medigraphic.com
ENGLISH

Orthotips AMOT

ISSN 2007-8560 (Impreso)
Órgano Oficial de Difusión Científica de la Federación Mexicana de Colegios de Ortopedia y Traumatología, A.C. (FEMECOT)
  • Mostrar índice
  • Números disponibles
  • Información
    • Información general        
    • Directorio
  • Publicar
    • Instrucciones para autores        
  • medigraphic.com
    • Inicio
    • Índice de revistas            
    • Registro / Acceso
  • Mi perfil

2023, Número 4

<< Anterior Siguiente >>

Ortho-tips 2023; 19 (4)


Fractura de patela con trazo coronal tratada con tornillos de esponjosa 4.0 mm. Reporte de un caso

Mendoza Lovera, Marco Antonio1; Villalobos Campuzano, Carlos Arturo1; Flores Girón, Juan1; Herrera Martínez, Alejandro1
Texto completo Cómo citar este artículo 10.35366/113296

DOI

DOI: 10.35366/113296
URL: https://dx.doi.org/10.35366/113296
Artículos similares

Idioma: Español
Referencias bibliográficas: 14
Paginas: 227-232
Archivo PDF: 258.40 Kb.


PALABRAS CLAVE

rótula, osteosíntesis, lesión condral.

RESUMEN

Introducción: la fractura patelar en pacientes pediátricos es muy rara y representa menos de 1% de las fracturas en niños y está relacionada con alteración en el crecimiento, daño neurovascular y de partes blandas. La poca información sobre esta patología dificulta el diagnóstico y tratamiento oportuno; de ser tratada de modo precoz llevaría al paciente a una evolución favorable. Objetivo: presentar el caso de una fractura de rótula con trazo coronal en un niño de 12 años, tratado mediante osteosíntesis con principio biomecánico de compresión radial y valorar la función resultante de la rodilla. Caso clínico: se realizó una fijación en una fractura patelar con trazo coronal y desplazamiento lateral, bajo el principio biomecánico de compresión en sentido radial, con dos tornillos de esponjosa de rosca continua 4.0 mm. Se realiza valoración clínica funcional con escala de WOMAC a los seis y 12 meses del postoperatorio. Resultados: reporte de caso pediátrico de 12 años con mecanismo de lesión contusión directa en rodilla izquierda, tratada quirúrgicamente mediante osteosíntesis temprana al tercer día del accidente, lo que le produjo una mejoría excelente del dolor y funcional de acuerdo con la escala de WOMAC, sin complicaciones hasta el momento. Conclusión: la fractura de patela en edades pediátricas es bastante rara siendo así, menos de 1% de todas las fracturas infantiles, con un cuadro de dolor, aumento de volumen y limitación en los arcos de movilidad. El diagnóstico y tratamiento temprano de este tipo de lesiones, con tornillos de rosca continua hace de este tipo de fracturas un manejo adecuado con una pronta recuperación.



INTRODUCCIóN

La función de la rótula es aumentar la ventaja mecánica del cuádriceps al aumentar el ángulo en el que éste actúa. El mecanismo de lesión de las fracturas de la rótula es debido a fuerzas directas o indirectas; las directas se producen cuando hay una caída sobre la cara anterior de la rodilla; las indirectas por un traumatismo indirecto, es decir, al producirse una caída con flexión de la rodilla sin llegar a la caída total, una caída de una altura o una acción combinada; este tipo de lesión se produce cuando las fuerzas del mecanismo extensor exceden la fuerza intrínseca de la rótula.1 En los niños, una mayor parte de la rótula es cartilaginosa en comparación con los adultos, con una movilidad más amplia y por ende, menos predispuesta a las fracturas; sin embargo, es más vulnerable a las fracturas osteocondrales o a las avulsiones del margen medial asociadas con luxaciones laterales de la rótula.2

Las fracturas de patela en pediatría son muy raras y suponen menos de 1% de la incidencia en la edad pediátrica. Este tipo de lesiones son de suma importancia ya que se pueden asociar a alteraciones de crecimiento, lesión vasculonerviosa o de partes blandas. Su forma más frecuente de presentación son las fracturas en manguito, que consisten en una avulsión del polo superior o inferior de la rótula, pero existen otros patrones como fracturas transversales, laterales o conminutas.3,4

Este tipo de lesiones suelen producirse por traumatismo dentro de prácticas deportivas, accidentes automovilísticos o de alta energía.5

Estos traumatismos son de gran interés ya que se encuentran en baja frecuencia y con una dificultad diagnóstica, la cual podría confundirse con rótula bipartita.6



PRESENTACIóN DEL CASO

Masculino de 12 años sin antecedentes personales que inició su padecimiento actual en clase de educación física, padeció caída de su plano de sustentación, recibió contusión directa sobre rodilla izquierda que condicionaba dolor severo, limitación funcional, imposibilidad para la deambulación y aumento de volumen con presencia de hemartrosis no a tensión.

En la exploración física dirigida: extremidad inferior izquierda con aumento de volumen a nivel de la rodilla, dolor a la movilización, incapacidad para la flexo-extensión por dolor, crepitación ósea y signo de tempano de hielo positivo, sin cambios de coloración, pulsos distales presentes, con adecuado llenado capilar, resto sin alteraciones aparentes.

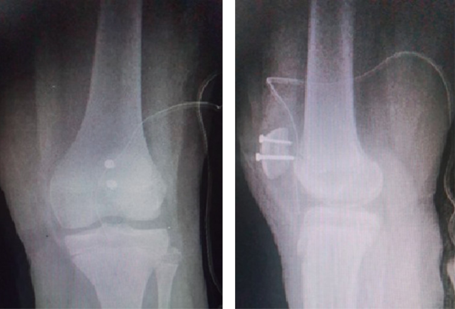
Se realizaron radiografías anteroposterior y lateral de rodilla izquierda 1 que mostraron leve aumento de los tejidos blandos, con presencia de fractura a nivel de la patela, con trazo simple coronal, fragmento desplazado hacia proximal y lateral que da la apariencia de doble rótula. Se decidió su ingreso para protocolo y tratamiento quirúrgico (Figura 1).

El paciente fue inmovilizado provisionalmente con férula muslo podálica y, al sospechar de alguna otra lesión oculta, se solicitó tomografía axial computarizada (TC) simple de rodilla izquierda con reconstrucción 3D. Se continuó con la imagen de doble rótula en la proyección anteroposterior y se corroboró sólo el trazo coronal (Figura 2).

Al valorar un trazo coronal intraarticular se decidió programar para tratamiento quirúrgico mediante reducción abierta y fijación interna, bajo el principio biomecánico de compresión radial con tornillos de esponjosa 4.0 mm rosca continua. Con el paciente bajo anestesia regional, con aplicación de isquemia por 30 minutos se realizó procedimiento; se reportó sangrado mínimo, se colocó drenaje de 1/8 y se procedió a colocar vendaje de Jones sin complicaciones.

Fue valorado el día uno de postoperado encontrándolo consciente, asintomático. A la exploración: paciente pediátrico tranquilo, cooperador, neurológicamente íntegro, con adecuada coloración de tegumentos, extremidad inferior izquierda con presencia de herida quirúrgica a nivel de patela izquierda de bordes limpios, bien afrontados, sin datos de infección o sangrado activo, arcos de movilidad conservados, con leve dolor en el sitio quirúrgico, pulsos distales palpables, con adecuado llenado capilar. Se indicó alta del servicio de traumatología con seguimiento en la consulta externa con radiografías de control (Figura 3).



RESULTADOS

Durante las primeras consultas se encontró evolución favorable. Se retiraron puntos de sutura a los 14 días y se indicó en ese momento la flexión activa y pasiva de la rodilla. Se inició el apoyo del miembro pélvico izquierdo a las tres semanas, siguió con movilidad activa y pasiva de la rodilla izquierda; fue enviado a rehabilitación desde la tercera semana de postoperado, recibiendo un total de 15 sesiones de terapia física.

Doce meses después se encontró al paciente con marcha independiente, sin alteraciones, cicatriz quirúrgica en región anterior de la rodilla sin alteraciones, flexión de rodilla a 110 grados, extensión completa sin datos de inestabilidad ligamentaria.

Se aplicó la escala funcional WOMAC (Western Ontario and McMaster Universities Arthritis Index), que consta de 24 puntos que evalúan tres dimensiones; dolor (5 puntos), rigidez (2 puntos), y capacidad funcional (17 puntos). Los resultados encontrados en nuestro paciente arrojaron un puntaje de dolor de dos puntos, rigidez de 0 puntos y capacidad funcional de dos puntos (Figura 4).

Se realizó retiro de material de osteosíntesis a los 14 meses de evolución, sin complicaciones. Se tomaron radiografías de control anteroposterior, lateral y axiales que mostraron adecuada consolidación, sin datos de desplazamiento o soluciones de continuidad, con adecuada congruencia articular, así como un correcto espacio femoropatelar (Figura 5).

A los 24 meses se le realizó una resonancia magnética de control de la rodilla afectada. En todos los cortes se observaron áreas de consolidación ósea, que mostraron una adecuada reparación del trazo de fractura (Figura 6).



DISCUSIóN

Las fracturas de rótula son raras en los niños. Schmal y colaboradores informaron de una incidencia de 0.44% entre los niños y adolescentes. La mayoría de las fracturas se produjeron en niños mayores y no se observó ninguna antes de los ocho años. De estas fracturas, las de manguito son las más comunes de todas las fracturas pediátricas de rótula.1,2

La fractura de la manga de la rótula suele ocurrir en niños que han estado participando en actividades que requieren una extensión forzada de la rodilla, con el cuádriceps contrayéndose contra resistencia.7 La influencia de la edad en este tipo de lesión puede deberse a la presencia de un ligamento más flexible en los niños; el cartílago hialino y la cápsula articular provocan una laxitud general de la articulación que protege la rótula de un traumatismo. Por lo tanto, a menudo se encuentra que este tipo de lesión resulta en una fractura por avulsión del hueso subcondral junto con la del cartílago y el retináculo en lugar de una ruptura del tendón.8

Las fracturas transversales, las fracturas de polos y las fracturas conminutas de la rótula son menos frecuentes en los niños. Estos patrones son más comunes en los adolescentes, en los que una mayor parte de la rótula se ha osificado. En general, los niños tienen mayor incidencia de fracturas de rótula que las niñas. Las causas de las fracturas de rótula en los niños incluyen fuerza directa sobre la rótula con el aplastamiento de la rótula contra el fémur distal. La mayoría de estas lesiones se producen durante las actividades deportivas. Otra causa de las fracturas de rótula son las fuerzas indirectas, como la contracción del cuádriceps mientras la rodilla está flexionada; esto da lugar a fracturas por avulsión de la rótula.9

Al sospechar por una fractura de rótula, la radiografía simple es el pilar de la investigación. Las radiografías anteroposteriores y lateral son la norma. La rodilla debe estar flexionada a 30 grados al tomar la vista lateral para demostrar mejor cualquier desplazamiento. Para fracturas desplazadas a través de la rótula osificada en su totalidad, el diagnóstico suele ser obvio en buenas radiografías. La interpretación de radiografías simples de las rodillas de los niños es un desafío si un fragmento óseo avulsionado no es obvio. Rótula alta en una radiografía simple puede ser el único y más destacado signo.6 Para las fracturas coronales, como la que se reporta, la brecha puede orientarnos en la vista lateral. El examen de la vista anteroposterior también revela una brecha, aunque el fémur distal superpuesto puede hacer que dificulte la apreciación de la fractura.2 Para poder determinar el tipo de fractura y poder clasificar las fracturas de la rótula se necesita de vistas radiográficas en proyecciones anteroposterior, lateral en 30 grados de flexión de rodilla y axiales para detectar lesiones osteocondrales. Otros exámenes de utilidad son tomografía axial computarizada, la imagen de resonancia magnética y la gammagrafía ósea. Los exámenes imagenológicos de la rodilla afectada deben compararse con la articulación contralateral.10

El conocimiento del patrón de osificación alrededor de la rodilla, así como las variantes normales, son esenciales para distinguir las fracturas de otras anomalías como la rótula bipartita y la enfermedad de Sinding-Larsen-Johansson.

Hasta donde sabemos, las fracturas de rótula en los niños se mencionan poco en la literatura. Las pruebas de las diferentes técnicas quirúrgicas de las fracturas de rótula son escasas en el caso de los adultos y aún más en el de los niños. Sólo unos pocos estudios describen el tratamiento en niños y todos son retrospectivos. Dai y Zhang describieron cuatro casos de fracturas transversales en niños. Uno de ellos se trató con un alambre de banda de tensión y el resto se fijó con un alambre circunferencial o un bucle de sutura. No describieron el tiempo de la cirugía, el tiempo de movilización, las tasas de complicaciones ni la amplitud de movimiento postoperatoria.11,12

Tien-Yu Yang y asociados concluyen que no hay evidencia suficiente que respalde que la aplicación simultánea de un cerclaje circunferencial que pudiera proporcionar un mejor resultado que el tratamiento cableado de banda de tensión mientras se trata a pacientes con una fractura transversal desplazada de la rótula.5,13

Las fracturas rotulianas son tratadas de modo fundamental por cirujanos experimentados y con un alto grado de especialización, lo que podría ser una expresión de la frecuente complejidad de las fracturas, las altas exigencias técnicas y la importancia de la localización de la fractura.4 Además del aflojamiento del material (10%), la mala colocación (4.5%), la pseudoartrosis (4%) o la infección (5%), hasta 10% de los casos de artrosis retropatelar se producen con el vendaje de tensión, que sigue siendo el caballo de batalla del tratamiento osteosintético de las fracturas de rótula, lo que se refleja en resultados insatisfactorios en casi 20% de los casos.14

Al hacer una comparación con nuestro caso clínico y la literatura que encontramos, nuestro paciente presenta, dentro de la escala funcional que manejamos, movilidad adecuada, sin restricciones para sus actividades cotidianas, sin presentar dolor a la palpación o a la movilización, por lo que observamos una adecuada mejoría con el tratamiento que se le realizó, además de la pronta rehabilitación que se manejó, ya que fue un pilar importante para los resultados que tenemos en la actualidad.

De acuerdo con la escala utilizada WOMAC, el paciente no presenta dolor bajo ninguna actividad, no cuenta con ningún tipo de rigidez a la movilidad, no presenta datos de inestabilidad ligamentaria y cuenta con una actividad física que le permite realizar su vida sin ninguna restricción, lo que demuestra la mejoría paulatina que ha tenido en el transcurso del tiempo de evaluación.



CONCLUSIONES

Existe poca literatura sobre las fracturas de patela en pediatría, y más aún con el tipo de trazo que presentamos en nuestro caso clínico. No hay tratamiento sugerido para este tipo de fracturas, por lo que podríamos dar pauta al inicio de una osteosíntesis que podemos ejercer en este tipo de fracturas, aunado a la experiencia de cada cirujano.

El seguimiento y las valoraciones tanto clínicas como de gabinete fueron de gran ayuda para observar la evolución que se fue presentando, así como la temprana rehabilitación para deducir el buen resultado esperado y con esto abrir una nueva brecha en el manejo de este tipo de fracturas.

El apoyo de la escala funcional WOMAC fue de gran ayuda para demostrar la mejoría en el transcurso en el que se valoró el paciente y evidenciar el correcto tratamiento realizado, así como observar la adecuada funcionalidad con la que cuenta en la actualidad el paciente.


REFERENCIAS (EN ESTE ARTÍCULO)

  1. Henríquez ÁC, Torres MJL. Estudio comparativo del tratamiento de fracturas de patela con tirante dinámico y cerclaje con alambre. Resultados funcionales. Acta Ortop Mex. 2008; 22 (4): 243-246.

  2. Moreno J, Resano H, Deganutti C. Fractura osteocondral de la rótula en la población pediátrica. Presentación de un caso. Rev Asoc Argent Ortop Traumatol. 2008; 73: 293-295.

  3. Mortensen SO. Screw osteosynthesis of transverse fracture of the patella in children. World Journal of Pediatric Surgery. 2019.

  4. Hunt DM, Somashekar N. A review of sleeve fractures of the patella in children. Knee. 2005; 12 (1): 3-7.

  5. Ray JM, Hendrix J. Incidence, mechanism of injury, and treatment of fractures of the patella in children. J Trauma. 1992; 32 (4): 464-467.

  6. Ismail A, Mahmut NA, Mehmet K. Nondisplaced transverse patella fracture in a child: a case report. Sci Intern. 2013; 1: 183-185.

  7. Shu-Yuan Lin, Wei-Chun Lin, Jing-Wein Wang. Inferior sleeve fracture of the patella. Journal of the Chinese Medical Association. 2011; 74 (2): 98-101.

  8. Li Y, Yu H, Huang B, Zhang W, Wang Y, Liu X. Upper pole sleeve fracture of the patella secondary to patellar dislocation: a case report. Medicine (Baltimore). 2019; 98 (24): e16011.

  9. Schmal, H. 2010.76,644-650 [PDF] Fractures of the patella in children and adolescents. Semantic Scholar. Acta Orthop Belgica. Vol7-5-2010.

  10. Álvarez-López A, Valdebenito-Aceitón V, Soto-Carrasco S. Fracturas de la rótula en niños. Acta Médica del Centro. 2023; 17 (3). Disponible en: https://revactamedicacentro.sld.cu/index.php/amc/article/view/1756

  11. Dai LY. Fractures of the patella in children. Knee Surg Sports Traumatol Arthrosc. 1999; 7 (4): 243-245.

  12. Yang TY, Huang TW, Chuang PY, et al. Treatment of displaced transverse fractures of the patella: modified tension band wiring technique with or without augmented circumferential cerclage wire fixation. BMC Musculoskelet Disord 19, 167 (2018).

  13. Suavi Aydogmus, Tahir Mutlu Duymus, Tolga Kececi1. An unexpected complication after headless compression screw fixation of an osteochondral fracture of patella. Hindawi Publishing Corporation. 2016.

  14. Fehske K, Berninger MT, Alm L, et al. Aktueller versorgungsstandard von patellafrakturen in deutschland. Unfallchirurg. 2021; 124: 832-838.



AFILIACIONES

1Servicio de Traumatología y Ortopedia, Hospital General Regional 220 "Gral. José Vicente Villada". Instituto Mexicano del Seguro Social (IMSS). Toluca, Estado de México, México.



Conflicto de intereses: Los autores declaran no tener ningún tipo de interés.



CORRESPONDENCIA

Dr. Marco Antonio Mendoza Lovera. E-mail: dr_mendozalovera@hotmail.com




Recibido: 16-03-2022. Aceptado: 03-03-2023.

Figura 1
Figura 2
Figura 3
Figura 4
Figura 5
Figura 6

2020     |     www.medigraphic.com

Mi perfil

C?MO CITAR (Vancouver)

Ortho-tips. 2023;19

ARTíCULOS SIMILARES

CARGANDO ...