medigraphic.com
ENGLISH

Revista Mexicana de Ortopedia Pediátrica

ISSN 2007-087X (Impreso)
Órgano Oficial de la Sociedad Mexicana de Ortopedia Pediátrica
  • Mostrar índice
  • Números disponibles
  • Información
    • Información general        
    • Directorio
  • Publicar
    • Instrucciones para autores        
  • medigraphic.com
    • Inicio
    • Índice de revistas            
    • Registro / Acceso
  • Mi perfil

2023, Número 1-3

<< Anterior Siguiente >>

Rev Mex Ortop Ped 2023; 25 (1-3)


Resección tipo VI B de Malawer y metastatectomía pulmonar en paciente adolescente debido a tumor de células gigantes del húmero proximal

Sánchez-Torres, Luis Jair1; Dávila Hernández, Edgar Iván2
Texto completo Cómo citar este artículo 10.35366/113218

DOI

DOI: 10.35366/113218
URL: https://dx.doi.org/10.35366/113218
Artículos similares

Idioma: Español
Referencias bibliográficas: 22
Paginas: 39-43
Archivo PDF: 185.50 Kb.


PALABRAS CLAVE

tumor óseo de células gigantes, adolescente, resección, metástasis pulmonares.

RESUMEN

Introducción: el tumor óseo de células gigantes es una entidad infrecuente antes de la tercera década de la vida, así como el desarrollo de metástasis pulmonares. Lesiones agresivas y de gran tamaño dificultan su tratamiento. Presentación del caso: femenino de 17 años de edad portadora de tumor óseo de células gigantes en húmero proximal derecho con destrucción cortical e invasión articular, escapular y a tejidos blandos del hombro. Se trata con resección tipo VI B de Malawer sin complicaciones, lográndose buena función en codo y excelente en muñeca y mano. La paciente desarrolló metástasis pulmonar única tratada con metastatectomía por minitoracotomía, confirmándose el diagnóstico. Conclusiones: el tumor óseo de células gigantes representa un reto diagnóstico y terapéutico, sobre todo cuando se presenta antes de su edad habitual. La alternativa terapéutica depende de la localización y el tamaño de la lesión. Las metástasis pulmonares, aunque infrecuentes, deben descartarse continuamente. El diagnóstico precoz y el tratamiento oportuno repercuten positivamente en el paciente.



INTRODUCCIóN

En 1999, Mario Campanacci definió al tumor óseo de células gigantes (TCG) como un tumor intramedular con predilección específica por edad y localización, compuesto de células gigantes mononucleares y células gigantes multinucleadas que semejan osteoclastos, y que presenta un patrón de crecimiento variable e impredecible.1 Esta definición clásica hace hincapié en su habitual presentación durante cierto periodo etario, mismo que, fundamentado en la literatura existente, coincide en que sucede principalmente durante la tercera y la cuarta décadas de la vida.2,3 La Organización Mundial de la Salud (OMS, 2020) lo define como una neoplasia ósea localmente agresiva que rara vez metastatiza, compuesta de un estroma celular mononuclear neoplásico con apariencia monótona, mezclado con macrófagos y células gigantes que semejan osteoclastos.4 Representa aproximadamente a 5% de todos los tumores óseos primarios y a 20% de las neoplasias óseas benignas.5 Las localizaciones más frecuentes de este tumor esquelético son el fémur distal, la tibia proximal y el radio distal.3,6,7 La aparición de metástasis pulmonares histológicamente benignas es rara y, dependiendo de la serie revisada, su incidencia varía entre 1 y 9% de los casos.3,6-8

Las neoplasias óseas benignas fueron clasificadas en 1986 por Enneking9 como: 1) latentes, 2) activas y 3) agresivas. Las lesiones latentes se consideran inactivas, por lo general son asintomáticas, descubiertas de forma incidental y rara vez se asocian a fractura patológica. Las lesiones activas suelen ser medianamente sintomáticas, son descubiertas a consecuencia de alguna molestia y ocasionalmente se asocian a fractura a este nivel. Las lesiones benignas agresivas son aquellas que con frecuencia se presentan sintomáticas, son descubiertas por molestia o incomodidad, o bien a consecuencia de una masa en crecimiento y se suelen asociar a fractura patológica. En 1987, Campanacci y colaboradores10 establecieron una clasificación radiológica particularmente enfocada en el tumor óseo de células gigantes. Las lesiones grado I se encuentran bien demarcadas y presentan una cortical ligeramente adelgazada, pero íntegra. Las lesiones grado II pueden subclasificarse en A y B.11 Las lesiones grado II A muestran destrucción ósea progresiva con moderado adelgazamiento y expansión cortical. Son consideradas lesiones grado II B si, además, cursan con disrupción cortical focal. Las lesiones grado III tienen extensión hacia los tejidos blandos y se presentan prácticamente sin cortical residual.

En 1991, Malawer12 establece un sistema de clasificación para las resecciones oncológicas de la cintura escapular que ha sido ampliamente utilizado por los diferentes cirujanos que realizan este tipo de tratamientos; más tarde la Musculoskeletal Tumor Society (MSTS) desarrolló una forma diferente de clasificación para estas resecciones; finalmente, en 2019, Oztürk y asociados establecieron otra forma de clasificar a este grupo de resecciones;13 sin embargo, la clasificación de Malawer es, quizá, la más conocida. Esta clasificación establece seis tipos de resección en la que cada una puede conservar la musculatura abductora (A) o resecarla en bloque (B). Tipo I: resección intraarticular del húmero proximal. Tipo II: escapulectomía parcial. Tipo III: escapulectomía total. Tipo IV: escapulectomía total extraarticular a la cabeza del húmero. Tipo V: resección extraarticular del húmero proximal con inclusión glenoidea. Tipo VI: escapulectomía total extraarticular al húmero sobrepasando su región proximal.

Basados precisamente en esta clasificación, una resección tipo VI B implica una escapulectomía total extraarticular, más allá del húmero proximal con inclusión de la musculatura abductora;12 tal vez sea esta variedad de resección la que con menos frecuencia se realiza a nivel del hombro.

Para evaluar los resultados funcionales posteriores a un tratamiento quirúrgico en las neoplasias musculoesqueléticas, Enneking14 desarrolló, en 1987, un sistema para tal propósito, el cual fue modificado posteriormente y adoptado en 1993 por la MSTS.15 A este sistema de evaluación funcional se le conoce como MSTS score y es realizado por un miembro del equipo terapéutico con el objetivo de conocer el resultado funcional y calidad de vida del paciente posterior al tratamiento quirúrgico. En esta escala de evaluación funcional se contemplan seis aspectos para la extremidad superior: dolor, función, estado emocional del paciente, posicionamiento de la mano, destreza manual y capacidad de levantamiento. Cada aspecto a evaluar se califica del 0 al 5, considerando que a mayor bienestar y función se le asigna una mayor puntuación (máxima puntuación posible 30/30).



PRESENTACIóN DE CASO

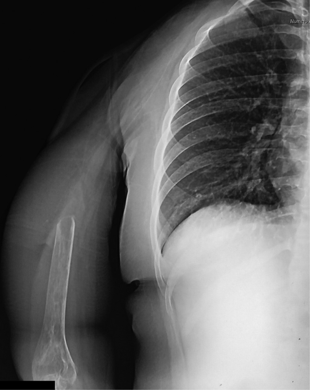
Paciente femenino de 17 años de edad, diestra, estudiante, que es enviada al Servicio de Ortopedia Pediátrica a consecuencia de tumor en el húmero proximal derecho. A simple vista se presenta importante aumento de volumen en el hombro derecho, así como limitación funcional principalmente a la abducción del hombro, así como parestesias distales. La función de hombro, muñeca y mano está conservada. Es difícil establecer el tiempo de evolución de la enfermedad, ya que existen contradicciones entre la versión de la paciente y la de sus padres; sin embargo, se considera que es de aproximadamente nueve meses, siendo su primera manifestación el aumento de volumen con progresiva disminución a la abducción. Esta lesión no había recibido tratamiento previo. Radiológicamente se trata de lesión osteolítica expansiva que muestra pérdida de la cortical y una sombra correspondiente a invasión neoplásica hacia los tejidos blandos circundantes (Figura 1). Tanto por tomografía como por resonancia magnética se observa el componente extracompartimental de la lesión, invasión articular y también a la escápula a expensas de permeación a la cortical anterior de la misma, así como gran desplazamiento medial de las estructuras neurovasculares, replegándolas hacia la parrilla costal (Figura 2). Una vez realizados estudio y análisis clínico e imagenológico, se realiza biopsia, la cual reporta tumor óseo de células gigantes. Se discute el caso y se llega a la conclusión de que la mejor alternativa terapéutica es una resección extraarticular de escápula con inclusión de más de la mitad proximal del húmero derechos. Previo al procedimiento quirúrgico se les informa detalladamente a los padres y a la paciente sobre el mismo, quienes lo autorizan. Dicho procedimiento se cataloga como resección tipo VI B de Malawer. El acto quirúrgico se llevó a cabo sin complicaciones, comentando que el grupo muscular de flexores del codo precisó de su resección en su mitad proximal, por lo que el remanente distal se reinsertó sobre la delgada fascia anterior del brazo (Figuras 3 y 4). Se inmovilizó la extremidad superior de la paciente por tres semanas y posteriormente se inició programa para reinicio de la función de la extremidad dentro de los rangos que la resección realizada permitió. A tres meses del evento quirúrgico, la función obtenida se estableció como 25/30 basados en el MSTS score (Figura 5). A los seis meses de vigilancia postoperatoria, por medio de tomografía computada, se detectó una lesión compatible con metástasis única pulmonar basal en el hemitórax derecho. Se revisaron estudios preoperatorios, no encontrándose indicio de que se tratara de una lesión ya existente al diagnóstico. Se solicitó valoración por cirugía oncológica, quienes determinan la realización de una minitoracotomía para realizar la metastatectomía correspondiente; se confirmó sospecha diagnóstica.



DISCUSIóN

Los casos reportados sobre pacientes con tumor óseo de células gigantes en etapas anteriores a la tercera década de la vida son escasos. En 2007, Puri y colaboradores reportaron una incidencia de 6% en niños y adolescente en relación al total de los pacientes diagnosticados en su serie.16 Por nuestra parte, en 2012, tuvimos la oportunidad de reportar ocho pacientes que representaron 14.28% de una serie de 56 casos;5 mientras que, cinco años más tarde, en 2017, Arbeláez y asociados17 informaron sobre 11 casos que equivalían a 7.7% de un universo de 77 pacientes. Algunos casos aislados reportados en México incluyen el de Cortés-Rodríguez y su grupo18 y el de Bracamontes-Barahona y colegas,19 ambos en 2018, y dos años más tarde el caso de Reynoso-Soto y su equipo.20

La alternativa terapéutica en relación con la lesión primaria se tomó con base en las condiciones de la lesión. Se trató de una lesión en etapa 3 de Enneking9 y grado radiológico III de Campanacci,10 cuyas dimensiones y crecimiento hacia medial y posterior hicieron que la cortical anterior de la escápula se afectara y, por ende, no era posible separarlos sin contaminar el campo quirúrgico, situación que propiciaría una recurrencia tumoral. Pese a la abolición de la función del hombro y las importantes alteraciones estéticas esperadas, consideramos que las características del caso no permitían considerar otras opciones dentro de un margen reducido y fácilmente controlable y aceptable de complicaciones.

En relación con el resultado funcional obtenido, nos parece que el punto más importante a destacar es que tratándose de una paciente diestra, su capacidad de mantener la integridad en la mano y la muñeca le permitirá desarrollarse adecuadamente en los diferentes aspectos de su vida. La flexión del codo se logró a 90° que, si bien no es la óptima, le facilita funciones como el comer y el asearse.

Chan y colaboradores21 encontraron que la inusual capacidad del tumor óseo de células gigantes para metastatizar a pulmones se ve favorecida por cuatro factores a mencionar: diagnóstico a una edad más temprana de la habitual, localización axial, enfermedad primaria en una etapa Enneking 39 y recurrencia local. De estos cuatro factores, la paciente aquí presentada reunía dos de ellos y, seguramente, la detección y el tratamiento temprano de esta indeseable situación de extensión a distancia de la enfermedad jugó un papel positivo importante en su tratamiento integral para el control a distancia de la enfermedad.

En 2013, la FDA aprobó al denosumab como tratamiento para el tumor óseo de células gigantes en adultos y adolescentes cuyas resecciones produjeran considerable morbilidad, o bien se catalogaran como irresecables. En el trabajo de Chawla y asociados de ese mismo año, se estudiaron 282 pacientes que incluyeron a 10 adolescentes. En este documento se indican como principales efectos secundarios: osteonecrosis de mandíbula, hipocalcemia, hipofosfatemia, anemia, dolor posterior y también dolor en las extremidades.22

La metastatectomía pulmonar como opción terapéutica para la metástasis pudo realizarse mediante una minitoracotomía, la cual reduce morbilidad y molestias postquirúrgicas en relación con una toracotomía habitual; asimismo se libera a la paciente de los potenciales efectos secundarios del denosumab.



CONCLUSIONES

El tumor óseo de células gigantes es una entidad poco frecuente entre la población pediátrica y adolescente; también lo es el desarrollo de metástasis pulmonares dentro de un panorama de benignidad histológica; sin embargo, una edad temprana en su diagnóstico, sugiere fuertemente el que se favorezca esta indeseable situación. La agresividad del tratamiento quirúrgico necesario en cada caso está de la mano con la rapidez con la cual se realicen referencia especializada y diagnóstico. Permitir que una neoplasia llegue a las dimensiones e involucro mostrados dificulta su tratamiento, compromete anatómica y funcionalmente a los pacientes y, en consecuencia, los resultados pueden ser más pobres. El tumor óseo de células gigantes en etapas etarias más tempranas a lo esperado, indudablemente se constituye como un reto diagnóstico y terapéutico.


REFERENCIAS (EN ESTE ARTÍCULO)

  1. Campanacci M. Giant cell tumor (giant cell tumor of bone, osteoclastoma). In: Campanacci M. Bone and soft tissue tumors: clinical features, imaging, pathology and treatment. 2nd edition. New York: Springer-Verlag; 1999. pp. 99-142.

  2. Zhang XP, Lu XC, Wang LL, Wei JQ, Yan J, Shao XN et al. Giant cell tumors of bone in patients aged 18 years old or younger: imaging features and tumor characteristics. Int J Gen Med. 2021; 14: 8389-8397. doi: 10.2147/IJGM.S330507.

  3. Sobti A, Agrawal P, Agarwala S, Agarwal M. Giant cell tumor of bone - an overview. Arch Bone Jt Surg. 2016; 4(1): 2-9.

  4. Flanagan AM, Larousserie F, O'Donnell PG, Yoshida A. Giant cell tumour of bone. In: WHO Classification of tumours, soft tissue and bone tumours. Vol. 3. 5th edition. Lyon, France: International Agency for Research on Cancer; 2020. pp. 440-446.

  5. Sánchez-Torres LJ, Flores FA, Santos HM. Tumor óseo de células gigantes en pacientes de menos de 20 años de edad. Rev Mex Ortop Ped. 2012; 1: 26-30.

  6. Nielsen GP, Rosenberg AE. Giant cell – rich tumors. In: Diagnostic pathology bone. 3rd edition. Philadelphia: Elsevier; 2021. pp. 307-333.

  7. Hartmann W, Harder D, Baumhoer D. Giant cell-rich tumors of bone. Surg Pathol Clin. 2021; 14(4): 695-706.

  8. van der Heijden L, Dijkstra S, van de Sande M, Gelderblom H. Current concepts in the treatment of giant cell tumour of bone. Curr Opin Oncol. 2020; 32: 332-338.

  9. Enneking WF. A system of staging musculoskeletal neoplasms. Clin Orthop Relat Res. 1986; 204: 9-24.

  10. Campanacci M, Baldini N, Boriani S, Sudanese A. Giant cell tumor of bone. J Bone Joint Surg Am. 1987; 69(1): 106-114. doi: 10.2106/00004623-198769010-00018.

  11. Estrada-Villaseñor EG, Hidalgo BA, Bandala C, De la Garza-Montano P, Reyes MN, Pichardo BR et al. Correlation between Campanacci's radiological classification of giant cell tumor of bone and expression of cyclin D1 and PCNA. JST. 2017; 7(1): 47-51.

  12. Malawer MM. Tumors of the shoulder girdle. Technique of resection and description of a surgical classification. Orthop Clin North Am. 1991; 22(1): 7-35. Available in: https://www.ncbi.nlm.nih.gov/pubmed/1992436

  13. Oztürk R, Arikan SM, Togral G, Güngor BS. Malignant tumors of the shoulder girdle: surgical and functional outcomes. J Orthop Surg (Hong Kong). 2019; 27(2): 2309499019838355. doi: 10.1177/2309499019838355.

  14. Enneking WF. Modification of the system for functional evaluation in the surgical management of musculoskeletal tumors. In: Enneking WF, editor. Limb salvage in musculoskeletal oncology. New York: Churchill Livingstone; 1987. pp. 626-639.

  15. Enneking WF, Dunham W, Gebhardy MC, Malawer M, Pritchard DJ. A system for the functional evaluation of reconstructive procedures after surgical treatment of tumors of the musculoskeletal system. Clin Orthop Relat Res. 1993; 286: 241-246.

  16. Puri A, Agarwal M, Shah M, Jambhekar NA, Anchan C, Bhele S. Giant cell tumor of bone in children and adolescents. J Pediatr Orthop. 2007; 27: 635-639.

  17. Arbeláez EP, Manrique SJ, Linares RFB. Tumor de células gigantes óseo en niños y adolescentes: reporte de 11 casos. Rev Colomb Ortop Traumatol. 2017; 31(4): 172-177.

  18. Cortés-Rodríguez R, Lezama-Del Valle P, Mendoza-Delgado FJ, Ortega-López A, Rubio-Arenas A, González-Assad V et al. Tumor de células gigantes. Hemipelvectomía interna izquierda en una niña de nueve años. Reporte de caso. Arch Inv Mat Inf. 2018; 9(2): 76-80.

  19. Bracamontes-Barahona R, Calderón-Sauri I, Chan-Jiménez J, Flores-Mendoza K, Alejos-Gómez R, Méndez-Domínguez N. Tumor de células gigantes de localización isquiopúbica en paciente pediátrico: reporte de caso clínico. Rev Mex Ortop Ped. 2018; 2: 93-97.

  20. Reynoso-Soto L, Cervantes Gudiño JE. Tumor de células gigantes en un paciente pediátrico. Reporte de un caso y revisión de la literatura. Lux Médica. 2020; 15(45): 55-61.

  21. Chan CM, Adler Z, Reith JD, Gibbs CP Jr. Risk factors for pulmonary metastases from giant cell tumor of bone. J Bone Joint Surg Am. 2015; 97(5): 420-428.

  22. Chawla S, Henshaw R, Seeger L, Choy E, Blay JY, Ferrari S et al. Safety and efficacy of denosumab for adults and skeletally mature adolescents with giant cell tumour of bone: interim analysis of an open-label, parallel – group, phase 2 study. Lancet Oncol. 2013; 14(9): 901-908.



AFILIACIONES

1 Tumores musculoesqueléticos. Médico adscrito al Servicio de Cirugía de Cadera y Pelvis. Unidad Médica de Alta Especialidad en Traumatología y Ortopedia. Centro Médico Nacional del Noreste. Instituto Mexicano del Seguro Social. Monterrey, México.

2 Jefe del Servicio de Ortopedia Pediátrica. Unidad Médica de Alta Especialidad en Traumatología y Ortopedia. Centro Médico Nacional del Noreste. Instituto Mexicano del Seguro Social. Monterrey, México.



NIVEL DE EVIDENCIA

IV



CORRESPONDENCIA

Dr. Luis Jair Sánchez Torres. E-mail: dolorarticular@gmail.com




Recibido: 01/07/2022. Aceptado: 23/09/2023.

Figura 1
Figura 2
Figura 3
Figura 4
Figura 5

2020     |     www.medigraphic.com

Mi perfil

C?MO CITAR (Vancouver)

Rev Mex Ortop Ped. 2023;25

ARTíCULOS SIMILARES

CARGANDO ...