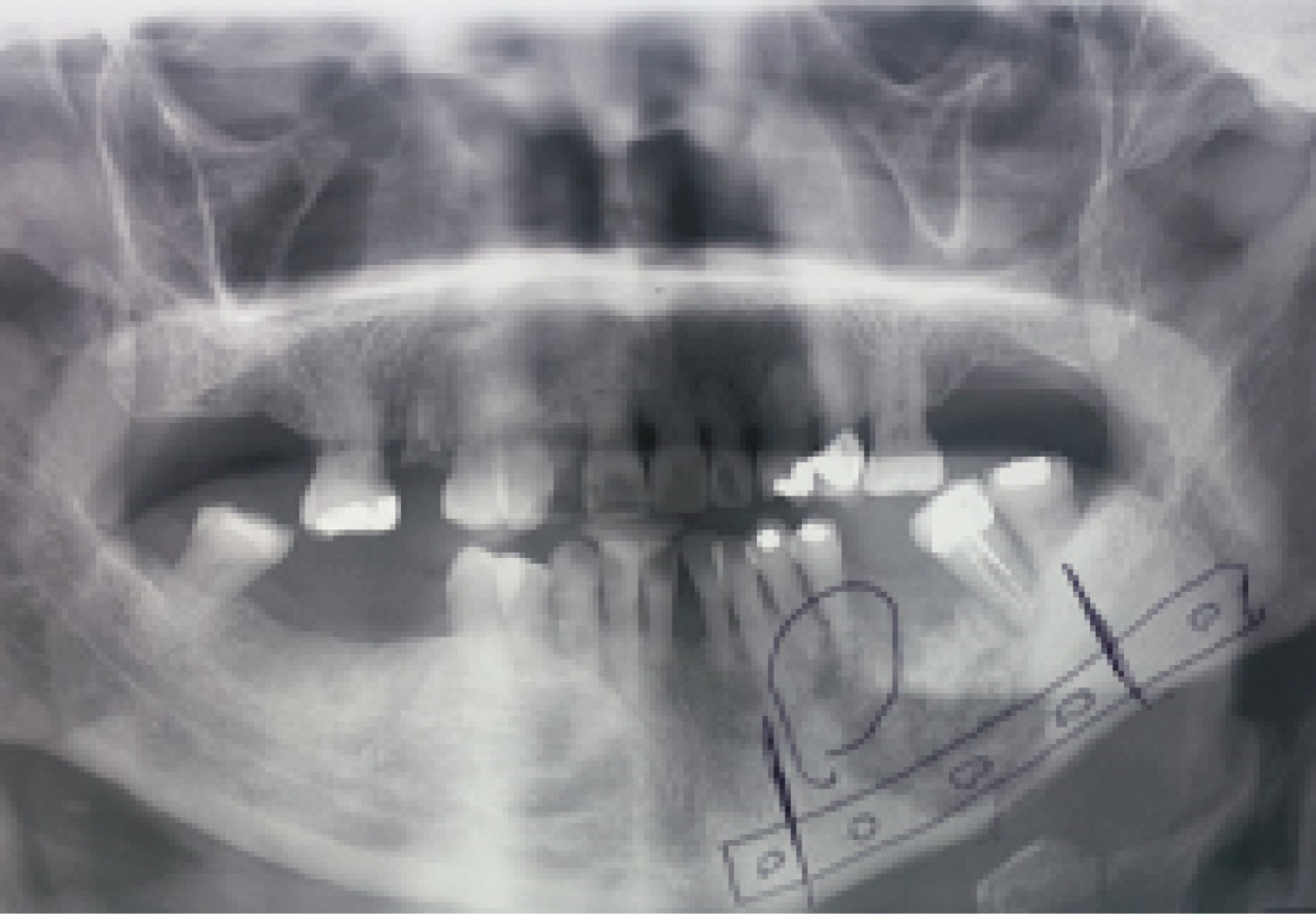
Paciente femenino de 69 años de edad, quien acudió en abril de 2016 a consulta por presentar dolor en hemimandíbula izquierda secundario a curetaje periodontal abierto realizado tres semanas previo a su consulta. Como padecimientos importantes la paciente presentó carcinoma de mama izquierda en 2006 que se trató con resección quirúrgica y quimioterapia. Colocación de prótesis de cadera izquierda en 2009 y administración de ácido zoledrónico vía intravenosa cada dos meses hasta la actualidad. A la exploración física inicial se encontró aumento de volumen en región de cuerpo mandibular izquierdo, movilidad dental grado II-III en órganos dentarios 36 y 37, encía de la región mencionada eritematosa y presencia de exudado serohemático a la compresión de la región. Se decidió manejo inicial solicitando radiografía panorámica (Figura 1), se administró amoxicilina-ácido clavulánico 875/125 mg cada 12 horas durante tres meses, clorhexidina, se recomendó higiene oral exhaustiva, ibuprofeno para control del dolor, endodoncia del OD 36 y la extracción de los molares involucrados de oclusión. La paciente acudió inicialmente tres veces por semana a lavados y control y posteriormente, dos veces por semana. Presentó buena evolución hasta febrero de 2017 cuando se presentó con fístula intraoral con exudado purulento y secuestro óseo a nivel del OD 36 además de parestesia labial izquierda. Se decidió iniciar clindamicina 300 mg vía oral cada ocho horas, la cual no toleró de manera adecuada, por lo que a los 10 días se cambió por moxifloxacino 400 mg vía oral cada 24 horas durante un mes. Se le colocó ácido zoledrónico por indicación oncológica en noviembre de 2017. Se continuó con manejo conservador, antibióticos sistémicos, colutorios y clorhexidina tópica, analgésicos en caso de dolor, higiene oral estricta y consultas a lavado tres veces por semana durante un año. En septiembre de 2018 continuó con múltiples fístulas intraorales vestibulares y hueso expuesto en diversos puntos del cuadrante III. Se solicitó tomografía en la cual se observó osteólisis en hemimandíbula derecha sector posterior y hueso de características anormales en cuerpo mandibular izquierdo. En este punto se decidió no retirar órganos dentarios 36 y 37 hasta que tuvieran tejido de granulación en su porción apical y la extracción fuera, en medida de lo posible, sin exposición ósea. En octubre de 2019 se realizó extracción de 36 sin complicaciones y a la semana acudió con exudado purulento fétido y hueso necrótico en vestibular. Se realizaron curaciones diarias con buena evolución y se dieron citas dos veces por semana. En mayo de 2019 acudió con absceso submandibular izquierdo, que se drenó de manera extraoral, presentando 20 cm3 aproximadamente de exudado purulento. Se agregó metronidazol 500 mg vía oral cada 8 horas a esquema antibiótico y acudió a curaciones diarias sin complicaciones, la herida cicatrizó de manera espontánea. Se solicitó nueva radiografía panorámica en la que se observó franca lisis en cuadrante tres abarcando porción de la basal mandibular (Figura 2). En julio de 2019 se realizó extracción atraumática de 37 con adecuada evolución. En septiembre de 2019 continuó con hueso expuesto. Cabe resaltar que se tomaron cultivos de las fístulas y se aislaron Streptococcus anginosus y biopsias que reportaron hueso necrótico por el Servicio de Patología.

Posterior a un año de controles semanales y sin evidencia de ninguna mejoría posterior a las extracciones y manejo conservador, se decidió en conjunto con paciente y sus familiares manejo quirúrgico con resección mandibular izquierda, para lo que se solicitó TAC, reconstrucción 3D (Figuras 3 y 4), estereolitografía y todos los estudios de laboratorio pertinentes, así como valoración preoperatoria por cardiología, medicina interna y anestesiología, de igual manera el médico oncólogo tratante estuvo enterado y de acuerdo con el tratamiento propuesto.



MANEJO QUIRúRGICO

Bajo anestesia general balanceada con intubación nasotraqueal, se realizó asepsia y antisepsia de la zona a intervenir. Se hizo abordaje extraoral tipo Risdon con extensión submental, se expuso en su totalidad hemimandíbula izquierda (Figura 5). Se colocó y fijó placa de reconstrucción 2.4 alto perfil, la cual fue predoblada con la estereolitografía y esterilizada. Se fijó placa con cinco tornillos 2.4 bicorticales en el segmento proximal y cuatro tornillos 2.4 bicorticales en el segmento distal, todos los tornillos utilizados fueron bloqueados. Diez días previos al procedimiento se inició manejo con doxiciclina 300 mg cada 12 horas según el protocolo descrito por Putke y colegas, de técnica de fluorescencia transoperatoria (Figura 6). Posterior a esto se realizó la resección en bloque con bordes óseos sanos según lo planeado tomográficamente y lo visto clínicamente con la técnica de fluorescencia (Figura 7). Se colocaron múltiples membranas de plasma rico en factores de crecimiento (Figura 8) y se realizó hemostasia, cierre por planos hacia el piso de la boca y de abordaje de Risdon y se colocó Penrose de abordaje cervical. Se dio por terminado el procedimiento quirúrgico, enviando pieza quirúrgica a patología (Figura 9). La paciente cursó con un postoperatorio adecuado (Figura 10).

Dieciséis meses posterior al procedimiento quirúrgico se presentó exposición de la placa de manera extraoral sin datos de infección y sin datos de exposición intraoral de la misma (Figura 11). Se propusieron varias opciones como cambio de placa de reconstrucción, reutilización de la placa actual con previa esterilización y rotación de colgajo submental para cobertura de la placa, pero la paciente rechazó el tratamiento.

En la actualidad se encuentra sin antibióticos sistémicos, sin dolor, y sin hueso intraoral expuesto. Se realizan controles una vez a la semana para registro de la evolución.



DISCUSIóN



INCIDENCIA

En pacientes con osteoporosis, la incidencia de OMIM es de 1.04 a 69 por 100,000 pacientes-año tratados con bifosfonatos orales, de cero a 90 por 100,000 pacientes-año si son tratados por vía intravenosa y de cero a 30.2 por 100,000 pacientes-año si son tratados con denosumab.4,5 En pacientes oncológicos, la incidencia de OMIM es de cero a 12,222 por 100,000 pacientes-año si se tratan con bifosfonatos vía intravenosa y cero a 2,316 por 100,000 pacientes-año si son tratados con denosumab.4-6

En cuanto al porcentaje de aparición los reportes mencionan que se presenta en el maxilar en 30%, mientras que en la mandíbula en 70% de los casos. Existen algunos artículos que hablan de 28.5% en maxilar, 65% en mandíbula y 6.5% en los procesos alveolares de la zona anterior de los maxilares solamente.7

Aproximadamente entre 55-65% de los casos que presentan la patología, se inician por algún tratamiento dental invasivo. A pesar de esto, los incidentes de OMIM asociados con ningún evento predisponente aparente (es decir, "espontáneo") representan el segundo grupo más común de casos de OMIM reportados en la literatura con estimaciones que van de 17 a 70%. Los casos de OMIM "espontáneos" han sido asociados con ciertos sitios anatómicos, incluidos torus, exostosis y crestas milohioideas.7,8

Es importante mencionar que el riesgo de desarrollar la patología está asociado a ciertos factores ya identificados como lo son bifosfonatos intravenosos (según la dosis y la duración), extracción dental, procedimientos dentales invasivos, enfermedad periodontal, glucocorticoides, quimioterapia, tabaquismo y obesidad.6,8

Ruggeiro y colegas mencionan que existen diversas variables por las cuales es difícil estimar de manera precisa la incidencia y la prevalencia de la enfermedad, entre las cuales mencionan la necrosis ósea en pacientes sin toma de medicamentos asociados a OMIM, sin radioterapia y algunas otras condiciones que se pasan por alto durante la exploración física y la realización del diagnóstico.1



DIAGNóSTICO

El establecer un diagnóstico correcto y estadificar de manera adecuada a los pacientes es de suma importancia para dar el manejo oportuno y adecuado. Aunque existen diversos términos para llamar a la enfermedad, creemos que lo más pertinente es apegarnos a la terminología dada por la AAOMS en 2014 como ya fue mencionado. Independientemente de las variaciones en la nomenclatura, el hueso expuesto y necrótico sigue siendo la base en el diagnóstico, por lo que se recomienda una exhaustiva exploración física, ya que es lo más efectivo para un correcto diagnóstico.

Tal como su definición lo dice, para el diagnóstico de la enfermedad es necesario que existan todas las siguientes características presentes: 1) que el paciente haya tomado o esté tomando medicamentos antirresortivos o antiangiogénicos; 2) que exista evidencia de hueso expuesto que pueda ser sondeado a través de una fístula intra o extraoral en la región maxilofacial por más de ocho semanas; y 3) ausencia de antecedentes de radioterapia en la región orofacial o enfermedad metastásica evidente.

El diagnóstico diferencial debe estar enfocado a excluir patologías mucho más frecuentes como son la osteítis alveolar, sinusitis, patologías periodontales (gingivitis/periodontitis), lesiones periapicales y trastornos de la articulación temporomandibular. Asimismo, deben excluirse condiciones menos frecuentes como osteorradionecrosis y osteomielitis.9

Cabe destacar que en los últimos años se han realizado investigaciones y se han publicado algunos artículos en relación con la existencia de biomarcadores específicos que estén asociados con la enfermedad y ambos artículos que citamos refieren que 11 biomarcadores pudieran estar relacionados, éstos son los siguientes: telopéptido C terminal, fosfatasa alcalina específica de hueso, IL-17, función neutrofílica, estrés oxidativo, telopéptido N terminal, metaloproteinasa-9, desmoplaquina, factor de crecimiento endotelial vascular, proteína de reacción cruzada, cuenta leucocitaria, osteocalcina, paratohormona, hormonas tiroideas, vitamina D, desoxipiridinolina, propéptido aminoterminal de colágeno tipo 1, esclerostina, fosfatasa alcalina, RANK-L, osteoprotegerina y relación RANK-L-OPG. Sin embargo, aún no existe un acuerdo ni evidencia suficiente para mencionar que son determinantes.10,11 En el año 2000 se propuso monitorizar a los pacientes con terapia antirresortiva con el telopéptido-C terminal (CTX), esto debido a su poca variación espontánea. En la literatura actual continúa la controversia si el CTX se recomienda para la predicción de OMIM, una de las dificultades al evaluar la asociación entre CTX y OMIM es la presencia de factores de confusión que pudieran alterar los valores de CTX, por ejemplo, el ayuno en los pacientes.10



MECANISMO DE ACCIóN DE LOS MEDICAMENTOS ASOCIADOS CON OMIM

Bifosfonatos: los bifosfonatos orales normalmente son utilizados para el tratamiento de osteoporosis y osteopenia, mientras que los utilizados por vía intravenosa se usan para el manejo de condiciones relacionadas con el cáncer como son las metástasis óseas y algunas lesiones líticas en mieloma múltiple, entre otras.2 Aunque no siempre se da de esta manera y depende del médico que recete los medicamentos.

Por su estructura química se pueden diferenciar dos tipos de bifosfonato: los no nitrogenados (BS bifosfonatos simples: etidronato) y los nitrogenados (BN bifosfonatos nitrogenados: pamidronato, risedronato, ibandronato, zolendronato), y dependiendo de ésta, se conocen al menos dos importantes mecanismos de acción.

Los BP simples, como el clodronato y etidronato, actúan como profármacos y se convierten en metabolitos de tipo AppCp no hidrolizables después de la absorción intracelular por parte de los osteoclastos in vivo. La acumulación de estos metabolitos tiene un efecto citotóxico sobre los osteoclastos, inhibiendo así la reabsorción ósea al provocar la apoptosis de los osteoclastos. La inducción de la apoptosis de los osteoclastos parece ser el mecanismo principal por el cual los BS inhiben la resorción ósea.12

Los BN no se metabolizan de la misma manera que los BS y tienen un mecanismo de acción molecular diferente sobre los osteoclastos. Inicialmente actúan como potentes inhibidores de la enzima farnesil-difosfato sintasa en la vía del mevalonato. Esta inhibición es responsable de una disminución de la actividad GTPasa en el reordenamiento del citoesqueleto y el tráfico vesicular en los osteoclastos. En la actualidad también se conoce un efecto sobre el sistema inmune, especialmente sobre la viabilidad, diferenciación y función de los macrófagos y los monocitos.6,13,14

Denosumab: es un agente antirresortivo que existe como un anticuerpo totalmente humanizado contra el ligando activador del receptor del factor nuclear-kB (RANK-L) e inhibe la función de los osteoclastos y la resorción ósea asociada. Se ha demostrado que el denosumab (prolia) si es inyectado cada seis meses reduce de manera importante el riesgo de fracturas en pacientes osteoporóticos. Curiosamente, a diferencia de los bisfosfonatos, los inhibidores del RANK-L no se unen al hueso y sus efectos sobre la remodelación ósea disminuyen en su mayoría dentro de los seis meses posteriores a la interrupción del tratamiento. La osteoprotegerina (OPG) y el denosumab tienen el mismo mecanismo de acción: se unen al RANK-L y posteriormente bloquean la unión con RANK, inhibiendo así la maduración, función y supervivencia del osteoclasto, lo que reduce la reabsorción ósea.2,6

Antiangiogénicos: los inhibidores de la angiogénesis actúan interfiriendo la formación de nuevos vasos sanguíneos al unirse a varias moléculas de señalización que interrumpen la cascada de señalización de la angiogénesis. Estos nuevos medicamentos han demostrado eficacia en el tratamiento de tumores gastrointestinales, carcinomas de células renales, tumores neuroendocrinos y otros.2

Estos fármacos son antagonistas del factor de crecimiento endotelial vascular (VEGF) y se pueden dividir en dos categorías: 1) anticuerpos monoclonales que se unen al VEGF y, por lo tanto, neutralizan su actividad biológica (bevacizumab) y 2) inhibidores de la tirosina cinasa (TKI) de molécula pequeña que bloquea el VEGF, el receptor de VEGF y sus vías de señalización desreguladoras (sunitinib, sorafenib, cabozantinib). Los inhibidores de la diana/blanco de rapamicina en mamíferos (mTOR) (everolimus y temsirolimus) son agentes terapéuticos recientes utilizados en el tratamiento del carcinoma renal metastásico. Estos fármacos también se han informado como inductores de OMIM en dos informes de casos.6



FISIOPATOLOGíA

No existe evidencia suficiente para explicar la fisiopatología de la OMIM de una sola manera, debido a esto se han descrito diversas hipótesis en las cuales se intenta explicar la misma. Debido a que es poco probable que una sola hipótesis pueda explicarla, ya que de hecho es multifactorial, también es poco probable que una modalidad de tratamiento tenga éxito en todos los pacientes. Además, debido a que la OMIM es una enfermedad descrita de forma reciente relativamente, a medida que se cuenta con más evidencia clínica y preclínica, es evidente que nuestras hipótesis y enfoques de tratamiento deberán modificarse de manera continua. En seguida, presentaremos las hipótesis más estudiadas que pueden explicar la fisiopatología de la OMIM.7,15

Disminución en el recambio óseo: como se explicó anteriormente, los BF tienen un efecto directo sobre los osteoclastos y así afectan directamente el remodelado óseo disminuyéndolo. Es interesante que la OMIM sólo se ha presentado en el maxilar y la mandíbula, esto pudiera ser explicado debido a que estos huesos presentan una mayor tasa de remodelado comparados con los demás huesos del organismo. De esta forma, una reducción en la reabsorción, seguida por la limitación en la formación ósea pudiera devenir en zonas de microlesiones y en áreas de necrosis.16

Inflamación e infección: durante mucho tiempo se ha considerado que la infección o la inflamación son un factor crítico en la patogenia de la OMIM. Se han encontrado bacterias en especímenes de biopsia de hueso necrótico extraído de pacientes con OMIM. La extracción de dientes con infecciones periodontales o periapicales graves son factores de riesgo para el desarrollo de MRONJ.17

Existen diversos estudios en animales en los que se han desarrollado inflamación e infección para comparar la presentación clínica de OMIM con patologías dentales asociadas, en estos estudios se ha demostrado que la presencia de inflamación o infección con un antirresortivo sistémico son suficientes para el desarrollo de OMIM.15 Aun con toda la información que existe en la actualidad sigue existiendo la pregunta: ¿las bacterias son las causantes del hueso expuesto y la infección o el hueso expuesto desarrolla un biofilm dental?

Lo que sí se conoce con certeza es que los pacientes con historial de enfermedades dentales inflamatorias o infecciosas como la periodontitis o un absceso periapical, cuentan con siete veces mayor posibilidad de desarrollar OMIM, además se conoce que algunas bacterias, principalmente Gram negativas, producen substancias que aceleran la reabsorción ósea.7

Inhibición de la angiogénesis: es ampliamente conocido que los huesos, como todos los tejidos del cuerpo, mueren sin un aporte vascular. En la actualidad muchos medicamentos antiangiogénicos son utilizados para evitar las metástasis óseas y la invasión tumoral y estos medicamentos tienen como objetivo blanco algunas moléculas de señalización vascular como el factor de crecimiento endotelial vascular (VEGF, por sus siglas en inglés). El ácido zoledrónico tiene la característica de disminuir los niveles de VEGF in vivo, así como la inhibición de la proliferación, migración y adhesión de las células endoteliales humanas. Además, los BN disminuyen importantemente la densidad de la microcirculación in vivo. El denosumab no ha demostrado tener efectos directos con la angiogénesis.15,17

Toxicidad del tejido blando: se ha sugerido también una posible hipótesis sobre que la OMIM puede estar generada por la toxicidad a los tejidos blandos, ya que la exposición a bifosfonatos, principalmente nitrogenados induce la apoptosis y disminuye la proliferación de las células epiteliales orales in vitro. De igual forma, existe la idea de que las úlceras intraorales pueden ser el inicio de la OMIM. Además, estudios in vitro en los que los fibroblastos de la encía han sido expuestos a ácido zoledrónico, éstos reducen la expresión de proteínas relacionadas con la matriz extracelular como el colágeno y el factor de crecimiento transformante beta, ambas muy importantes en el proceso de reparación de la mucosa oral.15,17

Disfunción de la inmunidad innata o adquirida: el sistema inmune está íntimamente relacionado con la pérdida y la regeneración ósea. Representando los linfocitos innatos, las células T gamma delta son importantes en la regeneración ósea. Dichas células T se reducen significativamente en pacientes con osteoporosis que reciben tratamiento con BP, lo que indica que existe una conexión entre OMIM y la deficiencia de células T gamma delta. Además, se reduce importantemente la función de los neutrófilos, los cuales juegan un rol crucial en la cicatrización inicial de las heridas.

Los macrófagos son sensibles a los BP, que provocan un efecto inhibidor y reducen la viabilidad y la capacidad de diferenciación de los macrófagos. La función de los macrófagos se ve interrumpida por el aumento de la expresión de metaloproteinasas de la matriz (MMP), lo que provoca una cicatrización deficiente de las heridas en las áreas afectadas por OMIM. A través de la inhibición de RANKL, el denosumab puede afectar la expresión de RANK en las células inmunitarias, como las células dendríticas, los monocitos o los macrófagos. El RANKL aumenta la producción de citocinas proinflamatorias y reduce la apoptosis de los monocitos. Por lo tanto, denosumab inhibe la interacción RANK-RANKL, lo que resulta en OMIM, que puede estar relacionado con un cambio en la función y supervivencia de monocitos y macrófagos. Las interleucinas, proteínas producidas por las células inmunitarias, están relacionadas con la expresión y regulación de la respuesta inmunitaria, la cual interviene en múltiples factores desde linfocitos hasta macrófagos.

Por lo tanto, es posible que múltiples vías de señalización participen en la patogénesis de OMIM.15,17

Predisposición genética: existe diversa bibliografía que describe polimorfismos de un nucleótido (PDN), los cuales han sido asociados al desarrollo de OMIM. Estos PDN están directamente relacionados con la formación de colágeno, enfermedades metabólicas óseas y lo más importante, el recambio óseo. Interesantemente, los PDN que se han asociado de manera directa a la OMIM es la sirtuina-1, una proteína reguladora del recambio óseo, PPAR gamma y CYP2C8 por su relación con el remodelado óseo, la angiogénesis y la respuesta inmune.1

Como se ha mencionado en los párrafos anteriores, existen demasiadas formas en las que se puede desarrollar la OMIM y posiblemente se necesite más de una causa fisiopatológica para su desarrollo. Lombard y colaboradores6 sugieren la existencia de dos posibles mecanismos de desarrollo de la OMIM presentando prácticamente todos los mecanismos fisiopatológicos mencionados anteriormente, los cuales se engloban en dos grandes teorías de desarrollo llamadas: teoría interior-exterior y teoría exterior-interior.7



ESTADIFICACIóN E IMAGEN

Durante los últimos años se ha estado utilizando un sistema de estadificación para pacientes con diagnóstico de OMIM, este sistema cuenta con cinco estadios, los cuales se describirán a continuación. También se describirán los posibles hallazgos imagenológicos en cada una de las etapas.

En riesgo: pacientes que no tienen hueso necrótico aparente, pero que han sido tratados con agentes relacionados con OMIM. No presenta cambios radiográficos.

Estadio 0: no hay evidencia clínica de hueso necrótico, pero sí hallazgos clínicos inespecíficos, cambios radiográficos o sintomatología difusa. Los síntomas que se pueden presentar son: odontalgia, dolor mandibular o maxilar irradiado, dolor sinusal y cambios neurosensoriales. Entre los cambios imagenológicos podemos encontrar pérdida o reabsorción de hueso alveolar, hueso esclerótico, engrosamiento de la lámina dura y/o engrosamiento u obscurecimiento del ligamento periodontal. Además, en la exploración física podemos encontrar pérdida y movilidad dental no asociada a enfermedad periodontal e inflamación intra o extraoral.

Se ha reportado la progresión de la enfermedad del estadio 0 al estadio 1 en 50% de los pacientes en estadio 0.1

Estadio 1: hay hueso expuesto y necrótico o fístulas hacia hueso en pacientes asintomáticos, sin evidencia de infección. Cambios en las imágenes similares al estadio 0 además de cambios en el patrón del trabeculado óseo.

Estadio 2: hay hueso expuesto y necrótico o fístulas hacia hueso asociadas a infección, sintomatología dolorosa y eritema en la región del hueso expuesto, con o sin presencia de exudado purulento. Osteoesclerosis difusa mixta, osteólisis del hueso alveolar al hueso maxilar, engrosamiento del canal mandibular, respuesta perióstica, sinusitis maxilar y secuestro óseo.

Estadio 3: hay hueso expuesto y necrótico o fístulas hacia hueso asociadas a infección, sintomatología dolorosa y al menos uno de los siguientes criterios: compromiso óseo más allá del hueso alveolar con resultado de fractura patológica, fístula extraoral, comunicación oroantral, oronasal, osteólisis comprometiendo el borde inferior mandibular o el piso del seno maxilar.1,2,17

Los estudios de imagen más utilizados para el diagnóstico de la OMIM son la ortopantomografía, la tomografía computarizada (TC) y la resonancia magnética. Además, la gammagrafía ósea es de gran ayuda en la detección de la enfermedad en pacientes con alto riesgo. En comparación con los cambios típicos en las imágenes en los estadios 2 y 3, como la separación ósea necrótica a gran escala o la fractura patológica, se debe prestar más atención a los cambios observados en las imágenes de los pacientes en el estadio 0. La observación de cambios sutiles en el hueso que no son fáciles de detectar puede tener un papel importante en el tratamiento de seguimiento para retrasar la progresión de la enfermedad.17



MANEJO Y POSIBLES TRATAMIENTOS

En la actualidad no existe consenso del manejo de los pacientes con OMIM, esto posiblemente se deba a que aún no se sabe con exactitud la fisiopatología de ésta. Algunos artículos que realizaron revisiones sistemáticas recomiendan ciertas estrategias para su manejo dependiendo el estadio en el que se encuentre la enfermedad, esto pudiera ser el abordaje con más bases científicas para su manejo. Es importante mencionar que lograr la cura de los pacientes con OMIM es difícil, ya que ésta se refiere a la cobertura completa con encía, sin hueso necrótico, sin infección y la eliminación completa de la enfermedad, por esta razón, los tratamientos actuales se encaminan al control de la infección, evitar la progresión de la necrosis ósea, disminuir el dolor y mejorar la calidad de vida de los pacientes.18,19

Es muy importante mencionar que, dentro de sus objetivos principales del tratamiento, la AAOMS menciona que es prioritario continuar con el manejo de medicamentos antirresortivos y antiangiogénicos en pacientes oncológicos.2 Pese a esto, existe en la literatura las llamadas "vacaciones del medicamento", este término se refiere al cese temporal de los medicamentos antirresortivos previo a algún tratamiento quirúrgico invasivo el cual involucre el maxilar o la mandíbula; un ejemplo de estos tratamientos son: extracciones dentales, colocación de implantes, tratamientos periodontales abiertos, entre otros. Para la implementación de estas vacaciones del medicamento es necesario considerar diversos factores como el tipo de enfermedad base por la que se toma el medicamento, la frecuencia de uso del medicamento, duración de la terapia, comorbilidades y otros medicamentos utilizados por el paciente, así como la magnitud de la cirugía que se vaya a realizar. Se sugiere poner especial cuidado con los inhibidores de RANK (denosumab), se ha reportado en la literatura un efecto rebote posterior a la suspensión de este medicamento, la cual se observa con una actividad osteoclástica aumentada y por lo tanto clínicamente, fracturas patológicas especialmente en vértebras. A esto nos gustaría añadir que el comité de la AAOMS encargado del estudio de esta patología no pudo llegar a un consenso de si son viables estas vacaciones de los medicamentos para reducir la incidencia de OMIM. En la literatura se encuentran diferentes posturas sobre este tema, la nuestra es que continúa siendo muy controversial y no encontramos conclusiones ni evidencias de peso que apoyen o refuten el uso de las vacaciones de los medicamentos antirresortivos.1,3

Por estas razones en la actualidad el manejo del paciente con OMIM se puede dividir en dos grandes grupos: manejo conservador y manejo quirúrgico. Dicho esto, se sugiere que, con excepción de los casos avanzados de estadio 3 y casos con secuestros óseos bien definidos, se debería evitar el manejo quirúrgico hasta que todas las opciones de manejo conservador hayan sido utilizadas sin presentar mejoría.2



MANEJO CONSERVADOR

Este tipo de manejo tiene como finalidad mantener una higiene oral adecuada, eliminar la enfermedad periodontal y dental activa mediante el uso de enjuagues bucales, gel tópico y antibióticos sistémicos; se considera el manejo convencional, ya que puede ser utilizado como paliativo durante largo tiempo.

En la mayoría de los protocolos de manejo conservador la primeria línea de medicamentos utilizados es la clorhexidina tópica al 12%, ésta, gracias a sus propiedades bactericidas y bacteriostáticas, ha demostrado ser efectivo en el manejo de pacientes con OMIM. Se conoce que gracias a su potencial de disminuir la carga bacteriana se recomienda su uso en pacientes en etapas 0 y 1, además de ser utilizado en etapas más avanzadas en combinación con otro tipo de terapias.17-19

Además de la clorhexidina, los antibióticos son un pilar en el manejo de esta patología. Siempre se recomienda la toma de cultivos para identificar al agente causal principal de la enfermedad, aunque se sabe que la mayoría de las infecciones son polimicrobianas. Inicialmente, la selección del antibiótico se debe realizar de manera empírica siempre tomando en cuenta la historia médica del paciente, asimismo, se conoce por múltiples estudios realizados la presencia de bacterias aerobias y anaerobias susceptibles a penicilina, por esta razón esta última sigue siendo el antibiótico de primera elección. Hablando de los antibióticos vía intravenosa no existen estudios concluyentes que muestren que éstos tengan mayor efectividad que los antibióticos orales, por lo que se prefiere en la mayoría de los casos el uso de estos últimos.20

También se han utilizado otros medicamentos como la pentoxifilina, la vitamina E y la teriparatida. La pentoxifilina en combinación con vitamina E se ha utilizado con anterioridad en la osteorradionecrosis, obteniendo buenos resultados sin especificar de manera exacta su mecanismo de acción. Como se mencionó con anterioridad la infamación y la disminución de la vascularidad son factores vitales en el desarrollo de la OMIM, por lo que el uso de estos medicamentos en combinación ha sido una opción bien aceptada. No se sabe con exactitud cuánto debe durar el tratamiento, pero la bibliografía menciona que su uso en osteorradionecrosis, los beneficios se pueden estabilizar después de dos o tres años de uso. Este tratamiento brinda resultados similares de estabilización de la enfermedad al igual que otras modalidades de tratamiento no quirúrgico con efectos secundarios, costos y tiempo iguales o menores. La teriparatida es un análogo de la hormona paratiroidea compuesta por la porción activa de la misma y es utilizado principalmente en osteoporosis. Su uso en OMIM surge cuando se descubrió que los pacientes con OMIM que tomaban BFF para osteoporosis cambiaron su tratamiento por teriparatida y hubo mejoría o curación de su sintomatología oral. Este medicamento estimula la función y proliferación osteoblástica, aumenta las señalizaciones de las células óseas incluida la vía Wnt y activa a los osteoclastos. Se han observado resultados prometedores con el uso de este medicamento, pero aún no se conoce a ciencia cierta la efectividad, duración, dosis y efectos secundarios de su terapia en la OMIM.18,21

Además de todos estos medicamentos anteriormente mencionados se ha reportado el uso de oxígeno hiperbárico como medida complementaria, basado en el principio en el cual el oxígeno hiperbárico aumenta las concentraciones de oxígeno tisular en los tejidos hipovascularizados, mejora la función leucocitaria, buscando así una mejor cicatrización y mejorar el recambio óseo.22



MANEJO QUIRúRGICO

Existe evidencia actual en la que se menciona que los procedimientos quirúrgicos disminuyen el dolor, mejoran la calidad de vida y llevan a la desaparición de la OMIM, dichos procedimientos están indicados en los pacientes en los cuales la terapia conservadora no ha funcionado o cuando la enfermedad continúa progresando.23

Como se mencionó con anterioridad no existe consenso en cuándo se debe manejar un paciente con OMIM de manera quirúrgica, muchos autores mencionan que los pacientes en estadio 2 o 3 son candidatos para cirugía, pero también existen reportes en la literatura mencionando que se puede realizar en pacientes en estadio 1 sintomáticos o con ciertas características clínicas. La decisión de una intervención quirúrgica debe hacerse con base en el estado médico general del paciente, comorbilidades, nivel de dolor, las metas del tratamiento (del médico tratante y del paciente), la extensión de la enfermedad y el fracaso de otras medidas terapéuticas.18

El manejo quirúrgico de la OMIM puede ser realizado también en distintas etapas o fases, en las que se puede escalar desde el desbridamiento, la resección marginal (éstos engloban la eliminación de solamente tejido necrótico), hasta la resección segmentaria, hemimandibulectomías o hemimaxilectomías. No es imperativo realizar estos tratamientos de manera escalonada, como fue escrito con anterioridad, cada caso es único y debemos individualizarlo dependiendo los puntos mencionados.17,18

El desbridamiento y la resección marginal tienen la finalidad de eliminar el hueso necrótico dejando intacto el borde mandibular; intacto a diferencia de la resección segmentaria en la que se elimina también el borde mandibular dejando un defecto de continuidad en la mandíbula. Los porcentajes de éxito varían dependiendo el tratamiento, pero hay reportes de 90% de efectividad con resecciones segmentarias; asimismo, se ha demostrado que cuando se realiza un desbridamiento o una resección marginal, el porcentaje de éxito aumenta si el cierre se realiza por planos. Durante el desbridamiento se recomienda la eliminación de todos los órganos dentarios involucrados y se debe poner énfasis en no dejar bordes filosos o espículas óseas. De igual manera, es de vital importancia que todo el tejido obtenido de los procedimientos quirúrgicos sea enviado a estudio histopatológico y cultivo.24

Uno de los mayores problemas a los que nos enfrentamos al planear y realizar nuestros procedimientos quirúrgicos es la extensión de la enfermedad, debido a que con frecuencia lo que vemos clínicamente no es la extensión completa de la enfermedad, con base en esto, la literatura menciona algunos métodos coadyuvantes durante la planeación y el procedimiento quirúrgico. Se pueden utilizar tomografías pre y transoperatorias, centellografía ósea y la resonancia magnética pueden guiarnos durante nuestro tratamiento. Además, existe una técnica relativamente nueva: fluorescencia guiada de manera transoperatoria. Esta técnica reportada por Pautke y colaboradores se ha sugerido para diferenciar el hueso vital del hueso necrótico. En esta técnica se le administra al paciente tetraciclina 10 días previos a la intervención y durante el procedimiento quirúrgico se aplica luz fluorescente al área afectada y existe diferencia visual clara del hueso necrótico (el cual se observa azul-pálido) al hueso vital (brilloso y fluorescente).25 Además, también se ha reportado el uso de plasma rico en plaquetas (PRP) y la terapia de láser de baja intensidad como coadyuvantes en los procesos quirúrgicos. El PRP es una fuente autóloga de una gran variedad de factores de crecimiento que se ha utilizado en pacientes a los que se practicó desbridamiento o resecciones, ayudando de manera importante en la cicatrización de los tejidos blandos.26 Por su parte, se ha demostrado que el láser de baja intensidad regula el metabolismo, ayuda a la cicatrización de tejidos blandos, reduce el dolor y minimiza la contaminación por microorganismos, por estas razones se recomienda el uso simultáneo con cualquier terapia en OMIM, en especial, los tratamientos quirúrgicos en los que se elimina el hueso necrótico.27



CONCLUSIONES

La osteonecrosis asociada a medicamentos, en la actualidad, se presenta de manera frecuente en la consulta odontológica. Por esta razón cualquier odontólogo, ya sea especialista o de práctica general, debe estar relacionado con los medicamentos que la producen, el diagnóstico de la enfermedad y los posibles tratamientos.

De igual manera es importante mencionar que los médicos especialistas que recetan este tipo de medicamentos, también tienen que estar familiarizados con la patología para poder disminuir la incidencia de casos. Esto último, en relación con referir a los pacientes a consultas dentales previo al uso de estos medicamentos.

Como se explicó durante el texto, aún no existe un consenso en la fisiopatología de la enfermedad y el tratamiento de ésta, por lo que se recomienda al lector la individualización de los casos para poder ofrecer los mejores resultados para los pacientes.


REFERENCIAS (EN ESTE ARTÍCULO)

  1. Ruggiero SL, Dodson TB, Aghaloo T, Carlson ER, Ward BB, Kademani D. American Association of Oral and Maxillofacial surgeons' position paper on medication-related osteonecrosis of the jaws-2022 update. J Oral Maxillofac Surg. 2022; 80 (5): 920-943.

  2. Ruggiero SL, Dodson TB, Fantasia J, Goodday R, Aghaloo T, Mehrotra B et al. American Association of Oral and Maxillofacial Surgeons position paper on medication-related osteonecrosis of the jaw--2014 update. J Oral Maxillofac Surg. 2014; 72 (10): 1938-1956.

  3. Marx RE. Oral and intravenous bisphosphonate–induced osteonecrosis of the jaws: history, etiology, prevention, and treatment. 2nd edition. 2nd ed. Chicago, IL.: Quintessence; 2019. p. 379.

  4. Khan AA, Rios LP, Sándor GK, Khan N, Peters E, Rahman MO et al. Bisphosphonate-associated osteonecrosis of the jaw in Ontario: a survey of oral and maxillofacial surgeons. J Rheumatol. 2011; 38 (7): 1396-1402.

  5. Khan AA, Morrison A, Hanley DA, Felsenberg D, McCauley LK, O'Ryan F et al. Diagnosis and management of osteonecrosis of the jaw: a systematic review and international consensus. J Bone Miner Res. 2015; 30 (1): 3-23.

  6. Lombard T, Neirinckx V, Rogister B, Gilon Y, Wislet S. Medication-related osteonecrosis of the jaw: new insights into molecular mechanisms and cellular therapeutic approaches. Stem Cells Int. 2016; 2016: 8768162.

  7. Wat WZM. Current controversies on the pathogenesis of medication-related osteonecrosis of the jaw. Dent J (Basel). 2016; 4 (4): 38.

  8. Khominsky A, Lim M. "Spontaneous" medication-related osteonecrosis of the jaw; two case reports and a systematic review. Aust Dent J. 2018; 63 (4): 441-454.

  9. Ruggiero SL. Diagnosis and staging of medication-related osteonecrosis of the jaw. Oral Maxillofac Surg Clin North Am. 2015; 27 (4): 479-487.

  10. Moraschini V, de Almeida DCF, Figueredo CM, Calasans-Maia MD. Association between biomarkers and medication-related osteonecrosis of the jaws: a systematic review. Oral Surg Oral Med Oral Pathol Oral Radiol. 2019; 127 (6): 504-515.

  11. Wadia R. Biomarkers and MRONJ. Br Dent J. 2019; 226 (10): 794.

  12. Simon J, Michael JR. Bone cancer primary bone cancers and bone metastases. Chapter 51. 2nd ed. Academic Press; 2014. p. 736.

  13. Patntirapong S, Poolgesorn M. Alteration of macrophage viability, differentiation, and function by bisphosphonates. Oral Dis. 2018; 24 (7): 1294-1302.

  14. Zhu W, Xu R, Du J, Fu Y, Li S, Zhang P et al. Zoledronic acid promotes TLR-4-mediated M1 macrophage polarization in bisphosphonate-related osteonecrosis of the jaw. FASEB J. 2019; 33 (4): 5208-5219.

  15. Aghaloo T, Hazboun R, Tetradis S. Pathophysiology of osteonecrosis of the jaws. Oral Maxillofac Surg Clin North Am. 2015; 27 (4): 489-496.

  16. Treister NS, Sook-Bin W. Chapter 107: Bisphosphonate-associated osteonecrosis of the jaws. In: Rosen CJ, Compston JE, Lian JB, eds. Primer on the metabolic bone diseases and disorders of mineral metabolism. 7th ed. Hoboken, NJ, USA: John Wiley & Sons, Inc.; 2009. pp. 505-509.

  17. He L, Sun X, Liu Z, Qiu Y, Niu Y. Pathogenesis and multidisciplinary management of medication-related osteonecrosis of the jaw. Int J Oral Sci. 2020; 12 (1): 30.

  18. Bradford WW, O'Ryan F. Management of medication-related osteonecrosis of the jaw. Oral Maxillofacial Surg Clin N Am. 2015; 27 (4): 517-525.

  19. Nicolatou-Galitis O, Schiodt M, Mendes RA, Ripamonti C, Hope S, Drudge-Coates L et al. Medication-related osteonecrosis of the jaw: definition and best practice for prevention, diagnosis, and treatment. Oral Surg Oral Med Oral Pathol Oral Radiol. 2019; 127 (2): 117-135.

  20. Wu H, Moser C, Wang HZ, Hoiby N, Song ZJ. Strategies for combating bacterial biofilm infections. Int J Oral Sci. 2015; 7 (1): 1-7.

  21. Delanian S, Chatel C, Porcher R, Depondt J, Lefaix JL. Complete restoration of refractory mandibular osteoradionecrosis by prolonged treatment with a pentoxifylline-tocopherol-clodronate combination (PENTOCLO): a phase II trial. Int J Radiat Oncol Biol Phys. 2011; 80 (3): 832-839.

  22. Freiberger JJ, Padilla-Burgos R, McGraw T, Suliman HB, Kraft KH, Stolp BW et al. What is the role of hyperbaric oxygen in the management of bisphosphonate-related osteonecrosis of the jaw: a randomized controlled trial of hyperbaric oxygen as an adjunct to surgery and antibiotics. J Oral Maxillofac Surg. 2012; 70 (7): 1573-1583.

  23. Bedogni A, Saia G, Bettini G, Tronchet A, Totola A, Bedogni G et al. Long-term outcomes of surgical resection of the jaws in cancer patients with bisphosphonate-related osteonecrosis. Oral Oncol. 2011; 47 (5): 420-424.

  24. Heufelder MJ, Hendricks J, Remmerbach T, Frerich B, Hemprich A, Wilde F. Principles of oral surgery for prevention of bisphosphonate-related osteonecrosis of the jaw. Oral Surg Oral Med Oral Pathol Oral Radiol. 2014; 117 (6): e429-e435.

  25. Pautke C, Bauer F, Otto S, Tischer T, Steiner T, Weitz J et al. Fluorescence-guided bone resection in bisphosphonate-related osteonecrosis of the jaws: first clinical results of a prospective pilot study. J Oral Maxillofac Surg. 2011; 69 (1): 84-91.

  26. Curi MM, Cossolin GS, Koga DH, Zardetto C, Christianini S, Feher O et al. Bisphosphonate-related osteonecrosis of the jaws--an initial case series report of treatment combining partial bone resection and autologous platelet-rich plasma. J Oral Maxillofac Surg. 2011; 69 (9): 2465-2472.

  27. Vescovi P, Manfredi M, Merigo E, Guidotti R, Meleti M, Pedrazzi G et al. Early surgical laser-assisted management of bisphosphonate-related osteonecrosis of the jaws (BRONJ): a retrospective analysis of 101 treated sites with long-term follow-up. Photomed Laser Surg. 2012; 30 (1): 5-13.



AFILIACIONES

1 Cirujano Maxilofacial, Profesor de la Facultad de Odontología de la Universidad Nacional Autónoma de México (UNAM). México.

2 Cirujano Maxilofacial, práctica privada Médica Sur. Profesor de la División de Estudios de Postgrado e Investigación (DEPeI) de la Facultad de Odontología de la UNAM. Presidente del Consejo Mexicano de Cirugía Maxilofacial. México.

3 Cirujano Maxilofacial, Profesor del DEPeI de la UNAM. México.

4 Cirujano Maxilofacial, Profesor de Licenciatura en la Universidad Latinoamericana. México.



CORRESPONDENCIA

Juan Carlos López Lastra. E-mail: jc.lopez.lastra@gmail.com




Recibido: Diciembre 2022. Aceptado: Febrero 2023.

Tabla 1
Figura 1
Figura 2
Figura 3
Figura 4
Figura 5
Figura 6
Figura 7
Figura 8
Figura 9
Figura 10
Figura 11

2020     |     www.medigraphic.com

Mi perfil

C?MO CITAR (Vancouver)

Rev Mex Cir Bucal Maxilofac. 2023;19

ARTíCULOS SIMILARES

CARGANDO ...